【每日晨读】剖玄析微--让人迷惑的肺结节



点击上面“蓝字”关注我们!
2019.09.05 
晨读病例
秋风送爽,暑往寒来


你说你喜欢“秋天”,秋天空气里充满回忆,秋天不仅使人心情舒畅,更重要的还有那意想不到的“惊喜”。
喜欢秋天,秋天这个季节充满回忆,秋的气息是那么的沉淀、舒适,使人心情舒畅。
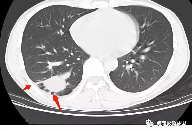
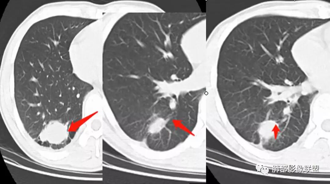
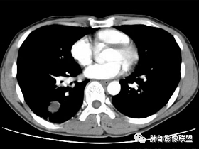
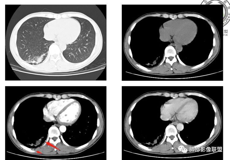
病历资料















一叶知秋



群内讨论

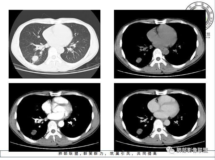
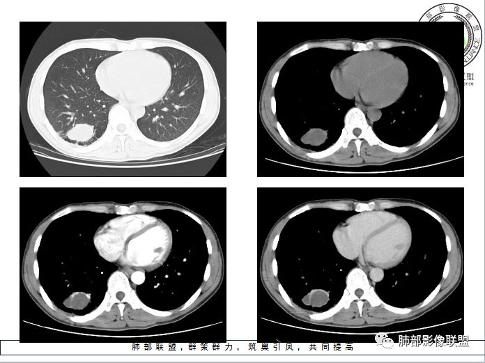
小赵:青年男性,慢性咳嗽,低热,血沉略快。右肺类圆形肿块,密度偏低,周围见条索,较低层面似见卫星灶,邻近胸膜增厚。增强扫描薄膜样强化。综合考虑结核可能
市医院-时建文:青年男性,慢性咳嗽,低热,右肺类圆形肿块,密度偏低,周围见条索,血管贴边,邻近胸膜增厚。结核?psp?
一米阳光:右肺下叶后基底段长圆形病变,边缘清晰,中心部密度减低,增强病变前缘见血管影,略环形强化,病变周围见点状及索条影,结合年轻病史,考虑结核
甄德强:右肺下叶结节影,边缘见多条软毛刺,包膜样强化,卫星病灶,考虑结核,不除外合并曲霉
大雄:似乎是支气管相连续,无强化,平扫似有高密度,考虑支扩粘液栓(曲霉所致)
小微:青年男性,慢性咳嗽,低热,血沉快。右肺类圆形肿块,其内见低密度影,周围见条索,较低层面似见卫星灶,邻近胸膜增厚。增强扫描薄膜样强化,其内为低密度坏死。综合考虑结核可能。有血管贴边,待除外PSP
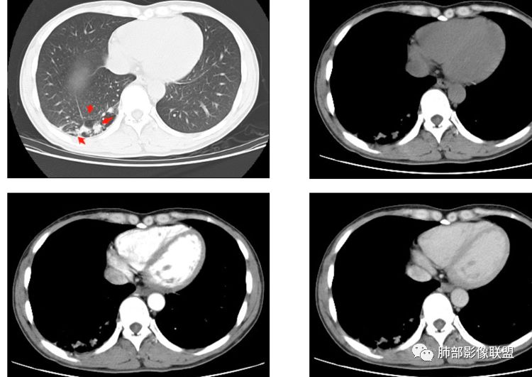
弹指之间:1. 青年男性,慢性咳嗽,低热,血沉快。2. 右肺下叶类圆形肿块,周围见条索,较低层面似见卫星灶,邻近胸膜增厚。增强后见轻度延迟强化,见血管贴边征,肺门侧见小淋巴结影(肺静脉起始处肿大淋巴结不确切);3. 右肺下叶体积未见缩小,局部支气管不扩张,无钙化;综合考虑结核可能,PSP和小细胞肺癌待排
看图说话:肿块边缘清晰,中心密度减低,环形强化,见血管贴边,周围见卫星灶,临近胸膜受累,结合病史年轻,血沉快,考虑炎性病变,考虑结核,周围有高密度索条,粘液栓,不除外隐球。有血管贴边,但位置偏胸膜,排除PSP
heronsbill:增强强化不明显,周边可见血管绕行,粘液表皮样癌,不能除外;
崇军:右肺下叶肿块影,形态不规则,边缘清晰,中心密度减低,环形强化,见血管贴边,周围见卫星灶,临近胸膜受累,结合病史年轻,血沉快,考虑炎性病变,考虑结核,但有血管贴边,外围分布,周围有晕,虽然男性,所以PSP待排
