【每日晨读】“小”里藏刀--浸润性腺癌PK肉瘤样癌






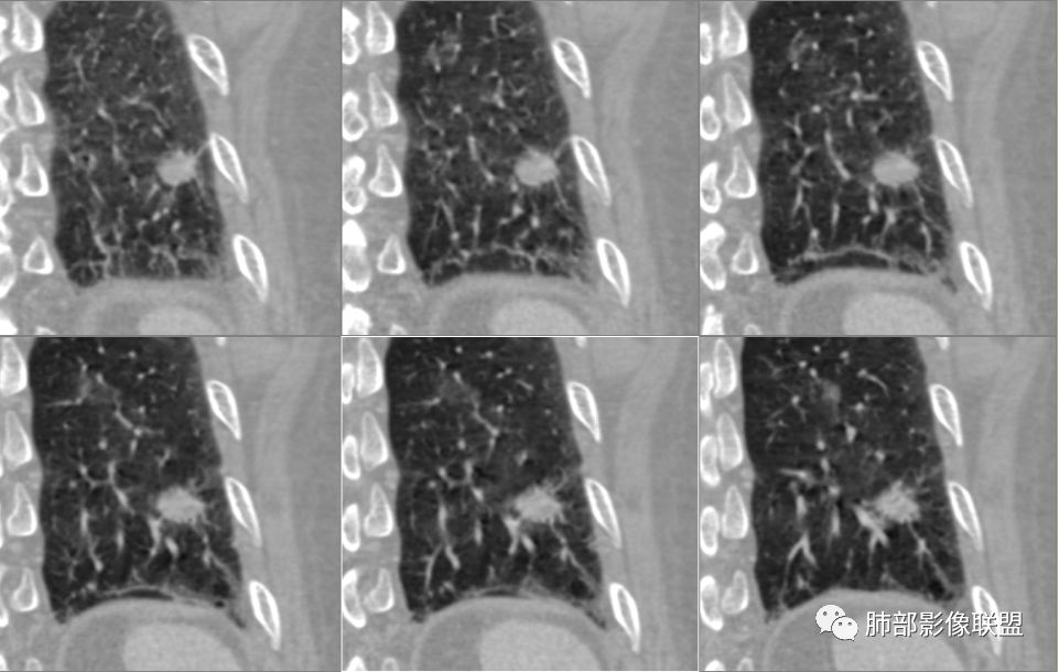
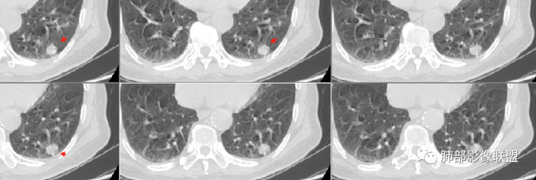
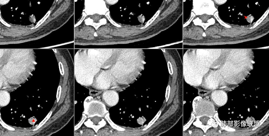
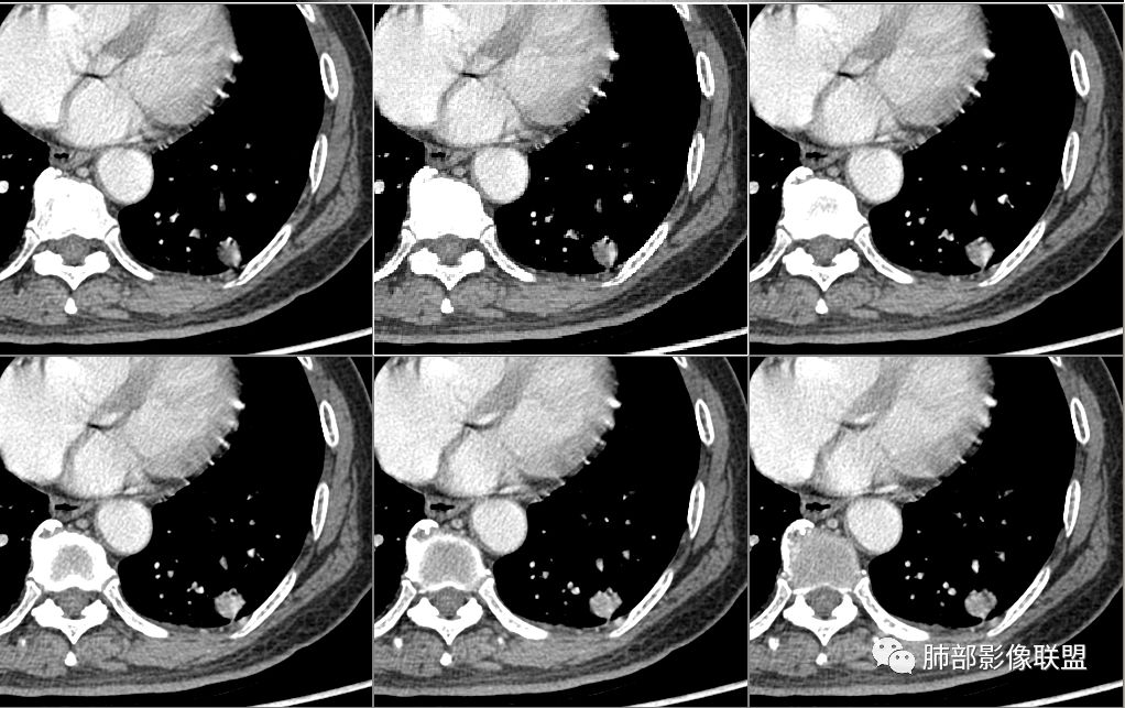
病例1资料




