【每日晨读】砒霜 OR 蜜糖?























群内讨论实录
群锋:
中年女性,右上肺结节,有平直,有分叶,周围有磨玻璃,胸膜广基接触,部分有栽赃,增强有坏死,内壁光滑,实性强化明显,右下肺也有小结节,长索条,综合考虑炎性病变可能大,抗炎复查。
马春平(张家港市一院胸外科):
中年女性咳嗽咳血,右上肺及右下肺结节,边缘模糊渗出影,右上坏死灶,胸膜广基反应,考虑炎性隐球菌感染可能大。
市医院--时建文:
中年女性,右上肺结节,边缘模糊渗出影,胸膜广基反应,隐球菌?右肺下叶病灶形态不规则,有毛刺,病灶外缘平直,腺癌?
小酸:
中年女性,右上肺及右下肺结节,周围有磨玻璃,宽基底,增强有坏死,内壁光滑,实性强化明显,右下肺也有小结节,长索条,综合考虑炎性肉芽肿性病变可能。排名隐球大于结核大于腺癌,建议穿刺。
紫气东来:
右肺上叶肿块,边缘平直,彭隆,周围磨玻璃影,强化中心坏死,右肺下叶结节,二元论,腺,鉴别炎性。
水晶石头:
患者中年女性,咳嗽、痰中带血5天就诊。否认高血压、糖尿病病史。查血常规血象不高。胸部CT:右肺上叶尖段近脊柱旁实性结节灶,与胸膜宽基底相连,可见平直、分叶、毛刺征象,周围见磨玻璃渗出,强化呈环形强化。右肺下叶实性小结节,见长毛刺、胸膜牵拉。综合考虑炎性病变,结核可能性大,鉴别腺癌、隐球菌。
小景:
右肺上叶结节,临近胸膜,边缘平直呈刀切征。病灶环形强化,坏死区界限清楚。右肺下叶结节,周围长条索影。考虑炎性肌纤维母细胞瘤?
王开金:
中年女性,咯血,血分析白细胞等不高,右上叶结节,平直,长毛,内坏死,环形强化,考虑结核,周围有磨玻璃,考虑肺泡淤血。
曹志勇:
右肺上叶病灶一面边缘平直,一面分叶,内密度不均匀,似见坏死区,临近胸膜略增厚,边界欠清,轻度强化,考虑结核可能大,右肺S10病灶,长在肺韧带上?边缘平直,不彭隆,见胸膜凹陷,考虑良性可能大
大雄:
中年女性,咳嗽咳痰咯血5天
右上肺结节,边缘平直,周围有索条及渗出,增强有坏死,内壁光滑,实性部分强化明显
右下肺小结节,整体收缩,综合考虑炎性病变,建议先抗炎治疗,2周复查
luys:
中年女性,右肺两结节,右上肺胸膜下结节,周围有磨玻璃,增强有坏死,实性强化明显,右下肺结节,伴长索条,部分膨隆。考虑炎性肉芽肿性病变可能。待排腺。
明日の路过:
中年女性,咳嗽、咳痰,右肺上叶不规则肿块,病灶整体平直、刀切征,病灶宽基地、与胸膜呈钝角,内见支气管进入,周围未见明显卫星病灶。内部见坏死,考虑炎性病变,鉴别结核。右肺下叶亚实性结节,不除外早期腺癌,建议抗感染治疗,定期复查。
红日东升:
右上叶结节,边缘平直,刀切征,局部彭隆,周边磨玻璃渗出面积较大,边界尚清,病灶中心见较规则坏死区,周围病灶明显均匀强化,右下叶结节,收缩明显,胸膜牵拉。一元考虑炎性可能,建议抗感染复查除外右下叶腺癌。
一切∮随缘:
右肺上叶尖段胸膜下肿块,与胸膜相贴,形态不规则,边缘毛糙,以收缩为主,平扫密度均匀,增强后环形强化,考虑炎性肉芽肿,结核.
杨泽锋:
一元论的话炎性肉芽肿,TB可能大
二元论的话上叶炎性病变
下叶肺癌可能
倾向于一元论
傅昌瑜:
中年女性,咳嗽、痰中带血5天。血常规(一)。胸部CT:右肺上叶尖段近脊柱旁实性结节灶,与胸膜宽基底相连,局部稍膨隆,边缘见平直、桃尖征,结节周围见磨玻璃渗出。强化呈环形强化,壁均匀强化,内壁光滑无壁结节。右肺下叶实性小结节,见长索条及胸膜牵拉。综合考虑炎性病变,结核可能性大,鉴别腺癌、隐球菌。
甄德强:
多发病灶,外周分布为主,明显均匀强化,大病灶内有坏死呈环形强化,边缘平直为主,考虑机化性肺炎并右肺上叶脓肿。
流心明智:
患者,女性,40岁,咳嗽、痰中带血5天。血常规血象不高。
胸部CT:右肺上叶尖段脊柱旁实性结节灶,宽基底与胸膜接触,可见平直征、软毛刺、棘突、空泡,中心片状坏死,周围磨玻璃影边界不清,胸膜增厚、糊墙。增强呈环形强化。右肺下叶实性小结节,见长毛刺、胸膜牵拉。综合考虑:炎性病变,结核可能大。鉴别隐球菌、腺癌。
丽:
中年女性,右肺上叶胸膜下结节,边缘可见毛刺,部分边缘膨隆也有平直,周围散在斑片状磨玻璃密度,增强后可见中心坏死,实性部分均匀强化,临近胸膜增厚,另右肺下叶结节,边缘可见胸膜牵拉,并可见长索条,常规抗炎治疗后复查,除外结核.
王秀仙:
右肺上叶胸膜下结节,与胸膜宽基底相连,边缘平直,周围磨玻璃渗出,环形强化,右肺下叶实性结节,长毛刺,胸膜牵拉,综合考虑炎性肉芽肿,结核。
蔣勝華:
患者,中年女性,咳嗽、痰中带血。胸部CT:右肺上叶高密度影,宽基底与胸膜接触,中心见坏死,不均匀强化。右肺下叶小结节,有毛刺,偏软。支持良性肉芽肿性炎,op。
Shelia:
中年女性,右上肺胸膜下结节,边缘以平直收缩为主,周围有片状模糊磨玻璃影,胸膜广基接触,增强有坏死,内壁光滑,有三层结构,右下肺也有小结节,以收缩为主,局部稍膨隆,临近胸膜牵拉凹陷,周围有长短毛刺,综合考虑炎性病变可能大,op伴右肺上叶脓肿形成?建议临床相关除外隐球,结核.其中右肺下叶结节还要除外恶性.
看图说话:
右肺上叶尖段胸膜下肿块,与胸膜相贴,形态不规则,边缘毛糙,以收缩为主,周围见磨玻璃影,边缘模糊,环形强化,坏死边界清楚,下叶硬化结节,边缘清晰,一元考虑炎性肉芽肿,结核,建议复查,除外腺癌。
淘时光:
右上肺结节,边缘平直,部分膨隆,周围见边缘模糊的ggo影,内见环形强化低密度区,考虑脓肿。右下肺mGGN,ggo边界偏清,周围见毛刺及胸膜凹陷征,常规抗炎复查除外腺癌。
玫:
女,咳痰带血,右肺上叶软组织密度影,边界清晰,边缘呈磨玻璃样改变,增强扫描,病灶强化明显,可见坏死区,考虑炎性病变,除外腺癌。
一米阳光:
中年女性,右上肺胸膜下结节影,边缘清晰,浅分叶,平直,凹陷,周围胸膜增厚黏连,增强环形强化内部坏死。考虑炎性,结核可能。鉴别,腺癌,隐球。建议穿刺活检。
飞鹰行动:
右肺上叶病灶,边缘清晰,相邻胸膜反应广泛,增强后病灶环形强化,内见坏死区,考虑炎性病变,OP或结核可能.
THINKER:
中年女性,咯血,CT右上叶尖段团块,平直,有强化丶坏死,周边渗出,考虑肺泡积血,右下叶背段结节伴长索条。
考虑:肉芽肿,炎症>TB>PC
生来征服~浪子:
右上肺病灶,胸膜下,边缘平直凹陷,增强中心坏死区,周边强化明显,考虑炎性病变,op?
三个石头:
右肺尖占位性病变,边缘平直,桃尖,周围ggo及条索。增强扫描,内低密度未强化区,边界清,周围延迟强化,考虑炎性病变,抗炎复查
「 查无此人 」:
右上肺病灶边缘平直收缩,周围ggo边缘模糊,增强后内见边界清楚坏死区,右下肺病灶收缩伴膨隆,边界清楚,周围见索条,毛刺及胸膜凹陷,一元考虑炎性肉芽肿性病变,抗炎后复查除外其他。
晕晕菜:
患者中年女性,咳嗽 咳痰,痰中带血5天就诊。
胸CT:右肺上叶尖段膜下实变病变,病灶边缘毛刺、棘突征、U型征、平直,病灶边缘可见毛玻璃影,纵隔窗可见病灶与胸膜间可见低密度,增强可见病灶强化,病灶内可见低密度区,静脉期较动脉期貌似强化明显,考虑肉芽肿性病变,结核?但病灶周围部分存在膨隆,恶性不除外。
右肺下叶实性病灶,边缘可见月牙铲 胸膜牵拉  棘突征,增强可见强化,考虑恶,浸润腺癌?
波波:
右上肺病灶边缘平直收缩,膨隆分叶,栽赃,周围ggo边缘模糊,增强后内见边界清楚坏死区,警惕鳞癌可能。
德芙~云味:
右肺上叶结节,边缘平直,局部膨隆,周围见边界清楚 GGO,近端见血管影,环形强化,与胸膜糊墙,右肺下叶实性结节,近端见血管影,胸膜牵拉。
考虑炎性结节~结核,恶性不能除外,都有恶性特征~尤其是下叶结节。
心灵鸡汤:
咳嗽咳血痰,右肺上叶尖段结节影,周围见磨玻璃影,右上叶尖段支气管似有堵塞,增强结节周围见强化,中央见不强化坏死区,右肺下叶外基底段胸膜下结节影,增强强化不好判断,没有参考CT值,考虑炎性肉芽肿病变,右上叶腺癌待排,常规抗炎后复查或穿刺活检。
小飞:
右肺上叶尖段胸膜下结节,边缘平直、收缩为主,长毛刺,周围可见磨玻璃影,增强扫描周围明显均匀强化,中间可见不强化区,右肺下叶结节形态与上肺结节相似,周围可见索条影,均匀强化,综合考虑炎性肉芽肿。
毛勤香:
右肺上叶尖段胸膜下结节,平直收缩为主,局部膨隆,边缘毛糙,增强内有坏死,病灶周围有强化,周围肺野渗出考虑肺泡积血,所示层面淋巴结无肿大,首先考虑炎性肉芽肿性病变,结核可能;右肺下叶后基底段结节,边缘稍毛糙,邻近胸膜牵拉,周围少许条索,目测均匀强化,首先也考虑炎症,看一下重建排除腺癌可能。
云中月影:右肺上叶尖段团块,边缘模糊,周围有晕,增强扫描环形强化,中央区坏死,考虑炎性,结核?脓肿?右肺下叶长条索,邻近胸膜粘连,考虑纤维灶。肝脏考虑部分容积效应。