春秋:年轻男性,慢性病史,右下肺多发病变,卫星灶,环形强化,考虑结核可能性大
百事可乐:右肺下叶占位,首先良性病变,局灶性机化性肺炎、结核,PSP需要鉴别。病灶特点:右肺下叶类圆形肿块,病灶邻近支气管无狭窄及扩张,其内密度较低,液化坏死,无明显强化,可见长毛刺、条索、卫星灶,周围见肺气肿征象、血管贴边,临近胸膜增厚
可芸:青年男性,慢性咳嗽,低热,右肺类圆形肿块,密度偏低,邻近胸膜反应性增厚。增强扫描薄膜样强化。综合考虑结核球,鉴别PSP
马春平:曲霉菌 鉴别:结核、肺脓肿。青年男性,刺激性咳嗽病史迁延半年,低密度无強化、边缘血管征,周围长柔毛刺伴少量结节、临近胸膜反应增厚
张帅:患者青年男性,间断性咳嗽伴右胸反复不适半年。胸CT:右肺下叶后基底段实性病灶,边缘光滑,分叶,气管血管贴边,增强病灶内可见强化,病灶周围可见结节样改变,病灶周围胸膜明显增厚,考虑慢性感染:TB?,鉴别PSP?
秋实:青年男性, 病史半年,低热伴胸痛,右肺下叶肿块,多房分隔强化,周围见支气管绕行,邻近胸膜增厚牵拉,周围不干净,考虑慢性感染性疾病:结核,慢性化脓性改变伴胸膜炎。囊肿伴感染
玫:男,34岁,间断咳嗽伴右胸不适,低热右肺下叶见类圆形肿块影,边界清晰,边缘见毛刺及长条索影,其内密度不均匀,增强扫描似见血管贴边征,结合年龄先考虑结核,不除外PSP?
果豆:男,31岁,咳嗽,低热,右肺下叶一结节,边缘光滑,与胸膜牵拉,如果纵膈窗是环形强化,结核球可能性大。如果是血管贴边考虑psp
小强:青年男性,低热,右肺结节,分叶毛刺,部分边缘光滑,周围有散在斑片,增强周围线样强化,考虑良性,结核
晨:青年男性,慢性咳嗽,低热,右肺类圆形肿块,周围卫星灶,增强扫描边缘强化,考虑结核球可能,有血管贴边,鉴别PSP
Coke with ice:这个我感觉不像结核;我在想是不是支气管囊肿之类的
曹志勇:青年男性,低热,咳嗽,右肺下叶类圆形病灶,目测内部强化不著,壁强化明显,考虑肺脓肿,鉴别结核,类癌,不考虑PSP。深呼吸加重考虑与胸膜牵拉有关
THINK:右下结节,边缘强化,中央低密度,青年考虑TB
小监:年轻男性,低热,胸部CT示胸膜凹陷,但牵拉力稍差,似有卫星灶,血管贴边,首先考虑TB,鉴别PSP
杨泽峰:支持结核,没有强化,靠近病灶侧的血管壁凹凸不平,提示有破坏
飞鹰行动:右肺下叶结节病灶,边界清晰光滑,周围有卫星灶,增强后病灶环形强化,结合临床表现和血沉加快,考虑肉芽肿病变,结核或非NTM需要考虑,病灶半年未见明显钙化,NTM可能性大一些
小溪流:青年男性,右肺下叶结节,边缘光滑,周围有散在斑片,边缘强化,考虑结核
穿越七海的风:右肺下叶占位,无分叶,边缘光滑,周围卫星灶,环形强化,考虑结核,鉴别PSP
 luys:男 31岁。右肺结节 ,不规则,增强扫描周围薄膜状强化,伴线状分隔,邻近胸膜增厚。考虑肉芽肿病变
Coke with ice:支气管,血管都是受压推移,胸膜增厚,远端有肺气肿。病灶时代比较久远了。病变整体密度偏低,目测无强化,这个需要CT,然后再继续考虑

