【每日晨读】云里雾里寻踪迹(二)(故弄玄虚的肺结核)



病例讨论






































群内讨论
小监:
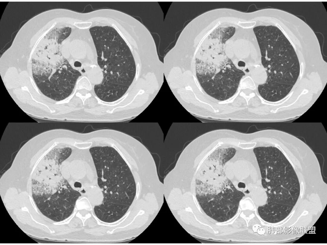
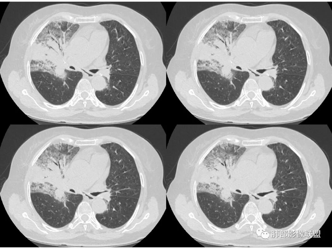
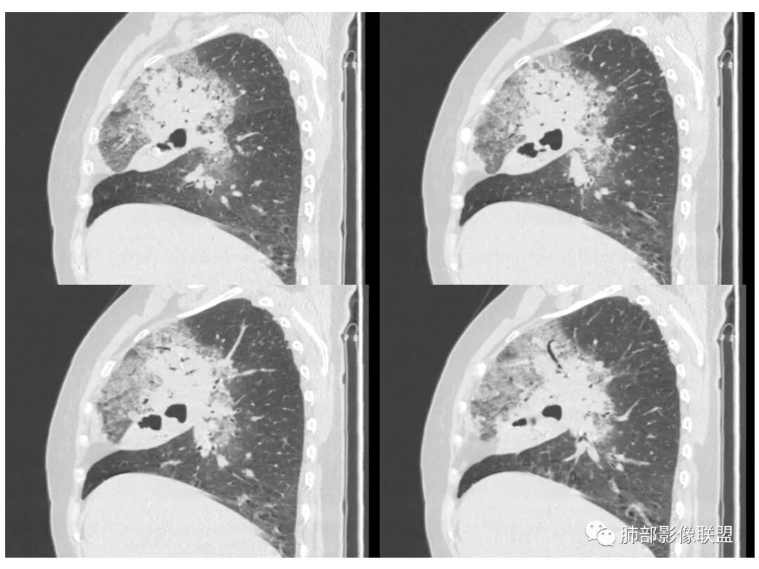
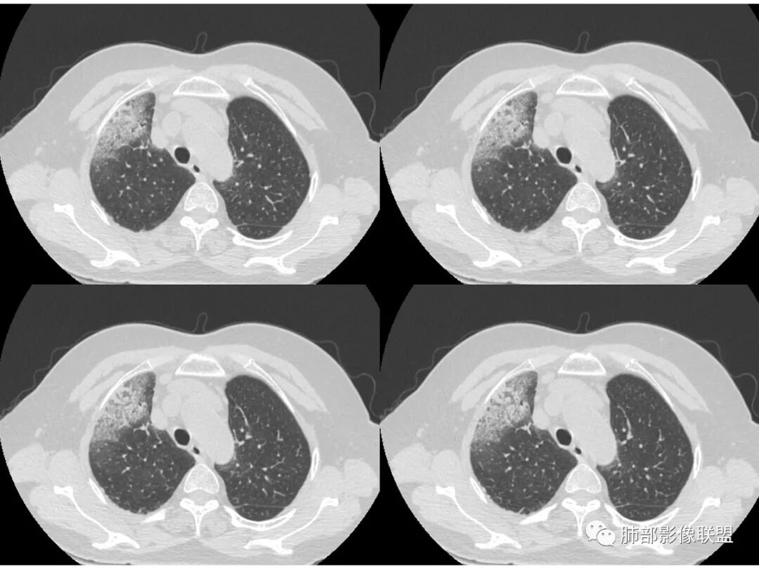
患者老年女性,亚急性病程,咳痰量多,炎症指标升高不明显,病灶总体彭隆,充气征呈枯枝状,病灶总体分布不以叶段为中心,考虑炎性肺癌,常规抗感染治疗后复查。
飞鹰行动:
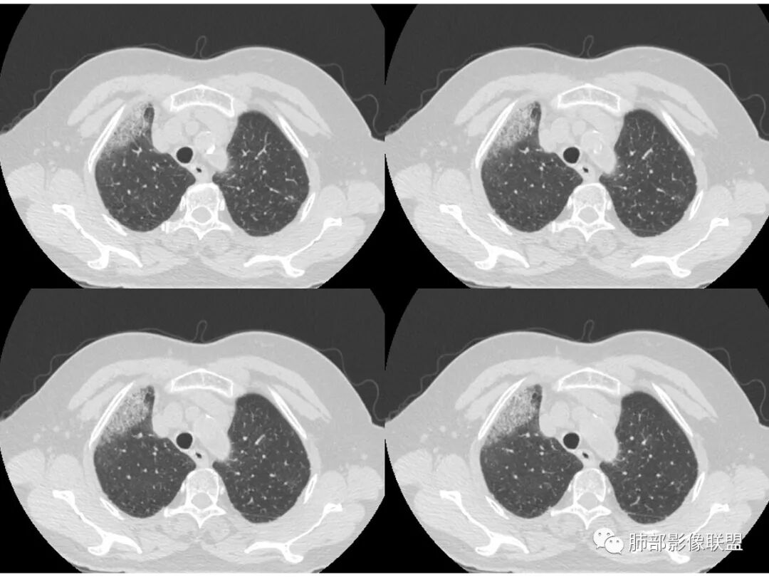
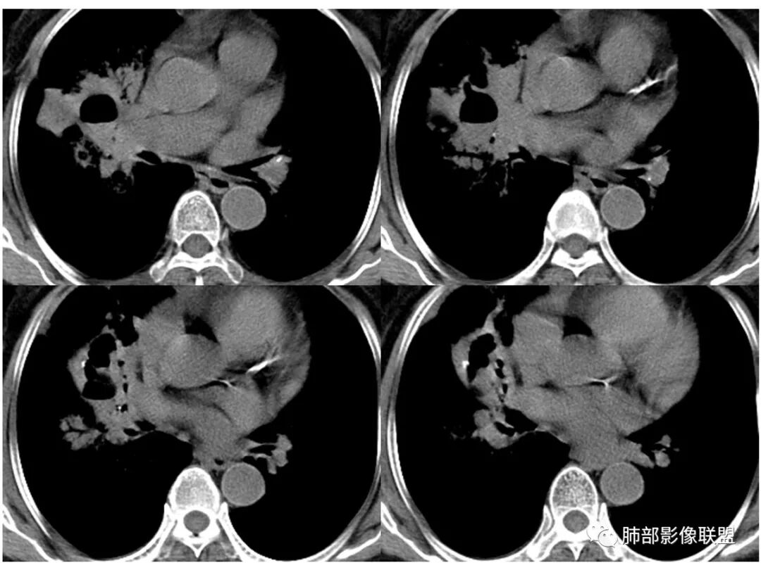
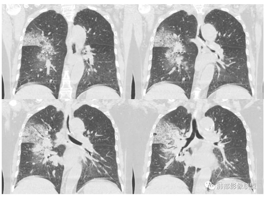
