【每日晨读】肺脑同病引发的争论,你怎么看?






















精彩讨论
小微:
右肺下叶团块状密度增高影,边缘模糊,其内见液性低密度影,多发小气泡影及充气支气管征,考虑肺脓肿。颅内双侧顶叶长T2长T2病灶,周围水肿,DWI高信号,增强扫描囊壁环形强化,囊壁钙化,周围水肿,考虑脑脓肿。患者长期接触垃圾,什么菌都有,肺、脑脓肿,考虑肺克。再有肝脓肿就更支持了。
马春平(张家港市一院胸外科):
慢性病程,体质一般、接触垃圾,右下肺长轴与胸膜平行肿块,近肺门侧液化坏死伴多个小圆型空泡,肿块密度不均、不均匀强化,周围少量胸膜增厚,脑内多发空洞灶,考虑肺脑脓肿。鉴别肺腺癌脑转移。
甄德强:
头是脓肿,没有糖尿病;胸膜下分布为主,轻中度强化,实变中坏死,结合头颅表现,考虑隐球菌病,肺克。
阿仙奴:
中老年男性,急性起病,头痛,肢体乏力入院,长期吸烟,饮酒,工作环境和防护不佳,近3月体重下降10斤。
胸部CT:右肺下叶背段实变,广基底,糊墙,长轴与胸膜平行,周围晕,支气管进入堵塞,纵隔窗可见低密度坏死,实变内小空洞?脑部不会看。
考虑:感染性病变,隐球菌?鉴别诺卡,结核
张帅:
患者中年男性,以神经症状入院,存在呼吸道症状,经抗感染治疗可减轻,近3月体重下降。既往有长期大量吸烟史及饮酒史,从事垃圾运输工作。
胸CT:右肺下叶背段实变影,内可见小空泡,病灶与胸膜呈宽基底,实变病灶周围存在毛玻璃影,纵隔窗可见病灶内存在低密度,增强可见病灶强化,并见病灶内低密度区。头MRI不会看。
猜猜:感染性病变:努卡?隐球?
THINKER:
引起肺脑同时受累的致病菌:TB丶PC丶奴卡丶毛霉,TB丶PC以脑膜炎为主,毛霉不知道,肺影像不支持TB,pc不排除,但奴卡更易形成脑脓肿,常见的肺丶脑丶皮肤奴卡菌病,加之工作环境,潮湿丶脏乱(奴卡记得好像广泛存在于水丶土壤等自然界),
考虑奴卡>PC
大雄: 以下是熊老师的肺脑同病疾病普

