【每日晨读】云里雾里寻踪迹(一)(粘液腺癌)



当清晨的一缕阳光透过窗帘上的空隙映照在沉睡的脸庞时,微微张开的双眼朦胧地注视着周遭的一切,新的一天悄然而至。











































甄德强:
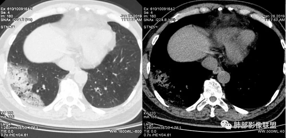
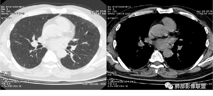
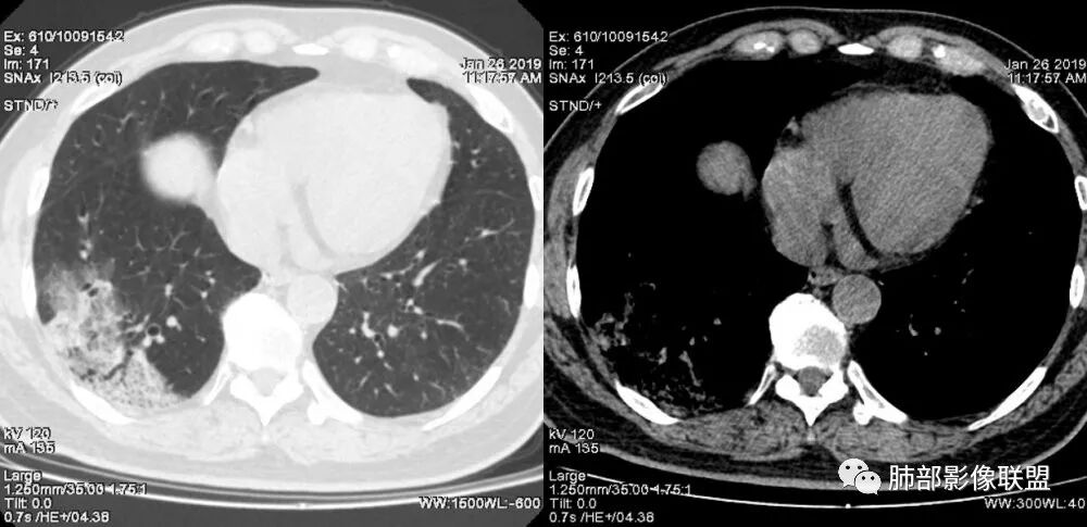
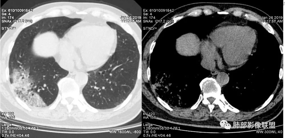
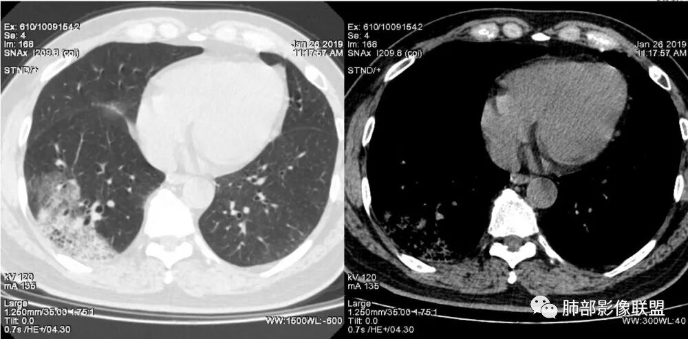
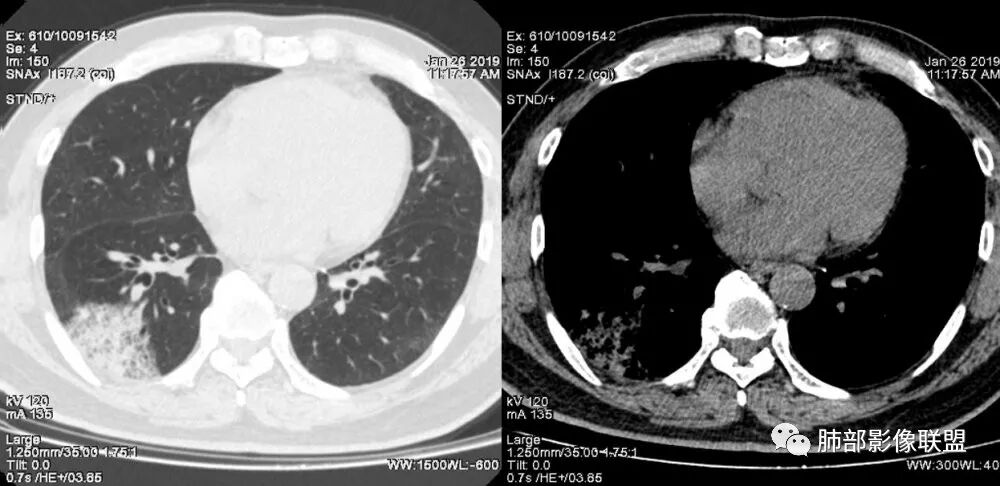
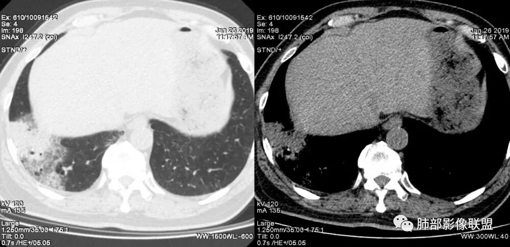
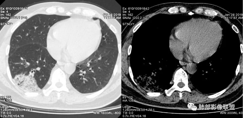
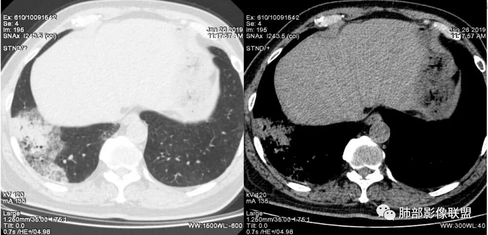
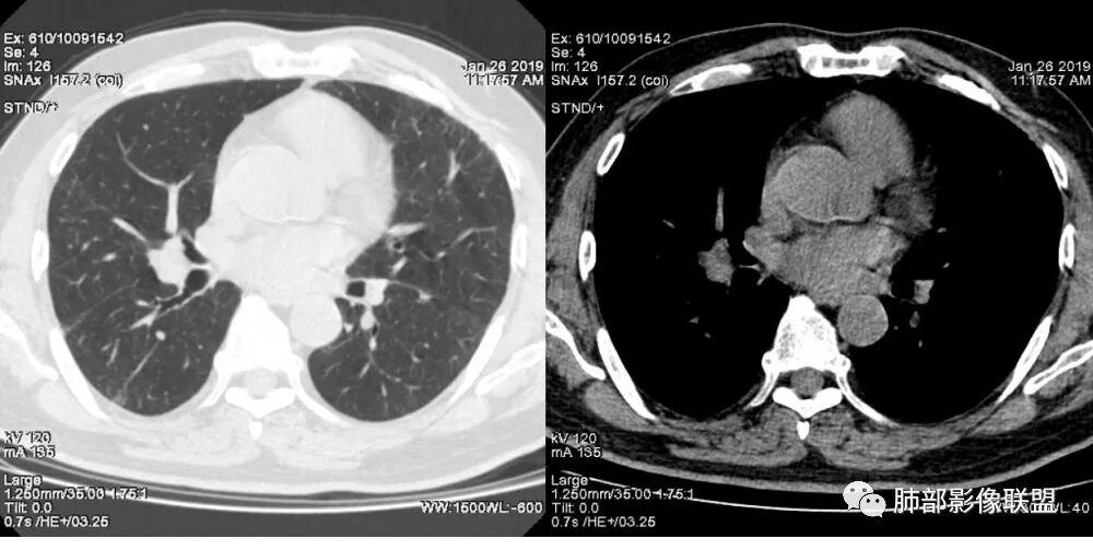
