【每日晨读】经典再现,见之不忘(典型的肺内MALT淋巴瘤)!


放慢脚步,体味生活


极简生活
A GOOD LIFE
在忙碌的生活中,抽空让自己静下心来,读一段书中文字,或者停下脚步,留意身边的生活细节,看看每天经过却不曾留意的路边风景,会发现其实生活并不枯燥,它偶尔也是会带给我们小惊喜。

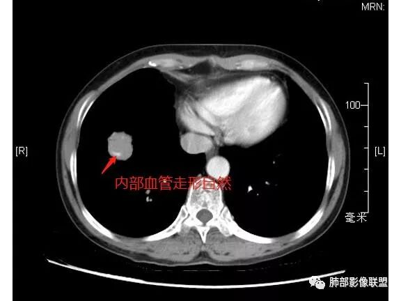
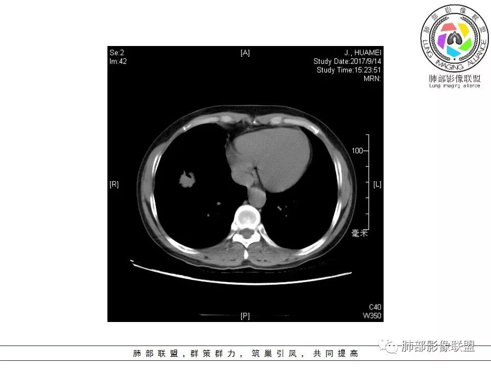
1.病例资料




























2.精彩讨论



笨丫头: 
晨读:右肺下叶肿块影,浅分叶,不均匀强化,有血管穿行其中,考虑肺癌,神经内分泌肿瘤可能性大。

市医院--时建文: 
右肺下叶结节,边缘毛糙,内支气管推移,有血管贴行,小细胞肺癌?

马春平(张家港市一院胸外科): 
晨读:右下肺前基底段支气管亚段分叉处占位,密度均匀、中度均匀强化,结节近边缘有支气管、血管穿行,结节边缘较光滑、有细短毛刺、无分叶,结节周围无卫星灶。考虑:PSP,鉴别:小细胞肺癌、不典型错钩瘤

没意见: 
内部支气管扩张,穿行血管形态自然,支持malt。

甄德强: 
中央有支气管穿行,PSP排除吧
轻度分叶,支气管穿行,轻中度强化,血管漂浮,考虑MALT

小微 : 
右肺下叶前基底段肿块,边缘不光滑,毛糙,内见充气支气管征,边缘有浅分叶,肿块周围无病灶,排除了结核。增强扫描明显强化,内见血管影,考虑恶性肿瘤。女性,腺癌多见。

杨泽锋: 
淋巴瘤与小细胞癌鉴别,纵隔内没有肿大淋巴结、结节边缘比较毛糙,淋巴瘤放第一位。

俞丽: 
病灶呈圆形,轻度分叶,内见血管及支气管影,考虑MALT。

彭君: 
右肺下叶前基底段结节 边缘磨玻璃密度较清 内部支气管扩张,轻中度强化 穿行血管形态自然,支持淋巴瘤。

小飞: 
晨读:右肺下叶肿块影,浅分叶,边界清,轻度均匀强化,血管自然穿行,NSE偏高,考虑小细胞肺癌!

崇军: 
中年女性,右肺下叶前基底段肿块,轻度分叶,有棘样突出,充气支气管征穿行并形成脐凹征。增强扫描中度强化,内见血管影,血管壁毛糙,考虑恶性,腺癌?小细胞肺癌?

丽: 
晨读,右肺下叶前基底段实性结节,边缘膨隆,可见多发浅分叶,结节内密度均匀,增强后呈轻度均匀强化,血管穿行走形自然,首先考虑恶性肿瘤,内有支气管穿行,淋巴瘤可能大,腺癌待排。

德芙~云味: 
右肺下叶肿块,边缘光滑,浅分叶,膨隆明显,局部有清楚的ggo,考虑恶性,类癌首可能,鉴别腺,PSP。

土娃: 
中年女性,右下类圆形肿块,部分膨胧,边缘浅分叶,脐凹,内见血管穿行,增强轻中度强化,叶间胸膜结节?考虑腺癌,内有支气管穿行,鉴别淋巴瘤。

一米阳光: 
右肺下叶肿块影,边缘光滑,彭隆,浅分叶,内见支气管通过,增强明显强化,内见血管影,考虑恶性肿瘤,神经内分泌癌,鉴别淋巴瘤。

小赵: 
中年女性,体检发现,病史及化验无特殊。胸部CT右肺下叶前基底段见一类圆形结节,边界清楚,分叶不明显,边缘呈锯齿状改变,病灶内支气管穿行,无扩张及扭曲,增强扫描病灶明显均匀强化,内见穿行血管影,走形无扭曲。考虑粘膜相关性淋巴瘤可能。鉴别炎性假瘤、腺癌及小细胞癌。

