【每日晨读】披着肿瘤外衣的机化性肺炎



2019年7月3日晨读 :


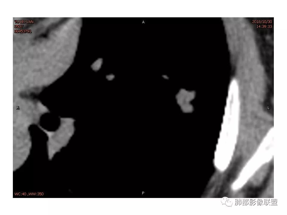
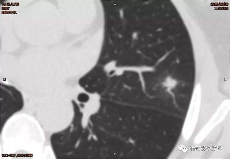
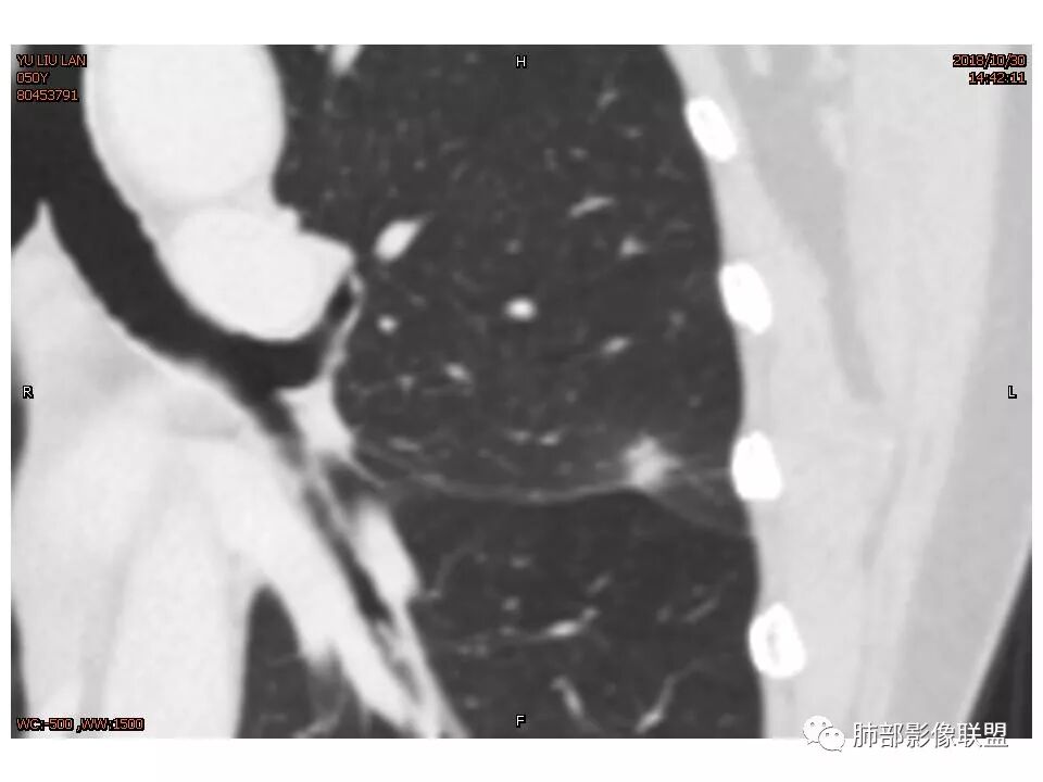
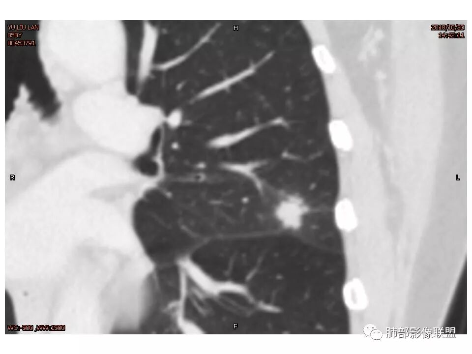
