【每日晨读】小结节的烦恼之错构瘤篇



2019-12-25晨读


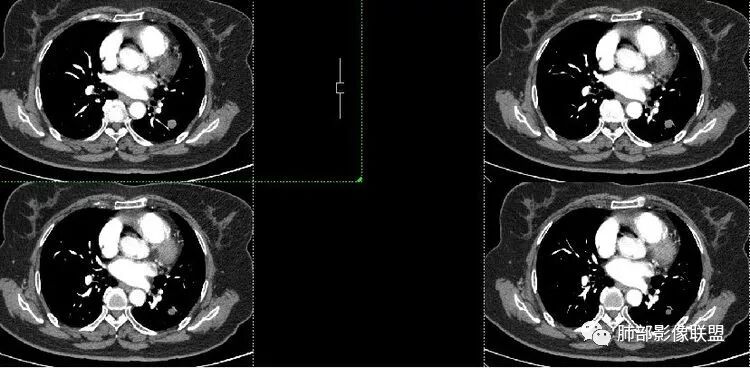
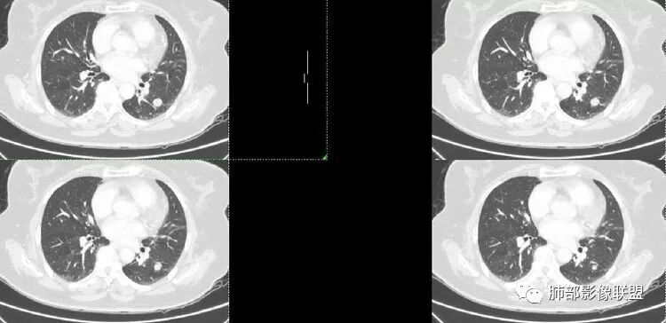
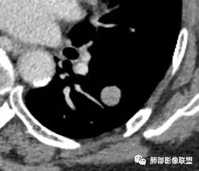
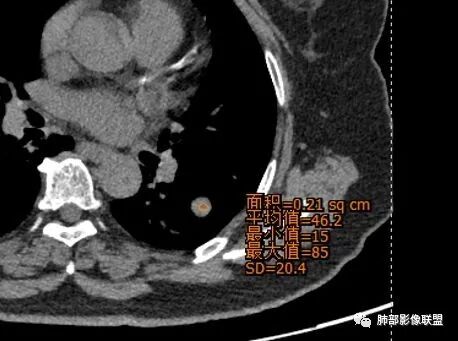
病例资料



















