【每日晨读】由表及里—已露狰狞(胸壁静脉曲张)的胸腺癌!



做自己的英雄

1

NO.1

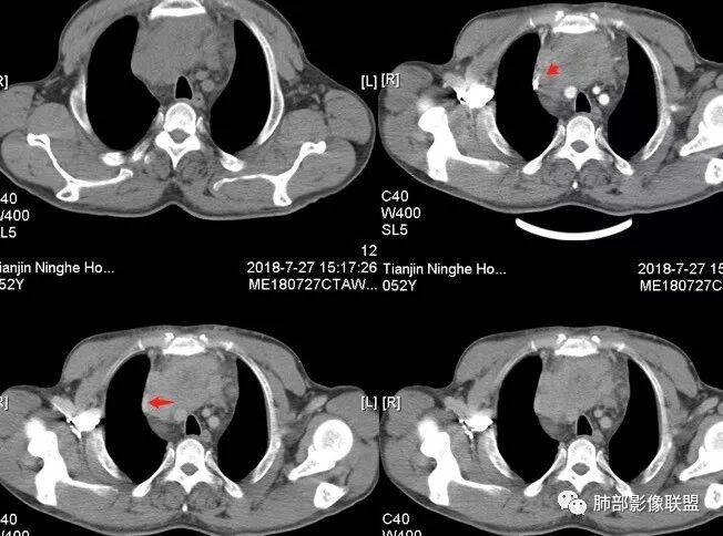
病例资料
NO.2





















1

群内精彩讨论






市医院--时建文:前纵隔肿瘤,渐进性强化,内有囊变、液化,疾病谱:胸腺瘤、畸胎瘤、淋巴瘤、错构瘤、脂肪肉瘤、倾向恶性肿瘤:胸腺肉瘤?淋巴瘤?
清嘉:前纵隔占位,有坏死、囊变、少许钙化、强化,少许心包积叶,考虑:B2型胸腺瘤。
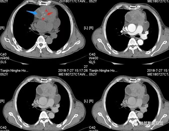
Yiren  Sishui(厶水伊人):上腔静脉受压后移,无侵犯,内乳动脉在其外侧,中心生长,定位纵隔,年龄>30岁,浅分叶,未见明显纤维分隔,其内见微钙化,坏死明显,周围脂肪间隙模糊,心包受累,考虑B3型胸腺瘤或胸腺癌.
虎爸:前纵隔占位,有坏死、囊变、少许钙化、强化,少许心包积液,考虑b3胸腺瘤或者胸胸癌.
飞鹰行动:前纵隔占位,形态不规则,边界较清晰,内可见坏死及少许钙化,增强后边缘强化明显,内部见可疑延迟强化,心包受累及,考虑恶性肿瘤,来源胸腺,无明显纵隔淋巴结增大,首先考虑侵袭性胸腺瘤或胸腺类癌,其次胸腺癌。
小强:前纵隔占位,其内密度不均匀,强化不均匀,心包增厚,心包积液,考虑恶性,胸腺癌?
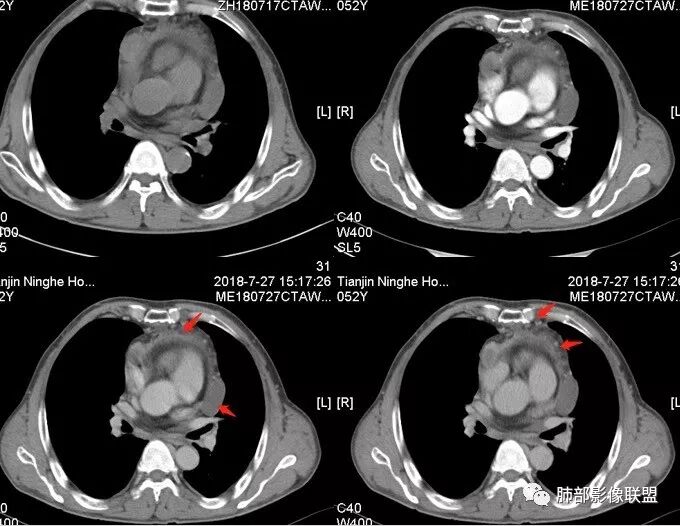
大雄:中年男性,发现左前胸壁血管曲张1天入院肿标:细胞角蛋白19片段明显增高,神经元特异性烯醇化酶稍高CT:前纵膈巨大实性占位,边缘膨隆,质地较硬,纵膈脂肪间隙模糊,压迫纵膈大血管(头臂静脉明显狭窄)但未见包绕。平扫可见囊变及钙化,增强中度延迟强化,可见大片不规则坏死区。未见纵隔淋巴结肿大,胸骨骨质破坏及胸水。考虑:恶性肿瘤,胸腺癌可能。
春秋:52岁中老年人,前纵隔软组织团块,可见分叶,部分边缘脂肪毛糙,强化不均匀强化,边界不清坏死,可见点状钙化,综合考虑胸腺癌可能性大!
崇军:前纵隔占位性病变,常见三种:淋巴瘤,胸腺瘤(癌),生殖细胞瘤,男,52岁,生殖细胞瘤排除。淋巴瘤除了主病灶外,应该其他部位也有肿大淋巴结,主病灶也应该凸凹不平由多个结节组成,里面坏死少,该病灶与之不符,排除,只有一个可能,胸腺瘤或癌,坏死,边界不清,有心包隐窝积液,为首选.
徐飞:前纵隔实性占位,边缘膨隆,心底大血管受压后移,周围脂肪间隙模糊,定位前纵隔。内强化不均匀,可见坏死,实性部分延迟强化,心包稍毛糙,腔静脉后间隙可见积液,肿标高,考虑恶性占位,胸腺癌伴心包受累可能。
