【每日晨读】散落的满天星 (急性粟粒性肺结核)




c2019-11-7晨读病例
                (日照市结核病防治所呼吸科 冯连彩老师提供)
男性,64岁,农民
反复咳嗽咳痰,发热2月余。
第一次入院:(7月30日--9月12日)
  患者因“发热1个月,伴尿黄20余天”入院。患者既往有“急性黄疸性肝炎”病史40余年,“2型糖尿病”病史3年。
  既往史:平素体质可,3个月前发现糖尿病,给予二甲双胍及阿卡波糖口服,否认肺结核、乙肝等重大传染病史,无重大外伤手术史,无输血史,否认药物过敏史,预防接种史不详。
  个人史:生于原籍,无外地久居史,无疫水疫区居住史,无毒物接触史,从事养鸡,个人卫生习惯可。吸烟史30余年,日均约20支,现已戒除。无饮酒等其他不良嗜好。
   体检:T36.5,P:94次/分,R:23次/分,BP:117/63mmHg。神志清,精神可, 巩膜、皮肤黏膜黄染,无肝掌和蜘蛛痣 ,双肺呼吸音清,未闻及干湿性啰音,心率94次/分,律齐,无杂音,腹软,无压疼及反跳痛,肝脾肋缘下未触及,肝肾区无叩击痛。双下肢无水肿。
  辅助检查:
2019.07.30肝功:
白蛋白39.8g/L,总胆红素66.2umol/L,直接胆红素47.4umol/L,ALT144U/L,AST136U/L,GGT816U/L。抗O试验:245IU/L
2019.08.02:
尿常规:尿蛋白2+,尿胆红素3+,红细胞21.6/ul;
乙肝抗体,乙肝DNA,丙肝,艾滋病抗体均阴性,血常规正常。
CRP43mg/L,
腹部CT:肝硬化,建议MRI,脂肪肝,脾大,胆囊炎不除外,少量腹水
2019.08.07:腹部MRI及增强提示:肝脏形态饱满,信号略增高,脾大,脾周少量积液,胆囊炎,MRCP示胆囊管迂曲。
入院后进一步检查

















入院后给予哌拉西林他坐巴坦,联合米诺环素,后予拜复乐,氟康唑等治疗,同时给予对症支持治疗。仍反复发热,
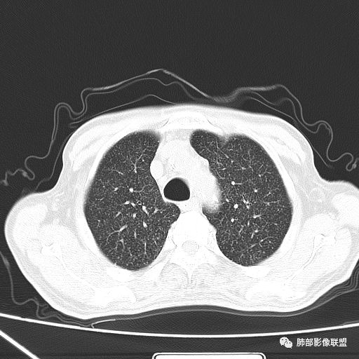
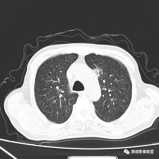
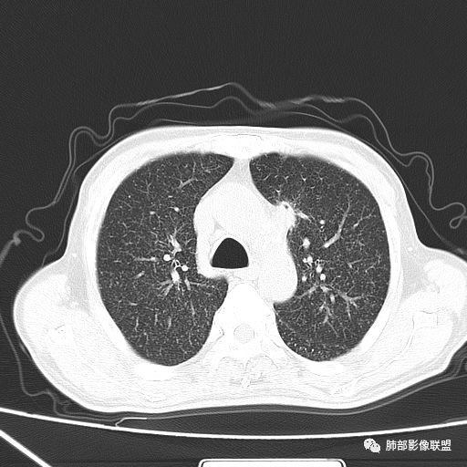
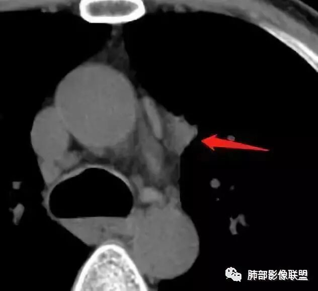
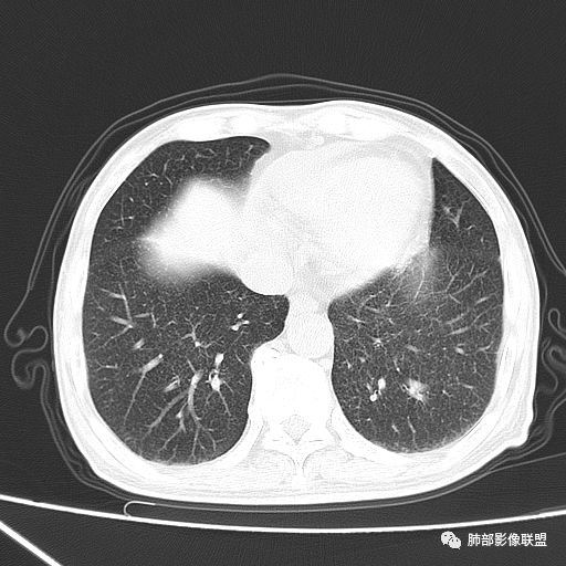
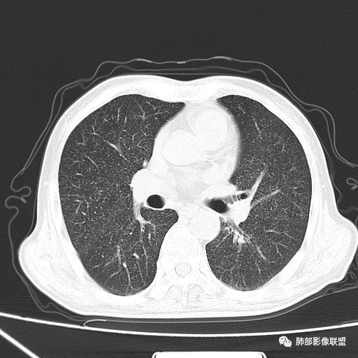
2019.08.24:胸部CT增强扫描:左肺上叶纵膈旁软组织结节影,双肺弥漫性小结节及细网状影,纵膈淋巴结肿大,心包积液,肝左叶散在低密度影。(没见片子)
2019.09.05支气管镜检查会厌声带未见异常,气管黏膜光滑,环状软骨清晰,隆突锐利,气管支气管内可见分泌物。
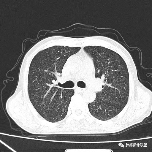
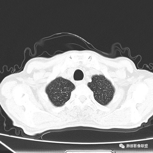
2019年9月12日CT(外院片,手机拍摄)













