【每日晨读】一语道破肺小细胞癌


一年之计在于春,一日之计在于晨,伴随着初升的太阳,每日晨读总是如约而至。
肺部影像联盟是所有热爱影像、热爱呼吸的医生朋友们的学习的家园,在这里大家不分彼此,相互学习,共同进步。
每日晨读就是送给大家的一个小菜,每日品尝,总是与众不同。
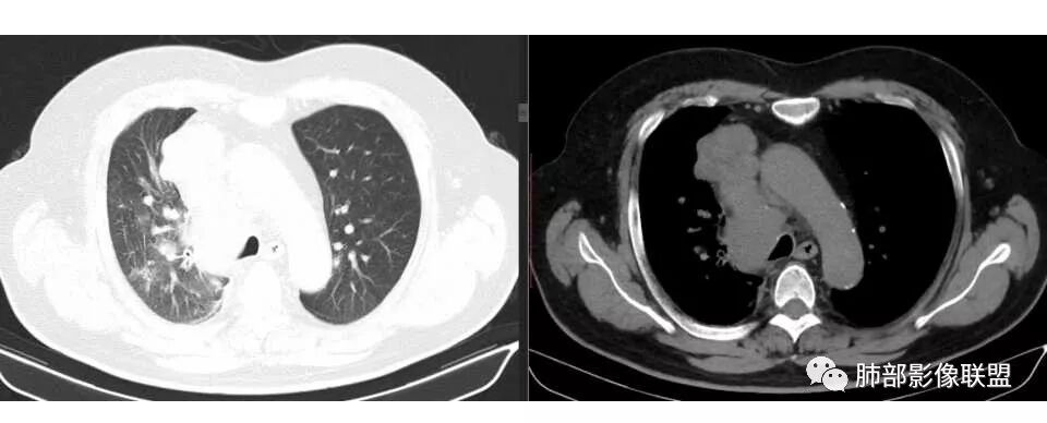
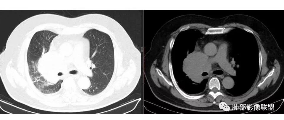
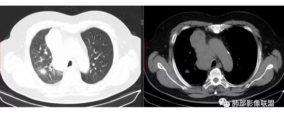
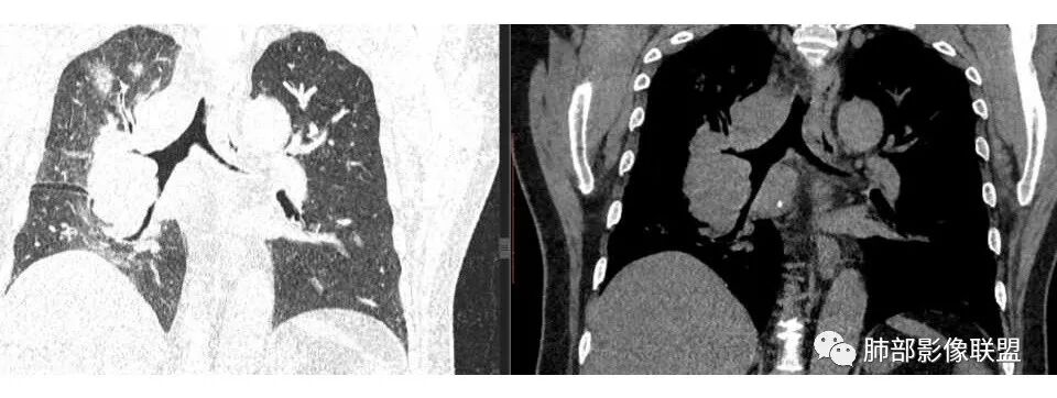
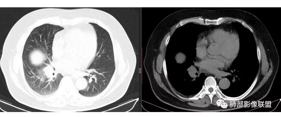
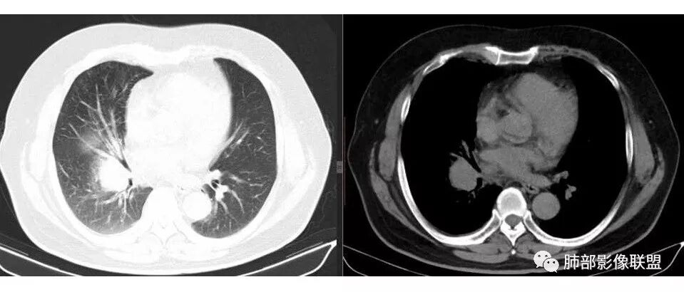