老年男性,肺脑同病,脓肿表现,但无发热,呼吸道症状比较轻微,无糖尿病及免疫缺陷,无肿瘤化疗及激素使用史,无皮下脓肿
综合考虑,隐球菌病可能
Lotus:
脑内的像隐球,肺内的像肺克,脑脓肿DWI腔内信号不够高,可能是隐球,但是也不能完全除外恶性。
王秀仙:
右肺下叶背段实变,广基底,糊墙,长轴与平行胸膜,周围有晕,支气管进入堵塞,可见低密度坏死及小空泡。颅内多发环形强化灶,符合脑脓肿三层结构,结合临床,考虑:感染性病变,隐球菌?鉴别肺克。
幸福一半多多:
肺内类三角形稍高密度病灶,边缘模糊,其内看见两个小气泡影。增强扫描欠规则厚壁中度强化,其内有轻度强化或未强化区。符合肺脓肿表现。
颅内多发类圆形等或长T1长T2信号,周围见少量环形水肿带,考虑多发脓肿,不符合转移瘤表现。综合肺脑脓肿,考虑隐球菌可能
感觉不像肺克的地方在于肺内空洞较少。而且加上脑病灶,血行播散多见,而血行播散的肺克多为多发病灶,本病例只有一个。不太像。
王开金江津中心医院呼吸科:
中年男性,起病急,病程短,以颅脑症状为主,伴干咳,有饮酒史,职业为清洁人员,右肺下叶背段病灶,周围模糊,有晕,糊墙,内有坏死,但无明显液平,颅内多发脓肿,肺脑脓肿,考虑血源性播散,病原体,无液平及工作似乎更支持隐球?饮酒支持肺克?
wonderful:
病灶长轴与平行胸膜,可见支气管充气征,结节伴晕,考虑炎性病变,同时脑部多发病灶,肺脑同病,炎性?患者又是运输垃圾的,真菌接触机会多,再者患者以脑部症状首发入院,提示肺部症状之前是逍遥的,所以考虑PC
红日东升:
脑内脓肿,肺脑同病,符合感染,考虑荚膜菌、嗜血管、胞内菌,肺部症状逍遥,隐球、奴卡、结核,隐球首先考虑。
食客:
右肺下叶团片状实变影,其内见液化影及小气泡影,感染性疾病,脑脓肿,肺脑同源,努卡?隐球?
wonderful:
奴卡不符合吧 一般要跨叶 多发啊 或者皮肤损伤引起
大雄:
播散型奴卡,没有基础病史,比较少见吧
阳光:
肺脑同病理论+症状逍遥,考虑隐球
wonderful:
奴卡我记得是跨叶多发的啊
大雄:
可以不跨叶
张延军:
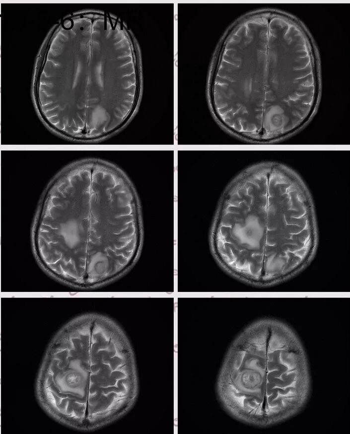
右肺下叶见不规则软组织影,边缘不清,内夹杂气体,背段支气管未见明显阻断,增强扫描下叶病灶内见类圆形低强化区,其边缘光滑,见低强化区壁,颅脑左侧枕叶及双侧顶叶见多发长T1长T2信号,T2高信号内见类圆形异常信号,壁呈低信号,DWI环形壁未弥散受限,内容物弥散受限,周围为水肿区,增强扫描呈多发环形强化,考虑血源型感染,颅内及右肺下叶脓肿形成
小赵:
中老年长期吸烟男性,近期消瘦明显。胸部CT右肺下叶背段肿块,中心坏死明显,明显环形强化。周围见阻塞性肺炎,支气管病灶近端截断,考虑恶性,鳞癌可能性大。颅脑MRI脑内皮髓质交界区多发病灶,环形弥散受限及环形明显强化,水肿明显。考虑右肺下叶肺癌脑内多发转移。
心灵鸡汤:
老年男性,吸烟,头疼为主伴咳嗽,颅内多叶多发结节,周围见水肿带,结节壁呈环形强化,右肺下叶大片影,边缘模糊,部分边缘膨隆,右下叶背段支气管未见截断,常规考虑右下叶肺脓肿并脑脓肿,肺癌并颅内转移不排除,建议穿刺活检。
波波:
脑内右侧顶叶病灶与其它脑内病灶不一致,壁弥散受限,内容物弥散低信号,转移瘤不能排除,其它脑内病灶支持脑脓肿
亚子(潘零星平一人医):
晨读,临床征轻,肺病灶叶段分布,肺内坏死,脑内环形三层病灶,考虑肺感染并脑脓肿,努卡?隐球?
蔡磊:
右肺下叶背段斑片样密度增高影,边缘模糊欠清伴小片状GGO,胸膜脂肪间隙欠清,增强后病灶内见类圆形低密度区,边缘有散在小气泡影。部分肺实变/少量胸水。病灶内支气管通行较通畅。颅内:双侧额顶叶多发类圆形占位,没有典型脑脓肿的特征性三层壁改变,ADC图示:腔内信号明显减低/但是信号混杂,DWI腔内信号也是偏混杂。脑脓肿的颅内占位效应是比较明显的,但这一例不太符合,考虑右肺下叶恶性病变颅内转移。
