【每日晨读】怎样探囊取物—认识淋巴细胞性间质性肺炎



去旅行吧
有事做,让每一天充实,事情没有大小,只有你爱不爱做




































































群内讨论随遇而安 
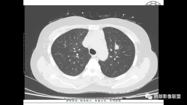
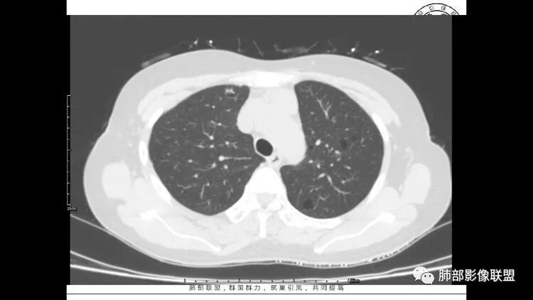
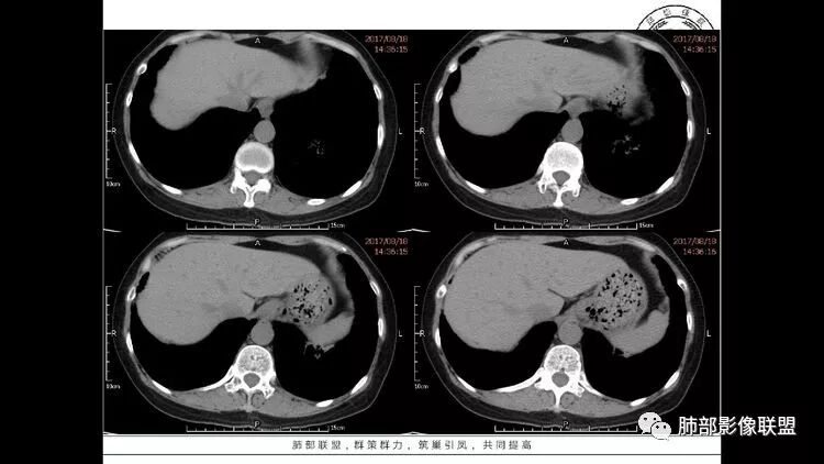
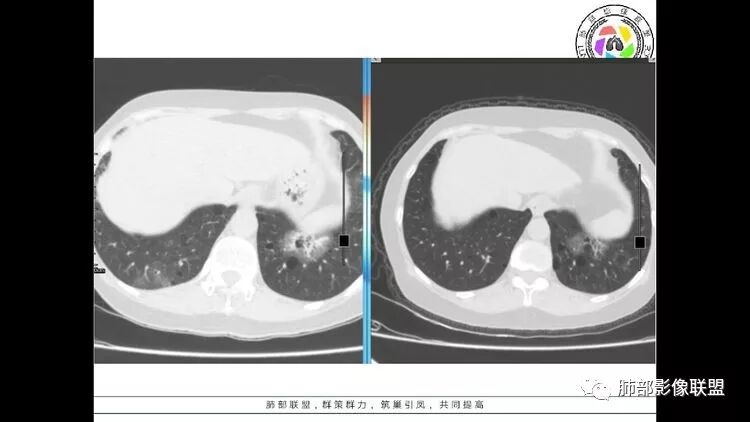
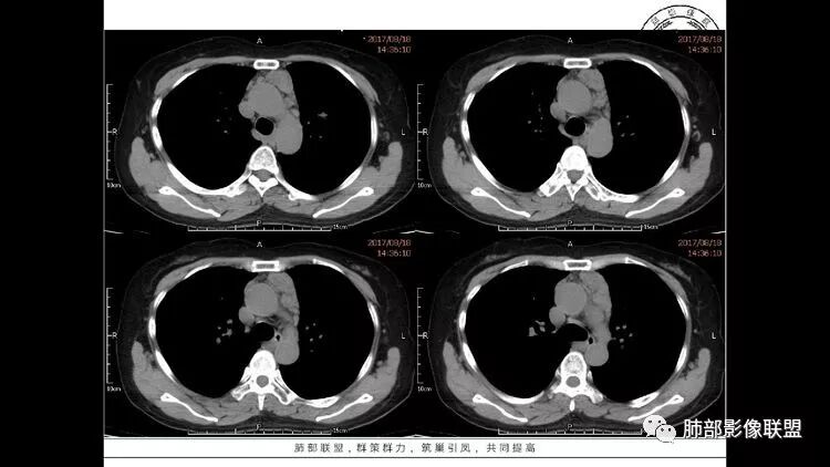
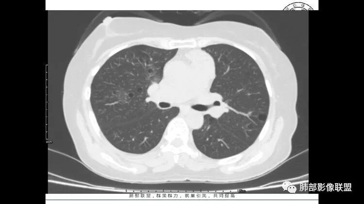
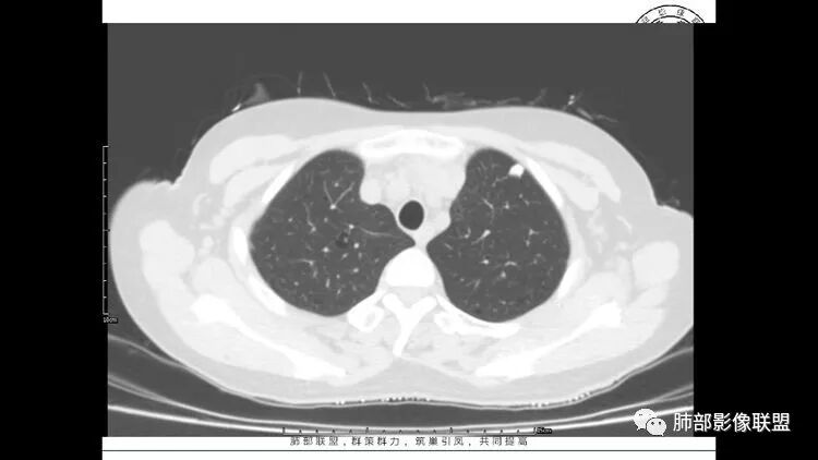
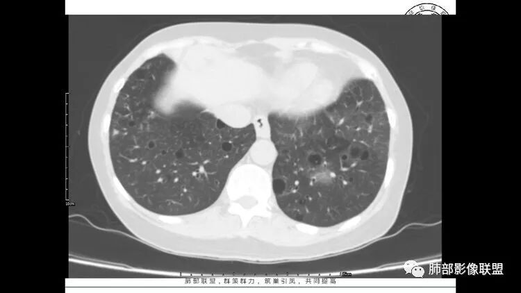