右肺上叶大片状阴影,内见僵硬的支气管,部分支气管轻度扩张,内见一空洞和液平,病灶边缘可见磨玻璃影,首先考虑恶性病变,粘液性腺癌伴感染可能。
甄德强:
老年女性,慢性病史,白色痰液,量多,病灶起于胸膜下,实性加磨玻璃,磨玻璃边缘偏轻,跨叶生长,病灶内可见枯树枝,考虑肺炎型肺癌。
张立:
老年女性,右肺上叶大片实变及磨玻璃密度影,磨玻璃边缘清晰,内可见小叶间隔增厚,内可见空洞,似可见分隔,叶间裂局部膨隆,纵膈窗,没有增强,枯树枝不明显,肺炎型肺癌可能,鉴别大叶性肺炎,结核?
晕晕菜:
患者老年女性;反复咳嗽咳白粘痰1月,活动后胸闷。
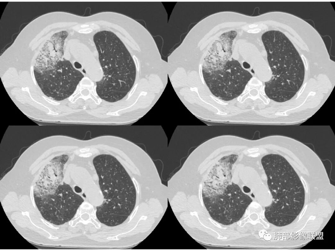
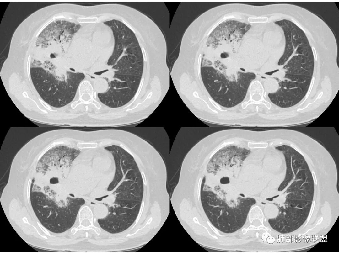
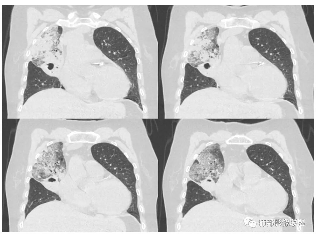
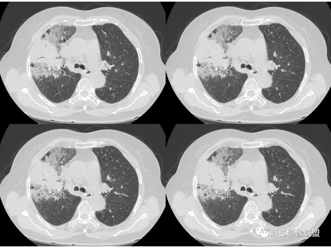
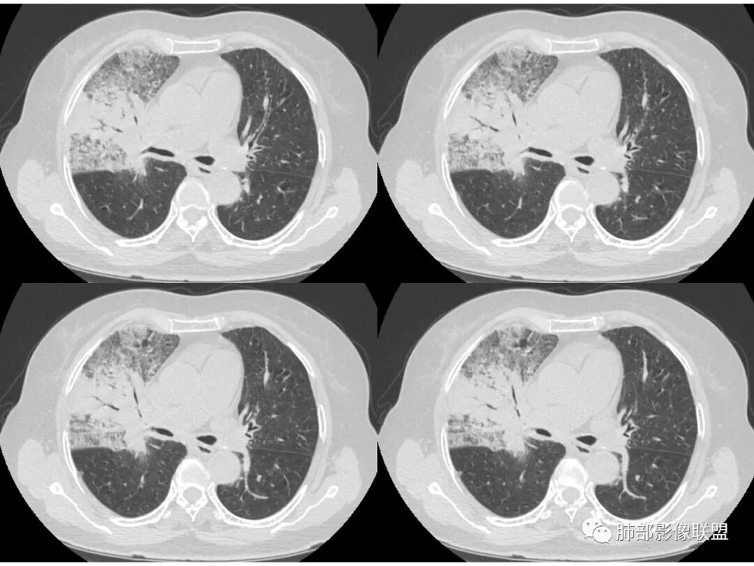
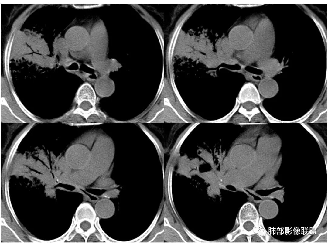
