【每日晨读】论周围型鳞癌的杀伤力



自从遇见你,余生都是你--致肺部影像联盟























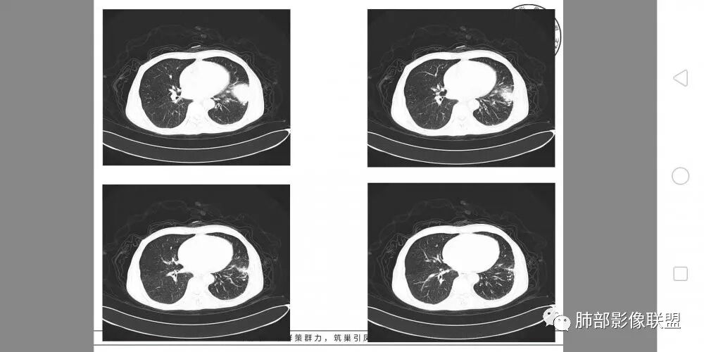
大雄 
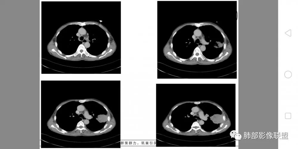
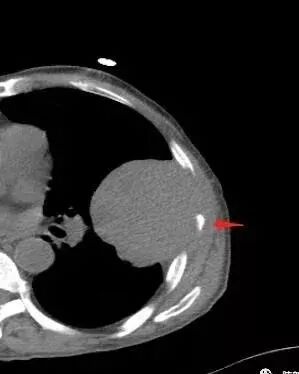
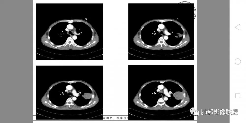
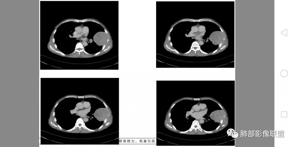
老年男性,外伤入院,“左上肺”实性肿块,边缘光滑,突破壁层胸膜并侵犯肋骨及肋间肌,增强扫描轻度强化,可见明显坏死。
定性:恶性肿瘤。
来源:需要薄层图像判断是肺内,还是胸膜或者胸壁,有一定难度。
可能的诊断:肉瘤样癌?软骨肉瘤?
恶性SFT,强化似乎不太符合。
虎爸 
定位肺内,定性恶性(肉瘤样癌)具体的看病理肋骨有侵犯,肺内应该是外朝内,气管改变不明显,间质来源可能
甄德强 
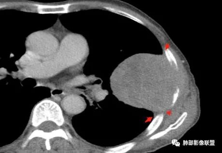
左肺上叶实性肿物,左肺上叶支气管受压变窄,病灶边缘光滑,轻度分叶,病灶轻度强化内部可见多发小灶坏死,坏死边界模糊,病灶突破壁层胸膜侵及左侧部分肋骨及肋间肌,考虑恶性,肉瘤样癌,鉴别诊断低分化腺癌。
晕晕菜 
• 患者老年男性,因摔伤致腰部、双侧髓部疼痛2月余就诊