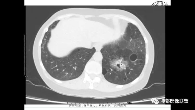
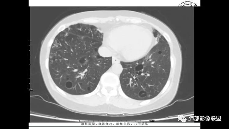
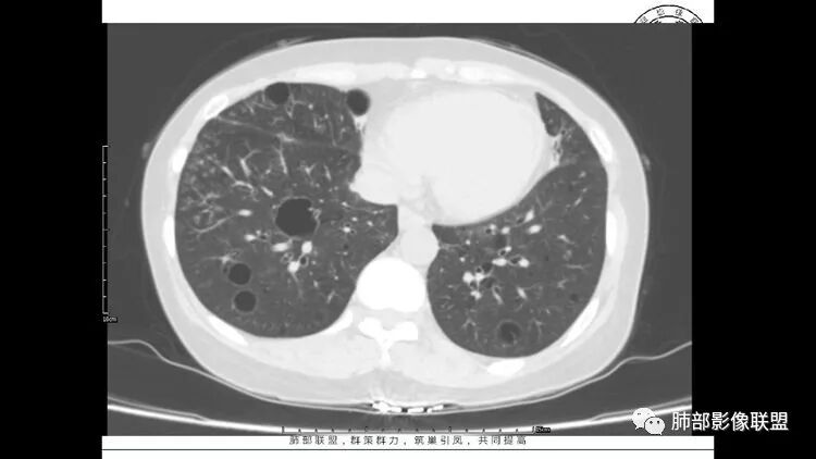
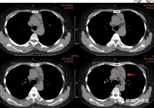
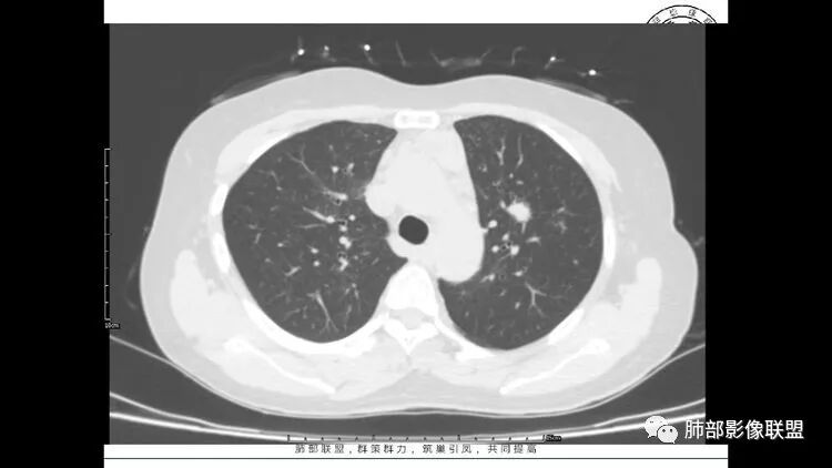
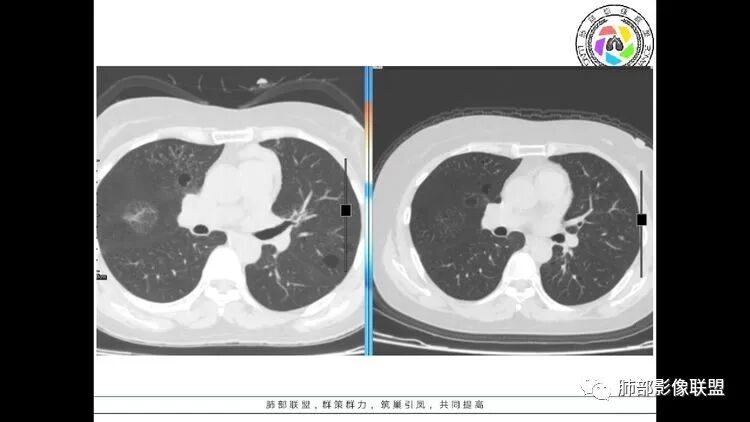
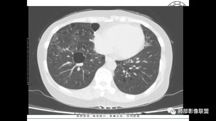
老年女性,眼炎入院,血常规正常,双肺多发囊状影,病变随机分布,形态单一,与血管关系密切,考虑LIP。左下肺混合GGO,边界尚清,贴近囊腔,鉴别腺癌。炎症指标无异常暂不考虑感染性病变。
张帅 
患者中年女性,以眼部症状就诊。
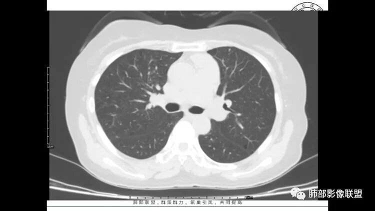
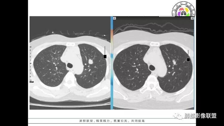