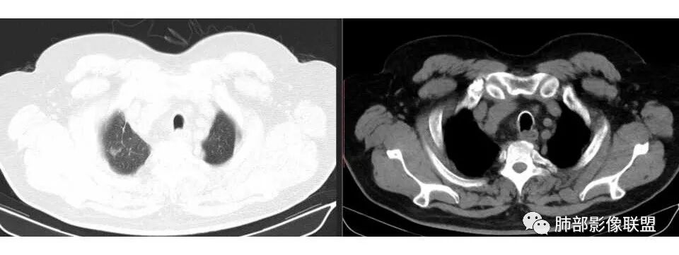
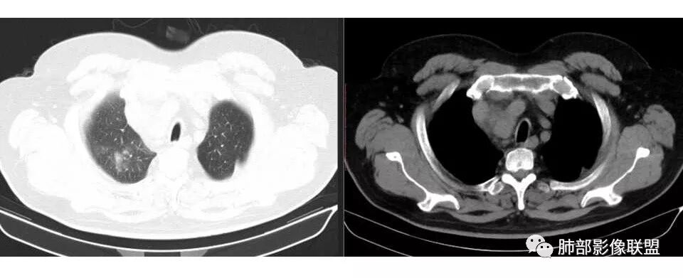
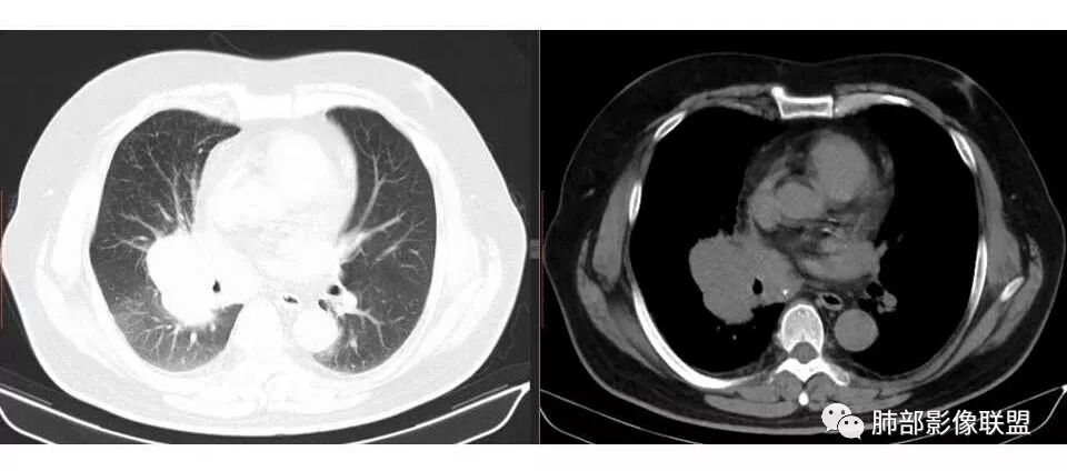
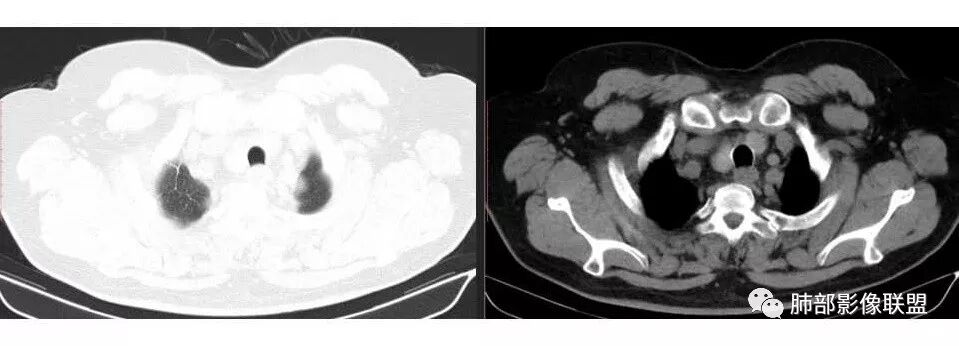
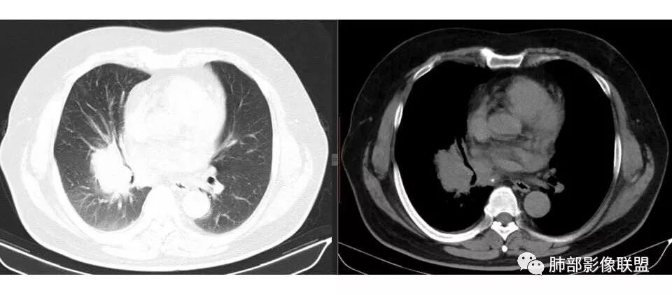
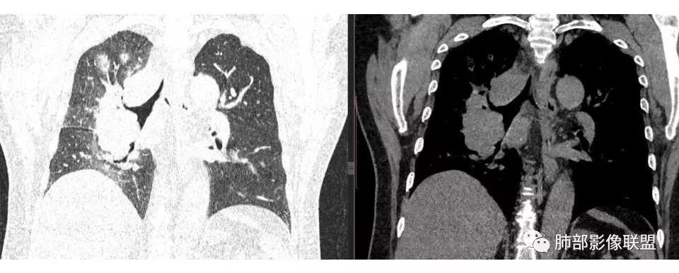
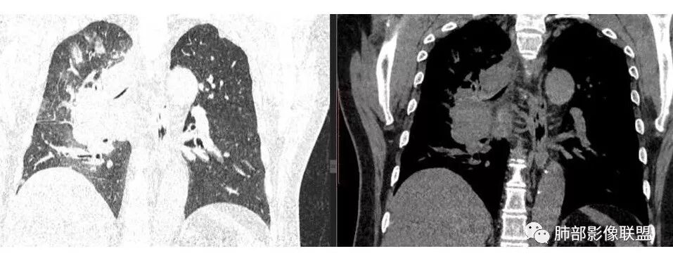
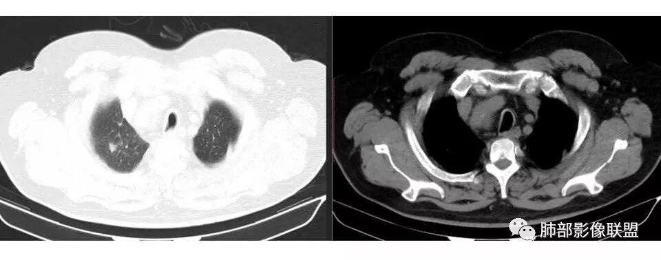
病例资料































