【每日晨读】少见病例影像分析--肺大细胞神经内分泌癌



当我们回头看自己走过来的路时,所看到的仍似乎只是依稀莫辩的‘或许’。我们所能明确认知的仅仅是现在这一瞬间,而这也只是与我们擦肩而过。


病 例 简 介

病 史
患者男性,68岁,间断咳嗽、咳痰伴痰中带血2个半月
实验室检查:葡萄糖5.9mmol/L,钾4.5mmol/L,  氯98mmol/L↓,白蛋白44.2g/L,直接胆红素4.0umol/L↑,谷丙转氨酶34U/L,肌酐73umol/L,白细胞计数7.26*109/L,血红蛋白175g/L↑,中性粒细胞比率0.627,D-二聚体(ELFA)363ng/ml,C反应蛋白(定量)9.31mg/L↑,癌胚抗原4.29ng/ml↑,糖类抗原19-9 16.58U/ml,肌钙蛋白I(定量)0.041ng/ml,前白蛋白检测0.27g/L,总胆固醇5.65mmol/L↑,低密度脂蛋白3.40mmol/L↑。























群 内 讨 论
晕晕菜
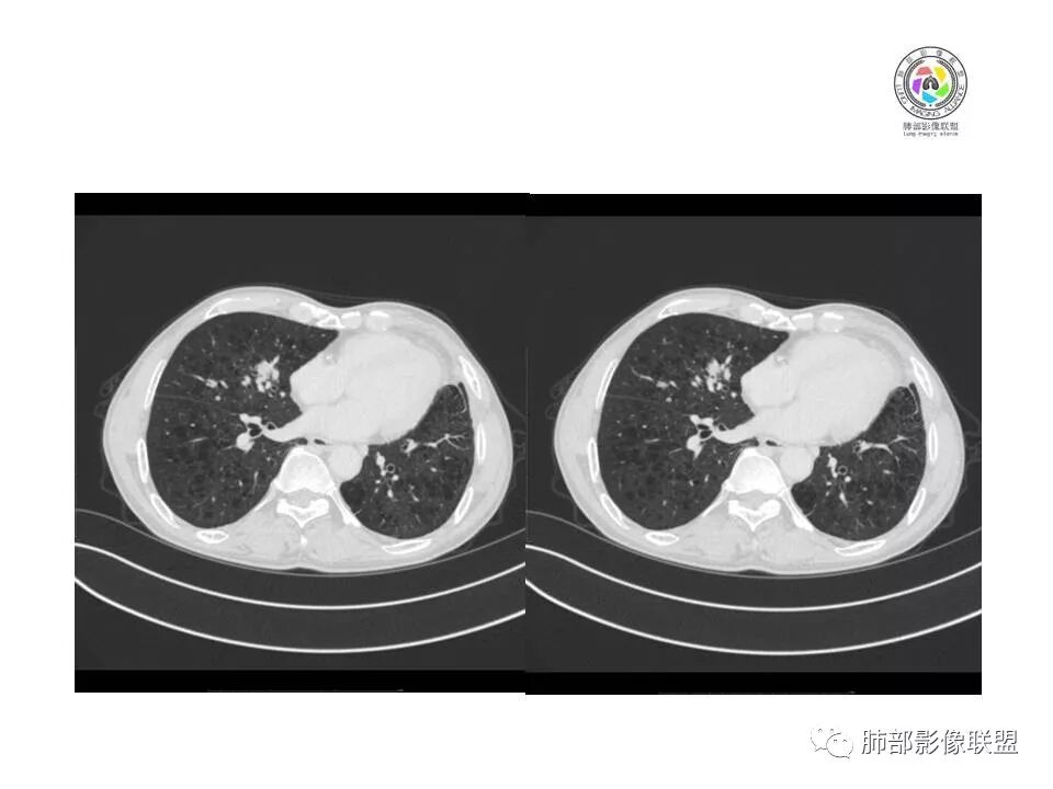
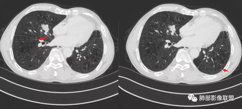
患者老年男性,间断咳嗽、咳痰伴痰中带血2个半月就诊,胸CT:右肺中叶内侧段占位性病变,病变可见分叶,周围可见结节影。病灶内可见厚壁空洞,洞壁光滑,未见洞壁结节,右肺中叶内侧段近肺门处支气管壁增厚。诊断:考虑结核,鉴别:肺癌,建议痰找抗酸杆菌、支气管镜检查
飞鹰行动
老年人,右肺中叶內侧段结节病灶,内见不规则空洞,近端可见引流支气管,其支气管壁增厚。结节病灶周围可见卫星灶,考虑肉芽肿病变,结核可能。
甄德强
老年男性,肺气肿背景,右肺中叶结节,边缘膨隆,有分叶及细毛刺,厚壁空洞,考虑恶性,腺癌。
没意见
老年男性,咳嗽痰血,影像:肺气肿背景,右肺中叶结节,分叶膨隆为主,部分平直,空洞,内壁光滑,壁厚,未见索条?树芽征、引流支气管,考虑恶性,男性、肺气肿、小病灶空洞鳞癌可能性大,需要与TB鉴别。
流心明智
右肺中叶内侧段实性病灶,病变可见深分叶,棘突,毛刺,周围多发结节影。病灶内可见厚壁空洞,内壁光滑,未见壁结节,增强轻度强化,右中叶内侧段支气管壁增厚。诊断:肉芽肿性病变,结核?隐球?鉴别:肺癌