笨丫头:周围这一圈是环形强化吗?
甄德强:@笨丫头,是
一切随缘:右肺下叶结块,病变边缘平直略彭隆,周围似有多结节堆积,平扫密度均匀,增强后边缘包绕血管,血管略增粗,但边缘强化明显,支气管支气管在病灶内堵塞,年轻男性,症状较轻,综合考虑炎性肉芽肿(隐球菌,结核)
毛勤香:右肺下叶类圆形肿块,边界清晰,有张力,增强扫描中心强化不明显,低于胸壁肌肉强化,血管贴边,周围少许索片状影,右肺下叶血管较左侧明显增粗,我考虑先天发育,支气管囊肿并感染,代排粘液栓并感染和结核
Lotus:没有平扫,病灶强化不明显,囊实性不好判断,实性考虑炎性肉芽肿,PSP,囊性考虑支气管囊肿
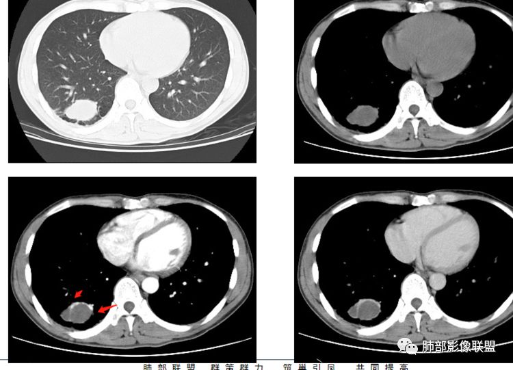
俞丽:右肺下叶类椭圆形肿块,边界清晰,张力中等,增强扫描强化不明显,血管贴边,周围少许索片状影,及空气新月征,考虑PSP,支气管闭锁待排
Harvey:青年男性, 慢性病程,低热伴胸痛,右肺下叶条状软组织灶,边缘膨隆,边界清晰,增强扫描强化不明显,血管贴边,周围少许索片状影,右肺下叶血管较对侧明显增粗,考虑支气管囊肿并感染、粘液栓形成可能,鉴别tb
joyzhy:右下肺囊状密度边缘血管跟随,向下沿支气管走行分叉,并见气肿,需要考虑支气管闭锁并粘液栓。建议薄层寻找支气管
傅昌瑜:青年男性,右肺下叶类圆形肿块,边界清晰,增强扫描中心强化不明显,血管贴边,周围少许索片状影,考虑良性病变
wonderful: @Coke with ice 貌似和支气管没啥关系 先天性疾病可以考虑吗?
慢性肺脓肿包裹也有可能的吧。中心坏死了啊 坏死了就算穿刺也不好确诊 我觉得慢性感染呗
Coke with ice:@wonderful 我在犹豫这个问题,在考虑不强化病灶,除了支气管源性囊肿之外的其他疾病谱。如果是支气管细小分支的囊肿,周围的支气管可以表现为这样受压,而且支气管性囊肿可以看不到与支气管相通
胸膜有增厚,多条淋巴道,感染性是存在的。
把CT值先撇一边,现有线索下,能考虑到啥疾病谱呢…  密度比较均匀,中心应该不是坏死吧
甄德强:这个有重建就好了。中心没有强化,代表没有血供   
亚东:间断性咳,右肺下叶后基底段实性病灶,边缘光滑,未见分叶,血管贴边,增强病灶内可见强化,病灶周围可见卫星灶,邻近胸膜明显增厚,考虑炎性改变。结核?肉芽肿?CT值看着很低啊
张晴:右肺下叶类圆形肿块,边界清晰,有张力,增强扫描中心强化不明显,低于胸壁肌肉强化,血管贴边,周围少许索片状影,右肺下叶血管较左侧明显增粗,我考虑先天发育,支气管囊肿并感染,代排粘液栓并感染,还有胸膜血管迂曲增粗。支持这个。或者血管性病变,PSP并感染?
Zhuweichao:右肺下叶椭圆形肿块,无分叶,周边强化,有血管贴边,血管进入,周边有条索渗出,胸膜增厚,病史较长,整体考虑良性病变,先天发育异常优先,结核不除外
Coke with ice:我赞同左老师的疾病谱。现有线索下,能考虑到炎性肉芽肿,PSP,支气管源性囊肿伴感染。不是支气管铸形分布,未见分叉,相对彭隆的比较厉害,粘液栓不考虑
生来征服-浪子:这个病灶有张力,但是又不特别硬感觉
大雄:@ Coke with ice粘液栓也可以膨隆,也可以不是铸型分布
张晴:普通肉芽肿不支持,如结核,这个内部似乎是液性密度,不是干酪。如果延迟有轻度强化,不除外涎腺肿瘤
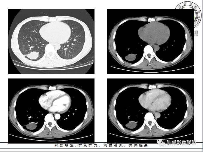
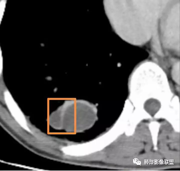
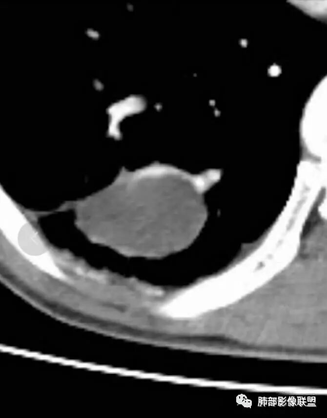
水晶石头:患者中年男性,病程半年,以间断咳嗽伴胸部不适为症状。查血沉快。胸部CT:右肺下叶后基底段结节占位灶,边缘光滑,周围见少许点状高密度影,部分与胸膜相连,病灶可见贴边血管征,似见空气新月征,强化呈边缘强化,内见低密度灶。综合考虑良性病变,结核可能性大,鉴别硬化性肺细胞瘤、错构瘤及机化性肺炎可能
Coke with ice:@大雄 哦?粘液栓还可以不是铸形分布吗?
哞:考虑结核,右肺下叶病灶,部分边缘平直,周围多发胸膜牵拉,周围有卫星灶,增强未见明显强化,周围血管受压,考虑结核球,不除外错构瘤
大雄:看铸成啥样吧,可以在一支支气管内很局限的膨隆,
杨文军:周围卫星灶,胸膜牵拉,与叶间裂关系密,有膨胀现象,可见小支气管扩张,周围肺气肿,有毛刺,增强血管贴边,不是挤压。TB、隐球菌、PSP瘤
Coke with ice:@大雄 你觉得囊腺瘤可以这样吗?我了解的很少,感觉囊少了些,周围肺组织发育还可以,无既往病史
岁月:男,34,间咳右胸不适半年,血沉20;胸膜坑坑洼洼,反应广泛,平扫密度不均,边缘均强化,中心坏死彻底。想想骨结核,它的破坏力超强,沙粒死骨。诊断,结核,鉴别无
大雄:先天性囊腺瘤畸形吗?不太典型,先天我宁愿考虑支气管闭锁;假如它不是和支气管相通
心灵鸡汤:右下叶团状影,边界清,边缘稍膨隆,邻近胸膜牵拉,周围有斑片状影,长轴似沿支气管走行,青年人,增强后轻度强化,常规考虑肺内良性病变,肉芽肿病变可能,隐球菌,psp待排,鉴别类癌,孤纤,建议三维后重建,穿刺活检

