【每日晨读】“恶”贯满盈的肺结节



点击上面“蓝字”关注我们


1
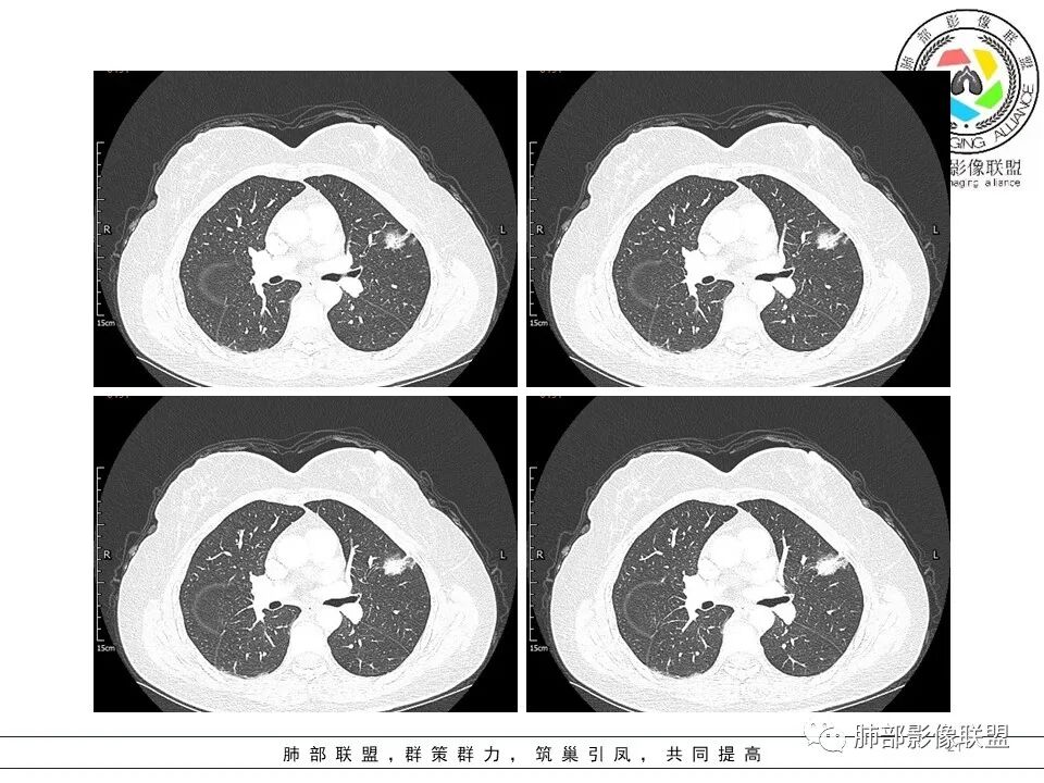
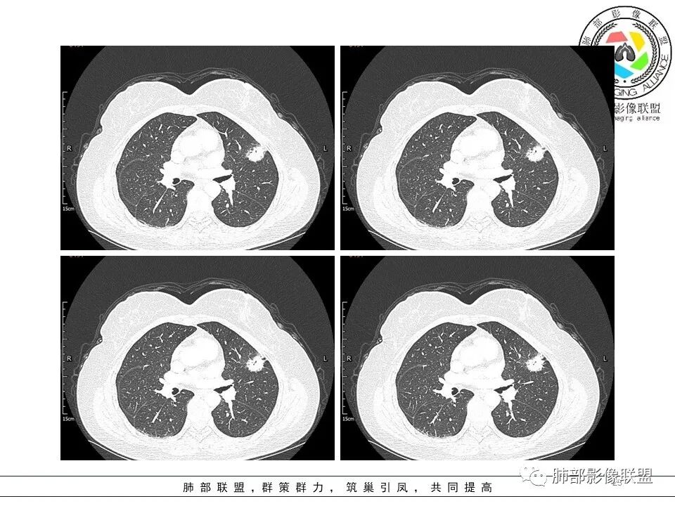
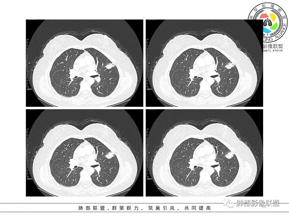
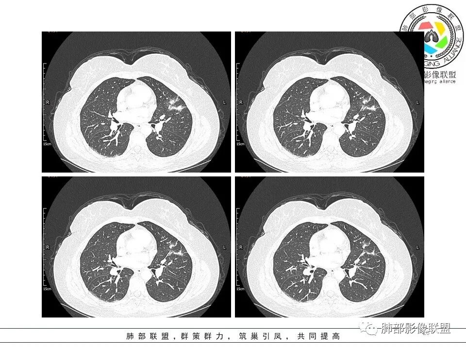
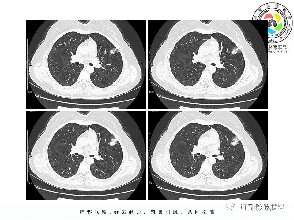
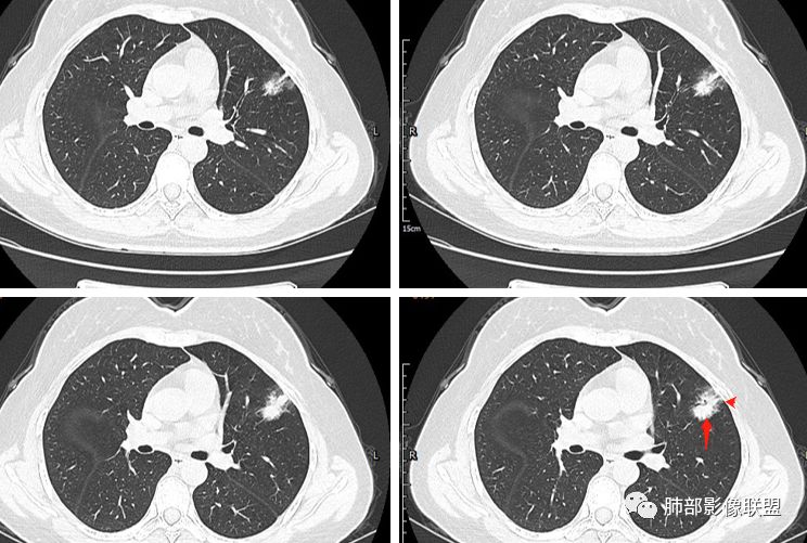
病例资料






























