【每日晨读】胸腺瘤or胸腺癌,且听南边老师娓娓道来


8.29晨读病例

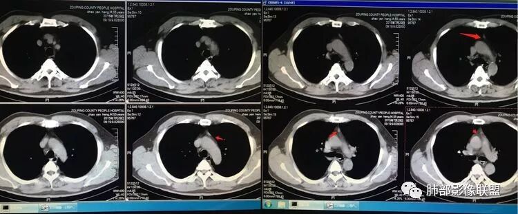
病例资料











群内讨论

马春平(张家港市一院胸外科):
胸腺瘤(B2–C)型。中年男性,体检前上纵隔近奇静脉水平不规则呈生姜样占位,密度不均,延迟强化,进行性增大。
甄德强:
胸腺区实性占位,呈分叶状,病灶近一年间明显增大,增强扫描中度强化,病灶与周围组织界限模糊,考虑恶性,胸腺癌(鳞癌)。
曹志勇:
胸腺区占位,较前明显增大,病灶边缘不规整,病灶明显强化,考虑侵袭性胸腺瘤
林建平:
胸腺区实性占位,呈分叶状,病灶近一年间明显增大,增强扫描中度强化,病灶与周围组织界限模糊,考虑恶性,没有胸水,胸腺癌可能。
杨泽锋:
中线、边缘模糊、有淋巴结——胸腺鳞癌欧阳英:
前中纵隔肿块灶,轮廓不规则,边缘不清,强化较均匀明显强化,考虑侵袭性胸腺瘤可能
紫气东来:
前纵膈占位,与前比较增大,边缘不规整,强化,考虑胸腺瘤,
徐婕:
前纵膈占位,前后明显增大,病灶边缘不规整,分界不清,病灶明显强化,考虑侵袭性胸腺瘤
                                         甘丽杏:
研究了半天,纵隔是我短板,[擦汗]中老年男性,病灶边界不清,边缘有低密度灶,有强化,延迟强化,考虑胸腺癌。
岁月:
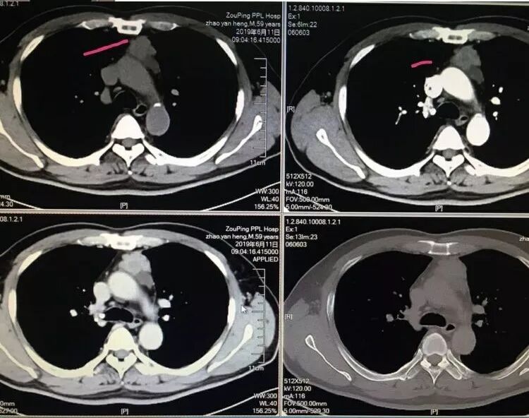
男,59
2015年小,2019年增强,不规则强化不均匀。
48-60-70,28-30-24,不规则渐进性强化,密度不均。
诊断:侵袭性胸腺瘤
鉴别:良性肿瘤(可能性比较小)。
王开金江津中心医院呼吸科:
前纵隔占位,分叶明显,随访明显增大,不均匀强化,考虑侵袭性胸腺瘤。
刘丹:
前纵隔胸腺区占位,边缘不规则,可见分叶,增强不均匀强化,考虑胸腺瘤。
王秀仙:
前纵膈胸腺区占位,病灶边缘不规整,分叶,病灶明显强化,中央有坏死,考虑胸腺鳞癌,鉴别侵袭性胸腺瘤。
市医院--时建文:
前纵膈胸腺区占位,分叶,病灶明显强化,侵袭性胸腺瘤?
Lotus:
分叶状,结节感,边界模糊,强化,考虑恶性病变,胸腺癌可能性大
管洪林:
老年男性,15年胸腺区小结节,19年明显增大,边缘不整,明显分叶,增强后不均匀强化,考虑内部坏死,周围脂肪间隙模糊,考虑恶性,胸腺癌?
可芸:
前纵隔占位,病灶边缘不规整,分叶,病灶强化明显,中央有坏死,考虑恶性,胸腺癌?
王江涛:
前纵隔肿块较前明显进展,边缘出现大片囊变,实性部分明显强化,内见沙粒样钙化,考虑恶性肿瘤,倾向胸腺鳞癌或神经内分泌癌
穿越七海的风:
前纵隔占位,可见分叶,部分坏死,边缘不规整,考虑胸腺癌凝睦:
前纵隔占位,不规则,分叶,密度不均匀,周围有小淋巴结,考虑胸腺癌
                                        张涛:
前纵隔占位,分叶状,病灶较前增大,增强扫描中度强化,周围脂肪间隙模糊,考虑胸腺癌。
金豆:
定位前纵膈,边缘清楚,形态不规则,有分叶,右侧肺门淋巴结肿大,有强化,考虑恶性 胸腺癌可能。
崔少钢:
4年增大,分叶,有淋巴结增大,多见于胸腺癌。
Yiren  Sishui(厶水伊人):
前纵隔占位,分叶状,病灶较前增大,增强扫描中度强化,周围淋巴结,考虑恶性,胸腺癌可能性大。
杨文军:
男性,中年,前上纵隔肿瘤,边界清晰,不光滑,强化不均匀,随访增大,淋巴结增大,考虑胸腺瘤,倾向侵袭性可能鉴别淋巴瘤?
崇军:
中年男性,前纵隔占位,分叶状,两次比较,病灶增大,增强扫描中度强化,周围淋巴结,考虑恶性,胸腺癌可能性大。淋巴瘤待排
丽:
中年男性,前纵膈软组织结节,前后一年复查病灶明显增大,边缘不规则,周围脂肪间隙模糊,增强后明显不均匀强化,周围可见低密度,病灶生长迅速,首先考虑恶性肿瘤,胸腺癌可能大
蔣勝華:
中年男性,前纵隔占位,肿物不规则,有分叶,中度强化,考虑恶性,胸腺癌可能
八爪🐠:
考虑来源于胸腺肿瘤,恶性可能大
小溪流:
前纵膈占位,随访明显增大,病灶边缘不规整,分界不清,考虑侵袭性胸腺瘤或胸腺癌。
红日东升:
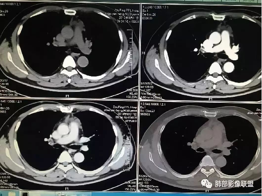
男性,59岁,无肌无力。前纵隔占位,偏侧,形态不规则,边缘分叶状,似有点状微钙化,病灶较前4年前增大,明显强化,考虑恶性,周围似见小淋巴结,倾向胸腺癌。