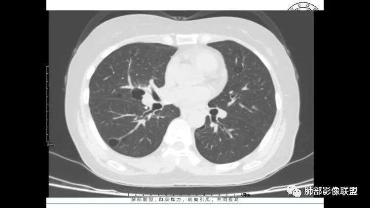
胸CT:1.双肺多发囊性变,以中下肺为主,病变边缘可见肺动脉,部分囊内可见分隔及肺动脉,双下部分肺野周围可见小叶中心结节及树丫征。
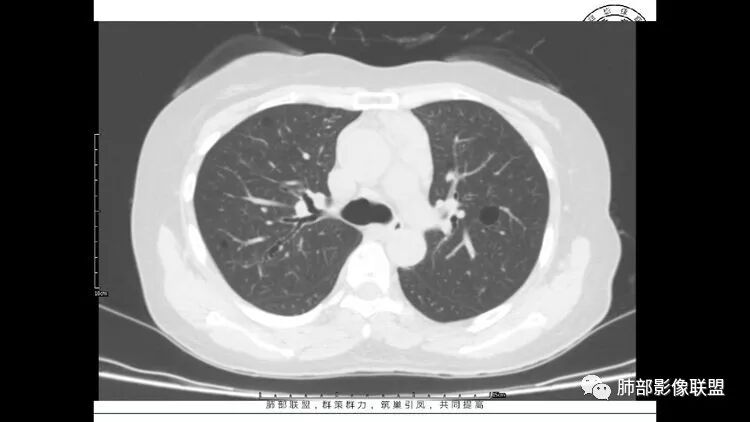
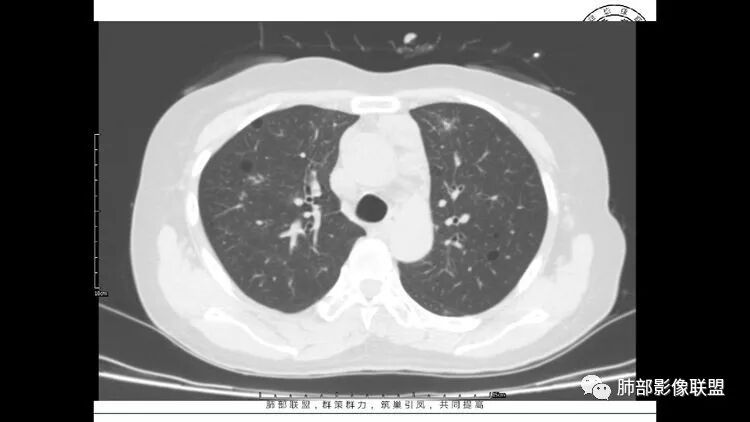
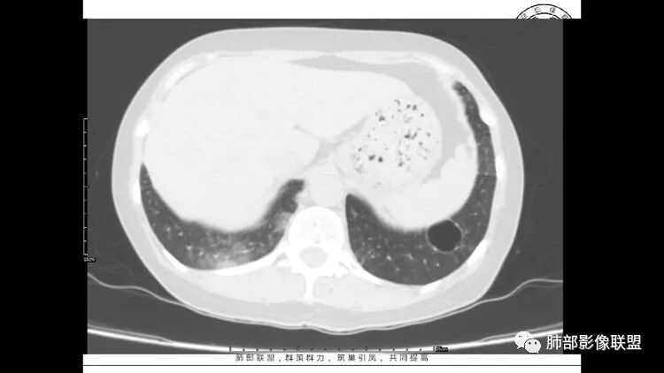
2 左肺上叶尖后段 右肺上叶前段 右肺下叶外基底段 结节影,边界清楚,可见柔软毛刺,左肺下叶后基底段混合密度影。
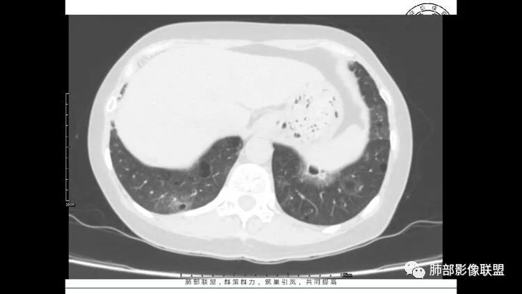
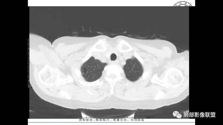
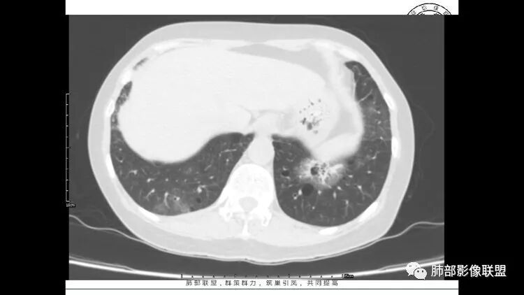
3.纵隔淋巴结肿大?,以主动脉弓为界向上向下增大。
考虑:淋巴瘤肺浸润,眼部症状考虑与此有关;LIP?;继续鉴别肺腺癌?血管炎?。
