【每日晨读】南边解读---结核千面妖




















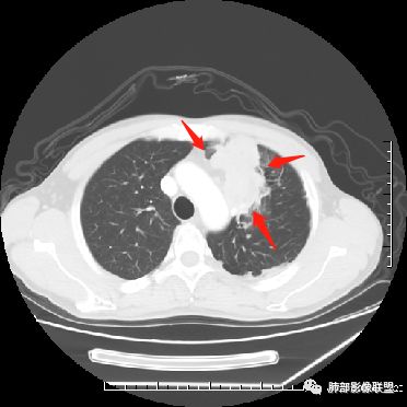
1

2

群内讨论
马春平(张家港市一院胸外科):
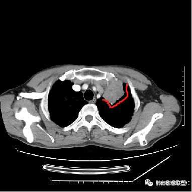
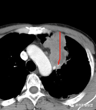
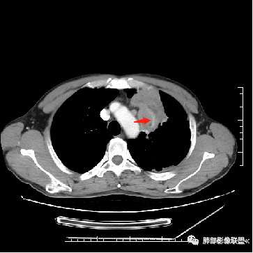
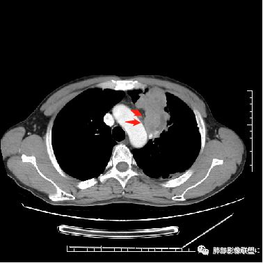
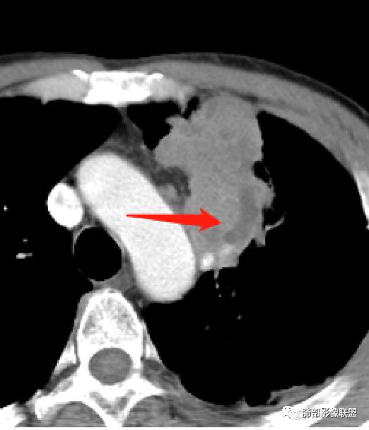
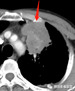
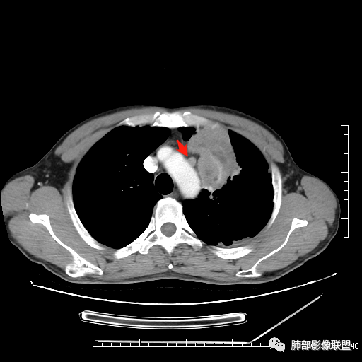
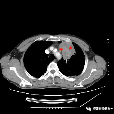
左上肺占位支气管阻塞伴肺不张、肿瘤不均匀强化,考虑鳞癌.
甄德强 :
左肺上叶见实性结节,边缘可见分叶,周周可见磨玻璃影,病灶不均匀强化,中心可见坏死,部分坏死边界不清,部分呈环形,血管进入病灶内部,边缘逐渐变细截断,总体表现考虑恶性,腺癌。
秦化君:
中年男性,咳嗽咳痰一月。左肺上叶团块状软组织密度影,边缘部分清晰周围见磨玻璃影,增强后其内密度不均可见散在斑片状低密度区,血管造影征完整,团块邻近胸膜可见多发圆形低密度透光灶。左肺门处上叶血管似被包绕。左侧胸膜粘连肥厚。考虑1.左肺占位,淋巴瘤?鳞癌?2.因病灶内散在低密度待除外感染性病变可能
晕晕菜:
中年男性,咳嗽咳痰一月余入院胸CT:左肺上叶前段占位性病变,病灶内可见密度不均,可见低密度区,病灶可见分叶,增强病灶内可见血管征,血管边缘模糊,病灶近胸膜下呈膨胀性生长。诊断考虑:恶性病变。
王开金江津中心医院呼吸科:
40岁以上男性,中等病程,咳嗽,咳痰,左上块影,孤立,膨胀,胸膜受累,内密度高低不一,血管穿入,考虑肺癌,鳞?气管镜or穿刺!
曹志勇:
左肺上叶肿块,强化不均匀,内见坏死,血管纤细,病灶周围有阻塞性炎,所见图像未见肿大淋巴结。考虑鳞癌可能大。
薏米:
中年男性,亚急性起病,咳嗽,咳痰,左肺上叶肿块,边界清,膨隆,可见分叶,增强可见内部坏死,不均匀强化,部分边界累及胸膜,考虑恶性。
凝睦:
左肺上叶肿块,周周可见磨玻璃影,不均匀强化,内部可见坏死,部分坏死边界不清,血管进入病灶内,恶性肿瘤,考虑鳞癌。
月影无踪:
分叶,破坏力不强,纵隔胸膜受累,周围阻塞性炎症,胸膜多发结节。考虑恶性,支持腺癌可能大。
看图说话:
左肺上叶肿块,边缘大部分平直,部分膨隆,周周可见磨玻璃影,不均匀强化,内部可见坏死,部分坏死边界不清,考虑恶性肿瘤,鳞癌可能大,病灶边缘大部分平直,不除外炎性。
水晶石头:
患者中年男性,咳嗽、咳痰1月余入院。胸部CT:左肺上叶尖段近胸膜下肿块占位灶,边缘光滑,边界清楚,周围可见片状磨玻璃影,可见平直、毛刺、分叶征象,增强轻度强化,内可见点片多发低密度区及部分血管影,与支气管关系欠清,左肺上叶背侧胸膜增厚、胸膜下结节,右肺似见多发小结节灶,淋巴结不大。综合考虑良性病变,结核可能性大,鉴别腺癌并肺内、胸膜转移及淋巴瘤等。
飞鹰行动:
左肺上叶见不规则肿块影,可见分叶,边缘膨隆部分边缘平直,增强后病灶可见不均匀明显强化,内见血管影,其血管边缘不光滑,周围肺野可见小结节病灶,考虑恶性病变,肿块与支气管关系显示不清,需要薄层,从肿块边缘平直来看应该有阻塞性肺炎和肺不张,偏向鳞癌。
流心明智:
男性,47岁,咳嗽咳痰一月。
胸CT:左上叶前段团块影,边缘部分清晰,近纵隔侧膨隆明显,分叶,肺侧见平直征,U形凹陷,病灶周围可见磨玻璃影,气肿带,纵隔多发淋巴结肿大,叶间裂多发小结节。增强病灶内密度不均,散在斑片状低密度区,血管造影征。考虑:恶性,鳞?腺?大细胞?鉴别:炎症。似有左侧胸廓内A供血病灶,SFT?
和风徐徐:
男,47岁,咳嗽咳痰一月余入院肺气肿背景。左上肺纵隔旁非均质肿块,分叶、膨隆,部分边缘光滑,肺门可见冰冻征,增强不均匀强化,见沼泽地样坏死,邻近肺组织见斑片状炎症,考虑恶性肿瘤,首先考虑小细胞癌,鉴别鳞癌。
傅昌瑜:
47岁男性,咳嗽咳痰1月余。左肺上叶结节灶,形态不规则,边缘见分叶,其内可见斑片状低密度区。增强扫描呈轻度强化,侵犯纵隔及部分胸膜,综合考虑恶性!
弹指之间:
中年男性,左肺上叶肿块、片状状影,形态不规则,边缘见分叶及磨玻璃影,其内可见斑片状低密度区及血管穿行。增强扫描呈轻度强化,侵犯纵隔及部分胸膜,纵隔见多发淋巴结肿大,定位:肺内,左上肺部分有不张;定性:偏恶性,侵犯支气管(病灶内见条状低密度影)但血管无明显受累,考虑粘膜相关性淋巴瘤(粘膜下起源)可能,结核待排;腺癌、鳞癌(血管无受侵不首先考虑),小细胞(无典型表现、虽然血管保留可见于小细胞);
没意见:
外大内小,不除外结核。
小赵:
首先定位肺内,理由是内乳动脉未见移位。左肺上叶前段肿块,边界清楚,边缘呈分叶状,增强扫描呈不均匀强化,内见边界不清无强化坏死区。同时于病灶内见多发迂曲走形边缘毛糙血管影。考虑恶性,建议穿刺。
王秀仙:
左肺上叶不规则软组织肿块,分叶,病灶内密度不均匀,周围可见磨玻璃影,外侧可见局限性肺气肿,增强后轻度强化,病灶内强化血管增粗且模糊,坏死区无强化,纵隔淋巴结肿大,考虑恶性占位,鳞癌。鉴别结核。
Coke with ice:
男,47岁,咳嗽咳痰一月。病灶位于左内乳动脉内缘,定位肺内,呈团片状异常密度影,整体沿支气管气管束走形分布,由肺门达胸膜下,于近肺门侧病灶形态相对较小,病灶远端相对较大,病灶整体密度偏均匀,强化偏明显,病灶内见多发支气管扩张并粘液栓形成,且扩张支气管粗细不均,直达病灶以远,病灶内血管走形正常、粗细均匀,病灶周围见边缘模糊磨玻璃及少许腺泡结节。左肺门及纵隔略大淋巴结,左侧胸膜局限性增厚。诊断:左肺上叶前段异常密度影,炎性肉芽肿性病变可能,结核不能除外,建议穿刺活检除外恶性肿瘤。
sun dt:
支持肉芽肿性炎,肺癌待排,穿刺活检。