杨泽锋:这个血管壁有破坏吧?
大雄:还是推移为主
彭君:右肺下叶团块及周围多发结节及索条 增强无强化 周围包膜强化 局限性肺气肿 邻近胸膜增厚 未见到与支气管有明确关系 考虑炎性病变 结核可能
杨泽锋:按理说囊肿这么大的情况下不太容易推移血管
大雄:囊肿倒是可以推移,良性占位都可以推移;就是结核不可能推移
丽:晨读,右肺下叶结节,边界清晰,内密度均匀,周围可见索条影,增强后结节边缘可见血管影,内可见分隔,结节内部未见强化,患者青年男性,病程长,首先考虑良性,考虑支气管囊肿继发感染可能大,鉴别结核
蒋腾华:患者青年男性,病史半年。胸CT:右肺下叶实性病灶,边缘光滑,分叶,毛刺,气管血管贴边,病灶周围有小结节样改变,胸膜增厚,考虑TB?,鉴别PSP?
Shelia♢:男性,慢性病程,查血沉快。右肺下叶基底段肿块,边缘光滑,其内似见空气新月征,血管受压推移,呈血管贴边征,临近肺动脉增粗,增强后强化不明显,部分与胸膜相连,周围肺野稍模糊,可见散在少许结节,结节边缘平直收缩,以胸膜下分布为主,与胸膜平行,结节综合,我考虑二元,考虑右肺下叶肿块PSP合并周围小结节为隐球?支气管囊肿伴感染带排
德芙-云味:年青人,慢性病程,发热。右肺下叶类圆形肿块,见卫星灶。中心密度偏低,周围有强化,胸膜增厚。考虑结核可能,带排PSP