群内讨论
王开金: 
老年男性,以头痛、头晕入院,左下肺胸膜下结节,有晕,胸膜牵拉不明显,有多结节融合趋势,考虑隐球,注意脑膜炎,鉴别腺癌
姚慧娟: 
老年男性,病灶周边多处钙化,边缘有晕症,考虑良性结节可能性大,消炎后复查。
谭欣欣: 
边界清楚,有毛刺,内部似见更低密度,明显强化,考虑腺癌。
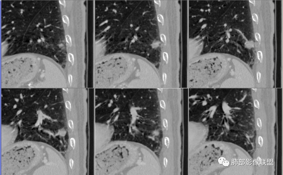
徐天鹏,宁夏海原县人民医院,放射:第一例结节有桃尖征,周围多钙化斑点,多考虑结核或炎性。第二结节局部膨隆,有血管进入,细支气管截断,考虑腺癌?
明日の路过:第一例,老年男性,病灶周边多处钙化,边缘较平直,考虑良性结节可能性大,必要时建议穿刺明确。
杨泽锋:自己工作中最怕的就是这样的实性小结节,有炎性特征又有肿瘤特点,让病人三个月左右的复查往往又没变化,写个炎性结节可能大肿瘤不除外或者反过来报告又没有多少价值,只能从各位老师的分析中学习一下了
大雄:对,实性结节征像不明显的难定性
大雄:晨读一定要有个倾向的话第一个病例恶性,膨隆且强化明显,穿刺比较容易。
薏米:第一个考虑良性,有胸膜牵拉,牵拉的胸膜反应性增厚,常规抗炎复查,鉴别腺癌;第二个考虑恶性,腺癌可能,空泡征,血管集束
紫气东来:病例一,左肺结节,边缘平直,考虑炎性结节,病例二,结节内空泡,支气管截断,血管进入,考虑恶性
徐飞:
考虑恶性,第一例膨隆明显,冠状位收缩明显。
张立:第一例:增强后内可见血管,患者有神经系统症状,小细胞癌可能。
晕晕菜:
晨读一左肺下叶后基底段结节,边界清,局部胸膜牵拉增厚,软毛刺,明显强化,考虑良性病变。
HeKate·Awizard·Sinitici:晨读1左下叶类圆形实性结节,边缘平直,棘突,胸膜牵拉,血管溜边,边缘钙化,良性病变
飞鹰行动:晨读病例一,左肺下叶小结节病灶,有膨胀性表现,有血管集束征,胸膜牵拉征,相邻胸膜增厚范围较广泛,虽然有良性病变表现,恶性病变不能轻易排除,常规抗炎治疗两周后复查。
一切∮随缘:
晨读一:左肺下叶胸膜下结节,边缘毛糙,可见长索条,与胸膜接触面不规则,伪影重,磨玻璃不好说,增强后不均匀强化,考虑炎性结节。
大宝儿.蕊:病例一老年男性,实性结节,纵隔窗边缘平直,周边可见钙化,周边长毛刺,明显强化,倾向于良性结节可能大,外围型错构瘤?炎性结节?老年患者,建议穿刺比较靠谱。

南大分析病例1

南边: 
老年男性,因为头部症状来诊,也就是说肺部没症状
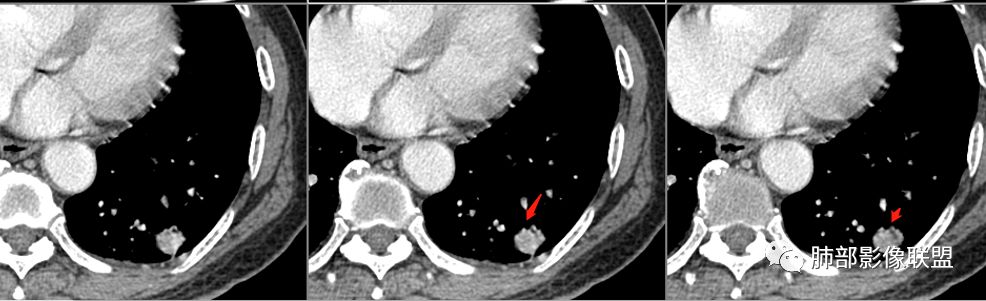
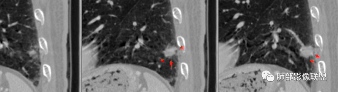
胸膜下结节,边界清楚、光滑,边缘稍凹陷,有胸膜牵拉