• 胸CT:左肺上叶实性占位,病灶与支气管无关,病灶对斜裂挤压,病灶周围光滑,未见分叶、毛刺;纵隔窗可见病灶内低密度区,病灶对胸壁侵袭,并可见肋骨破坏。
• 考虑恶性病变:肉瘤?肉瘤样癌?
丽 
左肺上叶软组织肿块,叶间裂膨隆,肿块部分边缘光滑,密度不均,可见坏死,临近肋骨吸收破坏,与支气管关系不密切,增强后不均匀强化,考虑恶性肿瘤,肉瘤样癌可能大
冯连彩
老年男性,外伤发现,左下肺近胸膜下巨大肿块,外朝内,与胸膜宽基底相连,有栽赃,有肋骨破坏,病灶有强化,不均匀强化,内有低密度区,与支气管关系不大,支气管受压推移,纵隔淋巴结不大,定位不好说,觉得肉瘤可能性大,鉴别大细胞肺癌?
崇军 
定位,肺内,左肺上叶肿块,推移左肺上叶支气管向前移位,无阻塞,边界清楚,光滑,增强有坏死,强化,向外侵及胸壁及肋骨,恶性肯定,病理间叶来源,肉瘤?,肉瘤样癌?大细胞肺癌?
一切∮随缘
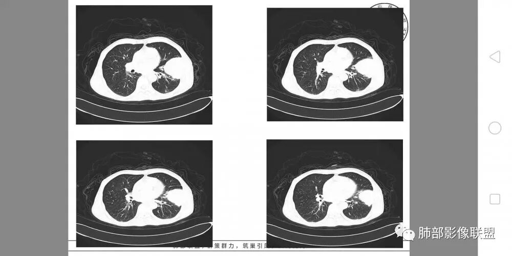
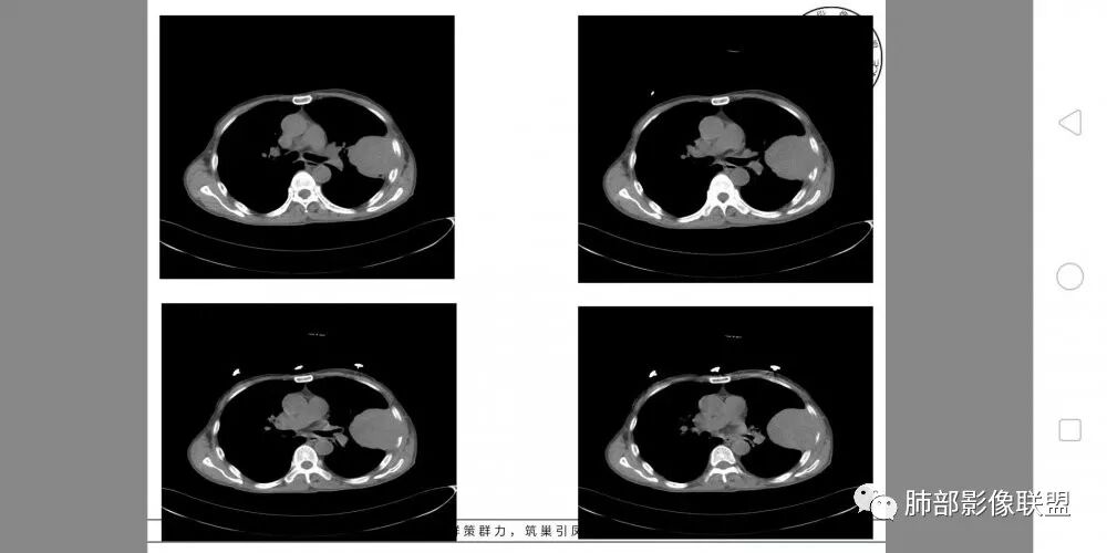
左肺上叶下舌段胸膜下肿块,宽基底与胸膜相连,尖端指向肺门,病变呈膨胀性生长,边缘有清晰的GGO,病灶下缘似有空泡,病灶外缘向胸壁外侵犯(有栽赃),局部肋骨有破坏,平扫密度均匀,增强后轻度强化,中老年男性,有外伤史,考虑恶性,神经鞘瘤,恶性肉瘤,恶性孤立性纤维瘤,鉴别血肿(强化不太符合)
THINKER
定位:左上尖后段
定性:恶性
依据:左上尖后段占位,与支气管关系不密切,由外向内发展,分叶,有强化及低密度,侵袭肋间肌丶肋骨。
考虑:肉瘤
