【每日晨读】阳光下的泡沫—小结节的烦恼(二)




从遇见你开始,凛冬散尽,星河长明(图片来源于网络,致谢!)

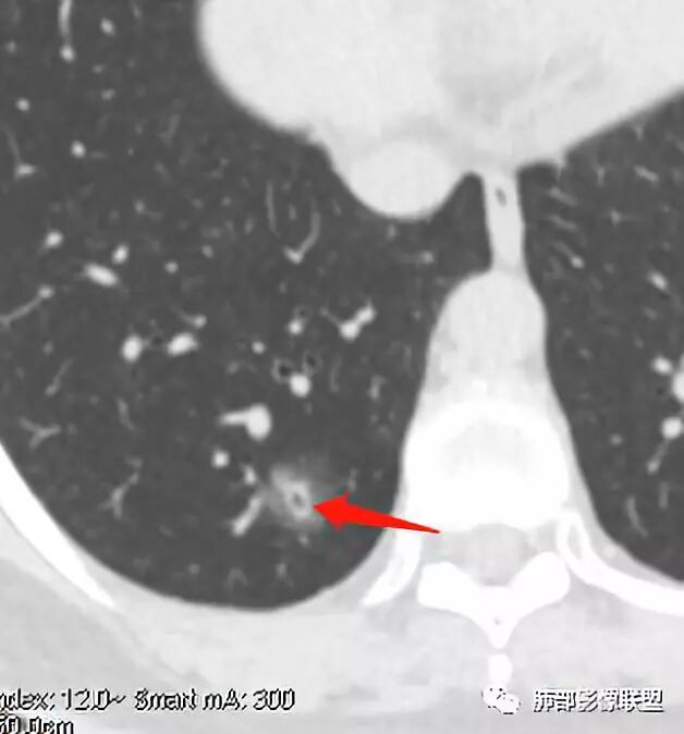
病例资料
Wonderful world






















微信群分析
Wonderful world


弹指之间

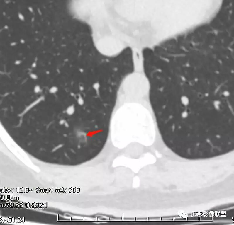
晨读:52f,体检发现右下肺结节,空洞、周围晕征(磨玻璃),局部血管影增粗,考虑1.真菌感染;2.GPA或不典型单发转移待排。

张帅

晨读:体检发现肺部结节,胸部CT:右下肺混合密度结节,结节中心空泡,壁光滑,结节边缘模糊,软毛刺,结节血管相对清楚,考虑良性结节可能,抗炎后复查。

孙冰伟

右下肺混合磨玻璃结节,其内见空洞,空洞壁光滑,结节周围可见晕征,可见增粗血管,首次体检发现患者无症状,还是建议抗炎2周,1个月后复查,鉴别腺癌。

小微

右肺下叶混合磨玻璃结节,边缘清晰,有分叶,毛刺,内见空泡。考虑腺癌。常规可以抗炎后复查。

杨泽锋

横断位看上去晕很模糊,冠矢状位重建后却比较清晰,所以单次CT检查蛮难定的,中心透亮区一定是空洞吗?我怎么觉得是一支气管壁有增厚,管腔有轻度扩张的支气管,第一感觉还是炎性结节吧,PC可能大,一定要否定腺癌也不敢,一个月左右复查。

崇军

体检发现肺部结节,右下肺混合密度结节,结节中心空泡,壁光滑,结节边缘模糊,血管在结节内增粗,矢状位前基底段还有一片磨玻璃影,所以考虑良性结节可能,炎性肉芽肿?抗炎后复查。腺癌合并炎性改变待排。

飞鹰行动

晨读病例,右肺下叶小结节病灶,内可见光滑空洞,周围可见边缘模糊磨玻璃影,首先考虑感染性病变,真菌或结核可能,鉴别腺癌,后者小病灶空洞少见,周围磨玻璃影清晰,胸膜凹陷征。

Yiren  Sishui(厶水伊人)

