【每日晨读】兜兜转转依然是你—IAC




1











2
病例资料
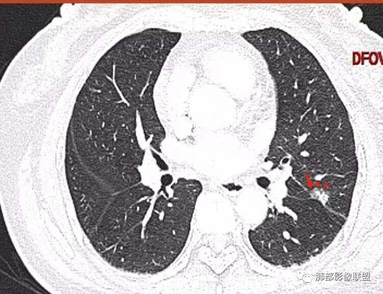
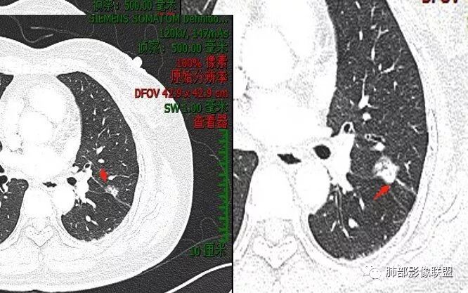
马宁强:考虑肉芽肿性病变,隐球菌可能彭君:左肺上叶舌段混合毛玻璃密度结节 边缘清 有分叶毛刺 斜裂胸膜凹陷征 考虑腺癌可能王秀仙:左肺上叶结节,部分边缘磨玻璃清晰,有分叶毛刺,支气管通过并扩张,其外侧小叶间隔不规则增厚,胸膜牵拉,考虑腺癌。鉴别慢性炎症。田园晚风:左肺上叶多个小结节融合呈分叶状,可见叶间裂牵拉,考虑腺癌张帅:左肺上叶后段结节,内可见支气管穿过,病灶周围有少许毛刺,病灶边缘有浅分叶,对叶间胸膜有牵拉,部分位置呈对叶间胸膜推移。考虑为恶性病变,腺癌?。杨泽锋:混合型磨玻璃结节,边缘有膨隆、有凹陷,明显的胸膜牵拉,考虑腺癌可能大;内部支气管通畅、似乎有鬼脸征,所以鉴别隐球菌Lotus:病灶内部有结节感,这个大小似乎是次级肺小叶的大小,考虑炎性,有冠位最好了。但是胸膜牵拉有些恶性提示心包右侧软组织密度影考虑心包隐窝Yiren Sishui(厶水伊人):叶间裂有膨隆有凹陷,考虑恶性,腺癌可能
徐婕:同意恶性腺癌可能岁月:女,56;空泡,分叶毛刺,牵拉线,胸膜凹陷征,有强化,浸润性腺癌。THINKER:左舌见结节,膨胀为主,部分收缩,分叶丶短丶硬毛刺,牵拉斜裂,有小空泡,支气管穿行,有强化,常规腺癌丽:左肺上叶近胸膜下结节,胸膜牵拉,边缘膨隆,并可见深分叶及毛刺,内有空泡,增强后可见强化,倾向腺癌淘时光:混合磨玻璃结节,实性部分较多,内见支气管穿行,腺癌首先考虑了…☀:左肺上叶结节影,实性,边缘分叶征,其内可见空泡,部分膨胀生长,局部叶间裂牵拉上移,叶间裂光滑增厚,首先考虑肿瘤黄棘:左肺上叶结节,边缘彭隆, 周围磨玻璃影边界清,内部可见扩张支气管,叶间胸膜牵拉,考虑腺癌心灵鸡汤:左肺上叶舌段近斜裂处混合性结节,以实性成分为主,有分叶、毛刺,牵拉邻近叶间、脏层胸膜,增强有强化,影像学上看偏恶性,分类LU-RADS 4C类,MIA浸润性腺癌可能,鉴别肉芽肿性病变、隐球菌,请老师指点!THINKER:这个如果是腺癌,应该是IAC了,过MIA了,个人看法,罗老师一切∮随缘:左肺叶裂胸膜下结节,边缘收缩弱,周围有GGO,边界清楚,形态欠规则,其内似有支气管穿行,增强扫描轻度均匀强化,考虑1肉芽肿性病变(隐球,炎性假瘤)2:浸润性腺癌Clover:考虑腺癌,实性为主混合有少许边界清晰ggo,边缘膨隆,其内支气管气象不规则,有收缩力。Coke with ice:还有一个疑问请教一下:这个是混合磨玻璃结节还是实性结节?个人倾向于后者。心灵鸡汤:有部分磨玻璃Coke with ice:实性结节周围GGO初学者:实性,周围有毛玻璃晨:有浅分叶,有毛刺,有叶间裂牵拉,内有囊泡,考虑腺癌。初学者:稍等,我等会开电脑看,但是感觉和你们一样,感觉是一个典型病例来着Coke with ice:这个人我也倾向于腺癌。但是诊断腺癌还有一个比较疑惑的地方,肺窗病变密度显示比较实,但是纵隔窗病灶范围明显比肺窗小,腺癌可以解释的通吗?张小兵:混合磨玻璃结节,内见支气管穿行,分叶,胸膜牵拉从凹陷处进入,腺癌首先考虑小微:

Coke with ice:这里是不是脐凹征呢?对诊断方向很重要。待老师们指点。

小微:

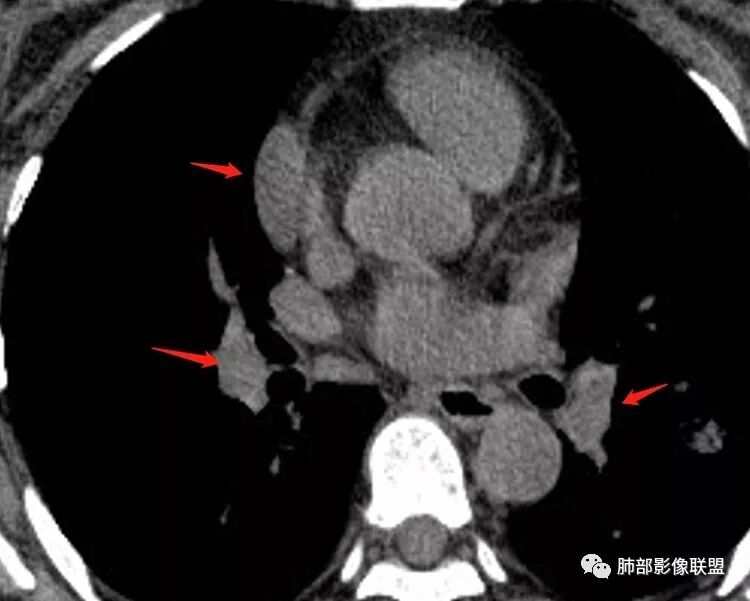
是积液还是囊肿?Coke with ice:我倾向于囊肿初学者:心包隐窝?主要没有连续图

这些好像也大,会不会是肿大淋巴结

还是觉得边缘清楚GGO还是更倾向腺癌

脐凹、分叶

初学者:

看看这个。左边为什么会胸膜往上?因为左边是GGO为主,右边是比较实,就占位效应出来,所以凸出来了心灵鸡汤:@岳微-辽宁省朝阳234医院-影像诊断 应该是心包隐窝初学者:如是炎症,是同步发生,首先边缘不会有边界清楚的GGO,慢性炎症应该连渗出都很少了,更加不会有一部分是收缩,一部分是膨隆

3

南边:

南边:有边界清楚GGO吗张玉:有南边:有就好办边界清楚MGGO,分叶、胸膜凹陷

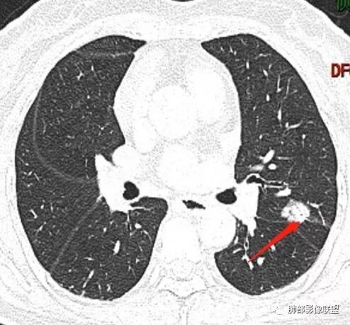
下面这个如何考虑?

wonderful:
那么小不转移吧,另外一个结节?
初学者:
不是转移。毛玻璃,原发可能,需要随访
南边:
边界清GGO?随访是个好主意
天涯:
会不会是肺内淋巴结?
初学者:
一般临床处理是立刻开左边的,在胸膜旁的很好定位。右边随访
肺内淋巴结是实性的
南边:
淋巴结一般实性
大家好像意见一致,腺癌那就考虑腺癌

Coke with ice:@南边 老师这里是不是脐凹征这个好像和胸膜相连,不是标准的脐凹征南边:定义上是指血管、支气管从凹陷处进入远端是出去进入、出去是两个概念

近肺门侧是进入,意味着血管支气管顶住,导致局部的肿瘤生长受限;出去是指血管穿过肿瘤从远端延伸出去所以我认为有价值,但不是脐凹征。


晨读结果:病理是微浸润腺癌

编辑:龙辉  周乔友
审核:冯连彩  徐 晓
到顶部