【每日晨读】南边解读---恶性皮囊下的炎性肿块



患者男性,73岁,因上腹部疼痛入住外科,术前检查胸部CT:肺占位;患者1月余前因上腹部疼痛门诊行胃镜检查,结合病理提示:贲门癌。否认吸烟史及家族史。








张帅:
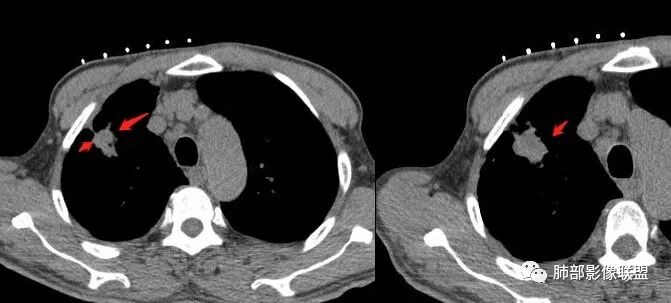
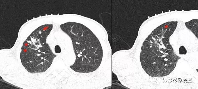
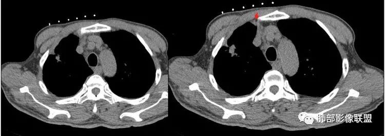
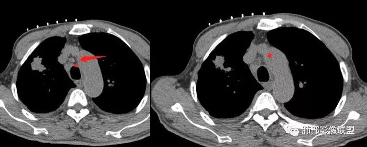
右肺上叶尖段病灶,边缘长、软毛刺,U型征,局部胸膜增厚牵拉,卫星灶。纵隔4R淋巴结增大。
穿越七海的风:右肺上叶病灶,周围卫星灶,U型征,边缘长毛刺,结核首选,恶性肿瘤不能排除。
毛勤香:
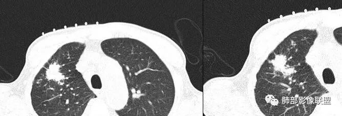
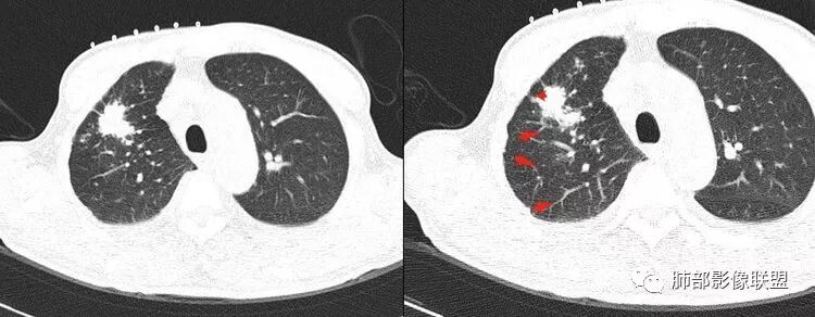
右侧胸廓稍塌陷,右肺体积稍变小,右肺上叶结节,有膨隆有收缩,局部膨隆明显,见胸膜牵拉,胸膜多发增厚,周围卫星灶,另两肺感觉多发微结节影,应该是有结核的,右肺上叶大结节需警惕合并肺腺癌,建议完善增强和三维重建,另两肺多发微结节,有贲门癌病史,需除外转移瘤。
孙冰伟:老年男性,有贲门癌病史,未提及入院常规检查肺部有问题,右肺上叶尖段病灶,边缘长软毛刺,局部胸膜增厚牵拉,周围有卫星灶。纵隔淋巴结增大,首先考虑良性病变,结核可能性大,建议穿刺活检或CT增强检查。
明日の路过:
老年男性,有肿瘤病史,右肺上叶肿块,病灶多发毛刺,胸膜牵拉,边缘考虑月牙铲,病灶见空泡征,病灶体积偏大,有恶性征象我首先考虑肿瘤,鉴别结核。
傅昌瑜:老年男性,有贲门癌史,右上团块影分叶毛刺胸膜凹陷→恶性可能,周围有卫星灶→良性可能。右侧胸廓塌陷,右侧胸膜有较多结节,双侧胸腔少量积液。整体考虑良性可能→结核可能性大。建议增强及穿刺检查。
THINKER:右上肺前段结节,胸膜凹陷征,整体收缩,有空泡征,胸膜多发结节,纵隔淋巴结肿大,双侧胸腔少量积水;考虑恶性,原发腺癌>转移;
前段炎症丶恶性好发,非结核好发部位。
没意见:老年男性,贲门癌病史;CT:右肺上叶前段块状影,病灶由上至下纵轴跨度略长,轴位多个层面提示分叶、膨隆,毛刺,局部平直、内收、凹陷;病灶略散,主体病灶周边卫星灶,支气管树芽征,胸膜增厚,牵拉凹陷,4R淋巴结稍大;整体感觉良恶征象皆有,遗憾没有增强,无法进一步确认,目前转移瘤可能性小,考虑结核可能性较大,需要与原发肺癌鉴别;
流心明智:
老年男性,贲门癌病史。胸CT:右侧胸廓塌陷,右肺体积变小,右肺上叶大结节,深分叶、胸膜牵拉、毛刺,周围卫星灶,两肺多发微结节影,纵隔多发肿大淋巴结,先考虑恶性,结核待排。
小兜:右肺上叶尖段结节,分叶,周边见细长毛刺及胸膜牵拉,周边多发卫星灶,考虑结核可能性大。
欧阳英:
老年男性,有贲门癌病史,右肺上叶结节,有分叶毛刺征,胸膜牵拉,周围多发微小结节,纵隔淋巴结肿大,双侧少量胸水,考虑恶性结节可能,结核不排,建议增强。
丽:右肺上叶尖段近胸膜下结节,部分边缘膨隆,可见胸膜牵拉,周围可见多发播散灶,伴双侧胸腔积液,考虑结核可能大,病人有贲门癌病史,老年男性,恶性肿瘤(转移瘤)不除外。
