【每日晨读】千万“云朵”肺内飘 诧异影像现妖娆
















                                         


群内讨论
群锋:
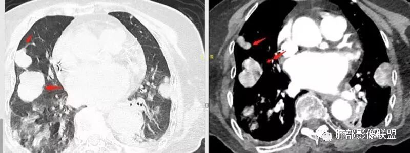
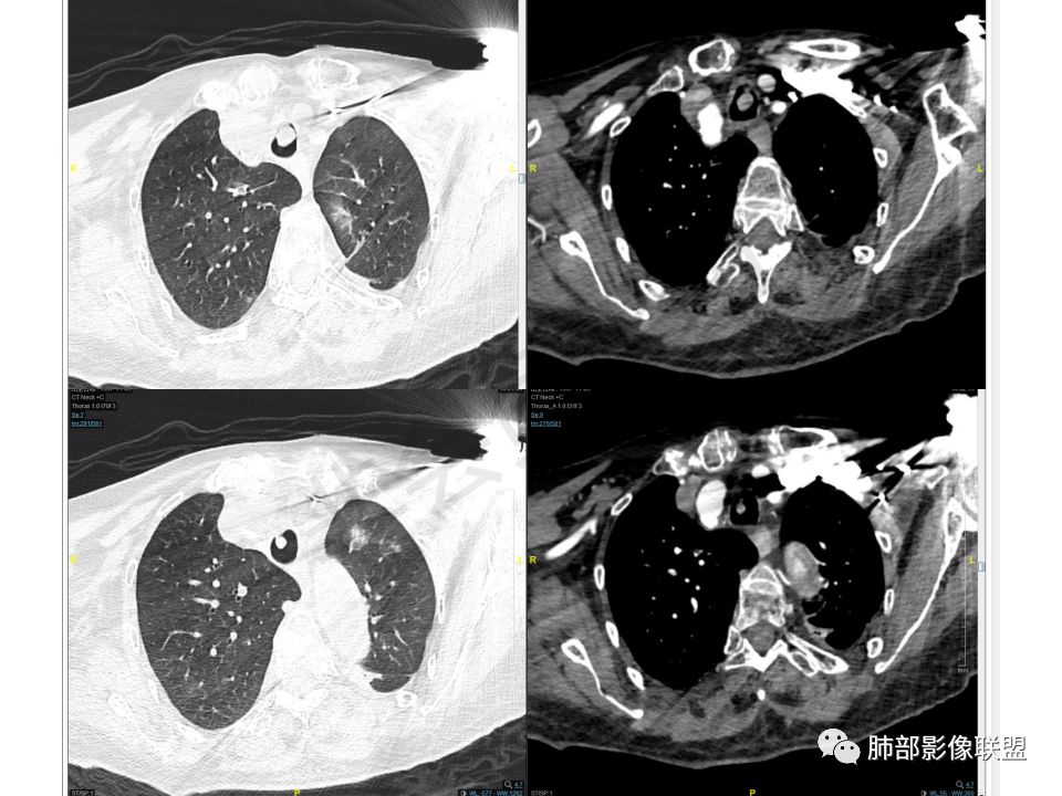
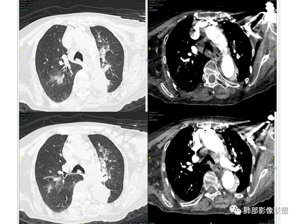
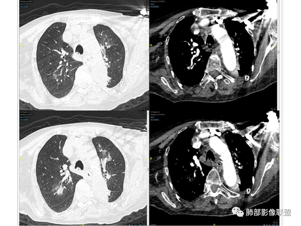
老年女性,两肺多发球形结节,边缘光滑,部分位于胸膜下,纵隔淋巴结肿大不明显,胸水少量,增强后强化明显,考虑转移,肉瘤转移的可能,补充下病史。气管内新生物,是不是二元,息肉或肿瘤
徐飞:
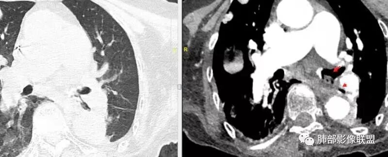
老年女性,间断咯血两年。影像:气管内带蒂结节,边缘光滑明显强化。左肺下叶背段支气管截断,远端不张。两肺散在大小不等结节及磨玻璃影,明显强化,磨玻璃影考虑合并出血可能。纵隔多发淋巴结肿大,两侧支气管受压。综合考虑:肺癌伴两肺转移。原发气管结节还是左肺下叶背段?腺样囊性癌?类癌?
大雄:
晨读
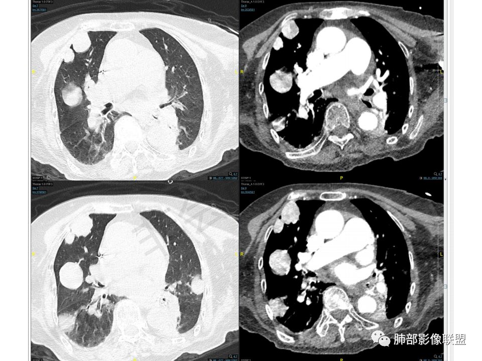
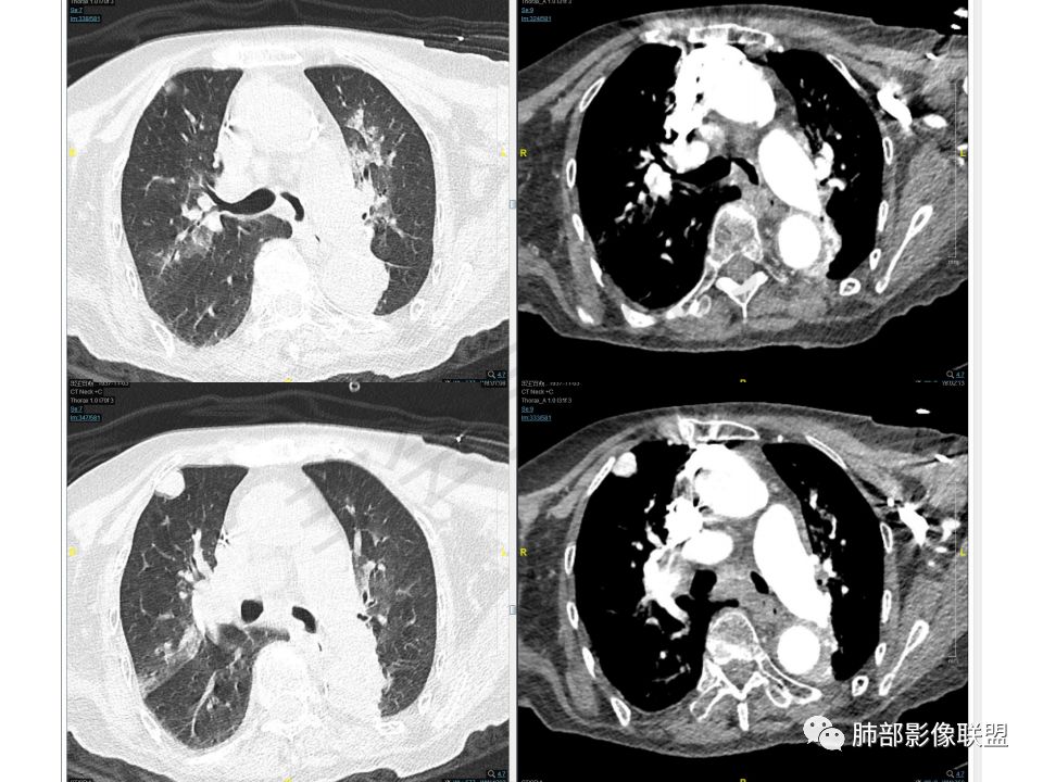
气管占位,两肺多发肿块,左下肺不张。
恶性肿瘤肯定
气管占位与肺内肿块血供异常丰富,接近大动脉强化,可以考虑同源
而血供丰富的转移瘤不多,常见于甲状腺癌,肾透明细胞癌,肉瘤及少数腺癌。没给平扫,不知道有没有钙化,钙化常见于甲状腺癌及成骨类的肉瘤。