倏忽 
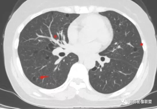
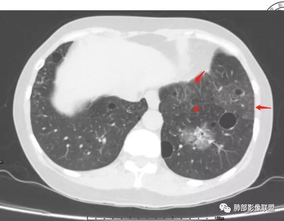
双肺多发磨玻璃结节,其内可见空腔,周围边界清晰,多发囊,左肺实性结节。考虑间质性肺炎,LIP可能性大。鉴别腺癌。
水晶石头 
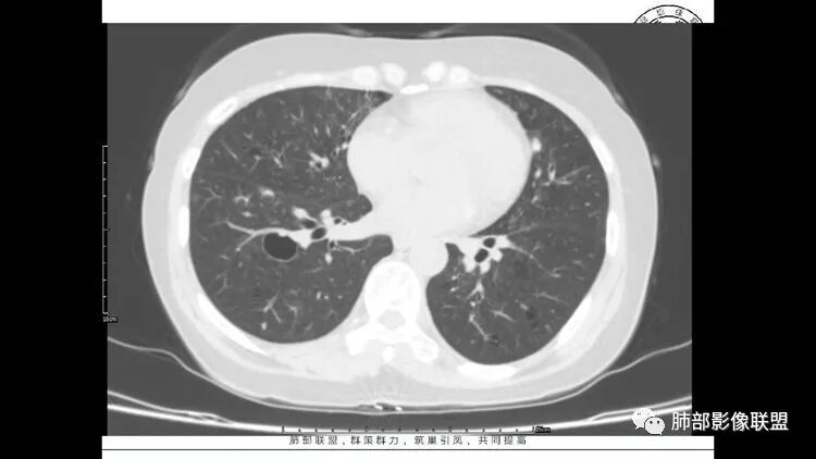
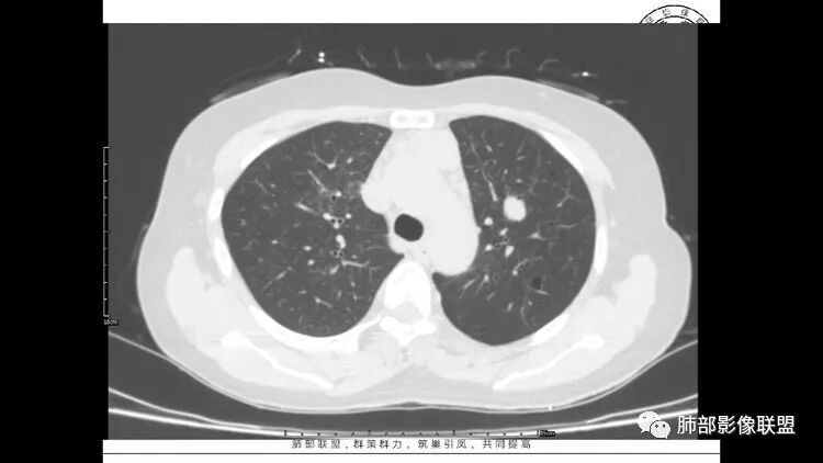
患者中年女性,因右眼红痛1天就诊。胸CT:双肺多发囊性变及结节影,囊以中下肺为多,部分囊内可见分隔及肺动脉,结节部分为实性,部分为混合性,边缘光滑,未见明显毛刺、棘突、胸膜牵拉及血管集束征象。双中下可见支气管扩张及树丫征。淋巴结无明显肿大。综合考虑:一元淋巴细胞间质性肺炎。多元鉴别肺腺癌并转移等恶性病变。
仲夏 
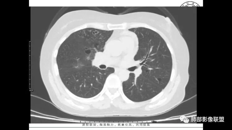
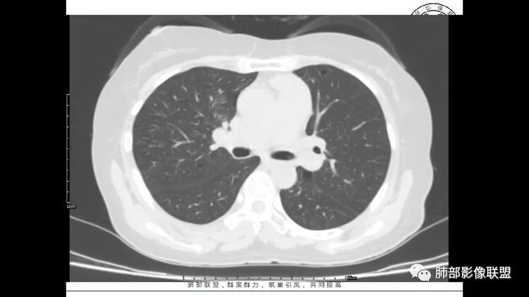
