【每日晨读】这个结核不一般


2019.09.10

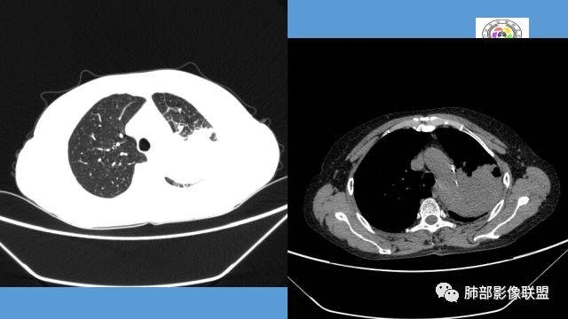
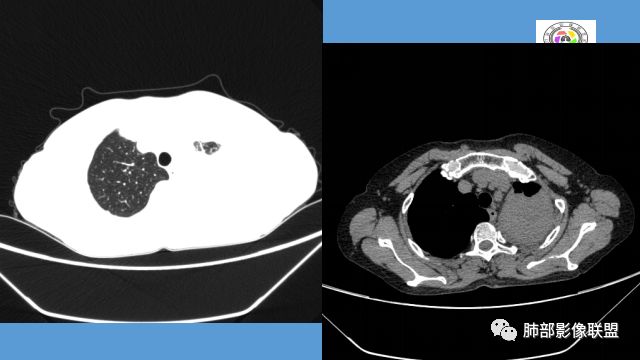
01病例资料


