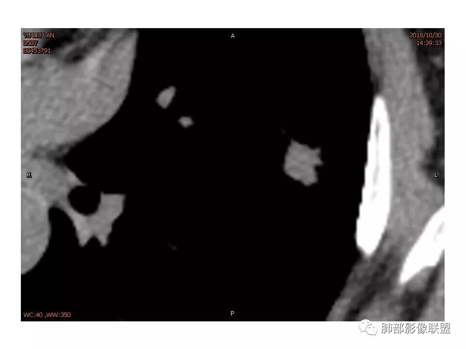
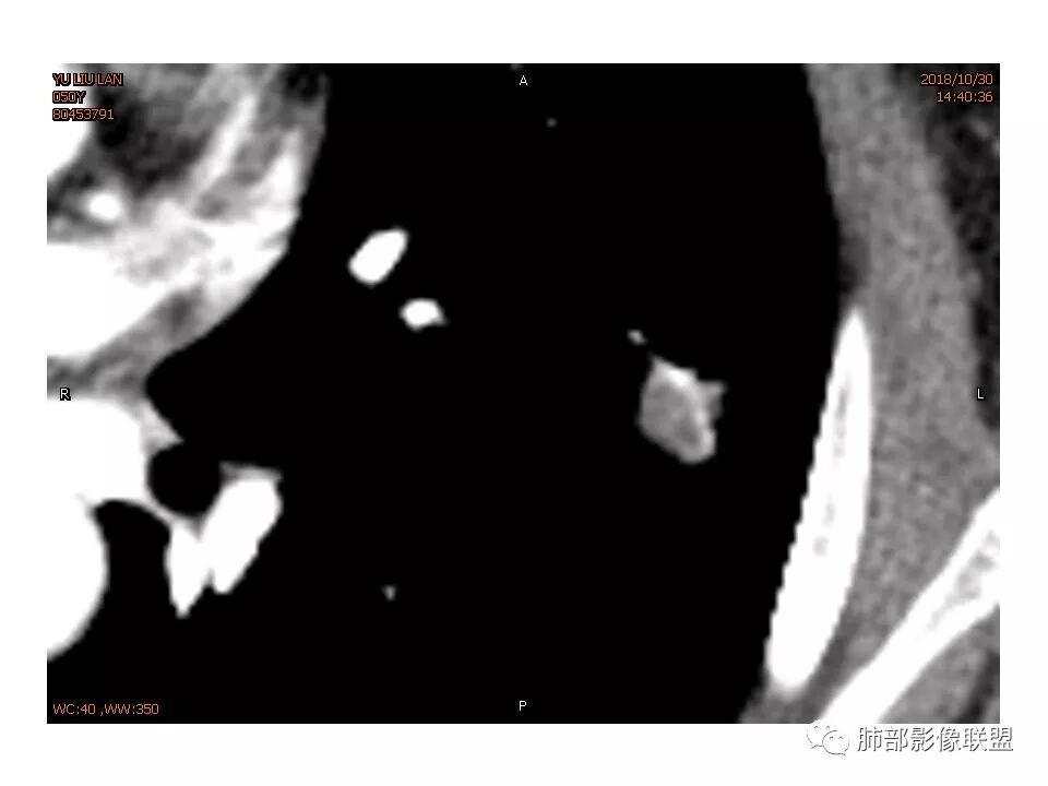
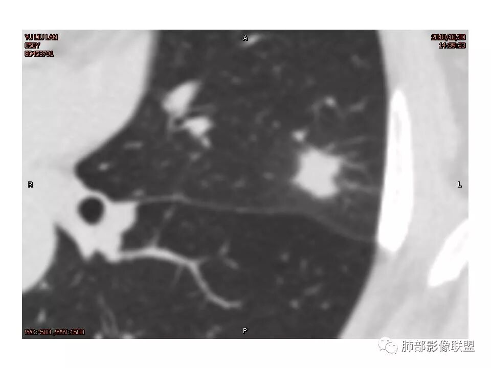
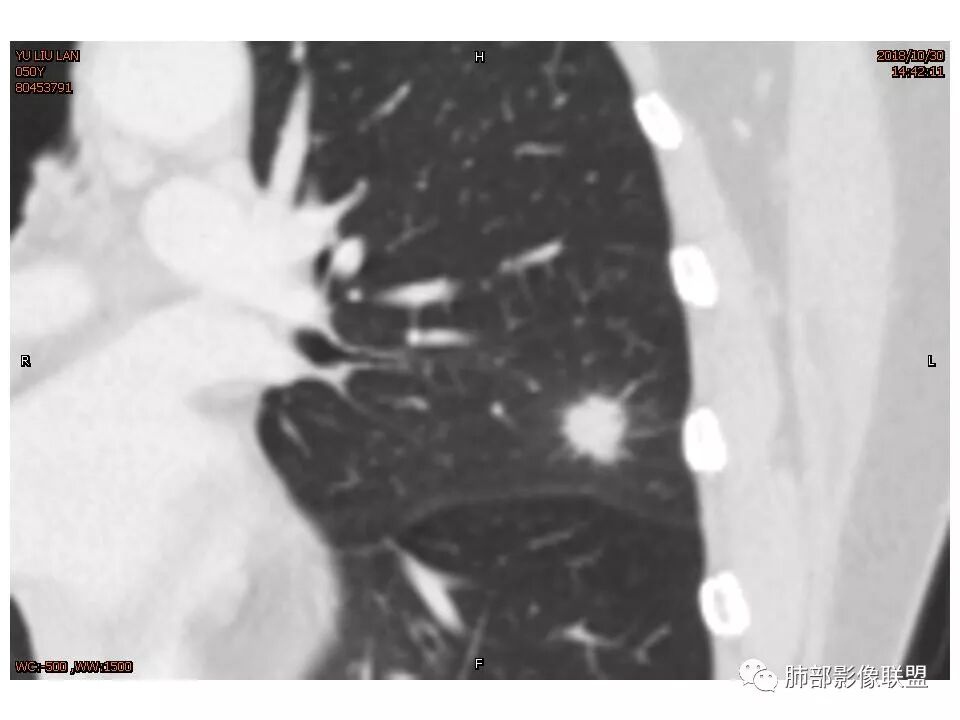
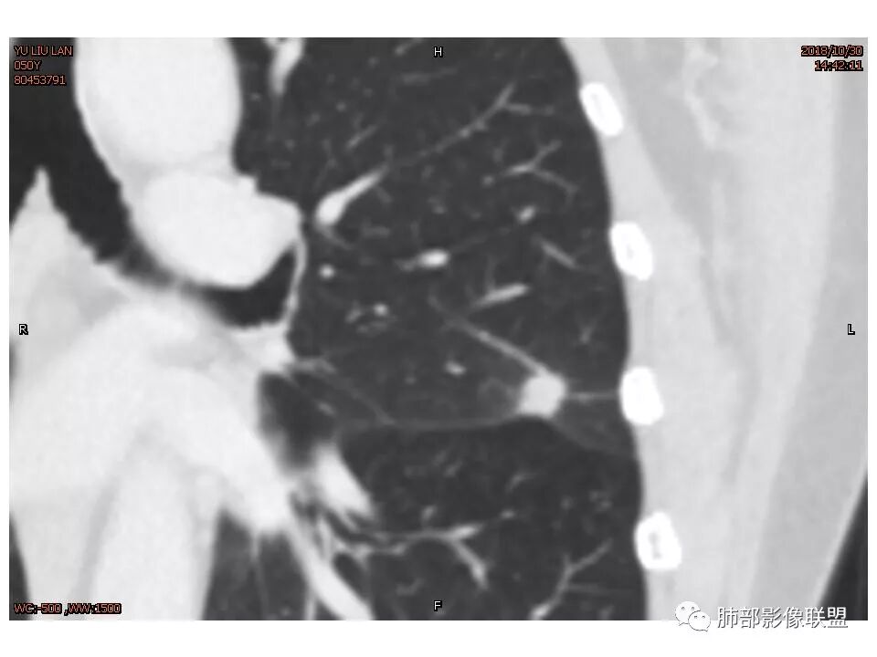
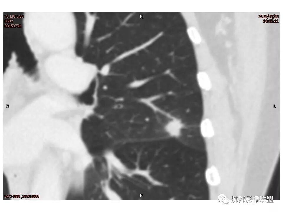
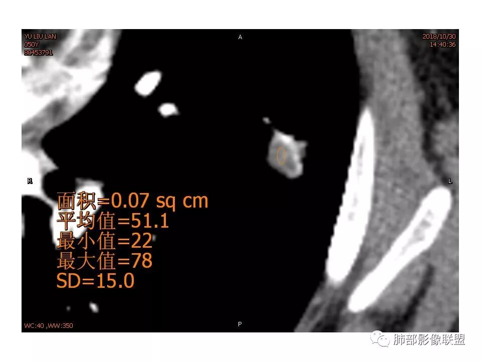
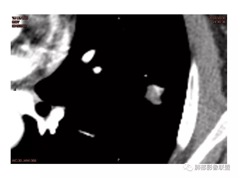
病例资料
















