Zhuweichao:结核的话病史这么长这条血管应该有破坏了吧
Shelia♢:除了周围肺野结节,我还真觉得这个右肺下叶肿块挺典型的psp,血管贴边,肺动脉增粗,空气新月征,周围结节单独看像炎性肉芽肿病变,觉得隐球,猜一个二元吧
了:右下肺结节影,边缘毛糙,纤维条索影,局部胸膜肥厚粘连,环形强化,考虑炎性,结核需要考虑
风之子:年轻男性,右肺下叶占位,边缘平直,光滑,无分叶,周围卫星灶,环形强化,考虑良性病变,结核可能,边缘有点像血管影,但强化不明显,PSP不符合
管洪林:青年男性,右肺下叶结节,边缘光滑,内部分隔,无明显强化,目测液性密度,胸膜索条牵拉,临近肺野可见少许高密度,支持部分老师意见,首选支气管囊肿合并感染,代排结核,但感觉内部密度偏低,干酪样坏死,应该密度还要高一些,psp,男性少见,强化不明显,胸膜牵拉,不支持
寒江雪:青年男性,右下肺结节,周围长毛刺,胸膜牵拉,环行薄膜样强化,血管贴壁,结核?其它炎性病变待排
甘丽杏:血管贴边,病灶边缘强化,未见明显坏死,首先考虑坏死不明显的感染,隐球菌考虑,结核不首先考虑。其次是不典型的PSP
没意见:青年男性,右肺下叶后基底段结节,支气管溜边,是否进入不明?分界明显,边缘光滑,浅分叶,周边索条与胸膜相连,无明显胸膜凹陷,有卫星灶,薄环样强化,考虑结核,鉴别Psp,性别、强化特点不支持;错构:血管进入,无钙化,轻强化,不支持
欧阳英:青年男性,右肺下叶后基底段肿块,无明显强化,周围有血管贴边强化,支气管似有偏移改变,边缘模糊,邻近胸膜增厚并索条相连,考虑炎性肉芽肿病变,鉴别PSP
林建平:青年男性,慢性咳嗽,低热,右肺类圆形肿块,密度偏低,邻近胸膜反应性增厚。增强扫描血管样强化。综合考虑结核球
尘缘:青年男性,病程半年,间断咳嗽,低热,胸部不适,血沉轻度增高,血像及肿瘤标志物无异常,右肺下叶后基底段肿块,边缘光滑,无分叶,无端多条纤维条索与胸膜牵拉,胸膜局灶性反应增厚,病灶周围有纤维条索及斑点状影,增强后肿块中心无明显强化,边缘似呈环形强化,血管呈推移,中远端有血管穿行。综合考虑:炎性肉芽肿病变,结核可能大,支持点(青年男性,病程半年,血沉稍高,中心无强化,周围卫星灶,不支持点,病灶无明显坏死,中间穿行血管无破坏)鉴别粘液栓(未看到支气管,中央有血管穿行,所以觉得粘液栓暂无明确依据
大雄:无强化,推移血管,排除结核与psp;平扫似有高密度
与支气管相通,则考虑曲霉粘液栓;不相通,可以考虑支气管闭锁或囊肿。