一米阳光: 
血管进入?
脐凹?
南边: 

南边: 
支气管在门口堵了
南边: 
恶性不能排除吧
南边: 
一般这类结节,边缘光滑
南边: 
似有浅分叶
门口支气管堵塞——提示与支气管相关,不支持良性肿瘤
南边: 
炎性?恶性?
南边: 
符合炎性的地方:
南边: 
实性,边缘凹陷,强化均匀

南边: 
让我们不踏实的地方:
南边: 
似乎有脐凹征

南边: 
除了胸膜牵拉,还有短毛刺?血管纠集
南边: 

南边: 
支气管在门口堵塞
南边: 

综合起来看,恶性不能排除。建议穿刺活检,一定要认清楚:我们影像有局限性。

病例1病理结果


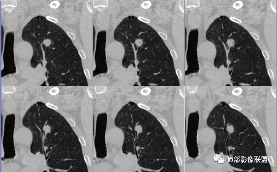
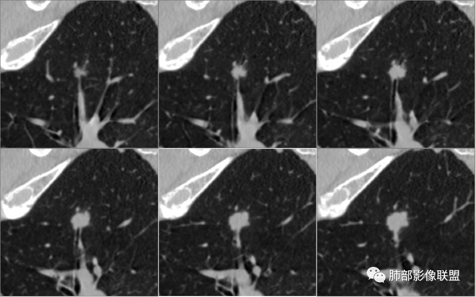
病例2资料









群内讨论
徐天鹏,宁夏海原县人民医院,放射:第二例结节局部膨隆,有血管进入,细支气管截断,考虑腺癌?
明日の路过:第二例,患者病灶在左肺上叶,分叶、空泡、血管供养征,感觉跟书上的恶性肿瘤图片一模一样。考虑恶性肿瘤可能。建议全身筛查后直接切除。
大雄:晨读第二个良性(坏死空洞明显而结节较小,且边缘收缩平直,有增强会更好)
晨: 第二例,患者病灶在左肺上叶,有分叶、空泡、血管供养征,气管截断,考虑恶性肿瘤,腺癌可能。
紫气东来:病例二,结节内空泡,支气管截断,血管进入,考虑恶性。
王开金江津中心医院呼吸科:病例二,左上叶类圆形结节,分叶,毛刺,血管集束证,空泡,考虑腺癌,鉴别结核球。
张立:
第二例,病灶中心有空泡,支气管病变边缘截断,腺癌?软骨型错构瘤?
欣:第二例:界清结节,有分叶,支气管截断,空泡征,腺癌,IAC
高广飞:有分叶,毛刺,空泡,腺癌?
飞鹰行动:
晨读病例二,左肺上叶小结节病灶,有分叶,支气管受阻塞,中断,内可见小泡征,首先考虑恶性病变,腺/鳞癌可能。
波波:第二结节局部膨隆,分叶,空泡,细支气管截断,考虑腺癌。
一切∮随缘:
晨读二:左肺上叶结节,深分叶,支气管堵塞并挤压,内部可见偏心性空泡,考虑恶性,腺癌,早期鳞癌。
大宝儿.蕊:上叶实性结节,边界清,分叶,短毛刺,小泡征,血管集束征,腺癌首先考虑。

南大分析病例2
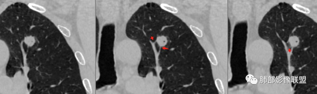
南边:
支气管截断。
南边: 

支气管在门口堵塞恶性居多,结核有时也有。
南边: 
空泡

南边: 
分叶

南边: 
血管纠集 

南边: 
毛刺

南边: 
总体分析,支持恶性。

病例2病理结果


病例小结
应当说两例患者影像学表现都具有比较明显恶性征象,中老年男性患者,均都没有呼吸系统临床症状。
病例1为胸膜下实性小结节,血管脐凹样出入,可见支气管阻塞。病灶膨隆,部分边缘平直,周围晕征不明显,未见分叶,但可见毛刺及胸膜牵拉,增强后明显强化,老年男性,怀疑新生物尤其是腺癌是有理由的。
病例2肉瘤样癌的病理意见有些出乎预料,也充分说明病变及影像表现的复杂性。病灶小结节支气管截断、空泡、分叶、短毛刺、血管集束征等似乎均符合肺癌的影像特性。肺鳞癌及肉瘤样癌往往范围较小就可以出现坏死,但如果结节太小则很少能够在影像上观察到坏死区或空洞,没有增强扫描图像更是如此。
    
THE  END
编辑:张丽红
审核:蔡笑燕  徐  晓


到顶部