南边老师分析
南边:
炎症?腺癌?鳞癌?
两个结节一元论?
40岁女性,一般无抽烟病史,不太考虑鳞癌
右上叶病灶:胸膜下,不规则,似乎长带状


南边:
边缘平直、凹陷,周围GGO宽基底与胸膜相连,附近胸膜增厚,这些都支持炎性


不放心的地方:这里似乎不太清楚
坏死内壁有强化环,但是部分区域不清


南边:我考虑炎性病变一定有需要治疗后复查,以排外腺癌下叶病灶,需要明确这些GGO是否是假象

确实是GGO,边界清,考虑腺癌如果不是,则是炎症


病理结果



病例小结
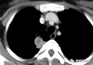
一.右肺上叶病灶:
中年女性,偏年轻。有咳嗽、咳痰病史,血象不高。
右肺上叶胸膜下结节,边缘有平直、刀切征及桃尖征,病灶与胸膜呈宽基底,胸膜糊墙,这些征象均指向良性病灶;病灶内可见液化坏死区,壁相对厚,强化较显著;病灶周围较大范围磨玻璃影,边缘模糊,淡薄柔和,未见卫星结节或树丫,提示为一个急性渗出,这是符合炎性病灶脓肿形成的。
换个角度看,右肺上叶这肿瘤符合吗?如此小范围肿瘤灶很少能够在影像上观察到如此明显的坏死,内壁还如此光整?即便是鳞癌,更遑论腺癌及小细胞癌等,不要忘了这是中青年女性患者。
结核易形成空洞,但周围渗出如此明显,没有卫星灶,内壁如此圆整,厚壁强化如此明显,都很难与常见的结核灶关联起来。
会是什么感染?临床症状相对和缓,脓肿单发的,经验上尤以G-杆菌感染较为多见,如肺炎克雷伯杆菌等。
二.右肺下叶病灶
    右肺下叶胸膜下结节判断难度较大。
病灶边缘以收缩为主,长大棘状突起,胸膜牵拉凹陷明显,说明病灶纤维化明显,倾向炎症或腺癌,但病灶GGO模糊,且未见异常强化,按理考虑慢性炎性可能较大。可以穿刺活检除外腺癌可能。粘液腺癌很少有如此显著的牵拉能力。


End
编      辑   湘西州人民医院    周乔友
审      核  蔡笑燕   徐   晓
提供病例  宜兴市人民医院 放射科 刘群



到顶部