【每日晨读】 诡异的小细胞肺癌


遇到不一样的你(小细胞肺癌)
RECOMMENDATION




01
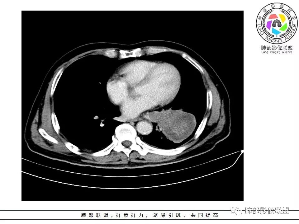
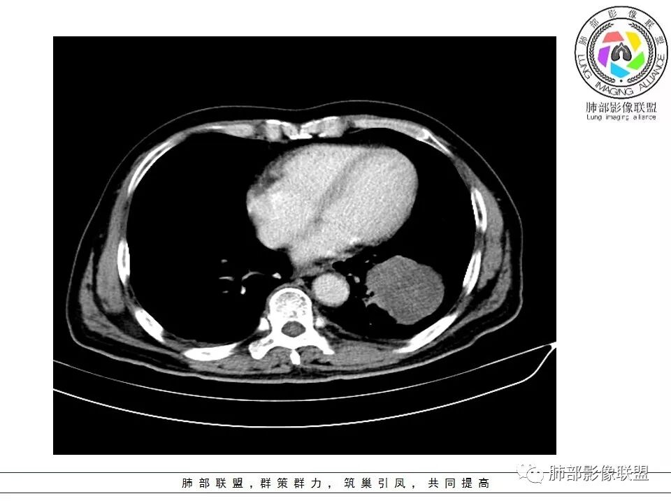
病例资料





































02
精彩讨伦

马春平(张家港市一院胸外科:        

