【每日晨读】肺泡蛋白沉积症(PAP)知多少



点击上面“蓝字”关注我们!


肺泡蛋白沉积症(PAP)
01
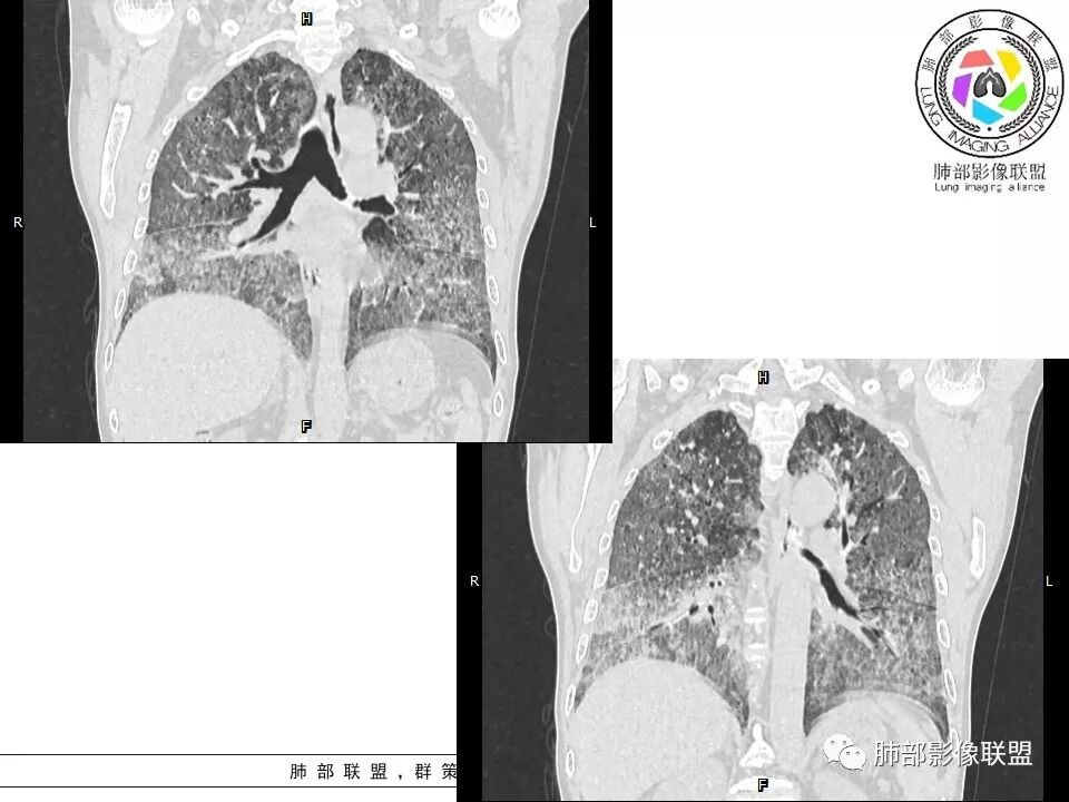
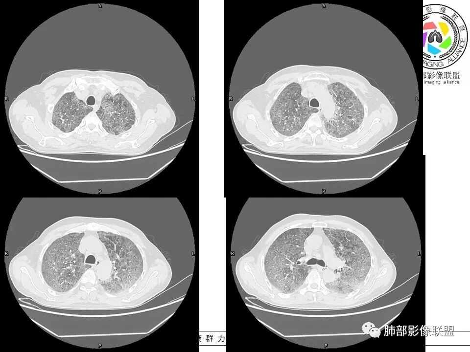