群内讨论
笨丫头:
体检发现左肺占位,类圆形,无分叶,毛刺等,增强后有贴边血管,考虑硬化性肺细胞瘤。
晕晕菜 :
体检发现肺部结节。
胸CT:左下肺实性结节,密度均匀,边缘光滑,未
毛刺、分叶、晕征及棘突样改变,增强可见血管贴边,静脉期较动脉期强化。
诊断:PSP
鉴别:肉芽肿性病变。
闫美利 :
老年女性体检发现,
左肺胸膜下结节,与支气管关系不密切,结节边缘光滑,密度均匀,未见毛刺分叶等,增强强化程度不明显,可见血管贴边,常规考虑PSP,不支持点强化程度不太符合,低于15HU,
鉴别
错构瘤:强化程度比较符合,但没有钙化脂肪
蔡笑燕 :
体检发现肺部结节。
胸CT:左下肺背段类圆形实性结节,密度均匀,边缘光滑,未见毛刺 .毛刺,未见钙化及卫星灶,增强可见血管贴边,贴边血管似稍增粗,增强后动脉期未见明显强化,延迟期轻度强化,考虑良性病灶,PSP?
꧁༺༽༾ཊ天涯ཏ༿༼༻꧂ :
血管贴边,PSP可能,就是强化不够,错构瘤?密度不符,肉芽肿性炎也可能,再就鉴别长得善良的恶性病灶。
薏米 :
边界清,类圆形,不均匀强化,贴边血管征,PSP可能,鉴别肉芽肿性病变,错构瘤,腺癌。
欣 :
左肺界清结节,边界清楚,血管似贴边,似乎有强化,密度似均匀。考虑良性病变,psp可能性较大。增强后似乎内部又有低密度,图像太小太小,打上去的ct值都看不太清,希望保证图像质量,这是舅舅一直在强调的
清嘉 :
左下肺结节,边界光滑,密度均匀,轻度强化,血管贴边,周围未见卫星灶,与邻近支气管无关。考虑:PSP、错构瘤。
王金宝 :
女性,单发圆形结节,边界清,可见血管贴边,尾征,常规考虑PSP
水晶石头 :
患者老年女性,体检发现左肺占位3天。有“高血压”病史。查体无阳性体征。胸部CT:左肺下叶背段类圆形实性结节,边缘清晰,边界光滑,未见毛刺、分叶、棘突等征象,与支气管关系不清,增强中度强化,可见贴边血管征、尾征。综合考虑良性病变,硬化性肺细胞瘤可能大,鉴别孤立纤维瘤、错构瘤。
俞丽 :
左下肺结节,边界光滑,密度均匀,轻度强化,与与气管无关,见血管贴边征,肺动脉供血,周围未见卫星灶,考虑:PSP。
小兜 :
老年女性,体检发现左肺下叶类圆形结节,边缘光滑,密度似乎不均匀,增强延迟强化,(内部有低密度灶?)可见血管贴边,考虑为良性病变,PSP可能,鉴别错构瘤,肉芽肿性病变。
张小兵 :
左下肺圆形实性结节 ,边界光整,明显延迟强化,血管贴边征及尾征,强化幅度虽然低了点,常规还是要考虑PSP。
秦化君 :
左肺下叶背段圆形孤立软组织密度结节影,边缘光滑规整,略延迟强化,强化后病灶内可见低密度,血管贴边,周围无卫星灶。考虑良性病变,PSP。鉴别错构瘤,结核球。
张立 :
左肺下叶结节,边界光滑、清楚,周围无卫星灶,强化后血管贴边,轻度强化,考虑良性,PSP可能,鉴别错构瘤,间叶来源的恶性肿瘤。
曹志勇 :
左肺下叶背段结节,边缘光滑、规整、锐利,血管贴边,明显均匀强化,考虑PSP。
一米阳光 :
女性患者,边缘光滑,分叶少,有血管贴边,延迟强化 ,(纤维硬化区比例占多点,强化幅度相对不高),考虑良性病变,PSP可能,鉴别:错构瘤,炎性肉芽肿。
穿越七海的风 :
体检发现左肺下叶类圆形占位,密度均匀,边缘光滑,无毛刺分叶,可见血管贴边,考虑PSP。
一切∮随缘 :
左肺下叶小结节,形态规则,边缘光滑,平扫密度均匀,增强后中度强化,边缘似见血管,考虑PSP,鉴别类癌,错构瘤。
明日の路过 :
左下肺结节,边缘光滑,少分页,未见毛刺。病灶内见稍低密度,血管贴边明显,考虑良性肿瘤可能性大。首先考虑psp。鉴别错构瘤。
徐飞 :
老年女性,体检偶然发现左肺下叶背段结节,边缘光滑,无分叶及毛刺,血管贴边,与支气管无明显关系。内密度尚均匀,无钙化及脂肪密度。延迟均匀强化,周围胸膜及斜裂无牵拉。考虑良性病灶,PSP>炎性肉芽肿
飞鹰行动 :
体检患者,左肺下叶结节病灶,病灶形态规则,边界清晰,内部密度不均匀,可见钙化,增强未见明显强化,考虑良性病变,错构瘤可能。
^_^果 :
老年女性,体检偶然发现左肺下叶背段实性结节,边缘光滑,无分叶及毛刺,血管贴边,与支气管无明显关系。内密度欠均匀,似有点状稍低密度,增强后轻度强化,综上考虑良性病灶,错构瘤可能,鉴别PSP。