晨读,老年男性,肺气肿背景,右肺中叶结节,边缘膨隆可见分叶,边缘毛糙,内可见小空洞,强化后呈轻度强化,可见血管影,首先考虑肺癌,建议支气管镜检查,除外结核。
三个石头
晨读,有个问题,左肺体积减小?纵隔左移,右肺代偿?左肺有没有手术史?假如是癌手术,要考虑转移的问题。影像,右肺中叶不规则分叶结节,支气管开口通畅,门口到肿块中间堵塞,到肿块近边缘又能看见走形,有毛刺,内沙砾样钙化,强化给的是延迟期,轻度强化或无强化,考虑恶性。需要鉴别结核。
弹指之间
晨读:几个征象的认定,1.是空洞还是空腔?未见明确与支气管相通,空洞/空腔形态不规则,内部光滑;2. 有血管穿行?见血管影穿过无明显破坏;3.有没有强化?没给出平扫,猜测有轻度强化、较均匀;3.分叶、毛刺均有;总体判断:MT可能大,其内为空腔而非空洞、加之有血管穿行,考虑为生长速度快包绕所致,不首先考虑鳞癌,以小细胞癌或腺癌可能。
水晶石头
晨读病例:患者老年男性,间断咳嗽、咳痰伴痰中带血2月余。实验室检查无明显异常升高。胸部CT:肺气肿背景,右肺中叶内侧段占位,密度不均,见分叶,边缘膨隆,部分可见边缘平直,支气管部分变窄、部分扩张,增强轻度强化,内可见低密度灶。综合考虑良性病变可能大,结核首先考虑,鳞癌待排。
尘缘
老年男性,肺气肿背景,间断咳嗽、咳痰伴痰中带血2个半月,右肺中叶结节,边缘部分膨隆,部分平直,有小结节堆积感,中间空洞不规则,近端引流支气管扩张,壁增厚,这样的改变有三个可能,腺癌,鳞癌,结核,但小于3cm的腺癌一般不形成坏死空洞,更不会与支气管相通出现咳痰咳血症状,鳞癌小于3cm未经治疗也一般不与支气管相通,除非囊腔型鳞癌,但这个周围不是硬壳样改变。所以考虑结核可能。
采莲
晨读病例:老年男性,咳嗽痰中带血俩月,肺气肿背景,右肺中叶不规则结节影,有分叶,内有空洞还是扩张支气管?不均匀轻度强化,内有血管进入。考虑恶性肿瘤,鳞癌?
蔡磊
晨读:患者男性,68岁,间断咳嗽,咳痰伴痰中带血2个月。CEA轻度升高。肺气肿背景。左侧胸廓塌陷欠对称,右肺中叶结节,边缘膨隆有浅分叶,支气管未见明确鼠尾样截断,结节內似有点状偏高密度影,结节内是小空洞?还是扩张的支气管?结节周围未见卫星灶。叶间裂无牵拉,收缩不明显。腺癌放后吧,在鳞癌和结核之间鉴别,肯定建议支气管镜检查。考虑恶性,猜个鳞癌。
良孑
良恶性征象都有,恶性征象多于良性,空洞呈偏心,壁厚薄不均,首选恶性,TB放后。
自信人生
老年男性,咳嗽痰血,肺气肿,右肺中叶结节,分叶膨隆为主,部分平直,空洞,内壁光滑,壁厚,轻度强化,考虑恶性,鳞癌?与TB鉴别。

南边老师分析讲解
尘缘:今天这个有点不好定,良恶性征像都有。感染依据,临床症状,近端引流支气管扩张,壁增厚,结节有小结节堆积感,边缘部分平直。
初学者:1.边缘彭隆,分叶,结节状堆积,比较符合恶性,尤其腺癌。2.支气管远端扩张,这一点会让人想起结核,但是形态不好,我还是结核放第二吧。3.淋巴瘤虽然支气管扩张,但是一般扩张比较均匀,不符合。鳞癌支气管应该堵塞不符合。小细胞也不会有支气管,不符合。隐球菌支气管堵塞的,不符合。这个支气管还是通畅,内部还不是太紧密,破坏也少,那腺癌和结核肉芽肿鉴别,再放一个转移。左肺确实好像隐瞒了什么,说不定也是癌术后。
南边:
定位中叶,左上胸廓狭窄,需要相关的病史

