【每日晨读】云里雾里寻踪迹(三)(不按常规出牌的肺炎)



走踏实路,行常规分析。2019.06.10晨读病例
【病史】•
男,44岁。  主诉:咳嗽10余天,发热2天。
现病史:患者因10余天前开始出现咳嗽,晨起明显,咳少许⽩粘痰,⽆咯⾎、胸痛、胸闷、⽓促、⿐塞、流涕等不适;开始未予重视,未就诊及服药治疗。2天前⽆明显诱因出现发热、伴畏寒,⽆寒战,具体体温不详,遂来我院就诊。患者近半年来体重减轻约5KG。实验室检查:不详。
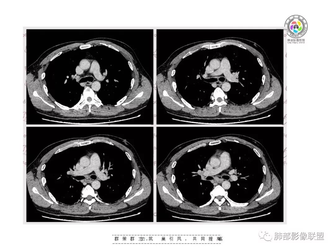
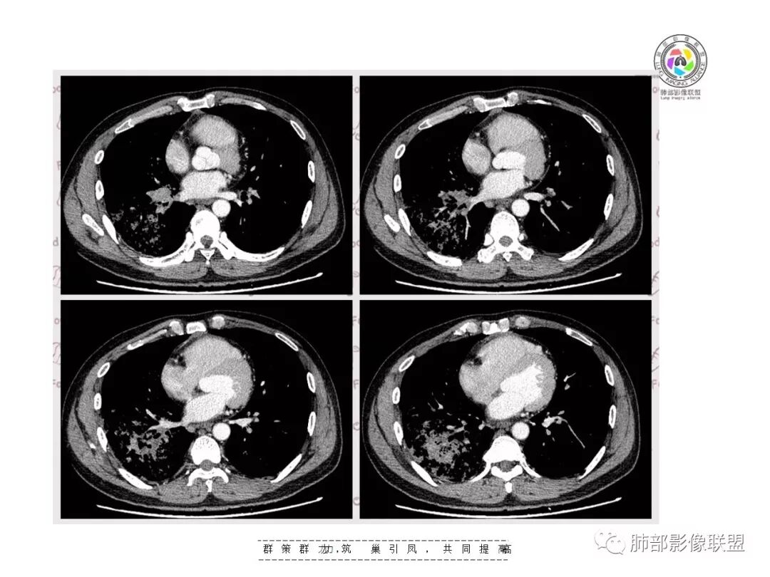
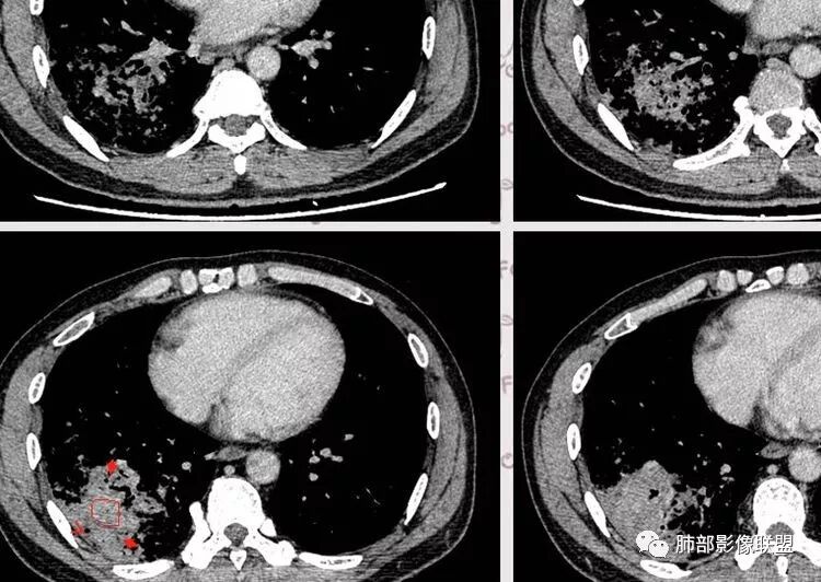
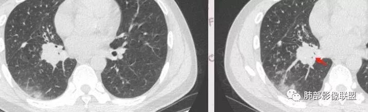
【影像资料】




























