【每日晨读】“洞”灼其“奸”--双肺空洞性转移瘤







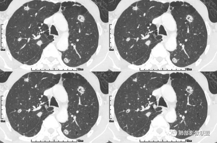
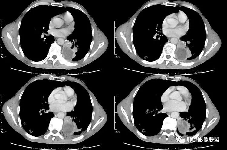
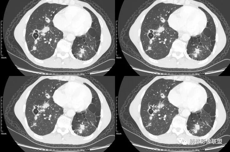
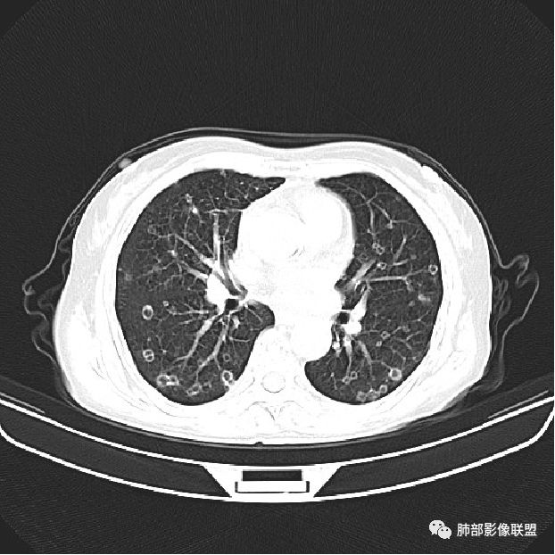
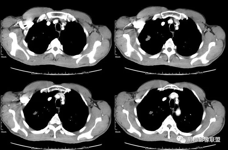
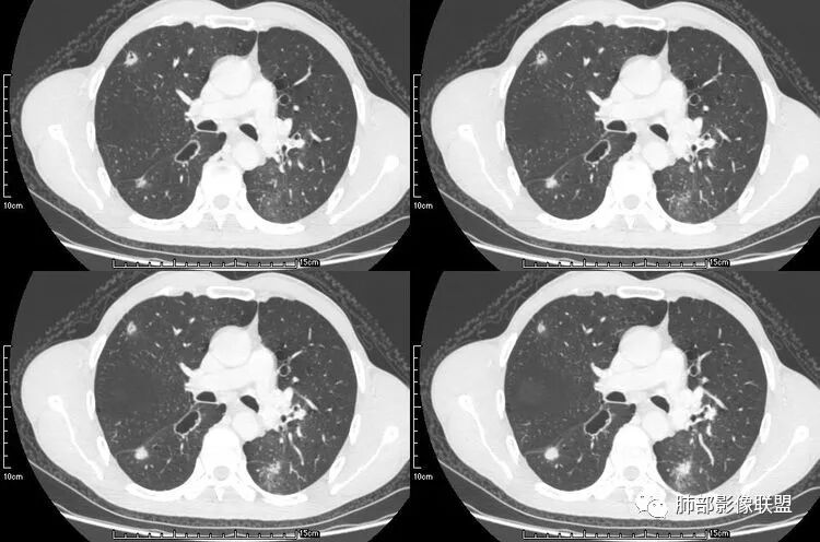
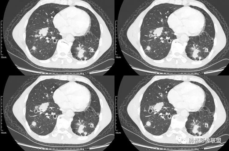
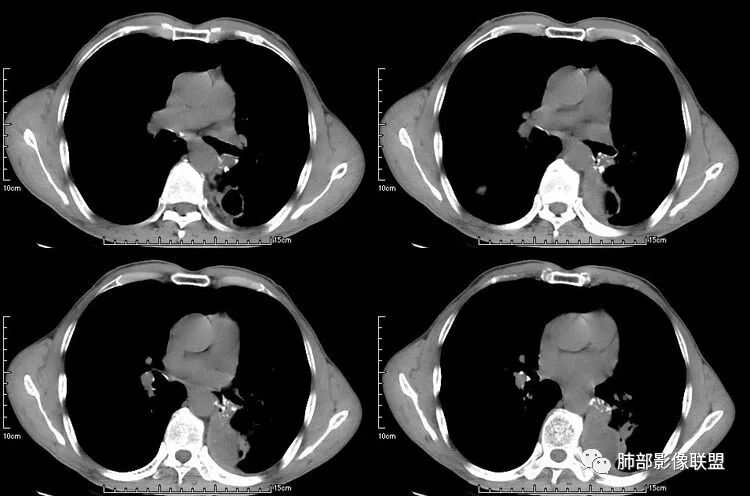
