【每日晨读】洞察秋毫——结核与粘液腺癌


05
星期二
2019年11月
最近有个谣言说我喜欢你
我要澄清一下
那不是谣言
光棍书签

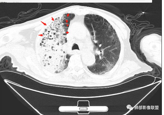
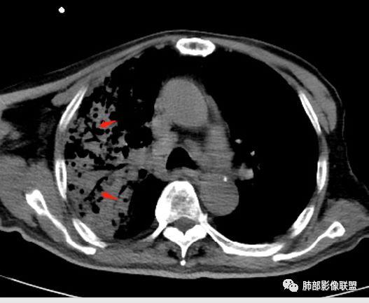
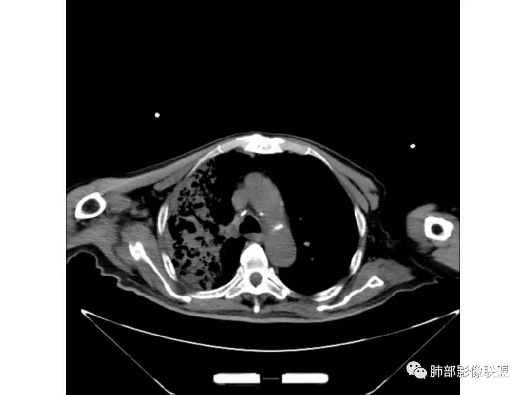
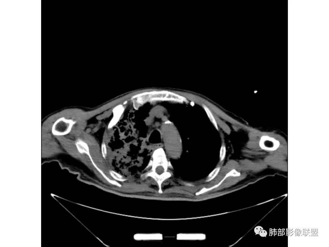
