【每日晨读】知否、知否,应是“支”肥人瘦--- 左右为难,会是鳞癌吗?







病例资料
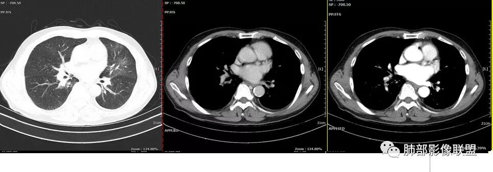
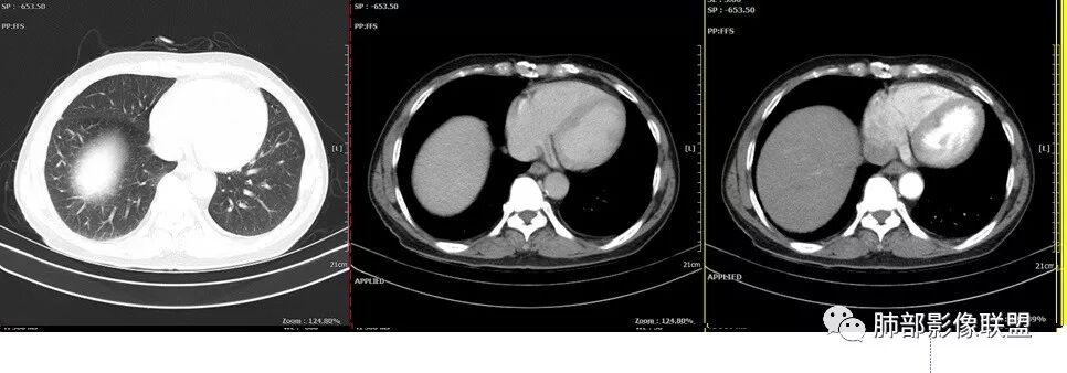
一:病史及相关检查 
   
   
   
   
   
   
   
   
   
   
   
   
   
   
   
   
   
   
   
   
   
   
   
   
   
   
   
   
   
   
   
   
   
   