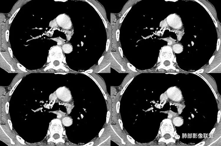
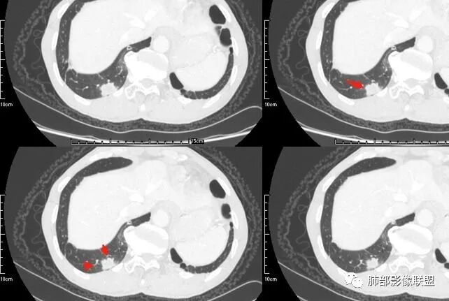
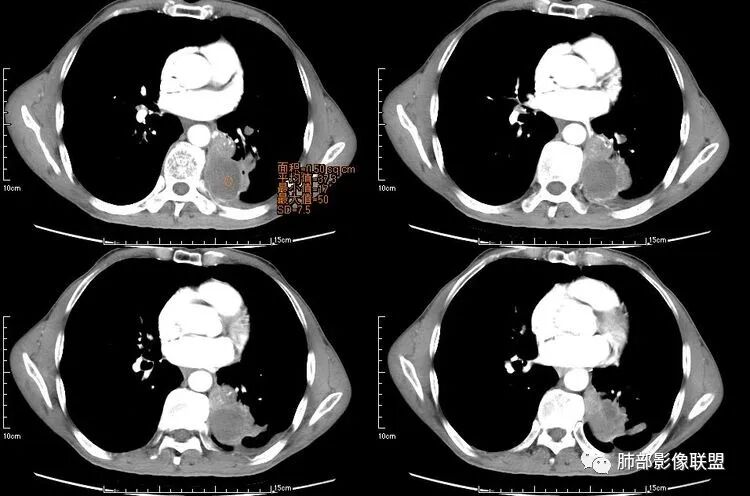
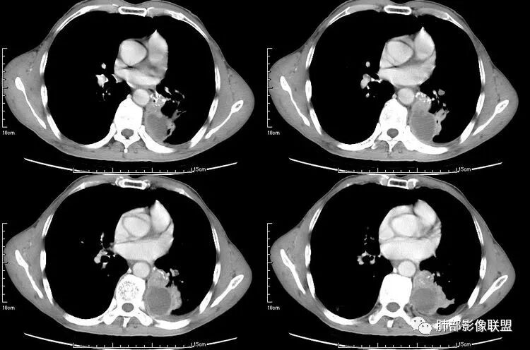
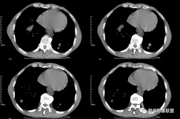
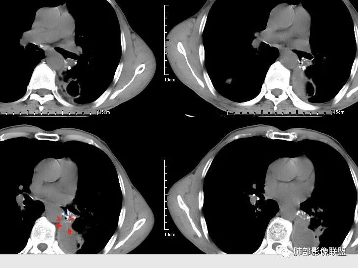
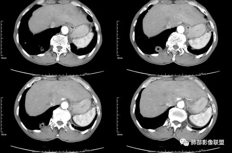
病例资料


























