群锋:52岁,前上纵膈占位,密度不均,边界模糊,内有囊变坏死及钙化,强化不均匀,支持恶性,淋巴瘤(大B),胸腺癌?
小兜:前纵隔巨大肿块,密度不均匀,周围脂肪间隙模糊,大血管受压移位,不均匀强化,内部见大量坏死,心包受累,考虑恶性,胸腺癌可能性大.
水晶石头 (许建林):患者中年男性,因左前胸壁血管曲张1天就诊。查体左颈前胸壁、左上臂静脉曲张。血管彩超左颈内血静脉流淤滞。肿标:细胞角蛋白19片段明显增高,神经元特异性烯醇化酶稍高胸部CT:前纵隔巨大实性占位,边缘膨隆、清晰,纵隔脂肪间隙模糊,压迫纵隔大血管,未见包绕。平扫可见囊变及钙化,增强中度延迟强化,可见大片不规则坏死区。未见纵隔淋巴结肿大、胸骨骨质破坏及胸水。综合考虑恶性肿瘤,胸腺癌可能性大,鉴别恶性畸胎瘤。
一切∮随缘:前纵隔肿块,病变形态不规则,边缘欠光滑,整体彭隆,平扫密度不均匀,可见等低密度坏死,增强后不均匀强化,内部坏死、囊变无强化,病变跨血管周围间隙生长,纵隔淋巴结肿大,考虑恶性:胸腺癌(鳞癌,类癌),鉴别淋巴瘤。
张延军:前纵隔软组织肿块,呈分叶状,内密度不均,见斑片状坏死区及囊状低密度影,边缘不清,周围见小淋巴结影,增强扫描后呈不均质强化,4R及主动脉旁见无强化区,考虑前纵隔恶性占位性病变,胸腺癌?胸腺鳞癌?淋巴瘤?建议穿刺活检。
丽:晨读,中年男性,前纵隔巨大占位,边缘膨隆可见分叶,内密度不均,可见点状钙化及片状坏死,增强后呈渐进性强化,临近大血管受压移位,心包可见积液,综合考虑恶性肿瘤,胸腺癌可能大。
Zhuweichao:中老年男性,前纵隔中心生长巨大肿块,边缘有浅分叶,密度不均匀,囊变,钙化,不均匀强化,心包积液,恶性,考虑胸腺癌,生殖细胞肿瘤?
采莲:中年男性,前纵隔巨大肿块,基本居于中央,上腔静脉受压变窄,内有大片坏死,肿块内及周围有更低密度囊性影,考虑恶性胸腺瘤?鉴别淋巴瘤。
joyzhy:中年,前纵隔占位,实性推挤血管形成积液,少许钙化,强化不均匀,考虑恶性,有钙化淋巴瘤靠后,胸腺癌可能。
傅昌瑜:前纵隔巨大占位,形态不规则,边界较清晰 内可见坏死及少许钙化,增强后边缘强化明显,内部见低密度,心包受累,中纵隔未见病灶,考虑胸腺恶性肿瘤。
杨泽锋:大肿块周围有散在淋巴结,考虑胸腺癌。
一米阳光:前纵隔占位,形态不规则,周围血管明显受压移位,周围间隙欠清晰,内部见坏死,增强轻度强化,纵隔未见明显淋巴结。老年男性,有恶性肿瘤家族史,考虑胸腺恶性肿瘤,胸腺癌,侵袭性胸腺瘤。
加勒比海蓝:中年男性,前纵隔肿块,边缘不清,增强后可见坏死,边缘不清,考虑侵袭性胸腺瘤;但是这个坏死有点奇怪,边缘清楚。

