【每日晨读】 南边解读——顽冥不化的肺部阴影











































讨论

笨丫头:
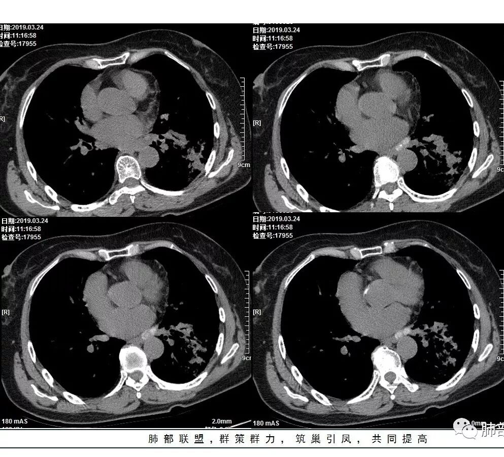
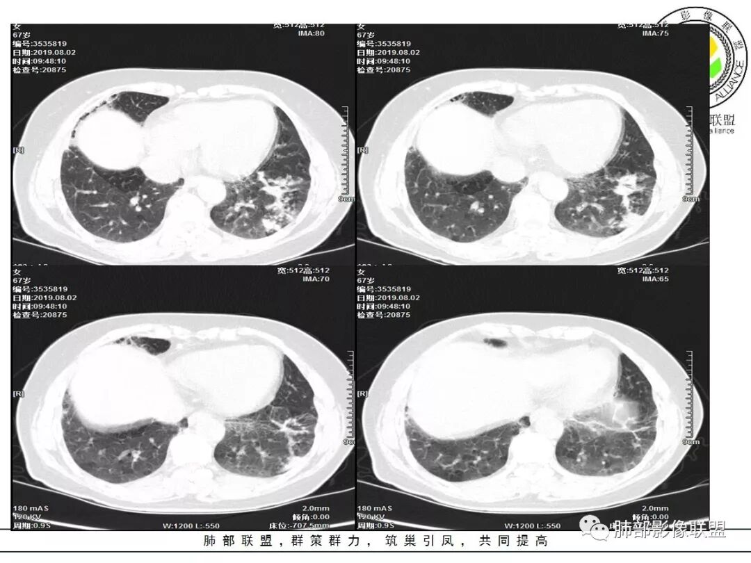
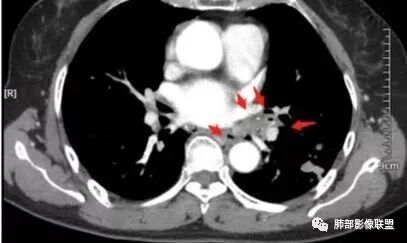
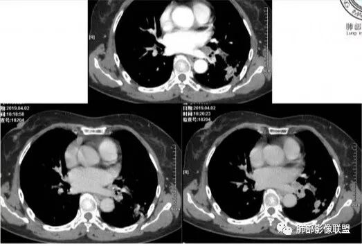
病灶位于左肺下叶背段,支气管狭窄,左肺门有肿大淋巴结,左肺肿块,周围伴磨玻璃影,抗感染治疗无效,感染指标不高,间断低热,首先考虑恶性,腺癌,结核待除外,建议肺穿刺活检。
晕晕菜:
慢性病史,咳嗽气短,近期发热。
炎性指标不高,抗感染治疗效果不佳。
 胸CT:左下叶实变影及磨玻璃影,小叶间隔增厚,内部支气管扩张、僵直。左肺门淋巴结肿大、钙化。考虑肺腺癌?合并感染
薏米:
咳嗽,近期发热,感染指标未见明显增高,左肺下叶可见斑片状密度增高影,可见磨玻璃影,边界尚清晰,实变,支气管扭曲,强化明显,灌洗液Xpert阳性,病理见少量淋巴细胞综合考虑恶性合并感染,腺癌可能,鉴别结核,淋巴瘤
甄德强:
强化幅度太高了不是结核强化特点
左肺下叶多发结节影及磨玻璃影,抗感染病灶部分吸收,增强扫描速升速降,左肺门见环形强化淋巴结,病灶反反复复,考虑肺炎型肺癌。