2
讨论部分


杨泽锋
两个结节,大的IAC,小的AIS或MIA,不太有信心的是读片病例往往出乎意料。
穿越七海的风
左肺上叶近胸膜下磨玻璃小结节,考虑早期腺癌,大结节感觉密度混杂,考虑良性感染
市医院--时建文
左肺上叶ggo,短毛刺,空泡征,6个月后复查病灶似变大,有轻度不均质强化,腺癌?胸膜下粟粒结节,无变化,良性?
薏米
中年女性,发现肺部结节半年,CT左肺上叶磨实混合型结节影,有膨隆,有凹陷,有毛刺,不均匀轻度强化,考虑腺癌可能,鉴别炎肌母
张小兵
左肺上叶舌段mGGO,实变区可见支气管充气征直达远端并扩张,实变区膨胀与收缩共存,增强轻度强化,血管漂浮,未见受侵,纵隔内未见肿大淋巴结,中年女性,慢性病程,症状逍遥,半年复查病灶增大,倾向恶性病变,高度怀疑MALT。 
明日の路过:
左上肺实性占位,部分磨玻璃样改变,多发细小毛刺,胸膜牵拉,临近病灶血管增粗,病灶内见支气管,考虑恶性可能性大。鉴别肉芽肿性炎(病灶太散了,病灶中间见正常肺组织,感觉不符合)。
丽:
左肺上叶胸膜下结节,边缘可见毛刺及长索条,内可见支气管影略扩张,周围可见片状磨玻璃,增强后呈不均匀强化,内血管略增粗,复查大小没有变化,考虑腺癌。
李:
短毛刺,空泡蜂窝,肺腺癌,靠近胸膜结节太小,性质待定。
一米阳光:
中年女性,左肺上叶混合ggo,边界清晰,边缘分叶,内见空泡,短毛刺,血管穿行,胸膜牵拉,增强轻中度强化,考虑腺癌iac。鉴别支气管扩张,扭曲,淋巴瘤
一切∮随缘:
左肺上叶胸膜下实性结节,周围散在磨玻璃结节,边缘收缩,胸膜牵拉,形态不规则,有分叶,毛刺,兔耳征,内部可见多个小空泡,平扫密实尚均匀,增强后不均匀强化,内部可见低密度坏死,血管束穿行,考虑恶性:浸润性腺癌,鉴别炎性肉芽肿。
小飞:
左肺上叶胸膜下混合密度结节影,其内可见小空泡、扩张支气管,边缘短毛刺、微分叶,周围磨玻璃影,边界清。复查实性成分增多,结节增大,不均匀强化,可见低密度坏死,考虑恶性,腺癌可能
玫:
左肺上叶见磨玻璃结节影,部分实变,边缘不规则,可见长短不一毛刺,分叶及胸膜牵拉,病灶内见支气管走形,增强扫描,病灶实变区轻度强化,似见坏死区,考虑腺癌可能。
崇军:
左肺上叶实性结节分叶短毛刺、细支气管轻度扩张并空泡、周围不规则分叶边界清楚GGO,半年后复查,目测大小没有明显变化,其内的考虑细支气管扩张及空泡变小,说明病灶仍在发展,与胸膜相连,但胸膜凹陷不明显,总体考虑恶性可能,腺癌或粘液腺癌可能,
任广国:
左肺上叶混合磨玻璃结节,周围可见毛刺,胸膜牵拉,病灶内血管增粗,支气管略扩张,收缩力较大。考虑中分化腺癌;鉴别主要还是感染。
王秀仙:
左肺上叶胸膜下混合密度结节影,部分边缘可见磨玻璃,其内可见小空泡,边缘短毛刺、微分叶,不均匀强化,可见低密度坏死,考虑恶性,浸润性腺癌
毛勤香:
左肺上叶胸膜下混合磨玻璃结节,实性为主,周围磨玻璃清晰,小空泡,血管进入无破坏,短毛刺,半年复查实性区似稍增大,考虑恶性,腺癌IAC,读片带个尾巴,淋巴瘤代排
尘缘:
有腺癌的影像表现,有半年的无症状结节史,有抗炎无效史(排除普通炎性感染),且半年结节无明显变化(如果是结核或隐球,这样的病灶半年是会变化的,形,态,部位都会变化)。除了IAC,其他可能真的太小了。



