【每日晨读】会呼吸的痛--肺栓塞



没有谁的幸运,凭空而来。只有当你足够努力,你才会足够幸运,这世界不会辜负每一份努力和坚持。
病史资料:
































                       群内讨论
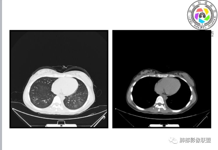
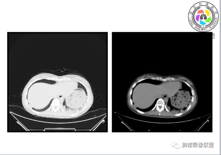
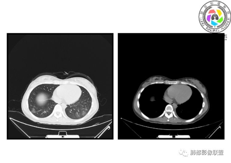
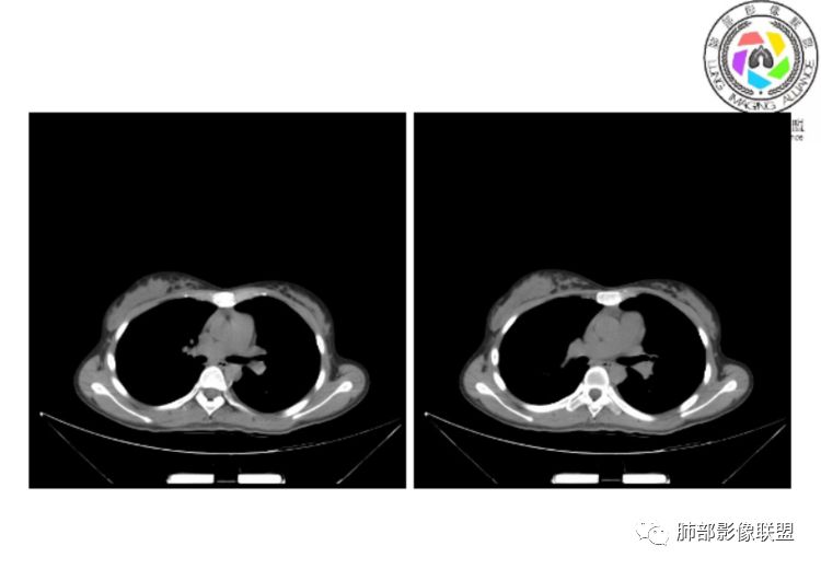
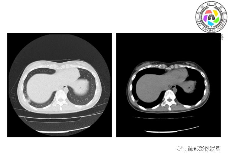
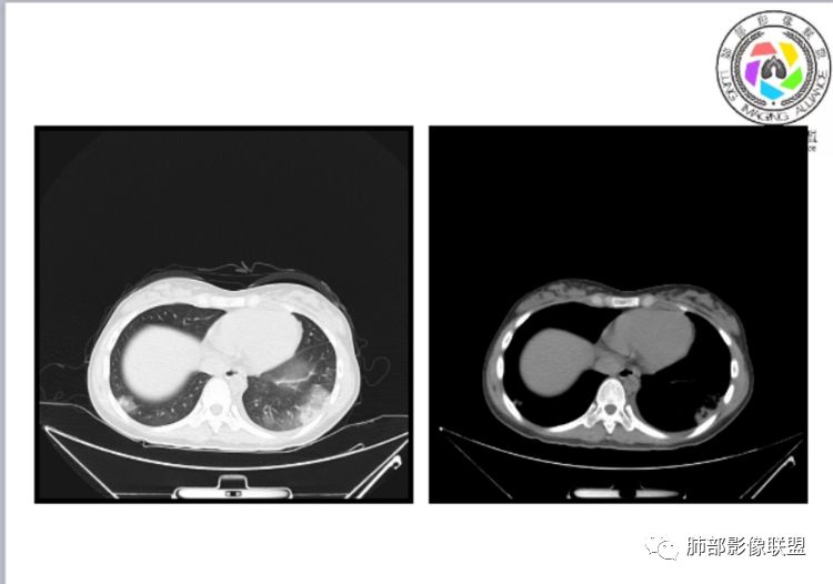
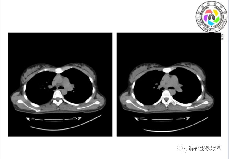
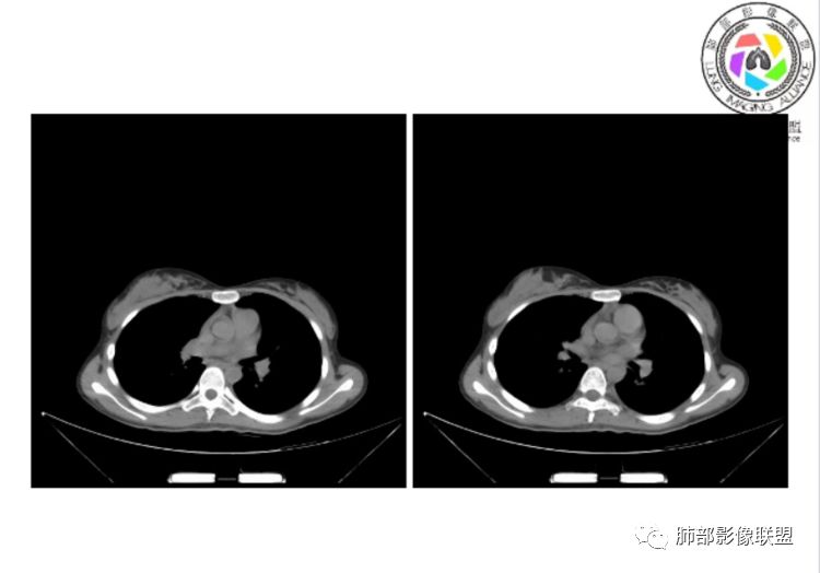
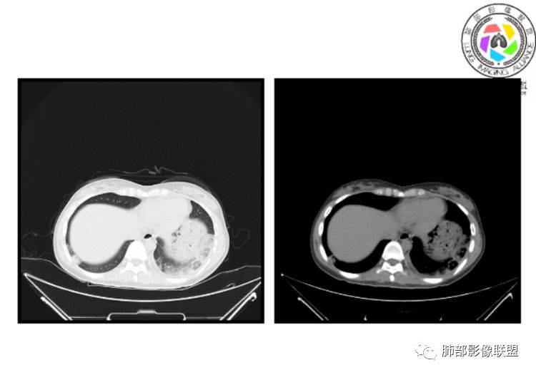
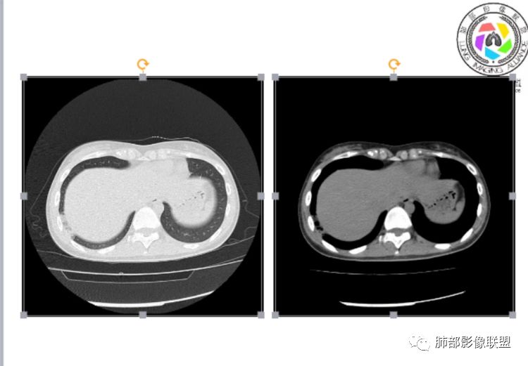
小微:右肺下叶斑片状密度增高影,抗炎治疗6天后复查,双肺下叶出现斑片状密度增高影,排除炎性病变,D2聚体特别高,考虑肺栓塞,肺梗死,建议增强扫描。王开金江津中心医院呼吸科:@岳微-辽宁PLA234医院放射科?支持,患者年轻女性,胸痛主诉,使用雌激素,高危人群,心率快,d二聚体升高,右下叶斑片加肺动脉明显增宽,抗感染无效,要考虑PTE,建议肺动脉ctpa。