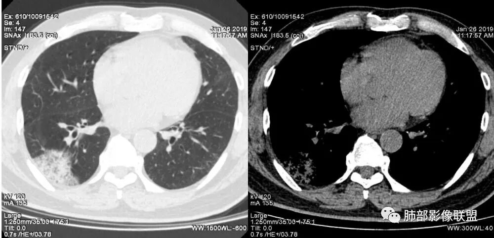
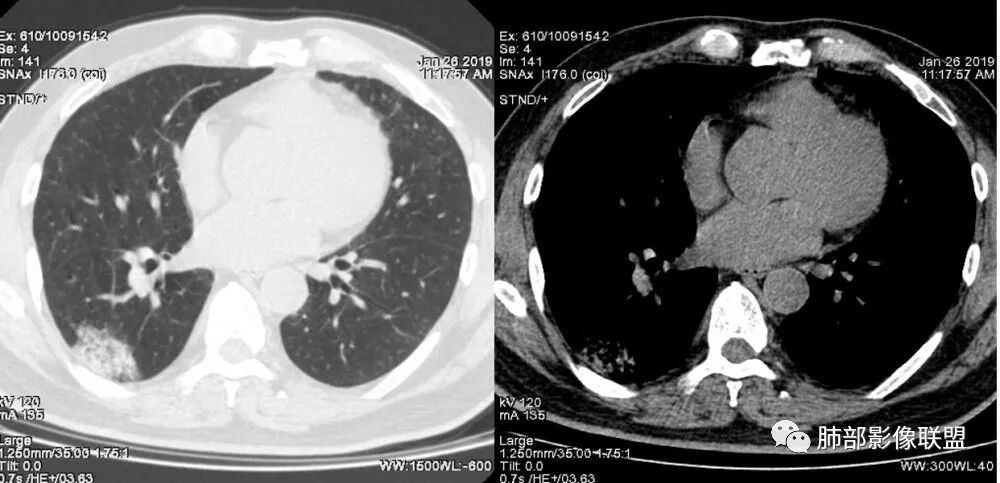
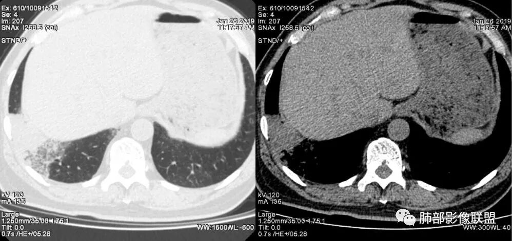
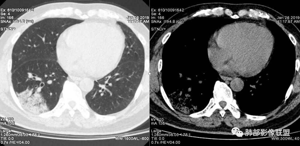
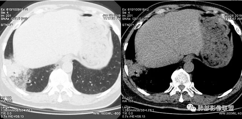
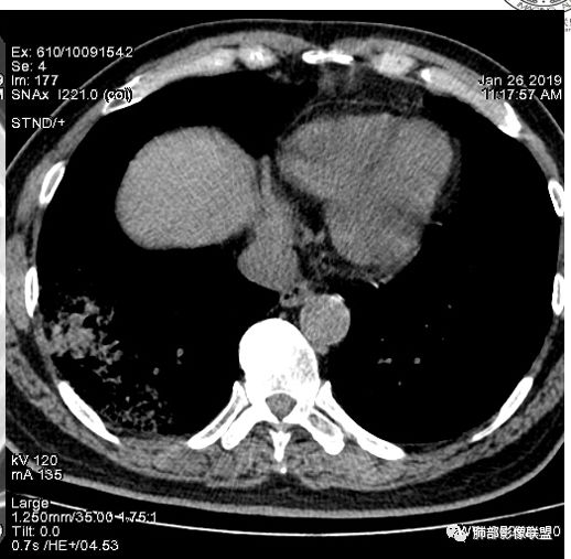
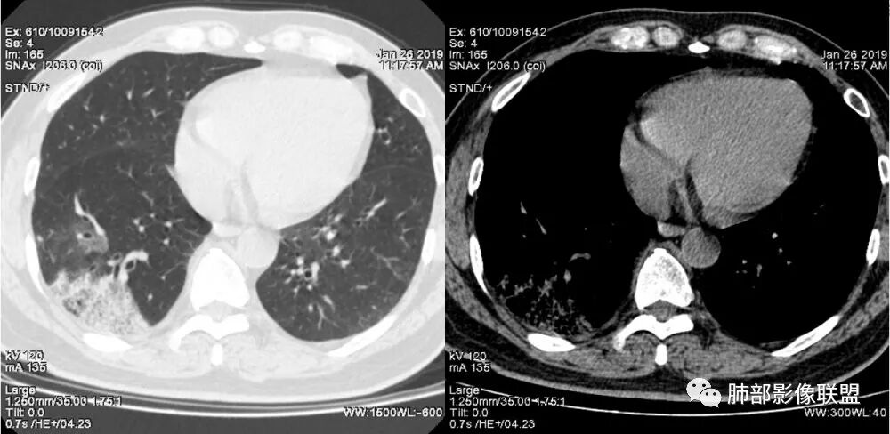
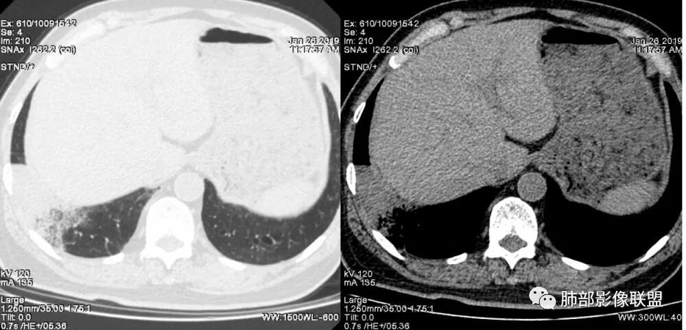
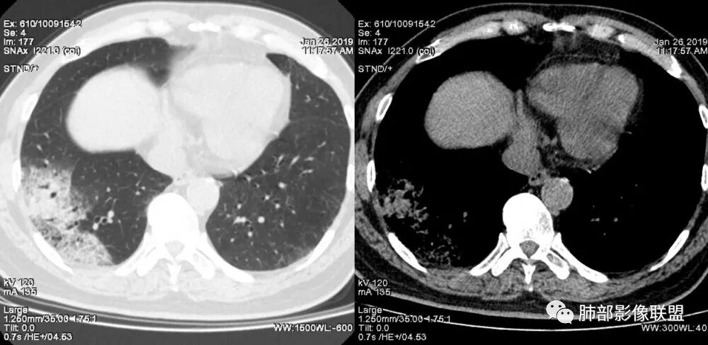
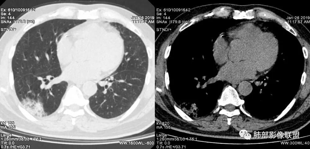
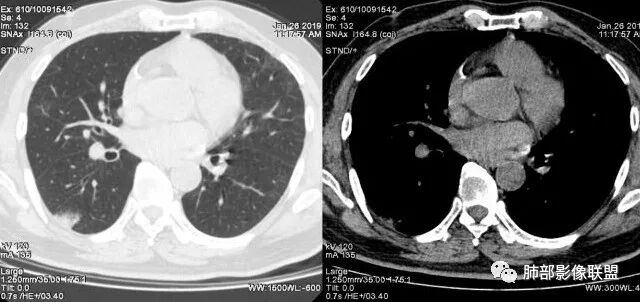
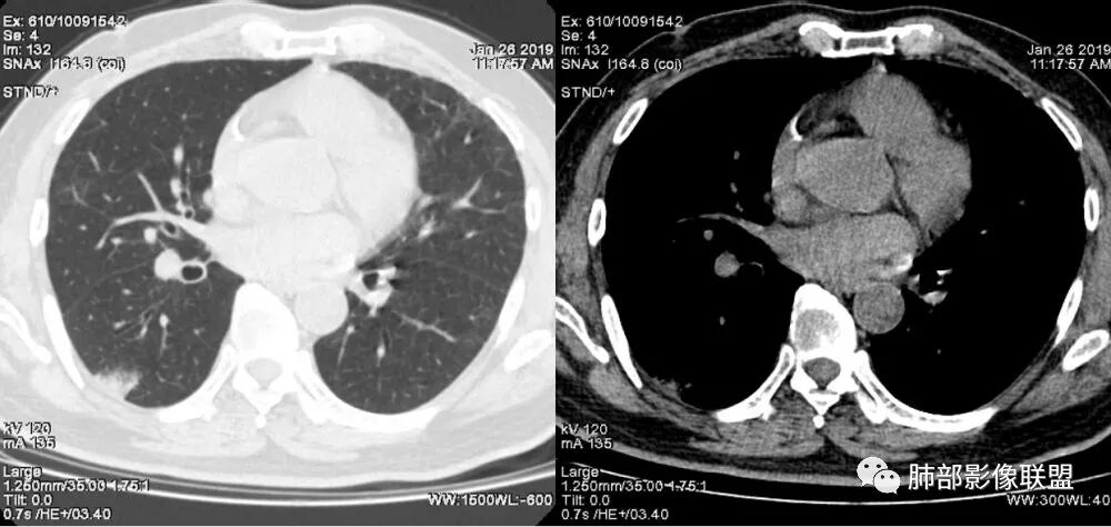
老年女性,右肺下叶沿胸膜下大片状高密度影,外周磨玻璃影,边界较清,内可见蜂窝征及支气管充气征,考虑肺炎型肺癌。