02群内讨论


小微:
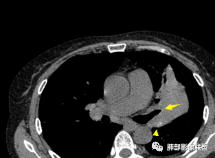
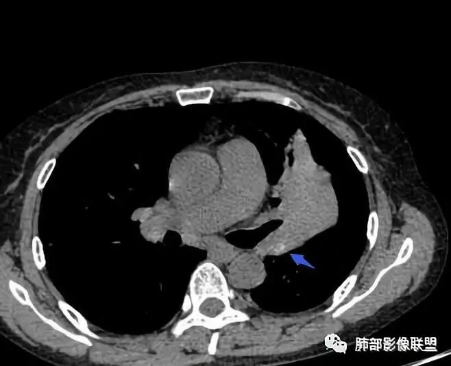
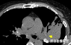
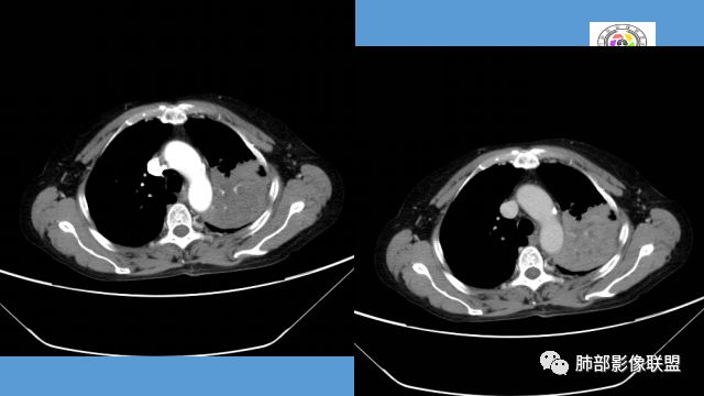
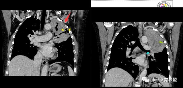
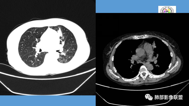
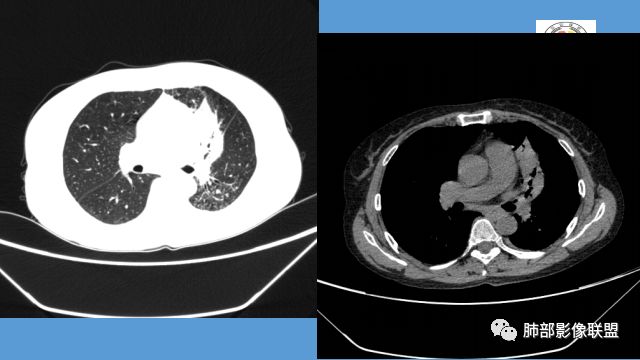
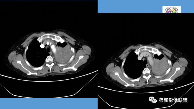
左肺团块影,形态不规则,其内见充气支气管征,增强扫描明显强化,其内见液化坏死区。下叶基底段见斑点状密度增高影。双肺门见斑点状钙化影。疾病谱有结核,增强除外了。肺癌和淋巴瘤鉴别。
甄德强:
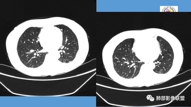
病灶远端有扩张支气管,树芽,实变,纵隔肺内淋巴结钙化,考虑肺结核。
强化不是很明显,我考虑炎性病变,结核放第一位。
市医院--时建文:
支气管是通畅的
小微:
@甄德强 庆安县人民医院 影像科? 增强强化,排除了,强化不符合。一般结核都是薄环形强化吧?这个病灶边缘及肺内太干净,结核一般很少这样
甄德强:
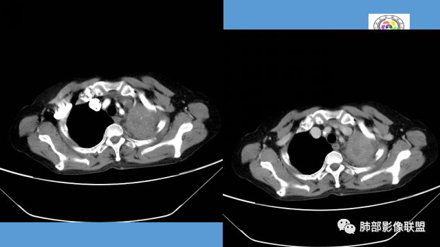
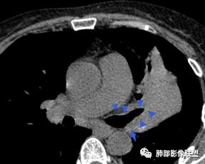
纵隔还有钙化淋巴结
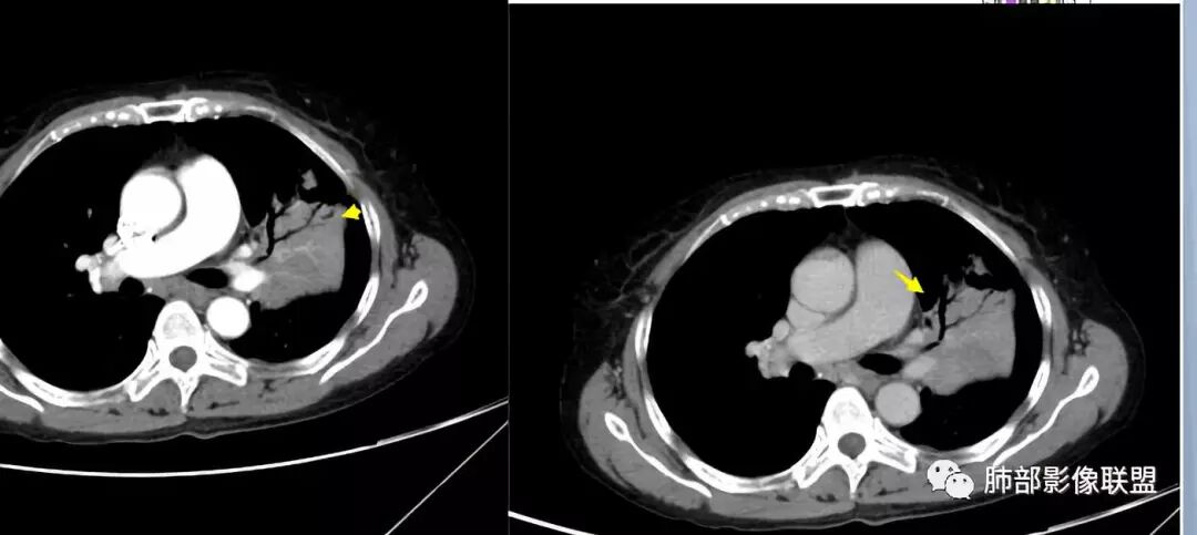
支气管狭窄后扩张是炎性特点

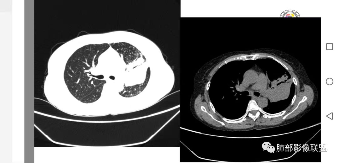
       下叶背段有树芽
小微:
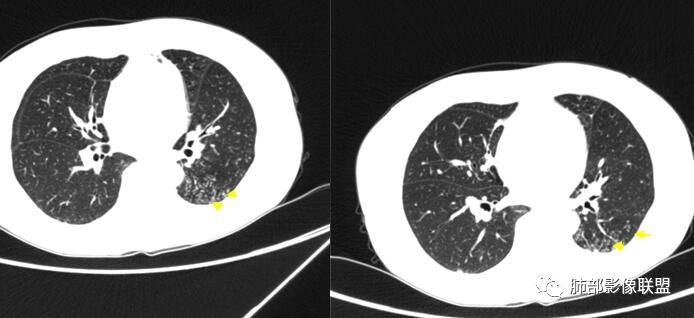
这些小结节可疑
淋巴瘤也可以支气管狭窄后扩张吧?