第二次入院:
男,年龄: 64岁,反复咳嗽咳痰,发热2月余。
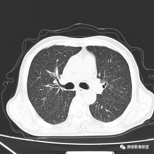
现病史:患者于2个月前无明显诱因出现咳痰、咳痰,咳白粘痰或黄痰,有时痰中带血,伴发热,最高体温40.5度,多于下午起热,伴乏力盗汗,有时恶心呕吐,先后至日照市中心医院及青岛大学附属医院住院治疗,给予哌拉西林钠他唑巴坦及拜复乐抗炎,氟康唑抗真菌及对症支持治疗,患者入院检查痰培养(2019-09-08青岛大学附属医院)肺炎克雷伯菌。骨髓穿刺(2019-09-10青岛大学附属医院)检出1.5%异常浆细胞,胞浆kappa单克隆阳性。胸部CT(2019-08-24青岛大学附属医院)左肺上叶软组织影,双肺弥漫小结节并细网状影,纵膈淋巴结肿大,心包积液。自发病来,饮食睡眠差,体重较前下降约15斤。
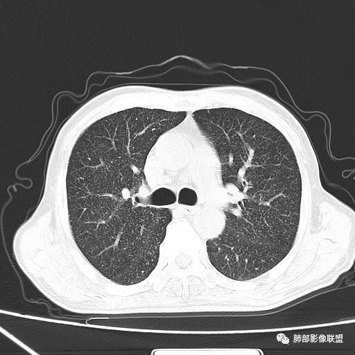
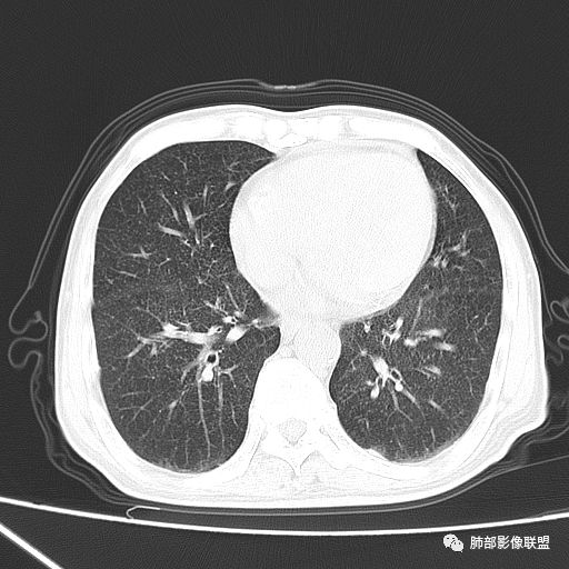
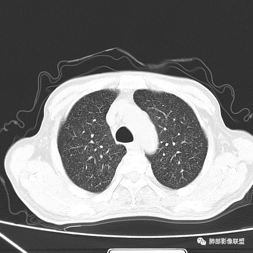
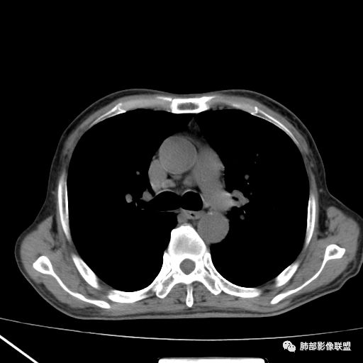
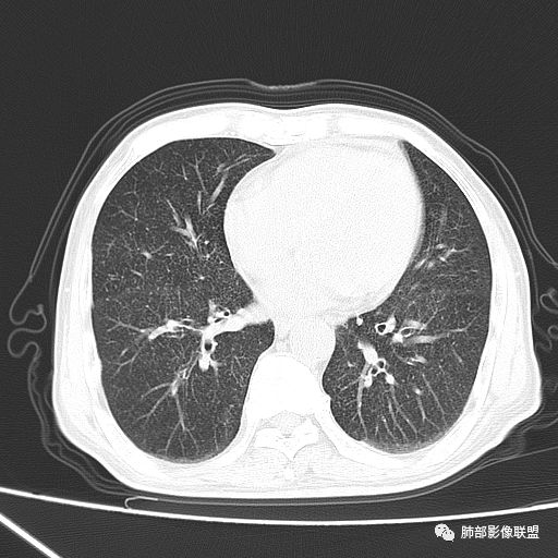
2019-10-20复查CT如下:





