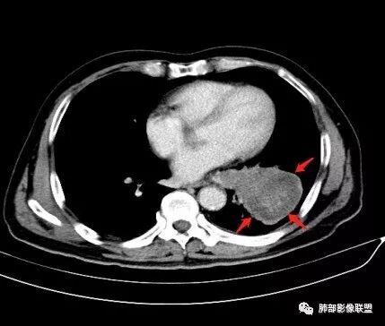
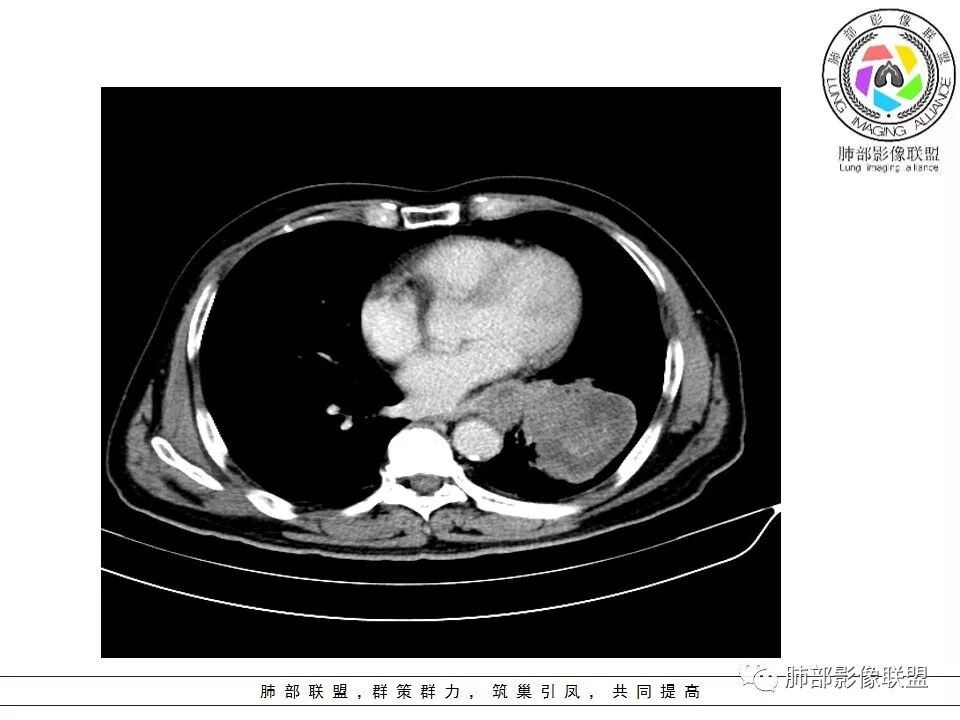
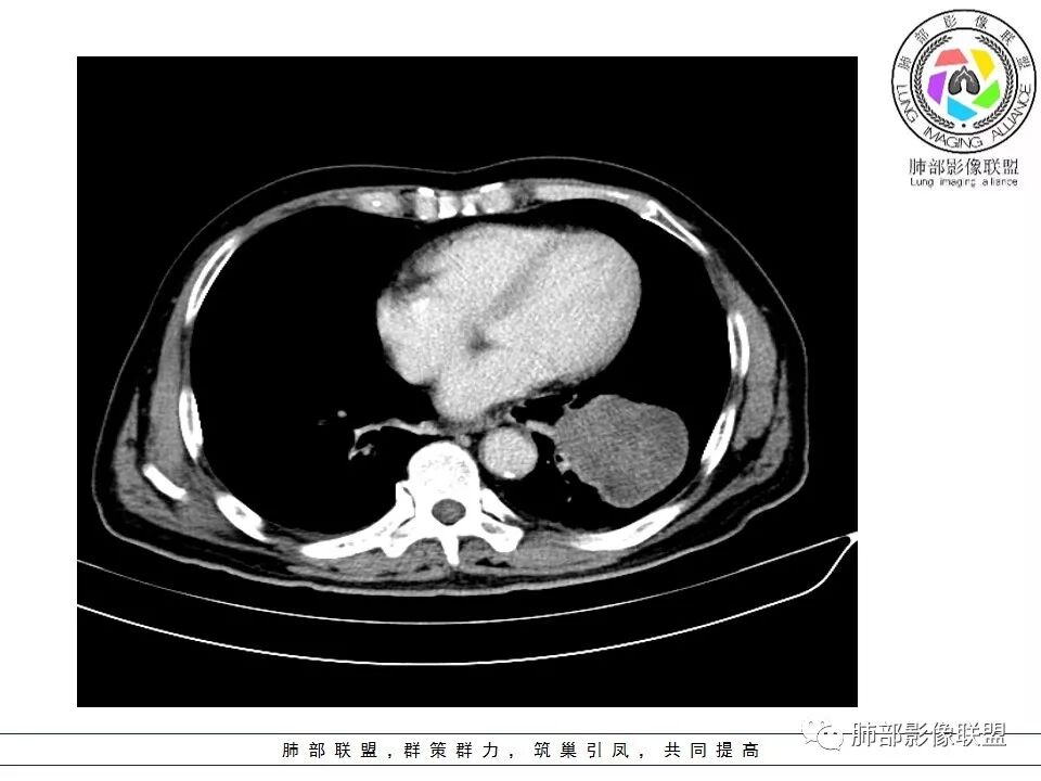
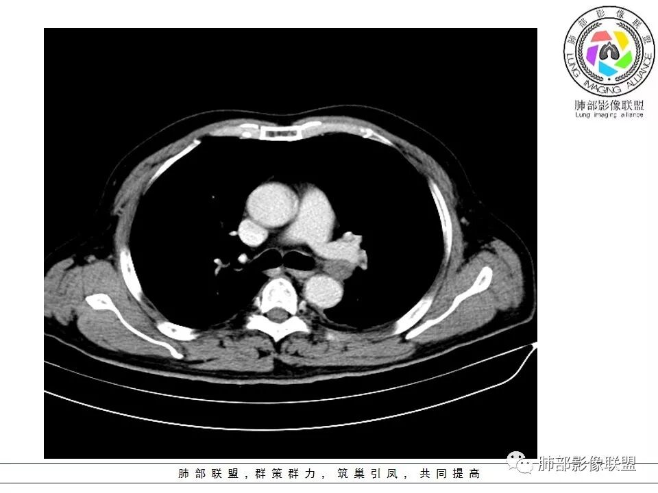
老年男性咳嗽,左下近肺门团块影,不规则强化伴坏死,左下肺静脉、支气管旁淋巴结转移受压、并侵犯左下支气管,考虑鳞癌,鉴别小细胞。

崇军:

男,70岁,左下肺肿块影,分叶,增强有较大范围坏死,左肺门肿块影,跨叶,包绕支气管与肺门血管,致其狭窄考虑为淋巴结肿大,综合考虑为恶性肿块,鳞癌并左肺门淋巴结转移

甄德强:

肺门淋巴结有肿大,支气管内有肿物,这么大病灶没有坏死,我考虑神经内分泌癌或者小细胞肺癌。鳞癌不符合没看到明显阻塞

王开金江津中心医院呼吸科:

老年男性,咳嗽主诉,胸部ct左侧肺门新生物,支气管阻塞,不均匀强化,伴淋巴结肿大,考虑鳞癌,鉴别小细胞肺癌。

杨泽锋:

恶性肿瘤没有问题,这一层如果是指状突起我考虑小细胞癌

THINKER:

老年男性,左下占位,类圆丶浅分叶,无毛刺及胸膜凹陷征,各支气管狭窄,增强不均匀强化,左肺门淋巴结肿大考虑恶性,小>鳞

晕晕菜:

患者老年男性,以咳嗽就诊,胸CT:左肺下叶占位,病灶呈膨胀性生长,左肺下叶气管明显狭窄,病灶边缘光滑,并可见分叶,增强可见病灶内低密度区,病灶边缘强化。考虑恶性,鳞?肉瘤?