j






群内讨论
市医院--时建文: 右肺门占位性病变伴纵隔淋巴结肿大,鳞癌?小细胞癌?淋巴瘤待除外,右肺上叶结核。
甄德强:小病灶大转移,小细胞肺癌。
凝睦: 鳞癌伴纵隔淋巴结转移,右肺上叶阻塞性炎症 
小溪流: 老年男性,有吸烟史,右肺门及纵隔肿物,考虑鳞癌伴纵隔淋巴结转移,右肺上叶阻塞性炎症。
紫气东来: 右肺门占位,支气管变窄,纵膈淋巴大,恶性,小细泡
大雄: 右肺上叶结节不太规则,周围有磨玻璃,有小叶间隔增厚叶间裂增厚,似乎有一点癌淋的感觉。纵膈多发淋巴结肿大,偏同侧,对侧几乎没有累及。肢体乏力就诊,要怀疑脑转移,先做个头颅CT或mri扫描。胸部也要看骨窗是否有骨转移。恶性应该没问题。小细胞的纵膈淋巴结转移一般会更广泛,容易很早累及对侧,融合,形成冰冻纵膈。小细胞癌境界一般相对清晰,边缘光滑,可以有分叶以及阻塞性改变,但癌淋少见。可以结合肿标,nse  cea progrp,有特异性 右上叶如果是原发灶,倾向腺癌。如果不是,就不考虑病理类型
wkj: 40岁以上吸烟男,右肺上叶新生物,纵隔新生物大于肺新生物,纵隔呈融合,冰冻,气管外压,血管疑似未受累,仅包绕,考虑小细胞。
看图说话: 右肺结节,纵膈淋巴结肿大,呈团块状,压迫气管,考虑右肺癌并纵膈淋巴结转移,阻塞性肺炎,小细胞癌或鳞癌可能大。
Lotus: 考虑小细胞肺癌,除外淋巴瘤
ZK金:娘小崽大,冰冻纵膈肺门,恶性,考虑小细胞。
三生石上: 右肺门肿块,纵膈淋巴结肿大,呈团块状,压迫气管,考虑右肺癌并纵膈淋巴结转移,不像冰冻纵隔。右肺上叶阻塞性肺炎,鳞癌?
王江涛: 右肺上叶病灶考虑原发,右侧支气管受压改变,右肺门及纵隔淋巴结转移,腺癌或小细胞 
我心飞翔:娘小崽大,支气管包绕未见截断,考虑小细胞。
张帅: 患者以肢体无力就诊,既往有吸烟史,胸CT:右肺门占位性病变,密度不均,病灶内病灶内支气管明显狭窄,走行僵硬,病灶边缘光滑,呈浅分叶,未见明显毛刺,对中叶支气管明显挤压。右肺内可见散在片状实变影,前纵隔淋巴结明显肿大,内可见低密度区,2r 4r 7 10r淋巴结明显肿大。诊断考虑恶性方向,肺癌(小细胞)并纵隔肺门淋巴结转移?淋巴瘤?
Yiren  Sishui(厶水伊人): 右肺上叶及中叶支气管都有受压,没有截断,肢体乏力应该脑部有什么,纵隔多发淋巴结肿大,部分融合,考虑小细胞肺癌
波波: 纵隔内多发肿大淋巴结,考虑小细胞肺癌,右上肺磨玻璃结节,考虑腺癌。
红日东升: 男性,有吸烟史,右肺上叶斑片,周围少于小叶间隔增厚,娘小崽大,冰冻右侧肺门、冰冻纵隔,符合恶性,侵袭性强癌淋轻,考虑小细胞可能,每年都参加体检但筛不出来的更倾向小细胞。