病灶大部分磨玻璃边界是模糊的,但有些地方还是比较清楚,腺癌是不能完全排除的,建议1个月后复查。

张钰(无锡九院呼吸科)

mGGO,周围有晕,边界不清,空洞,收缩力不强,血管通过走形正常,首先考虑炎性结节,抗炎和复查。筛查真菌。

Lotus

内部低密度是空洞还是扩张的细支气管有疑问,边缘有的层面清楚有的层面模糊,恶性待排吧。

市医院--时建文

右肺下叶混合磨玻璃结节,边缘清晰,有分叶,毛刺,内见空泡。考虑腺癌。

空格

我未见过的类型,CT征像良恶参半。女性,52岁,腺癌的好发人群。良性征像外周纯磨玻璃影很大,而且境界欠清晰。恶性征像,中央薄壁气囊边缘实性增厚,而而且厚薄不均匀。结合性别年龄,腺癌首先考虑,处理:随访3-6月,看看实性部分有无增多,应该不影响生存率。

小监

磨玻璃结节,中央有空洞,周围晕征,磨玻璃血运明显,考虑腺癌,鉴别隐球菌。

wonderful

晨读:结节伴晕,晕模糊,内有小空洞,周边还有片状模糊影,支持首先考虑炎性,临床会先抗感染治疗后复查。

王秀仙

晨读:右下肺结节,结节中心小空洞,壁光滑,结节周围有晕,边缘模糊,其他基底段亦可见斑片磨玻璃影,考虑炎性肉芽肿。隐球?寄生虫?

小赵

晨读:中老年女性,体检来诊。右肺下叶后基底段近胸膜下mGGN,其内实性成分似见毛刺及分叶,并见空泡征,周围GGO边界清楚,近肺门端见血管影伸入病灶并略显扩张,病变与支气管关系观察欠佳。多考虑恶性,腺癌可能性大。鉴于首次检查,常规建议抗炎治疗后复查,观察病灶变化情况,再决定下一步诊疗方向。

采莲

晨读,中老年女性,右下肺混合磨玻璃结节,边界模糊,内有空泡,张力高,考虑支气管扩张,周围血管相连,稍有增粗,考虑良性病变,细支气管扩张畸形并周围炎。腺癌待排。



晨读,女,52岁体检发现结节,右肺下叶见磨玻璃样结节影,边缘见毛刺,病灶内可见小空泡影,考虑腺癌可能,待除外炎性病变。

Coke with ice

病灶内低密度像扩张的支气管,整体被病灶包围,可以定为空泡,PC没有这么大的牵拉,曲霉的话病变范围太小,而且是体检发现。病灶周围磨玻璃似清非清,病灶下缘磨玻璃是明确清晰的,因此诊断倾向于粘液腺癌,比较心虚的地方是没有抗炎复查。

心灵鸡汤

右肺下叶后基底段混合型磨玻璃结节,边缘见晕征,内见小空泡/空洞,其内壁光整,与支气管关系不密切,常规考虑炎性肉芽肿病变,结核/隐球菌可能,腺癌待排,建议抗炎1月后复查。

尘缘

右下叶后基底段混合密度结节,边缘磨玻璃模糊,晕征,中心实性成分似有多个小结节融合,收缩力不明显,中心空泡样改变内缘光滑,考虑小空洞,综合考虑良性炎性结节,隐球可能,结核与曲霉待鉴别。抗炎后复查或穿刺活检。

毛勤香

右肺下叶混合磨玻璃结节,中心有小透光区,壁光整,磨玻璃边缘模糊,收缩力不明显,考虑炎性结节,抗炎治疗后复查,代排隐球菌。

管洪林

右肺下叶基底段胸膜下小结节,周围模糊晕征,其内光滑囊腔影,考虑小空洞,其内血管走形自然,周围软毛刺,常规考虑炎性结节,隐球可能性大,建议抗感染后复查,鉴别粘液腺癌。

傅昌瑜

从那么多天以来的读片结果看,不要走寻常路,各位老师考虑炎性的多,小隐球结节还是实性的多(见得少不知道对不对),空洞张力较高,那我考虑腺癌。


南边老师分析
Wonderful world

南边:
52岁男性,恶性的好发年龄,炎性也可以。

扫描是薄层。






连续层面显示这个应该是空泡,或者小空洞,远端没有,近端也没有,周围环形软组织增厚。而空泡,影像上只是根据5mm界线,病理上不一定。
问一个问题,肺动脉肺静脉?为啥?