精彩讨论
凝睦:左肺下叶囊实性肿块,分叶,毛刺,胸膜牵拉,考虑原发肺癌,其余肺内多发病灶考虑转移;
穿越七海的风:
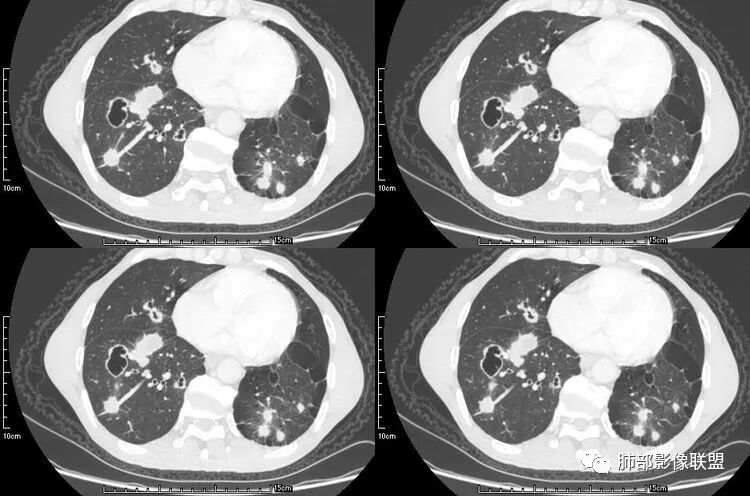
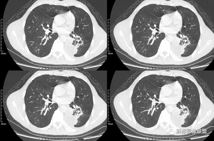
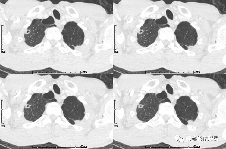
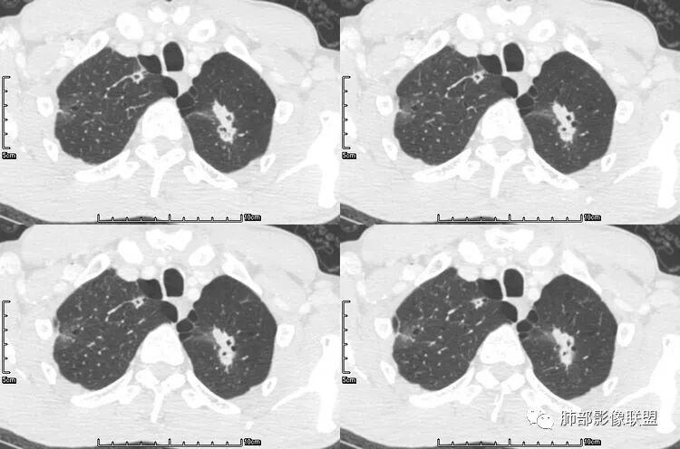
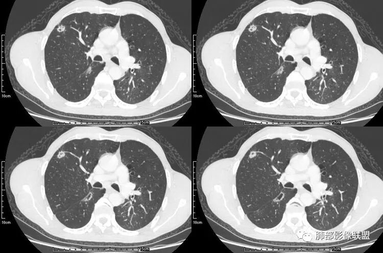
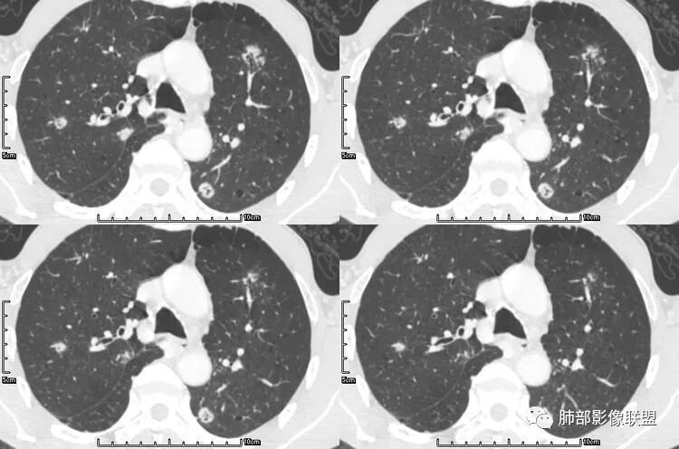
双肺多发结节,空洞,鬼脸,患者病程长,无发热,支持肺癌转移;
