【每日晨读】 墨西哥仙人掌








2020-1-15晨读病例




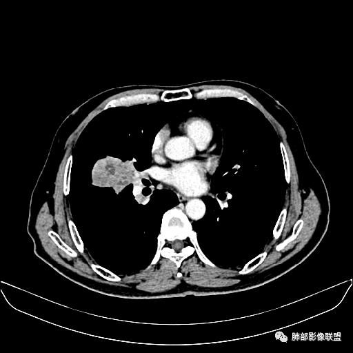
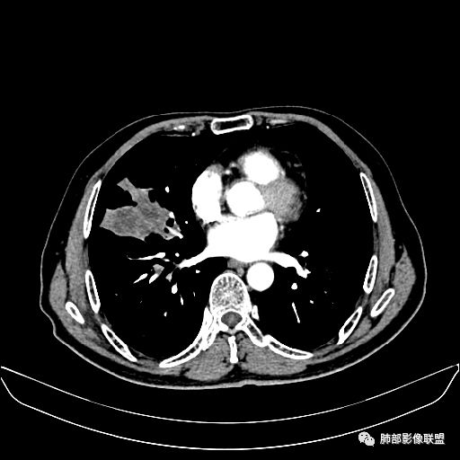
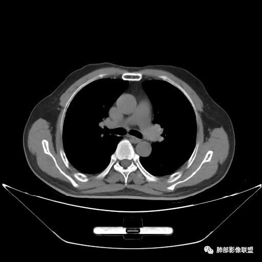
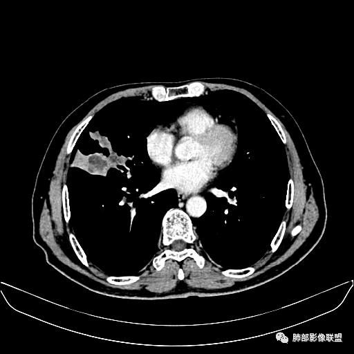
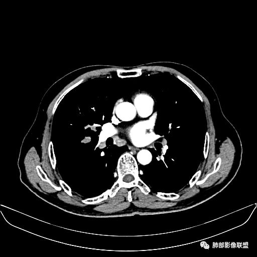
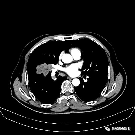
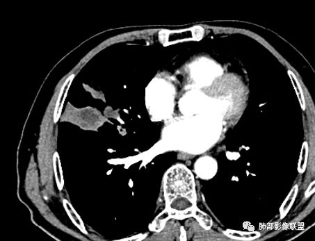
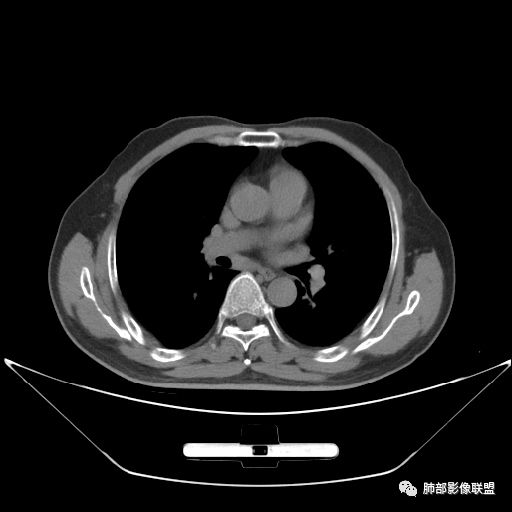
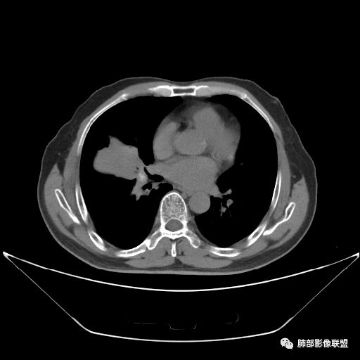
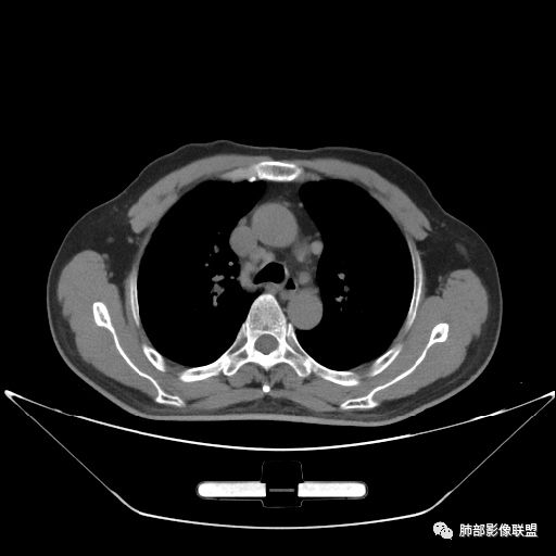
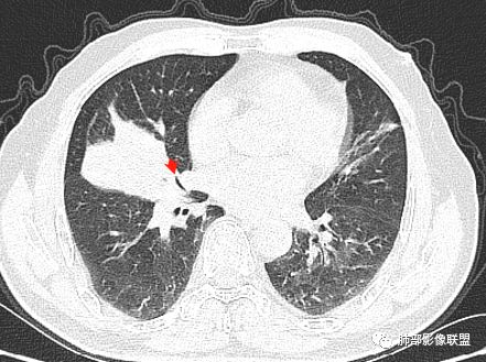
