【每日晨读】妖魔合体---你想不到的肉瘤样癌



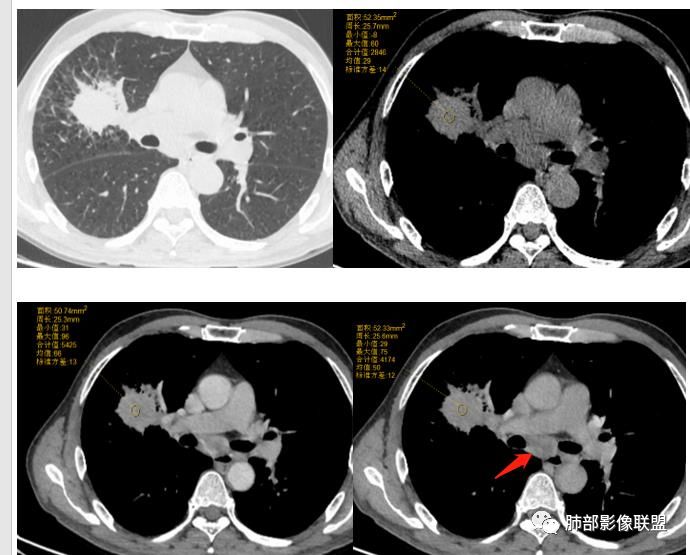
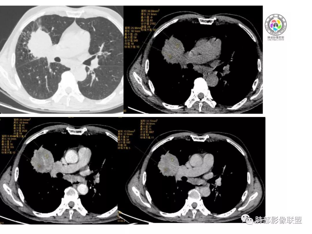
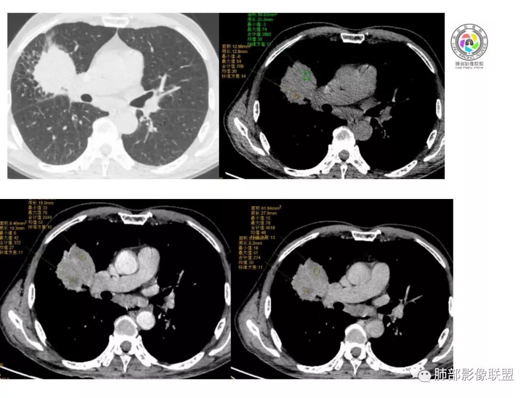
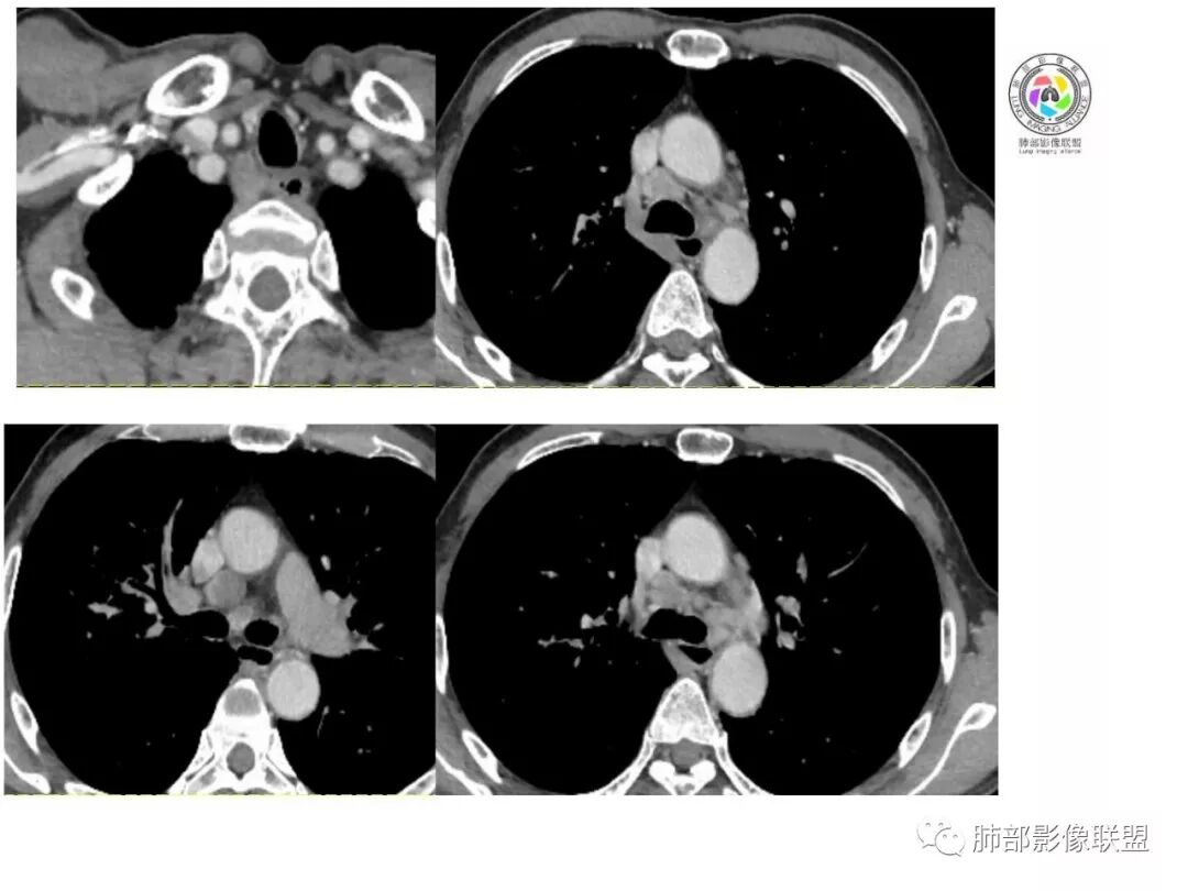
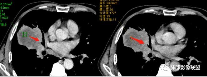
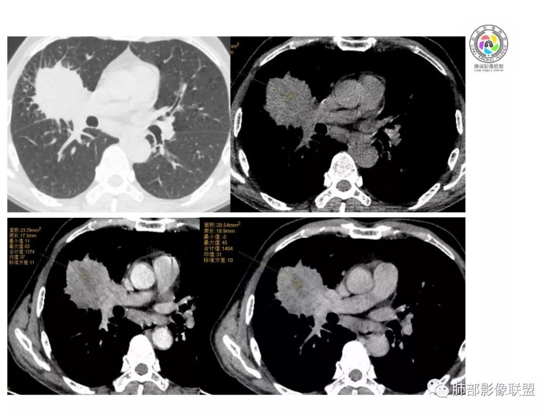
病例资料



