鉴别:SFT
水晶石头 
患者中老年男性,外伤后入院。胸部CT:左肺上叶实性肿块,近心侧边界清楚,边缘光滑,胸壁侧突破壁层胸膜、肋间隙并侵犯肋骨及肋间肌,增强扫描轻度强化,可见近心侧多发片状坏死,未见明显淋巴结肿大。综合考虑SFT,鉴别肉瘤及结核。
看图说话 
左肺上叶肿块,边缘光滑,密度不均,内有坏死,强化不均匀,肋骨破坏,胸壁侵犯,恶性肿瘤,来源肋骨,骨肉瘤,浆细泡瘤,肺内的考虑肉瘤,未见明显气管阻塞,不除外鳞癌。
飞鹰行动
左肺上叶胸膜下肿块,边界清晰,内部可见坏死,相邻肋骨骨质破坏,胸壁软组织肿胀,增强后病灶内部不均匀强化,可见无强化的坏死区,考虑恶性肿瘤,来源肺内,鳞癌,肉瘤样癌首先考虑,其次来源胸壁恶性纤维组织细胞瘤可能,关键是需要薄层来判断来源。
流心明智
老年男性,外伤入院。
胸CT:左上肺实性大肿块,边缘光滑,突破胸膜侵犯肋骨及肋间肌,纵隔淋巴结肿大,增强呈轻度强化,可见明显片状坏死。
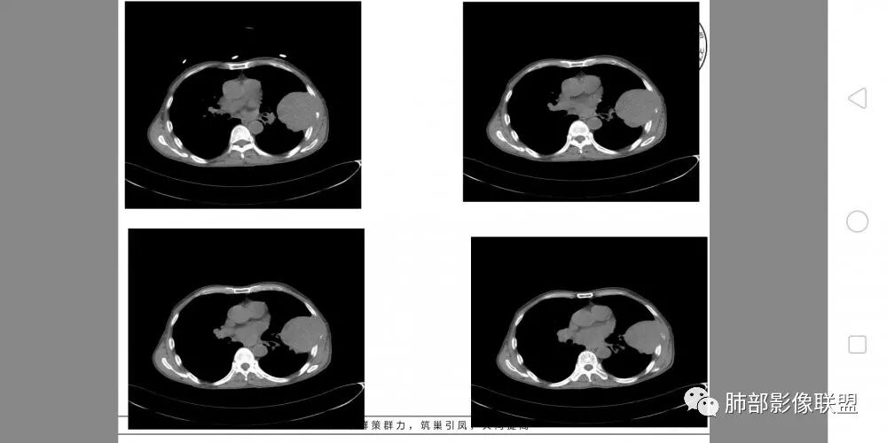
定位:主体病灶在肺内,外朝内,可见支气管推移,胸膜掀起未见,巨大肿物未见肿物边缘有肺不张条状高密度影,推测肺内可能大。
定性:恶性肿瘤。坏死加转移加生长迅速,大细胞肺癌?肉瘤?
鉴别:若定位偏差,与间皮瘤、骨肉瘤等鉴别。
小兜
左肺上叶肿块,边缘光滑,向外侵犯胸膜,临近肋骨及胸壁,增强不均匀强化,有坏死,考虑为肺内恶性肿瘤侵犯临近肋骨及胸壁。鉴别孤立性肋骨浆细胞瘤,向肺内突出形成猫在毯下征,胸壁侧累及少
初学者
我感觉是肺外的啊。


