继续操作前请注册或者登录。

【每日晨读】小结节的烦恼(一)


每日晨读
● ○ ●
World Book and Copyright Day
● ○ ●

















❉❉❉❉❉❉❉❉❉❉
群内讨论
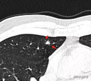
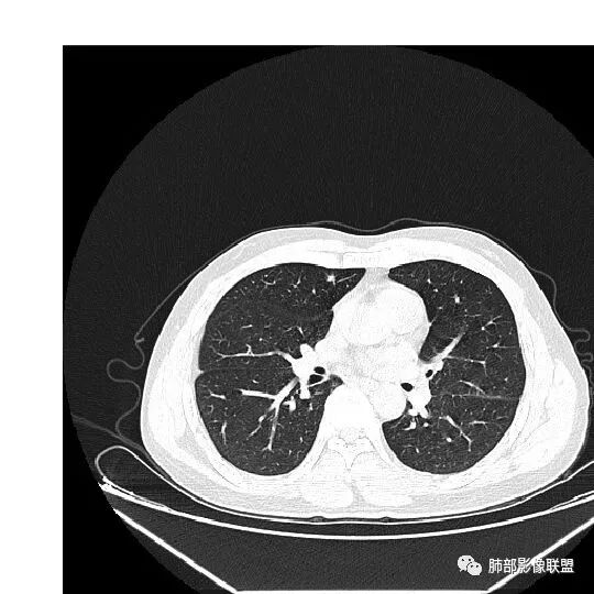
杨泽锋:很难通过一次CT检查来判断小结节的性质炎性结节可能大理由:病灶很小但是很密实毛刺比较长百事可乐:右肺中叶内侧段实性小结节,毛刺、分叶,胸膜牵拉。考虑MIA。李:实性结节,形态不规则,考虑炎性肉芽肿紫气东来:右肺中叶实性结节,毛刺分叶,考虑恶性。穿越七海的风:右肺上叶近胸膜下小结节,实性度较高,肺内淋巴结吧,可随访观察张帅:晨读,右肺上叶前段小结节病变,病灶内可见细支气管穿过,局部血管略增粗,病灶边界清,可见软毛刺,3月胸CT较2月貌似密度减低,毛刺变小,考虑良性病变,炎性病变?春秋:患者51男性,右上叶前段结节,形态不规整,明显分叶,前后变化不明显,考虑恶性!Yiren  Sishui(厶水伊人):小结节,密度较实,有多条线状影,胸膜下分布,肺内淋巴结?炎性肉芽肿?建议随访。东哥:晨读:右肺上叶小结节,不规则,可见分叶,整体收缩,两次CT变化不明显,先考虑良性可能我心飞翔:右上肺实性结节,长毛刺,考虑良性病变王秀仙:晨读:右肺上叶结节,边缘毛刺,一个月后,病灶略有增大,边缘小叶间隔阻挡,考虑腺癌。Shelia🌞:晨读,右肺上叶前段胸膜下小结节,形态不规则,以平直收缩为主,可见u型凹陷,长毛刺,1月复查感觉变化不大,考虑炎性病变,建议继续随访复查除外腺癌一切∮随缘:晨读病例:     右肺上叶前段可见一不规则结节,边缘可见分叶,毛刺,清晰的GGO,近端牵拉血管树,未见明显支气管截断,中年男性,体检发现,综合考虑微浸润腺癌,待排炎性肉芽肿,建议短期随访。
Ao..葉偲雨!👑:右肺中叶内侧段小结节,边缘毛刺,部分层面平直,第二次复查有凹陷,密度似乎比之前淡泊一点(肿瘤的生长周期一个月一般不会有太多变化),大小范围基本稳定,LU-Rads 4a类,炎性结节可能,建议3个月后复查或pet 



南边分析
南边:51岁男性,体检发现右肺结节这个年龄段的男性,啥都可以发生,也属于肺癌的高危人群南边:首先是实性还是GGO?好像实性吧

密度遮盖了血管这是血管吧

这些?

这个?

如果实性病变,边缘收缩,可以考虑炎性, 但是边缘有边界清楚GGO,一定要警惕恶性,还有粗短毛刺更要小心撇开其它,看到这个图,除非你怀疑假象,不然就是要考虑腺癌的可能

边界清楚GGO,短毛刺,这要小心瘢痕癌可以多为腺癌复查没变化,与血供有关,属于休眠期张国祯教授的理论:腺瘤样增生、原位癌都属于偏良性,就是没有侵袭性;以后发展——侵袭可以,不变可以,部分可能还会凋亡(比较少)



♡♡♡♡♡♡♡♡♡♡
结果
原位腺癌




关于肺小结节的诊断思路
南边:
其实我们我个人观点啊,可能有的不太正确。
一、临床判断结节,无非就是要处理或者不处理,或者定期观察。
1.如果我们怀疑这个结节已经达到微浸润,或者浸润这个标准,那肯定是要处理的。这类一般就是大小,一般来说是实性成份是否超过五毫米,恶性征像一般是判断一个方向。或者说周围微血管迹象是如何的。或者说边缘那些恶性征像和内部的空泡之类的。
这个时候临床他可能很多指标没出来的。从影像判断他是否具备具备一个这样的迹象出来,有的话。提示要干预。
因此这个影像就很关键,关键在哪里,就是说,如果是穿刺。穿刺的话,第一,取材毕竟很小,如果这个你没取到它,假如微浸润里面没取到,取得是边缘的一个区域,结果可能会有偏差。
2.还有这一类,我们无需这么积极处理的,就是我们考虑的原位癌,或者腺瘤样增生。
这类可以观察观察,或者说结合临床,结合患者的意见和态度,各方面看该如何处理。
   但是一定注意实性的跟磨玻璃结节略有差异,勿使缺漏。
   这个病例,它是边缘有一些恶性的特点出来了,但是可能重点关注的部位不同。专注于那些实性成分去了,没看到边缘征像。他确实有一些良性的征像在那里,恶性迹象不明显,或者某些层面出现恶性征像。
   原位癌和跟腺瘤样增生,一般属于肿瘤的休眠期状态,比较早期的,就是它的生长速度,非常非常缓慢。
   甚至有一些它可以一直静止不动,还有一些他,甚至可能还有凋亡,它自己慢慢萎缩的。
   目前这种的,一年两年观察就是复查一次,观察发现没变化,几乎以后都不动了,不再观察了。
  但是我不太赞同这个观点,不赞同的原因,就是说应该继续观察。你发现这个病一直没变化了吧,你们一直观察。或者说你处理掉它,因为这个跟患者的心态、患者的要求,跟病人的身体状况,各方都有关的。
   这些就交给临床。
二、结节分类
无非就是几大类:
第一类,你怀疑炎性的。好。那你还炎症的处理,治疗复查。
第二类,良性的,我们说的腺瘤样增生。
第三类,就是浸润性的。微侵润也好,浸润也好,这个要处理的。
第四类,就是这个已经到处转移了,他需要手术,能不能手术的问题,那就临床处理了,不需要我们去关心这个。
以上的前提是什么呢,我们的判断是否可靠、是否仔细全面,判断征像是否真的是这个征像,例如毛刺征。我们如果正好边缘那些小血管的切面就跟毛刺征一样,我们如果根据那就判断失误就大了。

发现更多精彩
关注公众号


编辑:冯连彩
审核:徐   晓

到顶部