病例讨论
王江涛:
单从影像看,:右肺下叶背段结节并支气管闭塞,肿瘤可能性大;右肺底结节,强化较明显,考虑肉芽肿性病变;左肺上叶大片间质性改变,考虑感染病变;临床提示CRP增高,贫血,糖尿病,单核略高,IGE增高。一元论不好解释。
群锋:
左上肺大片网格状影,内有实变,内支气管有狭窄和扩张,血管模糊,右下肺有大小多发结节,纵隔有多发淋巴结,部分钙化,还是把肿癌放前面,腺癌?
小酸:
今天的非常难。这个IGE让人很纠结。糖尿病,支气管扩张,IGE增高,虽然没有哮喘病史,我还是先把ABPA考虑一下。
大雄:
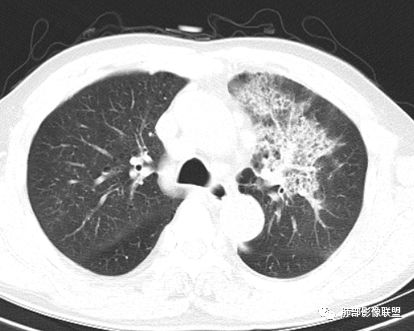
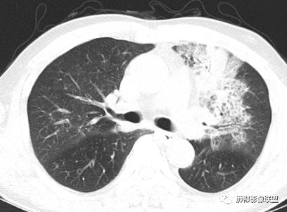
老年男性,反复咳嗽咳痰十余年,加重伴发热5天,胸痛2天。既往有糖尿病病史。白细胞不高,肝功能受损,CRP及igE明显增高。左肺上叶大片磨玻璃影伴局部实变,支气管通畅,右肺下叶背段近端支气管旁不规则实性结节,轻度均匀强化,背段支气管受压变窄,纵隔及双肺门多发淋巴结肿大并钙化。考虑左上肺感染性病变,先抗感染复查,继续查病原体。右下肺背段结节建议经TBLB活检,排外肿瘤。
李:
左上叶前段支气管僵硬,似有结节,左上叶呈间质改变,边界清,未见明显渗出,不考虑感染,不除外腺癌,右下叶中间段支气管新生物,管外侵犯,类癌?远处病灶不敢说了。
晕晕菜:
患者老年男性,以咳嗽、 咳痰5天,胸痛2天入院,白色粘痰,左侧胸痛,与呼吸有关。既往有高血压、糖尿病病史。
辅助检查:血常规白细胞及中分类不高,单核细胞增高,轻度贫血。CRP增高。CEA轻高。IgE明显增高。
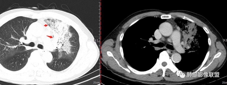
胸CT:左肺上叶前段实变,其周围及左肺上叶尖后段可见肺气肿背景下渗出性病变,病灶内可见支气管扩张,气道壁呈不规则增厚,双肺散在小结节状影;右肺下叶结节影,内可见空泡,边缘模糊,不规则。增强可见病灶内血管造影征,右肺门增大,纵隔淋巴结多发肿大。
综合考虑恶性:粘液腺癌。鉴别:EGpA,,患者仅有ige增高,轻度贫血。但病史无鼻窦病变,无哮喘,无血嗜酸性粒细胞增多,考虑本病可能性不大。风儿:
左肺上叶大片混合网格磨玻璃影,边界清,边缘分叶膨隆,内支气管走行狭窄扩张,实变区边界清,上叶支气管管腔窄,心膈角淋巴结肿大,考虑肺炎型肺癌—腺癌。左肺下肺门结节,边缘膨隆,突入中间段及下叶支气管腔,背段支气管阻塞,周围少量小花小草,考虑鳞癌。右下叶外侧基底段结节,边缘有膨隆,有血管牵拉进入,上缘支气管贴边,考虑肺癌,性质?
一切∮随缘:
晨读:左肺上叶大片实变影,周围可见磨玻璃影,小叶间隔增厚,部分支气管扩张,右肺下叶小结节,形态规则,边缘光滑,周围模糊晕征,中年男性,病史五天,白细胞正常,考虑NTM,奴卡,鉴别肺癌。
薏米:老年男性,发热,咳嗽5天,胸痛2天,平素慢性咳嗽,咳痰10年,未系统诊治,基础糖尿病史,此次以急性发病为主,白细胞正常,CRP增高,IGE增高,CEA轻度增高,左肺上叶散在片状密度增高影,边界清楚,小叶间隔增厚,内有磨玻璃影,部分支气管壁增厚,部分有扩张,部分有近段粗细不均,少许气囊,右肺下叶可见一结节影,有凹陷,有膨隆,似有结节感,综合考虑左肺上叶考虑黏液性腺癌,鉴别曲霉,抗感染后复查:右肺下叶恶性。
FeNo:
左上肺大片网格状影,内有实变,内支气管有狭窄和扩张,血管模糊,右下肺有大小多发结节,纵隔有多发淋巴结,部分钙化,还是把肿癌放前面,腺癌?两个恶性?
食客:
左肺上叶片状实变影及网状,边界清楚,磨玻璃影,部分支气管不规则,右肺门区结节,抗炎复查,腺癌不除外。
水晶石头:
患者中老年男性,发热,咳嗽5天,胸痛2天。慢性咳嗽,咳痰10余年,未目前出现活动后胸闷气短,有基础糖尿病、高血压病史,查白细胞正常,CRP增高,IGE增高,CEA轻度增高。胸部CT:左肺上叶片状密度增高影,边界清楚,内见小叶间隔增厚,呈蜂窝网格状,内有磨玻璃影,部分支气管壁增厚,部分有扩张,部分有近段粗细不均;右肺下叶可见一结节影,有凹陷,有膨隆,似有结节感。综合考虑恶性病变,腺癌可能大,鉴别结核。
马宁强:
左肺上叶大片实变影,周围可见磨玻璃影,小叶间隔增厚,部分支气管扩张,右肺下叶结节,形态规则,边缘光滑,周围模糊晕征,中年男性。一元论:考虑炎性,建议治疗后复查除外腺癌。
雪颜:
患者有咳嗽,咳痰,发热症状,血糖高,左上肺可见片状磨玻璃样密度增高影,上肺体积略变小,小叶间隔增厚,右下肺门结节状密度增高影,周围可见渗出样改变,周围可见多发小结节影,卫星灶可能,如果是一元论,我觉得应该是感染,结核可能,建议进一步检查。
徐飞:
老年男性,糖尿病病史,crp及ige明显增高,cea轻度增高。影像:左肺上叶前段网格状高密度影,部分实变,部分前段支气管走形僵直。右肺下叶背段近肺门处及右肺下叶外侧基底段各见一枚结节,可见浅分叶,外侧基底段结节可见空泡。纵隔多发淋巴结肿大。综合考虑:肺癌,粘液腺癌?
田园晚风:
左肺考虑粘液腺癌,边界相对清楚,有膨体隆,支气管有狭窄,右肺下叶也考虑肺腺癌,有空泡征。
张延军:
左肺上叶支气管壁增厚,管腔狭窄,相应上叶肺组织内见片状磨玻璃影,内见网格影,边缘不清。右肺下叶背段近肺门区结节,背段支气管变窄,后基底段结节,周围肺组织内散在片状影,边缘不清,膈肌上方,边缘毛糙,纵膈内多肿大淋巴结,伴钙化。肝病及糖尿病病史,考虑占位,鳞癌?建议支气管镜检查。鉴别诊断淀粉样变性?血管炎?
那个人:
老年男性,慢性病史,本次急性加重,糖尿病,左上肺病灶是什么时候出现的,旧片应该有现,右下实性结节,伴右肺门淋巴结肿大,好像侵犯了支气管,右肺病灶考虑肿瘤,如果左肺考虑淋巴瘤,那右肺,结合淋巴结广泛钙化,也要除外结核可能。右肺支气管应该能取到病理。
三个石头:
老年男,糖尿病,免疫抑制,crp高。三个病灶,1.左肺上叶大片高密度影,部分实变,前段支气管先狭窄后扩张,部分看不清,增强血管未见破坏,先考虑炎性。2.右肺门下方病灶,增强似乎没有强化背段支气管阻塞,周围渗出性改变。3.右肺下叶类圆形病灶。纵隔多发淋巴结并钙化。一元论解释,炎性,结核可能,右肺门下方考虑淋巴结。二元考虑结核合并腺癌。
没意见:
读有点难,一个急性起病的临床特点与影像显然不符;而影像很难用一元化都解释得通,多个叶段受累,主要沿支气管血管束分布,而不是沿胸膜外带分布,内部支扩直达底部,网格、囊,甚至囊内结节,实变、双肺多发结节,纵隔多发淋巴结肿大伴钙化,右肺下叶结节,细节不够,远心端似乎见支气管征象,引流区域淋巴结肿大,考虑既有淋巴增生又有气道分布特点,结核并有曲霉可能性较大,不除外淀粉样变;需要与恶性肿瘤鉴别包括淋巴瘤、腺癌。
飞鹰行动:
老年人,双肺多发形态不一阴影,左肺上叶见实变及网络状阴影,支气管稍有僵硬,支气管壁不光滑,右肺下叶小结节病灶,内见扩张的细支气管,一元论考虑腺癌,需要与感染性病变鉴别,主要与结核,淀粉样变性鉴别。
丽:
老年男性,咳嗽咳痰,左肺上叶网格状磨玻璃密度影及实变密度影,边缘模糊不清,内支气管走形通畅,右肺下叶可见多发结节影,部分边缘膨隆,增强轻度强化,另纵膈多发肿大淋巴结,一元解释考虑感染性病变,结核不能除外,建议再查结核相关检查,鉴别恶性肿瘤。右肺下叶背段结节感觉又不太踏实,那样的话就是二元,右肺下叶肿瘤,左肺上叶感染性病变。
弹指之间:
患者中老年男性,发热,咳嗽5天,胸痛2天。慢性咳嗽,咳痰10余年,目前出现活动后胸闷气短,有基础糖尿病、高血压病史,查白细胞正常,CRP增高,IGE增高,CEA轻度增高。胸部CT:左肺上叶片状密度增高影,边界清楚,内血管穿行,呈蜂窝网格状,内有磨玻璃影,部分支气管壁增厚,部分有扩张,部分有近段粗细不均;右肺下叶可见一结节影,有凹陷,有膨隆,似有结节感,右侧肺门淋巴结肿大,纵隔多发淋巴结肿大、部分伴有钙化。综合考虑恶性病变,左上肺粘液腺癌可能,右下肺小细胞癌?两源论考虑:左上肺粘液腺癌或粘膜相关性淋巴瘤?右下肺结核球伴肺门淋巴结肿。
采莲:
老年男性,急性病史,咳嗽咳痰伴胸疼入院。血象不高,但crp升高,ige明显升高,肿瘤标志物cea稍高一点,左肺上叶磨玻璃实变影,似有地图征,边缘模糊,支气管血管走行自然,支气管扩张,纵隔淋巴结肿大并钙化,右肺下叶肺门处小结节,边缘光滑。考虑良性病变,结节病?淀粉样变?鉴别肺癌:粘液腺是胸膜下外围分布,这个感觉是沿支气管血管束分布。
傅昌瑜:
   