流心明智:
女,咳嗽、咳痰2月,发热2天。普通抗感染无效。
胸CT:左下叶基底段支气管狭窄,沿支气管分布斑片实变影、网格影、磨玻璃影,支气管充气征,无重力效应,左肺门淋巴结肿大、钙化。
 考虑:慢性特殊感染,TB,NTM?鉴别:肺炎型肺Ca
傅昌瑜:
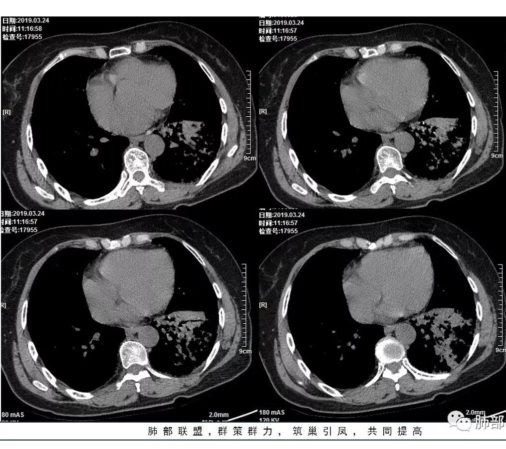
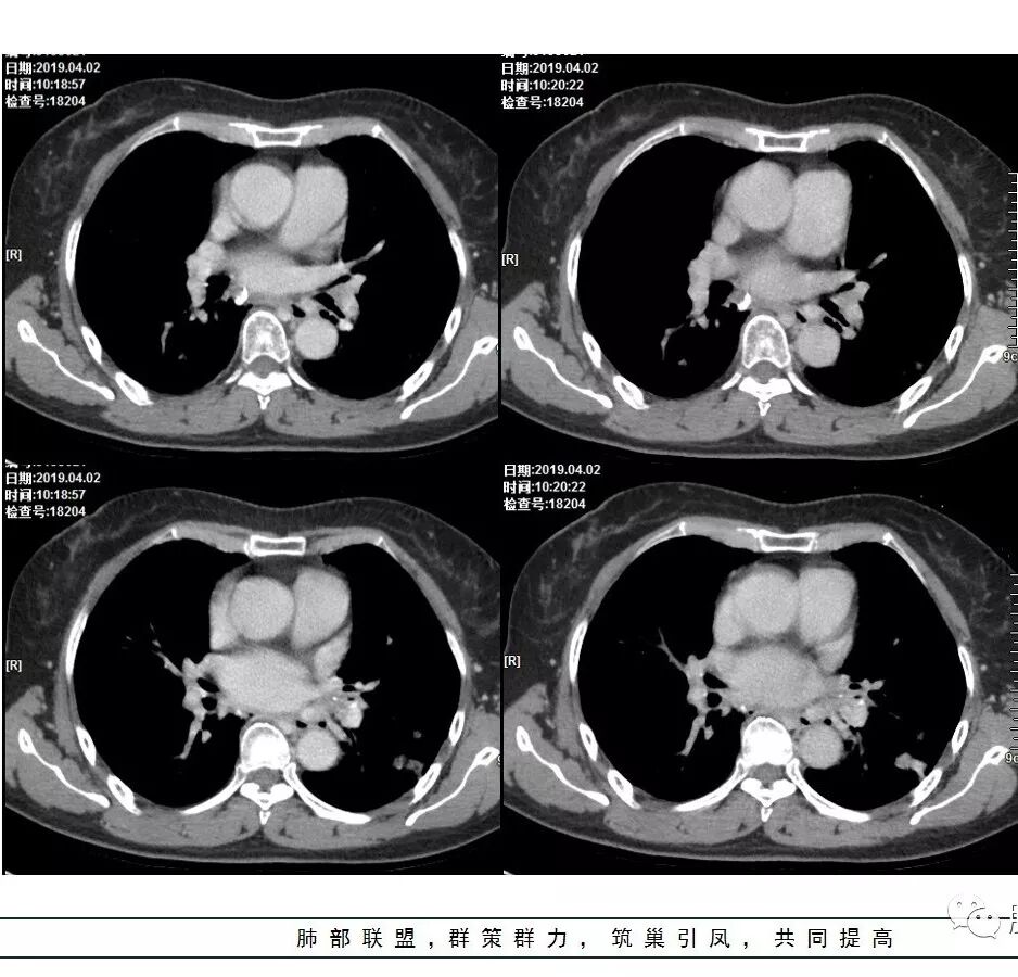
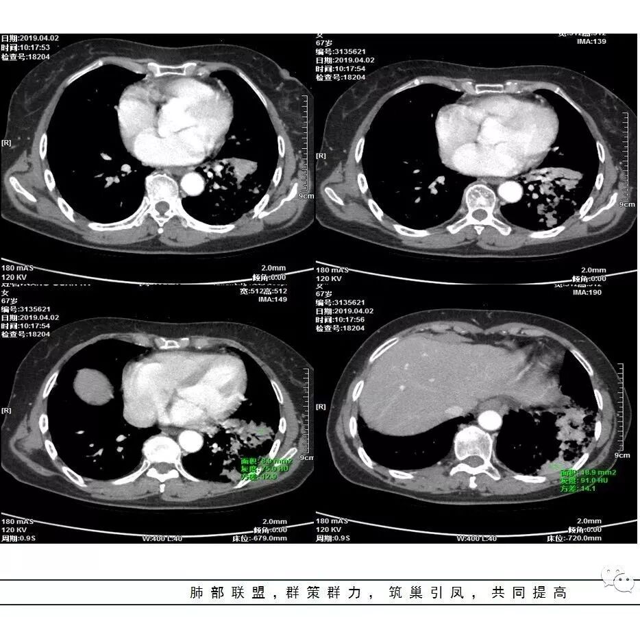
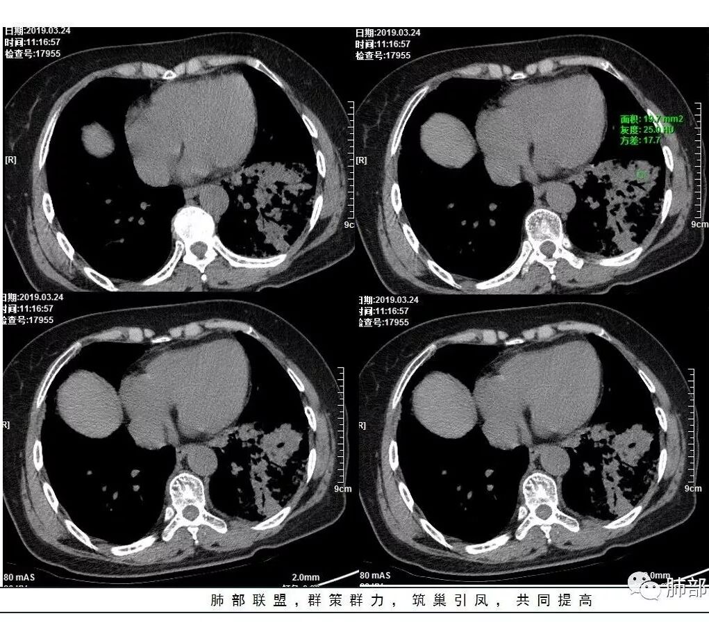