晨:

左下肺团块影,不规则强化伴坏死,左下肺静脉、支气管旁淋巴结转移,并侵犯左下支气管,考虑恶性病变,小细胞?

一切∮随缘:

   左肺主支气管下肿块,病变包绕并向腔内生长,无阻塞性肺炎,内部可见穿行血管,增强后可见实性明显强化,纵隔淋巴结肿大,老年男性,考虑:神经内分泌癌(类癌、小细胞癌),淋巴瘤,鳞癌

岁月 (谭先华老师):

病史:男,70岁,咳嗽;影像:肺门淋巴结,淋巴结内血管毛糙不规则,静脉期,转移大,左心房左下静脉下支是否有累及。主体病灶,呈扇形,沼泽样,指状突起。肺气肿并不明显,左侧少许,左上叶支气管狭窄,肺窗点状凸起,纵膈窗并没有,考虑淋巴结压迫所致。老王曾经说过,小细胞来不及跑得快,胸膜目前没有积液是否是这个原因?诊断:恶性,小细胞肺癌;鉴别:鳞癌,不太像,其他神经类分泌恶性肿瘤;处置:经皮穿刺或EBUS。

春秋:

左下肺占位性病变,伴肺门淋巴结肿大,强化示不均匀明显强化,可见边界不清坏死区,考虑恶性肿瘤!病灶缺乏分叶及毛刺,整体圆顿,病理倾向大细胞!

欣:

左下肺肿块,不均匀强化,其内可见坏死或粘液,更多考虑坏死,左下肺支气管堵塞,左肺门多发肿大淋巴结,左下肺癌,鳞癌可能性大鉴别于小细胞癌

毛勤香:

病灶从外向里长,气管狭窄,血管受侵犯,肺门纵膈淋巴结肿大,考虑恶性,首先考虑小细胞癌

风之子:

左下肺占位伴肺门淋巴结肿大,病灶呈膨胀性生长,左肺下叶气管明显狭窄推移,病灶边缘光滑,并可见分叶,增强可见坏死,病灶边缘强化,阻塞性肺炎不明显,恶性没问题,考虑低分化腺癌,鉴别神经内分泌肿瘤,无冰冻感觉,坏死明显,小细胞不支持,排除大细胞与类癌

小赵:

老年男性,症状轻。左肺下叶类圆形肿块,边界清楚,分叶不明显,其内无空泡征,边缘无毛刺及胸膜牵拉,远端无阻塞性肺炎。左肺门影增大。增强扫描左肺下叶肿块可疑轻度强化(无平扫对比),局部见小尾巴征。左肺门区见不规则形团块,似多个结节融合,肺动脉受压穿行于病灶中,形成冰冻肺门感觉,局部层面似见肺门区团块与左肺下叶肿块相连。综合考虑小细胞肺癌(SCLC)。

没意见:

左肺下叶肿块,边缘膨隆,分叶略浅,占位效应明显,远端没有明显花花草草,其内部不均匀强化,坏死边界不清,可见受累的强化血管穿行,是否有钙化?没有平扫,不清楚;同侧肺门淋巴结受累,包绕支气管生长,并突入下叶支气管,导致管腔闭塞及狭窄,考虑恶性没问题,肿瘤既有由外向内生长侵犯又有冰山征的感觉,小>类癌>低分化腺>鳞

王秀仙:

病灶从外向内生长,气管狭窄,血管受侵犯,肺门纵膈淋巴结肿大,考虑恶性,腺癌。鉴别小细胞肺癌。

生来征服~浪子:

左下肺占位,边缘分叶彭隆,远端无明显阻塞性炎性,考虑外朝内生长为主,增强扫描边缘及病灶内均可见强化,血管破坏。考虑恶性,间叶组织来源,肉瘤?

Coke with ice:

段支气管管壁破坏比较明显了,小细胞可以破坏力这么强吗?