甄德强:

小微:
纵隔有钙化淋巴结,只能说明曾经可能患过肺结核

笨丫头:
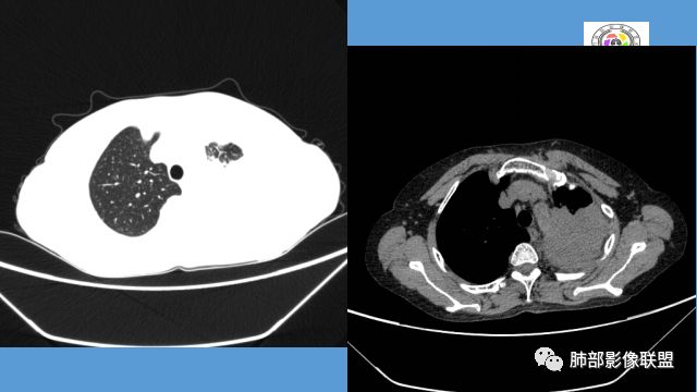
左肺占位,边界平直,无明显膨胀性,炎性首先考虑,支气管壁不光滑,考虑气道来源,青年女性,有地热,乏力,体重减轻,结合病灶周围有树芽征,我考虑结核!
杨泽锋:
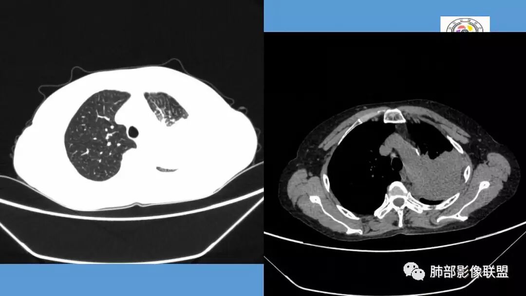
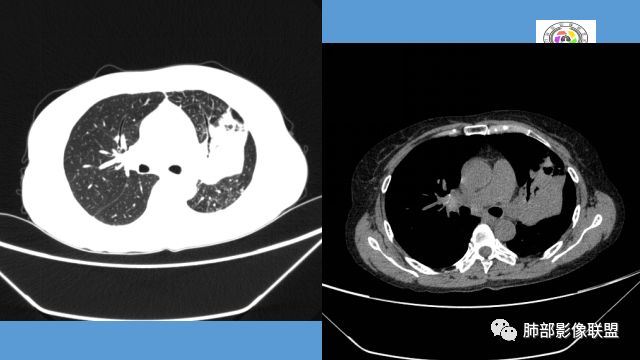
整个上叶尖后段阻塞性肺不张的表现,从强化来看没有异常结节状或肿块样强化,肿块内部点状钙化、纵隔多发小淋巴结、下叶背段有树芽征,整体来看支持肺结核,让人不放心的是最后一幅冠状位重建的图像尖后段支气管堵了,而且有轻度的隆起,所以很难除外粘液表皮样癌(女性,鳞癌可能性小),如果是我写报告肯定会建议纤支镜检查
张帅:
中年女性,反复咳嗽咳痰4月,加重半月,咳嗽,咳黄痰。胸CT:左肺体积缩小,左肺上叶病变,病灶内可见支气管征,病灶边缘可见棘突样改变,病灶周围可见结节状卫星灶,纵隔可见淋巴结肿大,部分淋巴结可见钙化灶。增强CT病灶内可见低密度坏死区,冠状位病灶内支气管可见扩张,病灶整体呈收缩,考虑患者为良性慢性感染性病变,结核?放线?,建议支气管镜检查。
马春平(张家港市一院胸外科):
考虑结核伴混合感染。中青年女性,持续低热、不正规抗感染症状加重。左上肺低密度肿块,左上固有段支气管未显影(结核侵蚀干酪样坏死),左上舌段支气管通畅但增厚变形。左下肺树芽征新发支气管播散。鉴别:粘液腺癌
THINKER:
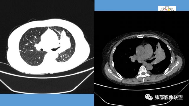
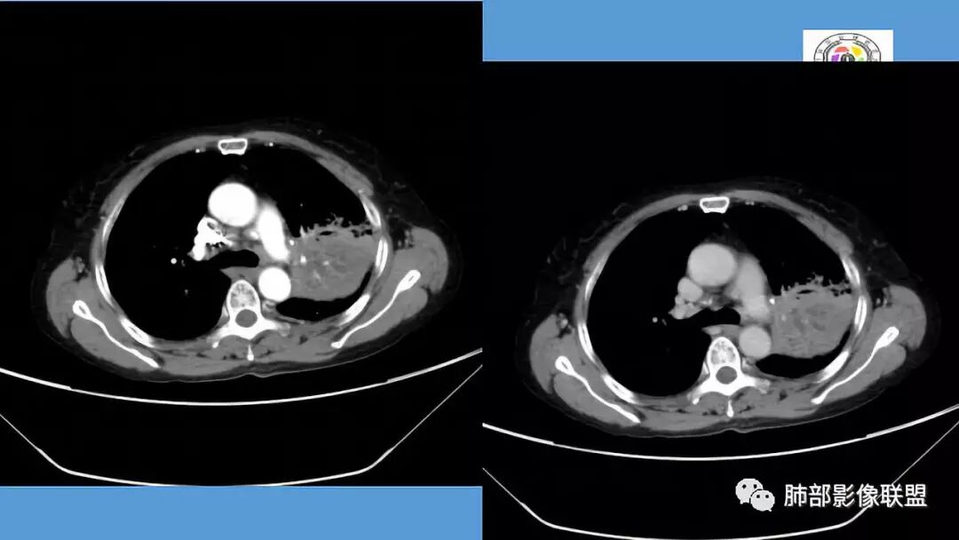