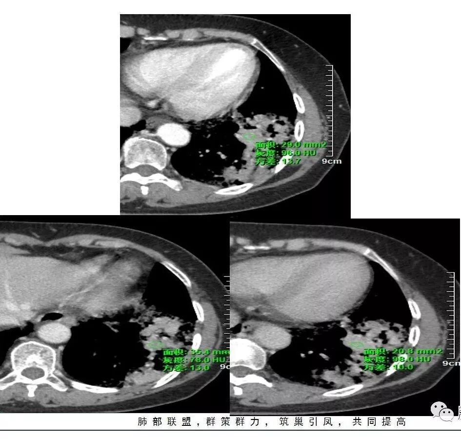
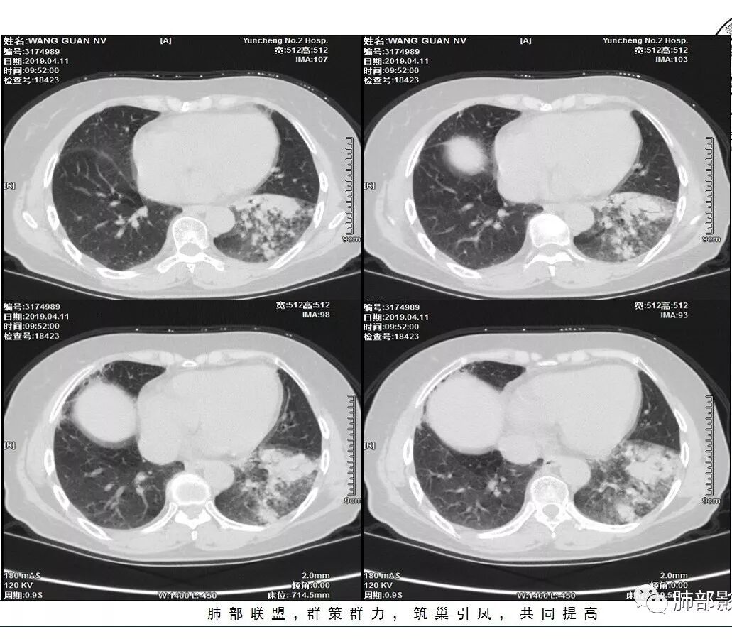
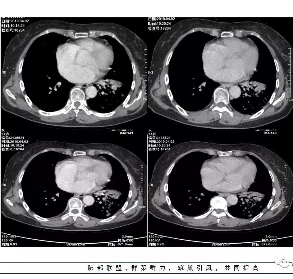
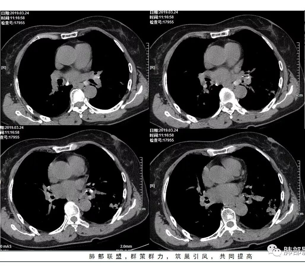
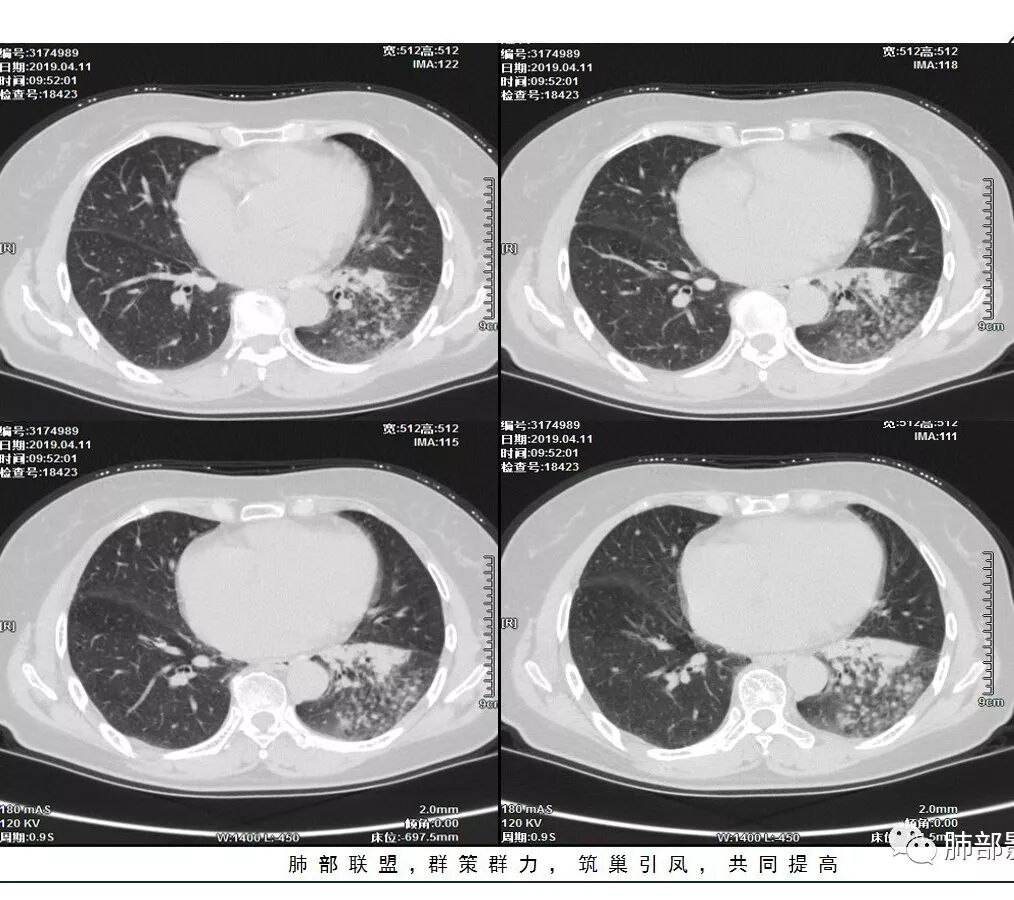
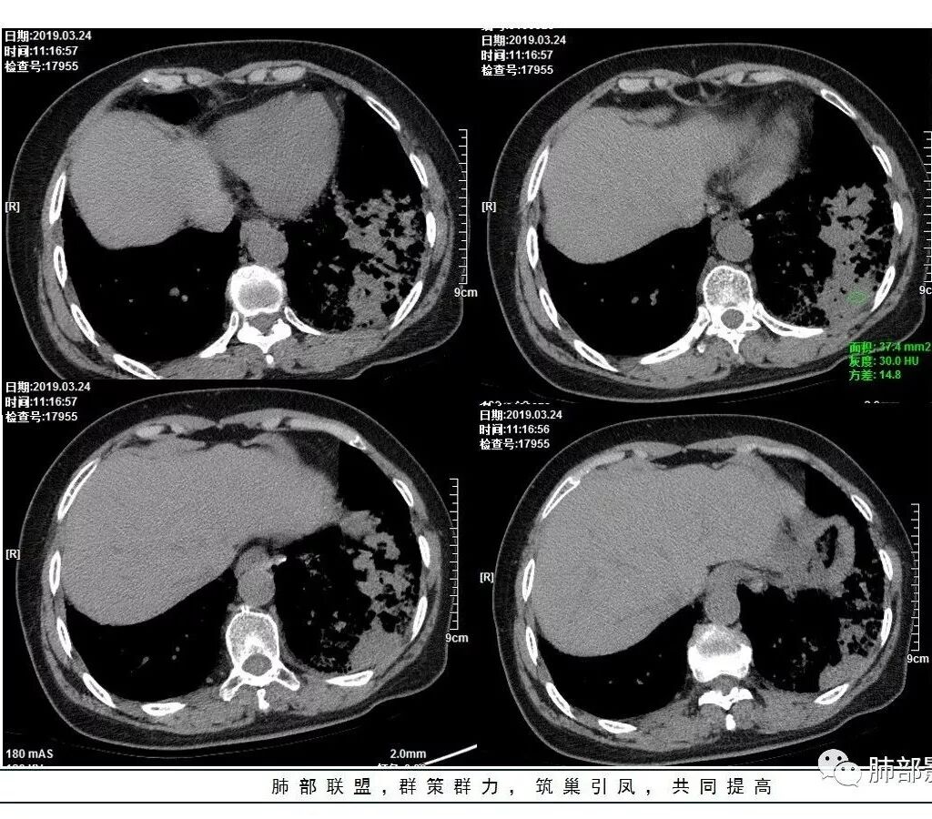