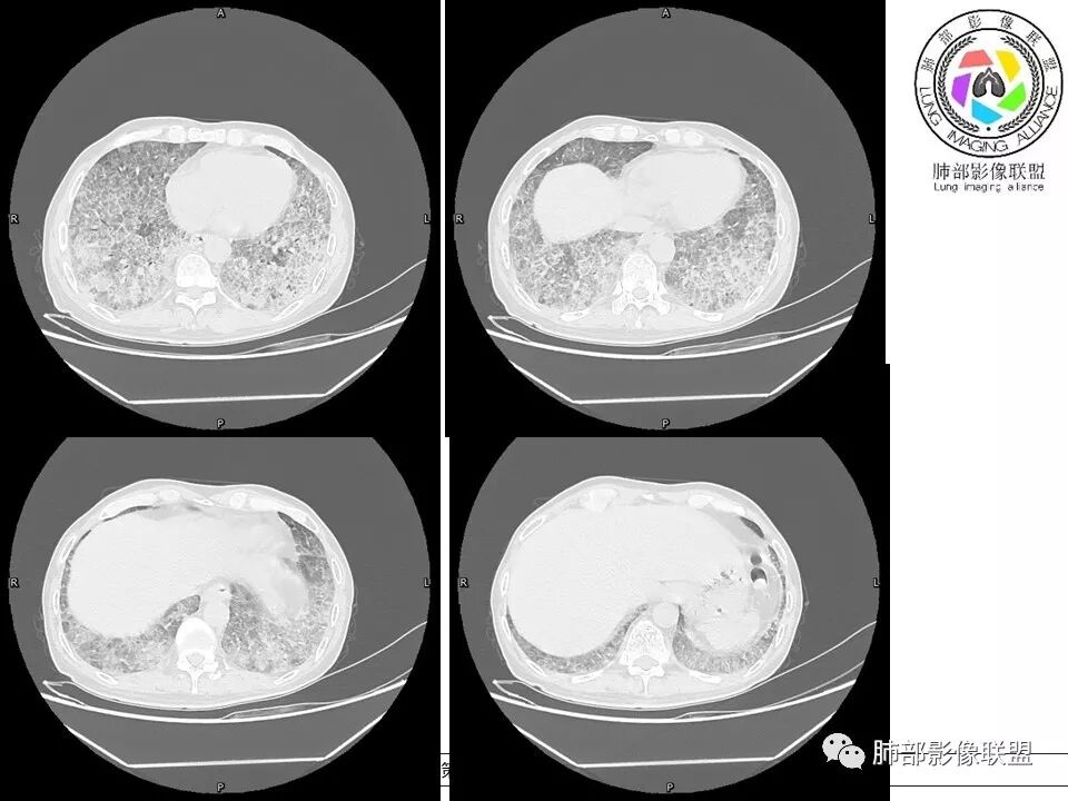
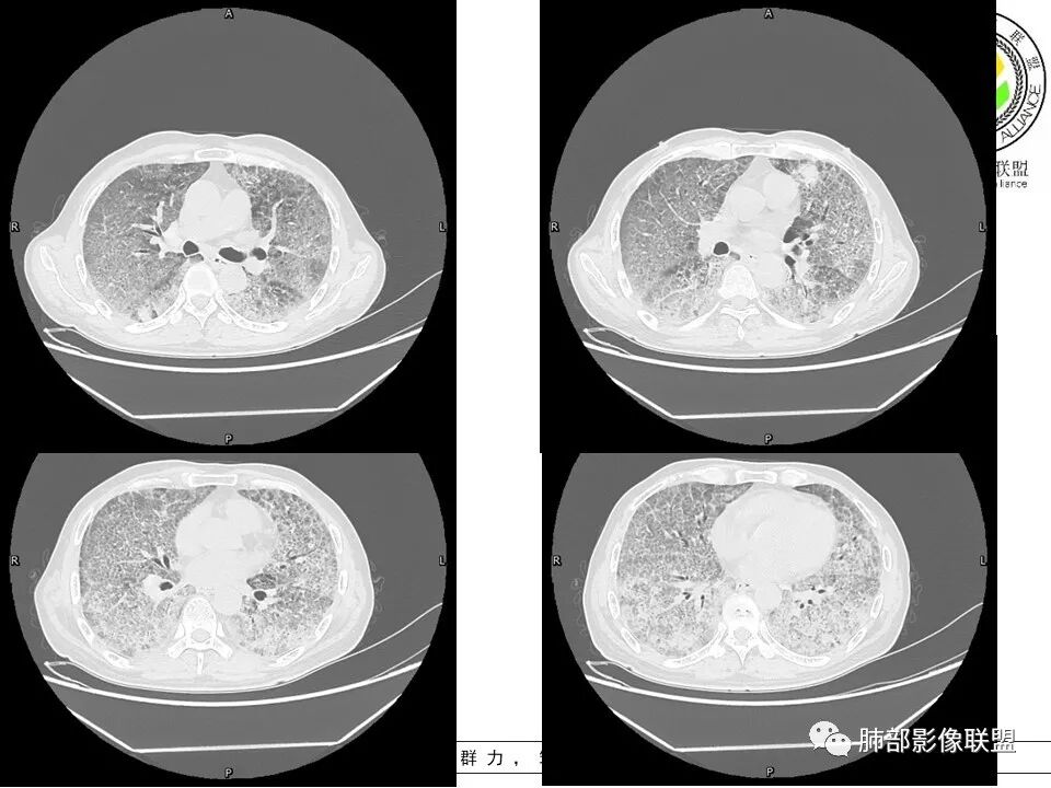
病例部分