良孑: 冰冻肺门,右上叶支气管受压变窄,右上肺结节灶,有吸烟史,支持小细胞癌,鉴别鳞癌 
水晶石头: 患者中老年男性,以四肢乏力为症状表现,有吸烟史。胸部CT:右肺上叶不规则结节,周围见磨玻璃影,小叶间隔增厚。同侧纵膈明显淋巴结肿大。综合考虑恶性。存在小病灶大转移,冰冻纵隔,且有内分泌症状,首先小细胞癌可能大。监测排外淋巴瘤。
wonderful: 右肺门巨大占位,支气管均受压变窄,但支气管内无肿瘤,首先考虑小细胞癌
阿仙奴: 右上叶结节,形态不规则,右上叶和右中间支气管狭窄,右上管腔内可及结节状物,右肺上叶可见大小不等光滑结节,小叶间隔增厚,纵隔和肺门淋巴结明显肿大。考虑恶性,小细胞?
Ao..葉偲雨!👑: 右肺门不规则肿块伴支气管不规则狭窄,周围伴多大小结节及网格影,同侧纵隔淋巴结肿大,考虑恶性肿瘤,小细胞肺癌并同侧肺转移,纵隔淋巴结转移,癌性淋巴管炎,
小微: 右肺门占位性病变伴纵隔淋巴结明显肿大,冰冻肺门,娘小崽大,恶性肿瘤,首先考虑小细胞癌。男性,吸烟,鳞癌也要考虑,鳞癌转移相对晚。淋巴瘤放待排。
张立: 右肺上叶多发结节相连,右肺及纵膈多发肿大淋巴结,恶性,小细胞?鳞癌?右肺上叶支气管堵塞。
俞丽: 冰冻肺门,右上叶支气管受压变窄,无明显阻塞,右肺病灶跨叶裂,有吸烟史,支持小细胞癌
doctor: 右肺结节影,纵膈淋巴结肿大,压迫气管,考虑右肺癌并纵膈淋巴结转移,阻塞性肺炎,小细胞癌或腺癌可能? 
王秀仙: 右肺门肿块,中间段支气管壁增厚,管腔狭窄,上叶支气管开口截断,周围肺组织可见斑片影及小叶间隔串珠状增厚,纵膈淋巴结肿大并见低密度坏死,考虑鳞癌。鉴别小细胞肺癌 
小飞: 病灶与支气管长轴平行,浅分叶,纵隔与肺门广泛淋巴结转移,考虑周围型小细胞肺ca,即使肿块较大时也可以没有任何临床症状,相当一部分通过体检发现!
彭君: 右肺上叶多发结节 较大结节周围磨玻璃边缘清 右肺门及纵隔增大淋巴结融合 支气管壁不规整增厚 管腔狭窄但通畅 考虑恶性 肺内病变不像阻塞性炎症 原发的话先考虑淋巴瘤?鉴别小细胞
心灵鸡汤: 右肺上叶结节影,有分叶,长毛刺,胸膜牵拉,考虑结核,鉴别腺癌,小细胞癌,右肺门及右中上纵隔多发结节,团状影,其内密度不均,包绕,压迫邻近支气管血管,有肌无力表现,考虑侵袭性胸腺瘤或胸腺癌,鉴别小细胞癌,淋巴瘤
毛勤香: 右肺门纵膈淋巴结明显肿大融合,内有坏死,右肺动脉受累,考虑恶性,右肺支气管狭窄,壁增厚,肺内阻塞性炎症不明显,右肺上叶少许病灶,老年男性,吸烟史,以颅内症状就诊,首先考虑小细胞癌并脑转移,右肺上叶病灶首先考虑炎症,内有小结节不除外原发小细胞癌灶,代排鳞癌。淋巴瘤这么偏侧的生长见得少,还是先考虑肺内来源 
小微: 纵隔明显肿大淋巴结  