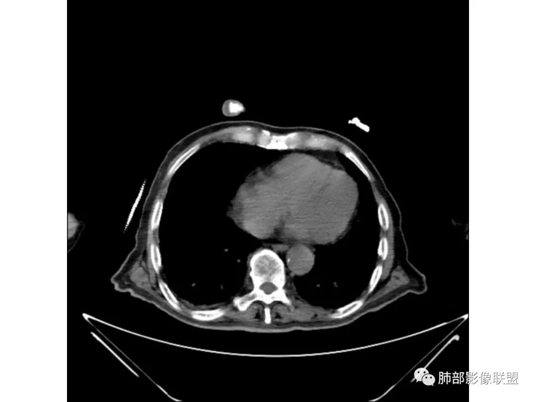
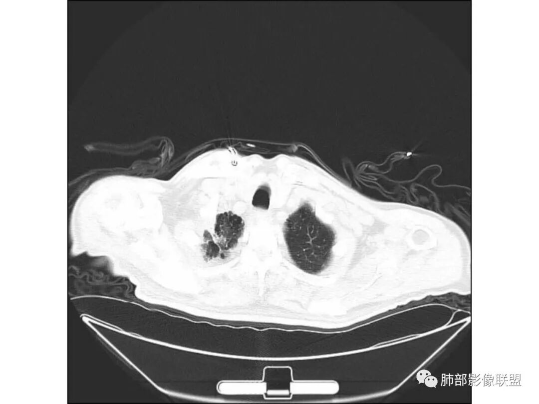
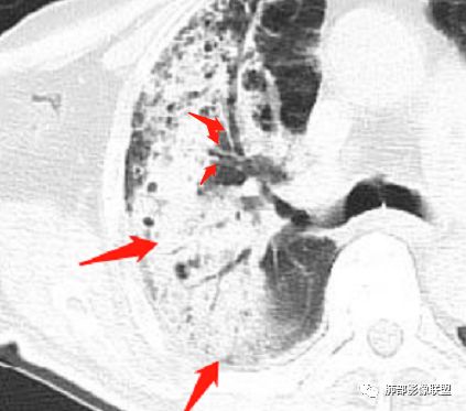
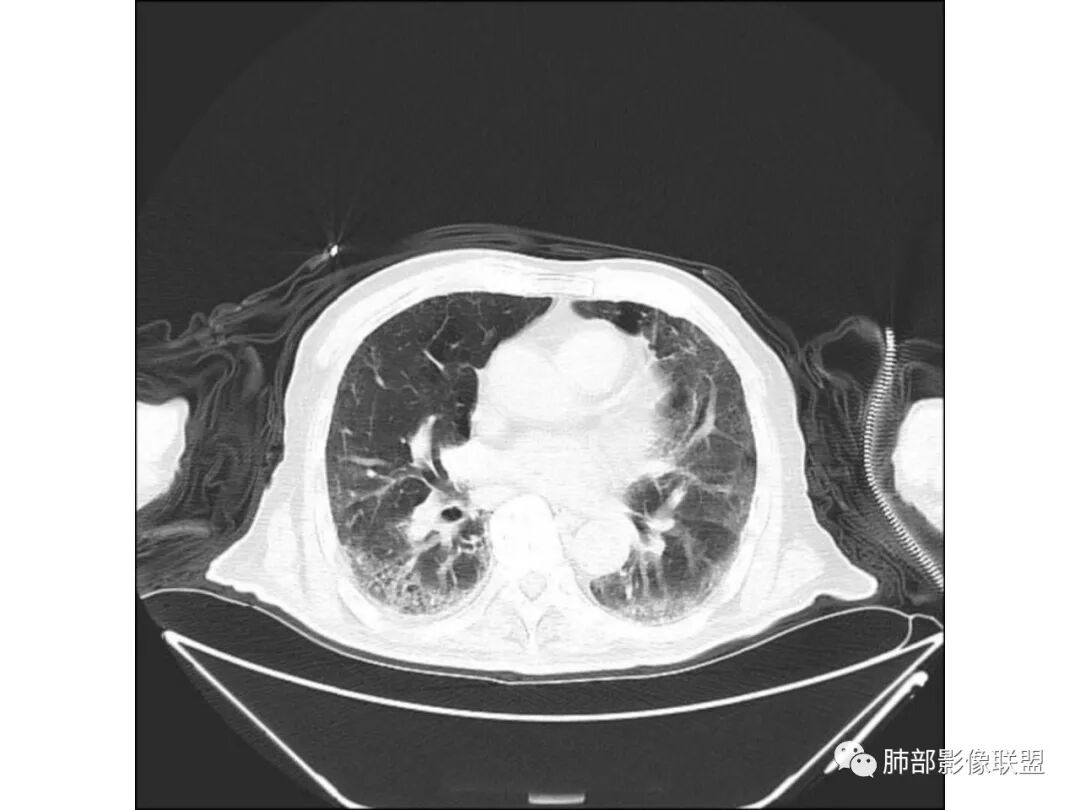
病例资料






























