【每日晨读】凶相毕露的肺结节


                        病例资料

























                                    精彩讨伦
涛声依旧:
直边,似见反晕征,短毛刺,良恶性征象都有,机化性炎症,;鉴别腺癌!
晕晕菜:
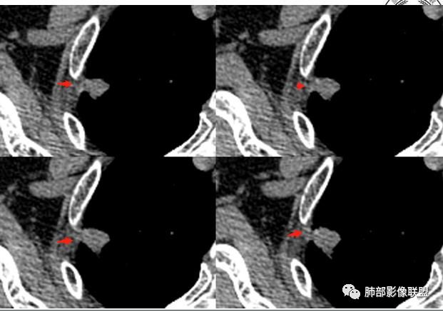
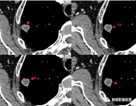
晨读:患者中老年男性,咳嗽 咳痰伴痰中带血2天,发现右上肺结节入院。
胸CT:右上肺结节,病灶位于胸膜下,边缘可见平直 u型征 软毛刺 晕,增强可见延迟强化,病灶中心低密度区。
考虑良性病变……肉芽肿性病变………隐球菌感染?
穿越七海的风:
良性征象,靠近胸膜无凹陷,部分边缘平直,内见支气管,恶性征象,短毛刺,血管进入,穿刺活检定吧
Coke with ice:
倾向于炎性肉芽肿,除外淋巴瘤
杨泽锋:
这么小的结节中心出现了比较明显的坏死,考虑炎性结节,结核可能大
高广飞:
环形强化,结核需首先考虑
德芙~云味:
晨读~右肺上叶结节影,边缘膨隆也有平直,长毛刺多,有小凸起,有血管进入,良恶性征象都有,支持炎性结节,鉴别腺癌。
明日の路过:
右肺上叶结节,边缘模糊,长毛刺,桃尖征、平直征,胸膜牵拉不明显,近支气管端,有气管进入,考虑隐球菌可能,鉴别结核。
我心飞翔:
老年男性,咳嗽咯血病史,右上叶病灶边缘有收缩、短毛刺、支气管相通、病灶内支气管走行自然,考虑结核。鉴别隐球、腺癌。
欣:
我还是优先考虑腺癌,太圆太鼓,内部密度不均,有血管进入,有短粗毛刺。需要与结核肉芽肿鉴别,部分层面平直
丽:
老年男性,右肺上叶近胸膜下结节,部分边缘略膨隆,边缘可见多发长毛刺,并可见支气管影,不知道远端是否阻塞,增强后边缘有强化,内可见坏死,恶性不能除外
Zhuweichao:
右上肺胸膜下结节,胸膜牵拉不明显,边缘部分平直, 浅分叶软毛刺 ,增强中心低密度,考虑结核。
王秀仙:
右上肺结节,病灶位于胸膜下,边缘平直,软毛刺,部分边缘有晕模糊,增强可见延迟强化,病灶中心低密度坏死。考虑良性病变,炎性肉芽肿性,结核?
市医院--时建文:
老年男性,右上叶病灶边缘有收缩、短毛刺、支气管相通、病灶内支气管走行自然,考虑结核。鉴别隐球、腺癌。
流心明智:
患者,男性,62,咳嗽、咳痰伴痰血2天。
胸CT:右上肺结节,病灶位于胸膜下,边缘平直征、u形征、毛刺、晕,胸膜牵拉、棘突、分叶,病灶中心低密度区,增强延迟强化。常规考虑肉芽肿性病变,隐球,TB?外周结节性病灶,矢状位似见支气管穿过,鉴别腺Ca?
群锋:
老年男性,咳嗽咳痰带血,右上肺实性结节,有毛剌,矢状部分边缘平直,部分膨隆,胸膜有累及,增强后周围部分明显强化,中央有低密度区,有支气管通入,尽管有诸多良性表现,但对胸膜侵犯这点不放心,还是把癌放前面。
高兴就好:
后段也有一些病灶,综合考虑结核可能
FeNo:
部分平直,部分膨隆,毛刺,周边强化,中间低密度区,倾向于炎性肉芽肿
晨:
右上肺结节,病灶位于胸膜下,边缘毛刺,有血管进去,病灶环形强化,中心低密度坏死。考虑腺癌可能,环形强化,进一步排除结核?
一米阳光:
老年男性,右肺上叶近胸膜下结节影,边界清晰,平直,部分略凹陷,见长毛刺,增强边缘强化,内见坏死。考虑肉芽肿,结核。
鉴别,老年男性,痰中带血,鳞癌
建议,穿刺活检
贝德曼(博博):
患者老年男性,咳痰伴痰中带血2天,发现右上肺结节入院。血象高,血小板低。
胸CT:右上肺胸膜下结节,胸膜牵拉不明显,边缘部分平直,增强中心低密度,考虑感染?结核?
毛勤香:
老年男性,右肺上叶结节,边缘毛糙有分叶毛刺,周围晕模糊,增强扫描中心坏死,边缘强化,首先考虑炎性肉芽肿性病变,隐球菌?慢性炎性肉芽肿?常规治疗后复查除外不典型鳞癌。
周太狼:
右肺上叶结节,边缘平直,软毛刺 周围晕,延迟强化,病灶中心似有低密度坏死。考虑良性病变,结核肉芽肿性炎?隐球?老年人腺癌肯定是需要鉴别的。
飞鹰行动:
右肺上叶结节病灶,边缘分叶,平直征,切边征,可见长毛刺,血管聚集征,增强病灶环形强化,内部未见明显强化,考虑炎性肉芽肿病变,主要与肺癌鉴别,一般如此大小结节的肺癌少有中心区域坏死。
曹志勇:
老年男性,右肺上叶实性结节,边缘分叶,似见血管进入,边缘有彭隆有平直,环形强化,见脂性成分,综合考虑,炎肌母?
清嘉:
肉芽肿结节可能大(结核、隐球菌),肺癌待排。
傅昌瑜:
老年男性,咳嗽 咳痰伴痰中带血2天。胸CT:右上肺结节,病灶位于胸膜下。又是永恒的良恶性的鉴别。良性依据:边缘可见平直 u型征 软毛刺 晕,增强可见延迟强化,病灶中心低密度区。恶性依据:部分边缘膨隆,部分毛刺较粗,支气管进入后截断,增强后结节壁CT值升高超过20HU,但又不是非常高。矢状位似见胸膜栽桩。非包膜强化。总体考虑恶性病变。
小飞:
右肺上叶尖段结节,边缘平直为主,长软毛刺,支气管通畅,环形强化,结核球可能性大!
水晶石头:
患者中老年男性,咳嗽 咳痰伴痰中带血2天。胸部CT:右上肺胸膜下不规则结节,边缘可见平直 、u型征,见毛刺、棘突、血管集束征象,增强可见延迟强化,病灶中心低密度区,呈环形强化。良恶性征象并存,综合考虑良性病变,结核可能性大,鉴别鳞癌。
到此一游:
我也是优先考虑腺癌,有血管进入,有短粗毛刺。需要与结核肉芽肿、隐球菌鉴别
张延军:
右肺上叶结节影,呈浅分叶,周围见多发条索影,结节边缘部分膨隆,后缘受小叶间隔阻挡呈平直征,病灶中心区见低密度区,界清晰,周围散在磨玻璃影,下缘见充气支气管影,考虑炎性肿块可能性,腺癌代排
小赵:
老年男性,白细胞及中性粒细胞稍高。右肺上叶结节,边界清楚,边缘局部呈分叶状,局部平直,局部凹陷,局部见桃尖征,局部见长毛刺及胸膜牵拉线,局部见棘状突起,支气管部分进入病灶,部分于病灶内部近边缘处自然穿行,病灶宽基底与胸膜相贴,局部胸膜增厚,增强扫描周边呈明显渐进性强化,中心见坏死无强化区。综合考虑良性病变,炎性病变可能性大,腺癌待排,建议穿刺活检。
quanyou:
老年男性,右肺上叶近胸膜下结节,部分边缘略膨隆,边缘可见多发长毛刺,并可见支气管,环形强化,考虑隐球,结核,鉴别腺
欧阳英:
右肺上叶尖段胸膜下结节,边缘有浅分叶、平直征,有长毛刺、胸膜粘连,下缘见支气管进入,壁明显较均匀环形强化,中心坏死。考虑炎性结节可能,腺癌待排
三个石头:
右肺上叶病灶,内支气管进入,阻塞,部分层面比较圆,与胸膜关系密切,局部边缘平直,胸膜牵拉,未见明显凹陷,周围浅淡晕,内小毛刺。纵隔窗平扫病灶为欠均匀软组织密度,增强扫描,内低密度,边界清,周围强化。首先考虑炎性病变。鉴别周围型肺癌。建议穿刺。
Yiren Sishui(厶水伊人):
病灶边缘平直,部分凹陷,晕征边缘模糊,长毛刺,支持炎性肉芽肿,环形强化,中间有坏死,IMT?TB?
自信人生:
右肺上叶结节,边缘膨隆,长毛刺多,明显坏死,强化不明显,有小凸起,有桃尖征象,考虑炎性结节,鉴别周围肺癌。
小兜:
老年男性,咳嗽咳痰带血两天,右肺上叶与胸膜相连结节,周围细长毛刺,内部支气管走行自然,有血管进入,增强环形强化,内部见坏死区,考虑炎性病变,结核可能
玫:
男,62,咳嗽咳痰带血2天,右肺上叶见结节影,边界清晰,边缘见分叶及细短毛刺,病灶与胸膜相连,增强扫描,病灶边缘轻度强化,病灶内见低密度坏死区,结合实验室检查,考虑炎性病变,肿瘤标志物略增高,不除外肺癌。
Sugar阿Q:
右肺上叶尖段结节,有毛刺,边缘似有晕征,内见较多坏死灶,增强以边缘强化为主,考虑炎性结节,结核可能性大