南边分析
南边: 恶性没问题肺小细胞癌、淋巴瘤、胸腺癌
大家倾向于哪一种?要点?



南边: 淋巴结的分布符合一条路线
这个病变,首先我们确定这个恶性肿瘤大家都一致,这个没有什么好怀疑。
肺门及纵隔多发淋巴结。2L,4R,3区都有肿大淋巴结。
南边:有老师认为,血管前的这个应该是一个胸腺来源的。我觉得不是,为什么不符合胸腺来源呢,就看那个内乳动脉
双侧对比:右侧增粗,提示供血
但在内侧,不是外移
所以我倾向于淋巴结可能 

胸腺瘤按理推压外移的多
而且胸腺癌转移不以淋巴结为主,如果淋巴结显著,按理周围侵袭性比较强,淋巴结也应该以附近为主,不应该以肺门为主,不符合引流规律。
支气管狭窄,壁有侵犯 

局限性中央间质增厚,考虑癌性淋巴管炎
部分区域有结节感 


右侧胸膜增厚
我支持肺癌,每年体检没发现,提示进展迅速,没看到肺内大病灶,吸烟,支持小细胞癌可能
Coke with ice: 老师,纵隔型肺癌怎么鉴别呢?
南边: 请问纵隔型肺癌是如何定义的?
Coke with ice: 纵隔型肺癌是指发生于肺部且靠近纵隔面生长的一种特殊类型的肺癌,瘤体大部分位于纵隔内。
南边: 肺内,靠近纵隔,然后病灶与纵隔分界不清,也就是说与纵隔肿大淋巴结融合一起,或侵犯纵隔了 
或者说紧贴纵隔胸膜,定位不易 
他的病理:多为小细胞癌,其次腺癌、鳞癌 
这么大,肺门区,如果纵隔型肺癌,按理是中央型,常规——支气管为主
这一例表现反了,支气管稍受侵犯 
宇宙星空: 嗯,淋巴结肿大为主
南边: 而且肺癌,一定受叶段的局限,这一例跨越右肺门,提示多个淋巴结融合
哞: 右肺上叶那个病灶是原发?还是 
南边: 例如这个病灶,如果是一个孤立的肿块,边界清晰,提示破坏性不强,不应该是包绕支气管,是推移到一边为主,这个表现为包绕,提示是多个病灶融合

但原发灶在哪我不敢说 

依据不充分 
但恶性没问题 
宇宙星空: 肺门区及纵隔淋巴结肿大融合,支气管被包绕 
Coke with ice: 赞!先无论结果对错,能自圆其说且经得住质疑的影像诊断结论都是正确的。
宇宙星空: 支持南大的分析,简单总结为:冰冻纵隔,娘小崽大,右肺小结节,支持小细胞 
南边:

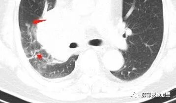
Coke with ice: 这个是标记的结节感吗?
南边: 奇怪,你们都不觉得这里有结节?
了: 气腔结节 
毛勤香: 这个人有癌淋,有点结节感 

Coke with ice: 嗯,不明显的结节感可以考虑用MPR和薄层结合起来看,会不会判断的更准一些
郑龙:怎么区分淋巴结转移、纵隔旁肺癌?

