继续操作前请注册或者登录。

【每日晨读】拨云见日---曲霉“君”竟如此装扮





2019.9.29: 拨云见日---曲霉“君”竟如此温柔

病例资料









第一次讨论
岁月:
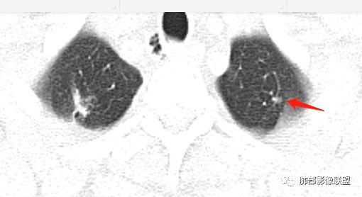
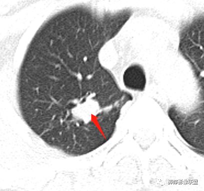
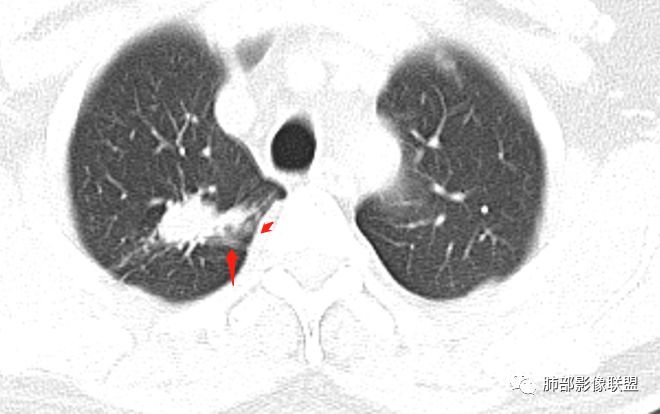
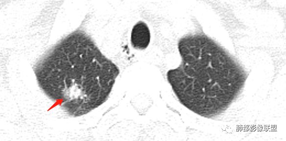
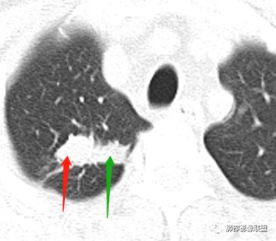
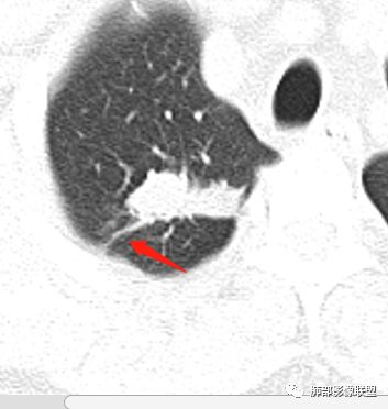
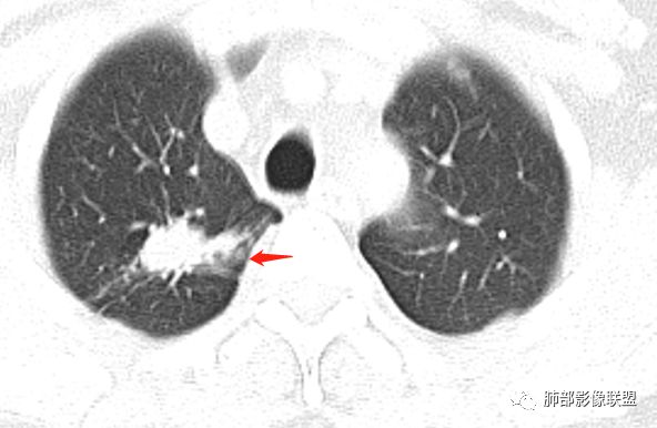
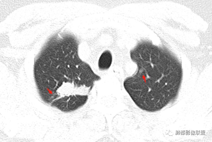
   病史:男性,49岁,反复咳嗽月余,伴左胸痛;   影像:形态奇特,长毛刺,疑多灶,支气管阻塞不明显,毛刺不明显,纵膈窗密度不均,其内似见低密度,有凹陷,膨隆不除外,纵膈窗胸膜有点增厚。诊断:结核(右上肺)鉴别:不符合,无钙化,无胸腔积液;腺癌(无淋巴结)。处置:寻找结核相关检查,肿标,纤支镜,增强。
张帅:   
    患者中年男性,主诉:咳嗽  胸痛。  胸CT:右肺上叶尖段占位,病灶位于支气管外,病灶周围部分区域可见毛玻璃影,病灶边缘不规则,部分区域可见平直,胸膜牵拉(无胸膜凹陷),柔软长毛刺,分叶,纵隔窗病灶没可见低密度区,左肺尖可见一点状病灶,病灶整体考虑良性疾病:感染性病变(结核?),感染后机化?。恶性病变待除外。
甄德强:
  右肺上叶结节,边缘平直为主,病灶比较散,周周似乎有卫星病灶,边缘有胸膜牵拉,从粗到细,左肺尖奕有卫星灶,综合考虑结核。
水晶石头:
  晨读:患者中年男性,反复咳嗽1月余,伴左胸部疼痛1周就诊。胸部CT:右肺上叶尖后段不规则结节,见长毛刺、胸膜牵拉、条索影,周围见卫星灶。未见明显淋巴结肿大,符合结核病变。鉴别其他。但其病灶位于右肺,主诉左胸痛,是误写,还是?
一米阳光:    晨读,右上肺结节影,形态不规则,边缘平直,部分凹陷,长软毛刺,胸膜牵拉,周围卫星灶。考虑结核。鉴别腺癌,部分边缘彭隆
傅昌瑜:  男,49岁,反复咳嗽1月余,伴左侧胸痛1周。右肺上叶尖段结节,边缘平直、凹陷,周周似乎有卫星病灶,边缘有胸膜牵拉,从粗到细,左肺尖见小点状病灶,考虑良性病变,结核可能性大。
灵魂清零: 右上肺结节影既有良性征象也有恶性征象,良性:边界平直,形态扁平,左肺尖有病灶;恶性:周围边界清楚的磨玻璃影,内部密度不均匀,局部边界有膨隆!考虑腺癌,肉芽肿病变待排!进一步增强扫描!再穿刺活检检查!
小飞:  晨读:右肺上叶不规则结节灶,沿支气管走形分布,边缘平直,U型凹陷,脊柱侧有少许磨玻璃影,左肺尖少许斑点灶,综合考虑结核。
丽:  右上肺结节,有平直征、U形征,部分边缘呈膨隆,倾向于良性病变,考虑肉芽肿性病变可能。