心灵鸡汤 :
定位 左肺下叶背段斜裂旁实性小结节,边界清晰,密度尙均匀,未见脂肪钙化,与支气管关系不密切,可见肺血管贴边,增强呈轻中度强化,平扫47hu 动脉期48 静脉期67hu,
定性 常规考虑 良性结节,错构瘤或PSP可能,鉴别类癌,神经源性肿瘤,巨淋巴结增生,建议追观或穿刺活检。
王开金江津中心医院呼吸科 :
女性,体检发现结节,类圆,无支气管及血管进入,有血管贴边,无收缩力,符合psp。
Lenle董 :
左下肺圆形结节灶,边缘光滑,血管贴边,内密度好像不太均匀,增强后轻度强化,考虑良性病变,错构瘤?鉴别PSP。
朶繞•贰車 :
女性患者,左肺下叶背段圆形结节,边缘光整,无明显毛刺、分叶、胸膜凹陷、血管造影征等恶性征象,无晕征等,增强后轻度强化,考虑良性,PSP?
自信人生 :
左肺下叶小结节,边缘光滑规则,平扫密度均匀,见贴边血管影,增强后中度强化,良性,考虑PSP,鉴错构瘤。
三个石头 :
左下肺类圆形结节,与支气管关系不大,血管贴边,延迟强化,良性病变,女性,考虑psp可能。鉴别错构瘤。
轩哥 :
左肺下叶实性孤立结节性病变,边缘光滑,增强强化不明显;考虑良性病灶,硬化性血管瘤、错构瘤或结核瘤;鉴别腺癌及类癌。
王秀仙 :
左肺下叶外基底段可见类圆形结节,与支气管关系不大,血管贴边,渐进性强化,良性病变,女性,考虑psp可能。鉴别错构瘤。
流心明智 :
患者,女,63,体检发現左下肺占位3天。
胸CT:左肺下叶背段斜裂旁类圆形孤立实性病灶,边界清晰,密度不均匀,跨度大,内似见脂肪密度,未发现与支气管有关,可见血管贴边,增强呈轻度强化,常规考虑:良性结节,错构瘤可能。鉴别:结核球,周围无卫星灶,无病史,无钙化,不好考虑。其他PSP,类癌,CD等,强化不像。
淡泊人生 :
左肺下叶类圆形结节,边缘清楚,无分叶、毛刺,增强后渐进性强化,有血管贴边,考虑硬化性肺细胞瘤。鉴别炎性假瘤。
Yiren Sishui(厶水伊人) :
左肺下叶背段结节,类圆形,边缘光滑,密度欠均匀,可见尾征和血管贴边,似见微小钙化,增强轻度渐进性强化,与支气管关系不密切,考虑PSP。
采莲 :
左肺下叶结节,边缘光滑,与支气管关系不大,血管贴边,延迟强化,强化不均。考虑PSP,鉴别错构瘤。
傅昌瑜 :
老年女性,体检发现。左下肺圆形实性结节,边缘清楚,无分叶及毛刺,内无明显脂肪密度,增强见延迟强化,见血管贴边。整体考虑良性病变,PSP(硬化性肺细胞瘤)可能性大,注意鉴别错构瘤、类癌。
丽 :
左肺下叶结节,边缘光滑,密度不均,与支气管关系不密切,增强后不均匀轻度强化,可见血管贴边,考虑良性病变,PSP可能大,鉴别错构瘤,结核。
毛勤香 :
左肺下叶类圆形结节,边界清晰,密度略欠均匀,隐约见细点状钙化和低密度区,增强动脉期轻度强化,静脉期持续中度强化,血管贴边,首先考虑原发,pSp与错构瘤鉴别,老年女性,孤立结节,转移瘤代排。
小赵 :
左肺下叶结节,形态基本规则圆形,边界清晰锐利,CT值离散度不算大,内未见脂肪及钙化。增强扫描轻度延迟均匀强化,边缘见血管贴边。常规考虑PSP,鉴别不典型类癌及错构瘤。
醒梦如一 :
左肺下叶类圆形病灶,界清光滑,血管贴边,延迟强化,psp~内似见低密度影,鉴别错构瘤。
王光义 :
左肺下叶小结节,边界光滑,密度均匀,轻度强化,血管贴边征,周围未见卫星灶,与邻近支气管无关。考虑:PSP,注意鉴别错构瘤,类癌。
一米阳光 :
老年女性。左肺下叶结节,边界清楚,边缘光滑,内部密度均匀,无钙化及坏死,血管贴边,轻度推移。增强延迟强化,未见卫星灶。
考虑:PSP。
鉴别:错构瘤,肺癌转移瘤。
薇 :
患者老年女性,体检发现左肺占位3天。胸部CT:左肺下叶背段类圆形实性结节,边缘清晰,边界光滑,未见毛刺、分叶、棘突等征象,增强扫描中度延迟强化,局部与血管贴边生长。考虑良性病变,PSP可能大,炎性肉芽肿、错构瘤不排除。
倏忽 :
左肺下叶占位,边光,密度欠均匀,增强扫描动脉期强化不明显,静脉期中度强化,考虑良性病变,SFT 、PSP(强化不够)、错构瘤、结核球


