【每日晨读】良恶一念间 你如何决断



良恶一念间-肺部病变分析

病例资料











精彩讨论

凝睦:
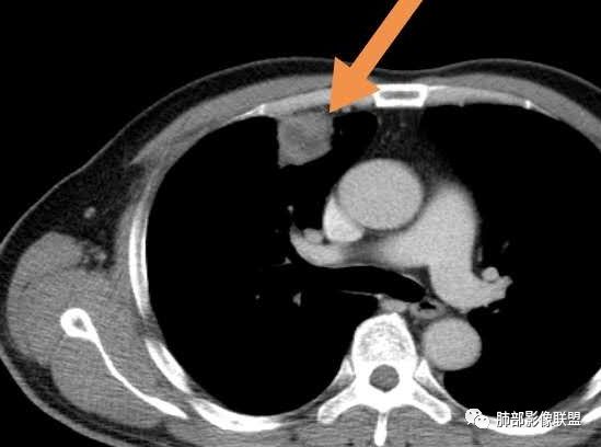
右肺中叶肿块,边缘不清,引流支气管壁增厚,密度不均,强化后见坏死区,坏死形态规则,考虑结核。
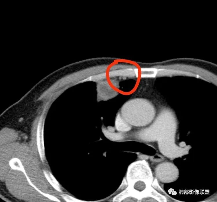
明日の路过:中老年男性,咯血为主入院,右肺中叶实性病灶,紧贴胸膜,病灶边缘平直,刀切征。周围磨玻璃样改变,胸膜处见牵拉,病灶中间见部分坏死。引流支气管增粗(引流支气管部分进入病灶)。考虑良性感染性病变可能性大,考虑结核,鉴别隐球菌及其他感染。
晨:右肺中上叶肿块,边缘不清,密度不均,强化后见坏死区,坏死形态规则,支气管进去后堵塞,首先考虑隐球菌,鉴别恶性肿瘤。
果哣.:男性中年患者,右肺上叶前段一肿块影,边界稍模糊,刀切,平直,支气管近端截断,强化均匀,中间坏死考虑炎性病变。结核?隐球?
luys:右上叶前段胸膜下病变,强化较均匀,边缘膜玻璃,边缘平直为主,近端支气管中断,考虑隐球菌。
丁啸:支气管截断,坏死边界不清,部分边缘膨隆,我觉得像鳞癌



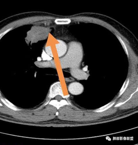
joyzhy:实变病变,边缘平直内收,支气管长轴分布,其内灶性三层强化,近侧支气管部分进入。临床咳血,血象正常,结核可能,细菌性脓肿病史不支持,隐球菌分布不支持。
红星:右肺上叶前段肿块影,向外膨胀,但边缘无分叶毛刺,内部强化不均,有轻微强化有坏死区,有支气管征,周围有毛玻璃影,纵隔无淋巴结,其余肺叶无异常。考虑良性病变,炎性肉芽肿;
市医院--时建文:男性中年患者,右肺上叶前段见一肿块影,边界稍模糊,刀切,平直,支气管近端截断,强化均匀,中间坏死考虑炎性病变。结核?
轩哥:右肺中叶软组织密度团块灶,边缘清,密度不均,强化后见坏死区,坏死形态规则,见爬树征象,考虑结核;鉴别肺癌。
闫美利:右肺上叶病变,外朝内,部分边缘平直,部分膨隆,近端支气管截断,内可见坏死(坏死不彻底),强化不规则,考虑结核。
丁啸:结核是干酪性坏死,液化罕见,干酪性坏死属于凝固性坏死的特殊类型。
王江涛:
中老年男性,咯血,右肺上叶前段胸膜下肿块,大部分边缘平直,渐进强化,内有坏死,小支气管入肿块后闭塞,没有肿大淋巴结,考虑慢性炎症,结合临床咯血有小血管受侵,结核可能大。傅昌瑜:晨读,52岁男性,咯血6小时。右肺上叶前段肿块,部分边缘平直,部分有膨隆,支气管进入肿块后截断,肿块内偏远端坏死,壁厚薄不均,内见壁结节,考虑恶性肿瘤可能性大,最后一张图见走形自然的内有粘液的支气管,注意鉴别结核。
王秀仙:晨读:右肺上叶前段肿块,边缘膨隆、平直,周围有晕,晕中有毛刺,内部低密度坏死,支气管进入后截断,轻度延迟强化,邻近胸膜轻度增厚。病灶最大径平行胸膜。考虑良性病变,炎性肉芽肿,隐球菌。鉴别结核。
冥冥之中:



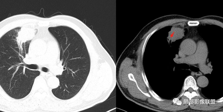
Harvey:晨读:中老年男性,咯血为主入院,右肺中叶内侧段实性病灶,周围见少许ggo,病灶紧贴胸膜,部分边缘平直,刀切征,增强扫描中央见坏死、坏死边缘见完整的环,边缘见支气管进入,考虑炎性肉芽肿病变可能性大。郑氏刀刀:

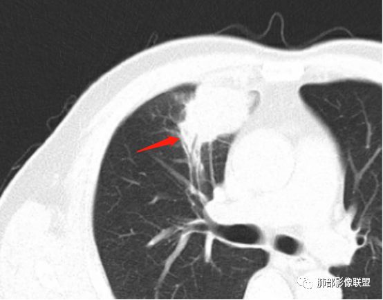
郑氏刀刀:坏死边缘高强化:更像肉芽组织(含成纤维细胞及毛细血管)。浪迹天涯:右肺上叶前段病灶,病灶不均匀性渐近性强化,病灶内远端见低密度坏死区,边缘平直、稍清楚,病灶内支气管可见粘液充填,近端支气管扩张,邻近局部胸膜牵拉,周围可见小树芽,1.炎性肉芽肿。2.粘液性腺癌。
冥冥之中:体循环供血,仅此一条,加上老年,孤立肿块,咳血,基本上锁定恶性了。

郑氏刀刀:截断支气管伴行的血管,增粗,但是无明显破坏浸润。
张晴:体循环供血明确吗?若有能肯定恶性?
修*:胸壁脂肪间隙清楚,内见小血管通过,中央密度较低,支气管壁增厚,病灶好象与支气管平行(爬行?),感觉良性病变,结核>隐球。
甄德强:
小泡征,在良性病变中是罕见的,但需要除外小的坏死,除外炎性结节,支气管充气征,在良性病变中罕见,但炎性结节的支气管和肺癌,一般可以鉴别,我也提出了支气管边缘截断征的概念,来代替支气管截断征,在病变边缘将支气管截断的,高度提示肺癌。走到一半截断的,炎症,肺癌,均可;贯穿的,炎性多见。但肺癌也可见到,但支气管的管径一般会有狭窄或扩张(黄勇老师观点)。
冥冥之中:我不确定@张晴山一医 义工?反正这个工作中肯定先抗炎,不除外恶性,因为这个有平直,就是影像上良恶性都可以,读片就狠一点,工作上还是炎性放第一。
飞:

冥冥之中:这个位置,这个形态,如果是良性,应该是炎性肉芽肿,不太像结核。
飞:支气管远端管腔内似乎有强化的高密度影充填。
张晴:@甄德强 庆安县人民医院 影像科?这个算边缘截断吗?甄德强:这个我支持支气管进入病灶内截断,(良恶性)一半一半。
就是黄老师说的炎症和肿瘤都可以。
郑氏刀刀:

增粗的是静脉。
回流增加?炎性刺激的静脉扩张?
胸膜下脂肪间隙增宽,怀疑是静脉被牵拉扩张的。

张延军:右肺上叶前段不规则肿块,部分边缘平直模糊,周围散在磨玻璃影,内有增厚的小叶间隔,紧贴纵膈面,支气管于病灶近段截断,残端未见内凸肿块,增强后病灶上部见考虑片状坏死区,内走形的血管轻度增粗,未见破坏叶间胸膜局部膨隆,考虑炎性肉芽肿,建议抗炎治疗后复查除外鳞癌。
淘时光:晨读支气管边缘截断,部分膨隆,部分u形凹陷,周围ggo偏模糊,增强后渐进性强化,内见低密度区,边界偏清,良恶性征象都有,常规抗炎治疗短期复查。三个石头:右肺上叶肿块,支气管进入截断,平直,膨隆,周围模糊,小斑片,坏死边界清晰,可疑壁结节?考虑炎性可能。建议穿刺或短期抗炎复查。
毛勤香:
右肺上叶前段胸膜下肿块,边缘平直为主,部分膨隆,支气管闭塞无扩张,周界模糊,糊墙,增强强化不均匀,见低密度坏死区,其内血管走行尚规则,首先考虑良性肉芽肿性病变,卫星灶不明显,防线菌?隐球菌?结核?
彭君:边缘有u型凹陷及平直 局部膨隆 支气管截断 引流支气管壁增厚 考虑炎症可能 鉴别结核。
LiuC:顺便说一下“糊墙征”,有两点要注意,一是与胸膜之间接触是钝角,即宽基底与胸膜接触,二是一般不侵犯胸膜下脂肪。请注意,不是只要软组织密度病灶接触胸膜就是糊墙征。
南边:
患者,男,52岁主诉:咯血6小时既往史:否认高血压、糖尿病等。定位在哪?


