【每日晨读】诡异的左肺包块


                              2020年1月07日晨读
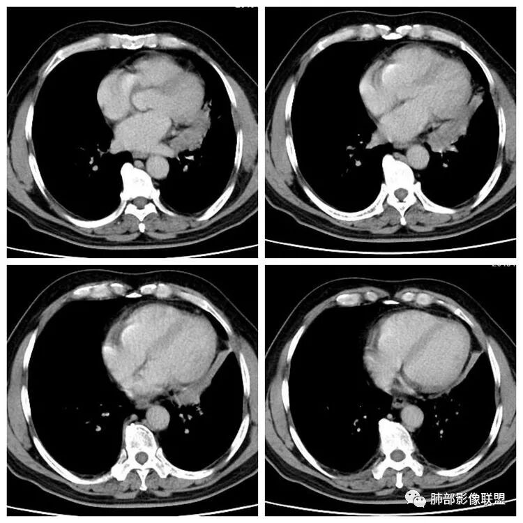
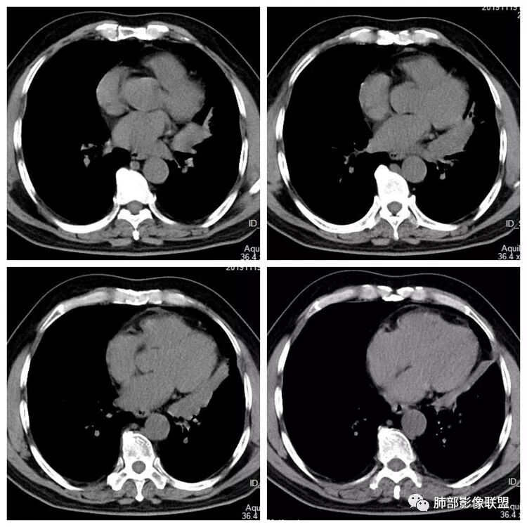
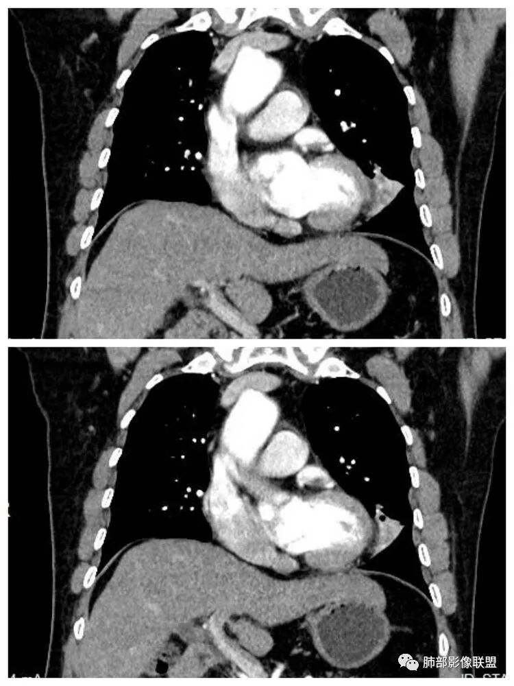
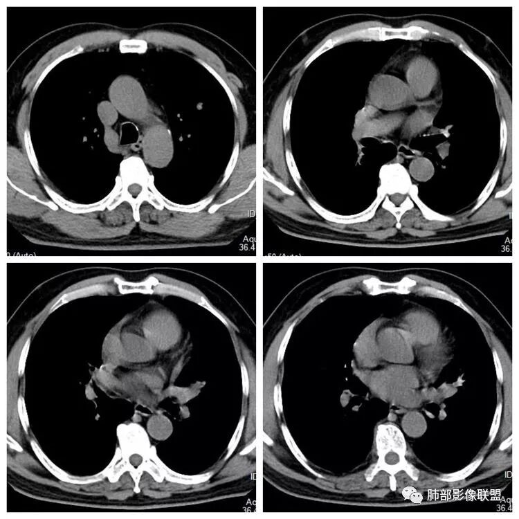
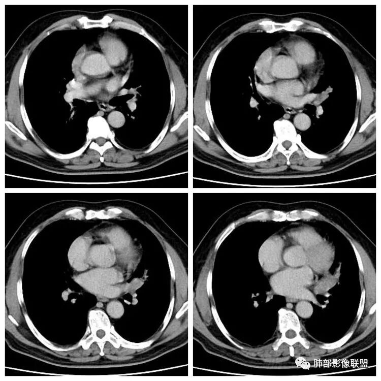
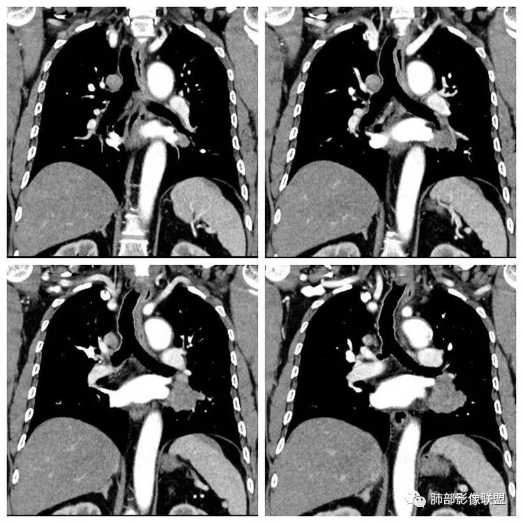
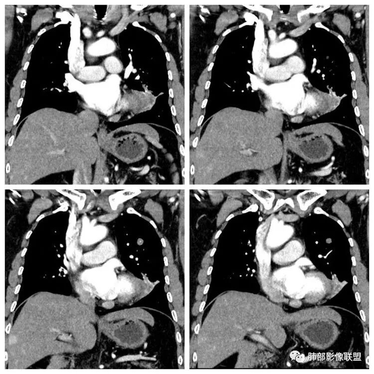
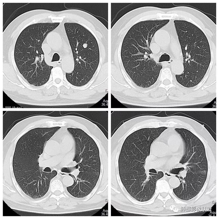
患者,男 ,66岁, “左肺占位”收住院。CEA   5.23 轻度增高
