                                         小监:
前纵膈占位,逐渐进展,考虑恶性,应该是胸腺癌可能性大,鉴别诊断畸胎瘤
薇:
中年男性,前中纵隔不规则囊实性肿块,边缘有分叶,部分层面病灶周围脂肪间隙消失,增强扫描实性部分延迟强化,囊性部分不强化,临近见多个小结节影,考虑畸胎瘤,鉴于病灶四年明显增大,形态不规则,部分层面脂肪间隙消失,考虑恶变可能性大,鉴别胸腺癌
淘时光:
支持胸腺癌
                                       张小兵:
前纵隔肿块,边界不清,强化明显,内见坏死,周围散在淋巴结,恶性肿瘤,胸腺癌可能。
心灵鸡汤:
前纵隔团状影,形态不规则,有分叶,增强渐进性强化,与2015年对比有进展,纵隔主动脉旁淋巴结肿大,轻度强化,老年男性,考恶性肿瘤,侵袭性胸腺瘤?鉴别淋巴瘤?生殖细胞类肿瘤?实性畸胎瘤?建议穿刺活检。
小赵:
中老年男性,前纵隔占位,形态不规则,分叶明显,局部脂肪间隙不清,增强明显强化,复查明显增大,邻近似见多个结节,心膈脚区似见结节。首先考虑胸腺癌,其次侵袭性胸腺瘤。
浪迹天涯:
>40岁男性,前纵隔见一肿块,四年明显增大,分叶,上缘呈絮状改变,增强后不均匀性强化,可见未强化区,考虑恶性病变,胸腺癌,鉴别畸胎瘤(病灶内见点状高密度影,未强化区低密度影),
到此一游:
中年男性,前纵隔占位,边界清楚,可见分叶,增强后不均匀强化,内似有坏死,胸腺恶性肿瘤可能
毛勤香:
中年男性,前纵膈占位,明显增大,分叶状,密度不均匀,增强明显强化,内见低密度区和分隔,有结节感,局部与邻近血管分界不清,周围可疑小淋巴结,两侧胸膜腔未见明显积液,首先考虑侵袭性胸腺瘤可能性大,代排胸腺癌。
一米阳光:
晨读,中年男性,前纵膈软组织肿块,一年后复查病灶明显增大,边缘不规则,有分叶,有坏死,周围脂肪间隙模糊,增强不均匀强化,考虑恶性,胸腺癌,侵袭性胸腺瘤
飞鹰行动:
中年人,前纵隔占位,边界不清,边缘可见分叶,与血管周围间隙模糊,一年多复查,肿块增大,未见明显淋巴结及周围器官转移,考虑恶性病变,侵袭性胸腺瘤,其次胸腺类癌。
寒江雪:
中年男性 ,前纵隔肿块,分叶,局部边缘模糊,坏死。考虑侵袭性胸腺瘤或胸腺癌。
黄诗育:
中年男性,前纵膈占位,分叶状,密度不均匀,增强呈明显强化,内见低密度区和分隔,局部与邻近血管分界不清,考虑侵袭性胸腺瘤。
马宁强:
中年男性,前纵隔占位,边界清楚,可见分叶,增强后不均匀强化,内似有坏死,有结节感,胸腺恶性肿瘤
                                     Shelia🌞:
前上纵膈占位,较前明显增大,病灶边缘不规则,有分叶,密度不均匀,其内可见斑点钙化灶,增强明显不均匀强化,内见低密度区,周围纵隔脂肪间隙模糊,病灶左后方稍低密度病灶,是病灶一部分?还是肿大淋巴结?主要是侵袭性胸腺瘤跟胸腺癌的鉴别,。
德芙~云味:
老年男性,前纵膈占位,分叶,密度不均匀,增强明显强化,有结节感,考虑~1淋巴瘤?2胸腺癌?
尘缘:
前纵隔占位,四年时间增大明显,强化渐近性明显强化,肿瘤边缘分叶明显,还是考虑胸腺来源,以侵袭性胸腺瘤或胸腺癌可能。
三生石上:
中年男性 ,前纵隔肿块,分叶,局部边缘模糊,坏死,淋巴结肿大,胸腺癌?
弹指之间:
59M,前纵隔占位,肿瘤边缘分叶明显,其上缘见絮状改变,边缘见囊状低密度影(似位于肿块边缘),增强后实质成分见明显强化(以静脉期强化明显),内见可以血管影;四年时间增大明显,考虑胸腺来源偏恶性肿瘤,考虑神经内分泌肿瘤(如类癌)可能,胸腺癌待排。
龍:
支持胸腺癌
彭君:
45岁 前纵膈占位,明显增大,分叶状,密度不均匀,增强明显强化,内见低密度区和分隔,低密度坏死边缘不清,外周有结节感,见条索影,周围淋巴结,首先考虑胸腺癌可能 侵袭性胸腺瘤待排
一切∮随缘:
前纵隔肿块,形态不规则,边缘毛糙,平扫密度均匀,增强后不均匀强化,其内可见坏死,2015年肿块不明显,2019年肿块明显增大,考虑:侵袭性胸腺瘤,胸腺癌(神经内分泌癌,鳞癌)
꧁༺༽༾ཊ天涯ཏ༿༼༻꧂:
中老年男,前纵隔胸腺区肿块,局部边缘不规则,增强较明显强化,侵袭性胸腺瘤或胸腺癌可能
宇宙星空:
前纵膈占位,形态不规则,边界欠清晰,明显强化,周围肿大淋巴结,考虑恶性,胸腺来源,胸腺癌,鉴别侵袭性胸腺瘤
joyzhy:
中老年男性前纵隔占位,复查增大,分叶,不规则生姜样生长,强化,与大血管部分分界不清,无重镇肌无力,常规考虑胸腺癌。