傅昌瑜:19岁,女性,右侧胸痛2天,发热以中度热为主,D—二聚体升高,肺动脉主干增宽,病灶位于胸膜下,抗感染后增多,近来有服用炔雌醇环丙孕酮片2周期史,诊断:肺栓塞,下一步完善肺CTPA检查。阿仙奴:青年女性,急性起病,胸痛入院,月经不调史,目前服用孕酮片。流感抗体阳性,d二聚体升高,无低氧血症。右肺下叶基底段胸膜下磨玻璃样改变,肺动脉增宽,治疗过程出现发热,复查左下叶胸膜下新发病灶。考虑:肺栓塞(服用孕酮相关)?奔跑的37°Doctor(陆喜红 ) :年轻女性,胸痛 急性病程,有服用雌激素避孕药史(是否有血液循环的改变,高凝状态),实验室D二聚体很高(也是提示血液高凝状态) ,第一次CT,右下肺胸膜下斑片状密度增高模糊影,肺动脉形态密度未见明显异常,抗炎后复查,肺动脉干及其分支,感觉增粗了一点,局部形态有点饱满,双下肺胸膜下片状影增多,锁定肺动脉栓塞应该不会错,建议CTA检查飞鹰行动:青年人,女性,右肺下叶斑片状密度增高影,抗炎治疗6天后复查无好转,,双肺下叶出现斑片磨玻璃影,主肺动脉增粗,结合患者服用的药物和D2聚体特别高,考虑肺栓塞,建议CTA。李:口服避孕药,有危险因素,肺动脉较主动脉增宽,D二聚体增高,胸膜下片状影,考虑肺栓塞;@晨义工张帅,医附属潞河医院呼吸?是否痰中带血很关键,不知有没有张帅:患者入院后第七天出现痰中带血风之子:病程中有发热,D—二聚体升高,肺动脉主干增宽,病灶分布于胸膜下,抗感染后增多,结合服药史诊断:肺栓塞,建议CTPA检查。