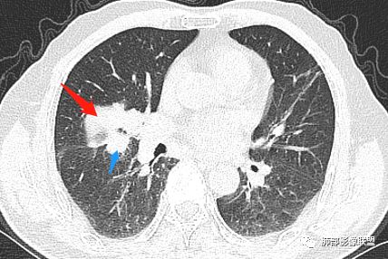
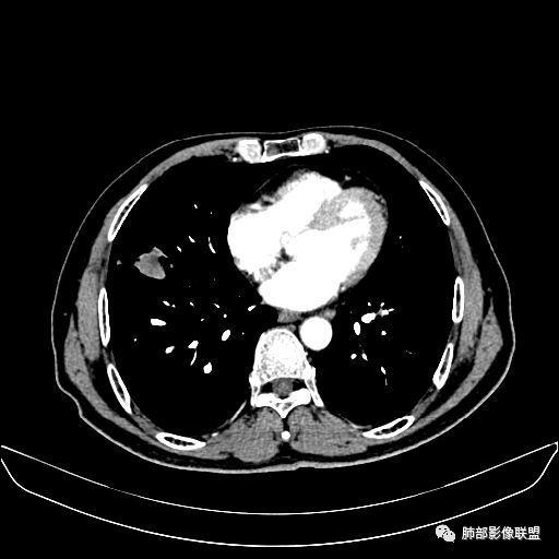
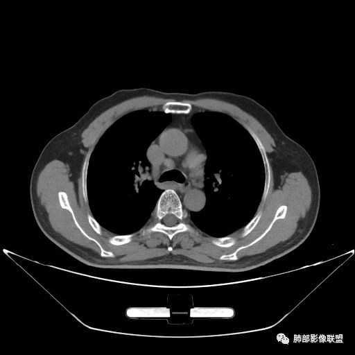
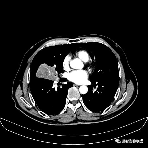
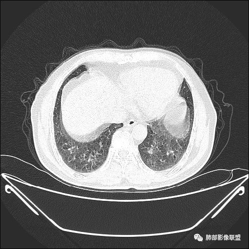
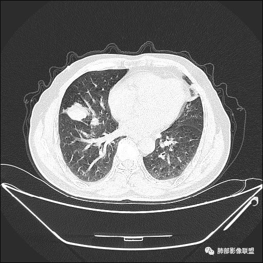
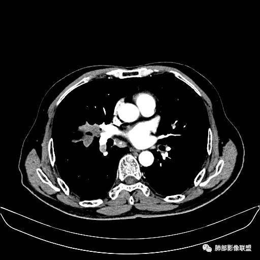
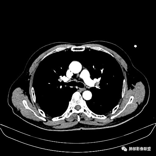
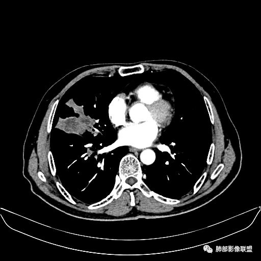
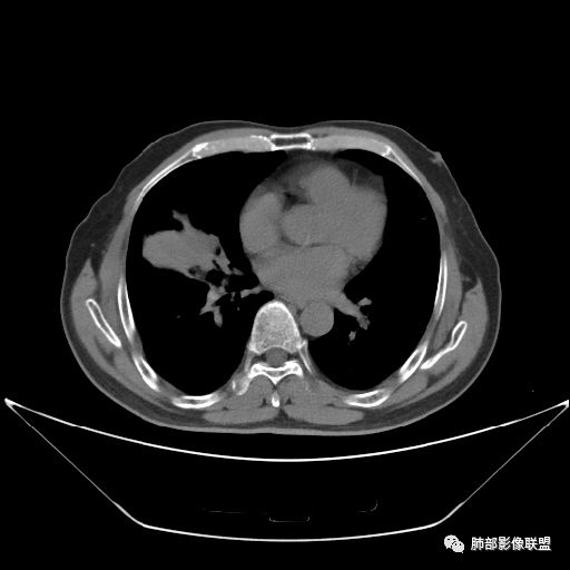
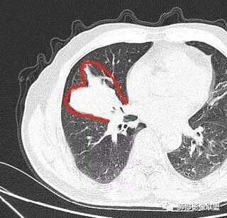
入院CT


