【每日晨读】机化性肺炎、炎性假瘤是哪般?


2019.08.07晨读病例
1

夜,结束了一天的喧嚣后安静下来,伴随着远处路灯那微弱的光。风,毫无预兆地席卷整片旷野,撩动人的思绪万千。
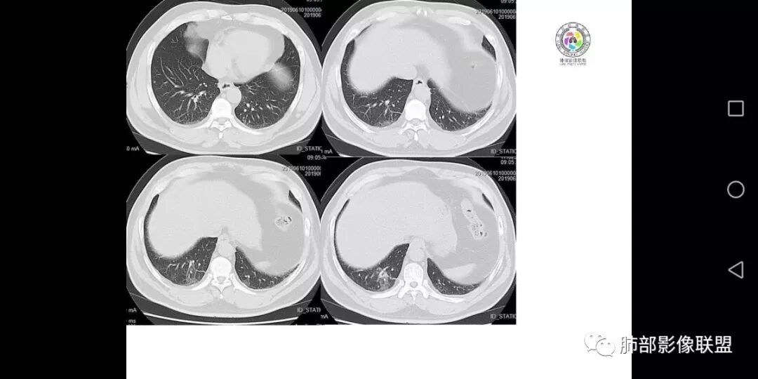
病史资料
患者男,45岁,因乏力、低热、心悸入院,最高体温38℃,偶有咳嗽、无咳痰、咯血,肿瘤标志物阴性。

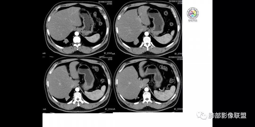
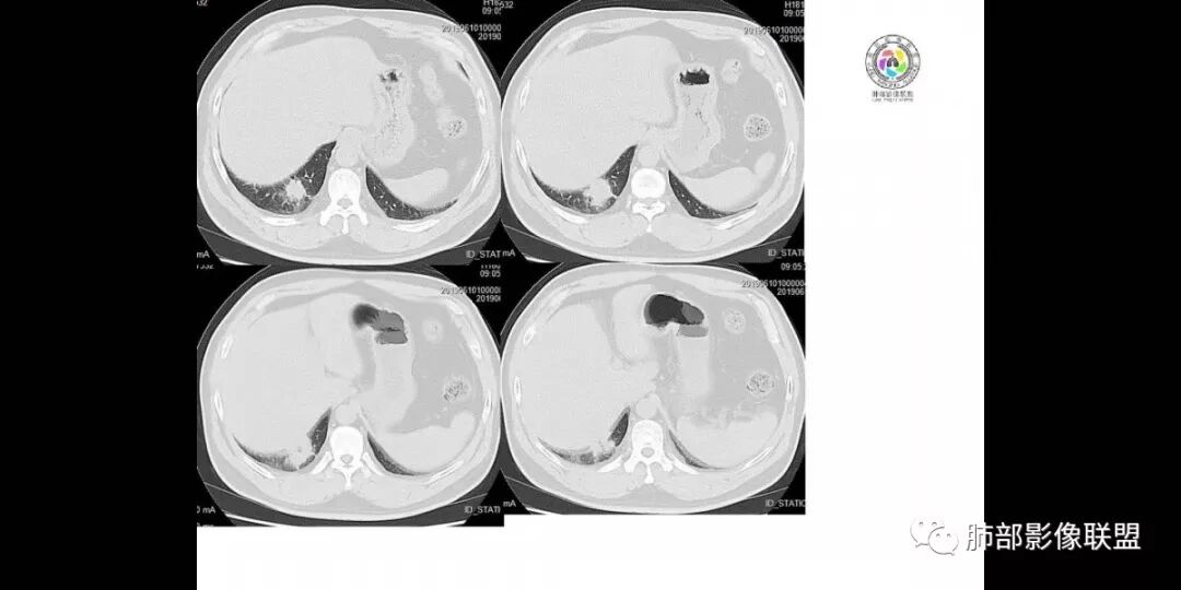
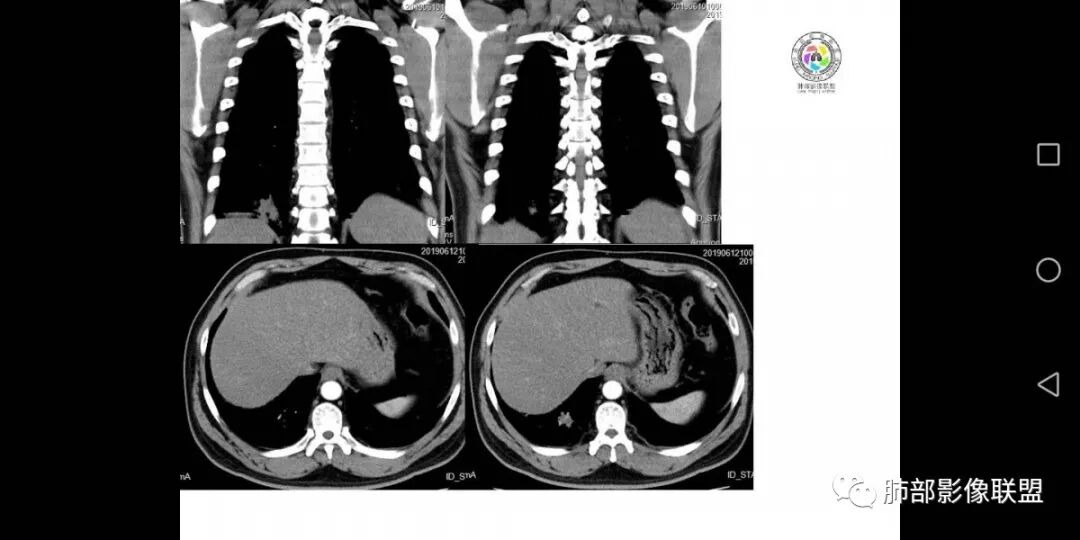
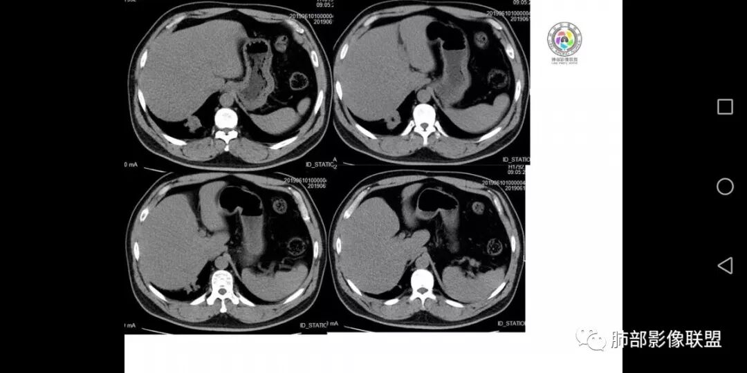
                       影像资料