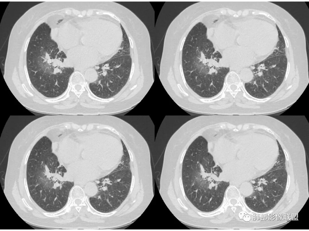
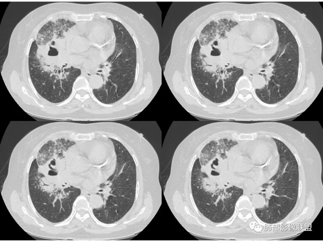
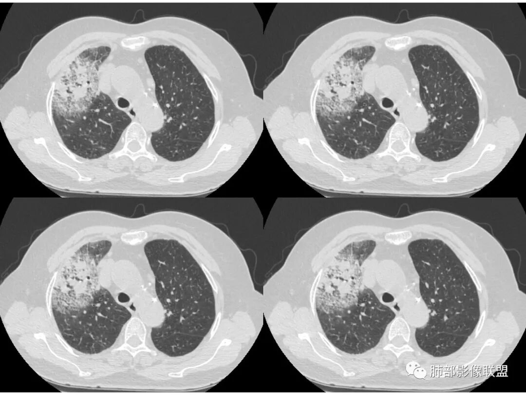
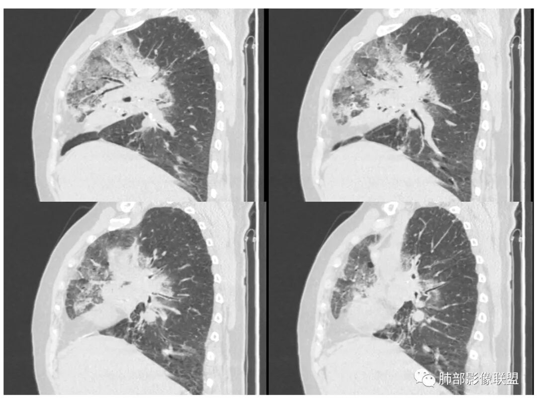
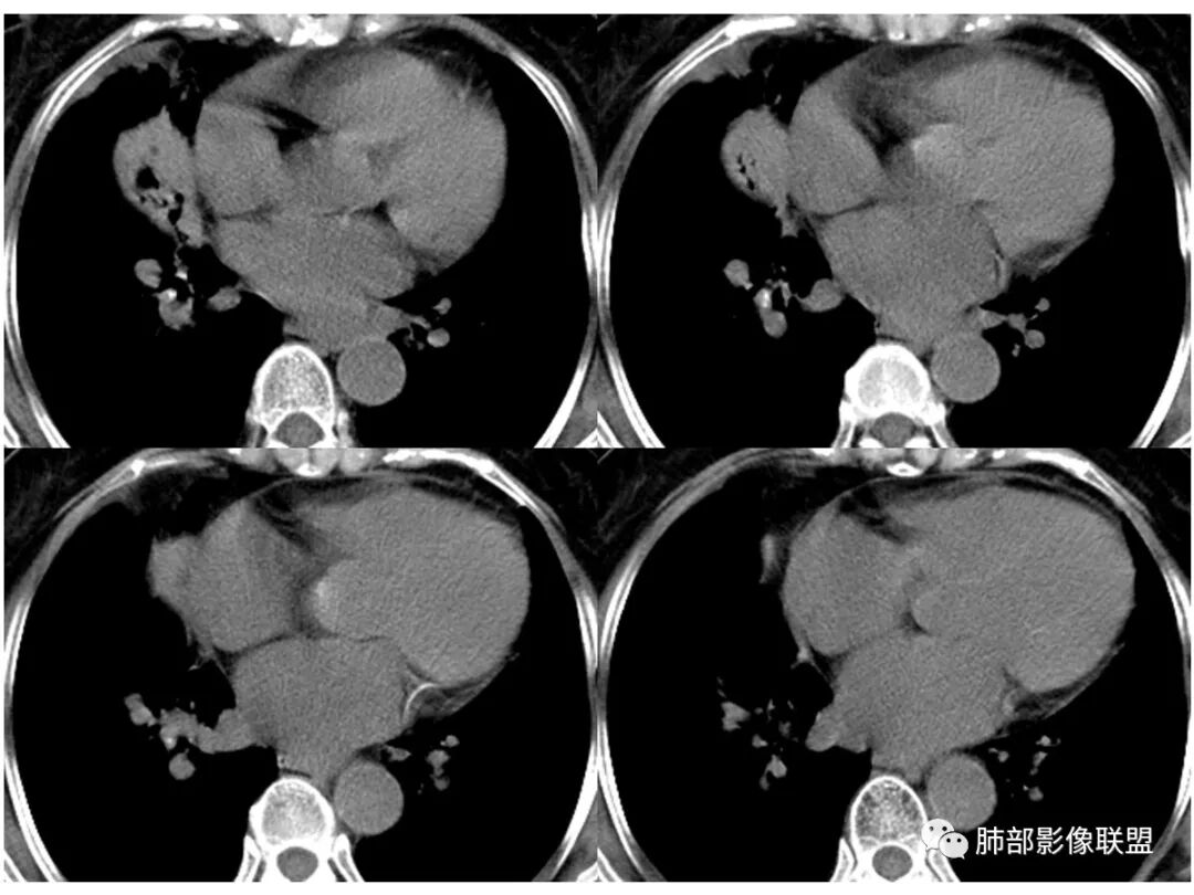
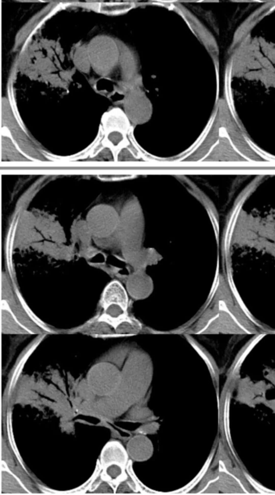
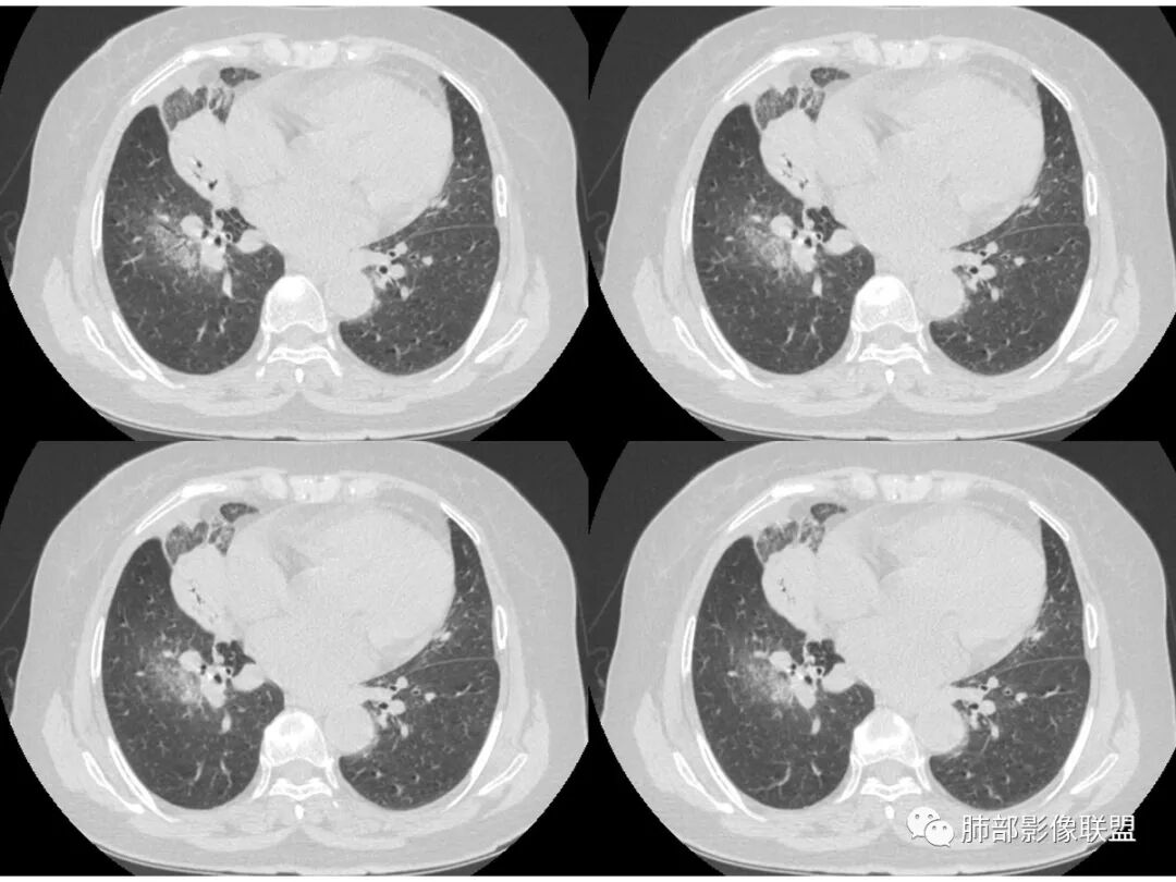
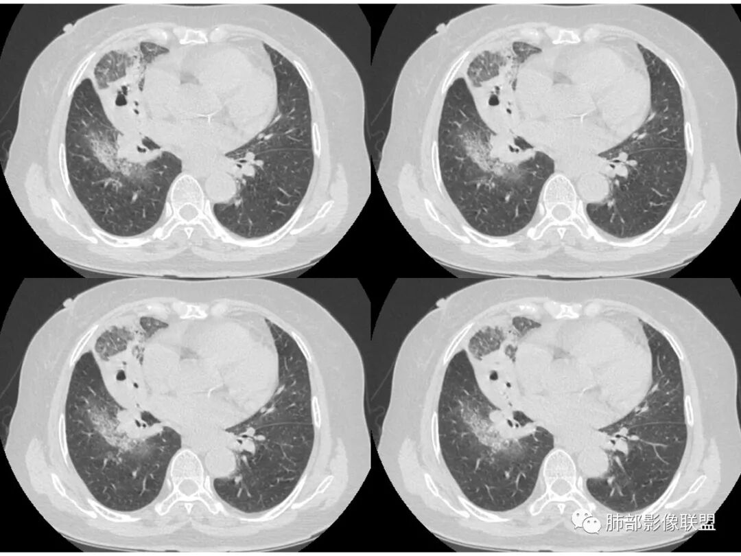
胸CT:右肺上叶实变内可见支气管充气征,近端支气管狭窄,远端扩张,周围可见毛玻璃影,右肺中叶支气管闭塞,并可见气道壁钙化,右肺中叶体积缩小,实变内可见空洞,并可见气液平面,空洞周围可见毛玻璃样影,右肺下叶支气管开口狭窄,右肺门淋巴结肿大。纵隔窗可见病灶与壁层胸膜间隙增宽,考虑良性病变-----感染性病变------TB?