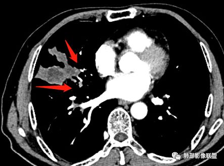
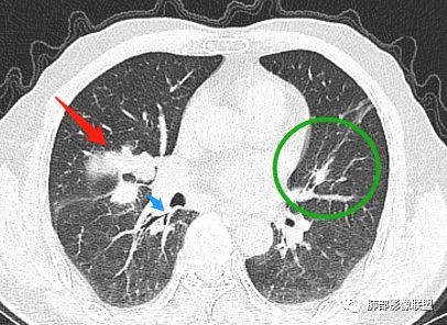
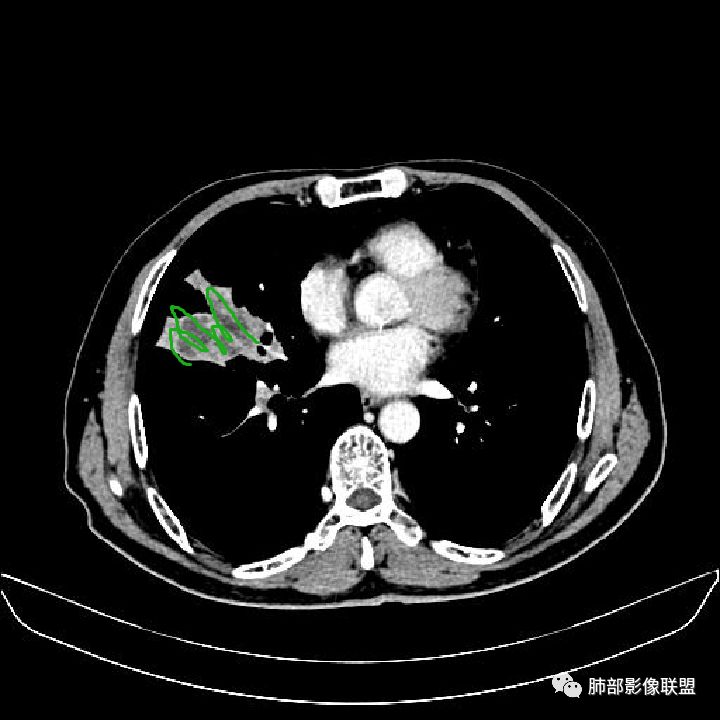
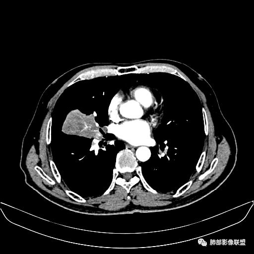
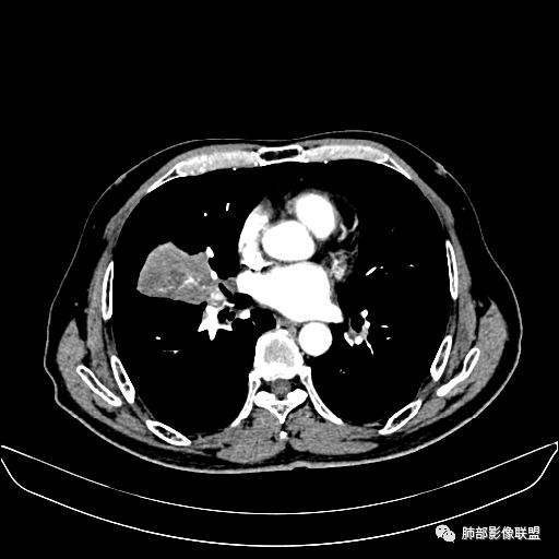
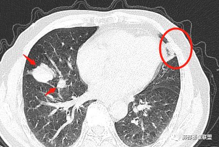
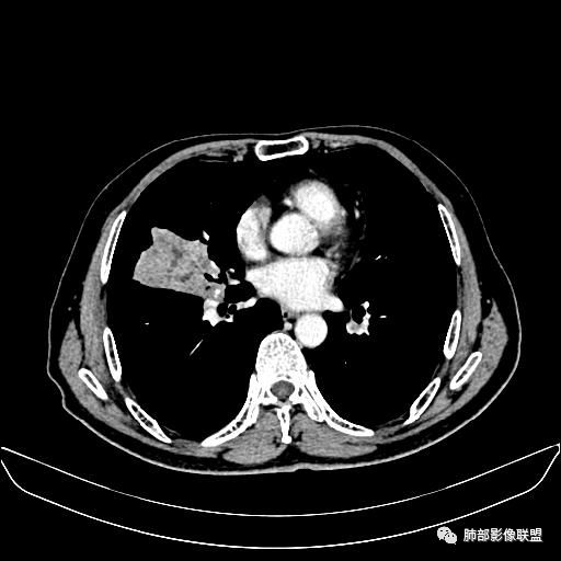
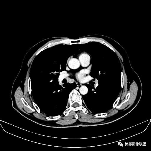
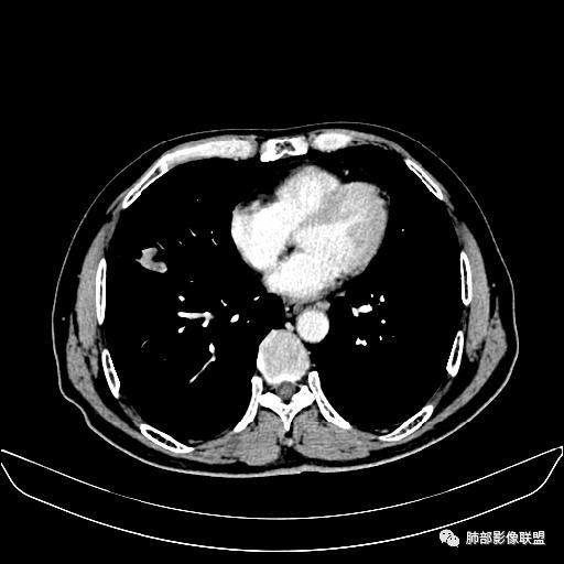