小飞: 小细胞肺ca属于神经内分泌肿瘤,可以伴发肌无力,不一定就是脑转移!
良孑: 纵隔型肺癌的定义是肺门肿块,阻塞上叶支气管,上叶不张向纵隔收缩移位,不张的上叶遮盖肺门肿块形成紧贴于纵隔的占位表现
/结果/
结果:小细胞肺癌


本例小结:
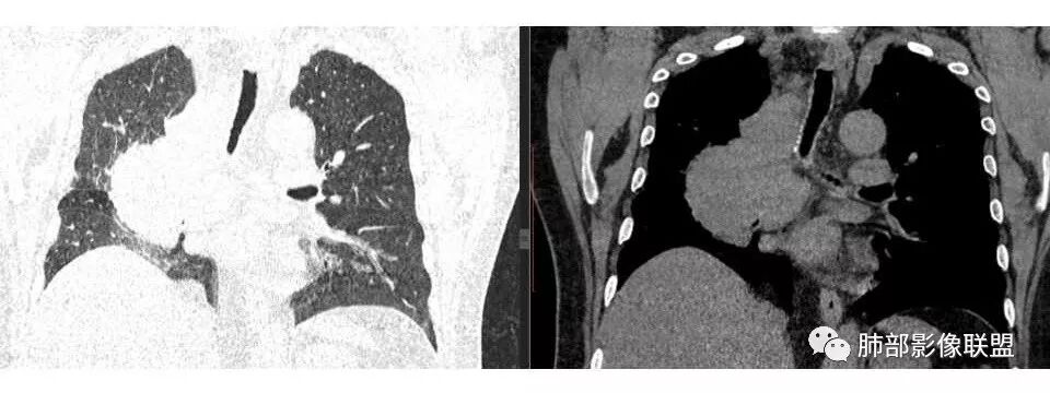
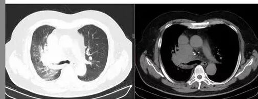
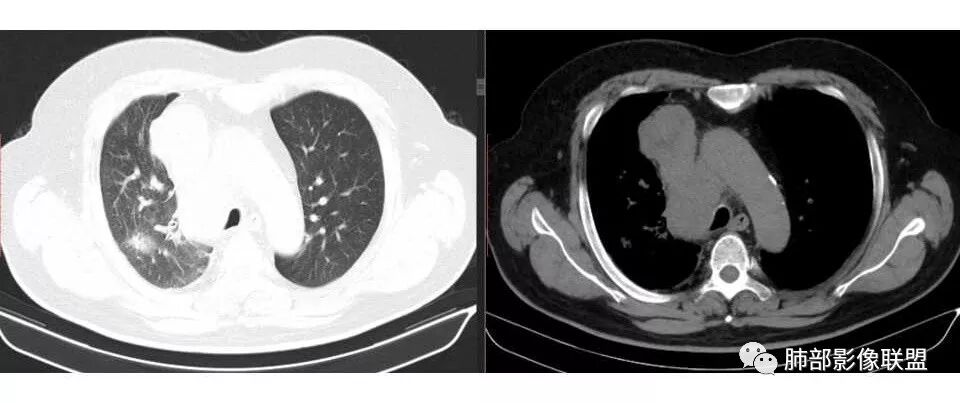
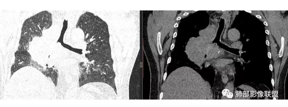
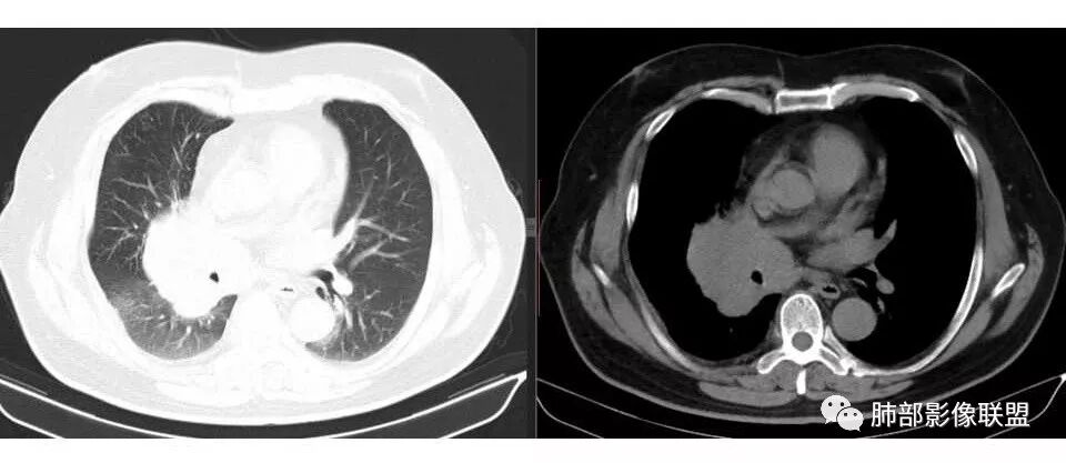