南边分析
南边 :
血管贴边征一般是有前提的
孤立结节,类圆形,边缘光滑,周围干净
与支气管有关吗?好像显示不明显
与血管的关系?

局部稍推压变


对比同级别血管稍增粗

密度尚均匀

CT值46H


增强67HU
动脉期弱一些,后期强化明显一些



动脉期边缘斑点状、结节状强化为主

后期趋向于均匀强化

动脉期测量区域——中央,不是强化区域

其实强化还算是中度,幅度超过20HU
支持良性
PSP可能 错构瘤待排

病理结果
错构瘤

临床概述
肺错构瘤(pulmonary hamartoma)系包含肺的所有正常组织成分,致构成成分数量异常、排列异常或分化程度异常等形成的肿瘤样畸形,并非真正的肿瘤。
是最常见的良性肿瘤。一般为单发,多发者极为罕见,约90%发生于肺实质内,10%发生于支气管。在右肺的较左肺多,在下叶的较上叶多,部分发生在右中叶和左上叶舌段。肺错构瘤的来源和发病原因尚不十分清楚,比较容易被接受的假说认为,错构瘤是支气管的一片组织在胚胎发育时期倒转和脱落,被正常肺组织包绕,这一部分组织生长缓慢,也可能在一定时期内不生长,以后逐渐发展才形成瘤。错构瘤大多数在40岁以后发病这个事实支持这一假说。男性发病率为女性的发病率2~4倍,多见于40岁左右,由于肿块位于肺脏周围,患者多无症状,极少咯血。
病理生理学
错构瘤病理学特征是正常组织的不正常组合和排列,这种组织学的异常可能是器官组织在数量、结构或成熟程度上的错乱。错构瘤的主要组织成分包括软骨、脂肪、平滑肌、腺体、上皮细胞,有时还有骨组织或钙化。尚未见有错构瘤恶变的报道。错构瘤一般为实质致密的球形、卵圆形,也可以是分叶状或结节状,大多数直径在3cm对下。大多数错构瘤(约80%以上)生长在肺的周边部,紧贴于肺的脏层胸膜之下,有时突出于肺表面,因此临床上一般没有症状,查体也没有阳性体征。只有当错构瘤发展到一定大小,足以刺激支气管或压迫支气管造成支气管狭窄或阻塞时,才出现咳嗽、胸痛、发热、气短、血痰,甚至咯血等临床症状,这时也可以出现相应临床体征,如哮鸣音或管性呼吸音。
影像学表现
●直径约1~4cm,有完整包膜,边缘光滑或轻度分叶结节,是最常见的分叶的良性肿瘤;
●可以看到点状、块状、弧形或环形钙化灶;特征性钙化呈爆米花样,但是少见。见到钙化须与结核球鉴别。
●CT上,60%病例可见脂肪密度(CT值-40~-120HU),由于通常含有脂肪、软骨、纤维组织和上皮成分,肿块的CT值离散度大。
●强化方式取决于错构瘤的内部的成份,如果含脂肪及软骨成份较多,血管含量少,血供不丰富,CT增强仅表现为轻度强化或无明显强化;当含平滑肌及腺体成分多时,可出现较明显的强化,但少见。
●错构瘤虽然是良性肿瘤,但有时它也会缓慢生长,逐渐增大,周围血管也会出现推移,所以也会出现“血管贴边征”。
鉴别诊断
边缘光滑的肺结节内出现脂肪组(CT值-40~-120HU),可确诊为错构瘤。当CT上见不到脂肪组织时或病灶太小观察不到,肺错构瘤的诊断难度加大。硬化性肺细胞瘤(PSP)、类癌及转移瘤大多强化显著。与其他孤立性良性肺结节(软骨瘤、结核球等)有时候难以鉴别。
END
编辑:许建林
病例来源:张代辉
审核:蔡笑燕   徐  晓



到顶部