长沟流月去无声:
没什么危险因素吗?确实是肺脑同病,如果是感染,应该在我的疾病谱里
目前临床和影像,不足以锁定病原,我需要更多信息,比较麻烦啊
这个临床似乎急性起病,但是没有明显说发热,呼吸系统症状很轻微,颅脑症状很轻微,没有特别高的颅内压,因为没有剧烈疼痛和喷射状呕吐
垃圾运输会接触很多病原微生物,最有特征的是毛霉,当然金葡啊,其他细菌也行
特特:
患者体温37.6,没有明显发热
长沟流月去无声:
刚才老师们分析很有道理,肺克这种急性阴性菌感染,肯定不考虑,虽然可以肺脑同病;奴卡我也不考虑,因为播散型奴卡应该是免疫缺陷宿主,长期激素;患者没有肺内表现很轻微,隐球菌确实可以引起正常人肺脑播散感染,但是颅内脑膜炎多;
尘缘:
这个体重下降太快了;肺脑同病与肺癌合并转移还真需要好好鉴别
右侧顶叶这个病灶影像上更加支持转移,环形强化,弥散环形受限,外周水肿明显
wonderful:
那就不排除肺炎型肺癌伴脑转移, 其实这个临床最常见啊
Coke with ice:
肺内病灶哪里像肿瘤呢?
我没看到肺内病变哪里有恶性征象
这个病例在实际工作中,我会把脓肿放前面,恶性肿瘤放后面。具体病原菌我不会判断。
大雄:
这个病史用转移最好解释了,我第一反应考虑恶性,但是大家都说是脑脓肿
尘缘:
嗯,反正我把肺癌脑转移排前面,不除外肺脑同病或者二元可能
这个肺癌到底是腺癌还是鳞癌不好定
临床症状和体重快速降低用感染脓肿都不好解释
转移瘤,环形强化的壁很多都弥散受限,脓肿是中间脓液也要受限
右顶叶这个弥散,强化,外周水肿都是典型的转移瘤表现
长沟流月去无声:
所以考虑啥呢?
这种如果隐球,脑脓肿是比较少的,而且隐球的脑脓肿,比这个少,比这个小
八爪:
肺内病灶符合脓肿,颅内病灶几个表现不一样,多数脓腔弥散受限,壁不受限制,但有一个表现跟其他不同,内部不受限,壁弥散受限
长沟流月去无声:
奴卡不是放线菌属
我发一个分类,你们对就知道了
放线菌目(Actinobacterales)
 放线菌亚目(Actinomycineae)
 放线菌科(Actinomycetaceae)
 放线菌属(Actinomyces)
……
 链霉菌亚目(Streptomycineae) 
 链霉菌科(Sterptomycetaceae) 
 链霉菌属(Streptomyces)
……
 棒杆菌亚目(Corynebacterineae)
……
 分枝杆菌科(Mycobacteriaceae)
 分枝杆菌属(Mycobacterium)
 结核分枝杆菌复合群(MTBC)
 非结核分枝杆菌(NTM)
 麻风分枝杆菌(M.leprae)
 诺卡氏菌科(Nocardiaceae)
 诺卡氏菌属(Nocardia)
……
 红球菌属(Rhodococcus) 
wonderful:
熊大貌似以前说过隐球菌到脑部 首先肺部就要播散 单发脑部有可能性低
八爪:
多数薄壁,脓腔弥散受限是典型脑脓肿;右侧额叶的厚壁,壁受限,表现跟其他完全不一样,很是疑惑
杨泽锋:
颅内部分病灶是环形受限,中心没有受限,不支持脓肿
飞鹰行动:
肺部病灶有收缩性,支持感染性病变,但是患者病程不急,不支持肺克
脑部病灶DWI受限,脓肿,中间也有受限,DWI第一,第二张图都是中间受限,第三,四是周围受限
长沟流月去无声:
如果是转移,你们看看肺部病变,符合原发肺癌吗?
这个DWI是受限的,所以是转移,我觉得如果是感染,结核与隐球
但是刚才我从临床分析了,你们也看见了不太符合,最多结核和隐球菌
白细胞高,不能除外是感染
小赵:
今天这个颅脑病灶需要转移和脓肿鉴别,转移和脓肿都可以这样环形强化,但是脓肿是中心弥散受限,脓肿壁弥散不受限,转移和脓肿弥散正好相反,转移是环壁弥散受限,中心坏死区弥散不受限。
小三爷:
dwi脓肿壁低,腔是高信号,这个头是转移,但是假如输液临床干预了,可能腔会不受限
特特:
白细胞有增高16.25,5月5日数据
joyzhy:
像个腺癌