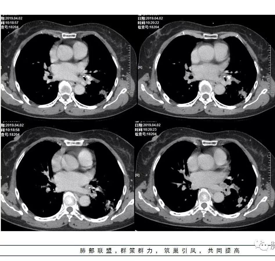
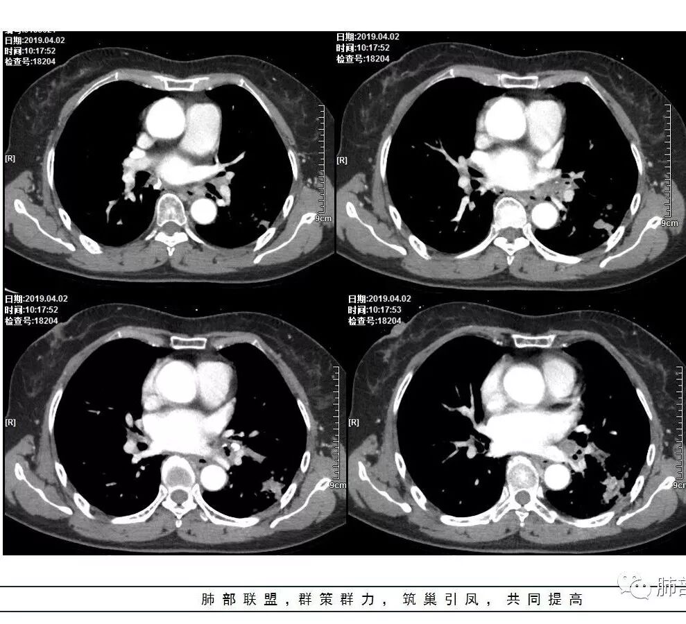
女性,57岁或67岁,咳嗽气短2月,伴发热2天。肿标及血常规(一)。左下肺实变+GGO,实变区增强强化,镜下见左下支气管狭窄,最后一次CT(4.11)较第一次CT(3.24)病灶有吸收。个别图像看不清(Tspot)。考虑:一元:肺炎型肺癌丶肺结核丶普通炎症?二元:结核合并癌?
飞鹰行动:
左肺下叶病灶,边缘膨隆、清晰,内见支气管空气征,部分支气管僵硬,支气管边缘不光滑,符合结核和恶性病变表现,病灶部分无融合,呈结