肺气肿明显

中叶内侧段结节

少许细小结节

我们的主要目标:中叶内侧段结节

深分叶,部分边缘膨隆,也有部分平直

边缘光滑

部分边缘有短毛刺

我需要看这个是不是近端支气管堵塞,如果近端支气管明确,我就高度怀疑癌

空泡征


病 理 结 果
肉眼所见:右肺中叶标本,大小12.6*9*3cm,支气管断端直径0.9cm,距支气管断端0.6cm处肺组织切面可见一灰白色肿物,大小3.5*2.5*1.9cm,质中,界不清,肺膜处并见两结节,直径分别为0.6cm和0.7cm,切面灰红色及灰白色、质中,周围肺组织灰红色、质软。

病理诊断:(右肺中叶)肺组织中见大片异型细胞巢,结合免疫组化结果,倾向大细胞神经内分泌癌,不除外肌上皮来源肿瘤。血管内可见癌细胞,肺内见转移灶,支气管断端(-)。
免疫组化结果:CK5/6(-),NapsinA(-),TTF-1(-),P40散在(+),Ki67阳性指数约50%,P63灶(+),Syn(+),CD56(-),S100(-),SMA(+),CKpan灶(+)。
知 识 扩 展

肺大细胞神经内分泌癌(large cell neuroendocrine carcinoma, LCNEC)是罕见的肺部恶性肿瘤,其诊断需要组织学、细胞学和免疫组化确认。目前手术切除是选取LCNEC病理标本的主要方法,但有较大的局限性, 仅限于早期肺癌,故CT引导下经皮肺穿刺活组织检查、经支气管镜肺组织活检也是重要的诊断手段。
对于肺神经内分泌癌病理学上有四种分型,即:典型类癌、非典型类癌、小细胞癌(SCLC)及LCNEC。在形态上,LCNEC肿瘤细胞表现为癌细胞体积较大且多形性明显,胞质丰富,泡状核,核仁大,核分裂象易见,核型改变是其主要形态学特征。癌基底细胞呈栅栏状排列,小梁结构,玫瑰样特性。LCNEC同时具有NSCLC和SCLC的病理特点,恶性程度较SCLC相当或略低。免疫组织化学染色法对该肿瘤诊断具有很大作用,因肿瘤细胞能够表达多种神经内分泌标志物,其中以Syn、CgA、CD56为主;  CD56的敏感性最高,但CgA、Syn的特异性更强,这三项中只要有一项为阳性,即可诊断。
LCNEC最常见的影像特征包括:(1)肿块发生部位:周围型肺癌为主,少数发生于肺中央。(2)肿块大小及形态。因肿瘤细胞生长迅速常形成较大肿块,因此其体积一般较大,直径常在3~10cm范围内,病灶常为不规则形软组织肿块。(3)肿块边界。多数学者报道大多数肿块边界清晰,边缘呈分叶状,毛刺征及“胸膜凹陷征”少见,认为与该病对周围组织浸润较轻及较少产生纤维瘢痕组织牵拉有关联。(4)肿块密度、强化特点及代谢情况。据文献报道,该类肿瘤因体积较大CT上常见软组织肿块,且多数密度不均匀,内见囊变坏死区,增强后呈轻或中度不均匀强化(可见强化者占75.7%),认为其强化特点与其内部肉眼可见坏死灶和肿瘤较大直径有关。(5)伴随症状及远处转移。该病恶性程度高,侵袭性强,常侵犯邻近结构,如胸膜、心包、邻近骨质或纵隔内组织等,易出现纵隔淋巴结转移,部分发生肺内及远处转移,少数早期可出现广泛远处转移。
LCNEC患者空洞、钙化、阻塞性肺炎、肺不张、积液这些CT特征较少见,少见支气管充气征。

鉴别诊断:
(1) 类癌及小细胞神经内分泌癌: 类癌多见于无吸烟史的中年女性,CT上多表现为支气管腔内外边界清楚的结节或肿块,钙化较常见,增强后呈显著均匀强化。小细胞神经内分泌癌恶性程度更高,病程发展快、转移早、预后差,对放、化疗敏感,多表现为病灶较小但伴有广泛的肺门、纵隔淋巴结和远处转移。
(2) 肺腺癌及鳞癌: 腺癌好发于无吸烟史的女性,多表现为类圆形磨玻璃影或肿块,内常见空泡征,边缘毛糙,可见分叶、短毛刺征及“胸膜凹陷征”。肺鳞癌病灶内囊变坏死更常见,常因中心坏死的组织与支气管相通排出而形成空洞,壁厚不均匀。
(3) 肺淋巴瘤: 病灶影像表现多样,常为多发结节状或斑片状密度,且多数内部可见“支气管充气征”,伴全身多处淋巴结肿大。
参考文献:
1.刘洋,王悦虹,阮伟良,等.肺大细胞神经内分泌癌患者的临床病理学和胸部CT特征分析[J].上海医学,2018,41(06):339-343.
2.陈涛,陈伟,吴彩云,等.肺原发性大细胞神经内分泌癌CT与PET-CT表现及病理分析[J].临床放射学杂志,2019,38(06):1038-1041.
编辑:黄震
审核:清茶


到顶部