长沟流月去无声:
现在临床支持感染多点了,我都分析完了,但我坚持一元
但是如果是结核呢?就不是一般脓肿了
所以你们考虑一下结核
生来征服~浪子:
转移周边没有暗带,也就是脓肿的壁。
转移,t2周边是实性,应该是稍高信号
M-Imaging :
肿瘤的壁是活跃的肿瘤细胞,dwi受限
飞鹰行动:

飞鹰行动:
结核可以这样,内部不受限
尘缘:
结核瘤的磁共振表现可以和转移瘤一样
宇宙星空:
T2WI中心信号不均

特特:
今天考的就是MR看大家是脓肿还是转移
安智轩:
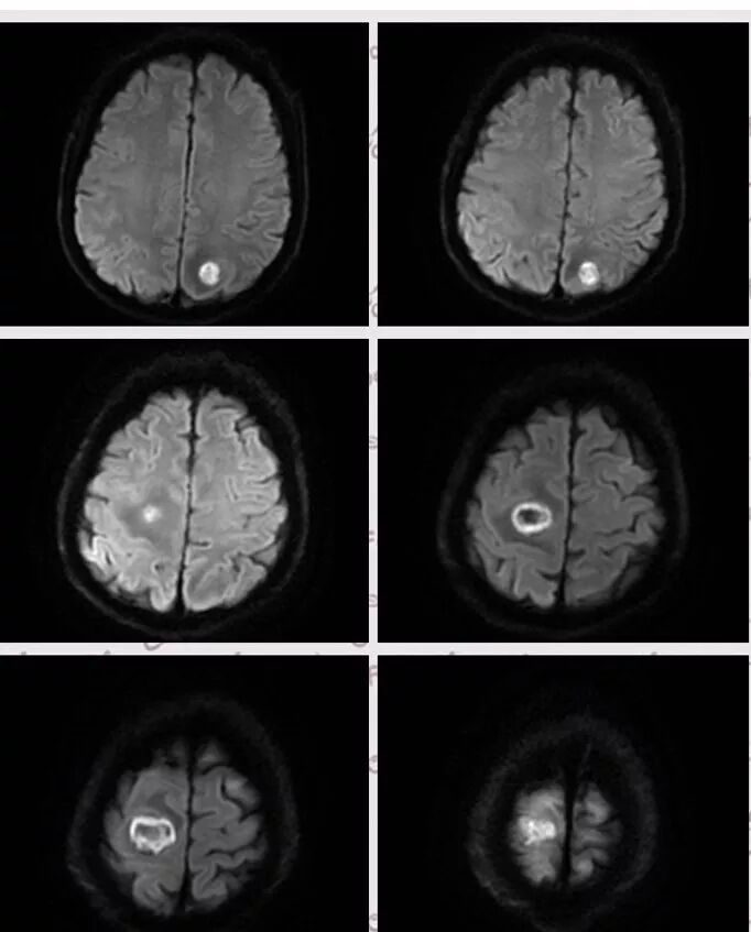
DWI值对鉴别脑脓肿与囊性脑转移瘤有重要意义。包膜期脑脓肿其内容物主要为炎症细胞、微生物及蛋白质,其黏稠度相对较高,水分子弥散受到限制,DWI表现为均匀高信号。转移瘤囊变区主要以浆液性坏死物为主,其黏稠度相对较低,水分子扩散速度相对较快,DWI表现为低信号
脑脓肿和囊性脑转移瘤的鉴别点就是粘液(结合水)浆液(自由水)的鉴别
下图是例举其他病例:
毛勤香:
右肺下叶病灶呈斑片状,有坏死有积气,我会首先考虑感染,治疗后复查除外腺癌,颅内病灶我觉得也像转移多,DWI中心信号不高,壁略显毛糙,壁DWI高信号,所以脑我考虑转移,可能二元论。
脑转移可以完全没有水肿的
万:
t2脓肿壁低信号比较特异性征像,转移的水肿应该更大些,脑内表现更像脓肿
尘缘:
这个病人一元的话就是肺癌脑转移,二元的话可能是转移合并感染(结核)
M-Imaging :
肺内的,像脓肿早期
心灵鸡汤:
我觉得病例不会那么简单,脓肿的话没有发热不符合,脑内是一类病变还是两类,与肺同源不同源
特特:

M-Imaging :

DWI的环形高信号,不是壁吧
毛勤香:
陈老师发这个环形病灶壁是不光整的,外缘毛糙
宇宙星空:
内壁还是比较光滑的,也有点状气体
感染与粘液腺癌的鉴别吧
崇军:
黏液腺癌有这么大的坏死吗?
正气:
脑内的不像脓肿,除非强效抗生素用后
程磊:
脑脓肿临床症状也不典型
长沟流月去无声:
今天似乎是影像主场,可别翻车了
Coke with ice:
磁共振和肺部的诊断都有分歧,有的是典型脓肿,有的是典型转移瘤?
肺部病变,老师们怀疑恶性,我看着除了坏死的那个洞,余实变部分强化偏明显,也比较均匀。没有看到枯树枝,没有看到粘液外带的漂浮。哪里征象支持恶性呢?现在有一个很有意思的问题,颅内的多发病变是一元论还是二元论?
南边老师分析

南边:

老年男性,吸烟30年
因头痛而来,偶有咳嗽
抗炎后咳嗽好转
右肺下叶大片实变
脑内多发结节,DWI壁弥散受限,腔不受限
强化内外壁部分区域稍毛糙
脑内病灶支持恶性
我们回头看肺内的,病灶位于下叶背段,可惜没重建
近肺门区见一坏死腔,内壁较清楚,空泡在周围

南边:
单从这个坏死我们分析:1、炎性?2、鳞癌?
毛勤香:
首先考虑炎性
Coke with ice:
厚薄均匀,强化一致,未见壁结节,坏死位于病灶近端,我会首先考虑炎性
南边:


局部部分边缘膨隆,欠光滑

不是单纯的近端堵塞,远端不张,远端实变,宽基底

远端实变区膨隆,部分似有栽赃的趋势

感染一定有,但是应该还有警惕癌
南边:
一般来说炎性空洞坏死,空洞偏内的结核多,癌性空洞一般是远端的缺血坏死,这个病例特殊,近端支气管显示不清,内壁部分清晰,部分不清晰,是不是层厚的问题?