小监:
老年男性,慢阻肺基础,多片斑片影,似孤岛,粘液腺癌,常规抗感染后复查。
一米阳光:
老年男性,左肺上叶网格状ggo,边缘清晰,蜂窝状改变,支气管充气,走形僵直,远端扩张。右肺下叶结节影,浅分叶,边界清晰。纵隔多发淋巴结肿大并钙化。糖尿病,CRP.IGE增高,综合考虑:结核合并曲霉,鉴别粘液腺癌,淋巴瘤。
欣:
大片密影,外周密度稍高,与胸膜间隙尚存在,支气管稍扩张,优先肺炎性肺癌,淋巴瘤?
晨:
左上肺病变考虑炎性病变,建议抗炎后复查;右下肺结节密度较高,首先考虑良性,但肿标高,需进一步除外恶性可能。
德芙~云味:
难~~老年,糖尿病。左肺上叶前段网格状高密度影,实变加磨玻璃,右肺下叶见结节影,似有空泡,周围不是很干净,淋巴结肿大。
考虑:肺癌,粘液腺癌?鉴别结核?
王秀仙:
左肺上叶大片网格样密度增高影,支气管通过,边缘模糊,考虑炎性病变。右肺下叶类圆形病灶,右肺门淋巴结肿大,考虑腺癌并肺门淋巴结肿大。
浪迹天涯:
左上肺大片状网格样高密度影,边缘清楚,支气管稍扩张,分布未沿支气管走形,增强后病灶稍强化(不知道是不是伪影),其内血管未见明显破坏,纵隔内多发淋巴结,考虑黏膜相关性淋巴瘤,粘液性腺癌待排。
初学者:

病史2天,白色粘液痰,体重减轻,既往慢阻肺?(虽然自述没有),糖尿病(但是测得血糖还可以,糖化没有看到)
    
血象正常,体温不详,首选病史不太支持普通感染。
影像重,但是临床轻。体重减低,血象白细胞和中性粒都没有增高
CEA轻度升高。IGE明显增高(这个等会来看看疾病谱)
    
首选慢阻肺是存在的
    
毛玻璃,似乎有小叶内间隔增厚(铺石路征)
   
确实里面有球球,会不继发了曲霉球,所以IGE增高?
那么疑问:毛玻璃边界清楚吗????这个需要薄层
   
支气管是怎么样?扭曲得。粗细不均。
来说一下支气管的类型。
   
   
初学者:
淋巴结肿大伴钙化,陈旧性结核?淀粉样变性?
   
假大空?
还有一些结节。
    
纵隔淋巴结肿大,强化后低强化,不均。
   
   
初学者:
这个病灶。。。薄层?
先考虑ca,鉴别结核。。草草收尾,还没有盘完
感谢:
肿瘤的可能性大
顺便插插句话,传染性单核细胞增多症有肺部改变是怎么样的?
IgE升高,存在免疫异常?
我们也是经常查免疫五项,但有异常真的不会分析。
雪上一枝嵩:
感谢:
左上肺的病灶是间质性病变,呈铺路石征。
干酪样肺炎?
三个石头:
前段支气管先狭窄后扩张,炎性?