中年女性,双肺多发囊性变,以中下肺为主,病变边缘可见肺动脉,部分囊内可见分隔及肺动脉,左肺上叶较大结节,可见分叶、月牙铲,左肺下叶、右肺中叶磨玻璃病灶,边界清楚,内有空泡,结节,可见尖后段 右肺上叶前段 右肺下叶外基底段 结节影,边界清楚,纵隔淋巴结肿大,
考虑腺癌,淋巴管肌瘤病?LIP?
没意见 
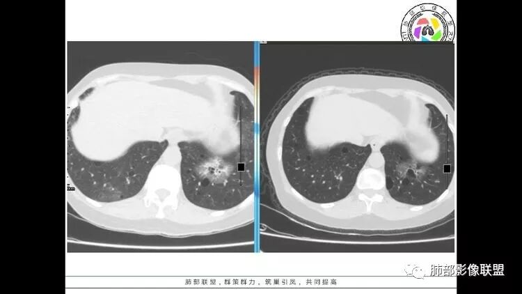
中年女性,因“角膜炎”入院,自用眼液2年,(眼干?)肺部:双肺多发类圆形薄壁气囊+实性结节+GGO,下肺分布为主,纵隔淋巴结肿大,考虑淋巴系统增殖,LIP可能性大,可能继发于干燥综合症;左肺下叶的混合磨玻璃结节形迹可疑,边界清晰,内部疑似空泡,扩张扭曲支气管,极像肺癌,伴双肺转移?待排吧
傅昌瑜
55岁女性,右眼红痛视力下降1天。既往有类风湿病史。两肺多发大小不等囊及结节,左下肺磨玻璃结节样病灶,纵隔占位。一元解释不了这么多不同病灶,二元甚至三元。纵隔恶性肿瘤并肺内转移?左下肺腺癌并肺内纵隔淋巴结转移?LIP?