节状改变,部分间质受累及,用一元论难以解释,考虑,一,腺癌伴感染,二,结核伴腺癌,三、结核伴真菌感染
大雄:
咳嗽气短两月,近期发热。慢性病程,炎性指标不高,抗感染治疗效果不佳。
左下叶实变影及磨玻璃影,内部支气管扩张、僵直。纵膈肺门淋巴结钙化。balf结核杆菌核酸阳性。
考虑结核
风之子:
左肺下叶胸膜下大片实变,周围GGO,边界模糊,有支气管充气,壁增厚,抗感染效果欠佳,本来考虑支原体,但年龄不支持,病毒病程不支持,考虑淋巴瘤,鉴别肺炎型肺癌,结核核酸阳性,这特异性还是很高的,那要结核放前
一米阳光:
左肺下叶背段斑片影,部分病灶实变,支气管束分布,爬行征,部分支气管狭窄,内蜂窝状坏死。叶间裂阻挡,膨隆。增强见血管影。肺门淋巴结增大。结合临床,抗感染治疗无效,间断低热,结核阳性。考虑结核合并肺炎型肺癌(腺癌)。
鉴别淋巴瘤。建议穿刺活检
采莲:
老年男性,咳嗽气短2月,发热2天,左肺下叶大片磨玻璃实变影,实变区支气管进入,有的穿过,有的阻塞,走形有扭曲,有小厚壁空洞,磨玻璃影边界有的清楚,有的模糊,周围有小腺泡结节影,病灶整体感觉沿支气管树分布,病灶有多形态,多灶性特点,双肺门淋巴结钙化,左肺门淋巴结肿大,虽然病灶有明显强化,我还是考虑感染,肺结核可能性大,不排除合并肺癌可能。