群内讨论 
睡神-阿豆豆 :
左肺上叶后段病灶,有毛刺,有胸膜牵拉,有血管滋养,好像还可以看见内部空泡,深分叶,边界比较清楚,考虑恶性肿瘤。
岁月 :
女,50。实性不规则结节,大小12*13mm,分叶、毛刺、胸膜凹陷,牵拉力强,增强渐进性强化,动脉期强化20,静脉期还有进一步强化。边缘强化,点状坏死。
其内血管被破坏。
考虑:恶性,中低分化腺癌,鉴于女性,鳞癌可能性小。
处理:有条件可考虑PET。我们常规多b值ADC。
穿刺:该病灶容易达到该部位,可以考虑。
鉴别诊断:炎性结节,几率较小。
Shelia :
左肺上叶实性不规则结节,有深分叶,短毛刺,有切迹,有血管集束,有胸膜牵拉,常规考虑恶性,鉴别炎性结节
一米阳光 :
女性,左上肺实性结节,有毛刺,有血管进入,边缘彭隆,月牙铲,深分叶,边界比较清楚,胸膜牵拉,考虑腺癌。
THINKER :
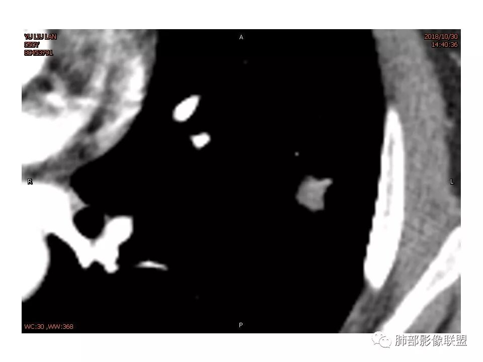
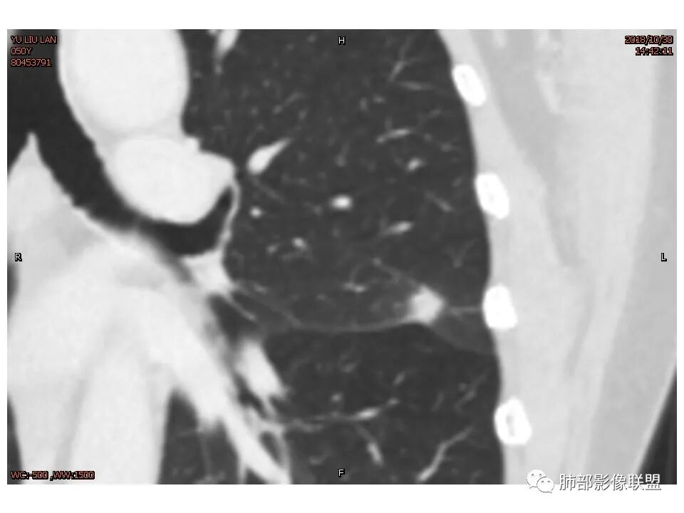
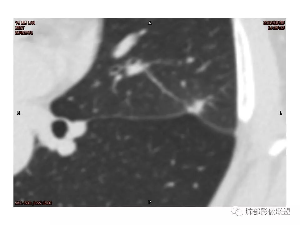
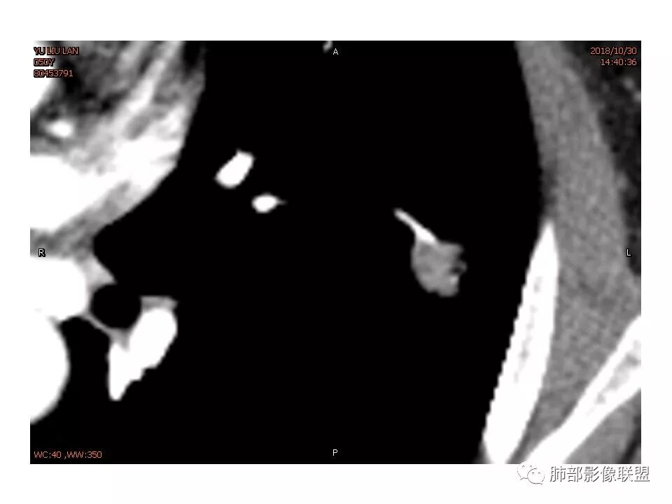
定位左舌,结节,有晕,晕中软毛刺,长毛刺与胸膜牵拉,收缩明显,部分呈方形,明显强化及延迟强化,有支气管近端进入远端阻塞,部分呈鬼脸
