【每日晨读】纵隔肿块钙化知多少


2020年1月20日晨读
您知道吗
二者区别
畸胎瘤钙化
胸腺瘤钙化












群内老师分析
大雄:考虑胸腺瘤,钙化对胸腺瘤没任何问题,可以比本病例更大,
鞘瘤,SFT这么大的钙化少见
畸胎瘤放后面,发病率太低,大数据说话。
CD强化不支持
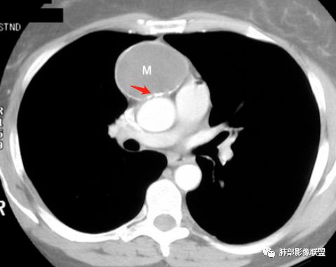
甄德强:病灶呈分叶状主体位于纵隔内,实性成分与钙化为主,钙化位于病灶中心,实性成分均匀延迟强化,考虑畸胎瘤,胸腺瘤。
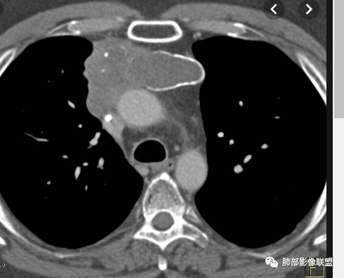
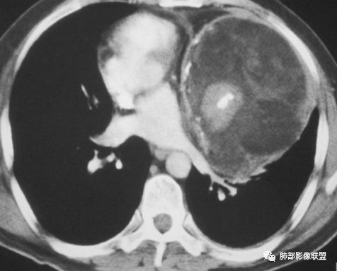
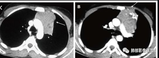
水晶石头:患者老年男性,发现皮肤粘膜黄染5天,右肺占位1天。
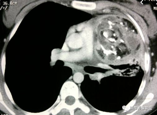
胸部CT:右肺中叶内侧段紧邻心脏实性结节,边缘光滑,边界清楚,宽基底与胸膜相连,内可见不规则钙化,钙化内见点状低密度影,增强中度强化,综合考虑良性病变。畸胎瘤可能大,鉴别胸膜孤立性纤维瘤及胸腺瘤。
王秀仙:右侧前纵隔肿块,边缘分叶,周围肺组织推移,宽基底与纵隔胸膜相连,可见胸膜尾征,密度不均,病灶中心可见斑块状钙化,右侧内乳动脉位于病灶前外侧并略增粗,实性成分明显强化,考虑纵隔畸胎瘤,鉴别胸腺瘤。
蓝天白云:定位纵隔,病灶呈实性成分,内见钙化,钙化位于病灶中心,实性成分均匀延迟强化,考虑良性病变,如果胸膜起源考虑sft,纵隔来源胸腺瘤,鉴别畸胎瘤。黄勇老师说过右侧心膈角区可以发生胸腺瘤
三个石头:前纵隔占位,不规则分叶肿块,内斑片状,点状钙化,内乳动脉增粗,肿块延迟强化。考虑良性占位,疾病谱畸胎瘤,胸腺瘤,巨淋。
晨:
右侧前纵膈肿块,边缘分叶,病灶中心可见斑块状钙化,实性成分明显持续强化,考虑胸腺瘤。
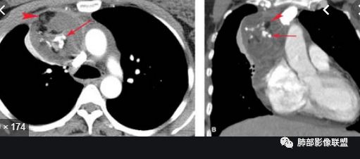
弹指之间:定位:1.非肺内来源,2.纵隔或胸膜来源;内乳动脉增粗,cor示与胸膜关系密切;
定性:特点是粗大钙化,延迟强化;首先排除畸胎瘤(无脂肪、有延迟强化);胸腺肿瘤的粗大钙化罕见;综合:SFT>胸腺瘤(高危)。
滴水海:胸膜掀起定位纵隔,明显分叶,大块钙化,中度不均强化,从钙化特点入手,可见于畸胎瘤,巨淋,胸腺瘤,类癌,结核球,软骨瘤,可能性依次递减。巨淋强化不是太高,周围无增粗血管和淋巴结。如此明显分叶,若是胸腺瘤则是B3型及以上了,但其大块钙化似乎少见,明显坏死也没看到,对周围也未见明显侵犯。上二者少见表现或许有故次之。类癌若位于纵隔一般胸腺类癌,其钙化特点见得少,增粗迂曲血管多见,不典型,若是肺内类癌则可能性增大。结核球强化又太高。软骨瘤见的极少,曾见过一例心包软骨肉/瘤,罕见
尘缘:
右前纵隔不规则肿块,分叶状,内见斑块状钙化,肺组织受压内移,胸膜抛起,胸膜下纵隔脂肪间隙不清,增强后轻度强化,右侧内乳动脉无明显增粗,定位于纵隔内,定性:畸胎瘤与胸腺瘤鉴别,形态不规则,分叶,钙化明显,右侧内乳动脉不粗,畸胎瘤可能>胸腺瘤。
冥冥之中:纵隔来源的占位,胸腺瘤跟畸胎瘤的鉴别
年龄上,胸腺瘤大于畸胎瘤