南边老师分析:
大家在讨论中提到以下疾病,归纳一下
1、恶性:鳞癌
2、先天发育异常:囊肿、支气管闭锁、隔离症
3、感染:结核、曲霉菌、炎性肉芽肿
4、良性肿瘤:PSP
我们一起捋一捋征象:
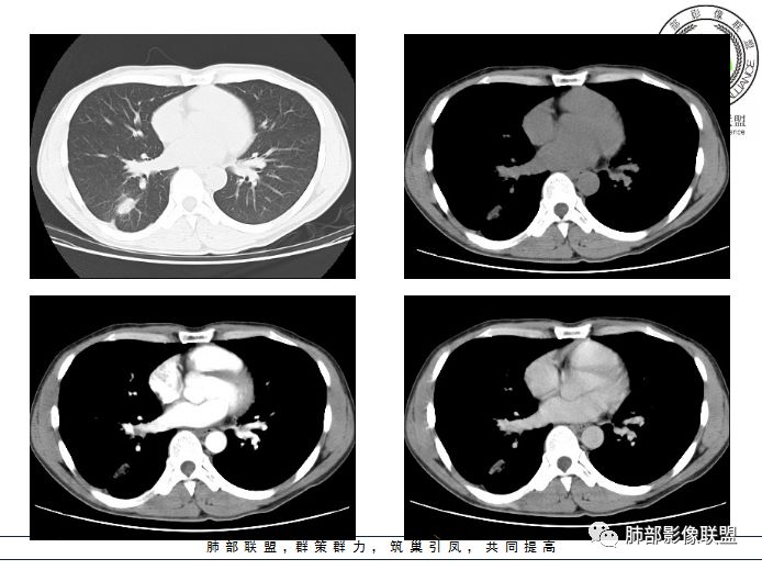
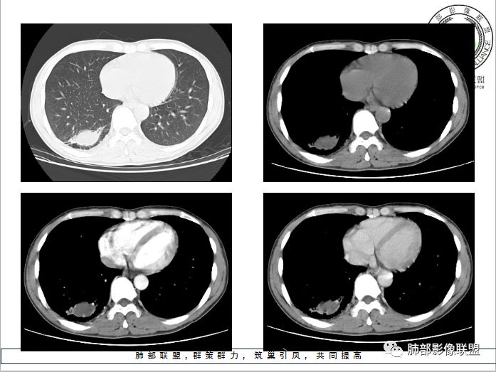
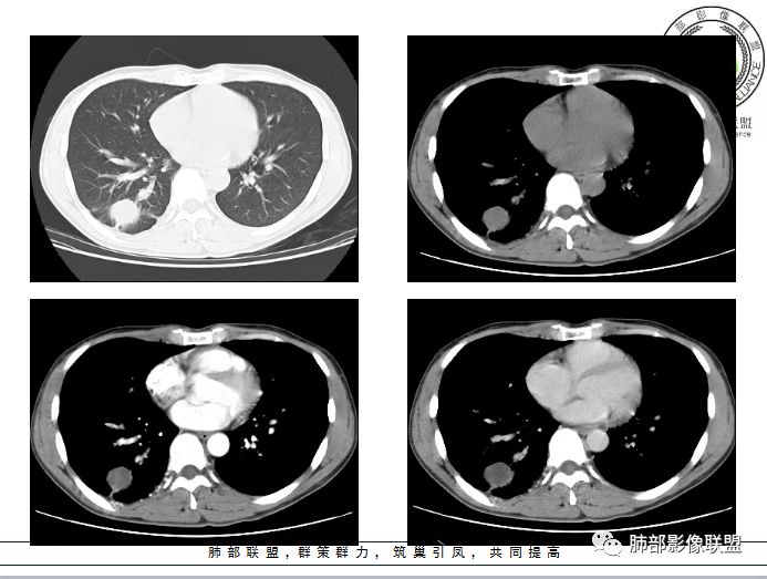
男,34岁,主诉:间断性咳嗽伴右胸反复不适半年;现病史:右胸不适,深呼吸加重,伴轻度咳嗽、低热;
青年男性、病史半年,低热;
按这个病史,鳞癌好像年轻了一些;其他的都可以