2
南边老师解读
南边:
这个病史:50来岁,女性
南边:

南边:左上肺病灶半年前就有。
是当时治疗后复查无变化?还是这次复查无变化?
这个差异大啊

这有一个小结节



没重建冠状位、矢状位
这是月牙铲吗?


南边:
分叶结节,内部结构杂乱,边缘板刷样毛刺,GGO边界清楚
胸膜牵拉
月牙铲?
常规要考虑腺癌
一般半年无变化,边缘GGO
GGO的形成主要由:炎性渗出、出血、肿瘤侵犯
出血,半年会变化,炎性渗出也会变化
当然还有就是纤维化病变可以表现GGO
但是纤维化病变,边缘收缩,条带状为主
按理慢性炎性病变,比较特异性的——结核要放待排,因为结核是妖
南边:



3
病例结果






本例小结:
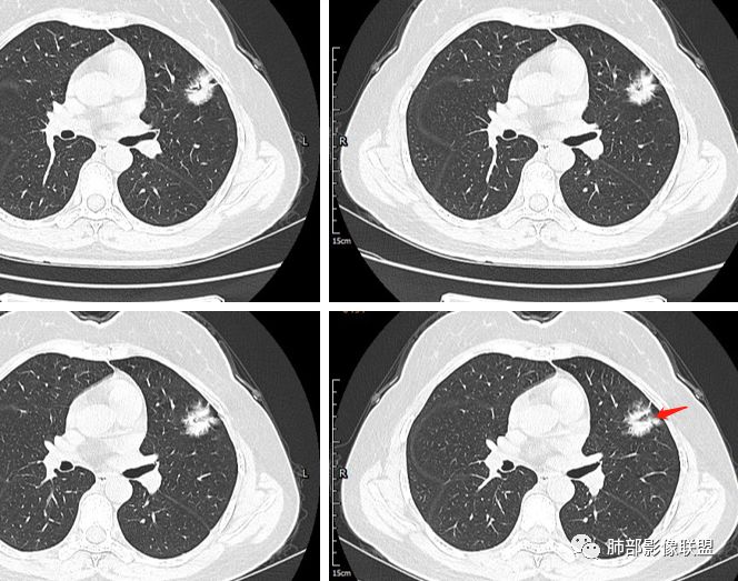
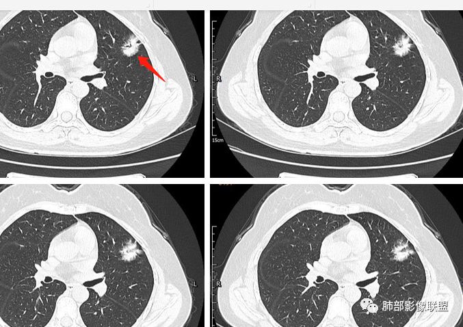
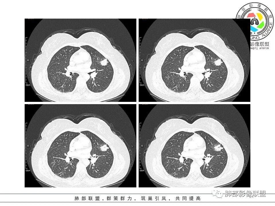
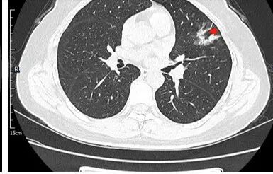
一.大结节影像特点:
左肺上叶胸膜下不规则结节影,分叶、粗短毛刺,胸膜牵拉等,像个“刺头”。
未见钙化,也未显示液化坏死或空洞。
与支气管相关,但取层未能显示支气管进入情况。
 