生来征服~浪子:
静脉,夹角90,周边没气管伴行。
果哣.:
静脉吧,动脉同时会伴有一根气管
南边:

南边:
这些呢?为啥?

宇宙星空:
动脉,有支气管伴行
果哣.:
伴有支气管
南边:
南边:
假如这是含气支气管,伴随的哪条动脉呢?近端从哪来?为啥环形壁增厚而又不均匀?都不太符合,所以支持空泡或小空洞。

上次刘纯老师提出,空泡征是一个影像征象,不是一个病理征象,我比较支持,他就是一个影像上的小低密度腔,原因很多,但是影像上与小的空洞表现区分不了。其中的原理:有一条是内容物排出后的残腔,其实也是空洞的原理。
南边:
大家考虑恶性的依据?炎性的依据?首先这是不是磨玻璃结节?依据是啥?
因为密度比肺组织高,但是又遮盖不了血管,所以GGO明确

采莲:
GGO(Ground  grass opacity)是磨玻璃样密度改变的简称。在肺部CT影像上表现为密度轻微增加,增加程度小于实性改变,呈模糊的云雾状,并可见其内血管显示。
南边:
是pGGO?mGGO?
实性的部分超过10%——mGGO

南边:
GGO边缘清不清?依据?
妞妞:
部分清,部分不清
采莲:
依据:能不能沿GGO边缘画出一个边界
南边:
能否勾勒出边界?是否有血管?


排除血管的边缘,边界清吗?

可惜的是背景也模糊了一些


答案揭晓
Wonderful world

患者后来到上海做了手术,电话回访告知结果为粘液腺癌


关于空泡征
Wonderful world

定 义
       英文:bronchus encapsulated air sign。
       又名:裂隙征、小泡征、小空泡征、气腔充盈或肺泡气像。
       空泡征指结节内直径<5mm的气体密度影或低密度影,可单个或多个,且相邻2个以 上层面不能见到低密度点状影。

形成机制
①未被肿瘤组织占据的含气肺组织;
②未闭合的或扩张的小支气 管;
③乳头状癌结构间的含气腔隙;
④沿肺泡壁生长的癌组织未封闭肺泡腔及融解、破坏与扩大的肺泡腔;
⑤肿瘤内小灶性坏死排出后形成。


肺粘液性腺癌
Wonderful world


1、概述
    肺黏液腺癌是2011年肺腺癌国际多学科分类中一个新的术语,为腺癌的一种特殊类型。相当于原分类中的黏液性细支气管肺泡癌。肺腺癌的发病率近年呈上升趋势,其检出率增高与影像学技术不断发展有一定关系。黏液腺癌在所有分化良好的腺癌中占30%,且较其他类型肺癌5年生存率更长,因此若能对其影像学表现深入认识,则对病人的诊断、治疗及预后均有重要意义。


2、肺腺癌的最新分类标准及其临床意义
          1960年,Liebow首次使用了细支气管肺泡癌(BAC)这一术语,描述其为肿瘤细胞沿肺泡壁生长的分化良好的腺癌。1999年WHO正式定义纯BAC为鳞屑样生长的病变且无间质、血管及胸膜的浸润,并分为3种亚型,即黏液型BAC、非黏液型BAC及混合型BAC。2011年肺腺癌的国际多学科分类标准中取消了细支气管肺泡癌这一概念,对于小的孤立性结节新增了原位腺癌(AIS)及微浸润腺癌(MIA)两种术语。原细支气管肺泡癌中的黏液型更名为浸润性黏液腺癌作为浸润性腺癌变异型的一种,而非黏液型根据浸润程度相应的分为非黏液型AIS/MIA/鳞屑样生长方式为主型腺癌(LPA)。在AIS及MIA中主要为非黏液腺癌,黏液腺癌十分罕见。即根据最新肺腺癌分类标准,黏液腺癌包括黏液型AIS、黏液型MIA及浸润性黏液腺癌。