微信群讨论

甄德强:
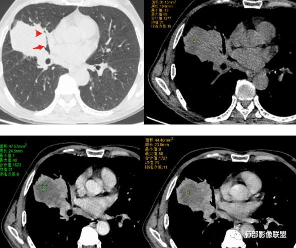
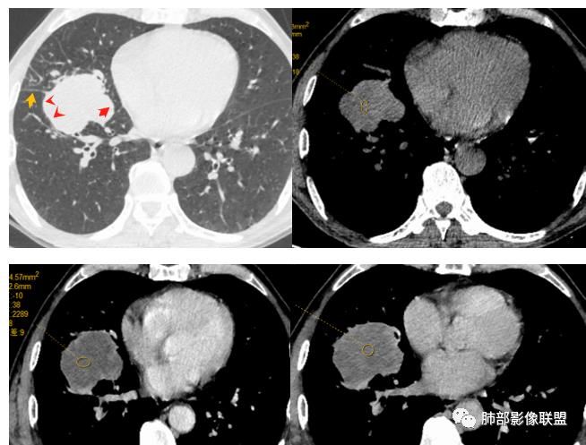
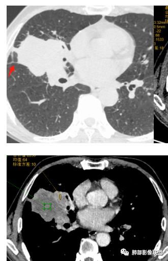
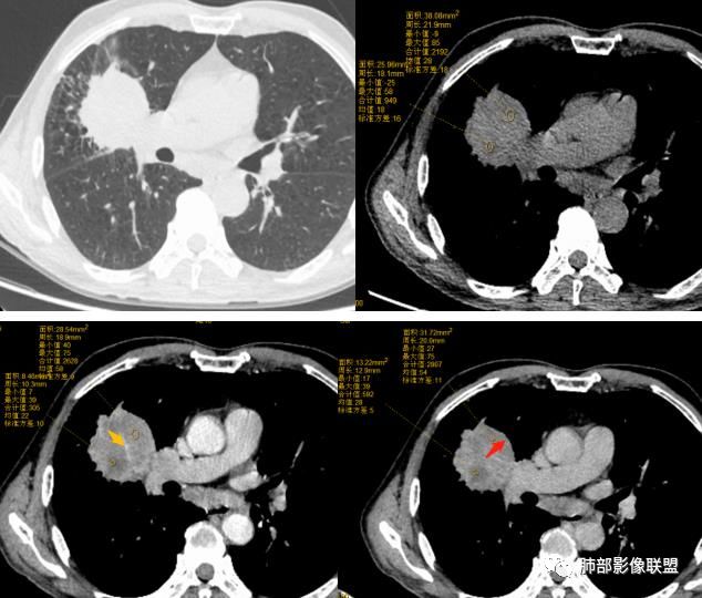
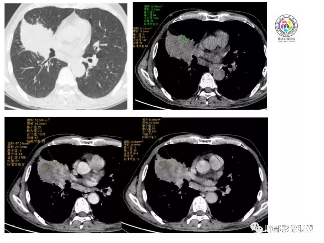
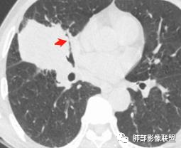
右肺巨大肿块,跨叶生长,其内见大片状坏死,坏死边界不清,血管进入,边缘受侵,病灶边缘可见毛刺及分叶,病灶强化方式速升速降,纵隔内见坏死强化淋巴结,周围肺叶小叶间隔结节样增厚,考虑恶性腺癌并淋巴结转移及癌性淋巴管炎,鉴别肉瘤。
秦化君:
右肺中叶可见类圆形软组织密度肿块影,右肺中叶外侧段支气管狭窄截断。肿块密度不均,边缘毛燥不规则,可见毛刺。远侧肺内可见网格条索影。增强后可见不均匀强化。纵隔淋巴结肿大,部分融合。考虑右肺恶性病变,鳞癌>腺癌,并纵隔淋巴结转移。
晕晕菜:
患者中老年男性,体检发现肺部占位。
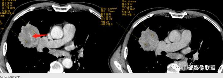
胸CT:右肺中叶实性占位性病变,呈膨胀性生长,对斜裂明显挤压,右肺中叶外侧段阻塞,并在边缘可见分叶、毛刺、棘突样改变,胸膜牵拉;增强可见病灶明显强化,可见边缘模糊血管影,病灶内可见大片状低密度区,隆突下可见肿大淋巴结。
诊断考虑:恶性病变。
没意见:
右肺巨大肿块,横跨上中下三叶,主体在中叶,外侧段近端支气管截断,膨隆分叶,毛刺,网格,淋巴结大,不均匀强化,湖泊样坏死,考虑恶性,低分化鳞癌>腺
市医院--时建文:
右肺肿块,横跨上中下三叶,主体在中叶,外侧段近端支气管截断,膨隆分叶,毛刺,网格,淋巴结大,不均匀强化,有坏死,鳞癌?
采莲:
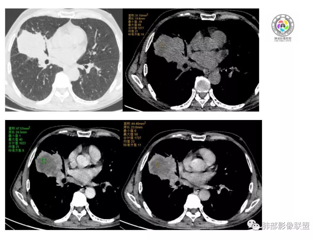