采莲:
老年女性,咳嗽咳痰病史,右肺下叶大片磨玻璃实变影,胸膜下分布,支气管进入后扩张、僵直,磨玻璃影边界清楚,考虑粘液腺癌。鉴别肺炎。
醒梦如一:
右肺下叶基底段靠胸膜实变/磨玻璃混杂密度影,边界清楚,内见多发空泡(蜂窝样趋势改变?); 临床:咳嗽咳痰,无发热、胸痛; 考虑腺癌:无发热,感染性病变不首先考虑;部分层面形态类楔形,鉴别肺栓塞
市医院--时建文:
老年女性,右下肺实变影,病灶里有小叶内间质增厚,周围GGo,支气管扩张,粘液性腺癌?淋巴瘤?
红日东升:
中年女性,咳嗽咳痰。右肺下叶片状高密度影,部分实性密度,周围见边界清晰磨玻璃影,内见小空泡,实性区部分支气管堵塞,有重力效应,考虑肺炎型肺癌,建议查痰脱落细胞。
飞鹰行动:
老年人,右肺下叶斑片状阴影,病灶有膨胀性,边缘可见磨玻璃影,其边界清晰,内见僵硬的支气管,部分支气管扩张,首先考虑占位性病变,粘液性腺癌可能。鉴别感染性病变,后者边缘多有收缩性改变或者平直,内部支气管走形自然。
大雄:
中老年女性,咳嗽咳痰就诊,病程长短不详;右肺下叶混合磨玻璃影,细网格+实变,外周贴胸膜分布,边界清晰,内部支气管通畅,略有扩张。进一步需结合病史,有无发热,血常规,生化,血沉,其他炎性指标及肿标;首先判断感染还是非感染性病变,目前临床影像均依据不足。