南边老师分析
    
老年男性,有糖尿病4年,长期咳嗽;这次咳嗽5天,左胸痛2天
    
    
    
    
    
    
    
    
    
这个病灶如何考虑?
纵膈淋巴结以钙化为主。
这个壁厚,但是支气管软骨连续。

背段支气管有问题,局部有结节

膈面上还有一个结节
    
    
总共4处病灶,如何考虑?
左上叶肿瘤?炎性?
还有少量胸水。
南边:
第一个问题:左上叶考虑炎症?癌?
实变区:
     
     

实变区边缘收缩,部分区域紧贴纵隔胸膜。
胸膜下有间隙
     

                           南边老师思路分析
     左肺上叶病灶长轴与支气管走形一致,提示沿支气管分布病变,倾向于炎性,大家可能怀疑这个病例是来源于胸膜下为主的,胸膜下来源首先整体是来源于胸膜下,与胸膜下之间没有间隙,而这例与胸膜下有间隙。而且这个病变是沿支气管朝外蔓延的,而胸膜下来源的是朝内蔓延的,唯一给我们错觉的是靠近纵隔胸膜这个地方有问题。但是靠近纵隔胸膜这个位置实变不是靠近胸膜实变,它边缘收缩的,没有膨隆的迹象。我们看到里面支气管直达远端稍扩张,是以中央间质为主、小叶间隔朝外蔓延,有间质也有实质病变,走向是沿中央间质方向走的,我个人倾向炎性病变。    问题是右下叶病灶怎么解释?右隔上、右肺门各有一个结节。这个病人有急性咳嗽、胸痛的病史,还有糖尿病病史,周围渗出比较明显,应该警惕炎性病变,要警惕克雷伯杆菌、结核、金葡菌霉菌,因为糖尿病人经常好发这些病菌感染。那么右下叶病变怎么考虑?能不能一元论?    左肺病灶是一个急性渗出为主的病变,一个急性感染的迹象;右肺下叶背段结节,没有看到支气管,增强图支气管壁增厚,局部小结节,呈分叶状,支气管堵塞,没有粘液栓样指套样改变,但是里面有强化,我倾向于癌,其次待排结核。我还是倾向于癌的可能性,恶性可能性大一些,可惜我看不到支气管腔内。还考虑有没有淀粉样变性的问题,弥漫钙化灶最常见的一个是结核,另一个是淀粉样变性。叶段支气管壁有弥漫增厚的迹象。所以淀粉样变性跟结核都要考虑。


病理结果
                          
   


回顾性讨论
南边:
   