老年男性,查体发现,右肺上叶中叶巨大肿块,有分叶,周围有条索影,支气管受压推移,内有大片及小灶坏死,坏死边界有的清楚有的不清,周围明显强化,纵隔有肿大淋巴结,跨叶生长,考虑恶性,腺癌或肉瘤样癌
三生石上:
右肺中叶可见类圆形软组织密度肿块影,支气管狭窄截断。肿块密度不均,边缘毛燥不规则,可见毛刺。增强后可见不均匀强化。纵隔淋巴结肿大,部分融合。考虑右肺恶性病变,鳞癌?
薏米:
老年男性,右肺上叶可见一团块影,边界清,有膨隆,有凹陷,棘突,有分叶,密度不均匀,周边可见癌性淋巴管炎,跨叶裂,支气管阻塞?受压?狭窄,纵隔淋巴结肿大,考虑恶性,腺癌可能
崇军:
右肺跨上叶与中叶一实性肿块影,中叶外侧段支气管堵塞,肿块有明显分叶、毛刺、棘突样改变,胸膜牵拉,周围有小花小草;增强可见病灶明显强化,病灶内可见大片状低密度区,以外侧为主,隆突下可见肿大淋巴结,恶性,考虑鳞癌可能。
飞鹰行动:
老年人,右肺上叶软组织肿块,边界清晰,有浅分叶,右肺上叶支气管受阻,增强后病灶边缘强化,内部似有延迟强化,内见血管造影征,其血管边缘毛糙,纵隔可见增大淋巴结,考虑恶性肿瘤,无明显阻塞性肺炎和不张,考虑腺癌或腺鳞癌伴纵隔淋巴结转移
荷塘月色:
老年男性,体检发现右肺巨大肿块,右肺跨叶生长,可见支气管截断,边缘见分叶,毛刺,右肺支气管不通,增强后边缘强化,内部示大片低密度坏死区,边界不清,周围肺组织小叶间隔增厚,纵隔见多发肿大淋巴结。考虑为恶性并淋巴结转移。
一切∮随缘:
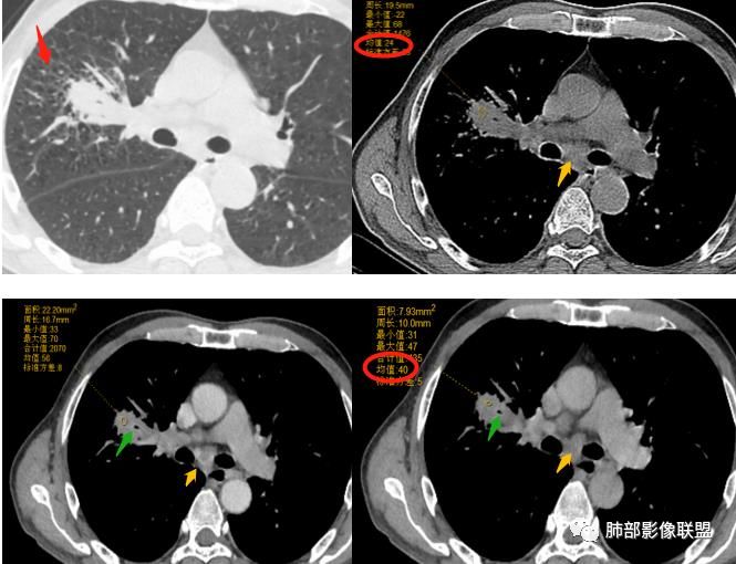
右肺肺门肿块,自肺门向外延伸,外大内小,肿块呈长条状,平行支气管,近段支气管不规则堵塞,支气管无扩张壁无增厚,平扫密度均匀,增强后可见不规则坏死,病灶跨叶裂生长,纵隔淋巴结肿大,中老年男性,体检发现,无症状,考虑:恶性鳞癌,鉴别结核
欧阳英:
老年男性,右肺跨裂生长团块灶,边缘浅分叶,内不均匀强化,无强化坏死区较多,可见支气管截断,周围阻塞性炎症,考虑恶性肿瘤可能,慢性肺脓肿待排
 蕊:
老年男性,右肺不规则跨叶肿块,有分叶,相邻支气管阻断,强化不均有低密度坏死区,坏死区边界较清,类似湖泊样,内见血管穿行,造影征,病灶远端可能有阻塞性炎症,总体考虑鳞癌。