【初步讨论】

罗晓红~峨山县医院放射科:考虑右肺门鳞癌 伴远端阻塞性感染
张小林辽宁省核工业总医院放射科:常规来说考虑肺门占位合并阻塞性肺炎
边翠霞济宁市第一人民医院呼吸科:粘液腺
高永杰宁县长庆桥镇卫生院放射科:粘液腺
张东明(甘肃平凉市二院呼吸科):腺癌?
符代炎(湖南省老年医院呼吸科):肺癌
滨医附院张虎:恶性肿瘤,腺癌可能大
张森森天津市第三中心医院呼吸科:粘液腺?淋巴结转移?
仲夏王忠霞鹤矿总医院CT:支持黏液腺癌
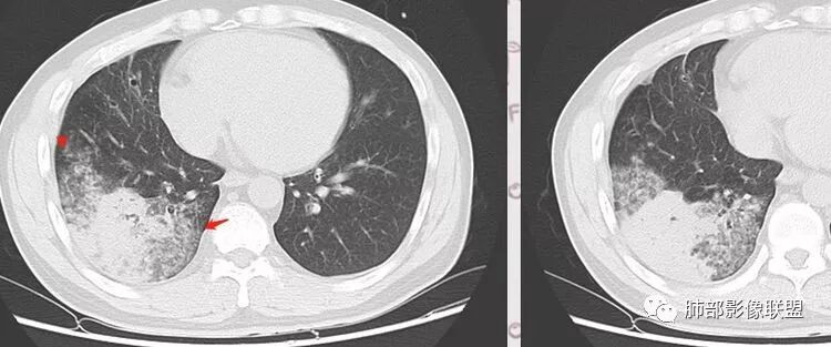
张帅,首医附属潞河医院呼吸科:右肺下叶支气管开口明显狭窄,外基底段远端实变,内可见支气管征,周围可见弥漫结节样变,周围毛玻璃影,小叶间隔增厚,部分支气管壁不规则增厚,部分肺野可见小囊性变,壁部分增厚,右肺门明显增大,病灶与胸膜脂肪间隙增大,考虑恶性病变,腺癌。
王秀仙东宁市第二人民医院影像科:晨读:右肺下叶实变及磨玻璃影,边缘有收缩有膨隆,部分支气管进入扭曲扩张,磨玻璃影边缘清晰,实变影明显强化,内可见血管造影征,纵膈及肺门淋巴结肿大并强化,考虑粘液腺癌。
甘肃省山丹县人民医院任建平:支持粘液腺癌
刘占军 赤峰松山医院CT MRI:腺癌,淋巴结转移。
登封市三康医院(刘权威):右下肺肺不张,磨玻璃影,边缘清楚,空气支气管征,增强有强化,纵膈及右肺门淋巴结肿大并强化,考虑恶性肿瘤,粘液腺癌可能。
潍坊市第二人民医院放射科李强:支持粘液腺癌
群管PLA94清茶:粘液腺癌?
荆门市五三医院放射科_陈正林:考虑腺癌
李洁,云南德宏:支持粘液腺癌并阻塞性炎症
李建丽,邯郸医院:考虑粘液腺癌
高广飞无锡市中医院呼吸科:肺炎型肺癌
好整齐的队伍:真的是粘液腺癌吗?
肺部群管_陈婷婷_长沙中医院放射:补充说明,患者入院有发热,白细胞13点几。就是我们当时在写报告的时候不知道这些!
就是我们放射科当时不知道这个,所以一开始没给,看看大家的思路。读片还是应该把资料尽量给全啊
长沟流月去无声:诊断过了吧,抗感染复查,病史才10天啊
张东明(甘肃平凉市二院呼吸科):