02
讨论部分
徐婕:双肺弥漫磨玻璃,铺路石,部分斑片实变。病程一年,血白细胞增高,考虑肺泡蛋白,合并双肺感染?鉴别腺癌
八爪:弥漫分布磨玻璃密度影,小叶间隔增厚,典型铺路石征,考虑PAP伴发感染性病变,鉴别特发性间质性肺炎,弥漫性腺癌,建议支气管灌洗;左肺上叶舌段不规则团片状阴影,显示不清,密切随访
笨丫头:双肺弥漫磨玻璃影,间质性改变,既往有煤炭工作史,考虑尘肺,左肺占位,边界不清,不除外合并肿瘤,腺癌?
老陈:小叶间隔明显增厚,CEA升高,肺癌,淋巴管炎。
小谢:慢性病程,无发热,双肺弥漫性病变,GGO,铺路石征,首先考虑PAP,鉴别肺腺癌
Yiren  Sishui(厶水伊人):考虑PAP,不知道含铁血黄素沉着症如何表现
小微:双肺弥漫磨玻璃,铺路石,部分斑片实变,左肺上叶前段结节影。病程一年,血白细胞增高,肿瘤标志物增高,腺癌合并双肺感染。
maybe:考虑肺间质合并肺实质病变从临床上来看,血氧,二氧化碳分压都低,表明通气和换气都有影响,可能有过度通气,但是呼吸频率不高,不知道是不是记录不准确;白细胞,中性粒很高,反复咳黄痰,表明细菌类感染可能性大,左上肺舌段不排除脓肿,建议增强;既往有尘肺高危因素,双肺间质增厚并弥漫分布GGO ,但是下肺分布多于上肺,考虑在间质基础上合并有实质病变,肺克感染待排;男性,CA 153 和CA 125增高,提示腺癌可能,不除外转移
一米阳光:中老年男性,病程长。双肺弥漫性ggo,小叶间隔明显增厚,铺路石样改变,考虑PAP,鉴别pcp。建议支气管镜检查并灌洗。病史有尘肺接触史,排除尘肺合并结核
我心飞翔:中年男性,双肺弥漫磨玻璃影,铺路石征,病灶内可见扩张支气管,CEA高,血象高,黄痰,考虑PAP并感染,腺癌待排