水晶石头:
患者中老年男性,体检发现右肺占位。血常规轻度贫血,AFP、CEA正常,肝肾功能、血糖、血脂、心肌酶、电解质正常。胸部CT:右肺中叶巨大肿块灶,垮叶生长,可见分叶、毛刺、血管集束、支气管截断征象,远端周围可见小叶间隔增厚,增强轻度强化,内可见低密度坏死区,综合淋巴结肿大,且可见淋巴结内似低密度灶。综合考虑恶性,鳞癌并癌性淋巴管炎可能大。鉴别结核、腺癌。
流心明智:
患者中老年男性,体检发现肺部占位。
胸CT:右肺中叶团块样实性占位,边缘膨隆,中叶外侧段阻塞,病灶可见深分叶、棘突,胸膜牵拉;增强不均匀强化,可见边缘模糊血管影,病灶内大片状低密度区,纵隔多发肿大淋巴结。
诊断考虑:恶性病变,鳞?大细胞?鉴别:TB
Yiren  Sishui(厶水伊人):
右肺中叶巨大肿块,外侧段近端支气管截断,横跨上中下三叶,主体在中叶,膨隆分叶,毛刺,网格,淋巴结大,不均匀强化,伴阻塞性肺炎及肺不张,湖泊样坏死,考虑恶性,鳞癌可能性较大
王秀仙:
右肺上叶肿块,跨叶生长,分叶,支气管截断,周围支气管受压推移,内有大片坏死,周围小叶间隔增厚,纵隔淋巴结肿大,明显强化,考虑肉瘤样癌。鉴别腺鳞癌。
张小兵:
病灶主体位于右肺中叶,跨上、下叶,分叶毛刺,外侧段支气管堵塞,大片坏死,边界不清,内见血管进入,增强快进快出,纵隔淋巴结肿大,小叶间隔增厚,恶性,腺癌或肉瘤样癌可能。
Lenle董:
右肺门旁肿块,形态不规则,跨叶生长,近段支气管不规则堵塞,支气管局部增厚,密度欠均匀,增强后可见不规则坏死,纵隔淋巴结肿大,中老年男性,体检发现,考虑:恶性鳞癌
初学者:
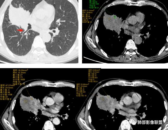
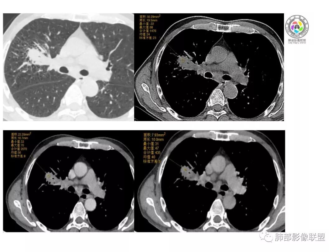
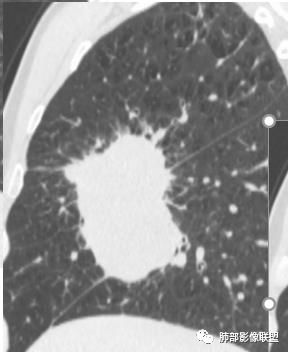
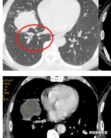
这一片病灶是右肺上叶,里面可以看的支气管走进去,然后纵隔淋巴结肿大,增强后有中度强化