有几点应当引起我们高度重视:
1.病灶周围向几个方向膨出的边界清楚的磨玻璃影,这些磨玻璃影时隔几个月依然,几乎可以排除出血及一般的炎性改变。
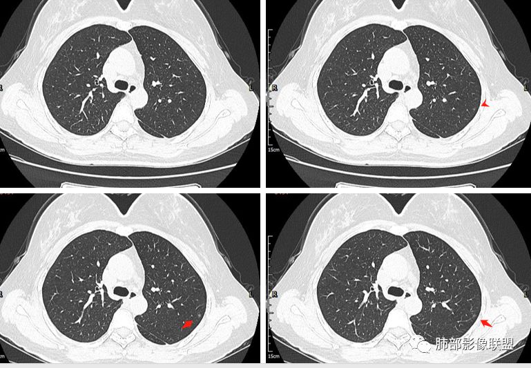
2.病灶的胸膜牵拉线与其间病灶胸膜侧的磨玻璃边构成朝向胸壁的“月牙铲”结构,这种影像学表现某种程度上反映出病理学特征——病灶收缩+小叶间隔阻挡。
3.病灶实性密度区强化明显,这有助于我们区分一些其他类似病灶,如结核灶等!
4.邻近未见树芽征及卫星灶等。
 
结合临床,应当高度怀疑浸润性肺腺癌!
 
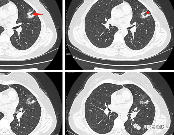
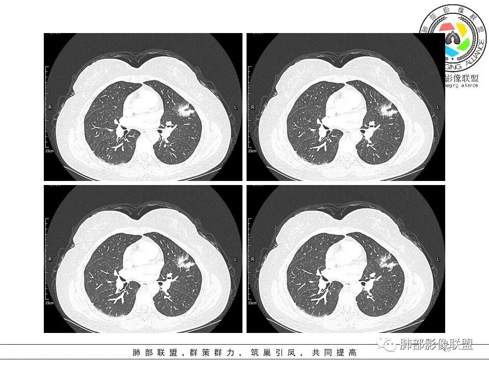
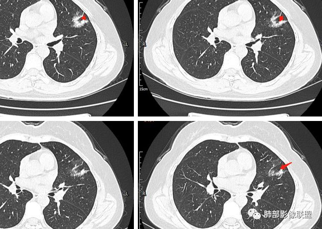
二.关于胸膜下小结节:
结节影太小,尚未能够充分反映出影像学特征。随访观察应当是恰当的处置方式。
4
肺腺癌之—
月牙铲




   在影像上观察到肿块或磨玻璃结节一侧的内凹,像个月牙铲形态,病理是肿瘤生长受到小叶间隔阻挡并受肿瘤内部的收缩力形成,王兆宇老师称之为“月牙铲”!对诊断肺腺癌较有特异性。

5
肺腺癌精选推荐
【肺部影像病理系列】曹舅舅告诉您影像判断肺腺癌亚型分型
【王兆宇专题讲座】普通型肺腺癌的五种生长方式
【肺部联盟影像病理系列】擒拿肺腺癌的利器----月牙铲!

整理:杨宏刚
审核:蔡笑燕 徐晓
病例提供:临汾市中心医院  程磊



到顶部