水平裂以上,上叶前段,先看周围,非远端有斑片状高密度影。

边缘平直、稍凹陷,部分区域膨隆。


宽基底与胸膜相连,附近胸膜稍增厚。



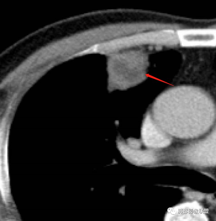
支气管进入病灶内,近端堵塞,断端圆钝。

支气管壁均匀稍增厚。

甄德强:圆钝是良性病变特点吧。鼠尾是恶性特点。南边:层厚太厚了一点,我看不清这个低强化区边界,似乎较清晰。

南边:实质部分强化均匀。总体倾向于炎性病变,部分区域膨隆,肿瘤性病变待排。
Coke with ice:冠状位和矢状位看着好像深分叶,是假象吗?
这种病例在实际工作中是比较纠结的…
这个支气管是病灶边缘截断还是进入后截断?我更倾向于前者轴位好像有假象。
弹指之间:@曹冠杰,济医附院 是的,影像科医生只能说炎性可能,肿瘤不排除。
冥冥之中:
@南边?有体循环供血么?
甄德强:



德强:这个支气管是近端截断还是进入截断?
张三红:不除外恶性,建议穿刺活检,或者PETCT,平时工作思路就这样了。
Coke with ice:@甄德强 庆安县人民医院 影像科?甄老师,矢状位感觉像边缘截断…我觉得有一部分是增厚的中轴间质和肺静脉判断成病灶了。
边缘截断更倾向于恶性。进入后截断良恶性都可以。
尘缘:@李双喜,阳朔县医影像科?内乳动脉增粗有意义,但不能直接鉴别良恶性,可以提示这个病灶时间比较久了,慢性炎性肉芽肿和肿瘤都可以增粗。Coke with ice:
绿线像胸膜的走形,有一部分可疑于栽桩?

南边:内乳的血管,没看到与病灶的关系啊。
郑氏刀刀:动脉没有增粗,静脉增粗了,静脉平滑肌薄,容易扩张。这样的边缘炎性一定有

Coke with ice:纵膈窗薄层上栽桩又找不到了…
还是支气管进入后截断。
南边:很干净吧

尘缘:还是不好确定,中间的坏死边缘是否清楚确定不了。
南边:这个连续的,可能是血管。

Coke with ice:胸膜外脂肪间隙增厚,有轻微的胸膜增厚…炎性特点。炎性肉芽肿+1。
南边:低密度灶确实没看到明显的强化环内壁。
郑氏刀刀:
这个层面环形强化挺明显。

尘缘:栽赃不明显,血管应该进入了,但是显示不够确切。
炎性成分是肯定有的,但是还是确定不了是整个都是炎性病灶还是鳞癌伴阻塞性炎症。
欣:支持炎症:形态成片状,边缘平直,部分稍膨隆,收缩力不明显,
水平裂以上,上叶前段,先看周围,非远端有斑片状高密度影。
Coke with ice:深分叶也看不到了。毛刺比较软。
坏死更多位于病灶中央区。

最后结果:

甄德强:这个是炎症,治疗一月后复查图片。
Coke with ice:薄层很重要,要不然好多征象都是靠感觉。
南边:目前鉴别诊断上其实五花八门,思路很多;大家觉得是先大方向判断,然后在细分鉴别?还是根据典型征象对某一类病变一锤定音?
Coke with ice:先定良恶性。
南边:
影像是相对独立的,但是影像诊断与临床、病理密切相关。肉芽肿其实是病理的诊断,属于修复阶段。但是我们影像上诊断到病理,很多都会偏差。我们下结论就很犹豫。举个例子:OP、NSIP;类风湿。类风湿是病因,肺部的表现——OP样、NSIP样。我们影像符合OP样改变。如果有类风湿病史,我们下结论可能就是类风湿性肺损害。但是没有这个病史,很多病因都可以引起OP样改变。肉芽肿影像上表现以团块、结节为主。我们看到这一类病变,炎性的可能会考虑肉芽肿结节。但是病因是啥我们不清楚。可能下结论有一些个人的习惯问题。如果我们看到典型的结核特点,直接考虑结核。没有一些特异性征象,可能就某一类病变,例如炎性肉芽肿性病变、OP类病变。有一定的倾向性。这一块目前还没有完全规范化。我觉得我们下结论,有些是影像的局限。

病例小结

    回顾性分析本病例,小编觉得鉴别诊断聚焦于肺鳞癌和炎性病灶(包括结核)之间,这个病灶的炎性征象大于恶性征象;以下是这个病例的的炎性征象:①病灶边缘平直收缩为主,也缺少典型的分叶毛刺;②支气管走行于病灶中央截断,断端比较圆钝;③近端引流支气管壁增厚;④整体强化不显著,坏死区太圆太规整,边缘隐约显示强化的环;⑤血管走形自然,未见明显破坏征象;⑥胸膜外脂肪间隙增宽,胸膜广基地增厚,未见栽赃;⑥52岁偏年轻(此条也不大支持鳞癌)
   虽然本例患者支气管截断,病灶中央截断炎性及恶性都可以,断端向病灶一侧圆钝更支持炎性。


END
编辑:田长青
审核:蔡笑燕  徐  晓
病例提供:宜兴市人民医院      刘群


到顶部