左上叶实变不张,膨胀生长,上叶开口阻塞?,病灶内支气管扩张,明显延迟强化,内见低密度灶及点状钙化,周边见小叶间隔增厚丶结节,右斜裂结节
诊断:腺癌>MALT
鉴别:有4个月间断发热史,鉴别TB丶放线丶奴卡菌
傅昌瑜:
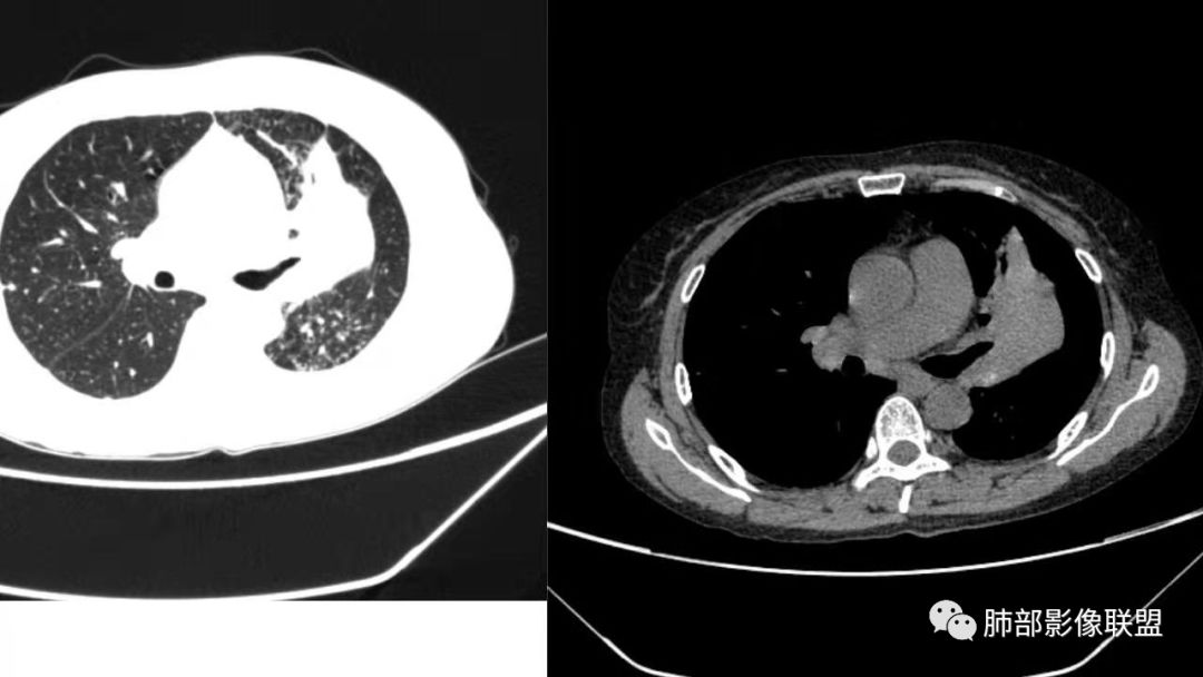
中年女性,反复咳嗽咳痰4月。胸CT:左肺上叶块状病变,病灶内可见支气管征,边缘见棘突样改变,周围可见结节状卫星灶,纵隔可见淋巴结肿大,部分淋巴结可见钙化灶。增强CT病灶内可见低密度坏死区。病灶整体呈收缩,考虑为良性病变,结核可能性大,建议支气管镜检查。
Yiren Sishui(厶水伊人):
左肺病变支气管有狭窄后扩张,有部分钙化,符合结核,但叶间裂有膨隆,支气管有受压变窄表现,部分病灶内有血管,不能排除腺癌的可能,所以考虑肺结核合并腺癌可能
薏米:
中年女性,慢性咳嗽,咳痰病史4个月,左肺上叶可见一团块状密度增高影,边界清,未跨叶裂,边缘有收缩有膨隆,周边可见结节影及树芽,周边部分小叶间隔增厚,内部可见点状坏死及血管包埋,有支气管充气征,部分支气管扩张,考虑淋巴瘤可能性大,鉴别结核
一切∮随缘:
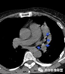
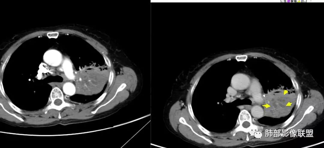
左肺大片状实变影,边缘彭隆,近端支气管堵塞,上端部分包绕支气管,平扫密度欠均匀,其内可见小点状钙化影,增强后可见血管穿行并伴有低密度坏死/粘液?临床有发热,Ca199偏高,综合考虑1:腺癌(粘液腺癌,粘液表皮样癌,腺样囊腺癌)2淋巴瘤
常志强:
左肺上叶软组织肿块,密度不均匀,边界清晰,不均匀强化伴坏死,支气管走行僵直
长沟流月去无声:
这个截断像结核的。肿标多高?

