【每日晨读】空洞窥秘--肺结核合并金葡菌感染



一种单纯的心境,和梦想同一性质的源于对自然,对生命最初的感受。这在世俗里,被客观现实和恶意中伤所困苦的人看来是不可实现的。最终明白,拥有梦想和实现梦想是一样的美丽。

病例资料
























群内讨论
於雄:
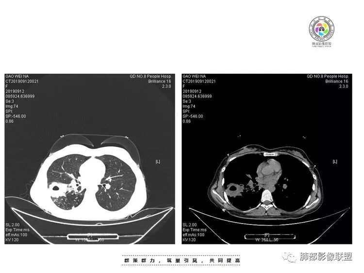
年轻女性,咳嗽咳痰(白黏痰)一月,加重一周,发热3天伴咯血。实验室:中性粒、CRP、血沉增高CT:右肺下叶不规则厚壁空洞伴散在树芽、小叶中心结节。空洞内壁光滑,似见液平。无胸腔积液及明显纵膈肿大淋巴结。给予左氧及美洛治疗12天复查CT,病灶明显吸收缩小。考虑感染没有问题。问题是单纯细菌感染还是结核感染?甚至二元?患者病史较长,临床与影像都有符合结核的表现,且左氧对结核治疗有效。因此,建议痰找抗酸杆菌,痰培养,并继续复查肺部CT。
马春平:
青年女性咳嗽带血,右下背段厚壁光滑空洞伴坏死,周围渗出伴树芽征,氧氟沙星治疗后有病灶有吸收、新旧交替,考虑结核。
小兜:
年轻女性,咳嗽咳痰一个月,加重一周,发热三天。实验室检查,白细胞,血沉,CRP增高影像,右肺下叶不规则厚壁空洞,内部光整,厚壁空洞周围伴有大量渗出及树芽征;抗炎治疗后空洞缩小,增强洞壁伴有坏死,考虑为炎性病变,结核可能性大
晕晕菜:
患者青年女性咳嗽、咳痰1月,加重1周,发热3天。患者1月前受凉后出现咳嗽,咳少量白色痰,1周前咳嗽加重,痰量增多,为黄白色黏痰,偶有痰中带血,轻微胸闷,近3天来出现发热,最高体温38.4℃,伴乏力,食欲下降。辅助检查:血常规白细胞及中性分类 血沉 CRP均增高。胸CT:右肺下叶前基底段实变病灶内可见空洞,洞内可见气液平面,病灶周围及右肺下叶背段可见树芽征 、结节。经抗感染治疗,基底段病灶较前缩小,背段病灶 融合 增大。考虑良性病变,空洞性肺结核合并细菌感染。
阿仙奴:
青年女性,亚急性病程,近1周加重,咳嗽,黄痰,痰血,发热,乏力,食欲下降。血沉,血白细胞,中性粒细胞升高。胸部CT:右肺下叶背段,基底段多发病灶,结节,树芽,实变,空洞,支气管似有狭窄。抗感染治疗后部分好转。考虑:肺结核合并支气管结核?
欣:
年轻女性,右肺下叶背段,腺泡结节,树芽征,厚壁空洞有液气平面,纵隔多发小淋巴结,气管前淋巴结中间有点状钙化。病人咳嗽一个月,最开始少量白痰。后面中度发热,痰中带血,黄白痰。抗炎空洞有吸收。左氧对TB是有效的。综合考虑肺结核。空洞不排除肺脓肿,结核合并细菌感染。鉴别诊断真菌(毛霉菌)
风儿:
女,28,咳嗽咳痰(白黏痰)一月,加重一周,发热3天伴咯血。实验室:WBC,中性粒、CRP、血沉增高CT:右肺下叶背段不规则厚壁空洞伴液平,内壁光滑,临近胸膜牵拉、糊墙,近端引流支气管壁厚,周围肺野散在树芽、小叶中心结节、斑片伴肺气肿,纵隔及右肺门有淋巴结,治疗后病灶缩小;考虑结核伴感染。
没意见:
青年女性,亚急性病程,呼吸道感染症状,影像:右肺下叶厚壁空洞,内壁光滑,似有液平,外缘分叶、收缩+膨隆,支气管树芽,腺泡结节,界限较为清晰,近端支气管增厚,纵隔淋巴结肿大,强化不均匀;抗感染治疗后,团块短期内似有缩小,背段结节略增大,考虑感染,第一个排除肿瘤,影像上更支持结核,临床进程上支持脓肿,不除外二元因素,结核并感染
大宝儿蕊:
青年女性,临床体征和实验室检查支持炎性改变,缓慢病程,急性发作; 胸部CT :右肺下叶不规则实变影合并空洞形成,厚壁,內壁光整,似有液平,周围见卫星灶,树芽征,小叶中心结节,小叶间隔增厚,粘液栓,抗炎治疗后病灶较前吸收好转,考虑炎性病变 , 结核合并细菌感染?
雪颜:
年轻女性,咳嗽,咳痰,低热,乏力,白细胞增高,血沉增快.CT病变厚壁空洞,内壁光滑,周围可见实变及多发结节及树芽征,叶间胸膜略增厚,凹陷,考虑感染性病变;综合考虑:肺结核合并细菌感染可能;抗炎,查结核菌。
水晶石头:
患者青年女性,咳嗽、咳痰1月,加重1周,发热3天就诊。病程中偶有痰中带血。查血常规白细胞及中性分类、血沉、CRP增高。胸部CT:右肺下叶可见斑片实变、结节树芽及空洞影,背段为明显,洞壁光滑、内可见液平,且实变空洞区呈支气管爬树征。虽经抗感染治疗症状好转,病灶有吸收,但结合其病史达一月,抗感染使用喹诺酮类抗生素。综合考虑考虑良性病变,结核合并细菌感染可能性大。鉴别恶性及血管炎并感染。
傅昌俞:
29岁女性,既往体健。咳嗽咳痰(白黏痰)一月,加重一周(黄白痰),发热3天伴咯血。血常规:中性粒、CRP升高,血沉增高。CT:右肺下叶不规则厚壁空洞伴散在树芽、小叶中心结节。空洞内壁光滑,似见液平。无胸腔积液及明显纵膈肿大淋巴结。予左氧及美洛西林舒巴坦治疗12天,临床症状减轻。复查CT见空洞明显吸收缩小,增强见薄壁空洞,内有液平,引流支气管增厚。考虑感染;是单纯细菌感染还是结核感染?还是细菌合并结核?建议痰找抗酸杆菌,痰培养,并继续复查肺部CT,可完善支气管镜检查。
心灵鸡汤:
青年女性,有低热,咳嗽,白细胞稍高,血沉高,右下叶背段可见不规则形厚壁空洞,内壁光整,周围见小花小草样斑片簇状影分布,右下叶背段支气管增厚,似有空洞相连,抗感染性治疗后,右下叶斑片影较前部分吸收减少,右下叶背段空洞缩小,但周围斑片影较前进展,右下叶背段支气管壁增厚,变窄,常规考虑继发性肺结核可能,建议增强,支气管镜及痰检痰培,结核分枝杆菌检查。
毛勤香:
年轻女性,咳嗽咳痰,右肺下叶见厚壁空洞伴液气平面,有树芽征,治疗后空洞变小,周围病灶增多融合,支气管壁增厚略有扩张,临床血象高,考虑结核合并细菌感染。
崇军:
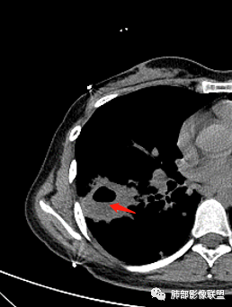
年轻女性:右肺下叶背段,基底段不规则厚壁空洞,内壁光滑,且内壁上有坏死组织,第一次有液气平面,边缘分叶、膨隆、平直,周围多发腺泡结节,树芽,内侧支气管有狭窄。抗感染治疗后空洞缩小,但腺泡结节变化不大,考虑:肺结核合并伴感染?