尘缘:

左肺下叶肿块,内部坏死明显,整体从外向内生长,下叶支气管及舌叶支气管被包绕生长,肺门区淋巴结肿大,坏死。远端无明显阻塞及不张,综合来看,恶性肯定,肺癌,整个病灶有分别有支持小细胞、鳞癌,腺癌及肉瘤样癌的地方,但又不典型,以低分化腺癌或肉瘤样癌或混合性癌(腺癌小细胞混合,低化分腺鳞癌混合),神经内分泌癌可能性大,单纯的鳞癌或小细胞癌有可能,但确实不典型了。至于间叶来源的恶性肿瘤,很少这样从向外内生甚至包绕支气管壁生长,再加上相对罕见,可能性小。

长沟流月去无声:

这个坏死还是有吧,我觉得定不到小细胞啊…
只能说应该不是鳞癌,生长方式应该起源于周围胸膜下
坏死面积还是比较大的,没有明显阻塞性肺炎和肺不张
腔外浸润为主,腔内无明显堵塞,原发肿块推移支气管为主,边缘光滑,轻微分叶,肺门引流区淋巴结肿大,而纵隔淋巴结无明确受累,综合考虑,癌:低分化腺癌?大细胞癌?肉瘤样癌?间叶组织肿瘤:肺肉瘤,罕见
    

张继荣:

男,70岁,咳嗽,无其它症状及化验检查结果,无MPR图像
左肺门乱乱的,有血管受压表现,有支气管腔内占位表现,肺门淋巴结肿大肯定是有的;左肺下叶见一巨大包块,边缘光滑,内侧又一个切迹,考虑是病变受到了小叶间隔阻挡造成的其内部大部分不强化,但有局部一小片强化;壁不均匀环形强化,总体较薄;周围没有阻塞性肺炎,感染性病变应该是不考虑的,因为周围清楚,也没有感染的症状,还是考虑肿瘤性病变;关键是它边缘光滑,内部应该是坏死,但有强化提示坏死不彻底,这么大了,边缘恶性征象不明显,不符合腺癌,鳞癌呢也不太符合,阻塞性肺炎没有,坏死太明显了,这么大,边缘光滑,坏死明显,符合肉瘤和肉瘤样癌,不除外小细胞肺癌



南边老师分析
南边:
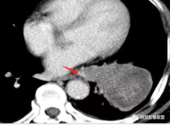
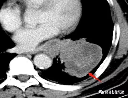
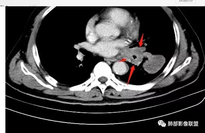
恶性没问题吧  ,哪位老师标示一下病灶
那些是淋巴结?哪是主病灶?
支气管如何?肺动脉?肺静脉?
尘缘:

淋巴结
采莲:
肺门是淋巴结肿大
尘缘:包绕支气管生长的肿瘤部分
采莲:支气管受压狭窄但没阻断
南边:我问一下:肺门支气管堵塞吗?
wonderful:
 堵而不塞
尘缘:淋巴结外压支气管
南边:我发一个图
尘缘:至于到底长进去没有,层厚不够,不敢确定,个人认为没长进去。
马宁强:
南边:这些是淋巴结侵入支气管?
尘缘:@南边 不一定。
我觉得是外压为主。
远端还是通的。
有没有局部长进去,不好说。
金豆:
有点儿通而不畅感觉
南边:这病灶与支气管啥关系啊?

wonderful:压迫推移关系
尘缘:
是的,压迫推移
蔡磊:这算进入吗?
南边:与肺静脉啥关系?这样追下去是不是很恶啊

尘缘:@南边 肺静脉受侵
我觉得肉瘤样癌,混合癌可能比较大。
南边:病灶分为两大块,外围囊实性大肿块,支气管关系不密切,内带多发淋巴结,侵犯支气管、肺血管,恶性没问题,按理间叶为主,或不典型的癌,这不是一个中央型的肺癌,是外朝内进展的,奇怪的是边界这么清楚光滑,一般癌肉瘤、肉瘤类多,其次才是癌,远端也没有阻塞,大方向是这样,恶性,间叶来源?或者混合,恶性程度较高,鉴别就是结核,因为结核是妖

病理结果

晨读结果小细胞肺癌。这个患者在内科诊断为小细胞肺癌,标准化疗4个周期,但是肿瘤无缩小,请肿瘤科会诊,因为治疗不敏感,所以我们也怀疑病理,然后免疫组化检查仍然是小细胞,转肿瘤科放疗后肿瘤缩小。今年4月出现脑转移。