1.感染:CAP(符合肺链,肺克等大叶性肺炎改变);隐球等
2.非感染:肺炎型肺癌(粘液型腺癌多见)
下一步可选择,常规抗感染两周复查,支气管镜检查,以及隐球菌荚膜多糖滴度试验,或经皮穿刺活检。
傅昌瑜:
中年女性,右肺下叶沿胸膜下大片状高密度影,实变加GGO,外朝内发展,边界较清,内可见蜂窝征及枯树征,考虑肺炎型肺癌。
wonderful:
右肺病灶,病灶较大,实性+周边ggo,边界清晰,胸膜下分布,长轴平行于胸膜,内部支气管充气征,因不发热,暂不考虑感染性病变,支持肺炎型肺癌。
紫气东来:
右肺下叶实变,周围磨玻璃,支气管扩张,一是感染性?二是考虑腺癌?三是考虑肺栓塞?
THINKER:
女性,咳嗽咳痰不发烧,右下外基底段实变影,边缘清楚GGO,有充气支气管征,枯树枝不明显,由外向内;诊断:肺炎型肺腺癌;鉴别:1、肺栓塞(外型神似,但无胸痛丶咯血);2丶肺炎
风之子:
老年女性,右下肺实变影,糊墙,外朝内发展,病灶里有小叶内间质增厚,周围边界清楚了GGO,支气管扩张明显,考虑粘液癌;不符合点,支气管扩张太厉害了,鉴别淋巴瘤。
小监:
 