南边老师分析



南边:
1.空洞+树芽征,树芽征边界清楚,年轻女性,支持结核
2.空洞腔内有液气平面,治疗后好转,支持合并细菌性感染
大概的方向就这样
小赵:
请问老师,结核液气平面多见吗?
南边:
有,可以液化,比较罕见


病例结果







回顾性讨论
                          
滕翔:
这个病例想提几个问题请教大家;
1.对影像科老师来讲,可能定到良性病变就可以了。但是对于临床医生,不知道这个病例第一次看到平扫的CT就积极做气管镜呢?还是常规抗感染治疗后复查?                                                                                            2.这个病人入院后第三天就出来金葡了,治疗后也体温下来了,就没有进一步想着积极做气管镜,是不是有问题?为什么这个空洞我们反复查痰发现不了TB?跟金葡有关系吗?                                                                        3.这个金葡和结核哪个发病在前?
甄得强:
其实这个病变影像科第一眼会考虑结核,空洞,树芽,有液平会考虑混合感染
尘缘:
其实这个病例结果还是有商榷的地方,就是那个到底是空洞合并的感染,还是脓肿。
从影像来说,我还是倾向于结核空洞基础上合并的感染。不像金葡脓肿。
金葡脓肿很少这么一个单发,而且看空洞壁也不像脓肿壁。
滕翔:
这个病例,还是有一些搞不清楚的地方,希望能获得大家的指导。结核是从右肺下叶背段的盥洗液查到的。还有刷检是从主气道,我做镜子的时候看到主气道有黄色的脓苔,特别像是结核的那种,那个地方3个加号的结核。
我觉得是不是应该是先形成的肺结核空洞,然后空洞内近期感染的金葡?导致病人入院前病情加重?

尘缘:这个形态,周围有收缩的胸膜牵拉与引流支气管的改变,都符合典型的结核空洞表现


肺部单发空洞鉴别点
1.空洞厚度   
空洞壁厚≥3mm为厚壁空洞,常见于肺癌、肺结核、肺脓
肿空洞壁厚<3mm为薄壁空洞,常见于肺结核的浸润干酪性空洞和纤维薄壁空洞
2.空洞内缘   
内缘光滑常见于肺脓肿、肺结核的纤维空洞
内缘凹凸不平及壁结节见于肺癌及肺结核的纤维干酪性空洞
3.空洞内容物 
气液平主要见于急性肺脓肿,少见于肺结核合并感染及出血
空洞内固体成分可以为肿瘤结节,干酪性坏死物,凝血块, 曲霉菌等
4.空洞周围   
卫星灶见于肺结核的各种空洞空洞周围有片状浸润影见于急性肺脓肿、浸润干酪性空洞
                     本例小结
1.青年女性患者,咳嗽一月,发热3天。非易感人群。
2.右肺下叶片状影、结节影、硬树丫。单发空洞伴液平,内壁规则,外壁较清楚。相关支气管壁增厚。
影像符合典型继发性肺结核,或者说结核它是之前已经存在的。
3.该患者病程短,临床实践中,范围有限的结核灶较少引起明显发热。
结核空洞相对薄壁且很少液平,如此明显洞内积液也会怀疑合并细菌等感染。
抗感染治疗后短期复查右肺病灶变化明显,部分病灶如空洞性病灶明显吸收,部分病灶稍有增大融合(如背段病灶)。
可以基本明确合并细菌感染,且变化部分不宜用结核感染解释。
4.范围相对局限脓腔或者空洞病灶伴感染,多见于革兰氏阴性菌感染,查出金葡菌实属意外。

编辑:程   磊
审核:蔡笑燕   徐   晓
病例提供:青岛市第八人民医院呼吸科 腾翔



到顶部