毛勤香:前纵膈占位,实性为主,有多发坏死,坏死边界清晰,肿块周界模糊,与邻近血管间隙不清,考虑恶性,中后纵隔淋巴结肿大不明显,病史其他地方淋巴结无肿大,中年男性,心包积液,首先考虑胸腺癌,鳞癌可能性大,侵袭性胸腺瘤代排。
三个石头 :中老年慢性,左颈前胸壁,左上臂静脉曲张。肿标部分高。定位,前纵隔肿块,点状钙化,压迫大血管(回流受阻,导致静脉曲张),增强扫描内大片坏死,肿块周围数个小结节,并见心包,心包隐窝积液。考虑胸腺癌。主要鉴别淋巴瘤,其他部位无肿大淋巴结。生殖细胞肿瘤,年龄偏大不考虑。无脂肪,不考虑畸胎瘤,脂肪类肿瘤。cd强化不符合。
小丽:前上纵隔肿瘤,密度不均匀,有坏死、钙化,对血管推移。轻中度强化。从椎体上有骨质增生,推测不是青少年,可能是中年男子。前纵隔肿瘤常见胸腺肿瘤、淋巴瘤、生殖细胞肿瘤、异位甲状腺肿等,淋巴瘤一般密度均匀,包绕血管,这个不符合,生殖细胞肿瘤年龄偏小,这个也不符合,与甲状腺关系无法明确,不排外。首先考虑侵袭性胸腺瘤,胸腺癌鉴别
玫:前纵隔不规则形肿块影,边界欠清晰,其内密度不均匀,可见囊变,及点状钙化影,肿块与周围血管分界欠清,增强扫描病灶不均匀性强化,可见坏死区及囊性低密度灶,考虑胸腺恶性肿瘤可能,不除外畸胎瘤,淋巴瘤。
王秀仙:前纵隔巨大肿块,边缘膨隆可见分叶,内密度不均,可见点状钙化及大片状坏死,增强后呈渐进性强化,临近大血管受压移位,心包可见积液,中年男性,综合考虑恶性肿瘤,胸腺癌可能大。
崔少钢:中年男性,左侧颈内静脉、左侧前胸壁及左上臂静脉曲张,提示有静脉阻塞,另患者有恶性家族史。影像:前纵隔占位,有浅分叶,周围脂肪间隙不清晰,且见小淋巴结,内有坏死,上腔静脉受侵,内有钙化,支持胸腺癌。
何:考虑胸腺癌。胸腺瘤少见大片坏死,此例心包受侵犯,即使是胸腺瘤,应该也到B3了。肿瘤周围脂肪间隙模糊,符合胸腺鳞癌出血性梗死。NSE高,类癌?典型管状血管影不太明显。
NO.3
南边老师分析