小细胞肺癌

     SCLC起源于支气管粘膜下,沿支气管粘膜下及周围血管生长,病理上SCLC细胞较小,胞质很少,粘附力差,肿瘤质软,细胞密集,增值快,侵袭生长,坏死小,常不彻底,破坏力弱。
     有人认为SCLC以周围型多见,部分周围型SCLC因借肺门显著增大的淋巴结而摇身一变,以“中央型”的姿态出现在我们的视野中。
CT的主要征象:
1鸭蹼状突起、腊肠样尾巴、指状突起、蠕虫、分支及条状
      因为病灶沿支气管粘膜下及周围血管生长,走形方向与支气管一致,所以支气管血管周围生长也是SCLC的典型征象;
2娘小崽大、淋巴及血行转移早、冰冻纵隔及肺门血管脂肪间隙消失
     因为病灶侵袭力强,病灶易沿淋巴道、间质及心血管间隙等结构侵犯并密切挤压上述结构,常常能够观察到脂肪间隙消失。易于出现冰冻纵隔。原发灶与肺门转移灶可形成哑铃状外观,甚至转移灶体积大于周围原发灶,有人称之为“娘小崽大”。早期病灶有时很小甚或隐匿,仅能看到转移灶,或转移淋巴结与原发灶融合分界不清。病变向肺门延续的串珠样淋巴结转移也是SCLC的典型特点。
3
血管包埋征 
    病灶侵袭力强大,早期沿粘膜下疏松结缔组织及血管旁间隙扩散,包绕血管,血管会受压变形,因为小细胞癌破坏力弱,血管没有被破坏,所以仅仅表现为包埋浸润,但血流面光滑。
4
乏血供,沼泽样坏死
、罕见空洞
     病灶肿瘤密集而供血血管相对不多,密度较均匀,轻度强化,呈乏血供,有时候可以坏死,坏死不彻底,坏死区分散而较小,呈沼泽样坏死,很难造成引流支气管的破坏,所以空洞罕见。
5
阻塞性炎症轻,阻塞性肺不张少见
    支气管内肿瘤大多来自淋巴结转移,而且侵入支气管管壁的SCLC组织喜欢沿粘膜下组织间隙浸润,支气管粘膜面保留,所以支气管大多数表现为狭长而非填塞或截断,所以阻塞性炎症轻,阻塞性肺不张罕见。
6边缘圆钝、光整,未见毛刺
        神经内分泌肿瘤边缘通常圆润,而且SCLC或周围没有任何促纤维结缔组织反应,质地软,所以边缘圆钝、没有毛刺。

回顾性分析病例
1.左肺下叶近肺门区肿块,肿块外围大,内带小,提示外围向中央生长,符合周围型SCLC沿支气管方向生长。
2.病灶边缘光滑,未见明显分叶、毛刺,符合神经内分泌癌、癌肉瘤及间叶来源肿瘤。
3.病灶内密度偏低,穿行血管未见明显异常,轻度不均匀强化,为乏血供病灶。病灶内可疑坏死区,未见空洞;乏血供符合SCLC,但坏死区不符合。
4.病灶区支气管以受压推移为主,管腔不规则,腔内通而不畅,提示病灶粘膜下为主,符合SCLC迁徙蔓延或间叶来源肿瘤。
5.病灶内有血管走行,血管局部受压,但是强化考虑为乏血供,提示病灶内肺动脉并不是供血血管,只是病灶侵袭性强把血管包埋而已,为血管包埋征;血流面光滑,血管包埋符合SCLC。
6.左肺门淋巴结肿大,与病灶局部融合分界不清,呈冰冻肺门;而纵隔内未见肿大淋巴结,冰冻肺门符合SCLC,但是病灶主体那么大,纵隔内没有明显肿大淋巴结,不是很符合SCLC娘小崽大的特点。
7.未见明显阻塞性炎症及阻塞性肺不张,更加提示病灶从外围向中央侵犯,符合SCLC罕见阻塞性肺不张。


病例小结

综上,影像学该病例符合肺内恶性,来源考虑神经内分泌癌、癌肉瘤或间叶来源肿瘤。老年男性,较大病灶伴有坏死,所以有群友考虑鳞癌、大细胞癌、癌肉瘤和肉瘤,但是鳞癌、癌肉瘤坏死常常合并空洞,而且像大细胞癌、癌肉瘤和肉瘤破坏力强,容易破坏血管;肉瘤一般不会引起肺门及纵隔的淋巴结肿大,所以肺门淋巴结肿大也不是很支持肉瘤。该病例部分征象支持小细胞癌(SCLC)的诊断。同病异影、异影同病都需要我们仔细甄别。
往期回顾
《小细胞肺癌的病理影像分析》
《病例学习-小细胞肺癌》
姿势已摆好
就等你点啦

E
N
D

编辑:蔡笑燕
审核:冯连彩  徐   晓
病例提供者:商河县医院  魏可芸

到顶部