支气管推移为主,未进入病灶内

边缘光滑

胸膜掀起

感觉病变就是从胸膜外往里面长的,而不像肺内往外面长的

病灶整体实性为主,不符合肉瘤样癌坏死的改变。
王秀仙 
左肺上叶胸膜下起源巨大肿块,边缘略有分叶,周围肺组织及支气管推移受压,侵犯胸壁,肋骨破坏,密度不均,其内坏死范围比较大,坏死区边缘清晰,考虑肉瘤样癌。
亚子(潘零星平一人医)
肿块边直,支气管未见闭塞,是不是考虑外伤后肉芽肿炎,肋骨是不全骨折后骨质吸收。
淘时光
左肺上叶占位,支气管无明显阻塞,上下舌段支气管受压推移为主,分叉角增大,胸壁受侵犯,肋骨骨质破坏,考虑肺内外朝内的病变,肉瘤样癌?
傅昌瑜
老年男性,外伤后发现左上肺肿块,整体呈膨胀性生长,有胸膜栽赃,肋骨破坏,诊断:恶性肿瘤。近端支气管受压推移,强化时见内侧小片坏死,提示为外朝内生长,那就要考虑:1.间叶来源的肿瘤:肉瘤?2.胸膜来源的恶性肿瘤:未见明显的胸膜尾征,可能性小;3.转移瘤:需要原发病灶。
清嘉
老年男性,左上肺团块,外向内生长,近端支气管受压推移动,轻度分叶,不均匀强化,临近肋骨破坏,胸壁软组织局部肿胀,考虑恶性肿瘤,肺来源可能大,考虑肉瘤样癌,大细胞癌,鉴别鳞癌。
蔡笑燕 
定位,肺内,左肺上叶胸膜下肿块,边缘光滑,未见分叶毛刺,支气管受压推移,有大片坏死,胸壁受侵犯,考虑恶性,肉瘤样癌?可以多平面重建看支气管跟肺内关系,如果支气管有截断,不除外磷癌
小赵 
老年男性,腰部外伤史。
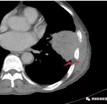
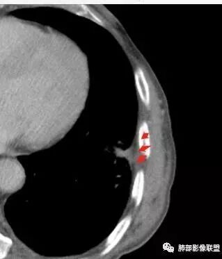
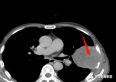
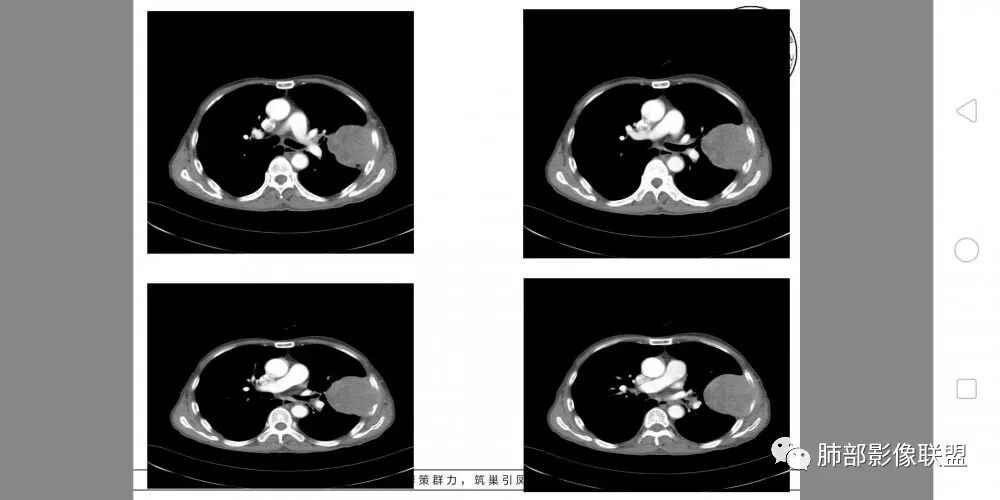
胸部CT所见左肺上叶尖后段胸膜下较大山丘形肿块,边界清楚,宽基底与胸膜相贴,边缘与胸膜呈直角及锐角相交。邻近上叶尖后段支气管受压推挤,叶裂局部膨隆,病灶周围见少许磨玻璃密度影,边界不清。纵膈窗显示,肿块密度均匀,增强扫描呈不均匀轻度强化,邻近肋骨骨质破坏,病变沿肋间隙向外侵犯,局部胸膜增厚。纵膈内见多发小淋巴结,未见胸腔积液征象。综合考虑恶性占位,肉瘤样癌可能性大。腰椎及髋部考虑骨转移。
毛勤香 广西柳州龙潭医院影像 
老年男性,左肺上叶舌段胸膜下肿块,外朝内生长,对应支气管受压变窄,肿块边界清晰,邻近胸膜胸壁和肋骨受侵犯,增强扫描明显不均匀强化,内有较多坏死,考虑恶性,首先肉瘤样癌,鉴别低分化腺癌。
崔少钢 
老年男性,病史无特殊。影像:左肺上叶大肿块,宽基底,边界光滑,周围气管血管有推移,略有分叶,明显栽赃,肋骨破坏,恶性肯定没问题,考虑:1.胸膜有掀起,符合肺外的恶性肿瘤,优先考虑。2.左肺上叶尖后段不确定是否阻塞,如果阻塞,考虑肺内,肉瘤样癌,待排。
尘缘
64岁男,外伤史2月,左肺上叶胸膜下巨大肿块,边缘光滑,浅分叶,舌段支气管支压前移,斜裂受压后移,胸膜局部抛起,肋骨破坏,增强后不均匀强化,有不规则坏死,可能的诊断有:1、间叶来源恶性肿瘤(肉瘤,肉瘤样癌),2、胸膜恶性间皮瘤,3、多发骨髓瘤,4、血肿机化。5、肺内来源其他低化分肺癌。个人倾向于1、间叶来源恶性肿瘤(肉瘤,肉瘤样癌?)伴肋骨,腰椎,髋部转移性,病理骨折可能?2、多发性骨髓瘤。
红日东升 
老年男性,左肺上外周肿块,内侧边界清晰,气管受压,外侧与胸壁境界不清,肋骨破坏增强扫描明显不均匀强化,实性为主,坏死较少,考虑恶性,肺内来源,肉瘤或肉瘤样癌。