鉴别:肺癌
建议:痰找TB、电子支气管镜检查
明日の路过:
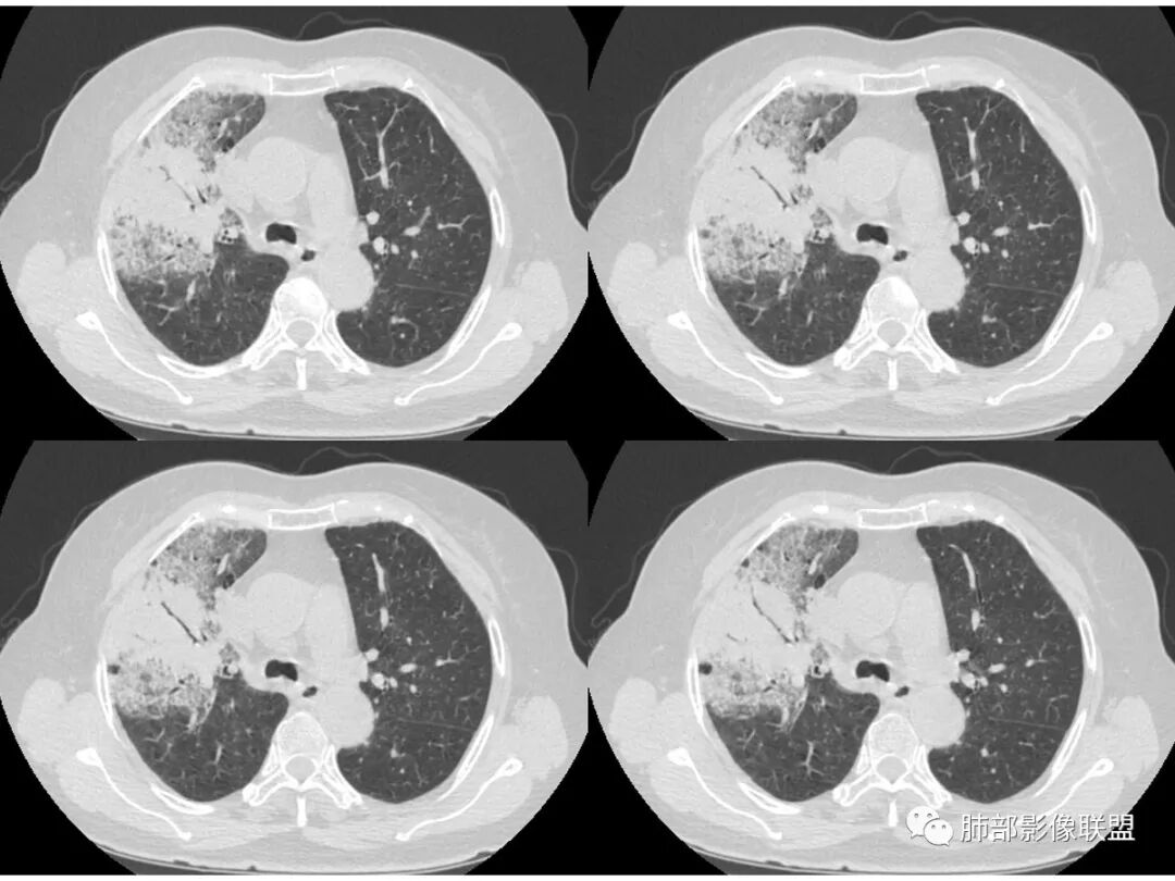
老年女性,右肺中上叶病灶,血象不高,血沉高,TB dna阴性,上叶尖端病灶,紧贴胸膜,边界似清非清,中间可见实变,内见枯树枝征,首先考虑粘液腺癌可能性大。患者右肺中叶见空洞、气液平,病灶没多发空洞,可见气液平,考虑合并TB感染。
心灵鸡汤:
老年女性,无诱因咳嗽咳痰,白色粘液痰,抗炎治疗无好转,右肺多叶磨玻璃影,其内见枯树枝征,磨玻璃边界清,中间见实变影,且部分实变影内见空洞或局部支气管扩张,内壁光整,无纵隔淋巴结肿大,常规考虑粘液性腺癌,感染性病变待排,细菌性的排除,白细胞不高,不太支持,建议支气管镜检。
凝睦:
右肺上叶病变,内见钙化及空洞,支气管可见,考虑结核伴出血。
欣:
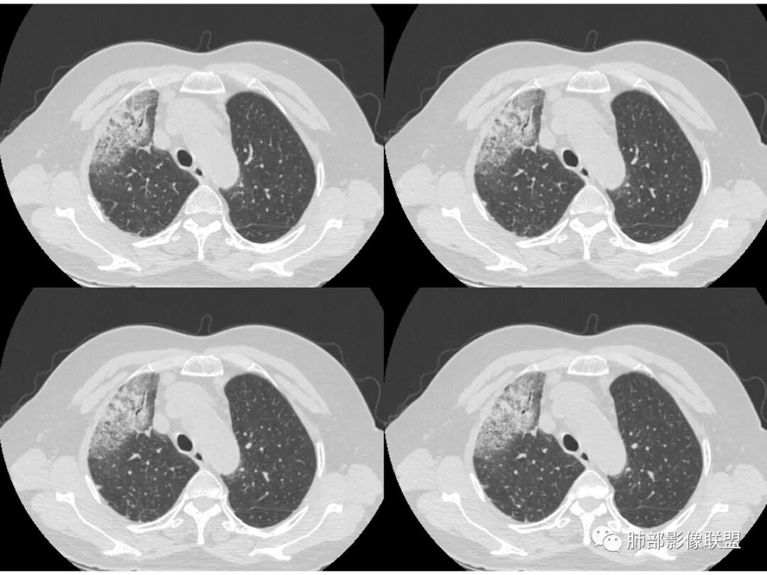
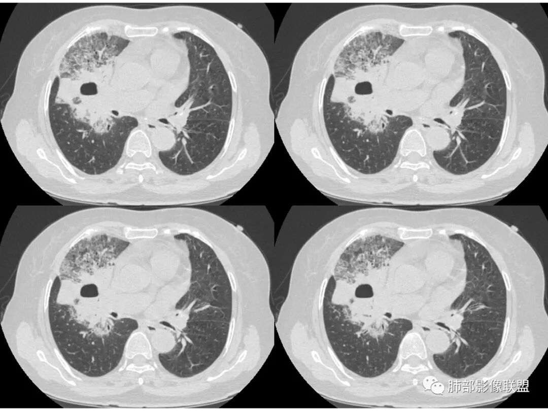