南边:我分析一下吧
从病史看:中年男性
首先有一个慢性的病史,体重减轻10斤
然后又一个急性病史:咳嗽10天,发热两天
两者是否有相关性?
我们看影像
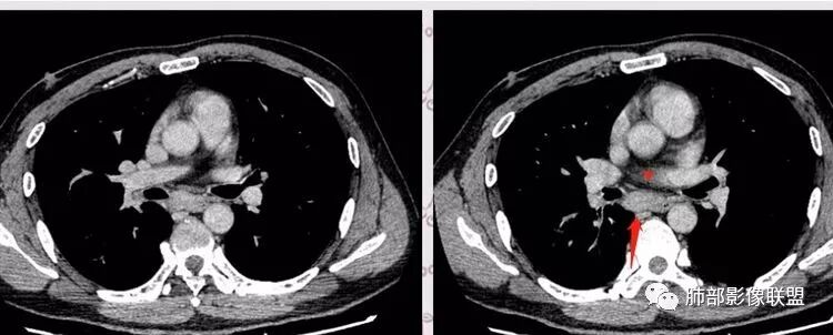
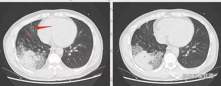
这是支气管扩张,老病灶,周围实变不明显,按理应该独立出来

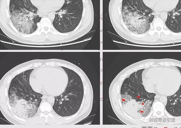
下叶外基底段为主实变,周围GGO

这个病灶很有特色


分布:沿支气管段、亚段朝外蔓延分布
         实变+GOG
         实变区边缘收缩,支气管走形自然
但是我们也可以看到实变区很多地方没看到支气管,也就是支气管在实变区分布不均匀,提示有些地方支气管腔内有物质填塞,显示不清


GGO边界大部分不清楚,内有树芽征,中央间质均匀增厚

如果单独讨论这个病灶:我倾向于急性感染性病变
    因为病灶的分布就是沿支气管走形,病灶整体就是沿段分布
    实变区边界清、凹陷及平直,内部密度均匀,强化均匀,支气管在密实处填塞,其余部分通畅、走形自然,中央间质均匀增厚
    GGO均匀,边界模糊,树芽征
但是问题来了:淋巴结



南边:
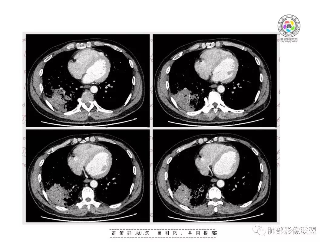
右肺门区淋巴结增大,融合,密度均匀,均匀强化
符合这个特点的:结核?淋巴瘤?转移瘤?
淋巴结我觉得目前的特点:淋巴瘤?结核?
因为没有发现特异性征象,难以鉴别
单纯淋巴结结核比较少

这个是前基底段的,支气管扩张区域的,前面提了,独立出来

支气管没看到明显的堵塞
但是应该是与受压局部狭窄,导致远端引流不畅有关

长沟流月去无声:潘老师,感染淋巴结不能大吗?
比如支原体
南边:综合考虑肺部的急性炎症;淋巴结肿大:结核?淋巴瘤?

【再讨论、再分析】

吴倩南京市第一医院:南大果然不一样,当所有人都觉得是粘液腺癌的时候,他却说出不同的答案。     与粘液腺癌的区别,在你的分析里面我看到了几个重点:
1.分布,你曾经说过一次,但是可能很多人没有听过,这边再次提出,就是如果是肺原发的,和支气管来的一个区别。这个我来找一下,稍后多说说。2.这个GGO到底是边界清楚还是不清楚。这个问题有一点主观,我觉得还蛮清楚,但是你说不清楚,有时候征象每个人把握不同,尤其是我们把握的可能会偏差,眼神不好。
3.我比较认同的是,确实可以看到很多树丫征,这个我也觉得结核无法排除的地方 。
4.有关于支气管,有扩张,但是也有地方是粗细不均,扩张支持淋巴瘤,但是粘液腺癌也无法排除。
5,我注意到你说中央间质增厚,还是想说支气管壁增厚呢?支气管壁好像是增厚的,这个可能是提示是气道来的。
张东明(甘肃省平凉市二院呼吸科):支原体肺炎,也可以导致纵膈、肺门淋巴结肿大,这个病例期待结果。但体重下降,需排除结核?肿瘤?
肺部群管_陈婷婷_长沙中医院放射:

吴倩南京市第一医院:第一个是分布的定位问题,南大把他分成三种,第一个肺实质肺泡来源的,第二个支气管从上面往下来的,第三个是间质来的。如图如果是肺泡本身发生的病变应该是外周大,实,往里面变小,变虚,还有支气管壁不增厚。

但是这个病例是由支气管往下,越来越淡,与支气管是平行走形,然后支气管壁增厚,还有树丫,虽然带着GGO的,分布属于支气管往下来的,这个和粘液腺癌不同,和肺炎链球菌也不同。比较符合TB,支原体这些。

【结果及再分析】
 肺部群管_陈婷婷_长沙中医院放射:

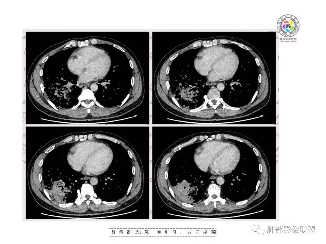
复查胸部CT视频显示肺部病灶明显吸收,淋巴结较前缩小。
患者在本院做了支气管镜,报告是有新生物,取了活检就转院了。病理结果是后来出来的。去肿瘤医院再做支气管镜,病理还是炎症。抗炎治疗(电话追问患者家属,具体不详)一个月后复查,右下肺病变基本吸收,肺门肿块明显变小;纵隔淋巴结基本都没了或者明显变小了
吴倩南京市第一医院:熊老师,是不是支原体肺炎?
张东明(甘肃平凉市二院呼吸科):支原体
长沟流月去无声:可能是非特异性感染或支原体
一个月吸收,不是快,是慢,合并机化可能。结核肯定不是。只是觉得你们早上不看病史。有点不好,至少抗感染复查。
吴倩南京市第一医院:
现在看树雾,支原体有可能。只是淋巴结肿大和体重减低有迷惑性
江西省景德镇市妇保院张志春:
如果TB不可能吸收这么快
江西省景德镇市妇保院张志春:
对,支原体要考虑
长沟流月去无声:
定不到菌的,提示感染就足矣了,除非有很特异征像,体重减轻和这个病程是无关的,不要过度联系。
南边:
我一直以为是二元的,我觉得特别淋巴结里面又有钙化灶,我的想法肺部就是炎性病变,因为很典型的分布符合气道来源炎性病变,但是淋巴结是独立出来的,里面有钙化灶怀疑结核可能。
长沟流月去无声:
淋巴结同步缩小了,其实挺常见的
南边:
如果看片考虑二元论,肺部符合急性炎性病变特点。淋巴结真不好说,一元论还没想通,也有存在特异性的可能,比较少。我就这样分析的,写报告我会写二元,把淋巴结独立出来,把右下肺急性炎症独立出来。
这个病灶我犹豫很久,病史体重减轻,很不踏实,体重减轻到底什么原因?到底有无联系呢?一般提供病史,我们还是考虑联系,其实当时我个人还是倾向有联系的,常见慢性炎性病变消耗的和恶性肿瘤。
淋巴结肿大常见那么几种病变,转移瘤不符合,影像右下肺病变为炎性病变征象,前面已描述其特征:形态、走形、边缘(实质和GGO)、中央间质增厚、均匀强化、支气管充气征。都符合急性炎性病变。
支气管走形分布其实就两个问题。支气管远端部分堵塞,但大部分见支气管充气征明显。首先病变累及到支气管,支气管充气征远端病变常见两大类病变,气腔性的和引起气腔改变的,肺实质和支气管来源的均可以。
有树芽征,树芽征一般提示小气道受到影像,是炎性病变的特点。周围很多磨玻璃影,一般提示炎性病变,考虑急性为主,最起码有急性病变在其中。但该病人存在一个问题,其前基底段支气管有扩张,周围有实变,考虑原有病灶,有支气管扩张一般不考虑恶性肿瘤,肯定是慢性炎性病变。
长沟流月去无声:以后你们读读淋巴结增大为主的感染性病变,就会发现,很多。