市医院--时建文:
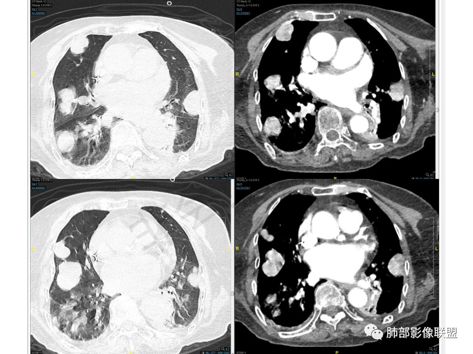
老年女性,慢性病程。两肺多发类圆形结节、肿块,边缘光滑,胸膜下分布为主,显著强化,考虑转移瘤。气管内肿块,边缘光整,强化方式与肺内肿块一致,一元考虑气管肉瘤并双肺转移。
一切∮随缘:
晨读:
     主支气管上段及中下段分叉内结节,部分气管壁间隙可见,明显强化,和双肺多发结节强化差异不大,考虑转移?。
      双肺多发大小不等结块,边缘光滑,随机分布,部分融合,密度不均匀,增强后可见不均匀明显强化(富血供),肺门及纵隔淋巴结肿大融合,老年女性,综合考虑转移瘤,建议查全身脏器,必要时Pet-CT, 鉴别小细胞肺癌。
大宝儿.蕊:
老年女性,气管腔内占位,左肺下叶阻塞性炎症伴不张,腔外病灶大于腔内,左肺门血管包埋,外缘欠光滑,似有冰山征。纵隔淋巴结,双肺多发富血供团块样转移结节。
一元论考虑肺恶性肿瘤,双肺转移瘤。
类癌支气管动脉供血,可以富血供,但易累及淋巴结和血管。
癌肉瘤可以出现明显团块样富血供转移。
具体病理类型听各位老师分析。
如意:
有几个问题需要补充说明:
1、患者入院后的三大常规,生化系列,肿瘤指标,风湿免疫检查均正常
2、影像视频如下:
THINKER:
老年女性,病史2年,以咯血丶贫血为主,CT:气管内带蒂肿物丶双肺多发球型团块与结节,明显强化丶程度一致,故考虑同源,富血供。纵隔7组淋巴结肿大,脂肪间隙不清。
整体考虑:低度恶性,平滑肌瘤丶肉瘤肺转移
右房金属物,可能房颤起搏器
甄德强:
这个病灶十年前就有考虑啥
Shelia??:
气管黏膜下肿块,气管软骨完整,增强后明显强化!双肺多发结节肿块,明显强化,边缘光整,与气管强化相仿,考虑同源,均考虑转移,老年女性,富血供转移,软组织肉瘤?甲状腺癌?