考虑:pC
鉴别:腺癌 牵拉斜裂,有动静脉相连,
处理:抗炎半月复查
王秀仙 :
左上肺实性结节,边缘毛刺分叶,血管进入增粗,边缘彭隆,月牙铲,边界比较清楚,胸膜牵拉,考虑腺癌。
马宁强 :
中年女性,实性不规则结节,分叶,毛刺,有切迹,血管集束,胸膜牵拉,强化,常规考虑恶性腺癌,鉴别,隐球菌(夹馍抗原),结核(强化少)
紫气东来 :
左肺上叶结节,分叶毛刺,收缩力,强化,考虑腺
岁月 :
@马宁强杨凌示范区医院放射科 ,不一定准确,看不见血管走行,强化不均匀,有点状第密度。
王萍 :
左肺上叶结节,部分边缘膨隆,边缘毛刺,斜裂牵拉,增强中度强化,血管穿行,血管略增粗。考虑肺癌,腺癌可能性大,鉴别肉芽肿性炎
张延军:
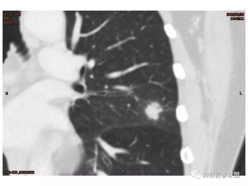
左肺上叶结节影,边缘清晰(周围似见磨玻璃影,需薄层观察),分叶,粗毛刺,月牙铲,血管穿行,胸膜脐凹征,增强不均匀强化,考虑腺癌,病灶部分边缘平直,磨玻璃缘模糊,先抗炎治疗后复查
不再涩的柠檬 :
先考虑炎性,隐球可能,抗炎后复查,鉴别腺癌
玫 :
左肺上叶结节影,病灶周围呈磨玻璃样改变边缘见毛刺、分叶及胸膜牵拉,增强扫描病灶明显强化,病灶未跨叶间裂,考虑炎性病变,待除外小腺癌。
毛勤香 :