南 边 分 析
南边:
都考虑恶性,依据是啥?
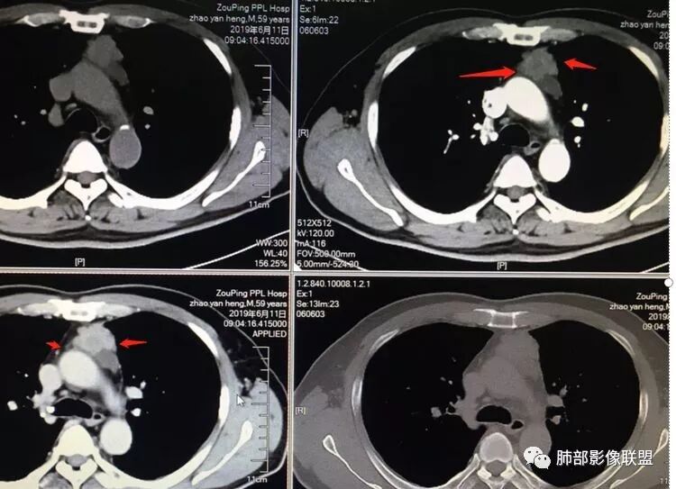
Coke with ice:
明显增大,不规则强化,分叶,与主动脉分界不清
管洪林:
体积增大,边缘不整,明显分叶,周围脂肪间隙不清,强化不均,临近淋巴结
南边:
问个问题
15年这个是原来的病灶吗?