首先临床资料没有特别提示。影像上首先背景是肺气肿背景,这个是肺癌的危险因素。
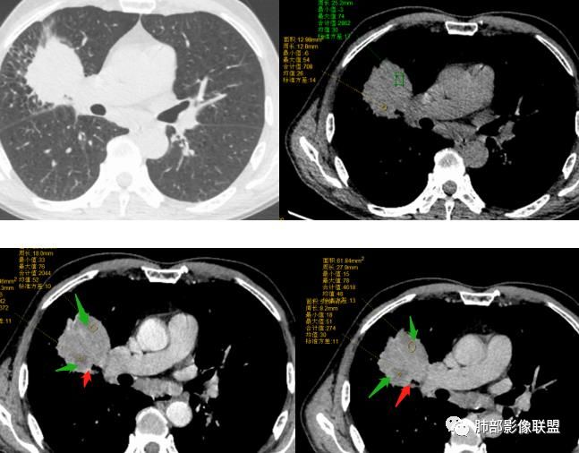
淋巴结肿大,且坏死,不均强化

病灶内不均匀强化。支气管堵塞

边缘膨隆。内血管毛糙纤细

中叶支气管堵塞,但是也有推移

跨叶,累及三个叶



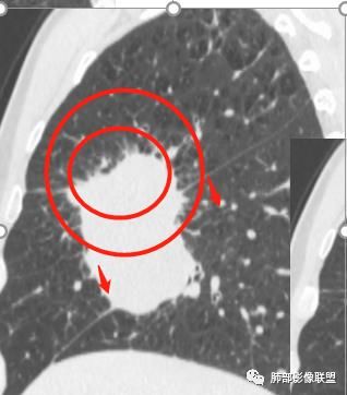
下叶比较小,应该上往下突的,而且是直角突下来。不是像沿着是慢慢的,这个是直接下来

初学者:
两种情况,第一是叶间裂这个地方正好缺如发育不好,第二是恶性肿瘤直接侵犯,这个显然是后者
周围小毛刺

小叶间隔增厚?

小赵:
结节感明显
初学者:
非常认同大家恶性应该是没有问题
孙海峰:
@吴婧南京市第一医院?吴老师 上叶部分有毛刺,中叶下叶部分有没有毛刺
小赵:
吴老师,这个是外朝内吗?
初学者:
找一下支气管,
上叶支气管没有找到,是没有给还是真的堵了


小赵:
支气管有阻塞有推挤
初学者:
中叶支气管还再,推移加堵塞,但是推移为主,我觉得肯定不是中叶的中央起源

下叶也都在

初学者:
我现在想知道上叶支气管是全部堵了还是没有给都图片。如是没有堵塞,就是外向内的腺癌或间叶来源,如果上叶堵了,就不一样
因为中叶和下叶支气管没有堵塞为主,是外向内的迹象,现在我就是上叶图片的问题
尖,一个是中叶,一个是后叶背段

前?