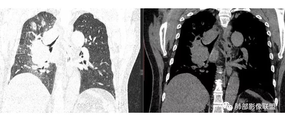
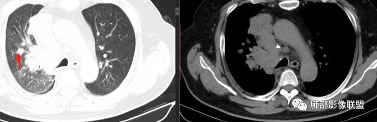
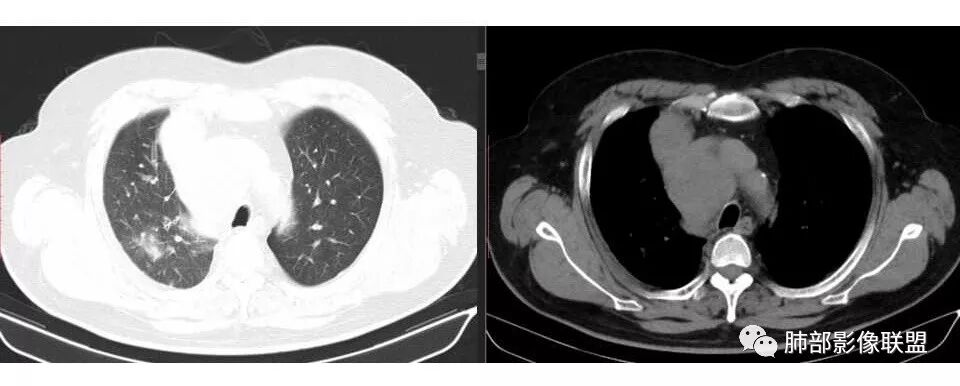
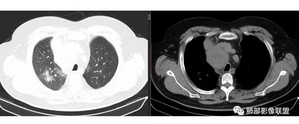
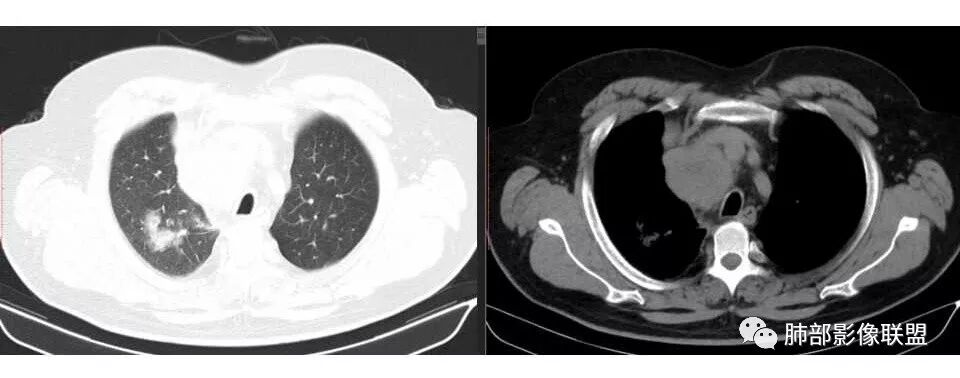
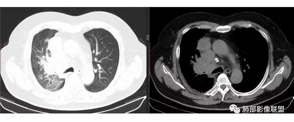
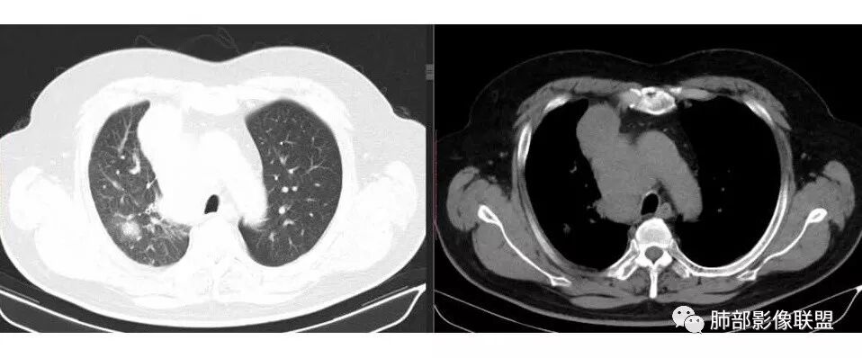
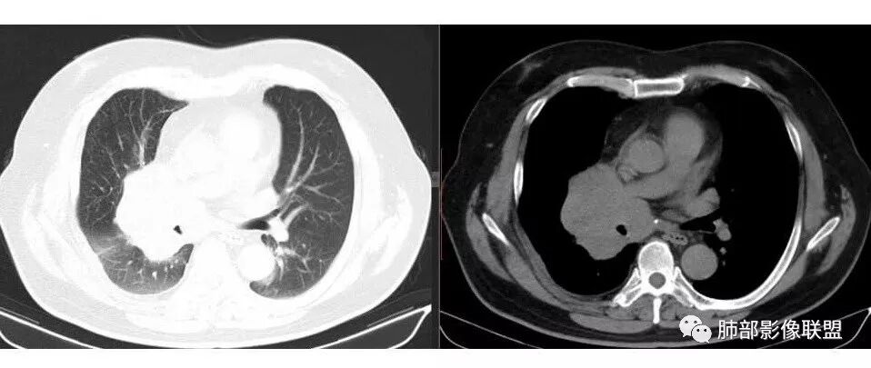