wonderful 
多发气囊,气囊内可见血管进入,因患者眼干伴类风湿,可能有干燥综合征,那LIP可能性大。因为不是育龄期发病,可排除LAM。患者左纵膈淋巴结肿大,且有融合趋势,结合左下肺病灶,考虑合并恶性肿瘤,淋巴瘤?鉴别结节病
弹指之间 
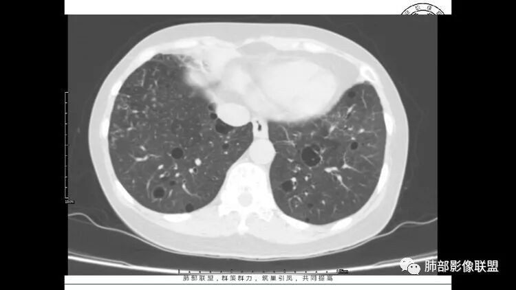
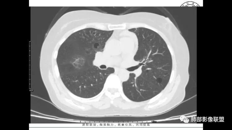
1.左下肺腺癌;2.两肺弥漫性病变(多发囊腔、部分囊壁不规则,分布无特异,结节,空洞,树芽征,GGO),结合眼部情况首先考虑LIP,不典型感染(病毒或其他)待排。
一米阳光
双肺多发囊性病变,右下肺结节伴树芽,左上肺结节影,边缘清晰,毛刺。有类风湿,及眼干病史。考虑lip,腺癌。鉴别血管炎。
lam育龄期女性多,双肺弥漫性囊性变。
plch吸烟男性上肺多见。
飞鹰行动 
双肺多发磨玻璃结节病灶,内见实性成分及蜂窝,小泡征,考虑腺癌,淋巴瘤待排除,双肺多发肺气囊,沿支气管血管束分布,双肺多发小结节,部分小叶中心分布、部分位于胸膜下,边缘模糊,符合LIP,综合考虑LIP合并淋巴瘤或腺癌
欧阳英 
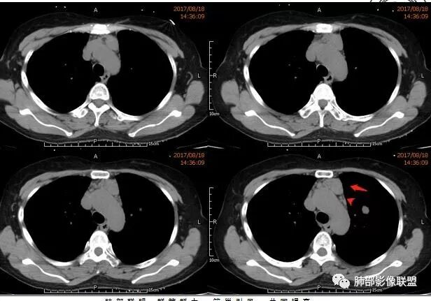
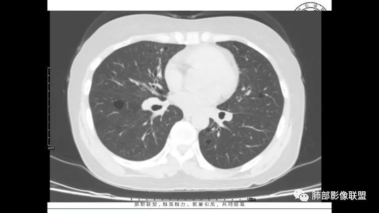
双肺多发囊性灶:多发肺气囊?lip?左上肺实性结节和下肺混合磨玻璃结节考虑腺癌可能,前纵隔多发结节:转移增大淋巴结?
没意见 
中年女性,因“角膜炎”入院,自用眼液2年,(眼干?)肺部:双肺多发类圆形薄壁气囊+实性结节+GGO,下肺分布为主,纵隔淋巴结肿大,考虑淋巴系统增殖,LIP可能性大,可能继发于干燥综合症;左肺下叶的混合磨玻璃结节形迹可疑,边界清晰,内部疑似空泡,扩张扭曲支气管,极像肺癌,伴双肺转移?待排吧
Shelia🌞 
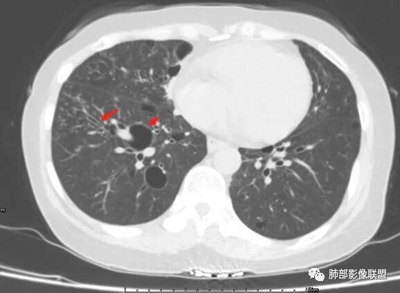
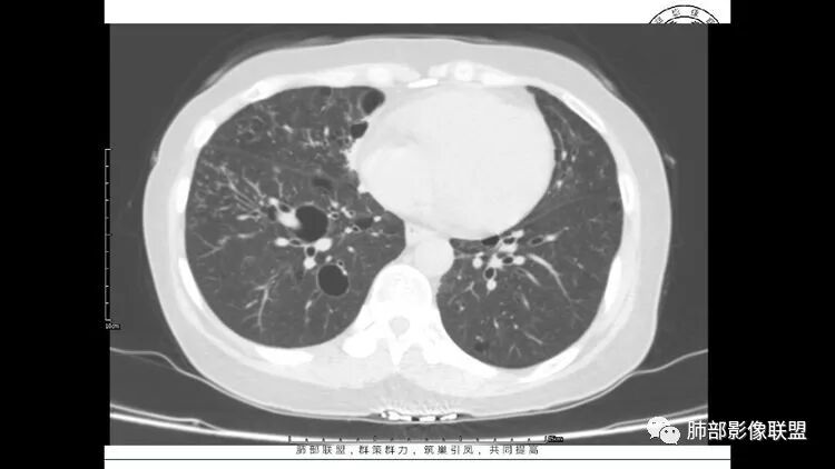
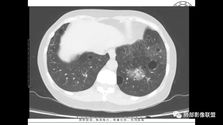
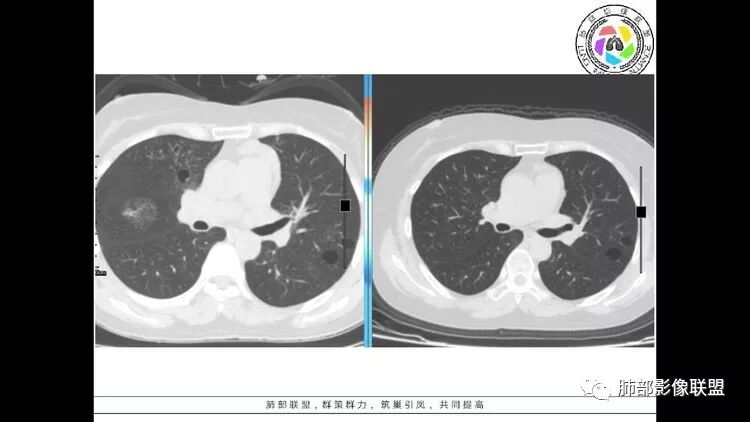