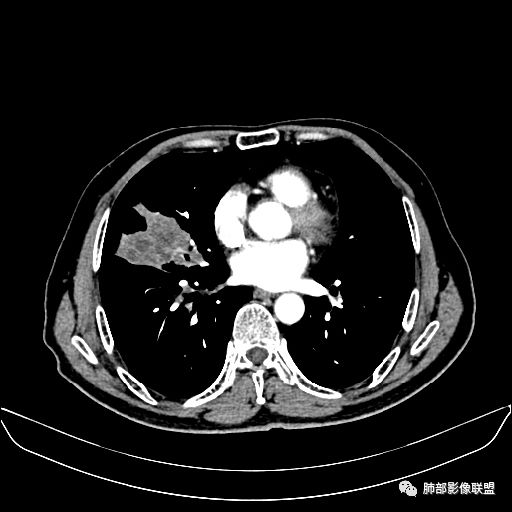
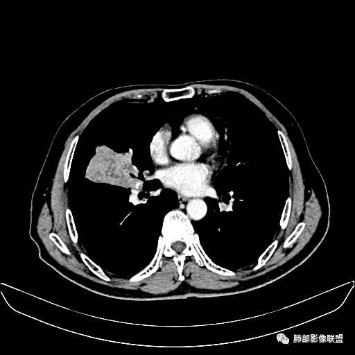
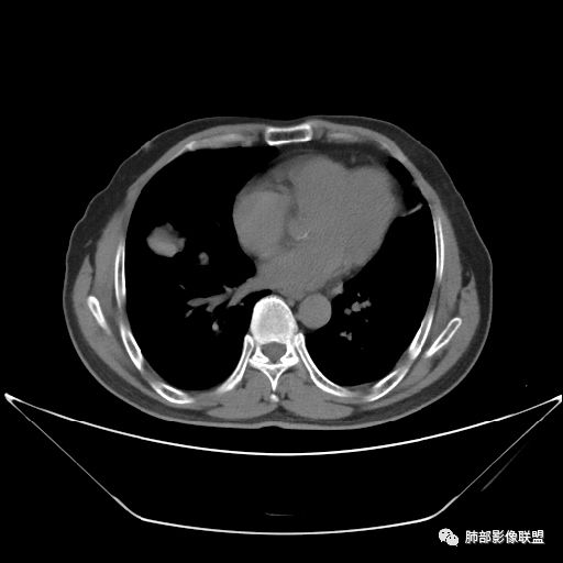
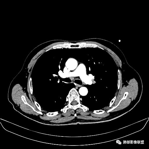
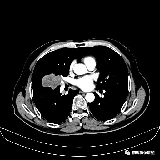
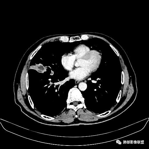
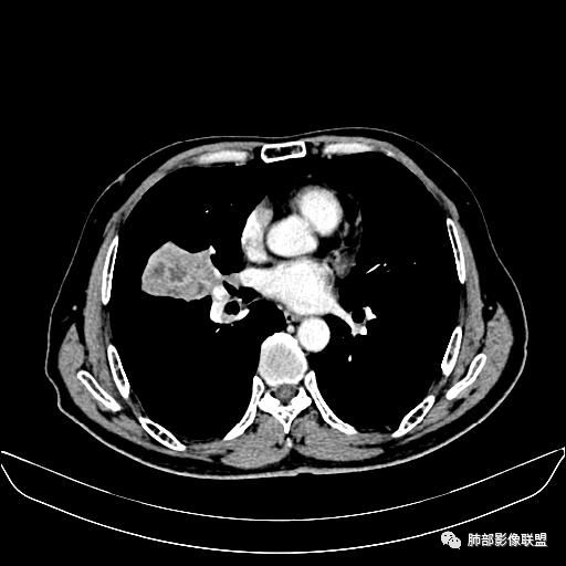
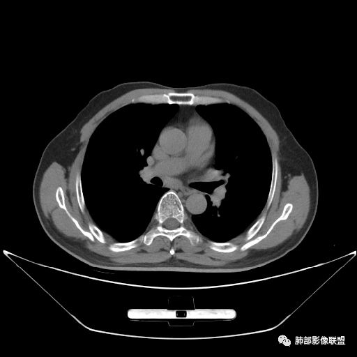