1.右上肺大片状影,周围有磨玻璃影,支气管截断征、枯枝征、远端支气管充气征,可见多个大小不等囊泡(支气管阻塞活瓣作用形成),病灶有少许收缩力感,叶间裂被稍牵拉内移;
2.老年男性,NSE升高,红细胞下降,白、球、总蛋白均降低;考虑肺炎性肺癌;
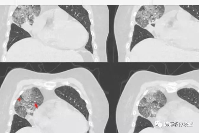
主动脉弓旁有个增大淋巴结,稍圆鼓,但似乎有点钙化,右上肺病变外周也有少许钙化,肺炎性肺癌可以外周有钙化的
THINKER:
考虑粘液腺癌
依据:老年,病史月余,不发烧,以咳嗽咳白痰为主,相关感染指标WBC丶CRP基本上正常,抗生素无效,不支持CAP,无免疫下降,不支持曲霉(支气管肺炎型),非典亦不支持。CT肺内实变,周边GGo,胸膜下丶由外向内发展,常规考虑粘液腺丶OP丶PC丶病毒,病史排除病毒,有枯树枝丶空洞,常规不支持OP丶PC,
无壁空洞丶血糖高丶老年,常规需要鉴别TB丶干酪肺炎。
三个石头:
病史老年女,白痰;影像实变,ggo多数边界清,病灶下缘部分不清,枯树枝,支气管近端阻塞、僵硬,病灶跨叶;病灶内空洞,有液平;间质增厚有结节感;肺炎型肺癌大于干酪性肺炎。