右肺下叶囊性病变,边缘光滑,薄环状强化,内壁较光滑

血管贴边
   周围多发长索条

远端有斑片状条带状高密度影,周围肺气肿

附近胸膜增厚,内有血管影
大家综合考虑一下,哪些可以考虑?哪些可以排除?排除的依据
Coke with ice:鳞癌暂不考虑
隔离暂不考虑。血管发育挺好,临近支气管受压推移,闭锁不考虑
未见体循环供血,隔离不考虑
密度太低,虽未见CT值,结核不首先考虑
Sugar 阿Q:恶性的排除:Psp排除
管洪林:psp肯定排除。隔离能排除吗?
尘缘:鳞癌强化和年龄都不支持;远端的胸膜改变与斑片状影及纤维条索都不支持鳞癌
强化程度,中间血管穿行,都不支持PSP
张小兵:强化幅度不支持Psp
大雄:没有强化,psp.首先排除。隔离那要看有没有体循环供血
血管贴边排除结核
八爪鱼:结核的话血管贴边完好 不好理解
尘缘:@大雄 不一定哦。万一只是结核增殖性肉芽肿对血管的推挤呢?
大雄:@尘缘 那也不会,血管直接包绕破坏
          结核增殖直接包绕了血管,后期破坏了;不会推移
管洪林:结核的破坏应该很明显,王老师讲课说过,结核的干酪样坏死,CT值应该20-30吧;密度不会太低;但结核肯定不能排除;结核的干酪样坏死和感染的液性坏死,密度肯定有差异吧;没有测量也不好说
隐球可以这样的密度吗?
南边:不是很支持。还剩下些什么?
Sugar 阿Q:慢性炎性的改变;结核不能完全排除
管洪林:支气管囊肿
但结核肯定不能排除
尘缘:@管洪林 因为结核是妖怪啊,他七十二变的。哈哈。
          单单凭血管和密度就排除结核,我还是不敢。
南边:还有炎性、囊肿
Coke with ice:嗯。还有炎性和囊肿鉴别不开了
南边:周围病灶提示应该是慢性,因为有肺气肿,病灶密度偏高:问题是囊性病变该考虑啥?
管洪林:假如囊肿,也是一个慢性感染后的改变,确实也往后放
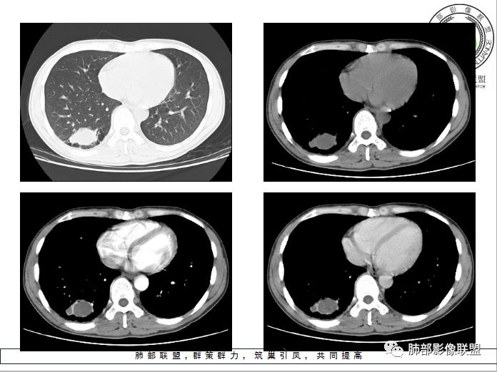
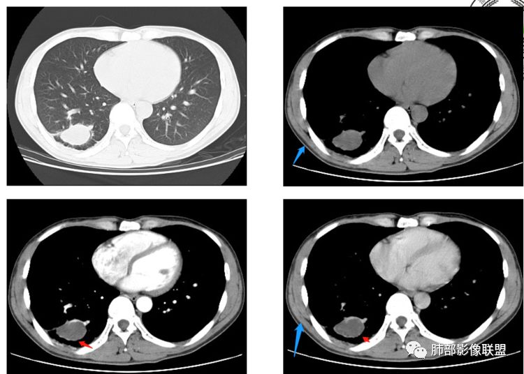
南大病变影像分析:
这个病变和大家所想有些差异,这个图像还是不够薄,但是