晨:右尖段病灶,边缘长软毛刺,局部胸膜增厚牵拉,周围卫星灶,纵隔淋巴结增大,首选考虑结核可能。
水晶石头:患者老年男性,术前胸部CT发现。胸部CT:右肺上叶不规则结节影,可见分叶、毛刺、胸膜凹陷、平直征象,周边可疑卫星灶。综合考虑良性病灶,结核可能性大,结合其明确诊断贲门癌,鉴别转移及恶性。
小赵:
老年男性,右肺上叶实性结节,边缘分叶,周围见较多卫星灶微结节,外侧见胸膜牵拉凹陷征,邻近胸膜反应明显。考虑良性病变,炎性肉芽肿可能,结核可能性较大。鉴于患者贲门癌病史,转移待排,建议穿刺。
阿飞:右肺尖段病灶,边缘长软毛刺,局部胸膜增厚牵拉,周围卫星灶,纵隔淋巴结增大,考虑良性,结核可能。
浪迹天涯:老年男性,贲门癌病史,右肺上叶病灶,局部有深分叶,边缘清楚,周围可见多发点状高密度影,邻近胸膜增厚(其脂肪层可见,未被侵犯),1.结核可能性大,2.腺癌合并结核。
三个石头:
良恶性征象都有,部分层面像多个结节堆积,周围见多发点状,小斑片。考虑结核。鉴别原发癌。
🎀丽🍀:右上肺病灶,呈分叶状、毛刺征,临近胸膜凹陷征,周围可见卫星灶。支持结核。
王秀仙:右肺上叶肿块,边缘有平直收缩,部分边缘膨隆,有分叶,有毛刺,周围见较多卫星灶结节,邻近胸膜反应增厚牵拉;考虑结核。
德芙~云味:右肺上叶实性结节,密度不是很实,周围斑斑点点,临近胸膜牵拉~有两条线,有恶性胃部病史,
考虑良性,带排恶性。
亚子(潘零星平一人医):
从边缘、胸膜、周围来看,良性排前;肺窗边缘膨隆,恶性特征也有。
周太狼:
老年男性,右肺上叶实性结节,边缘分叶,周围见较多卫星灶微结节,外侧见胸膜牵拉凹陷征,邻近胸膜反应明显。考虑良性病变,炎性肉芽肿可能,结核可能性较大。鉴于患者贲门癌病史,转移待排,建议穿刺。
玫:
右肺上叶肿块影,边界清晰,其内密度均匀,病灶边缘见分叶,毛刺及胸膜牵拉征,病灶周围见结节及卫星灶,结合病史,考虑腺癌可能,除外转移。
红日东升:老年男性,贲门癌病史。右肺尖段病灶,收缩明显,多发毛刺,胸膜牵拉,局部胸膜增厚牵拉,周围卫星灶,右上叶体积较小。考虑炎性肉芽肿,结核可能,鉴别腺癌。
谭先华:支气管看不清楚,首先怀疑转移,不符合点,太散在,多灶,多邻近胸膜,右肺多花花草草,不干浄,纵膈淋巴结不全,怕我们看见?双侧少量水?结核?不支持点,无钙化,不常见部位,未提示症状。责门癌多大,什么期?诊断:转移并肺多发浸润,淋巴结浸润?鉴别:原发腺癌并浸润。
处理:这个病例已经穿刺。看所有片子,增强,癌除外转移,看原发否?既往胸部检查?右肺缩小,有缘由?
蔡磊:右肺上叶结节,边缘较清,边缘有收缩,临近胸膜局限性增厚,周围见散在卫星灶,支气管未见明确截断,病灶内密度基本均匀,纵隔内多发增大淋巴结,总体考虑结核,建议增强后再观察,虽然有胃癌病史,转移瘤不是太像。
曹志勇:病灶分叶,局部欠彭隆,胸膜牵拉明显,但周围有卫星灶,首先考虑结核,鉴别腺癌,转移瘤基本不考虑。
马宁强:右肺上叶肿块,边缘有平直收缩,部分边缘膨隆,有分叶,有毛刺,周围见较多卫星灶结节,邻近胸膜反应增厚牵拉;考虑结核。
弹指之间:右上肺结节,毛刺、分叶,局部胸膜增厚牵拉、凹陷,恶性征象比较多,但周围卫星灶,纵隔淋巴结增大,第一考虑结核可能,腺癌待排吧