不要错过精彩的瞬间


Looking Up
南边:NSE啥价值?
nse指的就是神经元特异性烯醇化酶,正常的范围是小于或者等于12.5克每升,主要存在于神经组织和神经系统当中,通常需要上高三倍才有临床意义。如果出现了神经元特异性烯醇化酶的异常表现,比如增多或者减少,那么可以先看一下是否存在神经元的损伤。
本例nse 29.62ng/ml,高了。
定位没问题:前纵隔。
南边:男性,52岁。
我们分析一下影像.
较大,内有囊变、钙化。

崇军:纵隔内肺癌也是有可能。
南边:边界大部分清楚,有些地方毛糙。
附近有淋巴结

南边: 
上腔静脉如何?

心包如何?

Coke with ice:增厚,结节感
南边:强化就不用说了
良性?恶性?
大肿块,边缘不清,伴随肿大淋巴结,上腔静脉受侵犯——恶性
淋巴瘤?——钙化,比较罕见,放后面
侵袭性胸腺瘤?胸腺癌?老年,钙化、肿大淋巴结,边缘侵犯、累及心包、侵犯上腔静脉——支持
其他:肉瘤等待排
生殖:太老了不支持
其实这个病例我们定到恶性就行了
Coke with ice:请教一下老师,侵袭性胸腺瘤和胸腺癌有没有鉴别要点?
南边:淋巴结、边缘不清有价值
淘时光:
南大,与神经内分泌癌怎么鉴别?前纵隔神经内分泌癌也好发
南边:
也是胸腺癌一类吧
胸腺癌:鳞癌多见,其次类癌、小细胞癌
淘时光:不知道这个NSE高价值有多大
小丽:
侵袭心包、胸膜、脂肪是侵袭性胸腺瘤。侵袭大血管、淋巴结转移是胸腺癌。肺部影像联盟的课件说的
尘缘:
胸腺癌可分为:鳞状细胞癌、淋巴上皮瘤样癌、基底细胞样癌、黏液表皮样癌、肉瘤样癌、小细胞未分化细胞混合癌、透明细胞癌和未分化癌。
细胞角蛋白增高,对胸腺癌有一定提示作用。
大雄:
现在一般不说侵袭性胸腺瘤
要么你具体到哪一型胸腺瘤
要么统称胸腺瘤,分型有A AB B1 B2 B3
B2 B3型和胸腺癌,影像几乎就无法鉴别;那是病理的事。
胸腺神经内分泌肿瘤在WHO分类里是独立于胸腺癌的,但是个人觉得把它归到胸腺癌也无妨。就像肺癌包括腺癌、鳞癌和神经内分泌肿瘤一个意思
1