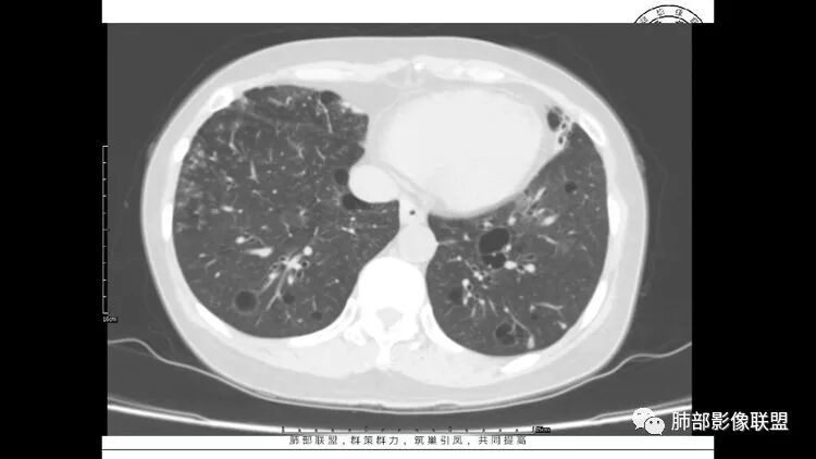
左肺下叶混杂密度病灶,其内可见空泡,周围ggo清楚,考虑浸润性腺癌。双肺散在多发薄壁囊腔和实性结节,以胸膜下及血管旁分布位于,气囊可见血管贴边征,双肺小叶间隔及中央间质增厚,局部可见磨玻璃影及树芽征,纵隔内淋巴结肿大,考虑LIP
综上,考虑左下肺浸润性腺癌+LIP
丽 
双肺多发大小不等囊腔,可见薄壁,部分囊腔内可见血管影,伴双肺多发结节,结合患者眼病及类风湿病史,考虑LIP可能大。另左肺下叶磨玻璃结节,边界清晰,内可见空泡,伴纵膈多发肿大淋巴结,不除外浸润性腺癌可能。
王江涛 
lip,腺癌,胸腺瘤?淋巴瘤?
张小兵
考虑肺癌并淋巴细胞间质性肺炎
彭君 
双肺多发囊腔伴结节 部分结节周围有晕 边缘清 前纵隔多发淋巴结增大 考虑lip伴淋巴瘤?
小赵 
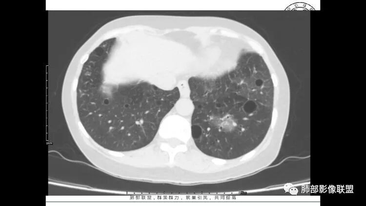
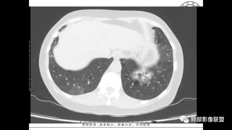
老年女性,长期使用激素史。双肺多发散在斑片状磨玻璃密度影及大小不等的薄壁含气囊腔,下肺相对较多较大。双肺多发结节,左肺上叶结节相对较大,界清,边缘光滑,分叶不明显。右肺下叶前外底段散在树丫。前上纵膈偏左侧不规则软组织团块,颗粒感,偏软。肺内囊腔及磨玻璃影考虑淋巴细胞间质性肺炎,或淋巴管肌瘤病。纵膈团块考虑淋巴管瘤。两者结合,考虑淋巴细胞增生病变。右肺下叶散在树丫,结核待排。双肺结节性质待定。
世态炎凉 
双肺多发囊性变及结节影,囊壁光滑,结节部分为实性,边缘清,未见明显毛刺、胸膜牵拉及血管集束征象。双中下可见树芽。考虑淋巴细胞间质性肺炎,鉴别肺癌恶性病变。
尘缘 
常规分析:右眼红疼1天,滴眼史两年,有类风湿病史,考虑有干燥综合征(SS)可能,需要了解自免抗体检测情况,双肺囊变需要考虑LIP,另右上叶前段GGO要鉴别腺癌或转移可能,右下叶背段多发树芽改变,双肺多发实性小结节,结核?左下肺混合性GGO考虑侵润性腺癌可能,双侧胸膜下多发结节,部分合并GGO改变,右侧腋窝及纵隔淋巴结多见,转移?最后问题来了,这个病人一元(腺癌合并转移,包括整个囊变,实性结节,胸膜下都是转移)?二元(LIP合并腺癌伴转移或者淀粉样变基础上的LIP)?三元(LIP+结核+腺癌伴转移)?