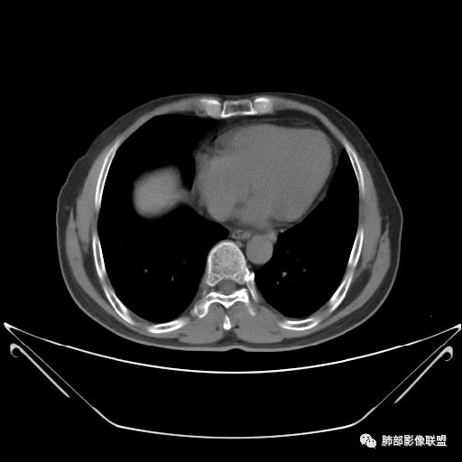
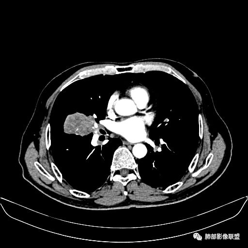
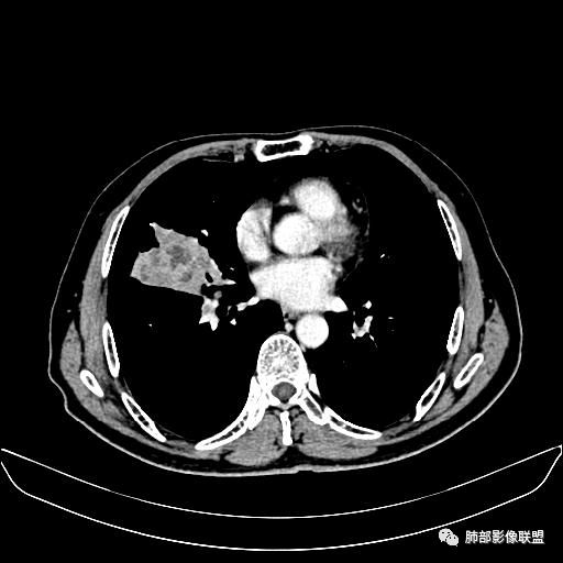
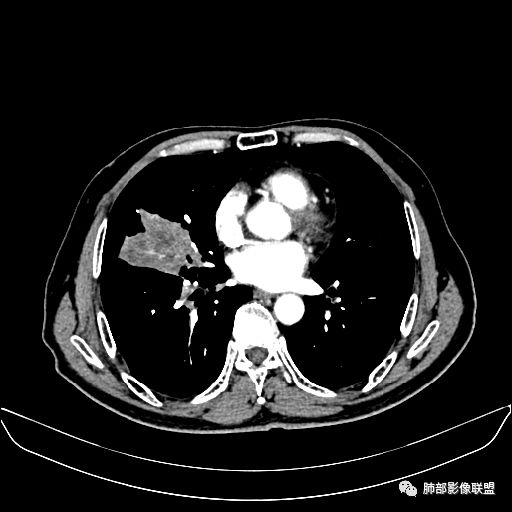
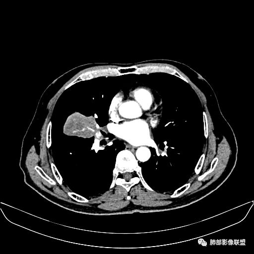
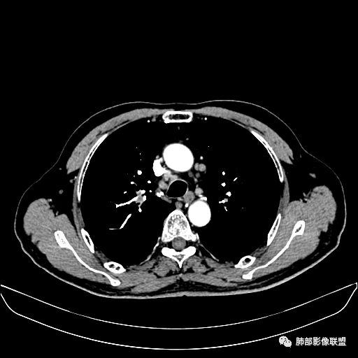
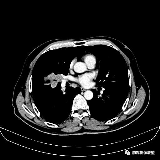
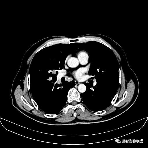
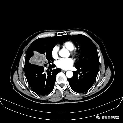