南边:
炎性有。从总体来说,病变分两部分,靠肺门这里是一个弧形的。从影像来说,确实有些壁不是很清楚,层厚、窗宽窗位影响,这个壁细节显示不是那么清楚。大点病灶是一个有分叶的,宽基底在外侧,病灶边缘有膨隆的迹象。
少量积液反衬外壁更好看,靠近胸膜侧有很多积液不连续,断掉,局部膨隆在外面。很大一部分是连续的,但有些部分是不连续的。有膨隆我就很难判断,病灶的膨隆是张力引起的,还是远端栽赃引起的?局部的胸膜有变化的。所以我怀疑有栽赃的趋势,为什么说趋势,是因为没看到外面一个侵犯的迹象,但是层厚原因我有些地方我不敢说,有没有侵犯。

南边:
你看我标的这个地方,我就觉得这个病灶有侵犯性,附近旁边都有一个低密度线影,局部就没了,病灶似乎直接到个肋骨的胸膜脂肪间隙下,这些地方都有类似迹象,把它当成一个大的肿块,有分叶,近端有坏死、空洞,壁外围还有有些毛糙,腔内也有些索条影。颅脑内像个转移瘤的特点,转移瘤,淋巴瘤,脓肿?脓肿腔内脓液粘稠,弥散受限,这个腔内DWI不高,这个让我犹豫.按理脓肿也要考虑.
特特:
还有别的分析吗?没有我就发结果咯!





特特:
惊不惊喜,意不意外
长沟流月去无声:
肺内是独立误吸,细菌性脑脓肿,颅内是独立蔓延,可能是一些中间链球菌
这个人脑膜有缺陷,所以播散了,一般是口腔菌,混合感染,球菌为主,这个还是很罕见的
特特:
颅内环形的高信号,但是可以发现这个的DWI环是厚的,但是增强扫描的环是非常薄的,如果是肿瘤的,就是壁的弥散受限是肿瘤细胞的话,那么他强化的环应该跟DWI的环的厚度是一样的,所以这个环形的低DWI高信号应该是脓肿。而且就是关于这个脓腔壁的,就是脓腔的外壁是非常模糊的,而内壁还是相对光整,环不是很完整。下面一个图,没有给到,DWI上可以看到沿着破溃的脓肿壁向外侵出去的感觉,如果是环形转移的,那么它的那个内壁是更加不光整,而外壁是相对比较清楚一些的。