李晓庆:双肺弥漫性病变,倾向于感染性病变
蔣勝華:双肺弥漫性病变,考虑PAP,左肺上叶舌段病变注意排除腺癌
郑氏刀刀:双肺弥漫性磨玻璃影,伴铺路石征,下叶为主,且见斑片实变影,白细胞高,结合执业史,尘肺,PAP伴感染,腺癌待排。
小景:双肺弥漫磨玻璃影,小叶间隔增厚,呈碎石路征。患者粉尘接触史,考虑PAP。左肺舌段病灶,抗感染无吸收,腺癌待排。
亚东:弥漫性病变,煤矿病史,尘肺有,我们山西的的尘肺很多,但是结节要比这个清晰。此例小叶间隔增厚,分布有重力作用。考虑尘肺合并感染。抗炎后复查,
王开金江津中心医院呼吸科:中年男性,矿工史,以咳嗽,咳痰,呼吸困难主演症状,白细胞及中性粒明显升高,间质背景下双肺多大大小不等结节,叶间列更明显,考虑尘肺合并感染。
ZZ&TJL:病程长,症状相对较轻,双肺弥漫病变,小叶间隔明显增厚,但较为光滑,PAP可能性大,PAP极易合并感染,进一步支气管镜灌洗+pAS染色应该有助于确诊
长沟流月去无声:有职业性工作吸入史,但影像未见典型尘肺病表现(可能防护较好),中年男性,慢性咳喘,抗感染乏效,肿标CEA较显著升高,影像弥漫GGO+网格,全肺呈“铺路石征”,中下肺另有结节斑片影像。综合考虑:PAP和弥漫肺腺癌影像存在重合,病理确诊。
小赵:中老年男性患者。慢性病程,多次咳黄痰,治疗效果一般,反复发生。CT表现为双肺弥漫磨玻璃样改变,并呈细网格样铺路石状改变,上下肺无明显差异。双下肺为主多发渗出实变,边界不清,抗炎治疗后病变吸收不明显,局部似有进展。考虑肺泡蛋白沉积症基础上合并感染。肿瘤标志物高,中老年患者,肺炎型肺癌不除外。

03
南边老师病例分析
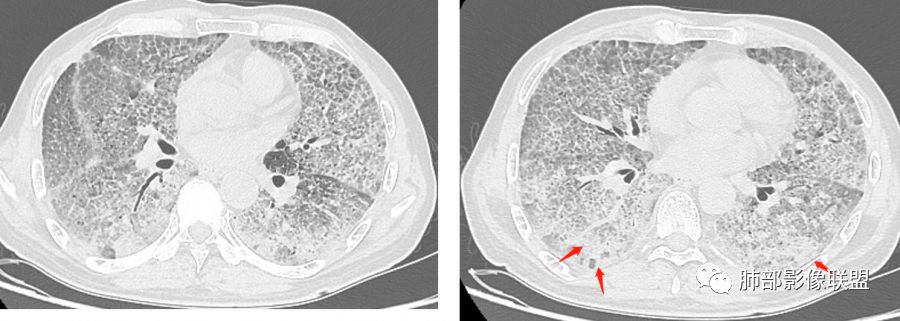
南边:
上肺为主小叶中心型肺气肿——吸烟
碎石路征,下肺为主