NO.4

病理结果



1

文献复习
    胸腺上皮性肿瘤包括胸腺瘤和胸腺癌,而前者是前纵隔最常见的肿瘤;现目前多采用1999年WHO胸腺肿瘤组织学分型,按病理类型可分为6个亚型,即A、AB、B1、B2、B3及胸腺癌,又根据肿瘤的侵袭性和复发性将胸腺瘤分为低危型胸腺瘤(A、AB、B1)、高危型胸腺瘤(B2、B3)和胸腺癌;“良性胸腺瘤”的概念不符合医学实践,即使A型胸腺瘤也存在复发和转移的风险,所以现在胸腺瘤均为恶性肿瘤,都具有潜在复发和转移可能,只是恶性程度不一。
      胸腺癌是发生在胸腺的恶性上皮性肿瘤,可分为低度恶性肿瘤和高度恶性肿瘤,鳞癌、基底段细胞样癌、粘液上皮样癌属于低度恶性,其他类型如淋巴上皮样癌、肉瘤样癌、乳头状癌、透明细胞癌、未分化癌等为高度恶性,其中病理类型以鳞癌最为常见。
     因为有时候影像不好鉴别胸腺瘤的亚型,尤其少数B3型跟胸腺癌鉴别仍存在困难;那如何大致辨别低危型胸腺瘤、高危型胸腺瘤跟胸腺癌呢?我们主要从肿瘤的轮廓形态、肿瘤内部的成份(囊变坏死、钙化、纤维分隔等)、周围组织侵犯情况(胸膜、血管、心包、肺、膈神经)、有无纵隔淋巴结转移及远处转移来综合分析,为疾病的治疗及预后是有重要价值的。
胸腺瘤/胸腺癌的影像分析
1.轮廓形态:
包膜完整、边缘光滑、规则---低位胸腺瘤;
边界不清、边缘不规则、分叶---高危胸腺瘤和胸膜癌;
2.内部成分:
a.多数密度均匀,少见囊变坏死,见纤维分隔影及钙化---多见于低位胸腺瘤,而且纤维分隔影以AB型显著, 实质性钙化多提示AB型及以上,A型钙化多发生于被膜钙化,呈蛋壳样;
b.密度不均匀,囊变坏死多见,纤维分隔影少见,有钙化---多见于高危胸腺瘤及胸腺癌以上,尤其大片囊变坏死多见于B1型以上胸腺瘤跟胸腺癌;钙化多见于肿瘤实质内,非边缘区,多发的泥沙样、微钙化及多形性钙化多见于B2、B3型;
(随着侵袭性的增强,纤维分隔影会逐渐减少)
3.周围及远处情况:
a. 纵隔脂肪线清晰,无胸膜、血管、心包及肺情况,罕见纵隔淋巴结肿大及远处血行转移--见低危胸腺瘤
b. ①纵隔脂肪间隙模糊、胸膜、心包侵犯、膈肌受累--见于高危胸腺瘤及胸腺癌,但是心包侵犯多见于B3胸腺瘤跟胸腺癌
   ②纵隔大血管侵犯、肺转移、膈神经麻痹、淋巴结转移及远处血行转移---多见于胸腺癌,B3胸腺瘤罕见
病例回顾性分析
患者前纵隔囊实性肿块,常规疾病普考虑胸腺瘤、胸腺癌、生殖细胞肿瘤、淋巴瘤和神经内分泌肿瘤,其中神经内分泌肿瘤中最常见的是类癌,患者的年龄不支持生殖细胞瘤,具体分析如下:
1.  病灶内实质性钙化,提示AB型以上胸腺瘤、胸腺癌或类癌,其中微钙化往往提示高危型胸腺瘤跟胸腺癌、类癌,同时也排除了淋巴瘤(淋巴瘤不会有钙化);
2.  病灶呈分叶蔓延倾向,其内大片状囊变坏死,周围脂肪间隙模糊,提示高危型胸腺瘤或胸腺癌,但是类癌周围脂肪间隙往往很清晰;
3.  胸膜、心包侵犯,多提示高危型胸腺瘤中的B3型胸腺瘤、胸腺癌、类癌
4.  纵隔淋巴结肿大及纵隔大血管(上腔静脉)受侵犯,提示胸腺癌或类癌。
   结合临床表现患者应该存在左无名静脉明显侵犯,可惜未提供相应层面影像资料。
5. 此患者NSE增高,提示神经内分泌肿瘤可能,纵隔神经内分泌癌最常见的是不典型类癌,胸腺类癌临床上可伴相关临床表现。肿瘤体积巨大,边缘清晰,强化显著(与鳞癌不同),肿瘤内边缘规则的管状血管影(鳞癌内血管是破坏、纤细、僵硬);
通过对病灶的形态、内部成分、强化特点、周围情况等层层分析排除,我们的诊断答案已经跃然纸上。
往期精彩分享
黄勇老师倾心大作——胸腺肿瘤精准影像诊断(上)
黄勇老师倾心大作——胸腺肿瘤精准影像诊断(下)

编辑:蔡笑燕
审核:徐  晓
病例提供者:天津市宁河区医院医学影像科 杨子权、于拙
                


到顶部