南边解析

1
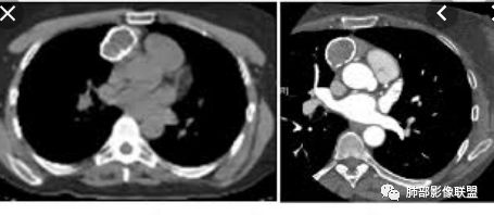
定位:肺内?肺外?
肺侧表面光滑,血管推移
胸膜增厚,朝肺侧稍掀起。


支持肺外
2
纵隔?胸膜?各有哪些病变---疾病谱
胸膜----SFT/结核
纵隔----胸腺瘤?畸胎瘤?异位甲状腺?CD?神经鞘瘤?
3
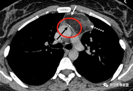
我们看一下征象 

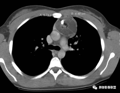
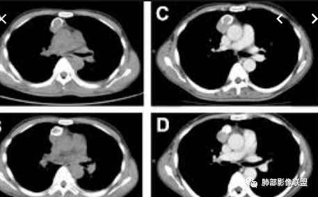
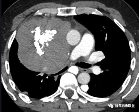
实性部分密度与肌肉类似,钙化粗大、结节状

右侧内乳动脉增粗

实性部分中度强化——增加20~27HU

深分叶,边界尚清,附近未见肿大淋巴结

这是不是胸膜尾不能确定
具体分析一下
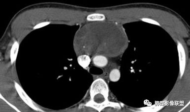
1.CD钙化不支持,一般条状短棒状为主,小结节
也有,这么大的钙化少见,分叶也太明显。
2.异位甲状腺:发病率低,强化太弱,一般来说异位甲状腺强化达100多
3.神经鞘瘤:深分叶,这么大钙化罕见
所以胸腺瘤首选,其次畸胎瘤,SFT

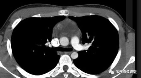
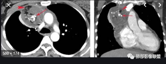
病    理:
胸腺瘤
王兆宇老师:畸胎瘤总有油脂物质密度,块状钙化少见,环状钙化多见,头结节骨化多见,畸胎瘤钙化不在中间。

吴婧老师总结
纵隔或胸膜伴钙化疾病谱(吴婧):A:异位甲状腺——最常见,甲状腺癌非常容易钙化,一般与甲状腺相连,平扫因为摄碘,CT值很高,增强后则明显增高。B:畸胎瘤——脂肪、牙齿密度可识别。一般多发年轻30岁左右,钙化特点为块状钙化少见,环状钙化多见,钙化不在中间(偏心钙化)。很少强化或轻度强化                            (王兆宇老师)C:CD透明细胞型——一般钙化为条状钙化,病灶形态通常为圆形、光滑、规则、全实性,不软所以不会见缝就钻,也不会坏死,强化非常高。D:胸腺瘤——一般30岁以后,容易钙化为A、AB、B1型,B2型以后钙化少见。钙化特点为大块状钙化、中间钙化。E:SFT——钙化会沿着胸膜的长轴生长。
F:神经鞘瘤——也会钙化,但明显少于以上疾病。G:脉管瘤——年轻人,点状静脉石。

20例畸胎瘤钙化特点



有脂肪密度畸胎瘤

有脂肪,有钙化,钙化为条状,不是块状,偏心



多在前纵隔,可跨纵隔。就是从前跨到中的比较多

















随机翻阅以上20个病例,都是畸胎瘤伴钙化的,发现只有2例钙化是团块状,且都是偏心的。其余18例钙化都是颗粒状、条状和包膜弧形钙化。有9例是多发钙化,且比较散,不聚集。总之,比较少会出现单发中心性的团块钙化。20例均没有,虽然样本少,但是均符合王兆宇老师说的规律。
第一种是弧形钙化,是囊性畸胎瘤的弧形钙化。 
第二种条状钙化可能是血管钙化,脉管钙化。
第三种团块状或一颗颗的可能是牙齿,一般都不会太大,而且比较散在。

胸腺瘤钙化
















大部分钙化还是包膜钙化和条状,结节状钙化,团块状钙化也比较少。位置中央,周围都可以。
编辑:闫美利
审核:蔡笑燕  徐  晓
病例提供者:山东 邹平市人民医院 徐同辉



到顶部