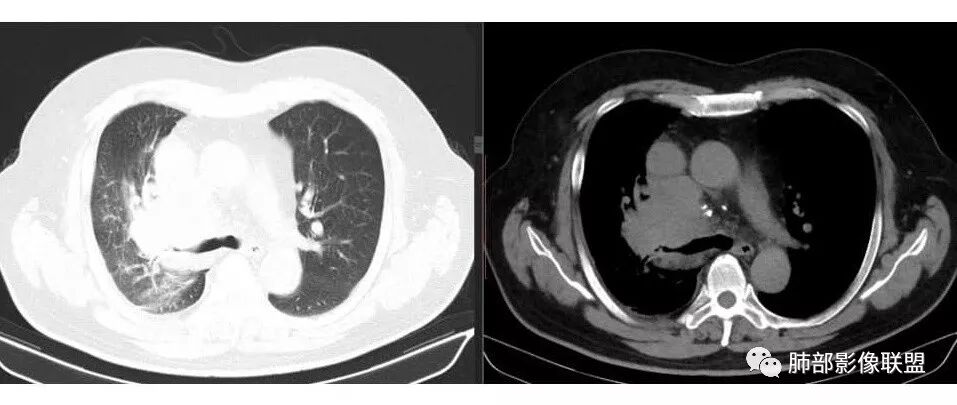
1.右肺上叶不规则结节影,右肺门及纵隔多结节并形成巨大块影,密度均匀,沿途支气管明显狭窄。
原发灶小或隐匿,肺门纵隔淋巴结异常增大,所谓“娘小崽大”常见于肺小细胞癌!
2.右肺小叶间隔增厚伴微小结节,提示癌性淋巴管炎。
3.注意患者年年体检未见明显异常!
一年之内,甚至几个月内出现的肺部肿块,也几乎将鳞癌、腺癌、类癌、肉瘤等肺原发肿瘤彻底排除在外!
相关链接:小细胞肺癌的病理影像分析
              病理影像学系列讲座——第四讲:小细胞肺癌、类癌

The end


编辑:冯连彩
审核:徐   晓
到顶部