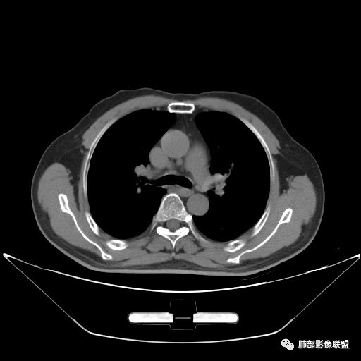
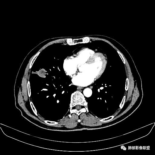
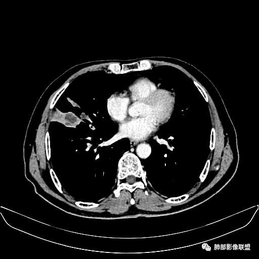
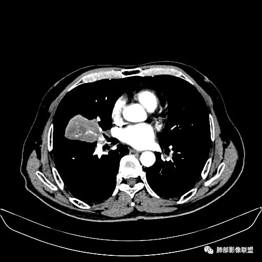
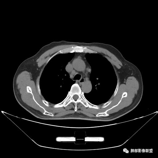
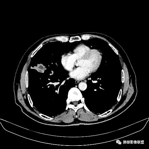
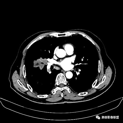
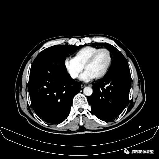
住院4天后行胸部增强CT
动脉期