张立:
右肺上叶尖段结节,边缘平直收缩为主,周围有长毛刺,增强后结节环形强化,没见壁结节周围未见明显卫星灶,考虑结核可能大,鉴别肺癌。
灵魂清零:
边缘性结节,良恶性特点都有,考虑炎性肉芽肿结节,Ca不排!
东哥:
右肺上叶结节,浅分叶,边缘有平直有膨隆,有毛刺,环形增强,有支气管进入后截断,有血管集束,综合恶性可能性大
弹指之间:
右肺上叶尖段结节,边缘平直收缩为主,周围有细、长毛刺,增强后环形强化,内壁尚光整,考虑结核可能大,鉴别鳞癌(但老师说过鳞癌坏死一般是小片小潭状);
食客:
右肺上叶结节,边平直,凹陷。模糊晕征,边缘强化为主,炎性结节可能,
淘时光:
右肺上叶尖段胸膜下结节,分叶、毛刺(偏软)、棘状凸起、可疑月牙铲、周围少许ggo,边缘偏清楚,近端与血管相连,支气管部分进入病灶后阻塞,部分于病灶内穿行。环形强化,内见低密度区,边界似清非清,考虑炎性肉芽肿结节可能性大(隐球菌、GPA),除外腺癌
尘缘:
老年男性,咳嗽咳痰伴痰血2天,白细胞及中性粒升高,血沉不高,部分肿瘤标志物略高,心肌酶部分升高,影像表现:右肺上叶结节,边界较清,局部GGO稍模糊,可见分叶,毛刺,局部膨隆,有刀切,桃尖等良性征像,增强后呈明显环形渐进强化,中心坏死,常规还是先考虑炎性肉芽肿改变,结核?隐球?其他?恶性不除外,中低分化腺癌及低分化间叶来源恶性肿瘤待排。需要穿刺活检明确。
丽:
胸膜下结节,平直征、U形征,血管进入,支气管充气征,倾向于良性结节,炎性病变可能性大,鉴别于腺癌
采莲:
右肺上叶尖段胸膜下类圆形结节,边缘平直有收缩,周围有细软毛刺,有桃尖征,与胸膜有牵拉,增强有边缘强化,内部有坏死,延迟强化。考虑肺结核球。鉴别腺癌。
紫气东来:
右肺上叶结节,边缘平直,彭隆,u形征,中心坏死,强化,考虑炎性结节,鉴别鳞癌
彭君:
右上肺胸膜下小结节 边缘平直及凹陷 有强化 中心坏死 似见部分三环强化影 边缘长毛刺 考虑良心可能 炎性肌纤维母?
管洪林:
老年男性,咳嗽咳痰,痰中带血,右上肺胸膜下小结节,整体边缘平直,桃尖征,部分内收,胸膜牵拉,毛刺柔软,周围有较淡的模糊晕,增强后壁强化,其内坏死区,边界清,首先考虑炎性肉芽肿性病变,op?隐球菌?
小景:
右肺结节,边缘平直,部分膨隆。增强呈环形强化。考虑肉芽肿性病变,结核?
Lotus:
强化方式不支持恶性
张三红:
中央坏死,边缘实性成分 结节感, 强化,鳞癌排前面,鉴别结核等炎性病变,包括慢性脓肿等
哞:
右肺上叶结节,边缘平直及膨隆,有u形凹陷,桃尖征,毛刺胸膜凹陷,支气管通畅,增强明显强化,内壁光整,考虑炎性病灶,不排除肺ca
没意见:
老年男性,咳嗽痰血2天,血象白细胞中性稍高,72_4,19片段高;CT:肿块边界有晕,略显模糊,膨隆加收缩,分叶毛刺,桃尖平直刀切u型凹陷,滋养血管,胸膜增厚糊墙,密度不均,坏死边界清晰,延迟强化,良恶征象兼而有之,考虑良性>恶性,重点考虑炎性肉芽肿,OP,隐球?临床不纠结,要短平快,就活检;不着急,就查荚膜抗原、抗感染后复查
一切∮随缘:
右肺胸膜下结节,形态不规则,边缘分叶,毛刺,模糊晕征,牵拉胸膜,平扫密度均匀,增强后薄换状强化,内部坏死清楚,中老年男性,病史两天,考虑炎性肉芽肿(结核,隐球菌),抗炎后复查
^_^果:
右肺上叶胸膜下结节,边缘平直,收缩,软毛刺,牵拉胸膜,平扫密度均匀,增强后薄环强化,中心坏死,考虑炎性肉芽肿病变,结核?隐球菌?建议抗炎后复查。
阿郎:
右肺上叶尖段胸膜下结节,边缘平直似刀切,有胸膜牵拉,但与胸膜间脂肪还存在,增强呈明显周边强化,内部有坏死,延迟强化。考虑良性病变可能,炎症首先考虑,是结核的好发部位,不能除外。
                                        