右下肺病变,总体病灶膨隆,外周清楚的GGO,警惕炎性腺癌,鉴别肺栓塞和感染,临床常规应该还是首先抗感染治疗后复查。
水晶石头:
患者中年女性,咳嗽咳痰就诊。胸部CT:右肺下叶后基底段片状实变影,由胸膜向内发展呈扇形,病灶里有小叶内间质增厚、蜂窝状影,周围边界清楚GGO,内可见扩张支气管,淋巴结无明显肿大。综合符合粘液腺癌。
一米阳光:
老年女性;右下肺混合实变影,呈楔形改变,边缘清晰,支气管进入且扩张,蜂窝状改变,考虑粘膜相关淋巴瘤,鉴别粘液腺癌,肺栓塞。
徐婕:
女,55咳嗽咳痰,右肺下叶片状实变,磨玻璃影及蜂窝影,考虑粘液腺癌。
小酸:
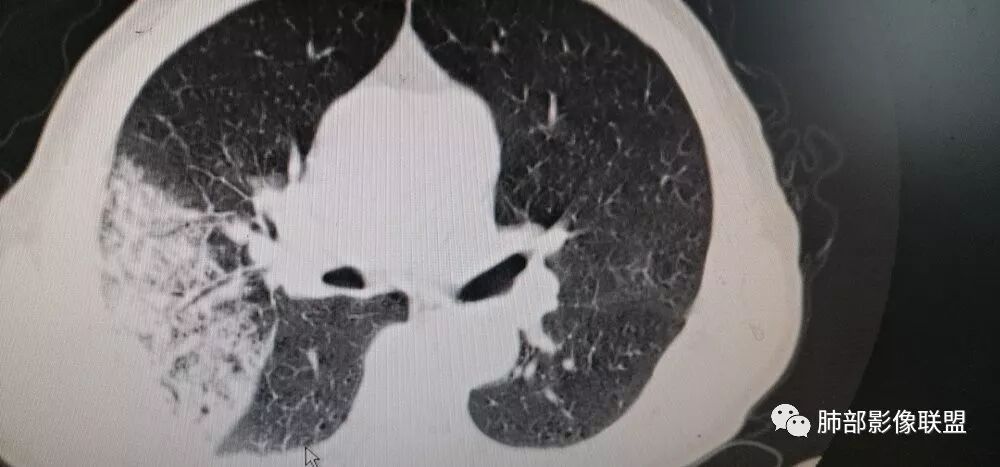
枯树枝征掌握不住,看谁都像枯树枝;
各位老师,我的这个像吗?