马春平(张家港市一院胸外科):
右中叶支气管完全阻塞伴厚壁空洞,右上叶支气管不全阻塞伴大片GGN,右下部分GGN考虑腺鳞癌,结核待排。
红日东升:
老年女性,病史1月,白细胞不高,贫血、低蛋白。影像:右肺上叶大片状阴影,支气管大致通畅,内见一空洞和液平,病灶边缘可见磨玻璃影,分布相对集中,边界较清晰,有重力效应。首先考虑良性病变,慢性感染并出血,鉴别粘液性腺癌伴感染。
Zhuweichao:
ggo边界清,远端支气管狭窄,常规考虑肺炎型肺癌;但这个空洞内壁光滑。
小飞:
右肺上叶、中叶大片实变影,实变影边缘较平直,内部可见一空洞液平,壁光整,实变周围斑片磨玻璃影,考虑感染性病变伴出血!
德芙~云味:
老年女性,咳白粘液痰;右肺上叶大片实变加GGO,局部膨隆也有收缩,见枯树枝征及坏死,考虑恶性~粘液腺癌,鉴别感染,血象不高。
小赵:
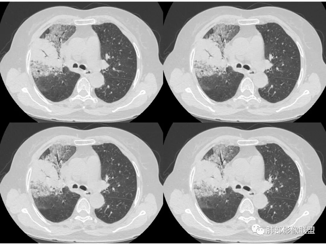
老年女性,慢性病程,咳嗽伴白色粘液痰,无发热腹痛,糖尿病,白细胞及C反应蛋白不高,血沉快,铁蛋白高。