南边老师解读
南边:这病史,慢性或亚急性炎症,癌都可以

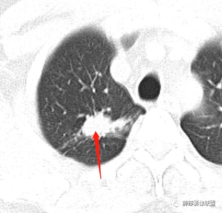
影像,气管憩室,两肺尖都有病灶,长索条

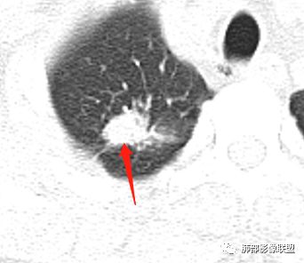
右肺上叶病灶两部分




纵隔窗提示内侧部分密度不够实

边缘平直、凹陷为主,部分膨隆

内部小点状影提示可能支气管腔内粘液栓

左肺尖及右肺病灶附近见小斑点,边界尚清



遗憾的是:层厚太厚,无重建
这些是否是边界清楚GGO?


南边:我们考虑的思路:
1、病灶整体形态不是类圆形,边缘凹陷、平直为主,长轴重建可能更明显,长索条,附近卫星灶,左肺尖有类似小高密度影;按常规:首先要考虑结核
南边:2、不踏实的地方:GGO是不是容积效应所致?如果薄层,边界清楚GGO,就考虑继发瘢痕癌
因此我们需要的是:薄层、重建,看GGO边缘、看整体形态
瘢痕癌就需要薄层、重建观察更妥当


补充资料
视频补充图像


第二次讨论
南边:瘢痕癌就需要薄层、重建观察更妥当
生来征服~浪子:部分层面彭隆的挺明显。
Coke with ice:瘢痕癌+1
^_^果:支气管有堵塞
wonderful:结核肯定有 疤痕癌可能?