3、肺黏液腺癌的病理学表现
   黏液型AIS及黏液型MIA十分罕见。表现为沿肺泡璧伏璧式生长,均无淋巴管、血管、胸膜浸润或肿瘤内部坏死。黏液型MIA的浸润范围≤5 mm。当病变>3 cm、浸润范围>5 mm或表现多发结节时则为浸润性黏液腺癌。显微镜下黏液腺癌为高柱状上皮细胞沿肺泡壁生长,肺泡腔内充满黏液,典型者形成黏液湖。其细胞异型性不显著,但若伴有间质浸润时,肿瘤细胞分泌黏液减少,异型性逐渐增加,可见肿瘤细胞悬浮于黏液湖中。


4、肺黏液腺癌的临床表现
   肺黏液腺癌的临床表现无特异性且常与影像学表现不相符。但因其分化好发展慢,故临床症状多出现较晚且病程长,临床症状迁延不愈,黏液腺癌分泌大量黏液导致肺泡内黏液增多,对应临床上可咳出大量白色黏痰及支气管黏液分泌增多(>100 mL/24 h),多在病变晚期出现,但并无特异性。


5、肺黏液腺癌的影像学表现
肺黏液腺癌的检查方法同其他类型肺癌,包括胸片、CT、MRI、PET/CT。AlS及MIA在常规胸片上多不能检出,仅能检出一部分浸润性黏液腺癌,但不能定性。临床上主要检查方法为多层螺旋CT(MSCT)及MRI。
①MSCT:黏液腺癌在影像学上可分为孤立型及弥漫型,对于黏液腺癌的大宗病例研究较少,2004年Rossi等总结了18例黏液型细支气管肺泡癌的影像学表现,认为其最常见的表现为肺野周围边界不清的实性结节(8例),另一部分表现为伴支气管充气征或磨玻璃密度影的实变影(分别为6例及4例)。Sawada 等研究也表明,典型的孤立型黏液腺癌CT表现为实性或部分实性结节,少见为纯磨玻璃密度影。与其他类型肺癌相比,更易出现假空洞征或空泡征,其病理学基础为肿瘤细胞沿管壁浸润性生长,使管腔形成活瓣样阻塞,气体容易进入肺泡腔但难以出去,致肺泡腔过度充气,表现为小空泡征或假空洞征。肿瘤细胞所分泌的黏液充满肺泡腔,在CT上多为低于肌肉组织的实质性密度影。Sawada等认为若周围有磨玻璃密度影,磨玻璃影的边界常不清。病理上,磨玻璃密度影相当于分泌到肺泡间隙的黏液及巨噬细胞聚集或肺泡周围部分被肿瘤细胞替代,而肺泡间隙未被完全填充,溢出的黏液是随意的,边界不清,因此磨玻璃密度的边界也是不清晰的。由于肿瘤内黏液成分高,CT上可表现为类似水的密度,随着时间的推移,水分逐渐重吸收而蛋白成分含量升高,在CT上浓缩黏蛋白的CT值高于20HU,甚至可达到100HU以上。但多以低于肌肉的密度影为表现。在片状实变影中可见含气的支气管影(支气管充气征),注射对比剂后强化不明显,在低密度影的衬托下可清晰看到病变内血管影,即血管造影征,血管造影征对黏液腺癌诊断有提示作用,但不具有特异性。
    ②MRI:MRI的空间分辨力远不及高分辨力CT,对于磨玻璃密度病变无法显示,且MSCT具有强大的后处理技术,因此对于肺部病变形态学的显示MRI没有优势,但对于肺炎样黏液腺癌,可通过信号强度的变化而间接做出诊断。2000年Gaeta等首次提出“白肺征”这一术语,随后进行更深入的研究认为,白肺征是由于肿瘤内黏液成分高形成的,此征象对黏液腺癌的诊断有特异性。支气管黏液由95% ~98%的水和2%~5%的糖蛋白组成。在MRI上有较长的弛豫时间(T1和T2影像),信号强度与人体静止体液如脑脊液、胆汁、尿液类似,重T2上病变区表现为明显高信号。MRI上也可见到血管造影征及支气管充气征。