胸部CT,右肺上叶大片状实变伴磨玻璃密度影,边界不清,边缘局部膨隆,叶裂弧形下坠,实变影宽基底与胸膜相贴;右肺下叶前基底段见类似病灶;右肺中叶不张并空洞形成,空洞内见气液平面;综合考虑右肺上叶及下叶肺炎型肺癌,右肺中叶结核。
毛勤香:
老年女性,病史1月,右肺上中叶大片状影,跨叶,上叶为主,磨玻璃为主,边界模糊,部分实变,内见空洞影和液气平面,壁光滑,支气管开口狭窄,局部有扩张,右肺门淋巴结钙化,首先考虑感染性病变,结核可能,鉴别粘液腺癌。
Yiren  Sishui(厶水伊人):
白色粘液痰,枯树枝,支气管僵直,有空洞,磨玻璃,叶间裂膨隆、下坠,吴婧老师的肺炎型粘液性腺癌十大特点中占了好多条,所以考虑粘液腺癌,就差增强看看强化如何,血管如何了
晨:
老年女性,亚急性起病,右肺上中叶大片状影,跨叶,上叶为主,磨玻璃为主,边界模糊,部分实变,内见空洞影和液气平面,壁光滑,洞内可见结节形成,局部有扩张,首先考虑感染性病变,结核可能;洞内可见结节样病灶,鉴别合并曲霉、肿瘤。
薄厚不均匀,枯树枝,支气管壁僵直,叶间裂膨隆,白色粘液痰,肿瘤标志物增高,考虑粘液肺癌可能。
Yiren  Sishui(厶水伊人):