病例结果
结果:结核合并真菌(曲霉菌)感染

关于肺曲霉病
     
肺曲霉病
概念:肺曲霉病是一种真菌引起的肺部感染。
1.曲霉菌为常见定植菌,广泛存在于自然环境。也属条件致病菌,多见于器官移植、肿瘤放化疗、粒细胞减少、COPD、糖尿病、长期使用广谱抗生素、糖皮质激素三周以上、免疫抑制剂使用等。非易感人群有从事花生食品加工、谷物加工、油漆工等。
2.分烟曲霉、黄曲霉、黑曲霉、土曲霉、棒状曲霉等。研究认为致病者多为烟曲霉,体型小更易于进入下呼吸道及肺泡等(而黄曲霉、黑曲霉则可引发鼻窦炎等)
病理基础:真菌侵入肺组织后可引起一系列炎症反映,基本病理变化是凝固性坏死、细胞侵润和脓肿形成。慢性感染为肺纤维化或肉芽肿形成。
临床特点:肺曲霉菌病的临床表现无特征性,可有发热、咳嗽、呼吸困难、咯血及胸痛等。对可疑患者,尤其是原因不明的肺部病变和发热性疾病,要想到真菌感染的可能。须详细询问病史,患者是否属易感人群,其他尚需包括接触史、旅行史、职业史等。
临床分型:
1.侵袭性肺曲霉病(IPA。含血管侵袭性肺曲霉菌病)
2.慢性坏死性肺曲霉病(CNPA半侵袭性。类似肺脓疡改变)
3.气道侵袭性曲霉病(PNTA包括大气道小气道等)
4.变应性气道曲霉病(ABPA变态反应)
5.曲菌球(即腐生型或寄生型)
6.混合型(MTPA存在以上两种情形者)
肺曲霉病的CT表现
一,气道侵袭性曲霉病(PNTA)
1.器官支气管管套样壁增厚和/或支气管扩张,注意壁增厚较均匀,和/或伴有播散性小片影及结节影,注意这些小片影或结节影边界有时较普通炎性病灶清楚。
2.可以阻塞支气管造成肺不张而酷似中央型肺癌。偶而可呈大范围毛玻璃样影。
3.易形成空洞,常无液平面。注意哪些一两周内出现的多发空洞病灶,形成空洞也往往靠边。
二.血管侵袭性肺曲霉病
1.多见于血液恶性肿瘤及造血干细胞移植患者。两肺多发,多见磨玻璃晕,有时病灶基底贴近胸壁形成楔形影。
2.很少支气管壁增厚,也无支气管扩张,少见树芽征。
三.慢性坏死性肺曲霉病(CNPA)
类似慢性肺脓疡或其他炎性块影,或蹑步肺恶性肿瘤之后,单发病灶鉴别诊断颇为不易。须密切结合易感人群及病史,注意前后检查图片对比。
四.变应性支气管肺曲霉病(ABPA)
1.三四级以上支气管显著扩张,柱状扩张为主,常伴痰液嵌塞,远端支气管相对正常,强烈提示ABPA诊断!ABPA的支扩有时来得快去得快。
影像上表现为V形、Y形、葡萄状或指套状阴影,边缘清楚。
2.管腔扩张及管壁增厚(炎性反映),轨道征或环形影常比较显著;
3.病变远端的肺组织可有肺不张表现,或因侧支通气而出现过度充气征象。
      另可有渗出性肺泡炎改变:肺实质内单发或多发斑片状密度增高影,上叶多见,可为一过性、游走性或持续较长时间。
五.寄生型肺曲菌病
曲菌球为寄生性,在空洞性病灶内呈游离状态,呈球形,密度多均匀,偶可高密度,境界清晰,位置可随检查体位而变动。霉菌球与洞(腔)壁之间常留有新月形空隙,形成空气新月征。此为寄生型肺曲菌病的特征性表现。
注意,曲菌球不会强化。

[基础讲座] 有关曲霉菌的十大问题,你了解吗?
细听南大深入浅出生动阐述—肺曲霉菌病


编辑:杨宏刚
审核:冯连彩  徐   晓
到顶部