不支持的地方是没有低氧血症,不明白为什么第二次复查ct双侧乳腺不对称,按理乳腺炎多见于哺乳期张帅:大家方向都在考虑肺栓塞:我提问两个问题:1 周围毛玻璃怎么回事?2左下肺小叶间隔增宽怎么回事?笨丫头:周围的磨玻璃应该考虑是肺梗死后出血渗出,同时合并机化性炎症小叶间隔增宽,我考虑应该是梗死后炎性渗出wonderful:我不支持肺栓塞 不能解释发热原因
入院不发热 中间发热 莫西就打下去了。这个过程像感染
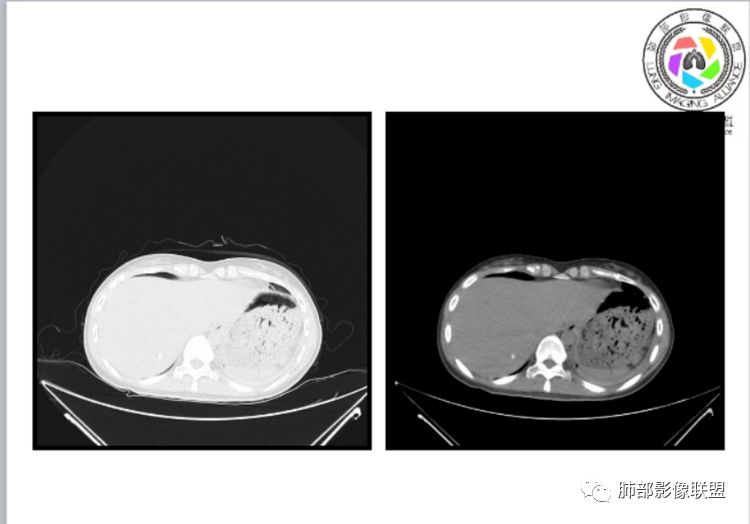
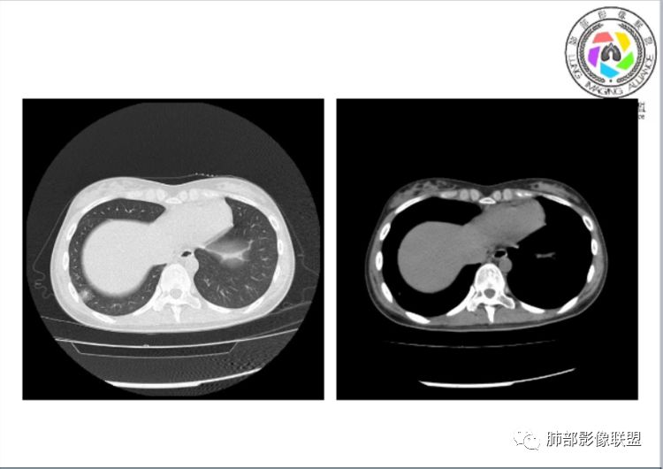
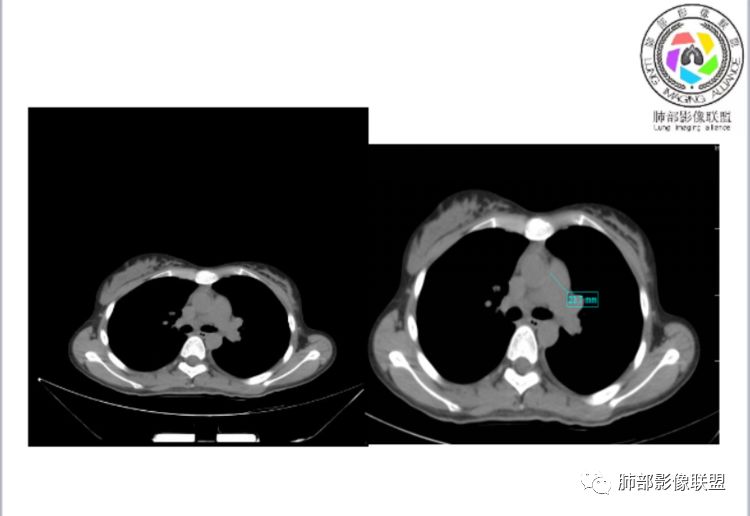
笨丫头:肺栓塞也会发热呀王江涛:肺内子宫内膜异位症,合并梗死出血Lenle董:外围渗出性改变,出血?左下肺的支气管镜不会看张帅:呼吸困难比较难判断,尤其对于一个有胸痛的患者来说@唐大川新沂市人民医院呼吸科风之子:对,要警惕子宫内膜异位症岁月:病史:女,19岁;右侧胸痛2天;血常规17.4,中性粒75.7%,右下肺斑片影;月经不调,雌激素?治疗;D2高,3974.78,支气管镜阴性。治疗方式,抗炎。病史诊断方向:肺栓塞?影像:首先找肺栓塞影像。6天后CT可疑肺栓塞;作者量肺动脉23.7mm,提示什么?好像和同层面主动脉宽度相当,先心病?肺血无明显改变?双肺斑片影,左侧磨玻璃,边界清楚,还有些散在不清楚,左侧为甚,胸膜下贴,三角形?左侧少了胸水;诊断:肺栓塞;鉴别:先心合并肺栓塞?肺炎。
感觉这东西要去寻找证据,把它固定下来。
