【每日晨读】炎症还是肿瘤——谁是谁非


2019.08.30晨读病例:
病史
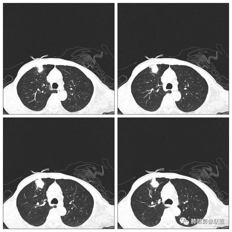
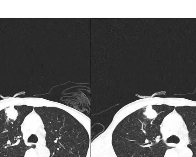
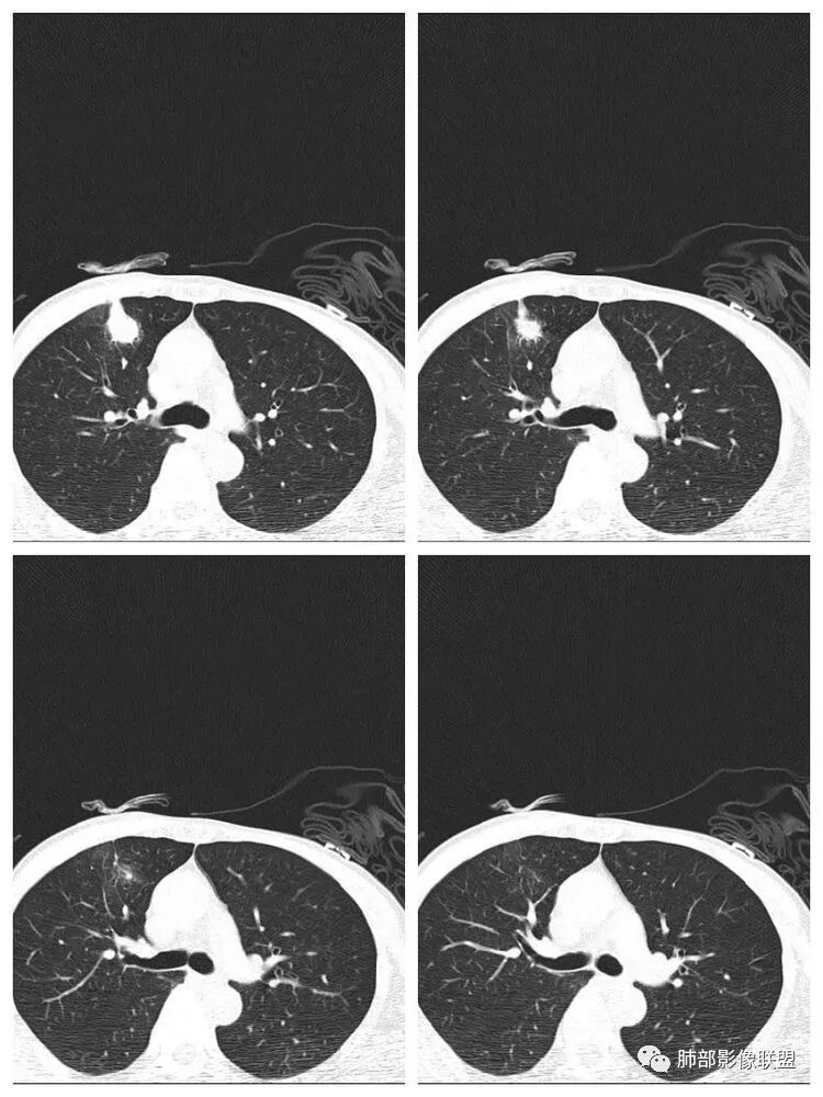
患者男性,70岁;既往有高血压病病史,还有冠心病病史;不嗜烟酒;因头昏入院,查胃镜病理提示鳞状细胞癌,胸部CT提示右上肺占位性病变。