Coke with ice:
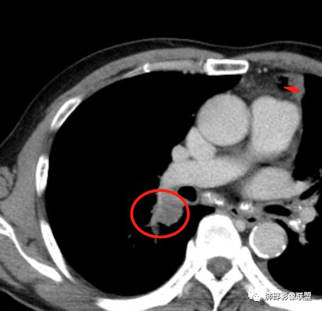
吴老师标记的这个支气管结节有点意思。其他的真是想不到鳞癌
雪上一枝蒿(陈显静):  
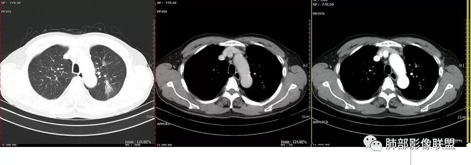
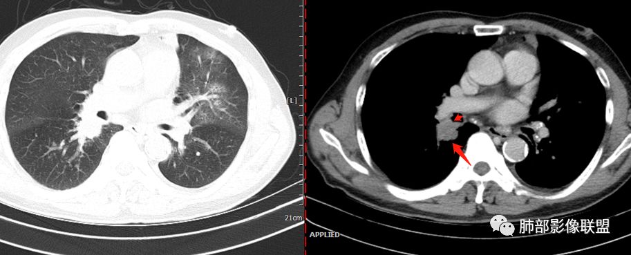
这个是9月7号的平扫CT
雪上一枝蒿(陈显静):
右下肺病理没有报癌
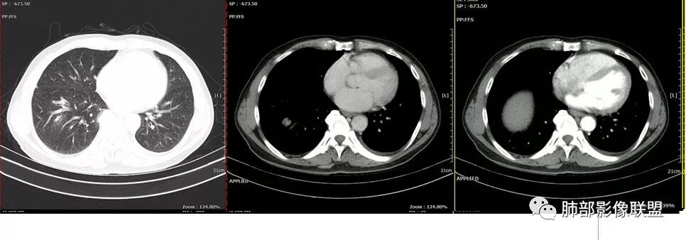
但是化疗2次后也缩小了
背段入口在CT上也可以见到了
初学者:
回头看尖段的分支和背段肯定是堵了,两处应该都是鳞癌,右肺基底段的就不知道了。
雪上一枝蒿(陈显静):
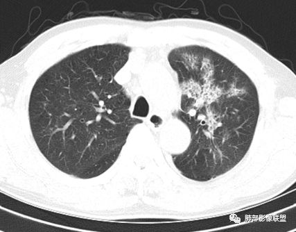
复查的HRCT
初学者:
这个什么治疗后的。当时应该抗炎后先复查一下就知道了。
雪上一枝蒿(陈显静):
化疗2次。
Coke with ice:
这次的间质性改变考虑什么?癌淋还是?
雪上一枝蒿(陈显静):
应该是阻塞性肺炎,抗感染后查PET CT的时候左上肺已经有部分吸收了。
李:
左上叶支气管应该没堵。
雪上一枝蒿(陈显静):
   
