【每日晨读】一个有温度、有颜色的肿瘤---冬眠瘤


01
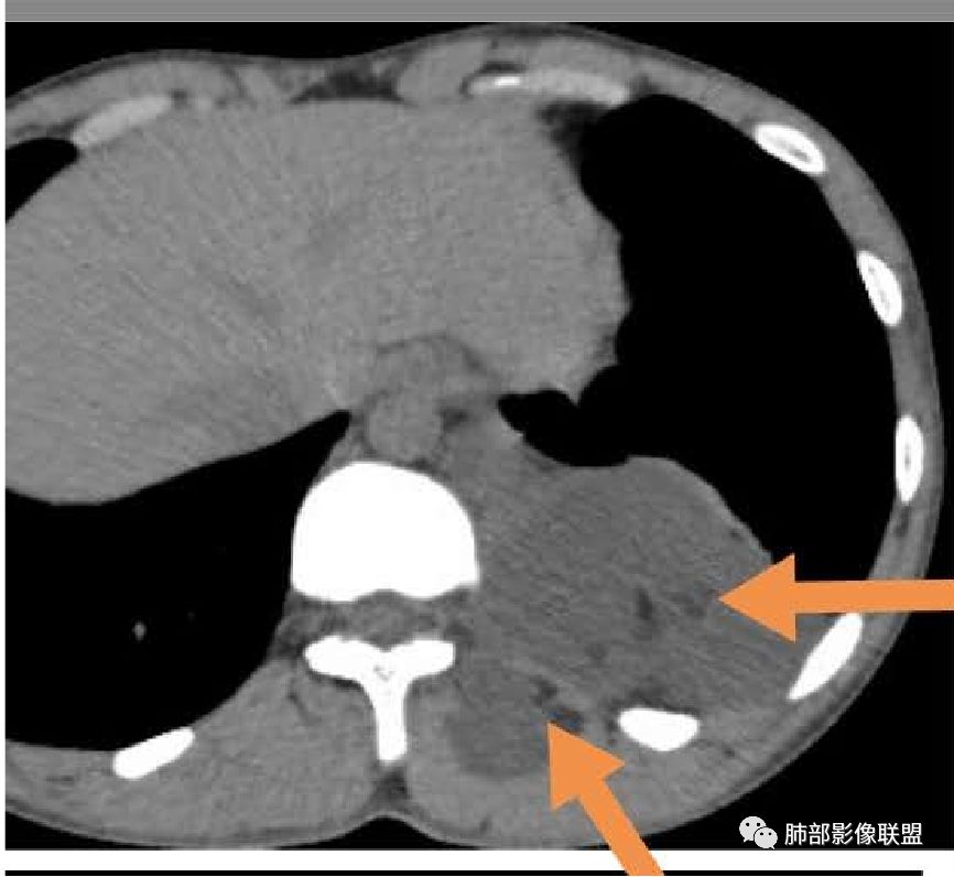
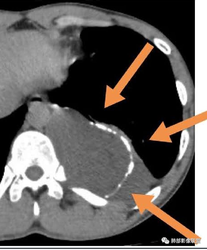
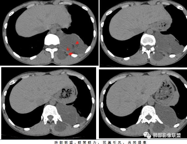
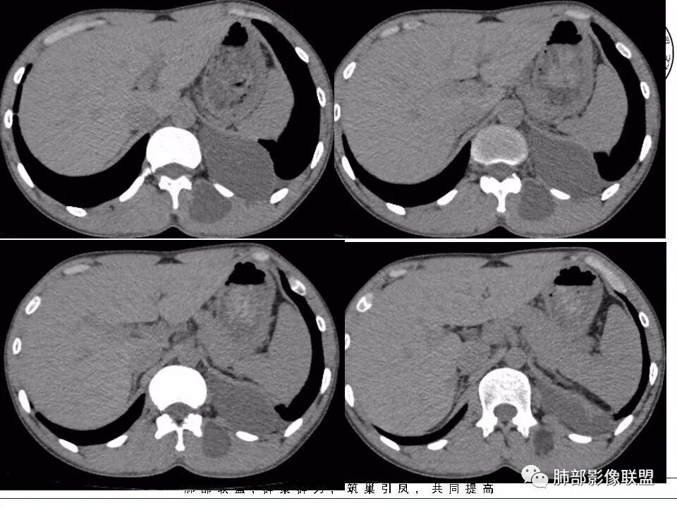
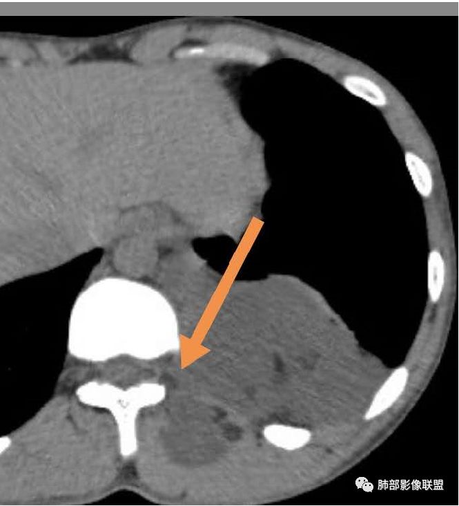
病例资料

