正气:
搬马林主任,江桂华主任的话:转移是外来户,外壁很光整,神外可以拔出!此例DWI脓液无受限,可能与强效抗生素有关!
特特:
这个颅内病灶增强扫描的无强化区范围与DWI高信号范围是一致的,所以还是脓腔内受限,至少时期不那么典型,不是纯粹的高信号,DWI是厚层、增强是薄层;而且扫描角度也不一样,所以无法完全对上
脓肿内的坏死、脓液形成也不是一次性完全形成的,就像在肝脓肿内,信号也是不一致的。重点还是在于强化区的地方弥散受限了还是无强化区的地方受限了,还是那句话,强化壁比弥散壁薄很多,无强化区比弥散不受限区范围大多了
安智轩:
但是,新的问题,这是什么菌的感染?
特特:
我只晓得抗感染效果蛮好,不知道具体什么菌
长沟流月去无声:
肺里是肺脓肿,混合厌氧,误吸+颅内脑膜不完整,这个人脑膜肯定有缺陷,可惜不能明确了,以后估计还要复发,不然口腔菌是上不去的,这个人特殊在,这个口腔菌既下去到肺泡里肺脓肿,又顺着缺陷脑膜到颅内血播,属于同一个原发部位,同一种菌群,两种播散机制,分别独立致病