您的诊断及鉴别诊断?
没意见: 
患者有应该浆细胞疾病基础,目前免疫缺陷,出现肺内粟粒性TB,既往梗阻性黄疸,大胆猜测一下可能有胆道结核可能
没意见: 
是多发骨髓瘤吗?
不再涩的柠檬: 
老年男性,糖尿病,反复咳嗽发热2月,免疫球蛋白高,梅毒阳性,白球比低,血尿胆红素高,尿蛋白阳性,肿标轻度增高,轻链高,血管炎检查阴性,eb病毒阳性。抗生素适用效果不佳。双肺多发粟粒结节,左上肺结节伴空洞,纵隔淋巴结稍大,病史提到脾大,胆管迂曲扩张。综合考虑慢性胞内菌感染,如结核,ntm,马尼等,或者eb病毒介导的淋巴道增生病变,如淋巴瘤,骨髓瘤等,自身免疫疾病,血管炎等待排除
陈涛: 
两肺弥漫性粟粒样结节伴左上肺小结节,呈三均匀分布,有结核的临床表现,支持血性播散性肺结核。
独孤丹: 
老年男性,咳嗽咳痰,发热,肝脾大,有结核中毒症状,糖尿病史,实验室检查,贫血,肝功异常,低蛋白,尿常规红白细胞,CRP,抗O高,EB抗体阳性,部分肿瘤标志物,NSE,CEA,CA125,均有升高,肺部影像学可见弥漫分布三均匀结节,可见浆细胞,综合考虑恶性可能性大,临床部分高度怀疑多发性骨髓瘤,结合影像考虑转移瘤,肺泡癌,鉴别血播肺结核,真菌马尔尼菲等。
南大:
老年男性,农民,糖尿病3年
肿瘤标志物多项增高

8月份就有弥漫细小结节
9月外院片也有弥漫细小结节

左上纵隔旁病灶存在

南边: 
有时高热,有时咳血,病史2月
体重下降明显
大小、分布均匀,边缘清楚
细小结节,弥漫,撒米粒样——血道来源
部分可见分支状

南边: 
边缘稍平直

南边: 
毛刺细弱

南边: 
还是支持结核
血道来源的病灶,均匀、细微,而且部分有分支状,都符合粟粒型肺结核
糖尿病病史也支持
鉴别转移瘤,太细微、太均匀,而且8~11月,会增大
癌,一般淋巴道分布,不是血道
马尼,这个我不敢排除
不是广西,还是少见一些
公布结果:
2019年9月30日患者在外院肝穿刺:肝组织内见凝固性坏死,周边可见类上皮细胞及多核巨细胞反应,不除外结核。
转来我所后痰Xpert阳性,对利福平敏感。
10月20日的CT其实是抗痨治疗近1月复查的CT。患者来我院后抗痨治疗体温下降,症状明显好转。
诊断:急性血型播散性肺结核
           肝结核
         2型 糖尿病
         多发性骨髓瘤?
         顽固性低钾血症(原因?)
 患者入院期间虽然反复的补钾及饮食治疗,血钾都是很低,患者饮食可。多发性骨髓瘤诊断还是不确定。

急性血行播散型肺结核
1)本病为大量结核杆菌一次或短时间内进入血液循环引起。
(2)急性血行播散型肺结核可发生于任何年龄,但是多见于婴幼儿、青少年,特别是未接种过卡介苗、营养不良、患传染病和长期应用免疫抑制剂导致抵抗力明显下降的小儿,多同时伴有原发型肺结核,由原发型肺结核发展而来。成人多见于继发型肺结核或肺外结核,偶见于未经治疗的结核性胸膜炎。
(3)本型结核多起病急骤,病程较长,临床上常有较严重的结核中毒症状。常有精神萎靡、食欲不振、体重减轻,腹胀、腹泻、便秘等。常高热达39℃以上, 呈稽留热或弛张热型,也有患者呈低热、午后潮热。由于自主神经功能紊乱,患者常出现盗汗、出冷汗,出汗多见于颈部、前胸、后背、手心、脚心。患者常常伴 有咳嗽,咳少量白色黏液痰。
胸部CT表现
急性血行播散型肺结核  两肺广泛分布粟粒大小的结节状密度增高影,具有大小均匀、分布均匀、密度均匀的典型“三均匀”特征,注意急性血播病灶非常小,一般粟粒影直径1~2mm。
病灶密集者出现肺外围血管影不清或减少。
发热初期肺部可缺乏典型影像学改变,1到2周后出现的广泛粟粒结节对诊断具有高度提示作用!
重视肺外病变的检查,如肝脏、眼底,以及神经系统的检查。


编辑:张丽红
审核:蔡笑燕  徐  晓
病例提供:日照市结核病防治所呼吸科 冯连彩
到顶部