王秀仙 
双肺多发散在斑片状磨玻璃密度影及大小不等的薄壁含气囊腔,下肺相对较多较大。双肺多发结节,界清,边缘光滑,分叶不明显。右肺下叶前外基底段散在斑片树芽。前上纵膈偏左侧不规则软组织团块,密度不均,其内可见不规则纤维样低密度,周围簇状小淋巴结。考虑1淋巴细胞间质性肺炎。2考虑纵膈胸腺淋巴瘤。
南边分析
南边 :
老年女性
自己滴眼2年,提示病史比较长,可能炎症?干燥?
小叶中心囊+结节,中央间质增厚






GGO
前纵隔结节,附近小淋巴结


常规:小叶中心囊+结节,女性
LIP、LAM、LCH、BHD、恶性肿瘤
LAM:一般无结节
LCH:肋膈角区少,男性、吸烟史,不支持
BHD:家族史,皮肤、肾脏,囊一般较大,胸膜下为主
LIP:小叶中心囊+结节+间质改变;如果实变病灶较多,警惕淋巴瘤
恶性肿瘤:部分囊过于光滑,无壁结节,放待排
因此:LIP放前面
结果














总结
LIP概述
•LIP是一种良性淋巴增生性疾病,其组织学特点是成熟的淋巴细胞及浆细胞呈多克隆弥漫性间质浸润。它与滤泡性细支气管炎的区别是其异常并不限于气道。
•LIP特发性极为罕见,常继发于其他疾病,如干燥综合征及其他胶原血管病、先天性或获得性免疫缺陷疾病(如AIDS)、原发性胆汁性肝硬化、自身免疫性甲状腺疾病及多中心Castleman等。AIDS的LIP儿童多见,其它则成人多见,平均发病年龄50岁。
•主要临床症状为咳嗽及呼吸困难。
病因
•本病病因尚不明了。目前LIP的发病机理尚不清楚,但提出三种观点:
•  1.免疫系统非特异性刺激:有学者认为人类免疫缺损病毒(HIV)的慢性感染刺激机体导致淋巴细胞增生和浆细胞及网状细胞浸润。
•  2.特异性HIV刺激:有人报道在伴有LIP的AIDS(获得性免疫缺损病)患者的支气管肺泡灌洗液(BAL)中发现有HIV特异性抗原和抗体存在,而在其它肺部疾病或AIDS没有LIP的病人中未发现此种抗体,且一些病人用叠氮胸苷治疗后,肺部病变得到改善。
•  3.HIV和EB病毒感染的协同作用:通过HIV阳性的LIP和非LIP病人的周围血液EB病毒血清学检查进行比较,发现前者有早期的EB病毒抗体和EB病毒表面抗原的特异性抗体滴定度显著升高。有人在AIDS有LIP表现的患者的唾液和肺组织内发现有EB病毒-DNA基因组,且有明显升高的抗体滴定度,均表明最近有EB病毒感染的复发。应用自身杂交技术研究确诊为LIP的病人作单克隆抗体测定,显示LIP中间质的浸润主要由淋巴细胞组成,病毒学研究发现B淋巴细胞带有EB病毒基因,支持了这一观点。
           
 病理
•肺脏大体标本:弥漫性肺间质增厚并夹杂大小不等的直径小于5mm的黄棕色结节,坚实有如橡皮。结节有融合趋势。邻近气道和肺小动脉周围有明显的囊泡样或结节状浸润,沿肺静脉和淋巴管的肺叶间隔内也有结节。
•镜检:在肺叶间隔、肺泡壁、支气管、细支气管和血管周围见块状混合细胞浸润,以成熟的淋巴细胞为主,有时可见生发中心,未见核分裂。此外尚有浆细胞、组织细胞、大单核细胞及少量嗜酸性细胞和巨噬细胞等。在伴发血红蛋白异常的病例,以浆细胞浸润为主。细支气管处浸润的淋巴细胞聚集可引起局部支气管狭窄和阻塞,导致典型阻塞性肺炎表现,但气腔未受到浸润细胞的累及。在病变较严重区域,常见闭塞性动脉内膜炎。肺间质有多量网状纤维组织增生,形成纤维化,最后进展为蜂窝状肺。极少数病例合并结节状肺淀粉样变。




           LIP影像重要线索一句话:
双肺下叶分布为主的间质改变(磨玻璃影、小叶间隔增厚)、散在气囊影(常有血管贴边)、边界不清小结节
相关链接:淋巴细胞性间质性肺炎(LIP)
编辑:许建林
审核:冯连彩  徐  晓
病例提供:九江市第一人民医院影像科  於雄



到顶部