尘缘:
这个定病理类型有点难度啊,还是按临床常规来处理,我考虑恶性就行了。
甄德强:
我也是看到支气管似乎没有堵塞,除外鳞癌
初学者:
图片还不够全
外侧段是推移为主

不倾城不可爱:
@吴婧南京市第一医院?怎么分辨是叶间胸膜发育不全,还是肿瘤侵犯?
Coke with ice:
除了鳞癌,大细胞像不像?
毛勤香:
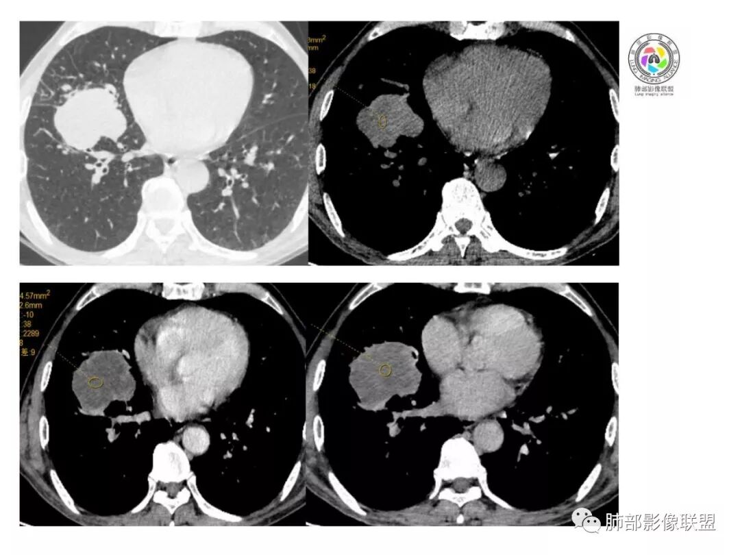
右肺近肺门区跨叶肿块,支气管受压,局部闭塞,肿块分叶毛刺,有较多坏死,局部突入支气管管腔,癌淋,外朝内生长,多发淋巴结肿大,考虑恶性,癌肉瘤?腺癌?腺鳞癌?
小赵:
感觉这例好像叶裂发育不良和肿瘤侵犯突破都有
一米阳光:
老年男性,体检发现。
右肺中叶肿块影,向上向下侵犯叶间裂,边缘膨隆,分叶,毛刺。肿块内部密度不均,大片坏死。血管走形尚可。中叶支气管狭窄截断。增强不均匀强化。纵隔淋巴结肿大,部分融合。
考虑恶性,腺癌>鳞癌。鉴别炎肌母。
毛勤香:
跨叶的腺癌多见,这个坏死又多
初学者:
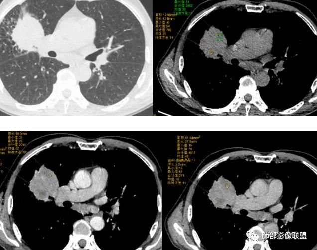
我有一个疑问,这个病灶一开始到底起源于哪一个叶?


初学者:
可以看到斜裂一侧往上一侧往下,那么就是说病灶应该是起源中叶,往上,往下侵犯这样
是这样吗?
尘缘:
@吴婧南京市第一医院 主体应该还是中叶
曹志勇:
有没有可能是胸膜的
初学者:

Coke with ice:
外侧段截断了
尘缘:
往下叶这个地方是突然就鼓出来了,这个地方还是应该叶裂缺限。
初学者:
如是上叶的,叶间裂的方向应该是往一侧压得

尘缘:
不是上叶
初学者:
只有这个位置起源得才能做到,将叶间裂上下往不同方向推
尘缘:
斜裂向下推移了,水平裂向上推移了。
初学者:

初学者:
堵塞得不适外侧段,是内侧段
蔡笑燕 :
老年男性,右肺巨大肿块,跨叶生长,见大片状坏死,坏死边界部分清楚,见棘状突起、毛刺及分叶,支气管截断,纵隔内见坏死强化淋巴结,周围肺叶小叶间隔结节样增厚,考虑恶性,腺癌?肉瘤样癌?并淋巴结转移及癌性淋巴管炎
尘缘:

清嘉:
晨读:右中为主肿块,跨叶,右中叶外侧支闭塞,病灶有坏死,远侧少许小叶间隔增厚,考虑恶性,腺癌大于鳞癌。结合有无吸烟史
尘缘:
@吴婧南京市第一医院 这个从影像表现,坏死情况,以及叶裂推移情况与支气管推移情况来看,还是支持中叶间质来源,外朝内生长,同时向上,向下,向内都有推移作用。
初学者:
是。中叶内侧段堵塞,鳞癌?
尘缘:
不像鳞癌的堵塞。
Coke with ice:
外朝内和鳞癌是矛盾的。
初学者:
有道理,支气管堵塞和巨大肿瘤的不匹配,不像鳞癌这一点
Coke with ice:
这么大个,这样坏死的,支气管是这样堵塞的,还有强化明显的地方,说实话我第一反应是大细胞
张涛:
这个要和结核鉴别吗
尘缘:
具体的病理类型,把握真的不大,所以我也不勉强,如果非要猜一下的话,整个符合外朝内生长的肿瘤,所以我把肉瘤或肉瘤样癌排前面,低分化腺放后面,鳞癌可能性不大(生长位置不对,支气管堵塞情况不支持,纵隔内淋巴结肿大也不符合鳞)
Coke with ice:
这个病灶和淋巴结太恐怖了,实在不敢定良性,所以结核就没考虑。
尘缘:
@张涛 广德市人民医院影像科 需要和结核鉴别,结核是妖,但是可能性应该不大。
南边:
鼠尾状狭窄
1、定位2、外朝内?内朝外?

尘缘:
外朝内
Coke with ice:
外朝内
时建文:
外朝内
尘缘:

南边:


时建文:
右肺中叶大部分病灶
南边:
下半段斜裂推移朝下

水平裂推移朝上

定在中叶应该没问题
深分叶

尘缘:
是的,中叶基本肯定。
宇宙星空:
嗯,主体在中叶
大雄:
跨叶
南边:



尘缘:
上叶应该是侵犯,下叶应该是叶裂漏出来的。
南边:
病灶大,支气管受压、堵塞——提示外围来源,恶性
初学者:
这个支气管也是有移位的感觉
三个石头:
外朝内?
南边:
特别是远端物阻塞性改变,也支持外围来源
孙老师,有冠状位吗
我想看看病灶的整体,应该是紧贴水平裂
尘缘:
@吴婧南京市第一医院 有啊,刚才分析就说了,向内上方推移的。
初学者:
两个支气管都是移位

南边:
坏死边界不清

南边:
常规考虑肉瘤、鳞癌、癌肉瘤之类
初学者:
外向内。然后呢
腺癌也是外向内
宇宙星空:
受压受侵吧水平裂

南边:
腺癌这样的比较罕见
初学者:
还有癌淋,低分化腺癌可以这样吧
南边:
应该是侵犯到上叶了

孙海峰:
@南边?潘老师 上叶部分,分叶,毛刺及癌淋怎么解析
尘缘:
低分化腺癌可以这样,肉瘤或肉瘤样癌也可以这样
鳞癌这样可能性不大,除非是腺鳞癌。
初学者:
肉瘤样癌也是可以
南边:
恶性病灶应该没问题
初学者:
但是低分化腺也无法排除
南大说的很有道理,外向内,鳞癌可能性小了
良孑:
老年男性,右肺肿块,有分叶及尖角征,远端有阻塞性肺炎,并可见癌性淋巴管炎,内有湖泊样坏死,延迟强化,内有受累血管影,纵隔内淋巴结肿大,定性恶性,综和考虑腺鳞癌或低分化腺癌,其次鳞癌

  病理结果
宇宙星空:

尘缘:

初学者:
对,有血管走形
尘缘:
这个血管在病灶中间走行。鳞癌不会这样的。
初学者:
是两个病灶连到一起了,还是一个病灶两个成分?
南边:
我认为还是一个
01
肺肉瘤样癌
    肺肉瘤样癌(PSC)是为高度恶性的非小细胞癌,包括一组分化差的伴有肉瘤样分化或肉瘤成分NSCLC,2004版WHO肺肿瘤分类中PSC包括5肿亚型:多形性癌、梭形细胞癌、巨细胞癌、癌肉瘤和肺母细胞瘤,组织学具有高度异质性;2015版将多形性癌、梭形细胞癌、巨细胞癌归于一个章节,癌肉瘤和肺母细胞瘤各归为独立章节;PSC组织学上一般均有上皮和肉瘤样间质两种成分,并常以肉瘤样成份占优势,其中癌成分多为鳞癌或腺癌,标本内含有50%以上的肉瘤样组织才能诊断为PSC,否则应诊断为癌,诊断依赖于病理检查。
        
02
肺肉瘤样临床表现
      常见于60岁以上的老年男性,多有重度吸烟史;该病具有高度侵袭性,进展快,预后差,肿瘤倍增时间短,易发生淋巴结及血行转移;临床症状与肿瘤发生部位有关,周围型病人多无症状,发现较晚,较易侵犯胸膜及胸壁而引起胸痛或合并胸腔积液;中央型病人可造成阻塞性肺炎、肺不张,引起咳嗽、咯血等。
03
肺肉瘤样癌影像表现
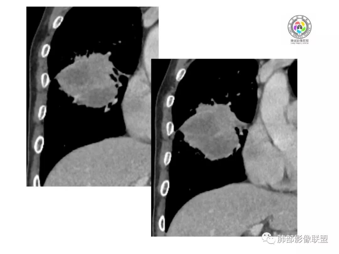
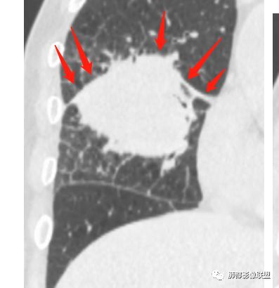
   影像表现缺乏特异性,CT最常见的表现是位于周围肺野的实质性肿块,病变部位以上叶多见,常位于胸膜下;
    因为病灶有上皮成分和间叶成分,所以兼具肺癌和肺肉瘤的影像学特征,
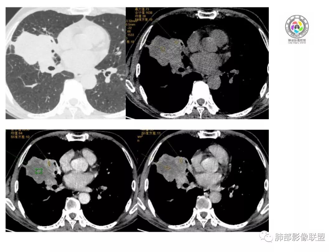
1.具有肉瘤的特性:肿瘤体积一般较大,直径约大于5cm,边缘清楚、光整,由于肿瘤生长迅速,可见大片坏死,坏死边界清楚;常见支气管推移。
2.具有癌些特性:如分叶、短毛刺、空洞,但是钙化及胸膜凹陷征少见,病灶往往是直接侵犯胸膜,可以远处转移,肺门及纵隔淋巴结可明显肿大;  
3.强化方式:增强后病灶以环状强化为主,病灶周边多以癌组织为主,血供丰富,病灶中心区则以肉瘤成分为主,血供较差,易出现粘液样变性、坏死、出血,坏死边界清楚,所以增强CT对PSC与普通型肺癌有一定的鉴别价值。
(中央型PSC肿块常位于肺门处,肿块多较大,边界较光整,伴有阻塞性肺炎或肺不张,与常见类型肺癌不易鉴别。)
     
     
                                       
病例小结
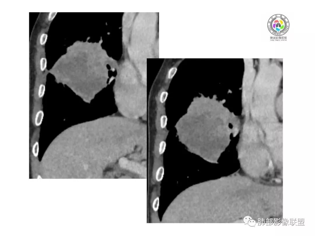
1.本病例结合病理结果及影像综合分析,应该符合肉瘤样癌,上皮成分是腺癌为主;肿块的边缘毛刺、分叶及周围癌型淋巴管炎征象有符合腺癌的影像表现之处。
2.肿块巨大局部边缘膨隆、光整,坏死较彻底;明显跨叶生长(途经发育不全叶间裂或肺门,注意患者没有胸水),支气管阻塞伴推移等,这些更符合肉瘤的特性。
3.坏死区边界较清楚(皮囊样),环形强化明显,病灶内血管穿行等,都不符合我们常见的鳞癌。
4.肺肉瘤虽然也是肿块巨大,呈大片状坏死,但是边缘光整圆隆,没有分叶、毛刺征象,较少出现肺门及纵隔淋巴结转移。

编辑:张玉
审核:蔡笑燕  徐  晓
病例提供:漳州市医院影像科 孙海峰



到顶部