1


病理结果


肺结核
1


病例小结(跟着南大套路)



1.左肺上叶尖后段体积变化不大,病灶长轴沿支气管血管束向肺门侧生长,

2.病灶外围大,内带小,外朝内蔓延

3.病灶边缘以收缩为主,局部稍膨隆,


4.病灶整体轻中度强化,强化较均匀,局部见多个管状低密度影,边界清,考虑支气管粘液栓;病灶局部可小灶样的低密度区,未见强化,考虑坏死灶,坏死灶周围见明显强化的壁,壁清楚、光整,未见中断,倾向炎性肉芽肿的坏死;


5.病灶内血管部分走形自然,部分走形僵直、粗细不均,提示病灶有部分破坏力,但是不强;


6.病灶与纵隔胸膜呈“糊墙”样改变,倾向炎性病灶;

6.纵隔淋巴结肿大,密度均匀,强化均匀;


                 
综合分析
本病例未行冠矢状位重建,未提供连续薄层图像,病灶与支气管情况呈现不满意。
1.中年男性,慢性病程,以咳嗽咳痰为主;
2.双上肺多发病灶,左肺上叶病灶沿血管支气管束分布,由外朝内,以平直收缩为主,周围有斑片渗出,胸膜糊墙,支持炎性病灶或是伴有肿瘤灶可能性。
两上肺发病,多支持结核等感染,但结核基础上伴发肺癌并不鲜见!
3.病灶内多支支气管粘液栓,炎性及恶性均可,但是炎性多于恶性;强化杂乱不均,病灶内小灶坏死比规则,支持炎性肉芽肿病变。
鳞癌病灶如较大,强化常不够显著且多见相对大范围湖泊样坏死。
4. 应仔细观察病变的支气管情况,如果支气管出现腔内结节或阻塞征象,需要提示临床干预,用支气管镜、穿刺等手段来进一步确诊。
 5.  本例的焦点主要集中在结核与周围型肺鳞癌的鉴别诊断上!
病灶与大气道的关系未能满意呈现,但如此大范围病灶紧贴胸膜却未见胸壁纵隔组织结构侵犯破坏是不大符合肺鳞癌的生物学行为的。

1
往期回顾
《支气管树爬行征:肺内结核性肉芽肿的特征性CT征象之一》
姿势已摆好
就等你点啦

End
病例编辑:虎爸
病例提供者:盐城市第三人民医院 李运健
病例审核:蔡笑燕   徐晓



到顶部