6、肺黏液腺癌的预后
孤立型黏液腺癌术后效果佳,应早期手术治疗,临床上更推荐楔形切除而非整个肺叶切除。肺黏液腺癌较其他类型肺癌更易发展成为弥漫性病变,可为多灶性或肺段/叶的实变影。肺炎样黏液腺癌易沿气道转移而导致肺内播散,预后不佳,5年生存率约为26%。Oka等对术后或活检确诊的13例黏液性细支气管肺泡癌病人进行随访表明,直径≤ 3cm的结节术后预后好,而直径> 3cm的肿瘤容易复发及肺内转移。


7、肺黏液腺癌的鉴别诊断
    ①孤立型黏液腺癌:主要与良性病变及其他类型肺癌相鉴别。若具有一般肺癌的分叶、毛剌等征象可初步诊断为肺癌。若为实性或部分实性结节伴空泡、充气支气管征或血管造影征等可进一步提示为黏液腺癌。非黏液型腺癌主要表现为纯磨玻璃密度,是与黏液腺癌鉴别的重要征象。分泌黏液的其他腺癌包括胶样腺癌、“印戒”细胞癌、黏液性囊腺癌等,其中黏液性囊腺癌为胶样腺癌的一种特殊表现。这类肿瘤由于富含黏液,增强后强化不明显或呈轻中度强化。胶样腺癌黏液更加丰富,在CT上以囊性或囊实性密度为主,多有分叶,但绝无毛刺,病灶内部无出血及坏死。显微镜下黏液腺癌与胶样腺癌均可见肿瘤细胞沿肺泡璧生长,但胶样腺癌覆盖面积不超过肺泡壁的1/3。Rossi 等研究表明Cdx2在所有胶样腺癌中均表达,而在黏液腺癌中表达0~10%不等。此外,黏液腺癌TTF-1多为阴性,胶样腺癌多为阳性。
    ②实变性或肺炎样黏液腺癌:黏液腺癌是唯一在影像学上可以实变为表现的肺癌,此类型可气道播散。预后不佳。主要与大叶性肺炎等感染性病变鉴别。大叶性肺炎临床表现多有明显感染及高热起病史,痰多为黄色脓痰,白细胞增高明显且抗感染治疗效果较好;黏液腺癌病程长,典型为咳白色泡沫样痰,抗炎治疗效果不佳,迁延不愈。但也有些肺炎无或只有轻微临床症状,如游走性肺炎。影像学鉴别方法主要为CT及MRI。CT主要观察实变中含气支气管形态的改变,肿瘤细胞沿肺泡壁生长逐渐充满肺泡间隙、浸润肺泡间隔及支气管壁导致支气管的狭窄、扭曲僵硬。而管腔扩张及黏液嵌塞更多见于炎症。有些病人中可见到叶间胸膜的膨隆,可能为肿瘤内充满的黏液导致肺叶膨胀所致。CT增强后部分可见到边缘强化,此为脏层胸膜强化或边缘残存肺组织的小叶不张。边缘强化也可见于坏死性肺炎且出现率低。相比之下,MRI上的“白肺"征对鉴别黏液腺癌与肺炎有高度的特异性及敏感性,且无需注入对比剂,成像时间短。“白肺"征也可见于阻塞性肺炎,可通过发现中央气道内肿块予以鉴别。因此,对于怀疑黏液腺癌的每例肺实变病人均应常规行MRI重T2成像。


8、小结
综上,肺黏液腺癌是一种分化良好的肿瘤。由于肿瘤细胞分泌黏液使其病理及影像学上有一定特异性表现,MRI上的“白肺征"对肺炎样黏液腺癌诊断有特异性,病变一旦发生气道转移则预后不佳。早期诊断与治疗尤为关键。
参考文献:王迪,于红,《肺黏液腺癌的影像学与病理学研究进展》,国际医学放射学杂志,2012 Sep;35(5);426-429。
感谢浏览


编辑:赵永兵
审核:清  茶
到顶部