第一,看支气管,有一条支气管从病变边缘走过,有一条支气管在病灶近端堵塞;说明病变和支气管有关系,一般情况下支气管堵塞应该考虑炎性病变或恶性肿瘤才可以符合,不符合良性肿瘤,当然肺囊肿也可以,因为它是先天发育变异的。
第二,看强化幅度,内无强化,但是我担心图像并不够薄,目测观察有所偏差,但是现可见薄壁样强化;从这个角度考虑,良性肿瘤就不符合了,如PSP就不太支持了,这个病变远端有分叶、有小尾巴,周围有索条状影,除非PSP合并感染,二元论,否则单纯PSP周围不会有这种表现。
第三,病变旁边胸膜区域有增厚,似乎有些血管增粗,虽然这不是隔离征好发区域;它应该偏内侧一点,但是我们应该最好有重建血管先排除隔离征;从所给图片看,病灶具体走形外面没有看见血管进入,因为是囊性病变嘛。
第四,病变为薄壁环状强化,就两种可能,
      1 是病变内为囊性成分,即囊肿,周围病变考虑合并感染;      2 是病变内是干酪坏死,周围是薄壁强化,然后是一点纤维组织,再周围是一些结核的病灶;
但是有些疑惑:
      首先周围病变肯定是感染性病变;索条状的,但是囊肿伴这样感染,真的很少见;
      其次病变周围有索条、肺气肿,这些慢性病的改变;还有就是形态,似乎是稍长点的形态;这几点就更符合结核的表现,但是周围病灶没有树芽征,都是索条;结核这样子的干酪样坏死,也少见,壁薄呈这样,就一层纤维;附近的血管又这么粗;
但是我们先把方向锁定在炎性病变;囊肿伴感染还是结核,这两个在图片上各自特点都有,从目前条件无法完全典型的分辨出来;但是还是倾向于囊肿合并感染。


结果

晨读病理
支气管囊肿伴感染
小结
        肺内支气管囊肿并感染一般都是囊腔内的感染,这个病例感染灶延续到远端,还伴有肺气肿;猜测是病变压迫近邻支气管造成的慢性炎症;病变以远的肺气肿,或许是活瓣效应。 
        肺内型支气管囊肿: 在单个肺段,支气管囊肿与支气管闭锁的鉴别比较困难。支气管囊肿应包括支气管闭锁形成的黏液囊肿,因为他们在病理结构上是一样的。但支气管囊肿多不形成周围的肺气肿。支气管闭锁在病理上也常报告为支气管囊肿:因为标本时常垂直于支气管长轴,造成对闭锁段判断困难,闭锁周围的肺组织多不含炭末。但影像上表现的支气管黏液囊肿和周围肺气肿改变可确定先天性支气管闭锁的诊断。






END

长按二维码关注我们
编辑:李建丽
审核:冯连彩   徐   晓
病例提供:赖晓宇   惠州市慢性病防治站
到顶部