Coke with ice:
中年女性,咳嗽咳痰4月,加重半月。偶发热,肿瘤指标升高。病变主要位于左肺上叶后部,实变,病灶大部边缘平直、局部膨隆,邻近叶间裂局部向后膨隆,病变密度整体较均匀,见小斑片状低密度区及点状钙化影;左肺上叶舌段支气管可疑截断,病灶内支气管走形迂曲变形、不规则狭窄扩张、部分支气管内粘液栓形成,可见局部扩张支气管似小空洞相连,病灶内血管走形自然;糊墙。病灶前缘小叶间隔增厚,平滑;左肺下叶支气管管壁增厚,见部分树芽征及腺泡结节,边缘不清。纵膈及双肺门部分淋巴结钙化,隆突下淋巴结增大;未见胸腔积液。1.左肺上叶病灶倾向于恶性肿瘤,腺癌可能,排除粘液腺癌;2.左肺下叶少许炎症;
病灶整体有后坠感,小叶间隔增厚,这些用结核不容易解释,再加上肿瘤指标升高,所以把肿瘤放前面,炎症放后面。和左肺下叶病灶两元论。
肿标不知道正常范围。他病史单单给了一个肿瘤指标,我以为是提示指标升高的。
王秀仙:
晨读:左肺上叶实变,边缘不整,部分膨隆,其内支气管有狭窄有扩张,周围小叶间隔增厚,左肺下叶背段可见气腔结节,树芽征,边缘模糊,肺门及纵膈淋巴结钙化,考虑结核。鉴别肺炎型肺癌。
丽:
左上肺片状高密度影,其内有充气支气管征,血管造影征,叶间裂明显膨隆,支持粘液腺癌,鉴别于淋巴瘤、结核
没意见:
中年女性,慢性咳嗽,右肺上叶块影,边缘膨隆+平直,肺容积略有缩小,部分支气管通畅、先狭窄后扩张,有树芽、网格,淋巴结钙化,强化轻,不均匀,内部低密度坏死,粘液栓,血管受累纤细,胸膜冠状位似有栽桩,良恶的特点皆有,首先考虑结核,肿瘤不敢排除,需要进一步结合临床
傅昌瑜:
CA199 62.52
长沟流月去无声:
这个不好说,CEA有特异性
Coke with ice:
对这个肿瘤指标的提示意义比较蒙圈。
除了CEA还有PROGRP,其他的指标高多少临床可以提示恶性肿瘤,没有概念。