微信群讨论


王秀仙:
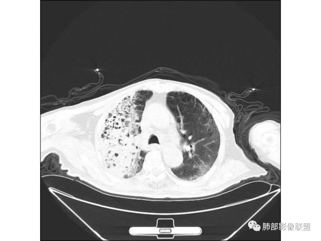
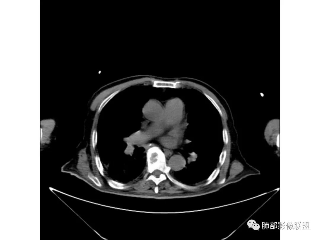
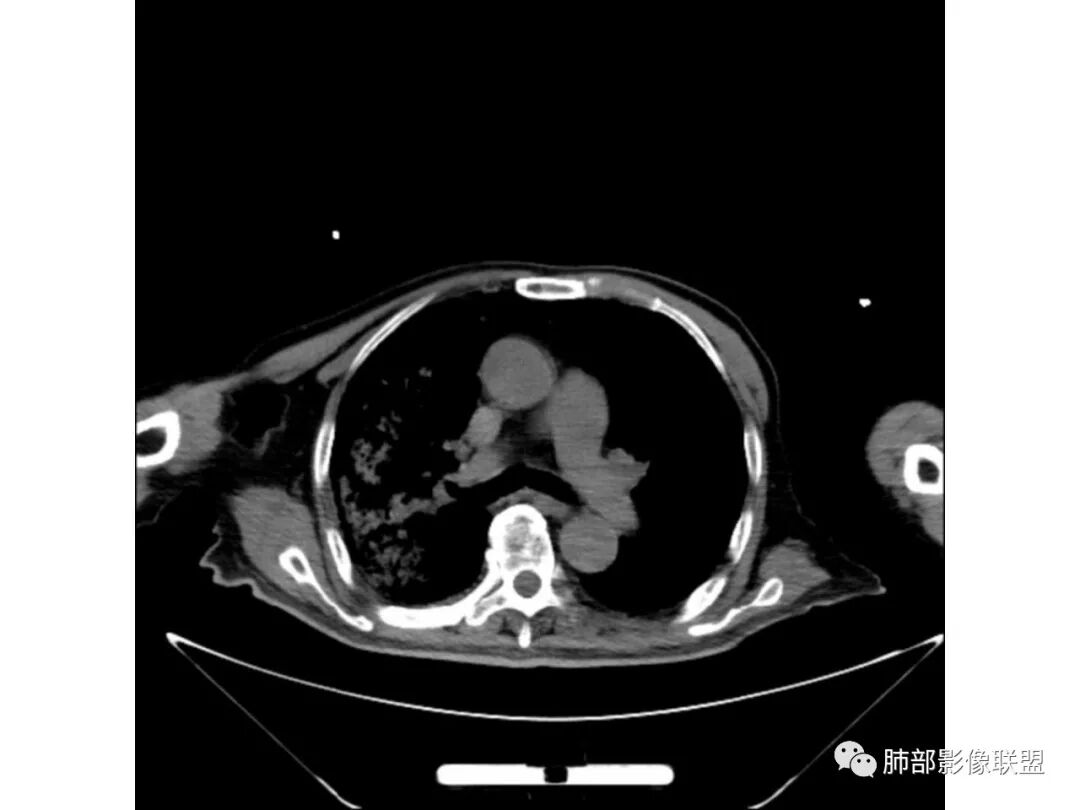
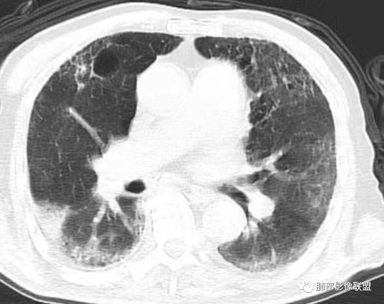
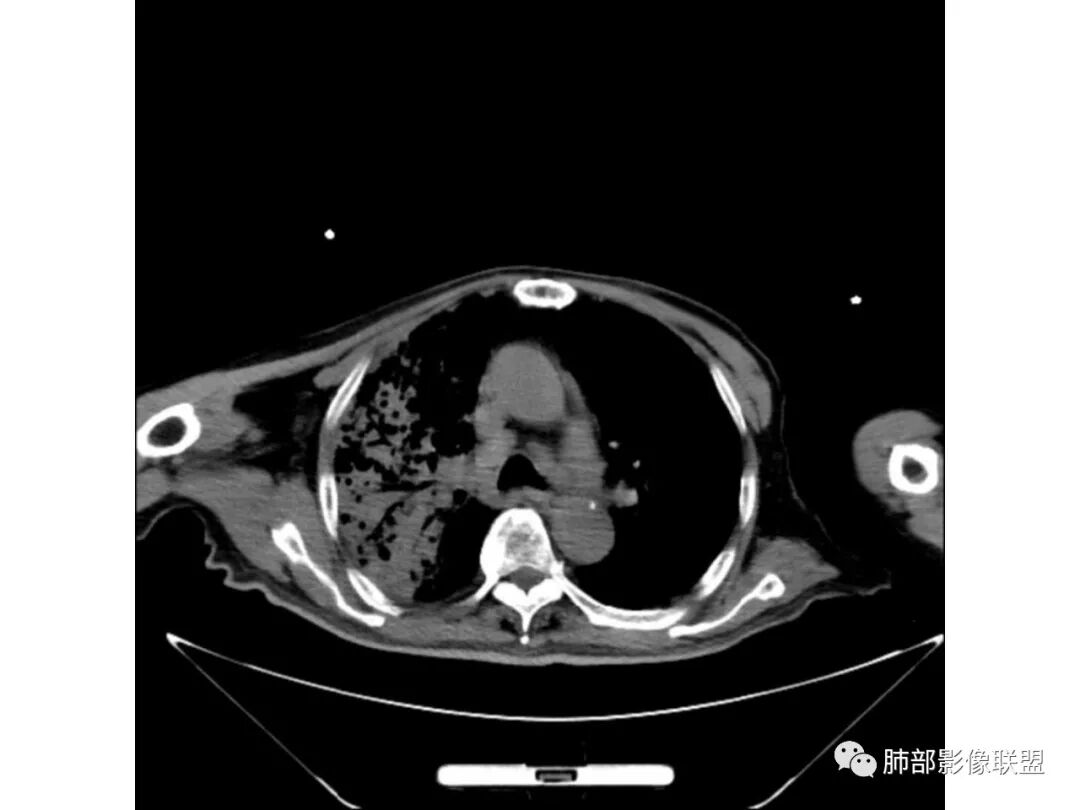
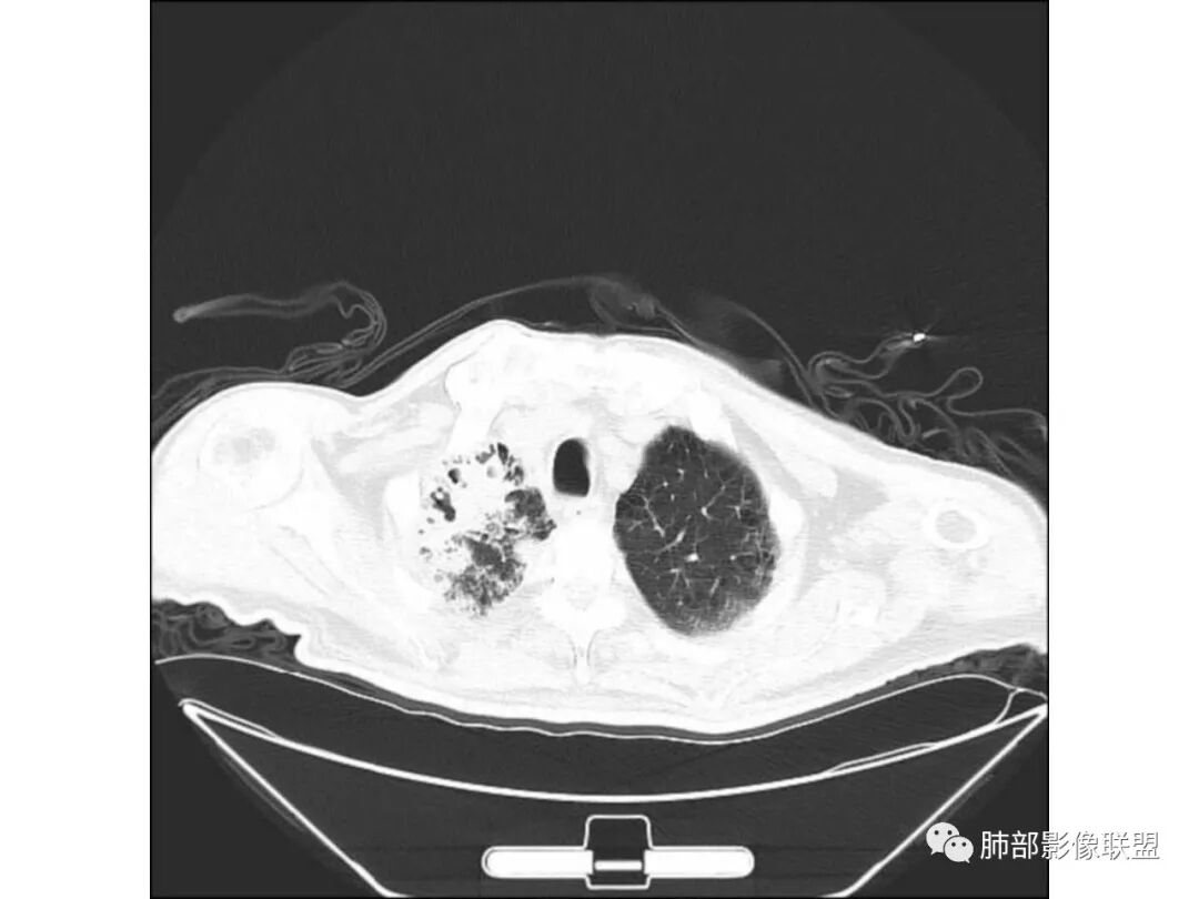
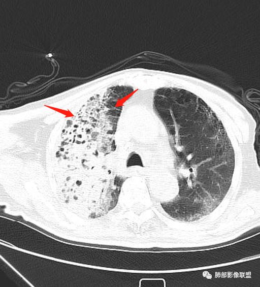
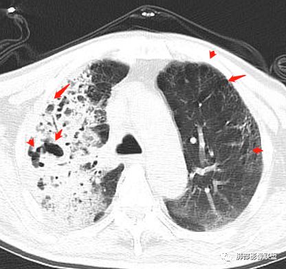
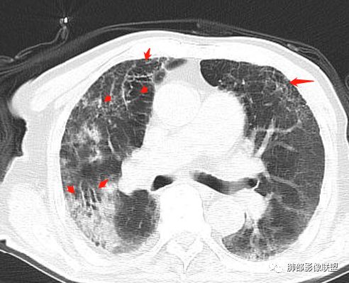
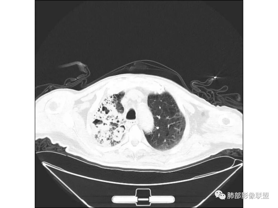
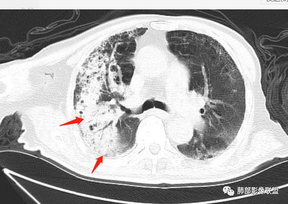
右肺上叶大片实变,其内可见虫蚀样空洞及扩张支气管,其中一空洞内可见曲菌球样结构,右肺体积略缩小。老年糖尿病患者,慢阻肺背景,考虑右肺上叶干酪性肺炎并曲霉感染。
飞鹰行动:
老年糖尿病患者,右肺上叶大片状阴影,内见不规则空洞,内见结节,支气管壁增厚,其他肺野可见气囊影,考虑感染性病变,糖尿病患者常见的四大金刚(金毛结克),金黄色葡萄球菌感染,虽然有气囊,但是临床和其他影像不支持,毛霉菌感染,临床症状重,影像可见液平面,也不支持,肺克临床和影像表现不支持,考虑结核,待排结核合并曲霉菌感染。
崇军:
老年男性,糖尿病基础,咳嗽,喘咳症状,病程10天,右上肺大片实变,以尖后段为主,实变内空洞影,支气管未见明显扩张,淋巴结肿大,首先考虑干酪性肺炎。但与干酪性肺炎不符的有临床症状轻,实变内支气管扩张不明显,没有树芽征,支气管播散。所以炎性肺癌待排;患者有肺气肿改变,肺气肿合并感染也在考虑范围,但左肺气肿不是十分重,放在第三位。总之,必须结合临床检验,治疗后复查。
一切∮随缘:
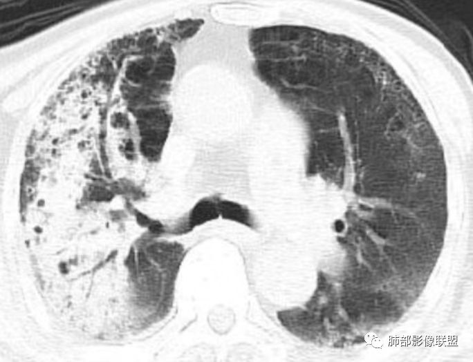
右肺上叶大片实变并散在空洞影,洞壁光滑,张力低,部分实变内可见支气管走形,双下肺散在纤维索条及渗出影,纵隔及肺门淋巴结肿大伴钙化,病史有糖尿病,考虑结核,鉴别:肺克,奴卡,毛霉
闫美利:
老年男性,糖尿病患者,右上肺大片实变,内可见多发虫蚀样空洞,右尖段近胸膜处一空洞内可见一类圆形结节影,支气管扩张,淋巴结肿大,双下肺索条,胸膜增厚。结合糖尿病病史,首选考虑结核干酪性肺炎合并曲霉菌感染,待排肺炎型肺癌
马宁强:
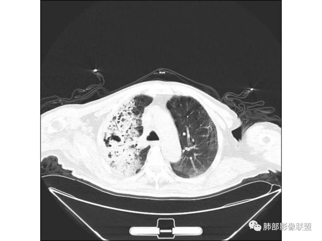
老年男性,糖尿病基础,有咳嗽,喘累症状,病程10天,右上肺大片实变,内虫嗜样,无壁空洞,支气管壁增厚,扩张,淋巴结肿大,胸膜增厚,考虑干酪性肺炎,鉴别粘液腺癌。
毛勤香:
老年男性,糖尿病患者,右肺上叶大片状影伴多发小空洞和支气管充气征,有重力分布趋向,播散灶不明显,两肺胸膜下多发慢性炎症改变,有肺气肿肺大疱背景,肺门纵膈多发小淋巴结,少许钙化,急性起病,首先考虑感染性病变,1.气肿性肺炎?2.肺克?建议结合临床相关实验室检查,影像学角度常规治疗后复查除外粘液腺癌可能。右肺上叶一空洞内见结节影,考虑合并曲菌感染,干酪性肺炎可以,主要没有播散灶,结核待排吧
东莞 X-ray:
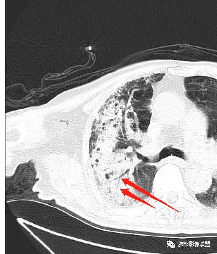