  
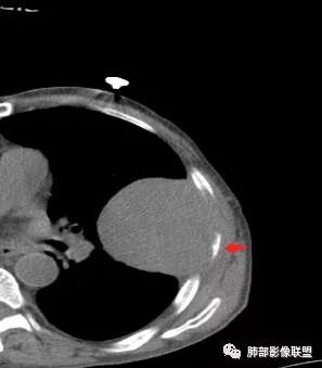
定性:恶性没问题,胸膜栽赃
定位:叶裂来源符合吗?不符合
我们根据征象找真相

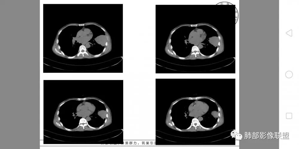
病灶与叶裂之间夹有上叶下舌段支气管、血管。舌段支气管后移,尖后段支气管前移,病灶将支气管撑开。

叶裂受压后移,提示病灶不来源于叶裂。
内朝外?外朝内?
支气管推移-----提示外朝内

近端肺动脉受压外移,但是有部分进入病灶内-------提示与肺有千丝万缕的关系。


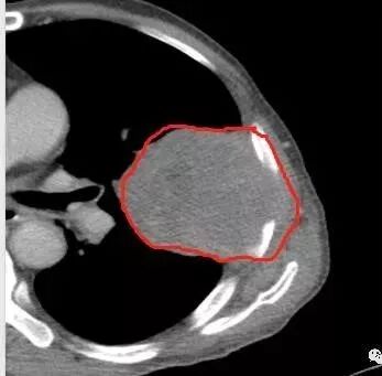
胸壁来源符合吗?
不符合,因为病灶的主体在肺内,而且胸膜在病灶的外侧为主

与胸膜非钝角相交

病灶的整体形态--肺内边界清晰,膨胀性为主

如果是外面长进来的,胸膜掀起的角度一般更大,呈钝角


我们换个角度讲,如果是胸壁肋骨来源,病灶外朝内生长,并且朝内生长这么大,按理说应该是内侧侵袭性强,外侧侵袭弱。但是看这个病灶,外侧边界反而不清,内侧边界清,整个形态不太符合肋骨来源,而且胸膜局部增厚也不太符合胸壁来源。我认为肋骨来源应该以肋骨为中心,偏侧可以,但不会这么明显。而且血供也不一致,应该是肋间或胸壁动脉明显。


肋骨内侧面破坏为主,朝外有轻微的推移迹象。我觉得胸壁来源的放后面,特别是支气管的堵塞,这是肺外病变很少见的,SFT也有,罕见。
胸膜来源侵袭性SFT?肺内恶性肿瘤?
胸膜的孤立的侵袭性SFT一般骨质破坏没有这么厉害。
综合考虑恶性肿瘤,外朝内发展,倾向于肺内来源。

病理结果












病例小结


    鳞癌,与吸烟关系密切,起源于支气管粘膜上皮,典型的征象就是支气管截断,周围型鳞癌往往体积较大,有时候与支气管关系不好判断,需要多平面重建看支气管的关系。
    鳞癌因为侵袭性力较强,容易直接侵犯胸膜、胸壁,而周围型肺癌侵犯胸壁的90%癌肿是鳞癌,这也是鳞癌的一个特征性表现。邻近胸壁的脂肪层消失,胸壁肿块形成或有肋骨皮髓质边界不清的侵蚀破坏(而非边缘硬化或崩解)是瘤体向周围直接侵犯的可靠征象。
    鳞癌因为破坏力强,其内可见灶样坏死区,坏死边界不清,其内血管破坏彻底。
    肉瘤样癌也好发于中老年人,与吸烟关系密切。肿块体积往往较大,也是好发于胸膜下伴胸壁侵犯,也容易发生坏死,与周围型鳞癌的主要鉴别点在于支气管的关系和病灶内强化的情况。肉瘤样癌以环状强化为主,病灶周边多以癌组织为主,血供丰富,病灶中心区则以肉瘤成分为主,血供较差,易出现粘液样变性、坏死、出血,坏死边界清楚。
    肺肉瘤是少见的来源于间叶组织来源的肿瘤,起源于肺间质、支气管壁、支气管软骨等间叶组织,往往体积较大,边缘光整,无明显分叶、毛刺,也会大片坏死,也会有胸壁的侵犯,有时与肺癌、肉瘤样癌很难鉴别。

End

◆ 倚天屠龙记——肺鳞癌的诊断影像篇
编辑:闫美利
审核:蔡笑燕   徐  晓



到顶部