                                       南边老师分析
孤立性结节,上叶,常规无非是癌?结核球?一般的炎性结节?良性肿瘤?隐球菌?
诊断炎性的依据是啥?


边缘平直、稍凹陷

宽基底,附近胸膜增厚

环形强化

支气管进入
恶性的依据是啥?边界清楚
小结节的恶性征象:
形态:分叶
边缘征象:毛刺、棘状突起、胸膜凹陷
内部征象:含气支气管征、空泡征
强化特点:强化值超过20HU,多为20~60HU之间。
这里有哪些征象符合?
癌在小结节如何强化?均匀?不均匀?环形?
环形强化那种病变多见?
常规支持炎性,结核可能;癌不除外,因为有膨隆。
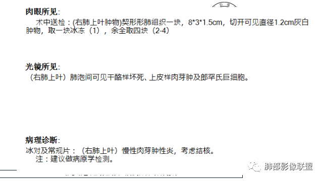
                        病理结果


                    病例分析
 
临床及影像:
1. 老年男性患者,痰中带血两天
2.右肺尖类圆形结节影,边界清楚,未见明显分叶或深切迹,部分分边缘较平直,可见细长毛刺棘状突起,相邻胸膜增厚,未见胸膜凹陷。后段胸膜下见条索影及微小结节影。
相关血管未见脐凹,有限图像层面未能显示相关支气管情况。
3.平扫病灶密度密度不甚均匀,外侧份见微小高密度影。
4.增强扫描成明显环形强化,中央液化坏死,内壁清楚且较为规整。
分析:
1.肺鳞癌是容易坏死,但如此小的结节出现影像明显可见的坏死区,且内壁如此清楚规整,我们临床实践中肿瘤非常少见,重要的事情说三遍!!!
病灶缺乏典型的分叶且明显可见的坏死区,腺癌就更为罕见。
2.病灶周边可见薄晕,会想到隐球菌感染,可以出现空洞,但内壁如此清楚的空洞少见。
3.强调常见病
好发于肺尖或尖后段胸膜下的密度不均的结节什么病最常见?结核!
小病灶常常出现空洞的什么病最常见?结核!
空洞内外壁都很清楚的什么病最常见?结核!
周围伴随小结节及条索影的什么病最常见?结核!
老年男性痰中带血为主诉常见的还是肿瘤及结核。
编辑:靳文剑
病例来源:九江市第一人民医院影像科 於雄
审核:蔡笑燕  徐  晓



到顶部