老年男性,既往糖尿病10年,右上肺不均匀实变+两肺实质及间质病变;本例良性感染性病变支持点:糖尿病史+双肺多发的实变,右上肺实变内可见支气管气像;恶性支持点:实变内的支气管似乎呈“枯树枝”样改变,纵隔有超过1.5cm的肿大淋巴结。
个人倾向良性感染性病变>恶性;考虑双肺混合性感染,右肺上叶实变拟结核可能性大,重点鉴别是弥漫浸润性肺腺癌。建议纤支镜检查。
Coke with ice:
病灶内支气管扩张,迂曲变形,多发空洞,实性成分密度不均,其内可见小斑片状略低密度影,似呈铸形,有增强就更好了。病灶周围边缘相对清晰磨玻璃,有收缩。未见胸腔积液。把肺炎型肺癌放第一位,炎性病变放第二位。
傅昌瑜:
老年男性,糖尿病基础。咳嗽咳痰10天。肺气肿背景,右上肺实变伴多发空泡,见支气管空气征,右上叶前段支气管远端扩张,病灶内似有无壁空洞。纵隔淋巴结肿大部分钙化,右上肺体积缩小,考虑感染性病变:肺结核可能性大。
THINKER:
双肺多发GG0,外周分布,略受重力影响,部分可见囊,右上贴壁实变、气柱征、无璧空洞,卫星灶不明确,有2DM,常规考虑:间质肺基础,合并TB>坏死性肺炎(肺克)>腺癌。非常规:如HIV+,可能存在PCP并TB,似乎有曲菌球
张小兵:
老年男性,糖尿病病史,慢性病程,右胸廓塌陷,右肺沿支气管分布实变及GGO,叶段分布趋势,其内见支气管充气征及虫蚀样空洞,周围间质受累,指向气道来源病变播散,纵隔淋巴结肿大,密度高伴钙化,综合考虑干酪性肺炎。鉴别肺炎型肺癌。
采莲:
老年男性,有糖尿病史,右肺上叶大片实变影,有支气管充气征,支气管走行僵直,有扩张,有多发无壁小空洞和俩个稍大空洞,胸膜稍增厚,双下肺野间质性改变,考虑肺结核,干酪性肺炎可能性大。