平扫 动脉期 静脉期  40HU、48HU、57HU
相关视频
大雄:
左下叶内前基底段实性占位堵塞支气管,强化较弱,考虑肺癌可能 ,小细胞?腺癌?
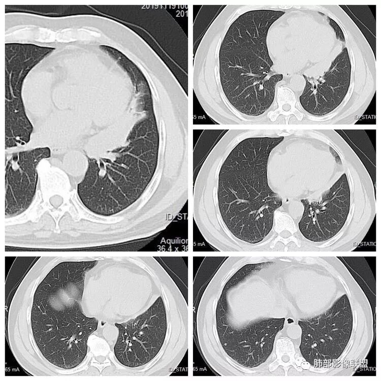
肺内其他小结节,需怀疑转移可能
水晶石头:
患者老年男性,“左肺占位”收入住院。查CEA轻度升高。胸部CT:左肺肺门占位并左肺下叶阻塞性,远端肺组织膨胀不全,增强可见轻度强化,内似见低密度灶。双肺多发类圆形结节,以左肺上叶尖后段为大,内可见部分钙化,边缘光滑、清楚。综合考虑恶性病变,鳞癌并转移可能大,鉴别腺癌、结核。
流心明智:
男性,66岁,发現左肺占位。CEA轻度升高。
胸CT:左下叶内前基底段肿块,支气管堵塞,强化弱,延迟强化,两肺多处结节,右上肺门淋巴结大。常规考虑:肺癌可能 ,肺内小结节,转移?鉴别:错构瘤,TB等。
飞鹰行动:
左肺下叶占位,左肺下叶前内支气管阻塞可疑(缺乏薄层),病灶有膨胀性,远端较内侧细,增强病灶强化不明显——乏血供病灶,病灶沿支气管生长,考虑恶性病变,左肺上叶可见小结节病灶,边缘光滑清晰,考虑转移瘤,综上所述考虑恶性病变,左肺下叶小细胞类癌可能,左肺上叶转移。
尘缘:
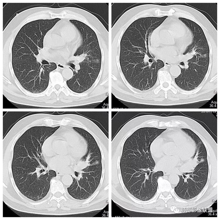
左上肺光滑圆形结节,内有钙化,密度不均,错构瘤;
左肺下叶结节支气管进入截断,远端肺不张,增强后坏死不均匀,肺癌明显,至于病理类型,鳞癌,小细胞,腺癌都有支持和不支持的地方,个人倾向于鳞癌可能,理由,纵隔淋巴结肿大不明显,远端阻塞性不张,支持小细胞的地方,坏死呈沼泽样,但纵隔无明显淋巴结肿大及冰冻表现。腺癌这种表现一般为低分化腺癌,但远端阻塞性不张及纵隔无明显淋巴结肿大不支持。