甄德强:
不像
wonderful:
支气管充气征(空气支气管征)见于:炎症实变(大叶性肺炎,机化性肺炎,隐球菌),淋巴瘤,粘液腺癌(肺炎型肺癌),肺间质病;
管腔 :正常、扩张、狭窄或闭塞
管壁:光滑、毛糙
支气管树形态:正常(走形柔软、自然),异常(走形僵直、不完整)
分型:
I型青枝型所显示的支气管管腔未见明显改变,走行自然,整个支气管树柔软状如青树树,名为青枝型(炎症多)。
Ⅱ型,所显示的充气支气管管腔以扩张为主,名为扩张型(淋巴瘤多,原理为支气管平滑肌受累)。
Ⅲ型,显示支气管管腔狭窄与扩张并存,小分枝残缺而使支气管树形态不完整,支气管走行僵直,状如枯枝,命名为枯枝型(腺癌多)
Ⅳ型,支气管充气征与支气管黏液征并存,名为复合型。
小酸:
我还是有点不懂,我下面这个是什么型?是IV型?看着不怎么自然。我也收藏了;
究竟什么样算是僵直?
小酸:

甄德强:
枯树枝意义不大,很多人对它不是很了解
甄德强:

大雄:
不要放大个别征像,所谓枯树征,在炎性病变里并不少见
云破月影:
我觉得纵膈窗可以更好观察,纵窗看支气管很紊乱的感觉,鉴别,肺炎的支气管充气征,支气管走形还是很自然的