小赵:
老年男性,右肺上叶大片实变,边界局部清楚,局部模糊,其内见支气管充气征及多发大小不等的小泡状及分枝状无壁空洞。双肺下叶磨玻璃样间质性改变。综合考虑右肺上叶结核,干酪性肺炎可能。
晴朗:
老年男性,糖尿病患者,一般容易感染和结核。影像表现:右肺上叶大片状影伴多发小空洞和支气管充气征,有坠重感,小空洞内似见反晕,双肺胸膜下多发慢性炎症改变,右肺门纵膈多发小淋巴结。大致表现考虑良性感染性病变大于恶性肿瘤性病变。考虑1.结核2真菌感染性病变,3.肺克,4.粘液腺癌。建议结合临床相关实验室检查。
Shelia??:
老年男性,糖尿病10年,咳嗽气喘10天,肺气肿背景,右上肺大片实变影,内见虫蚀样空洞及空气支气管征,局部可见新月形空洞影,支气管局部欠光整,考虑感染性病变,结核?其内合并曲霉可能。
小鱼:
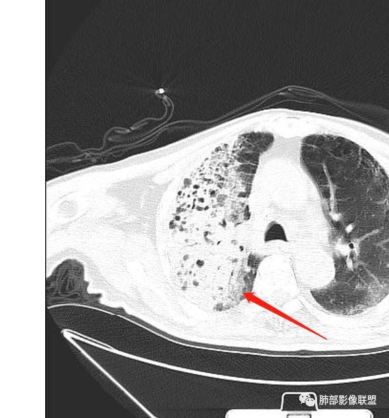
有肺气肿背景,纵隔淋巴结钙化,肺部有纤维化,右肺大片实变,内有融合空洞,未见液平,支气管远端有扩张,部分近段狭窄截断,病灶周边树芽不明显,考虑结核可能大,鉴别腺癌,多为假大空,少有空洞,支气管远端少有扩张所以不符合,肺部感染,多有空洞液平,所以不符合。
尘缘:
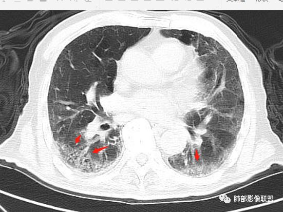
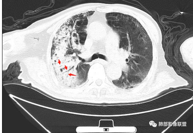
老年男性,咳嗽气喘10天,双肺明显肺气肿,右上肺叶实变,内见大量空洞及囊腔样改变(部分为支气管扩张),实变区周围表现为网格样改变,有明显的小叶间隔增厚,边界似清非清,支气管走行僵硬,有枯树枝样改变,双下肺胸膜下小叶间隔增厚明显,边缘相对模糊,综合考虑如下:1、粘液腺癌可能大(枯树枝样改变,边界似清非清,小叶间隔增厚符合)。