初学者:
支气管堵塞,那我考虑鳞癌吧,另外一个转移?
1.主病灶明显堵塞支气管,我觉得如果结核爬行,应该是外向内爬,这个我觉得是内向外堵塞,而且爬行的结核一般是肉芽肿,不是坏死,增强不会这么低,这个密度和强化比较符合一个坏死。最重要鉴别,结核的爬行是外向内,周围有树丫。这个是内向外,支气管堵塞且坏死明显,外周的堵塞性肺不张,没有树丫,所以主病灶考虑内向外,故结核爬行不太符合。而中央型腺癌不是没有,而是少,加上坏死这么明显,淋巴结转移不明显,故猜测鳞癌或者唾液腺肿瘤可能性比较大,因为后者也是支气管中央起源,强化比较弱的。腺癌和小细胞不太典型,类癌可以表现为支气管粘液栓,但是强化不够。
2.病灶在平扫时似乎软骨在病灶外,提示病灶位于支气管内?这个可以仔细观察一下。
3.至于那个结节。是否一元不太好说。给的不是薄层似乎,强化没有说。目测是一个比较光滑的病变,有微分叶。那套路就是判断与支气管血管关系看看。血管关系很重要,错构瘤是推移,psp是贴边,转移应该会有血供,血管会增粗,这个需要细节。孤立结节疾病谱有错构瘤,psp,肺本身另外一个肺癌,转移,结核球。也可以从这个病灶入手
初学者:这个结节里面点状高密度究竟是血管还是钙化,视频看不清楚,大家可以讨论一下。很有帮助下面这个图可以看到病灶整体有彭隆以及强化不均血管如果给我重建一下就好了,如中央钙化,强化弱,又血管推移,边缘这么光滑的又钙化,一般概率上良性的错构瘤最多,转移保险起见要排一排。

初学者:
这个人有其他地方肿瘤吗,比如骨,软骨,甲状腺,生殖系统腺的肿瘤。
崔刚:
@吴婧南京市第一医院 晨读病例接着分析分析,病灶伴钙化,如果转移瘤,来源哪里。
初学者:
骨,软骨和其他部分腺癌;机制就是骨头,软骨还有腺癌分泌的粘液容易钙化。肺内也一样初学者:因为我见过这种转移,留了一个心眼,肾癌见过支气管内转移的,一般强化高,肠癌见过支气管转移的,一般强化低,可以的。
病例结果:2年前直肠癌根治术后改变,中分化腺癌,支气管镜检:转移性腺癌。
病例小结:
1.定位:左肺块影同时累及下舌段及下叶内基底段且相互延续。病灶跨叶,或存在叶裂发育异常,或者说就是病灶的肺门蔓延。
2.病灶前上部分与舌段支气管相关且形成阻塞。
3.左肺上叶另见孤立结节影,边界清楚光整,中央钙化,未见脂质密度特征。
4.增强扫描左肺门区块影轻度强化,强化程度轻于舌段周围不张肺组织。
左肺上叶孤立小结节影未见异常强化。
5.双肺门及纵隔未见明确增大淋巴结。
6.分析:男性患者,左肺门区块状影,支气管阻塞,强化不显著,未见淋巴结肿大,更多见于肺鳞癌。难以解释的是下肺病灶的生长方式。
沿肺门或是叶裂缺损孤立发生且蔓延,转移性腺癌似乎可以解释,但占据较大支气管腔就属罕见了。
本例很难首先怀疑转移灶。
7.左肺上叶孤立小结节影中央钙化可见于肠道肿瘤,但更多见于错构瘤,或是结核球。
编辑:周乔友
审核:蔡笑燕  徐   晓
病例提供:邢台医专第二附属医院  崔刚



到顶部