马春平(张家港市一院胸外科):晨读:结核干酪样结节doctor:有胃鳞癌病史,肺考虑转移?凝睦:右肺上叶前段结节,有分叶,远端阻塞炎症,考虑原发肺癌小微:右肺上叶胸膜下结节,有分叶,毛刺,与肋骨关系密切,老年人,有胃鳞癌病史,首先考虑肺转移。再分析是否原发鳞癌。bk:右肺上叶前段结节,有分叶,毛刺,局部累及胸膜,隔窗的可见类圆形低密度,没有增强图像,考虑鳞状细胞癌,鉴别诊断结核。穿越七海的风:老年男性,胃镜鳞癌,活检位置在哪?肺内占位可见分叶,毛刺,胸膜凹陷,考虑原发肺癌,不像是转移市医院--时建文:右肺上叶结节,血道?有分叶,毛刺,与肋骨关系密切,老年人,有胃鳞癌病史,肺转移?大雄:这类不规则实性肿块,良恶性不特别典型的,老年男性,无论有没有恶性肿瘤病史,首先都需要排除恶性可能。张帅:老年男性,右肺上叶前段结节样病变,与胸膜宽基底,病灶边缘软毛刺,病灶边缘可见细支气管,病灶内可见低密度区,周围未见卫星灶,总体考虑良性病变,局灶机化性肺炎?肉芽肿性病变?小监:老年男性,胸部CT示右上占位,可见脊突,毛刺,分叶,有血管进去,考虑肺原发腺癌。没意见:右肺上叶结节,形态不规则,周边可疑有磨玻璃渗出,膨隆明显、分叶、毛刺,部分与胸膜相连,呈楔形,无树芽索条空洞,影像资料资料少,无增强,考虑恶性可能性大,结合老年,消化道鳞癌病史,不除外转移HP:右肺上叶前段肿块,界清,有毛刺胸膜牵拉及分叶,病灶膨隆感(部分有收缩力),内部似有坏死?良恶性征象都有~整体倾向良性病变,但患者老年男性且有胃癌病史,进一步强化CT肺穿刺除外肺癌可能弹指之间:老年男性,右肺上叶前段结节样病变,与胸膜宽基底,病灶边缘不规则,边缘可见细支气管、少许渗出,病灶内似见低密度区,总体考虑良性病变,结核肉芽肿病变?局灶机化性肺炎?有胃癌病史,转移不排除甘丽杏:单个没做强化的结节,太难判断,只能结合病史了,病灶膨隆,中间有坏死,考虑鳞可能大。炎性假瘤以及机化伴坏死待排。看图说话:右肺上叶胸膜下结节,周围有磨玻璃影,边缘模糊,有分叶,毛刺,邻近气管似乎中断,病灶内有坏死,恶性,考虑鳞癌,有胃鳞癌病史,不除外肺转移。李:小的结节,如果鳞癌坏死病灶有点小,其他肿瘤特征也不明显,考虑炎性假瘤一切∮随缘:右肺上叶胸膜下孤立性肿块,形态不规则,边缘毛糙,有脊状凸起,密度均匀,似有牵拉胸膜,缺少增强,信息有点少,临床有胃癌病史,首先考虑:转移,鉴别肺原发性腺癌果哣.:患者男性,右肺胸膜下一结节,形态规则,与胸膜宽基底黏连,周围软,粗,细长毛刺,纵膈无淋巴结肿大,考虑良性病变。小飞:右肺上叶胸膜下结节,密度不均,边缘可见细软毛刺,周围少量磨玻璃,边缘垂直于胸膜面,考虑炎性肉芽肿?转移不除外!毛勤香:右肺上叶前段胸膜下肿块,膨隆为主,周界模糊,邻近气管似有截断,显示不是太清楚,血管稍增粗,感觉毛刺偏细软,胸膜稍牵拉,肿块内似乎有坏死,没有增强和重建,所示层面淋巴结肿大不明显,老年男性,无烟酒嗜好,轻度肺气肿,有胃鳞癌病史,首先我会考虑炎性肉芽肿,代排鳞癌,如果肿瘤,会先考虑原发,建议完善增强和重建。彭君:老年男性,右肺上叶前段结节,胸膜面相对宽基底,周围有边界不清的磨玻璃,其内有坏死,前段支气管远端可疑堵塞 近端支气管管壁增厚 纵隔多发小淋巴结 先考虑炎性肉芽肿,鳞癌待排 增强鉴别李双喜:隐球与恶性鉴别,老年男性,有胃部鳞癌病史,支气管观察不理想,似乎是在开口处截断,在老年人,还是肿瘤较隐球更常见,首先考虑恶性,转移性鳞癌可能性大,其次隐球感染,建议首先支气管重建,明确有无堵塞,然后增强及完善隐球夹馍抗原检测
傅昌瑜:老年男性,有胃部鳞癌病史,右上肺胸膜下结节,整体感觉结节长轴与胸膜垂直,见分叶,似有支气管截断,首先考虑恶性,不吸烟,近心侧见晕征及毛刺,原发腺癌可能性大>转移癌采莲:右肺上叶不规则结节,边缘有细毛刺,边缘平直凹陷为主,局部稍膨隆,炎性肉芽肿?op?鉴别肺癌。Coke with ice:长轴沿支气管血管束分布,形态欠规整,不考虑转移。毛刺比较软,有的地方打弯了。病灶较大,收缩力弱,糊墙,周围模糊晕,无增强,目测坏死不明显,倾向于炎性肉芽肿。我觉得隐球菌和结核都不是。滴水海:炎性病变,平直,桃尖征,晕模糊,软毛刺生来征服~浪子:右肺上叶软组织密度影,平直凹陷及彭隆征像俱有,边缘毛刺偏软,周边磨玻璃边界模糊,整体炎性征像多于恶性征像,首先考虑炎性病变。
南边老师的剖析
南边:患者男性,70岁;既往有高血压病病史,还有冠心病病史;不嗜烟酒;因头昏入院,查胃镜病理提示鳞状细胞癌,胸部CT提示右上肺占位性病变。
老年男性,有胃癌可惜没增强南边:常规:1、转移瘤2、肺癌3、炎性病变为啥考虑炎性?小赵:局部边缘平直南边:

南边:有密度差,外围密度高
南边:

南边:宽基底与胸膜相连桃尖征、U型凹陷、刀切征密度均匀,按理这一部分就是典型的炎性病变的特点
这一部分如何分析?
南边:周围晕、细微毛刺都属于炎性特点这一部分单独拿出来类圆形,边缘光滑,按理恶性特征不明显;但是加在一起,转移瘤就不排除总体倾向于炎性,转移瘤不除外
南边:
这里毛刺还是粗
转移瘤不能排除
如果增强,看低密度区强化边缘形态可以有帮助
内壁不光滑,无连续强化就高度考虑恶性
南边:就目前的征象符合炎性,我认为炎性病变一定有但是有部分边缘膨隆,恶性不能排除,等炎性吸收后看看,或穿刺血管纠集南边:
南边:我们担心的,它是在一个转移的基础上,还有合并有炎症,担心这个隐藏在其中,因为它这个边缘,是不是很清楚光滑哈,但是我们都记得转移瘤,他很多都是边界清楚光滑的,对不对。就觉得,中间这个结节跟周围的病灶好像形态、密度各方面都不一致的。我就担心它是一个转移瘤,合并感染,周围炎性病变,中间是一个转移瘤结节这样的就麻烦了。所以常规我会建议他抗炎治疗后复查。看看那个残留的病灶怎么样,本质是如何,要么穿刺,这个病变我只能说炎性它一定有。南边:里面那个病灶就是那个类圆形的病灶,跟外面那个肯定是不一致的,就那个类圆形病灶,到底是一个转移瘤,还是单纯炎性病变的部分。目前这个片只能等复查,毕竟边缘是膨隆的,而且我们刚才也说了,转移瘤的特点,如果血道转移,他就是边界清晰光滑的。所以成这样,有这么巧的话你就没办法。南边:关于血管纠集,它就这样的,炎性病变也可以这样表现,牵拉过来,原理不同,但是影像表现已经表现很类似,我们往往关注支气管。支气管进入这个病灶的表面的时候是否堵塞,或者血管,进入这个病灶里面,是否走行是否自然;这些这些可能价值大一些,但是他是不是一个恶性征象,是;但是它的比例就是在炎性病变也不低。原发呢,不敢说没有,但是一般来说几率偏低吧。
结果:活检病理:右上肺肺泡慢性炎;肺泡腔内纤维素样渗出伴出血。
病例点评:
1.胸膜下不规则结节影,密度不甚均匀,有浅分叶、长毛刺,周边有磨玻璃晕。
2.有胸膜牵拉,尽管收缩能力不强。支气管相关(有细小支气管止于病灶内侧),加之病灶孤立、边界不清带晕,这些都不是血道转移病灶的特点。
左锁骨上及纵隔未见肿大淋巴结,注意这是胃癌的淋巴转移路径。
3.病灶没有新旧不等、没有高密度,没有卫星灶,结核的支持点也不多。
 
综上,更支持慢性炎性病灶。隐球菌感染不能排除,无论是影像特点,还是患者不相关的临床表现。
编   辑  龙   辉审   核  冯连彩  徐   晓病例提供者:如皋市中医院 周翔

END
到顶部