Coke with ice:
之前碰见过一例肾透明的肺内转移,强化也是很明显,几年的随访也没有变化。强化这么明显的多发病灶,没有增粗的供血和引流血管,不考虑AVM。如果先天发育所致,还想到的就是毛细血管扩张症,强化程度达不到,病变位置也不对。病灶随机分布,大小不等,考虑血播,首先考虑到的是转移瘤,倾向于气管原发,类癌?
尘缘:
晨读:老年女性,间断咯血2年,呼吸困难2月,加重3天,高血压冠心病史40余年,阵发性房颤20余年,老年痴呆10年,贫血5年,气管腔内不规则结节,强化明显,双肺多发圆形或类圆形结节,强化明显。临床症状病史加影像改变综合分析,有三种可能:1、气管原发恶性肿瘤伴肺内转移,2、气管与肺部均为富血供转移,原发待定,3、气管内良性肿瘤性结节,肺内恶性转移。个人倾向于气管类癌或非典型类癌合并肺上转移,并类癌综合征可能,其他两个可能待鉴别,建议查甲状腺,腹部CT,肿瘤标志物。
徐超:
咯血贫血多年,慢性病史,倾向恶性或低度恶性;气管、肺内结节及纵膈肿大淋巴结,富血供,转移可能大;有肾透明细胞癌病史的话,首先考虑转移;
无肾肿瘤,倾向于气管类癌伴转移;
绒癌,恶黑,恶性太高,不会这么久排除,甲状腺区没扫到,下极脂肪清楚,先排除。肠道来源强化太高,接近血管不太支持。恶性脑膜瘤气管内转移没见过。
欣:
左肺下叶后基底段段气管变窄,远端可见片状影,有强化。这个地方不踏实,不排除占位性病变。双肺内多发界清结节,明显强化,富血供转移瘤?气管内结节,明显强化,边界清楚,和肺内多发结节一样明显强化,是不是要同源转移考虑?气管内转移瘤真没见过,还是考虑气管内占位?原发肿瘤在左肺下叶后基底段?还是其他部位?不好定。