南边分析
1
41岁女性,没提吸烟,病史4月,反反复复。
一般:恶性肿瘤可以,我们一般反反复复感染提示警惕恶性;特殊性炎性病变可以,例如结核。
CA199一般提示腹部肿瘤,如果这个角度,转移瘤也要警惕。

左上胸缩小,但是左上叶部分实变,边缘膨隆,内部有含气支气管,粘液栓,近端支气管堵塞

前端支气管通畅,部分稍扩张,走形自然


实变区支气管内粘液栓明显



上叶支气管堵塞处稍萎缩、凹陷,附近壁增厚,内可见小点状钙化
 

树芽征、小叶间隔增厚,淋巴结, 内部血管走形自然 
分析:支气管粘液栓、支气管堵塞处萎缩、钙化,支气管通畅处部分扩张,树芽征——提示结核。
病灶膨隆明显,支气管堵塞,附近壁增厚,是否需要警惕恶性?  
鳞癌?没有吸烟女性,病灶大但是无坏死,不符合 。 
腺癌?近端支气管壁增厚,病灶区占位效应明显,小叶间隔增厚,血管走形自然,不能排除  。
如果我们写报告,结核的特点明显存在,需要诊断,恶性的征象也有,不能排除,需要临床干预——穿刺、支气管镜检查等,如果单从影像,就是治疗后复查,但是临床手段多,无需等待。

看这些钙化

前壁不厚,附近钙化灶太多,所以觉得结核一定要考虑,加上树芽征,就更支持。

支气管因为软骨,密度偏高,从这连续性看,支气管这一段的壁不厚,只是周围有病灶。
 支气管壁软骨存在且连续,没有被破坏掉,支气管壁局部通畅,提示支气管壁没破坏,那么近端支气管癌肿不考虑。远端有树丫征,病灶周围很多钙化,所以结核一定有。

结果

电话随访:湘雅医院纤维支气管镜检查:左肺上叶支气管外压狭窄、粘膜病变。穿刺未见肿瘤细胞,考虑结核,抗结核治疗后病情较前好转。
本例小结:
1.双肺多发病灶,结节影、树丫影,边缘分布……病灶符合继发性肺结核。
2.左肺上叶大片实变影,密度不均,体积轻度增大,注意轻到中度强化及血管影未见破坏、未见坏死空洞……病灶更符合炎症,而不大支持干酪性结核及肺鳞癌等,后两者的破坏能力是比较强的。
3.支气管阻塞,沿途可见钙化及液性潴留……更符合支气管内膜结核。
4.病程长达四月余,咳嗽,偶有畏寒发热……不符合急性大叶性肺炎。
5.女性,相对年轻,无吸烟病史……不符合肺鳞癌。
 
综上,双肺继发性肺结核诊断应当成立;左肺上叶大片影,以支气管内膜结核伴阻塞性炎症解释更为合理。


编辑:靳文剑
审核:冯连彩  徐  晓
到顶部