张帅: 
患者中年女性,因“体检发现右下肺占位4天。”入院,肿瘤标记物NSE轻高。
胸CT:右肺下叶前基底段占位性病变,内可见支气管穿过,病灶边缘不规则,呈浅分叶,未见明显毛刺。纵隔窗可见病灶密度相对均匀,增强可见病灶强化,内可见血管增粗,边缘模糊,总体考虑恶性,腺?。良性疾病鉴别错构。

Shelia??: 
右下肺类圆形实形结节,边缘膨隆,浅分叶,其内可见支气管及血管影走行,轻度强化,考虑恶性病灶,淋巴瘤?类癌?

初学者: 
边缘彭隆,还是考虑肿瘤,支气管通入,肺内原发,支气管自然穿行稍扩张,血管比较自然同行,漂浮征,增强后整个比较均匀无明显坏死,淋巴瘤首选。恶性应该没有问题,建议穿刺。


南边老师分析
这个病灶边缘还是有一点点恶性征象,有分叶,似乎有点地方还有一些小毛刺样感觉
部分区域整体以膨隆为主,部分区域稍收缩
内部支气管走形非常自然,达远端稍扩张;内部血管穿行也非常自然

内部密度比较均匀,我们一般来说,首先良性肿瘤不支持,因为它里面的血管走形太自然了;然后就是炎性病变跟恶性肿瘤,但是它的边缘膨隆比较厉害,有些地方还毛刺,不是很清楚,倾向一个恶性病变
恶性的血管穿行自然,包括支气管稍扩张,最常见还是淋巴瘤,它强化比较均匀;
粘液腺癌一般支气管扩张比较罕见,这个密度及强化太均匀,不是很符合,所以把淋巴瘤放前面,癌待排;
方向定在恶性的,炎性病变不是很符合