02
精彩讨论
杨泽锋:
有钙化、有脂肪,首先考虑畸胎瘤;多空间病变,需要和神经纤维瘤病鉴别
王江涛:
左后纵隔不规则多房囊状液性密度灶,边界清楚,伴钙化,见缝就钻,考虑良性,囊性淋巴管瘤可能性大
凝睦:
左侧脊柱旁不规则囊性病变,淋巴管瘤?
任广国:
左侧后纵隔及胸腔多房性囊性肿物,其内可见脂肪,边缘可见蛋壳状钙化,胸壁侧肌肉内病变范围小,考虑囊性畸胎瘤,伴局部破裂可能。鉴别结核(肌肉内冷脓肿范围太小)
清嘉:
主病灶位于左侧脊柱旁,以水样密度为主,有少许脂肪成分,边缘钙化,邻近胸腔及后胸部受累,见类似成分,且后胸部病灶变大。邻近椎体及肋骨未见异常。综合考虑畸胎瘤伴局部破溃累及邻近胸膜和后胸壁可能大
红星:
左脊柱旁、胸壁及竖脊肌多发肿物,有坏死囊变、钙化,平均CT值有-21一-3,肿物张力较大,钙化位于周围,象包膜的钙化。考虑结核性?畸胎瘤?血肿机化?
金惠:
有钙化,结核性包裹性胸膜炎待排。其次胸腔,皮肤同时感染的,奴卡菌少见致病菌也有可能,但是此患者不发热。免疫系统疾病,狼疮也需要排除。
徐飞:
左后纵隔不规则形多房占位,边界清楚,沿纵轴生长,蛋壳样钙化,能见少许脂肪密度,竖脊肌受累。近期感觉长大,囊性畸胎瘤恶变?
群锋:
左脊柱旁囊性肿块,皮样囊肿可能,鉴别包虫囊肿,神经源性肿瘤囊变
丽:
青壮年男性,背部包块一年近期明显增大,左后纵隔脊柱旁团块状混杂密度影,不规则生长,边缘可见钙化,内可见脂肪组织,邻近竖脊肌受累,短期迅速长大,考虑畸胎瘤恶变?
马宁强:
左后纵隔不规则形多房囊性占位,边界清楚,沿纵轴生长,蛋壳样钙化,边缘少许脂肪密度,竖脊肌受累。考虑良性病变,畸胎瘤,神经源性。
小兜:
左后纵隔多放囊性占位,边界清晰,内部密度不均匀,可见脂肪密度,边缘见钙化,左侧竖脊肌受累,邻近椎体及椎间盘未见破坏,考虑为良性病变,畸胎瘤,神经源性肿瘤可能
月亮圆了!:
左侧后纵隔及胸腔多房性囊性肿物,边缘可见蛋壳状钙化,考虑畸胎瘤,
三个石头:
病灶与肺组织界面清晰,脊柱旁纵隔内不规则囊性占位,边缘(包膜?)钙化,蛋壳样应该是一个特点,脂肪,肌肉累及,考虑畸胎瘤可能。鉴别结核,如果是寒性脓肿,长轴生长符合,但是椎体没有病变,结核可以这样钙化吗?这里也有神经源性,淋巴管来源病变,囊性占位,是不是都得鉴别一下啊
毛勤香:
左后纵膈脊柱旁稍低密度肿块,多房,有钙化,类似包膜钙化,含脂,向胸壁外突出,邻近骨质无破坏和增生,左侧椎间孔似略扩大,年轻男性,肿块感觉偏软,穿刺有红细胞,定性良性或低度恶性,首先考虑畸胎瘤,鉴别神经节细胞瘤和脉管瘤。
采莲:
青年男性,左下靠近脊柱旁,多发软组织肿块,一个靠近主动脉旁,有钙化,一个在左下胸膜下,一个在肌肉里面,考虑来源胸膜下,考虑侵袭性纤维瘤?神经源性肿瘤?
飞鹰行动:
青年人,左侧下胸腔可见不规则肿块影,病灶向竖脊肌侵袭,病灶边缘可见弧形钙化,内可见分隔样改变及脂肪密度,首先考虑畸胎瘤,其次节神经细胞瘤。
一切∮随缘:
左肺胸膜下肿块,部分向肋骨外及纵隔生长,边缘膨隆,与胸膜宽基底,密度不均匀,边缘可见弧形钙化,并可见脂肪密度,无增强,考虑:1:畸胎瘤2:错构瘤3:脂肪瘤

03
南边老师分析
首先需要定位在哪?纵隔?胸壁?