流心明智:
老年女性,咳嗽、咳痰。右肺下叶沿胸膜下大片状高密度影,外周磨玻璃影,边界较清,小空泡,蜂窝征及支气管充气征,叶间裂串珠征,考虑:肺炎型肺癌,鉴别:肺克,链球菌,NTM等感染。
毛勤香:
右肺下叶大片状影,密度不均匀,部分实变部分磨玻璃,大部分病灶尚清晰,其内支气管稍扩张,中年女性,首先考虑粘液腺癌,待鉴别淋巴瘤,常规抗炎治疗后复查。
小赵:
中年女性,右肺下叶实变,近似扇形,外朝内发展趋势,外围紧贴胸膜面,中心密度略高,边缘密度略低,病灶内支气管略扩张。考虑肺炎型肺癌。常规建议抗炎治疗后复查,如无变化或变化不明显,建议穿刺活检。
张帅:
胸膜下,实变,毛玻璃影,囊,边界清,枯枝,粘液腺。
生来征服~浪子:
老年女性,右肺下叶大片实变,小叶间隔及小叶内间隔增厚,边界较清,其内支气管似乎可见稍扭曲,分支减少。考虑1.肺炎型肺癌2.结合临床除外类脂性肺炎。
张立:
起源于胸膜下,实性成分,边缘Ggo,边界清晰,内可见小叶间隔增厚,粘液腺癌可能。建议先消炎后复查。
宇宙星空:
右肺下叶胸膜下大片状MGGO,其内结构紊乱,可见空泡征,病灶内近端支气管扩张,远端闭塞,形态不规则,边界部分清楚,部分似清非清,考虑粘液腺癌,鉴别淋巴瘤
崇军:
该病灶主病灶位于胸膜下(肋膈角处),边缘膨隆改变,周围毛玻璃,边界清楚,病灶内支气管僵直,轻度扩张,小分支无,符合枯树枝改变,有多发小空泡(难与支气管区别),应该符合肺炎性肺癌,但无蜂窝,没有增强无法判断有无粘液、血管特点,如果周围显示的空泡是支气管,其已达到远端,这些有符合炎性特点,工作中,我会先抗炎膨后复查再定。
程磊:
这是潘老师说的外向内吗?右下实变,蜂窝,GGO,支气管变形迂曲,局部膨胀感,肺炎性肺癌,粘液腺癌可能。常规先抗炎再复查。鉴别淋巴瘤,淋巴瘤支气管一般不变形,壁光整,病程长。

病理结果



粘液腺癌

     肺炎性肺癌,是一种影像学上表现为实变、斑片或大片状模糊阴影的肺癌。肺炎性肺癌影像表现不典型,是周围型肺癌的一种,病理类型多见于肺腺癌,少许见于鳞癌、小细胞肺癌,而肺腺癌中以粘液腺癌多见。
    粘液腺癌是一种原发性肺腺癌的变异型,病理上起源细支气管壁以远的支气管与肺泡上皮,属于周围型;其细胞形态及排列方式与非粘液性腺癌有所不同,为成簇排列的粘液腺上皮,很早就有细胞内粘液及分泌细胞外粘液;早期粘液腺癌常为一单发结节,有沿气道距离播散的能力,中后期肿瘤细胞随粘液飘向更远的肺段及肺叶,会出现斑片状肌片状实变和/或磨玻璃密度样的肺炎样影像学改变;随着肺粘液腺癌体量的增大,粘液的播散,临床上会有咳白痰,查痰液脱落细胞会找到肿瘤细胞。
    下面附上一张粘液腺癌的病理图,我们可以感受一下粘液湖中飘着的肿瘤细胞。(肿瘤细胞飘散在粘液湖中,图片来自王兆宇老师)


病例小结

1.本例病灶较大片混杂密度影,胸膜下分布为主(未沿着支气管分布),该分布特点可见于大叶性肺炎、干酪性肺炎、淋巴瘤及粘液腺癌等。可惜未提供增强扫描图像。
2.病灶示中央实变区,周围GGO,可见明显小叶间隔增厚,GGO边界清楚,应当考虑到恶性病变的可能性。肺炎因炎性水肿及渗出,影像上边界常模糊不清,注意早期粘液腺癌可出现似清非清的边界。粘液腺癌因粘液成份较多,密度一般偏低,纵隔窗病灶常会消隐或范围会明显缩小,这不同于炎性实变。
3.病灶内支气管走形略显僵直,侧支少(粘液阻塞),也符合肺腺癌的枯树枝征。而大叶性肺炎的支气管是管壁光整、通畅、自然,结核的支气管常常壁增厚,甚至狭窄后扩张;
4.患者临床症状不重,临床炎性指标不高,结合肺内影像,应警惕肺炎型肺癌。
                   ☆特别提示
   如果患者临床症状不重,与影像表现不适格,咳大量白痰,炎性指标不高,抗感染治疗肺部病灶未见吸收,或反见扩大及其他肺组织内出现飘散的磨玻璃结节,因高度怀疑粘液性肺癌!
往期回顾
●肺的粘液型腺癌病理影像讲座——病理篇
●再解肺粘液腺癌

编辑:田长青
审核:蔡笑燕  徐  晓
病例提供:双鸭山市人民医院 任广国

到顶部