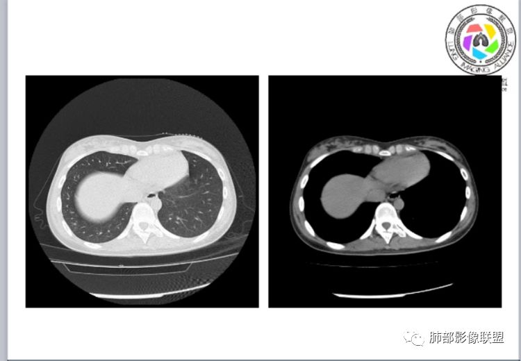
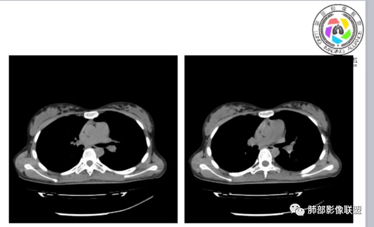
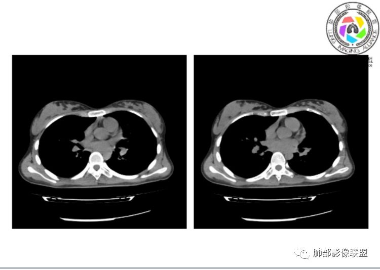
joyzhy:融冰征,肺动脉增粗,胸痛,建议ctpa排查肺栓塞。
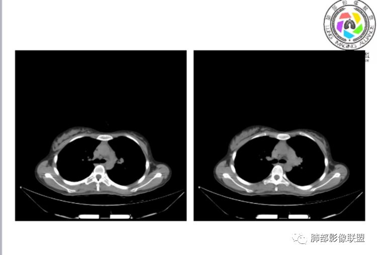
张帅:好多老师都在说肺动脉增宽。肺动脉增宽标准是多少?程磊:29。或者比同层主动脉比值大于等于1
好多情况夹层和栓塞,主动脉,肺动脉都不一定增宽的。只是一个征象吧
岁月:数值只是参考。想想左右肺循环。因为左肺弥漫。形态。症状在右侧。
张帅:我量的虽然不标准,但不到24
尘缘:发病两天,胸痛,咳嗽,左肺小叶间隔增厚,右肺磨玻璃影,后面有咯血,白细胞增高,有月经不调史,还是先考虑病毒性感染继发细菌感染可能,至于是否有子宫内膜肺异位与肺动脉栓塞,需要结合增强与CTA进一步明确。
这个支气管镜不会看,不过为什么提供出来?有可能就是支气管内膜有异位的子宫内膜
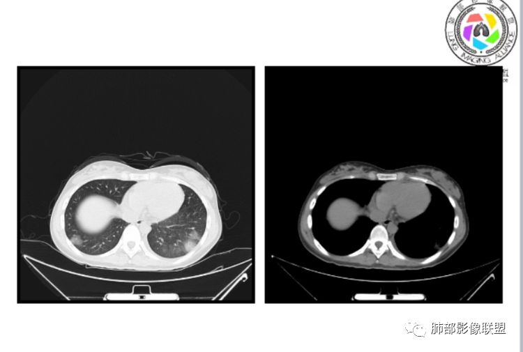
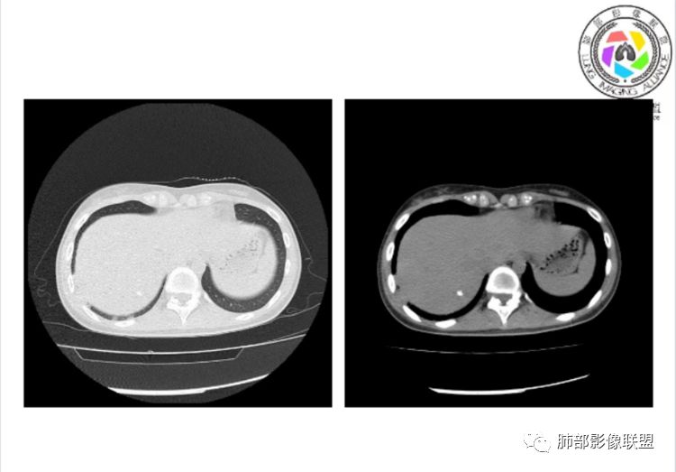
水晶石头:患者青少年女性,右侧胸痛2天就诊。有咳嗽,无痰。初次胸部CT:右下肺片状模糊影。入院后经头孢美唑、莫西沙星抗感染治疗6天后复查胸部CT:右下肺病灶加重,且左下肺出现类似病灶。结合其气管镜气道无异常,病程中有发热,D—二聚体升高,近来因月经不调有服用炔雌醇环丙孕酮片史。