丽:
右肺实变伴空洞,淋巴瘤?炎性病变?不支持黏液性腺癌。该病灶不是从胸膜下往里面延伸,叶间裂也没有明显膨隆,甚至还有收缩的表现。炎症和淋巴瘤鉴别吧
风之子:
患者老年女性,亚急性起病,胸部CT:右肺上叶大片实变,可内见坏死性空洞,可见mGGO,GGO边缘清晰,局部彭隆,内见支气管充气征,可惜没增强,粘液腺癌要考虑,但病灶明显是内朝外不支持,综合考虑结核,建议查痰找抗酸杆菌、气管镜
欧阳英:
老年女性,咳白色粘液痰,右肺跨叶大片高密度影,密度不均匀,其内见支气管枯树征,有空洞,边缘部分清楚,叶间裂有下坠膨隆感。考虑粘液腺癌,鉴别干酪性肺炎
宇宙星空:





综合考虑粘液腺癌合并有炎症
孟亮廷   盘锦中心医院petct:
空洞不太放心,不太像粘液腺癌
宇宙星空:
这里是中叶的不张和空洞,有钙化,结核确实也不能排除

李:
主病灶应该是粘腺腺癌,右中叶不张?,内空洞,壁光滑,考虑感染
南边:

老年女性,病史一月,无发热
咳白色粘痰
GGO边界偏清

整体体积缩小,局部占位效应明显

无肺气肿背景,但是局部有空洞或假空洞

中央有间隔

局部支气管有受压狭窄


小叶间隔增厚,重力趋势

还是要考虑癌
常规要抗炎后复查一下
初学者:
这个咯血吗,血色素低,重力作用是否也与之有关
还有那个液平好像底部的密度比较高
支持南大老师,先排癌。支气管镜走起来
 结果 

结果反思
初学者:
那部分支气管扩张是有一点不太像粘液腺癌
但是树丫似乎没有看到,重力分布是出血吗,血色素低,是咯血吗
睡在树上的鱼:
实变区像支气管爬行征?空洞区也有钙化和边界清楚模玻璃影
以前老师们也讲过边界清楚的模玻璃影及反晕征注意TB
毛勤香:
1.王老师的病理说明粘液腺癌的破坏力弱,对血管和支气管破坏少,所以理论上空洞少,这个空洞很明确。
2.南大理论:粘液腺癌起源于外周,所以主体病灶位于胸膜下多见,这个病人主体病灶位于中心,外周磨玻璃为主,部分磨玻璃模糊
3.熊老师告诉我们:肺结核可以有磨玻璃,这个我以前一直不知道,右肺门淋巴结有钙化,病灶内纵膈窗隐约细细点状钙化,所以结核磨玻璃可以,
这个病人可以当做干酪性肺炎的扩大延长版
Coke with ice:
我觉得第一条鉴别有些牵强,虽然空洞少,但并不是没有。以前也见过粘液腺有空洞的。第二三条需要琢磨一下,谢谢毛老师指点
丁啸:
有没有和典型的粘液腺癌不符合的地方

我觉得这个长轴和支气管平行,不是和胸膜平行。不是起源于胸膜下,病灶比较密实,内部粘液密度不多,这是不符合地方。当然也有很恶性的特点,
这个我没有充足的信心诊断粘液腺癌,临床遇到会抗炎、增强,气管镜查肿瘤和结核。
我也认识不足,普通的肺癌是可以沿着支气管长轴,也许普通腺癌伴分泌粘液。
这些层面的支气管我觉得像结核的狭窄后扩张,

纵隔窗,没有看到太多细支气管里粘液的密度。
中叶的体积缩小,也不是粘液腺癌能完全解释,
崇军:
这个病例一定要严密观察,去年我就碰到一例,结核各方面都支持,最后是结核合并腺癌
粘液腺癌可以有空洞,王老师讲过缺氧导致肺泡间隔破裂形成大空泡或粘液拍出形成空洞,所以这个作为二者鉴别难
如果有增强,对诊断有帮助吗?粘液腺癌有粘液不强化,结核多发灶样坏死也不强化,血管观察有时也不好鉴别,最怕结核是增殖与坏死并存,难啊
良孑:
如果有强化,对诊断鉴别有帮助,TB坏死彻底不强化,粘液腺癌的粘液因含肿瘤细胞可不均匀强化,另外CT造影的血管征可与TB鉴别
学习链接:
再解肺粘液腺癌
病例提供:九江市第一人民医院   於雄
编辑:李志强
审核:蔡笑燕  徐  晓


到顶部