3.病理结果
1
结果:粘膜相关淋巴组织结外边缘区B细胞淋巴瘤


肺淋巴瘤
     淋巴瘤为一组原因不明的累及全身淋巴网状系统的以淋巴组织过度增生为特征的恶性免疫细胞性肿瘤,病理上分为非霍奇金淋巴瘤(NHL)和霍奇金淋巴瘤(HL);肺内淋巴瘤是指淋巴瘤的肺内浸润,总共有4种:原发性肺淋巴瘤(PPL)、继发性肺淋巴瘤(SPL)、获得性免疫缺陷综合征相关淋巴瘤及移植后淋巴增值性疾病。
    原发性肺淋巴瘤(PPL)是指肺实质或支气管的淋巴组织异常增生,侵犯的主要对象就是肺间质和支气管粘膜下组织,无纵膈、肺门及其他部位的淋巴瘤,在发病时或者确诊后3个月内没有肺外病变的证据,是结外肺淋巴瘤的一种罕见类型,而PPL最常见的就是结外边缘区黏膜相关淋巴瘤组织(MALT)淋巴瘤,其次是弥漫大B细胞淋巴瘤。
    MALT淋巴瘤是起源于支气管相关淋巴组织低度恶性小B细胞淋巴瘤,是NHL的一种亚型,该病进展缓慢,临床症状无特异性,偶有咳嗽、咳痰等症状,预后较好。
肺内淋巴瘤的影像学表现
  肺内淋巴瘤的影像学表现形式各样,总共有五种类型,⑴结节肿块型、⑵肺炎肺泡型、⑶间质型(支气管血管淋巴管型)、⑷粟粒型、⑸混合型(多种形态并存),不过小编认为分型只是对于病灶形态的描述,很多情况下多种类型并存,但是除了粟粒型分型影像没有什么特征性,其他类型他们的影像都具有一些主要的特征性表现,现在我们具体来分析一下:
病灶分布:因为肺内淋巴瘤主要侵犯对象是肺间质和支气管黏膜下组织,病灶主要位于在沿支气管血管束分布、肺间质及胸膜下,病灶可跨叶分布
病灶的密度:密度均匀,部分病灶内可见空洞及气液平,轻中度均匀强化
病灶的边缘:有膨隆,浅分叶,也有平直、收缩,平直收缩是因为肿瘤组织浸润致肺泡塌陷及周围纤维组织增生,牵拉正常的肺组织向病灶中心形成聚拢状改变,似呈“炎性”改变。
支气管充气征伴或不伴支气管扩张:肿瘤细胞沿肺间质及支气管黏膜下组织浸润,支气管管壁未见明显破坏,管腔内未见肿瘤细胞充填,呈现充气支气管征;充气支气管走行自然,无扭曲、僵硬,内壁管腔光滑,支气管管壁见增厚并常有管腔的扩张,含气支气管可呈串珠样不均匀扩张,扩张明显处呈空腔样或皂泡样的囊状含气影;支气管扩张目前有两种意见:一是由于肿瘤组织起源于肺间质,肿瘤沿或跨越脏器解剖结构生长,原有解剖结构残留,周围增生的纤维结缔组织牵拉导致支气管扩张;二肿瘤侵犯支气管粘膜下植物神经丛致平滑肌张力丧失;而这类支气管扩张在肿瘤治疗后有时可消失。
血管造影征:肿瘤组织浸润引起间质增厚、肺泡壁破坏、肺泡腔充填,而周围充盈血管走行自然,未受肿瘤侵犯。
间质性改变:多位于病灶周围,可见边缘磨玻璃密度影或晕征及树芽征象,周围组织间质增厚并且有结节感,病理基础为肿瘤细胞浸润细支气管周围间质及肺泡壁。
肺内黏膜相关淋巴组织淋巴瘤(MALT)
     MALT淋巴瘤为低度恶性肿瘤,是肺内原发性淋巴瘤中最常见的类型,其部分征象与其他肺内恶性淋巴瘤表现不一样;因为MALT淋巴瘤生长缓慢,对缺氧耐受好,病灶中罕见坏死。很少引起胸内淋巴结,肺门及纵膈内淋巴结一般不肿大。胸膜及叶间裂轻度累及或不累及,胸膜增厚少见,胸膜外脂肪间隙清晰,即使累及胸膜,引起胸腔积液也少见,如有胸腔积液也多为良性,与淋巴管或静脉阻塞有关,也可能为病变靠近胸膜而发生的反应性渗出。肺MALT淋巴瘤具有一定的散播性,就诊时40%以上的病人存在肺外器官受累,最常见的肺外器官受累是胃。
     MALT淋巴瘤大多数预后较好,多见于50岁以上的中老年人,长期的慢性感染、自身免疫性疾病(如干燥综合征、类风湿性关节炎、系统性红斑狼疮等)导致自身免疫能力降低,从而刺激支气管粘膜,引发淋巴细胞增生、浸润,可以导致MALT淋巴瘤。有人认为部分MALT淋巴瘤是由于淋巴细胞间质性肺炎(LIP)进展来的,而LIP是继发于干燥综合征等疾病;部分MALT淋巴瘤可向弥漫性大B细胞淋巴瘤转化。


病例小结:如临床症状轻,肺内多发或单发的结节、肿块及实变,沿血管支气管束、肺间质及胸膜下分布,密度及强化均匀,伴支气管充气征,支气管可扩张,血管造影征,周围有间质性改变,有炎性特点(平直、收缩、周围晕征及树芽),又有肿瘤特点,纵膈及肺门未见肿大淋巴结,没有明显胸膜增厚及胸腔积液,尤其是影像相对稳定,都要想到这个肺黏膜相关淋巴组织淋巴瘤的可能;回顾性分析本病例,还是很符合MALT淋巴瘤影像表现;但是这个患者的NSE轻度升高,使很多群友都想到了小细胞肺癌、类癌的这些神经内分泌肿瘤;神经元特异性烯醇(NSE),是小细胞肺癌、类癌还有其他神经内分泌肿瘤的特异性和敏感性较高的肿瘤标志物,正常值为0-16ng/ml,但是此患者NSE值为17.1ng/ml,为轻度升高;如果在小细胞肿瘤和神经内分泌肿瘤中,NSE是成数十倍的增高,恶性肿瘤的可能性就比较大。如果是轻度升高,诊断神经内分泌肿瘤意义不大,而且里面的支气管充气征伴扩张都不大符合小细胞肺癌和类癌的影像表现。小细胞癌常进展迅速,转移早。

●通过多个病例,求同存异,探寻肺部淋巴瘤的征象,精彩不容错过!
● 参考书籍   肺部疾病临床与影像解析 主编 张嵩
END
编辑:蔡笑燕
审核:冯连彩  徐   晓
病例提供者:江苏省江阴市中医院 李易航


到顶部