南边老师分析
主诉:咳嗽、气短2月,伴发热2天。
1、主病灶  左下叶斑片状、大片状致密影

2、两肺马赛克灌注

3、两侧肺门区钙化淋巴结

总共就这三大块
这三大块有没有联系?有没有相关性?


这三幅图是连续的,我们看到支气管中间这一幅狭窄了



大——小——大,狭窄后扩张
从这幅图看好像与周围病灶分界不清,支气管腔狭窄后扩张,支持炎性


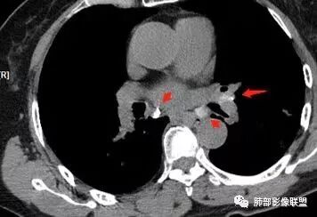
两肺门钙化淋巴结一般考虑:结核?尘肺?淀粉样变性?


这是老问题:1、肺门区软组织密度影较弥漫;我们常规鉴别的就是结核?鳞癌?既往我们群里基本这两方向。2、弥漫的淋巴结钙化,加上马赛克灌注。马赛克灌注的原因是两个,一个是肺动脉的,一个就是小气道的问题。我们看增强的区域,没有看到栓塞,所以我倾向于小气道的问题,就是弥漫气道病变,慢性气道病变要考虑。我怀疑有没有淀粉样变性累及气道壁改变的可能。淀粉样变性是一个继发性病变,结核也可以,粉尘也可以。
    这个病例支气管狭窄后扩张,肺门区有很多钙化的淋巴结,两肺弥漫的马赛克灌注,肺门淋巴结这么多,一个结核,一个尘肺,然后就是一个淀粉样变性,这几种最常见。鳞癌因为老年女性,除非吸烟,不太考虑,又不能绝对排除,所以就把鳞癌放到后。
Coke with ice:
实变部分强化很明显,怎么解释合理呢
结核强化可以这样吗?
南边:
肉芽肿期强化明显
肉芽肿是一个病理的概念,是炎症后期的修复,它的本质其实是迟发型过敏反应引起的炎症,在免疫应答中主要是一些巨噬细胞、上皮细胞来起作用,但是里面有非常丰富的毛细血管,所以这类病变强化很明显,影像上一般是结节状、团块状、大片状,整体有膨隆,边缘也有收缩,肉芽肿是一大类,影像有时很难区分,尘肺、结节病、淋巴瘤样肉芽肿都可以。常见的是炎性的,多见于结核,细菌性感染后期引起的类似op样,影像统称肉芽肿类病变,鉴别炎性还是恶性,要根据边缘、形态、周围结构及内部坏死情况。
今天这个病例有个明显的支气管狭窄,我倾向炎性,主要是和钙化淋巴结相关的,可能是继发的淀粉样变性。到底是什么感染,结核还是其他。我想看看复查后这个淋巴结,有没有突入到支气管腔内,如果有,他是继发于炎症的(比如中叶综合征,就是周围淋巴结压迫支气管,因为钙化淋巴结比较硬,支气管壁扛不住压力,突入支气管腔内,导致管腔狭窄,我们也称为结石征),如果没有,就和淋巴结关系不密切。之前有一例淀粉样变性的,淋巴结弥漫钙化,一种罕见的浆细胞型的CD。
   
结果







病例小结
影像方面:
1.老年女性,咳嗽气短2月余,伴发热。病程较长,抗炎疗效不佳。
2.左肺下叶片状影及多数有边界的结节影,较散,多形性,密度不均(注意许多老师提到这个特点还是比较明显的)。左肺下叶体积未见缩小。
3.病灶强化比较明显。
4.左下叶支气管壁增厚,管腔不均匀狭窄,没有堵塞
5.肺门纵隔见增大钙化淋巴结。提示曾经存在慢性病损可能。
 
分析:
1.前述特点除强化外都还是很容易让人首先想到肺结核的可能性。结核是常见病。注意肉芽肿明显的结核灶可以观察到强化。
2.淀粉样变性病变支气管改变一般会更广泛,较少出现单叶肺的如此大片影。
3.腺癌不大会出现较散的腺泡样结节影,更不会出现如本例的支气管改变。增大钙化的淋巴结也很难相互关联。
4.相关支气管未见腔内结节及阻塞,女性患者,鳞癌的可能性更小。
来源:山西运城市第二医院放射科 王崇军
编辑:滨州市人民医院放射科        李志强
审核: 徐  晓     听  雨


到顶部