但是又与脑膜缺陷和气道粘膜缺陷密切相关的,罕见型原发性肺脑脓肿的病例,严格讲,不是肺脑一元的转移播散,而是肺脑分别同一微生物群感染的重叠。
                     编后的话:
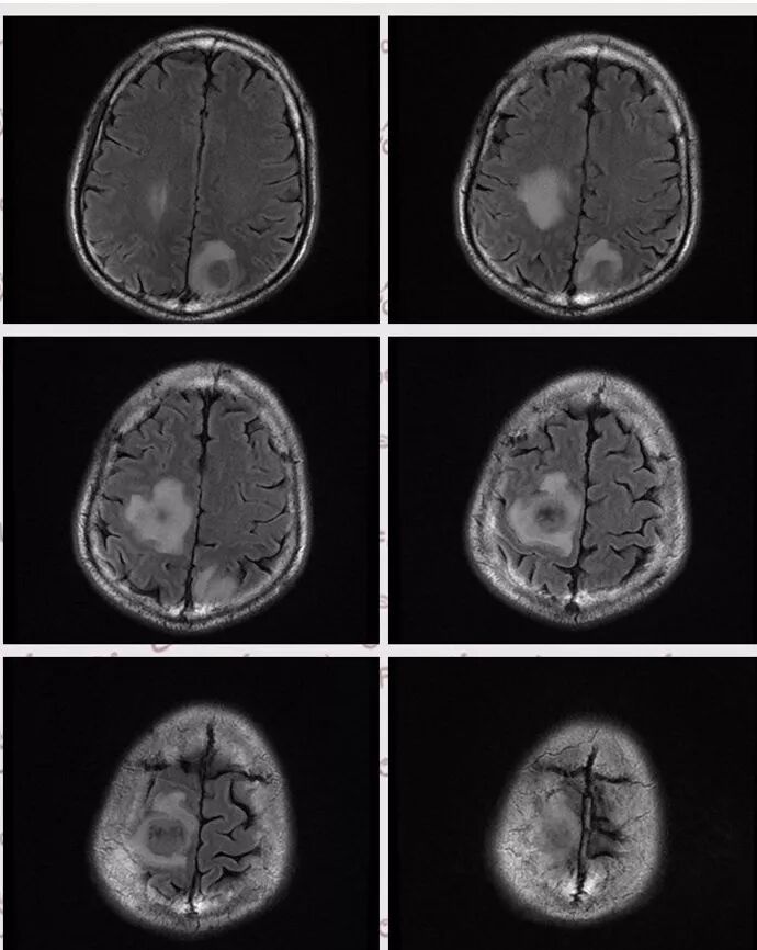
1.中年男性,以头痛等神经系统症状入院,有单侧肢体乏力,起病突然,但没有发热及呼吸系统症状,否认糖尿病病史,没有证据表明为某些特殊菌群的易感人群。
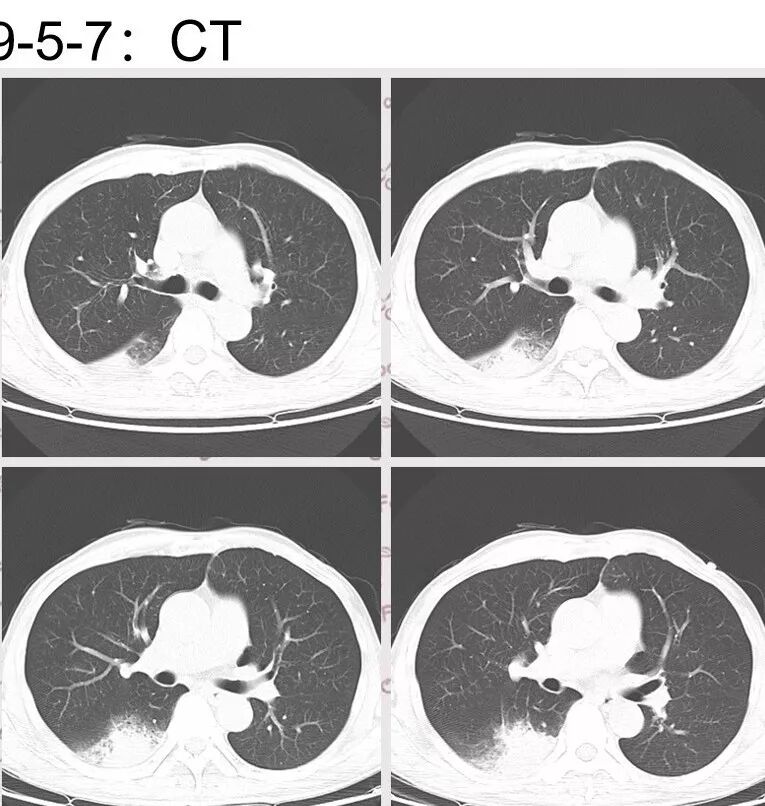
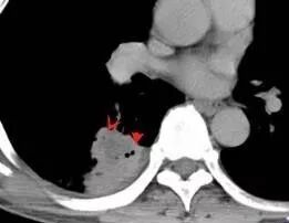
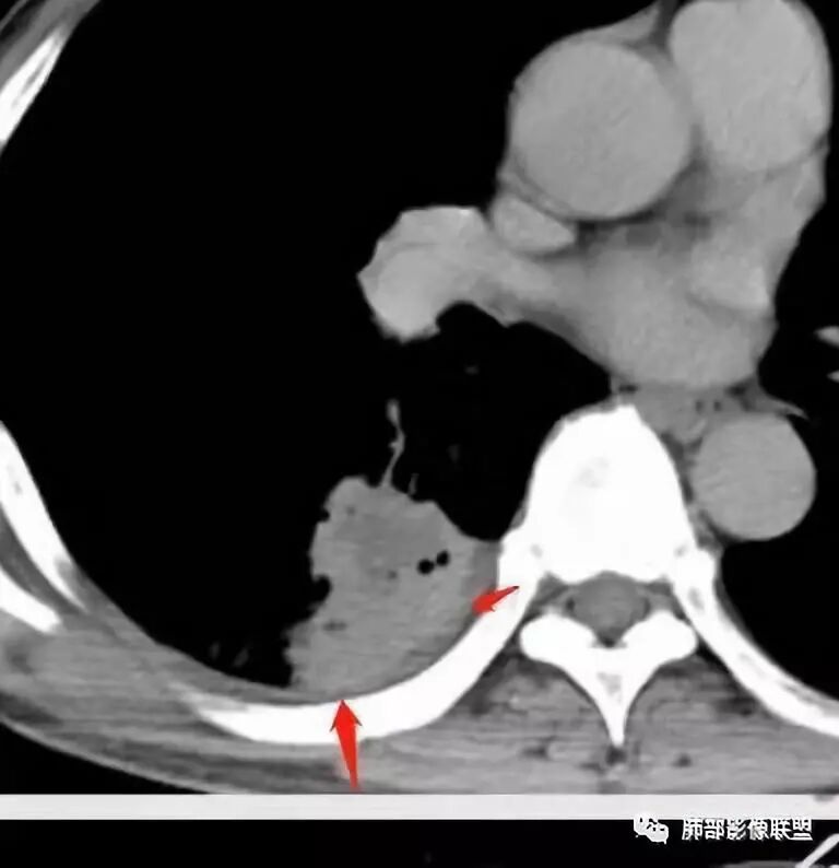
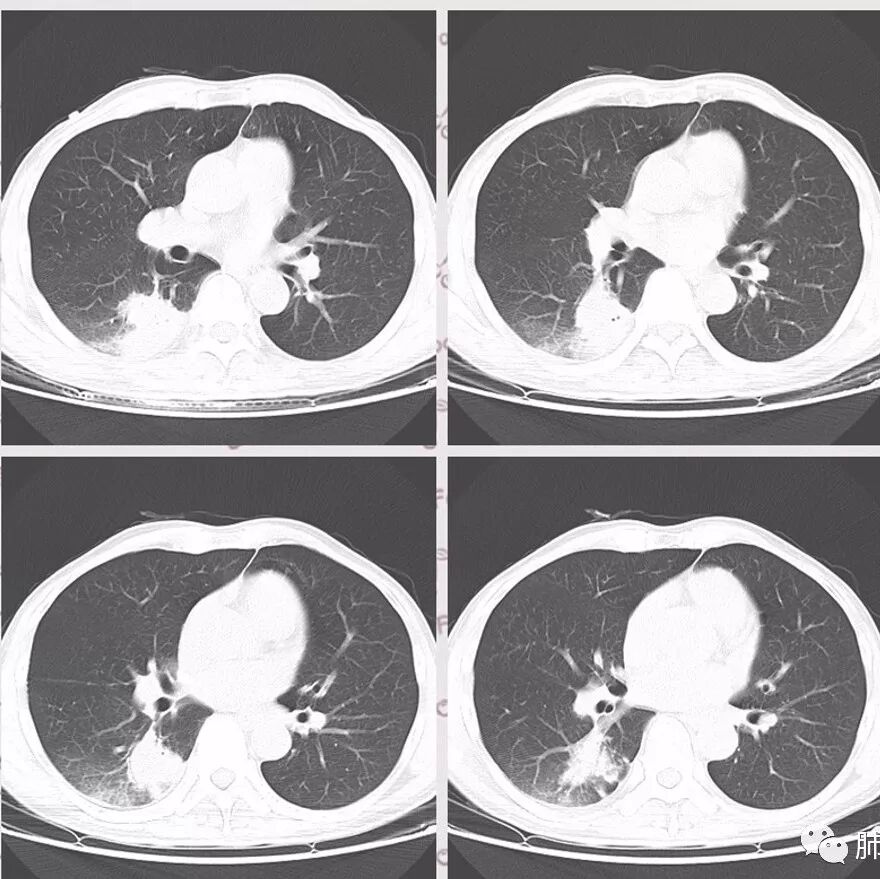
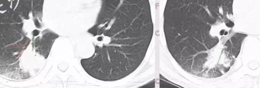
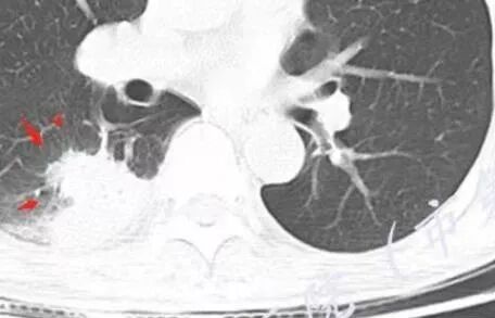