微信群讨论内容

凝:
右肺下叶结节,边界清,周围有胸膜牵拉,内部见坏死,低热,考虑结核。
王秀仙:
右肺下叶后基底段结节边缘收缩平直 ,局部膨隆  ,延迟强化,内见坏死,考虑炎性肉芽肿。
红日东升:
右肺下叶后基底段胸膜下肿块,边缘平直、凹陷为主, 局部膨隆 ,周围模糊毛玻璃影及锁条, 内见坏死,明显强化,较均匀,下缘糊墙,考虑炎性,慢性脓肿?鉴别炎性合并肿瘤。
张帅:
中年男性,乏力  低热入院,胸CT:右肺下叶后基底段结节样病变,病灶周围可见细支气管扩张,病灶边缘可见短软毛刺,病灶周围有毛玻璃影,冠状位肺窗病灶与膈胸膜呈宽基地,纵隔窗可见病灶内空洞及低密度区,增强明显强化及延迟强化,考虑良性感染性病变,隐球菌肺炎?,结核?。但在冠状位肺窗有一支细支气管在病灶旁有截断,还得除外肺癌的可能性。
薏米:
中年男性,低热,咳嗽,偶有咳痰,右肺下叶可见一不规则结节影,边缘有收缩,有膨隆,周边可见磨玻璃影,可见分叶,延迟强化,内有坏死,似有颗粒感,空泡,胸膜有牵拉,倾向于腺癌,鉴别炎性病变。
冈果:
患者主要表现低热,乏力,伴少量咳嗽等症状,右肺后基底段不规则肿块影,有"平直,刀切征",局部有膨隆,周围模糊,有晕征,分叶,有细软毛刺,部分胸膜牵拉,中间有低密度坏死,有空泡,延迟强化,良性征象稍偏多点,考虑隐球菌?需排除周围性腺癌,淋巴瘤。
岁月:
男,45岁;乏力、低热、心悸,38°,偶咳;症状像结核,但无钙化,无积液;三期:35-57-71偏心空洞,冠状位胸膜有牵拉力:需考虑鳞癌,男性,45岁,年龄偏小,吸烟史?
不均匀强化,三期强化形式是否符合鳞癌,渐进性强化?结核:空洞,渐进性强化,段样分布,但没有卫星灶;
处置:结核相关检查,仔细观察与支气管关系,按我的习惯,多b值观察细胞密集程度。
诊断:鳞癌
鉴别:结核
一米阳光:
中年男性,右下肺叶后基底段结节影,周围有晕,边缘软毛刺,收缩力弱,边缘平直凹陷,支气管进去后截断,长轴与胸膜平行,中心有坏死,延迟强化,考虑炎性病变,隐球。
鉴别腺癌。
管洪林:
中年男性,乏力,低热,右肺下叶后基底段近膈肌缘小团块样病灶,边缘平直,部分内凹,周围磨玻璃,边缘模糊不清,周围少许毛刺,柔软,增强后明显渐进性强化,其内可见少许低密度区,边界清晰,考虑感染性病变,op合并坏死可能。
forever:
右下叶病灶,周围ggo边界清,轴位病灶似乎有收缩,平直征,但是冠状重建可以看看病灶边缘膨隆,强化不均匀,持续强化,结合病史首先考虑肺癌,腺癌可能性大,鉴别隐球,op。
水晶石头:
患者中年男性,以乏力、低热、心悸入院。胸部CT:右肺下叶后基底段近胸膜实性结节灶,病灶周围磨玻璃模糊影,可见短毛刺,边缘呈刀切、平直,冠状位肺窗病灶与膈胸膜呈宽基地,纵隔窗可见病灶内空洞及低密度区,增强明显强化及延迟强化,综合考虑良性感染性病变。肺隐球菌病可能大,机化性肺炎、腺癌次之,结核待排。
采莲:
中年男性,低热乏力入院,右肺下叶后基底段结节影,边缘收缩平直,周围有晕,有细软毛刺,内有低密度坏死,明显强化。有胸膜牵拉,考虑感染性病变:op?隐球菌肺炎?肺结核?鉴别肺癌!
雪狐7305:
中年男性,以低热、乏力为主要症状,右下叶近胸膜病灶,支气管进入但有近端堵塞,周围有短毛刺,磨玻璃影边界不清,周边有条索状纤维灶,病灶有强化和点状坏死,考虑炎性肉芽肿可能性大,隐球?目前整体考虑炎性,但具体是啥是猜的。
shelia:
右肺下叶后基底段结节,边缘较清,有浅分叶,病灶长轴与胸膜平形,以平直收缩为主,局部稍膨隆,有长短不一的毛刺,边缘模糊,周围有小片状模糊hggo,中心有小空泡或小空 洞,内壁光整,增强后延迟强化,提示会不会有纤维组织成份,而且空腔内壁强化明显且完整,邻近胸膜有糊墙,考虑炎性病变,机化性肺炎合并脓肿?鉴别癌。
陈春茂-寿光市人民医院:

实性病灶边缘出现此类扩张的支气管~排除肺癌
渐进持续的强化~多见于感染
   病灶周围斑片状磨玻璃影、纤维条索~指向感染;总上所述~感染性病变,请结合实验室指标,进一步明确,个人认为首先排除一下隐球菌感染吧,毕竟常见。


结果:
   机化性肺炎(炎性假瘤)
第二部分:结果出来后再次激烈讨论:
大雄:结果可能就是个慢性非特异性炎;
shelia:这个强化太有特征性了,渐进性强化,提示有纤维成分来源,所以隐球那些是不可能的;
COkewith ice: 肺癌可以有类似的渐进性强化吗?对于这个病灶来说,增强有什么作用,鉴别意义何在?哪些征象作为良恶性的鉴别点?
甑德强:可以有,坏死和边缘平直都符合炎症。
shelia:鉴别良恶性,炎性坏死周围有肉芽肿啊。
尘缘:增强曲线有重要作用,低平,结核多见,抛物线,肿瘤多见,上升型,炎性肉芽肿多见。强化支持形态改变,当然符合率更高,只能这么考虑。
陈春茂:增强扫描的意义很多,其中肺癌的强化特点是不均匀,肺炎的强化比较均匀。
shelia:肉芽肿是巨噬细胞为主,还会有上皮样细胞、多核巨细胞,也会有少量淋巴细胞、成纤维细胞  ,常见于感染,但是后期如果成纤维细胞增多,也会机化。肉芽组织是以成纤维细胞为主+新鲜的毛细血管,伴有少量的炎性细胞浸润,如新鲜的嫩芽,也是幼稚阶段的纤维结缔组织,机化就是新鲜的肉芽组织取代,后面随着成纤维细胞不断产生胶原纤维,成纤维细胞变成纤维细胞,最终新鲜的肉芽组织成熟变成为成熟的纤维结缔组织,最后变成瘢痕组织 ; 