红星:
老年男性,病史较长,左肺肿块伴坏死,肺内多发实性及囊性灶,考虑1.肺癌肺内转移瘤。2.结核肉芽肿,多发结核结节,合并真菌性肺部感染。
薏米:
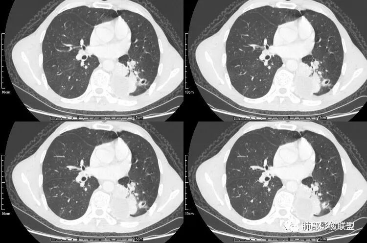
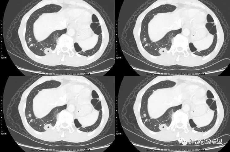
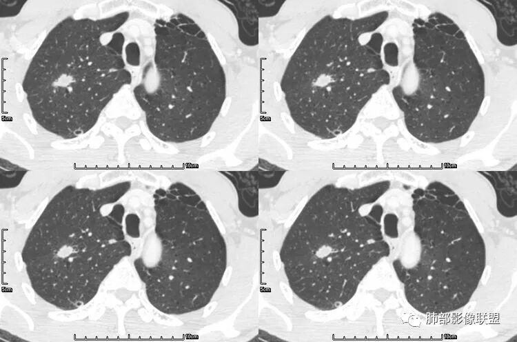
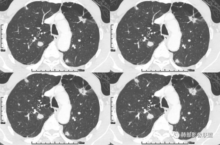
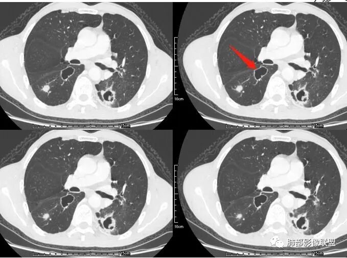
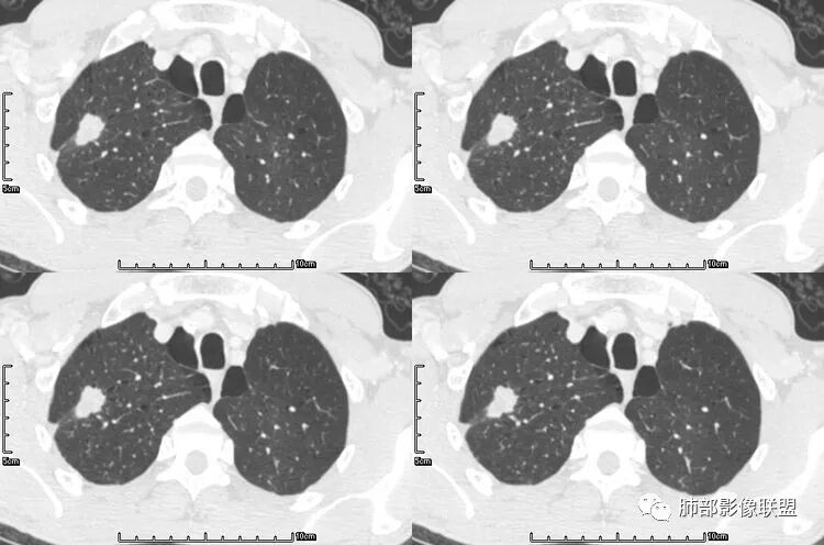
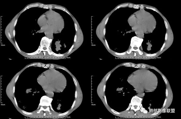