2.影像右肺下叶大片高密度影,整体边界模糊柔和,中央见圆形液化区及微小气泡影,内壁相当光整,环形强化,未见明确壁结节。双肺门及纵隔未见增大淋巴结。这样的病灶更符合细菌性肺脓肿,以肺炎克雷伯杆菌感染最为常见。
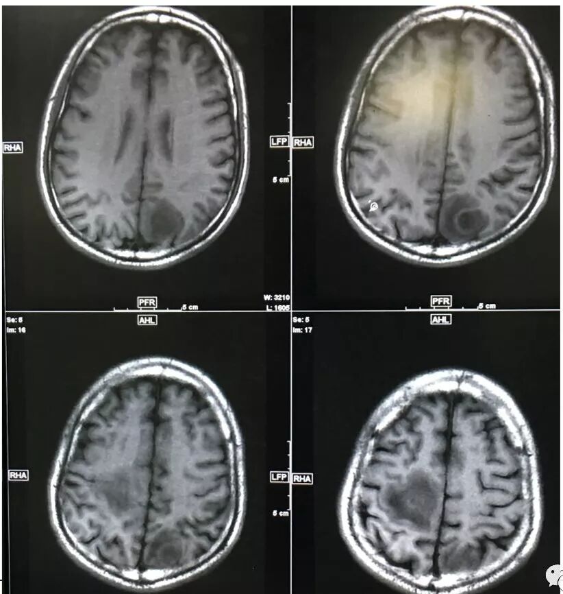
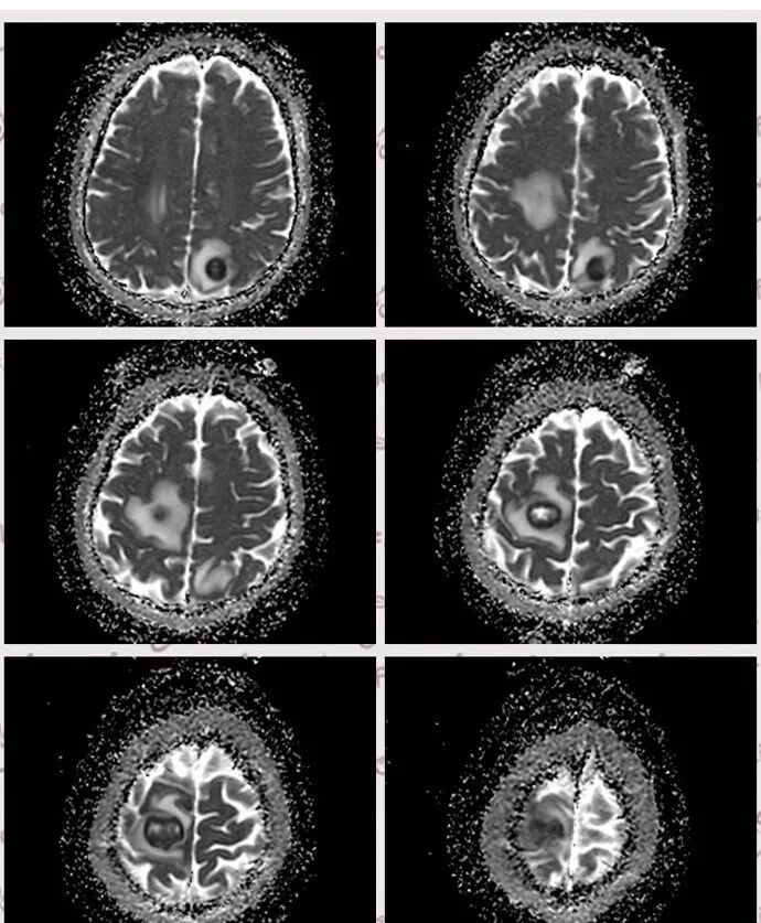
3.脑内多发混杂信号病灶,显著长T1、显著长T2信号为主。注意TW1及TW2均显示环形等密度影(这在转移瘤是非常罕见的)且出现相应的环形强化。中央液化区DW扩散受限以及周边广泛水肿等,都符合典型多发脑脓肿改变。
4.脓腔较大,也更符合细菌感染。(脑内结核、隐球菌及奴卡菌感染病灶通常不易有如此大范围)
 
综上患者符合肺脓肿及脑脓肿诊断,病原菌以肺炎克雷伯杆菌等感染可能性较大
 
可惜未能取得病原菌证据。患者社区感染,也没有入院后血糖等实验室资料。


编辑:李志强
审核:蔡笑燕   徐   晓
病例提供:长沙市中医院 放射科 陈婷婷
到顶部