潘老师影像诊断思路引读:
                                    
南边:
老年女性,病史两年,咯血,呼吸困难
南边:
气管腔内占位,强化异常明显,窄基底与粘膜相连,还是带蒂?

南边:
两肺结节胸膜下,边缘光滑,强化与气管内病灶一致

南边:
左下叶考虑支气管腔内粘液栓堵塞所致

南边:
从强化的一致性、形态的一致性,倾向于气管、肺内病灶一元论
强化这么丰富的肿瘤真不多见,形态也一致
乳头状瘤?肺内不符合,年龄不符合,强化不符合
恶性首选,因为累及多个区域
南边:
1、都是转移瘤,查原发灶。2、气管内恶性肿瘤肺内多发转移

                             
               


"庐山"真面目揭示



                               

 病例最后精彩总结
初学者:
早读片,确实要定挺难,几个特点1.病史两年,说明病变恶性度应该不太高。2.气管与肺内一元,考虑转移首选 3.明显强化。
我本来以为是良性转移的。没有想到是甲状腺瘤/癌,不过回头看是符合,惰性转移,明显强化,还有气管内肺内都符合,不过要直接定有困难。
支气管镜取很好取,就不要太勉强,定一个良性或低度恶性转移应该方向对了就行
如意:
晨读有几点说明:
1、10年前,5年前病历资料无从获得了,患者既往史(肺部、甲状腺肿瘤,需要临床辨证思考),病历书写应该打引号。
2、我们分析10年前应该不是肺癌,结合肺部多发转移,病人长期生存现状,5年前的甲状腺肿瘤应该存在
3、这个甲状腺肿瘤应该很惰性,病理提示高分化癌或非典型腺瘤,结合临床还是考虑癌可能大,已申请病理科老师再阅片(未回复)
如意:
4、甲状腺癌可以分四类:乳头状癌、滤泡性癌、髓样癌和未分化癌。
未分化癌,预后差,病人半年内死亡,超过半年的少。
乳头状癌非常惰性,大部分的病人,如果是小于一公分的,十年生存率可以达到90%,20年的生存率可以达到80%。
幸运的是80%左右的病人都是甲状腺乳头状癌。所以,总体来说,甲状腺癌的预后是好的。
所以,也有这样提:得了甲状腺癌以后,大部分可以通过治疗长期生存,大部分甲状腺癌不影响患者自然寿命。
这例老人是很好的例证!

编辑:谭欣欣
审核:蔡笑燕  徐  晓



到顶部