诊断考虑良性非感染性。肺栓塞可能性大,鉴别血管炎及子宫内膜肺异位可能。流心明智:女性,19岁,右侧胸痛2天,中度热为主,D—二聚体升高,影像:肺动脉主干小于29mm,病灶位于右下肺胸膜下,斑片影,胸膜侧宽基底,抗感染后增多,左下肺亦出現类似病灶,似有反晕、融冰征。近来有服用炔雌醇环丙孕酮片2周病史,考虑诊断:肺栓塞。具体性质及发病机制有待进一步检查。尘缘:@吴永丽 灌云县医院 呼吸?应该是的,左下肺的磨玻璃影像后面也支持有出血改变所以可能就是一个子宫内膜异位出血合并感染
肺栓塞很多问题解释不了
D-二聚体在出血后纤溶功能改变或者孕期或者避孕药都会影响,不是栓塞的特有指标
只能说它增高了,要考虑凝血功能改变,有栓塞可能,但不一定肯定有
没意见:同意各位老师高见,临床D二聚体比这个高的多了,这个指标只能作为筛选条件,就这个病例来说,指向性还是比较明显的,没看出还有别的可能wonderful:d2聚体阴性有排除意义 阳性与数值意义不大天涯:感染有,是不是和栓塞有关?还要CTA,子宫内膜异位思路很好不倾城不可爱:会不会子宫内膜异位症呢采莲:青年女性,有口服避孕药病史,双下肺胸膜下多发斑片磨玻璃影,有融冰征,二聚体高,还是首选肺栓塞可能性大。至于子宫内膜异位症见得少。崇军:第一次点晕征,六天以后加重,而且左下肺病灶明显增大,磨玻璃,pct正常,抗感染无效,所以感染性病变排除。肿瘤性病变,太年轻,暂排。血管炎,化验为阴性。少见病子宫内膜移位不会六天以后加重。结合化验指标,还是肺栓塞可能南边:曹老师考虑子宫内膜异位症?有没有考虑肺栓塞的?我们下一步该如何处理?