南边老师分析
南边:
老年男性,有贲门癌病史

南边:
深分叶、边缘膨隆、胸膜凹陷征及附近多发结节,胸膜不干净,纵隔多发淋巴结





甄德强:附近结节是不是卫星病灶南边:不一定是卫星灶三个石头:是不是只有结核才能说卫星灶吧甄德强:局部确实有膨隆南边:
这个病例的最大的考虑:是结核还是肿瘤的问题。
但是呢,我觉得这个病灶,它确实有一些恶性的特点,边缘膨隆,深分叶,有深短毛刺。
感觉胸膜上有很多结节,层面不够,还有一点胸水。






南边:纵隔淋巴结有融合的迹象,边界不清,右侧内乳动脉增粗了很多;怀疑纵隔淋巴结用血很大。有结核的话并不代表不能得癌肿;一般情况下结核附近的病灶呈条索树芽状;综上所述恶性不能完全排除。
南边:炎症的基本病理变化分为变质,渗出和增生。变质就是指炎症局部组织的变性和坏死,是比较常见的。其次是渗出,渗出是指炎症局部血管组织内的液体和细胞成分通过血管壁渗出到组织间隙、体表或者黏膜表面。渗出的液体和细胞成分,对机体是一个保护作用,同时渗出也是炎症最基本的病理变化。最后增生是指由于致炎因子的刺激组织细胞和其他一些细胞及炎症周围的上皮细胞和实质细胞增生,增生可以使炎症不再扩散,对机体也是一个保护作用,而且还可以起到炎症的修复作用。变质、渗出和增生是炎症三个最基本的病理变化。
1


                                        
病理结果
肺穿刺病理结果:纤维组织慢性炎细胞浸润伴肉芽肿反应
(病人后来抗炎治疗后随访复查病灶吸收)
                        本例小结
1.老年男性患者,腹痛就医。缺乏呼吸系统临床表现。既往有贲门恶性肿瘤病史。
2.右肺上叶斑片影、结节影、硬树丫,密度均匀未见钙化或液化。近胸壁处见分叶结节影及棘状突起,胸膜牵拉凹陷。
这种纵隔右移提示病程较长,腔静脉后见轻度增大淋巴结。
影像可以符合继发性肺结核或其他慢性炎症,或者说它们是存在的。
3.近胸壁处边缘分叶结节影,胸膜凹陷等使人怀疑基础疾病上出现新生物的可能性。
4.细看病灶有些散,有堆砌感。注意结核灶也常有胸膜牵拉。
增强扫描是应当的,对于区分结核灶拟或是肺腺癌有较大价值。病理检查还是必要的。
5.病理报告意犹未尽,引为憾事。这类肉芽肿炎更符合结核或非结核分枝杆菌感染。
编辑:龙  辉   湘西州人民医院
审核:蔡笑燕   徐   晓
病例提供:如皋 周翔



到顶部