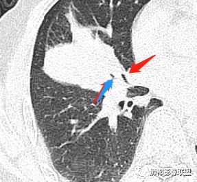
静脉期



群内精彩讨论

马春平(张家港市一院胸外科): 
右中叶团块状影不均匀强化伴坏死,中叶支气管及血管侵犯,考虑癌肉瘤>恶性神经内分泌肿瘤>腺鳞癌
甄德强: 
主体病灶在中叶外侧段,病灶分叶膨隆,血管进入受侵犯,坏死边界不清,纵隔淋巴结肿大,支气管受压改变,考虑腺癌。
那个人: 
老年男性,亚急性病程,咳嗽咳痰。右肺中叶团片影,有膨隆,大部分边界清楚平直,支气管进入,团片影见粘液栓,实性病灶强化,血管破坏不明显,双侧肺门及纵隔淋巴肿大。考虑结核,鉴别结节病?肿瘤
甄德强: 
结核破坏力强不太符合,病灶中心可见血管
崇军: 
老年男性,亚急性病程,咳嗽咳痰。右肺中叶团片影,外朝内分布,大部分边界清楚平直,内侧支气管进入,团片影见低密度坏死区,强化明显,延迟强化,血管破坏不明显,符合爬行征5个特点:
1.肺外周生长。
2.外侧部分体积大于内侧。
3.病变最大径与肺的纵轴及水平面任何一条轴线不平行。
4.病变内侧支气管通畅。
5.病变区域肺容积无缩小。
双侧肺门及纵隔淋巴肿大并可见钙化。考虑结核,但部分边缘膨隆,肿瘤待排。
傅昌瑜: 
老年男性,因“咳嗽咳痰1月余。”入院。病程中咳嗽咳痰,咳黄白痰,间断咯少许鲜红色痰血。PPD阳性。胸CT:右肺中叶外侧段支气管管腔阻塞,大片实性病变,病灶边缘光滑,部分边缘膨隆,可见分叶,肺门及纵隔可见肿大淋巴结,并可见钙化。增强可见病灶明显强化,而且延迟强化明显,病灶内多发低密度区,内见血管影,血管变细、部分血管破坏。考虑恶性病变可能性大,鉴别慢性肉芽肿性病变。
大雄: 
右肺中叶外侧段管腔阻塞、实性病变,病灶边缘光滑,可见分叶,肺门及纵隔可见肿大淋巴结,并可见钙化。增强可见病灶内多发低密度区。
考虑肉芽肿性炎可能。
TB  放线  奴卡 NTM
建议气管镜检查
流心明智: 
老年男性,咳嗽、咳痰1月余,间断血痰。PPD阳性。
胸CT:跨叶大肿块,主体在中叶,右中叶外侧段支气管阻塞,病灶部分边缘膨隆,可见分叶,部分边缘平直,肺门及纵隔可见肿大淋巴结。增强病灶不均匀强化,延迟强化明显,病灶内多发低密度区,内见血管飘浮,部分血管变细、模糊。考虑:恶性病变可能性大,大细胞?淋巴瘤?鉴别慢性肉芽肿性病变。
张延军: 
右肺中叶软组织肿块,外围向内生长,叶间胸膜向前内移位,肿块近肺门侧跨叶,中叶外侧段支气管截断,密度不均匀,双侧肺门及隆突下见肿大淋巴结,增强后呈中度不均质强化,肺动脉供血,多发坏死区,边界尚清,坏死区域内见结构,结合病史考虑恶性,鉴别诊断1结核,爬行征是沿支气管树分布,外宽,内窄,周围有卫星灶,内气管狭窄后扩张,此例沿叶间胸膜长轴分布,气管有截断,不典型。2炎性肉芽肿,符合的地方下方层面增强后延迟性轻度环形强化,不符临床无发热等急性感染病史,实验室指标不符,病灶周围渗出及慢性炎性改变有,不明显。


吴婧老师分析

初学者: 
有一点像结核
血沉高,ppd阳性。

三个石头: 
外变窄,远端又出来了?,鳞癌不符合

         
初学者: 
所以这种堵塞,我觉得不符合中央鳞癌
而是外向内
我来抛砖引玉:


空气储留,支气管炎

管辖的支气管是壁增厚,狭窄的

它不是只有一支支气管有问题,而是多支
这个是上叶支气管,而且一般慢性炎症更容易空气储留,因为是缓慢的才会气体易进难出。

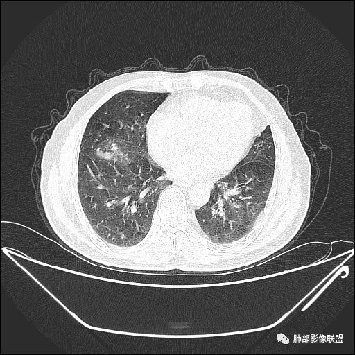
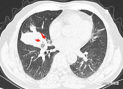
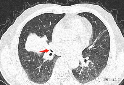
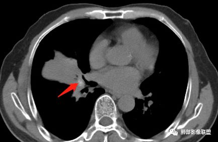
主病灶在中叶,但是左肺舌段叶有条索影,陈旧病变。蓝色箭头支气管受压,是淋巴结肿大

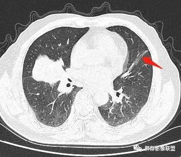
主病灶在中叶,但是还有结节状病变在下叶

是这样长过去的吗?