内膜异位肺部啥表现?1、与月经有关
2、咯血
3、囊或结节,周围出血
就是肺部月经周期来月经这个好像不符合大家知道这是啥概念吗
Coke with ice:我不知道考虑子宫内膜异位的依据是什么。我能想到的只有肺栓塞M-Imaging :会引起血液高凝吧宇宙星空:出血吧南边:唐老师提出:病毒?考虑吗?
体温不高
胸痛明显
楔形
D二聚体高,入院时高了一些,后面比较稳定
我倾向于栓塞,下一步增强如果异位,这么大片,临床会有咯血才对啊大家都考虑,放待排
没有发热,我觉得病毒不支持
长沟流月去无声:避孕或者人工周期
Coke with ice:待排子宫内膜异位的依据是什么呢?是因为临床咯血吗?尘缘:患者第七天出现痰中带血,鲜红色wonderful:入院wbc那么高南边:异位待排的原因:年龄轻了一些,但是可以符合;一直有月经失调长沟流月去无声:你们忽略了一个医学常识;这个人吃达英-35这个药是抑制内膜增殖的,就是这个药做的是人工周期
南边:有这个副作用M-Imaging :肺动脉主干好像接近主动脉管径南边:就是说服用这个药物有血管栓塞的可能
我开始以为是类似于假孕反应后来看说明书不是啊因为子宫内膜异位症的治疗方案是假孕反应
长沟流月去无声:如果患者发病时在服药那么不是副作用问题,吃人工周期的药
尘缘:那她为什么后来咳血?南边:不是这个药物大雄:体温不是高吗,最高39度啊@南边楚楚:这个影像不是典型的肺栓塞表现楔形,但也是远端肺血管小栓塞的表现,可以是圆形片状,位于肺边缘,这个小患者胖不胖?体重是不是超常?有没有下肢静脉曲张?她的临床表现可非常符合肺栓塞,先胸痛,之后,咯血或发热,这就是出现了肺梗死的表现。如果是子宫内膜异位症,那和月经周期是密切相关,我觉得肺栓塞的可能性更大。尘缘:栓塞会引起出血吗长沟流月去无声:如果你不停药永远不会来月经
因为可以控制自己月经
需要激素发生撤退性变化如果她没有停药不会出血这样就完全排除肺里是内异症出现,而内异,本质就是内膜出血
南边:如果重建就是楔形咯血应该是后来梗死所致,或复通大雄:这个人是有发热的长沟流月去无声:重要是如果她没停药,肺里有病变,那就不是内异症楚楚:如果怀疑可以栓塞,赶紧做血管造影,如果继续栓塞的话,会有危险。肺栓塞的咯血血坚决不能用止血药,如果一旦应用止血药,会加剧肺栓塞!长沟流月去无声:她是21天内,还是7天停药期,停药马上就出血,一般也就第二三天,这个是短效激素,水平很快就小去了大雄:我是说会迅速异位到肺里?@熊桅-天津中医一附院长沟流月去无声:内异症没人说是从子宫到肺的内异是种化生。逆流学说现在已经没多少人信了
楚楚:
肺栓塞梗死后可以出现发热白细胞增高!
尘缘:一般都是化生引起
楚楚:这个小患者就是肺栓塞和内膜异位症的鉴别诊断,更倾向前者,赶紧做下一步检查吧!内膜异位症也不可能这么快就感染,而是栓塞后梗死出现咯血!她的病史不长,非常符合肺栓塞,这么短的时间,怎么会好几元化解释呢?安智轩:不考虑血管炎?楚楚:血管炎的话,这病灶都在边缘?栓塞后梗死的过程中有渗出啊!
肺栓塞胸痛发热咯血是有顺序的,一定是先胸痛
大雄:肺栓塞为啥会引起磨玻璃,实变,小叶间隔增厚?
可是这不是反的吗,先出现磨玻璃,后有实变,间质增厚,梗死在哪?