   所以今天这个晨读病灶延迟强化不考虑肉芽肿感染,而考虑OP是因为成纤维细胞是梭形细胞,梭形细胞会延迟强化,跟肉芽肿强化不一样,那为什么梭形细胞会延迟强化,延迟强化,我们要考虑梭形细胞肿瘤或小圆细胞肿瘤;是因为细胞间隙窄,造影剂排泄慢,还有梭形细胞跟纤维组织容易粘液变性,也有滞留造影剂的作用。梭形细胞内有细肌丝,有收缩作用,纤维组织肯定有收缩作用,所以引流静脉容易受收缩影响而狭窄,供血动脉也会受影响,但不如静脉明显,所以大部分梭形细胞丰富的肿瘤慢进慢出,有一部分快进慢出。富上皮样细胞型间质瘤,肌纤维母细胞类肿瘤,强化明显,因为血管丰富,所以还要看血供。

三生石:还有梭形细胞跟纤维组织容易粘液变性,也有滞留造影剂的作用,为什么容易粘液变性?
郑氏刀刀:其一:粘液样变性指的是细胞间质或组织间质内透明质酸等粘多糖跟蛋白质聚集,常见于慢性营养不良的病灶,如梭形细胞,梭形细胞内有细肌丝,有收缩作用,会压迫血管加上自身血管也少,容易慢性缺血,营养不良,透明质酸酶等活性降低,导致透明质酸聚集。其二:部分梭形细胞自身会分泌粘液,堆积在组织间隙。粘液多了,活性细胞就少了,血管也少了,强化弱了,且粘液对钆剂有滞留作用,所以延迟强化。对有机碘的滞留作用要弱,所以虽然也延迟,但是不明显。


第三部分
熊桅老师解读晨读答案:机化性肺炎、炎性假瘤两个概念。
我们说的经典的机化,它是多灶的,这种孤立病灶是不能套用的,二者背后的机制,说白了,这种就是一个慢性非特异性炎,至于炎性假瘤,需要免疫组化,细胞来源都不同,病理排列也不一样,病理是诊断不了OP这个概念的,要结合影像学。IMT其实是间叶肿瘤里的罕见类型,发病率很低的,IMT一般都是手术治疗,而目前我们经常报的太多,大部分是吗?主要是这个问题:炎症后期上皮细胞可以向成纤维细胞转化,这是一种过程。

而IMT,那个成纤维细胞是间质起源的,单克隆增殖,细胞排列梭型,提示一定的增殖和单一性这样肿瘤的特征。我觉得,如果下肉芽肿炎,主要两类:无菌性的(结节病、血管炎);有菌的(几乎都是胞内菌或者特殊感染,集中在结核、曲霉、隐球菌等等),几乎胞内都有吞噬小体。如果我们敢下肉芽肿,其实提示意义很强。
炎性结节,是非特异性炎症,IMT是细胞单克隆的低度恶性肿瘤,有ALK基因重排,发病很年轻,罕见。肉芽肿性炎,感染见于特殊病原体,非感染就是那些。

机化,分两种:COP或者SOP,是一种特发或者疾病相关的弥漫性肺实质病,单灶机化,是另一种概念,是一种普通的炎特征,是所谓息肉组织症修复,组织里是纤维蛋白为主,缺乏多核巨噬细胞,有时候被叫做肉芽,但不是肉芽肿。局灶机化或者局灶炎性结节,以抗感染为主,结合激素抗炎,弥漫机化,以激素抗炎调节免疫为主。IMT手术切除,比较大的炎性肿块,也可以切除。
肉芽肿是肉芽肿,不能理解为后期纤维组织增多就是机化,没有一种肉芽肿进展到机化的关系,机化是非特异性修复反应,肉芽肿是特异性的。所谓感染后机化,其病原,大部分没有形成肉芽肿性炎的能力,归结到一句话,肉芽肿,巨噬细胞是核心,经常针对的是胞内抗原,机化是非特性性损伤反应,实质是血浆蛋白渗出得吸收不良而已。基本上,这两种概念,差得比较远。