2、结核,右上肺似像干酷样改变,内有空洞及支扩样改变支持,但下肺及左肺无相关支气管播散的小叶中心结节及树芽,不支持,临床病症不支持,只有咳嗽,喘气,无咳痰及结核中毒症状。当然结核是妖,需要结合痰检及结核相关指标进一步明确。3、肺克,虽有10年糖尿病史,但肺部只有右肺改变明显,无胸膜下脓肿表现,无脓毒栓表现,临床症状也不支持。4、其他感染?双下肺胸膜下病灶边缘模糊,不完全除外,需要结合临床炎性指标分析。
宇宙星空:
右上肺大片状高密度影,呈蜂窝样改变,部分气腔无壁,部分呈厚壁改变,内部结构紊乱,部分边缘GGO边界清楚,大小不一,病灶近端小远端大,近端支气管壁增厚,支持感染性病变,考虑结核,其内支气管呈枯树枝改变,病灶局部膨隆,内部结构紊乱,边界的GGO部分清楚,恶性(腺癌)待排。
葛良卫(随遇而安):
老年男性,糖尿病病史,咳嗽咳痰10余天入院。右上肺实变,见支气管充气征,部分支气管扩张,虫蚀样空洞,无壁空洞内壁光滑,实变病灶内见粘液成分,右上肺体积稍缩小,结核和肺炎性肺癌的鉴别,结核可能大,合并间质性肺病。
一米阳光:
老年男性,右上肺大片实变,内见支气管充气征,支气管通畅,见多发蜂窝状改变,双肺肺气肿,双肺胸膜下间质性改变。结合病史,咳嗽,糖尿病史,考虑感染,结核可能。鉴别肺炎型肺癌,肺克;建议增强,支气管镜检查
水晶石头:
老年男性,咳嗽、气喘十余天。2型糖尿病10年。胸部CT:右肺上叶实变影,见支气管充气征,部分支气管狭窄、虫蚀空洞,空洞内可见磨玻璃影,有囊变,双肺胸膜下磨玻璃影,肺气肿背景。综合考虑良性病变。结核、肺克可能性大。鉴别真菌及恶性。
doctor:
病灶位于肺外周为主,支气管走行僵硬,考虑腺癌?鉴别间质病变并结核。