初学者:D2聚体高,肺部没有做CTA,或者没有给。考虑血管类的病变,肺动脉栓塞,肺梗死?但是肺动脉为什么栓塞,这个年龄,也应该有原因吧。所以首先完善CTA,然后找血管类的病变,比如ANCA看看是否有血管炎,然后提到月经不调,是否子宫内膜异位。大概方向是这样子宫内膜异位的药是假停经的症状,是让卵巢休息的,就是不会出血,但是我不知道这个药有没有停药,或者这个出血的时间和月经的时间需要对一下如果药没有停,月经都没有来,按道理肺内是不会出血的,但是扩展思路需要考虑
楚楚:容易诊断,微小栓子影像各异,可以是圆形或小片状,就容易误诊,肺栓塞是急症,可以危及生命,是不容时间误诊的,只要我们有这个意识,不误诊就好!微小血栓形成病灶,都在肺边缘!这个时候,病史临床表现非常非常的重要!

病理结果:肺栓塞


肺栓塞
     肺栓塞(PE)是由于内源性或外源性的栓子堵塞肺动脉主干或分支,引起肺循环障碍的临床和病理生理综合征,包括肺血栓栓塞症、脂肪栓塞综合征、羊水栓塞、空气栓塞、肿瘤栓塞等,其中肺血栓栓塞症(PTE)是最常见的类型,以肺循环和呼吸功能障碍为主要临床表现,在肺栓塞的基础上进一步发生肺组织坏死,即为肺梗死。
     肺血栓栓塞90%是由深静脉血栓形成的,静脉血栓形成的危险因素:1.血液瘀滞 2.血液高凝 3.内膜损伤 ,而造成这种的危险因素主要由以下风险因素:高龄、肥胖、手术、创伤、妊娠分娩、雌孕激素治疗、肿瘤等。
     肺栓塞临床症状体征多不一致,可无症状,常见的症状为呼吸困难,活动后明显,胸痛、咯血、心悸、出汗、晕厥、休克、甚至猝死等;PE的三联症:突发性胸痛、呼吸困难、咯血.
           肺栓塞的病理生理机制
    肺栓塞后,病变区血栓栓塞可以引起血管活性物质的释放,并可激活白细胞,引起肺组织局部炎症渗出反应;因通气血流比例失调,还有血小板及白细胞释放炎症介质引起气道痉挛,肺组织缺氧,肺泡表面活性物质减少,引起肺不张、出血、水肿及梗死;病灶梗死区中央为坏死灶,周围局部有炎症反应,也有水肿带或出血区,水肿及出血短期可吸收,坏死灶形成纤维化。
 CTPA(CT断层肺血管造影)是对疑似PE患者肺血管系统成像的首选方法,可直观判断肺栓塞的程度和形态,以及累及部位及范围,可以从直接或间接征象进行诊断,但是对亚段及远段肺动脉血栓敏感性较差,联合肺动脉造影可以使PE诊断敏感性增强。
CTPA直接征象:
1、肺动脉中央部分充盈缺损
2、偏心性或附壁充盈缺损
3、骑跨型血栓
4、完全型充盈缺损,动脉截断,远端动脉分支内无造影剂
CT平扫及间接征象:
1、一个或多个胸膜下斑片高密度影(梗死、出血、肺不张、肺水肿、炎性渗出),典型为胸膜下楔形影 ,尖端指向肺门
2、肺动脉高压(中心肺动脉扩张),有时可见肺动脉区高密度影。
3、肺血减少
4、马赛克灌注
5、膈肌升高、胸腔积液、心包积液
病例小结
1.临床:本例病人有服用雌激素史,是发生肺栓塞的危险因素,以胸痛起病,后有咯血症状,符合PE的临床表现;
2.实验室检查:明显的D-二聚体升高。虽然D-二聚体升高并不能确诊PE,但是明显升高一定要高度警惕肺栓塞的风险。
3.影像:病变胸膜下多发斑片影,提示与血管有关,早期病变为渗出,应该是早期的炎性渗出,病灶抗感染治疗后实变区增多、变大,临床症状又出现咯血,CT上应该合并了肺泡出血、梗死、肺不张及肺水肿;
以上都高度提示肺栓塞,因积极行肺动脉成像检查!

●肺血栓栓塞症
编辑:张   立
审核:蔡笑燕    徐   晓


到顶部