第四部分:编者整理相关疾病:
机化性肺炎(OP)
早期为病理概念,目前被影像及临床医生认识与应用在诊断中。
是肺组织对于损伤的一种非特异性修复。

病理学特征:机化结节形成(梭形纤维母细胞和肌纤维母细胞位于浅染的间质中),机化结节位于肺泡腔、肺泡囊和终末细支气管内,周围间质有炎性细胞浸润。缺乏坏死、缺乏肉芽肿、缺乏明显嗜酸性粒细胞浸润。肺结构常完整。
病因多样:
特发性(COP):找不出原因的。
继发性(SOP):感染、药物、误吸、结缔组织疾病、器官移植、放射性等。
并发改变:(血管炎、肿瘤、肺梗死、过敏性肺泡炎‘间质性肺炎、嗜酸性肺泡炎等);
影像特点:多灶实变(多为双侧非对称性分布,部分病灶有一定的游走性)、单发或多发结节、反晕征。
分布特点:胸膜下和沿支气管血管束分布、条带状实变、小叶旁实变。
增强特点:多为明显强化,CT值增加40-80HU之间),一般很少出现深分叶、钙化及淋巴结肿大的特点,常可与周围性肺癌鉴别。
治疗:激素治疗后可缩小。

关于炎性假瘤
肺炎性假瘤:肺炎性假瘤是一种肺实质非特异性炎性增生性肿瘤样病变,是由肺内慢性炎症产生的肉芽肿、机化、纤维结缔组织增生及相关的继发病变形成的肿块,并非真正肿瘤。
肺炎性假瘤与(炎症性肌纤维母细胞瘤IMT)的关系:过去认为两者是同一病变,目前认为前者的本质是增生性炎症,IMT是以炎症为背景、肌纤维母细胞增生为主的一种少见的交界性(偶有转移型)肿瘤,少数具有复发倾向及恶变潜能。

影像特点:
1.多位于肺表浅部位,近胸膜或叶间裂。
2.单发病灶多见,结节影或块影呈类圆形或椭圆形,直径多为1-6cm。
3.部分可见支气管管像,但很少支气管截断。
4.边缘可清楚或模糊,可有浅分叶、长毛刺或棘状突起,部分病灶周边磨玻璃影。有时可见“桃尖征”、“平直征”或“刀切征”等良性征象。
5.病灶密度均匀,偶见空洞及钙化。强化较明显且持续,均匀或不均匀。
6.PET高摄取
7.治疗:无特效药物,以手术切除为主。


关于肺隐球菌病
由新型隐球菌(主要是新生隐球菌和格特隐球菌)引起急性或慢性肉芽肿性疾病,好发年轻人,男性多见,常见糖尿病、白血病、HIV、器官移植等一些存在免疫缺陷病史的人群。免疫正常者也占一定比例。可以感染人体任何部位,中枢神经最常见,其次是肺及皮肤。症状多隐匿。
病理特点;免疫力正常者多以肉芽肿性病变多见;
免疫力低下或长期应用免疫抑制剂者以毛细血管、间质、大范围肺部感染形式出现,表现广泛肺泡实变、间隔破坏。
影像形态表现:
1.周围肺肉芽肿:单发结节,聚合结节,“空洞”结节。
2.肉芽肿肺炎:斑片影。
影像特点:
1.胸膜下分布多见,下肺多见,上肺偏少。
2.单侧、单叶、单一形态,边界大多清楚。
3、病灶密度均匀,增强呈均一延迟强化多见,周围可有晕征
4、空气支气管征、血管造影征有助于与单发结节鉴别。
5、“空洞”具有真菌性空洞的特征性(不是胸膜下分布,而是以肺野中带区域多见,常为厚壁、干性空洞多见,内可见分隔;)
6、DWI有助于鉴别单发结节良恶性鉴别。
7、树芽征少见。
8、肉芽肿中心很少坏死,但坏死病灶较大(理解:坏死为肉芽肿扩大引起缺血状态结果,隐球菌的增殖本身不会导致坏死)。
9、治疗:抗真菌治疗有效。
 以上部分内容分别摘自“高莉《机化性肺炎的影像和病理解读》”“ Nestor L Muller C.Isabela.Silva主编《胸部影像学》”,“李智勇《难言之隐-肺隐球菌病的影像表现》”
更多内容参考南边老师讲解机化性肺炎:机化性肺炎(Organizing Pneumonia, OP)
编辑:颜学刚
审核:冯连彩 徐 晓
病例提供:邢台医专附属医院 崔刚



到顶部