叶间裂推移方向

虽然是一个大的病灶,但是周围是比较散
这个支气管是走形通畅,但是壁增厚的。比较符合炎症改变
下面我们看看支气管都在吗?



内侧段是通畅但是受压的
外侧段一开始狭窄

但是远端通畅,所以我认为支气管都没有堵塞,不太可能是鳞癌

边缘还有多发小灶
淋巴结肿大,钙化。


但是钙化,密度高,没有融合,平扫没有坏死

病灶明显平直,中央是粘液栓,低密度,分界清楚


综上,考虑炎症,结核。


南边老师分析

南边: 
老年男性,咳嗽一月,间断伴红色血痰
PPD阳性
从临床是否要考虑结核,但这个年龄恶性也是高危
影像上叶后段支气管壁增厚,附近似有淋巴结有气体潴留
左下叶背段小结节,舌段索条,内似有扩张支气管

肺门纵隔多发淋巴结肿大,内有钙化灶

我们现在看主病灶,病灶紧贴叶裂:

我想看冠状位,就是看它长轴、病灶的整体形态

外围大、内带小
这时候我认为支气管最重要
支气管进入其中,远端粘液栓
我认为鉴别:结核?腺癌?


病理结果

气管镜,右肺中叶见新生物,予活检。

EBUS探及S3、S8站肿大淋巴结,于S8站行TBNA,穿刺抽吸出碎粒样组织送检病理。
经支气管镜淋巴结活检标本:(ES8淋巴结)送检组织示破碎的间质纤维结缔组织内淋巴细胞等炎细胞浸润,其中一小片组织中见多核巨细胞影,未见淋巴组织,请结合临床。
右肺中叶新生物活检:肉芽肿性炎,请结合临床及相关实验室检查除外结核等。
气管镜检查20天后:气管镜灌洗液结核分枝杆菌培养阳性。
最终诊断:肺结核。


病例小结

  吴婧老师和南边老师都对该病例进行了深入分析。从支气管管壁的增厚,支气管狭窄后扩张,支气管粘液栓,病灶形态,到病灶不均匀强化及坏死彻底,到周边病灶及肺组织空气的潴留,加之纵隔内淋巴结肿大伴钙化等等,都支持慢性炎性病灶,尤其是结核。
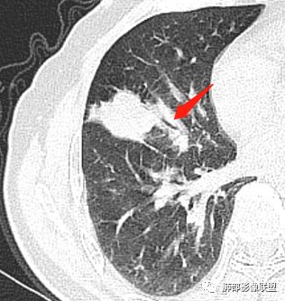
   现在小编来增加一个炎性另一个征象,是我们王兆宇老师原创的----就是墨西哥仙人掌征。
                              墨西哥仙人掌征---结核        影像上结核灶,粗大的均匀枝干,推测是支气管囊状扩张引起的,在非支气管区,形成圆形坏死囊群;如果这些坏死比较稀薄,又遇到扩张支气管,就会形成粗大的“墨西哥仙人掌”。结核引起的支气管近端炎症纤维化,可以造成支气管阻塞,从而将干酪样坏死物封堵在管腔内。仙人掌主干内部应该是干酪为主,稀薄的,具有流动性,时间久了会出现钙化。
   结核坏死与鳞癌鉴别有一点是结核坏死没有方向性,鳞癌有。鳞癌靠近支气管近端部分,血供容易维持,不易坏死,所以坏死靠外侧。而结核干酪样坏死,把一定体积的流动性坏死物,包裹起来,什么形状最省料?坏死物包裹,表面积最省的自然是圆球形,而遇到支气管,坏死物一多,就把支气管撑大了。包裹物是就地取材,扩张的支气管就成了包裹结构。


亲们,你们GET到了吗?
END
END
编辑:张丽红  张家口市肺科医院
审核:蔡笑燕  徐晓
病例提供者:无锡五院  丁啸



到顶部