南边:当时看淋巴结该不该一元论?一元论该怎么考虑?因为右下肺病变确实没有恶性特点,所以还是考虑二元论。因为薄层CT确实有点状钙化,当时考虑结核可能性大,淋巴结确实涉及少了。
长沟流月去无声:不是这样消耗的
长沟流月去无声:这个人那么多GGO,可以解释他淋巴结的大
南边:
  中央间质的增厚和支气管壁增厚的问题,支气管壁其实它不是中央间质,支气管血管束、支气管周围的那些间质成分才是中央间质。它们的差异,中央间质是围绕血管、支气管周围,但支气管壁增厚是以支气管为主。我们一般来说横切面切到了紧隔的支气管、血管,除非它本身把支气管扩张独立出来,发现支气管周围壁的增厚程度和血管不对称。一般支气管、肺动脉伴行时大小是差不多的,发现支气管的周围外径明显大于血管外径,此时我们考虑支气管来源。支气管和血管束横切面时联系很紧密,周围一圈在一起,大小形态差不多,那就考虑中央间质来源的。前面分析的结节病分布特点如上,没有偏侧性。血管炎往往血管束增粗,比支气管厉害一些,当然也不是绝对的,大部分是这样的。
 病灶明显按叶、按段分布为主的,或者跟气道进来的病原菌引起气道壁的改变为主的,周围实变引起的,看CT冠状位、矢状位,如果能够沿着长轴重建更明显,就是沿着典型肺段分布的特点,如果急性沿肺段分布一般考虑气道来源。当然该患者说间质性可不可以?也可以,但是这样分布间质性也有特点。但我们周围外围分布为主,不按从肺门向外围肺叶段分布的话,那我们考虑外围的,它长轴会和胸膜平行的概念,常认为间质的。还有肺实质病变,理解是有差异的,肺隐球菌是肺实质病变?肺间质病变?应该两者都有。因为病灶在肺间质里面的,往往大片间质性病变,都是弥漫性间质病变,很少局限的。如果局限的,往往和中央间质相关的,就淋巴道局限有可能肺门淋巴结堵塞引起逆流受阻、分流受阻。或者沿着肺门淋巴结朝外围逆行性增生性增长。一般肺间质对称的,为疏松结缔组织,肺部疏松结缔组织弹性更好,纤维成分、纤维细胞多。第二巨噬细胞多。纤维化病变与免疫及相关的有关,也有特发的。间质相关性往往是弥漫的,主要其所有细胞,包括基质、细胞是相连相通的,特性是一致的,局限受累的比较少。
  我们说肺实质的,包括粘液腺癌、肺隐球菌病,间质有病变的,大片大片的病灶,就是反衬的小叶间隔增厚。间质如果不受累的,往往小叶间隔低密度。气腔性病变,分析实践不多,找到一些规律,是不是这样呢?我们还需要病例总结、验证。
今天病例很好,做鉴别诊断太厉害了,病灶和肺炎性肺癌有很多共同点,差异也有,分布的特点很典型,强化的、密度的、支气管的特点,有多有差异,可以鉴别。
长沟流月去无声:其实局限的间质有,肺癌就是,肺癌可能还是肺间质病变。
南边:
我不是说答的不好,我们平时就是浮躁,上班多不仔细看病变,可能凭第一印象诊断。其实局限间质的比较少,鳞癌、腺癌受损的细胞都是什么?除非它们没有侵袭性,如类癌,非常罕见,要说是肺实质?还是肺间质?很复杂。定义理解有偏差,气腔里算肺实质,但现在定的是功能区是肺实质,概念就是功能区,间质是辅助功能,就如空气有功能的,必须要有相应的细胞等辅助才能实现功能。
 上面就是南边老师的分析思路,你理解了吗?
END
编辑:许建林
审核: 冯连彩   丁啸
病例提供:长沙市中医医院(市第⼋医院)放射科 陈婷婷


到顶部