南边:
还是后来新发的病灶?
管洪林:
感觉是
管洪林:
同一个部位
南边:
就是还是原来的病灶进展
管洪林:
应该是原有部位的进一步发展,
南边:
判断恶性的依据是啥
1、大了
2 形态?
3.边缘?
4.强化?
5.附近淋巴结?
常志强:
形态,边界不清,不均匀强化,能提示有坏死吧
德芙~云味:
有结节感
管洪林:
脂肪间隙
南边:
标示一下。我们捋一捋征象
管洪林:


胸腺区小高密度灶,梭形

南边:
边缘张力不高
19 年
管洪林:
间隔4年
南边:
因为原病灶没看到,现在原有位置有一大病灶,如果是新发的,原有病灶会推移一边,但是没看到,倾向于原病灶增大

根据强化,高的70HU,低的没测,考虑囊实性


实性部分明显强
偏一侧
上面来的血供,病灶深分叶

附近心包似乎也不干净

有淋巴结

市医院--时建文:
受侵犯了吗?似乎在心包脂肪垫内
南边:
从前后变化,病灶的形态、强化、附近的淋巴结、心包改变,支持恶性

这图看起来有结节感

良孑:
前纵隔肿物,形态不规则,位置居中,肿块内可见侵蚀的血管影及大片状坏死灶,心包及纵隔胸膜受累,定性为恶性,有心包及纵隔胸膜受累,坏死边界不清,年龄偏大,可除外胸腺瘤A一AB型及淋巴瘤,综和考虑胸腺鳞癌或B3型胸腺瘤
小微:
前纵隔肿瘤,胸腺瘤常见,待排胸腺癌
结果
胸腺癌—非角化鳞状细胞癌

相关链接:【每日晨读】:一眼锁定胸腺瘤
                胸腺癌——你还记得多少?
END

编辑:冯连彩
审核:徐   晓


到顶部