肺部结节

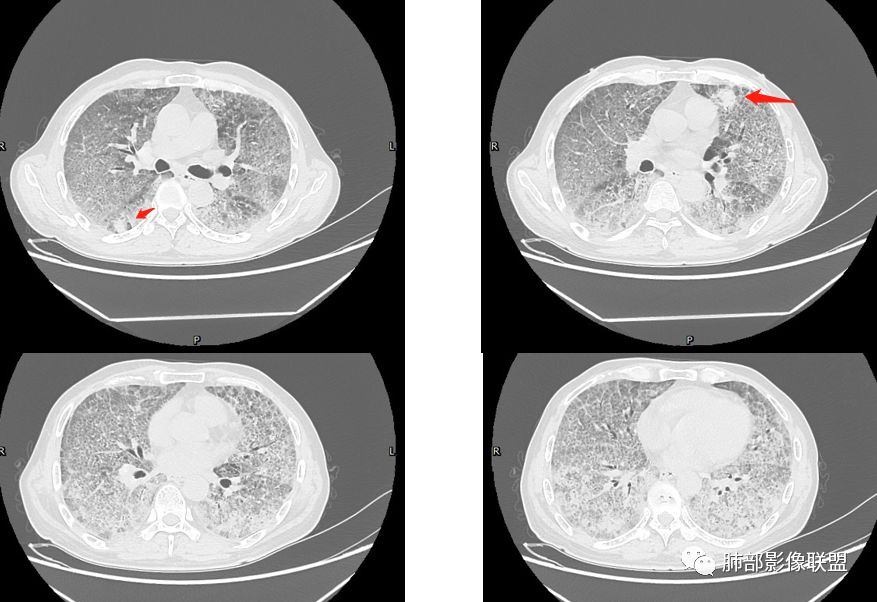
左上叶斑片状高密度影

肺血坠积

临床:肿瘤标志物高、白细胞高
存在肺炎吗?
1、PAP符不符合?
2、多发结节:是否存在尘肺?
3、左上叶斑片状高密度影:感染?肿瘤?
4、双侧小叶间隔增厚:是否考虑CA?

PAP应该有
结节如何解释?
大家看过两肺布满的PAP?
感染也应该有
现在就是癌考不考虑,肿瘤标志物高
双侧小叶间隔增厚、对称
二元论吧
如果说腺癌,似乎没找到原发病灶
如果有旧片就好了,对比一下,可能更好分析
总结:
南边:只有GGO+网格(小叶间隔增厚),然后就是分布的问题
PAP的影像特点:
1、GGO+网格——碎石路征
2、分布无特定位置,较随机
3、可有少许实变——部分与层厚有关
4、小叶间隔内静脉增粗
5、病灶较多时部分可见重力趋势
6、很少有纤维化改变
04
病例结果

05
铺路石征影像与病理:
幻灯来自铺路石征的影像诊断及鉴别---孙小丽





关于肺泡蛋白沉积症
 
肺泡蛋白沉积症(PAP)罕见且病因不明,是一种富含磷脂蛋白物质沉积肺泡腔的肺弥漫性病变,称之为“脂蛋白沉积症”就简单了。肺泡壁、支气管壁及血管结构很少破坏。
这是II型肺泡细胞产生的磷脂与肺泡内的蛋白质的结合物,一般认为这种脂质代谢障碍主要与清除能力下降有关。该物质过碘雪夫染色(PAS)阳性。
 
1.由于脂蛋白的沉积和占据,肺泡腔含气量减少,这是影像上较大范围“磨玻璃影”的基础。
2.由液体、细胞浸润和纤维组织造成的小叶间隔增厚是影像上多边形“铺路石征”的基础。
3.显眼的小叶间隔对病灶有阻挡作用是形成影像上“地图样改变”的基础。我们观察到的病灶与临近相对正常肺组织之间常常有比较清楚的分界。
这种表现颇具特征性。但有部分患者(1/4)仅有磨玻璃影而未显示小叶间隔增厚,这种情形我们很难将PAP列为第一诊断。
4.病灶常多发,但心尖区及膈角区相对轻微。
5.部分病例显示有局部实变影
6.不会出现胸水和淋巴结肿大
7.属多种病原体的易感人群,感染会使影像学表现复杂化。
还应当注意的是,一般肺部阴影相对稳定、病程长,胸部影像学检查与临床症状不平衡,尽管后期可以出现呼吸困难,但早期表现常常比较轻微。



编辑:杨宏刚
审核:冯连彩   徐   晓
病例提供:四川武警总队医院放射科
到顶部