傅昌瑜:
前段堵了
右下背还是考虑恶性可能
支气管镜下明显见到新生物了,病理取到表面粘膜。


病例小结

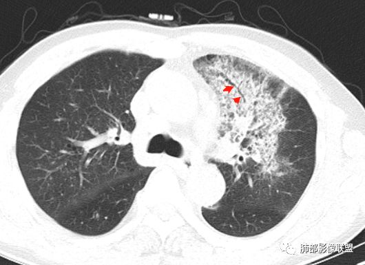
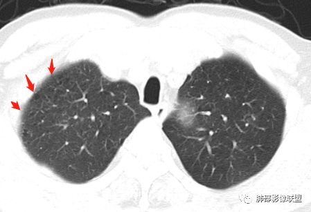
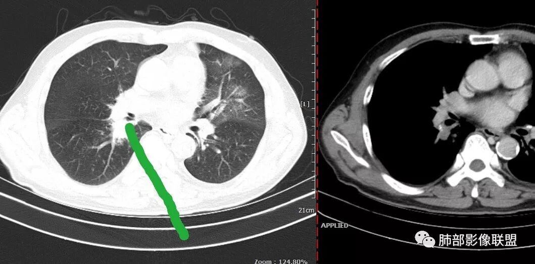
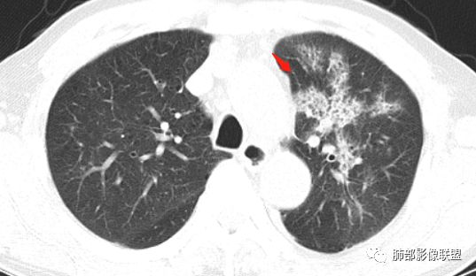
  鳞癌起源于支气管粘膜,是气道中最常见的恶性肿瘤,易造成支管壁增厚,并突入腔内形成结节,造成狭窄、阻塞或截断;早期鳞癌表现为沿支气管生长的梭形结节或局限性增厚,辖区内常出现阻塞性炎症,这样的病灶赢多平面重建并仔细观察支气管改变;如果有支气管壁偏心性增厚伴管腔狭窄或腔内结节形成,都要想到早期鳞癌的可能性,复查或内窥镜检查是必要的。
  鳞癌好发于中老年人,与吸烟关系密切,如果发现不易吸收的,或同一部位反复无常局限性肺炎,我们应当仔细观察支气管壁的病变除外阻塞的可能;该病例右肺下叶背段及左肺上叶支气管有肿块及管壁的增厚,应当想到恶性可能。
                 说在后面的话
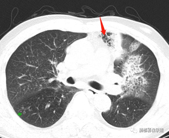
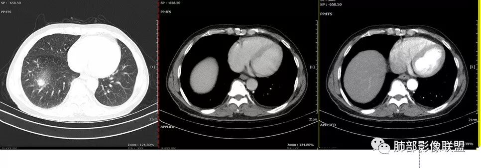
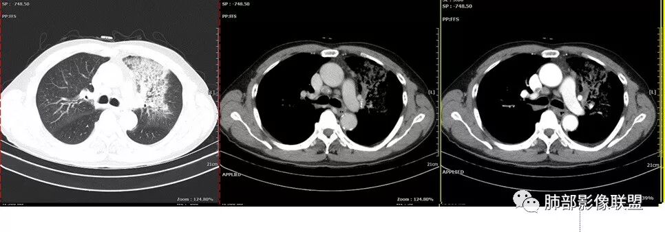
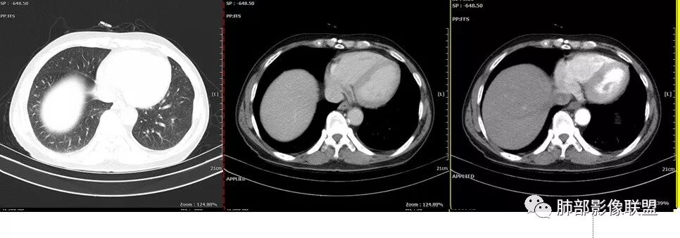
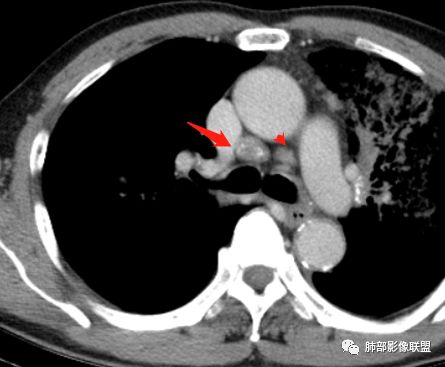
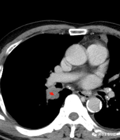
1.右肺下叶支气管壁增厚,后壁为主,且显示壁外结节,未见异常强化。这样的结节和蔓延方式一般会高度怀疑气道来源的恶性肿瘤,如鳞癌、粘液表皮样癌、腺样囊性癌等。可惜没有相应病理学资料支持。
右肺下叶近膈面球形病灶缺乏恶性病灶特点,没有分叶、毛刺、牵拉等,应当符合炎性。
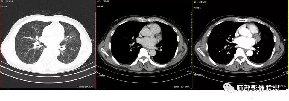
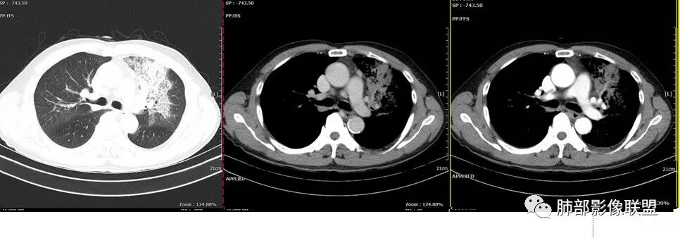
2.左肺上叶大范围高密度影,几乎占据整个肺叶,没有体积改变,尽管小叶间隔显示明显,但初诊还是首先会想到社区肺炎,尤其是结合患者有发热及左侧胸痛的临床表现。
会是粘液腺癌吗?如此大范围,又在上叶,周围却未见向外飘散的结节影,难以想象。
3.我们都注意到患者左肺上叶支气管开口的改变,这种改变有可能会用常见的“肉芽肿性炎”或“分泌物”加以解释,因管腔内的隆起部分未能观察到强化,管壁外未见相应快影或结节影。
熟料问题恰恰出在这里!它没能引起完全阻塞,未能形成“S”形肺不张。
该病例非常值得我们警醒,忽略支气管管腔内的任何异常都可能大意失荆州!

End
   
 编辑:田长青
 审核:蔡笑燕   徐  晓
 病例提供:瑞安市人民医院 陈显静


到顶部