左肺上叶结节,边缘毛糙,有毛刺分叶胸膜牵拉,邻近血管稍增粗,似有月牙铲,但增强感觉坏死有点多,可疑鬼脸,常规需排除腺癌,建议结合夹馍抗原除外隐球菌,治疗后复查。
张玉 :
有分叶,毛刺,胸膜牵拉,密度不均匀,考虑腺癌,鉴别错构瘤
滴水海 :
炎性征象多,平直,长毛刺,尖角征,周围晕模糊,炎性病变放前,腺癌待删,抗炎后复查
张帅 :
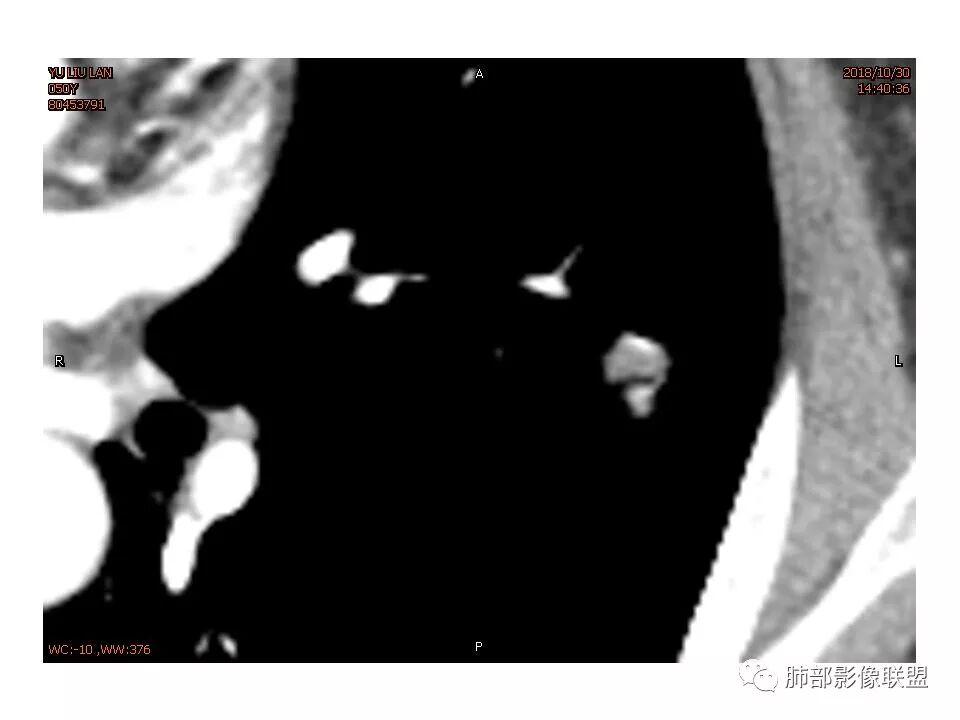
结节样病灶,u型征,病灶内可见细支气管管,增强可见血管进入,略增粗,病灶周围有晕,有软毛刺,局部叶间胸膜有牵拉,考虑良性炎性病灶,抗炎后复查。
小湘医 :
左肺上叶结节样高密度,边缘稍模糊、平直,见长毛刺,周围血管增粗,患者体检发现,考虑隐球菌,鉴别腺癌(老年女性,似见有分叶),
彭君 :
左上肺结节 周围磨玻璃边缘模糊 结节周围有短及长毛刺 虽有收缩力 但病变边缘收缩较多 长毛刺对邻近外侧胸膜没什么收缩 增强有延迟强化 进入血管稍增粗 首先考虑炎性 感觉炎症吸收过程中也可以这样 腺癌待排
飞鹰行动 :
尽管有收缩性改变,但是部分层面可见病灶有膨胀性表现,增强后病灶内可见血管影,局部血管凹凸不平,再加上病灶的分叶,胸膜凹陷征象等等,是不能排除恶性病变,写报告时,仍然需要把恶性病变靠前,腺癌第一考虑,其次炎性肌纤维母,再次再考虑炎性病变。