应该是跨区域了。跨区域一般我们的分析:
1、病灶由一侧突入到另外一侧。
2、两个区域病灶融合,这一例好像符合后者。
常见的:管道相关的,血管、淋巴管,还有脂肪等。
这些脂肪是病灶本身的?还是病灶外的?

含脂肪?不含脂肪?对于性质的判断太重要了。
我觉得还是要考虑病灶内的可能性大一些。
我来列一些疾病普:
1、管道来源:淋巴管来源、神经来源(血管来源不太支持)
2、畸胎瘤
3、感染类的:结核
大概就这几种
南边:
如果内有脂肪有哪些疾病谱?
畸胎瘤?表皮?
然后才是:神经源性?淋巴管瘤?结核?
如果二元或多元就复杂了
Coke with ice:脂肪考虑病灶内的,那就是畸胎瘤了
陈涛:如果是结核,椎体没有改变,肺部支持吗?
南边:其实临床好办,穿刺病检
Coke with ice:假如是结核冷脓肿的话,病程符不符合吗…病史一年,穿刺也没发现异常。
先扣个良性病变的帽子
南边:
不过常规穿刺都要先增强
萨克:增强还是很有必要的
马春平(张家港市一院胸外科):
@南边?  我们开过几例包裏性结核脓胸破馈皮肤的,但都年纪大的;不一定有椎体病变,椎体结核一般都是增殖病变,偶尔会沿腰大肌形成典型冷脓肿
平常心:
脂肪确实是突破口,但是不了解这个
King:诊断到良性脂肪类肿瘤就可以了,主要是弧形钙化不敢下脂肪瘤和AML
       
04
   病例结果


05
文献复习



      (棕色脂肪细胞比黄色脂肪内含有大量线粒体,且血供丰富,所以氧化充分且产热较多;寒冷可以刺激棕色脂肪细胞分界、氧化从而产生更多的热量,所以这种肿瘤体表上摸上去温度比较高。)

06
病例小结

现在我们重新回顾性分析这个病例的影像特点:
1.含有少量脂肪密度成分,位于病灶中央区,应当是病灶内的一部分,或者说至少这部分不是被包绕卷入的。常见病灶内含有脂肪组织的肿瘤:多种脂肪瘤、脂肪肉瘤、畸胎瘤、其他肿瘤伴脂肪化生或分化。
2.病灶中间弧形稍高密度影,提示纤维组织可能,而且很有张力并呈分叶状,伴弧形钙化,提示这个倾向于病灶的包膜。
我们知道囊性成熟畸胎瘤中外胚层来源的上皮组织有腺体,有脂质,分泌粘液,囊性病灶有张力,囊壁也可以有弧形钙化,但易脂质上浮呈液平面,囊性畸胎瘤较少见如此明显的分叶,更少见在不同组织区间漫延串扰。


3.部位深在且四处侵入,含脂质较少或整体密度高于脂肪的脂肪类肿瘤应当想到脂肪肉瘤的可能性,因为它可以粘液样变。
但本例病灶边界清楚,有一定规模而相邻骨质未见异常,提示整体倾向良性或者恶性程度不高。
包膜钙化往往提示病灶存在时间较长且较为固定。
良性脂肪肿瘤有多种,脂肪瘤、纤维脂肪瘤、血管脂肪瘤、神经脂肪瘤、梭形细胞脂肪瘤、冬眠瘤等等……


4.冬眠瘤为含有棕色脂肪成分的脂肪瘤,又称为棕色脂肪瘤,因类似冬眠动物的冬眠腺而得名。良性,生长缓慢,好发年龄30-40岁,男性稍多。血管丰富有时会触及局部皮温相对高。
脂肪瘤临床触诊偏柔软较有特点,CT影像脂肪组织成分是最重要的依据之一。
本例无论是临床还是影像都可能怀疑到脂肪类肿瘤,但落实到冬眠瘤难度颇大。
END
编辑:靳文剑
审核:蔡笑燕  徐  晓
病例提供:武警四川省总队医院放射科 郑昊宇



到顶部