未来~牵手去旅行:
老年男性,有糖尿病病史,右侧胸廓塌陷,肺容积缩小,右肺上叶片状实变密度影及高密度影,边缘模糊,内可见支气管充气征及多发虫蚀样空洞,考虑结核可能大。肝脏只有一层,看上去正常
林漠:
老年男性,糖尿病患者。右肺病变,病灶区多发树芽、管状透亮区,考虑为扩张支气管,说明为支气管源性病变。结核?真菌?肺癌?病灶区多发空洞,空洞内坏死不太彻底,树芽征跟增殖结节不明显,结核先不考虑。病灶区晕征不太明显,边界相对清楚,小叶间隔增厚~似呈结节状改变,支气管枯树枝征。最后,肺癌首先考虑,粘液腺癌?鉴别曲霉菌


南边老师分析


南边:
先炎性?恶性?考虑恶性的依据是啥?
宇宙星空:
这个GGO边界清楚
这种蜂窝样的改变,是比较典型的干酪样结核的表现吧?


尘缘:
恶性依据主要是有枯树枝样改变,实变周围有网格样增厚的小叶间隔,边界似清非清


张小兵:
沿支气管叶段分布
南边:
晓宇说说为啥不考虑肺炎型肺癌
小鱼:
这是空洞,而且远端支气管扩张,右侧胸廓也是狭窄的


尘缘:
这个我个人觉得不一定是空洞,不排除原有基础病变就有柱状支扩与囊状支扩或囊腔样改变。因为本身这个病人就有肺气肿与双肺间质改变。
宇宙星空:
纤维化收缩比较明显(其内支气管受牵拉扩张、小叶间隔增厚也受牵拉)虫噬样或蜂窝样改变

南边:
总体分析就是不符合恶性。蜂窝、空洞与肺气肿有关,支气管主要还是远端稍扩张

南边:
肺炎型肺癌——支气管远端狭窄或堵塞为主
外围的支气管不会这么大,而且越到远端越小,这个不符合,所以考虑稍扩张

南边:
炎性:糖尿病有哪些可能?
尘缘:
这一块呢?有没有二元可能?



南边:
有基础病变,结构稍扭曲,有纤维牵拉,这里结构稍扭曲与纤维牵拉有关
暂时不支持恶性,如果要怀疑,也只有治疗后复查再说。
炎性:结核、毛霉菌、肺克雷白杆菌、金葡菌

宇宙星空:
病灶近端支气管壁增厚也是炎性的特点

南边:
单发在右上叶,好发的病变:结核、肺克雷白杆菌。
支气管、内部的小囊腔,部分无壁小空洞,病灶部分边界偏清,支持结核
曲霉菌,一般是气道的,较广泛,不局限,慢阻肺病人可能影像表现不明显。
结核放在首位,其他的待排。


答案揭晓





双胞胎的结核与粘液腺癌

粘液腺癌和干酪性肺炎鉴别:
1、结核干酪空洞常很干净,很彻底,而粘液腺癌空洞内有液性成份,不干净。
2、支气管:干酪样肺炎内的支气管破坏的,扩张的,粘液腺癌小支气管多狭窄的堵塞的,大支气管较完好,枯枝征。
3、增强扫描很重要,增强后,结核的坏死很彻底,很少异常强化,(鳞癌也类同)。而粘液腺癌血管常显影,有时是毛糙的,整体密度偏低,哟其实纵膈窗。
4、症状,粘液腺癌白痰为主。
5、这样的结核灶,其实痰检出抗酸杆菌阳性的几率常较大。
6、结核灶周围磨玻璃少见,粘液腺癌磨玻璃影清楚。结核灶常有收缩,钙化,树丫等等。很重要,粘液腺癌分布弥漫,远处飘散的边界清楚的磨玻璃结节影有重要诊断意义。
7、形态,结核收缩,粘液腺癌局部膨胀,叶间裂有时候是膨胀下坠的。
粘液腺癌的很少见纵隔淋巴结肿大,而其他腺癌常见。
如果胸膜下有间隙,不支持肺炎型肺癌
【每周一例】20期读片讨论实录   千年老妖,千年老坑
  南边老师讲晨读:一例酷似“孔雀开屏”的腺癌
  南边讲解---干酪性肺炎与粘液腺癌的鉴别
编辑:张   玉
审核:蔡笑燕  徐   晓
病例提供:丁啸 无锡五院呼吸科
end




到顶部