南边老师分析
蔡磊:
考虑恶性可能性大,毛刺分叶,局部膨隆。收缩明显,牵拉叶间裂
南边:
都考虑恶性
依据:毛刺、分叶、膨隆?
丽🍀:
平直征、U型征、长毛刺
马宁强 :
边界模糊
彭君 :
周围的磨玻璃密度边缘模糊 恶性不好解释
德芙~云味 :
考虑恶性可能性大,毛刺分叶,局部膨隆,牵拉叶间裂收缩明显
恶性并周围炎性病变
期 :
恶性征象比较多 还是愿意相信 炎症
云荼 :
考虑恶性,伴炎症表现。
管洪林 :
还是恶性征像多,毛刺,牵拉,分叶,膨隆感
杨泽锋:

杨泽锋:
血管到底有没有破坏?
云荼:
血管贴边,但没有明显压迫征象。明显强化。局部膨隆,毛刺,分叶。
胸膜牵拉,这些都支持恶性
蔡雷:
请问南边老师,这个进入结节的血管算增粗吗?

南边:
稍增粗



赵 :
炎症征像,桃尖,边缘模糊
恶性征像,胸膜牵拉,浅分叶,毛刺,增强强化明显,净增超25hu。血管边缘模糊串珠样改变。
肺癌可能,但需要消炎短期复查或petct
品味生活…… :
血管增粗支持恶性吗?
Coke with ice :
机化性肺炎可以有这么强的收缩吗?
细小毛刺,梳状平行,周围边缘模糊晕,血管未收侵犯,支气管未见牵拉扩张,多条淋巴道与胸膜相联,倾向于炎性病变
我心飞翔 :
左上肺实性结节,有血管集束、分叶、棘突、胸膜牵拉、长毛刺为主,周围有晕边界不清,有恶性征象但还是感觉炎性(PC?)可能大
南边 :
女性,50岁。U型凹陷、平直征

南边:支持炎性
这些层面不大放心

南边 :
我倾向于炎性结节,癌待排
Coke with ice :
长毛刺比较软。旁边是卫星灶吗?


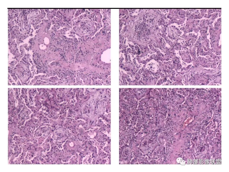
结果 


结果:机化性肺炎

南大再分析
赵:
如果病灶边缘模糊加桃尖或u形征,当病人除外咳血症状,对于炎症诊断支持较大?
德芙~云味:
炎性收缩和腺癌收缩把握不好,傻傻分不清楚
杨泽锋:
@南边 请教一个问题:如果结节内的血管确实是被破坏的,那么是不是可以支持肺癌?哪种类型的癌?
丽:
在实际工作中我还是会先除外恶性,再考虑炎性
这种良恶性征象都存在,就纠结
南边:
血管破坏有很多种。需要鉴别,综合分析



南边:
就这些地方不太放心
初学者:
因为南大说过实性病变有收缩力往往是慢性炎症。而腺癌毛玻璃才会牵拉叶间裂
有一些地方膨隆,肯定不放心,但是大部分还是平直收缩,要我读片我也炎症放前面,肺癌待排。但是现实生活我会建议切除
没意见:
轴位像炎性,冠状、矢状位像恶性,真遇到了,纠结
赵:
现实中需要规避风险,慎重再慎重
本例点评:
1.胸膜下略不规则实性密度结节影,孤立,缺乏典型深分叶,可见淡薄边界模糊磨玻璃晕,可见相对细长软毛刺。
2.如南边老师分析,病灶缺乏边缘膨隆优势,甚至部分平直内收。
3.病灶收缩力不强,整体强化程度不显著。
4.综上,病灶更符合炎性,如隐球菌感染等,而不大符合肺腺癌。具体到机化性肺炎略有些出乎预料。
更多相关内容请参考:【每日晨读】机化性肺炎、炎性假瘤是哪般?

编辑:许新庭
审核:冯连彩  徐  晓
病例提供: 江西九江市第一人民医院  於雄  


到顶部