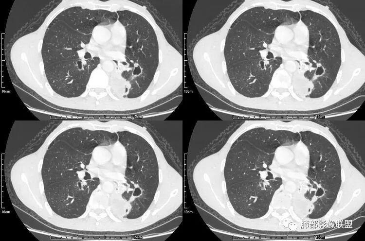
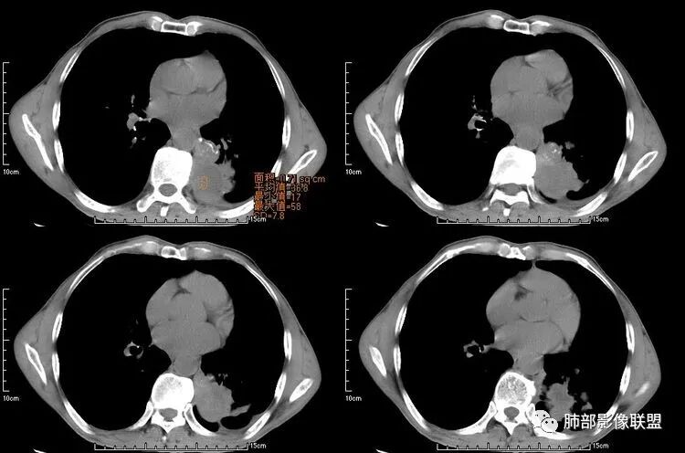
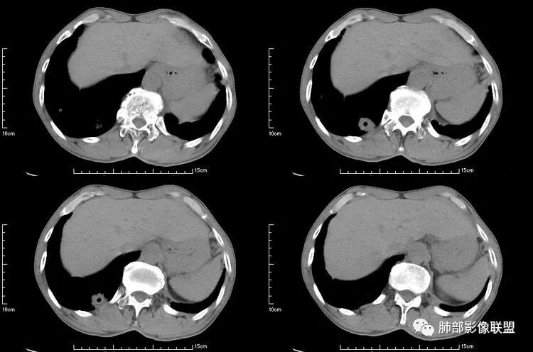
老年男性,咳嗽,咳痰带血2月,左下肺可见一团块影,深分叶,胸膜牵拉,可见坏死,坏死边界清,考虑恶性,双肺多发散在结节影,可见分叶,空洞,胸膜牵拉,考虑转移瘤;
水晶石头:
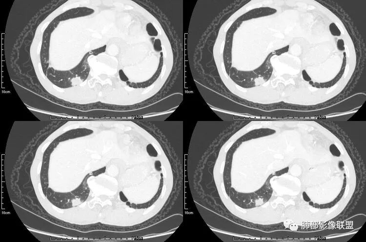
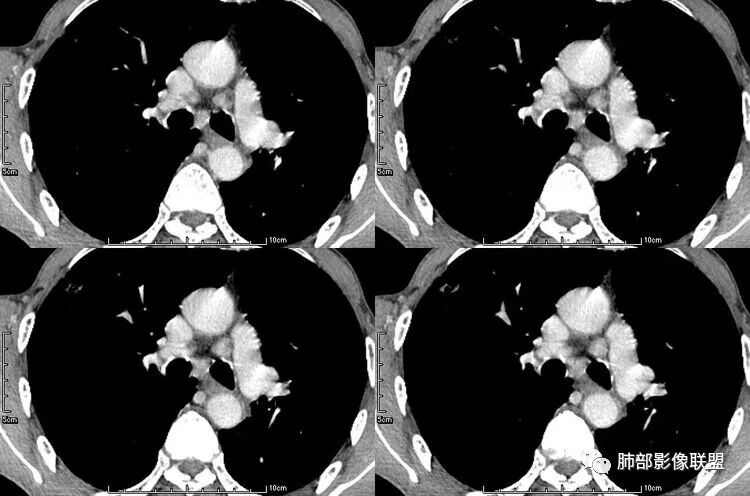
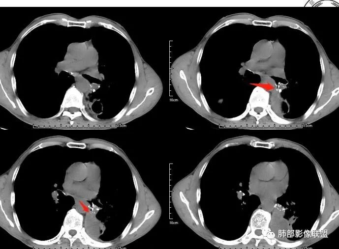
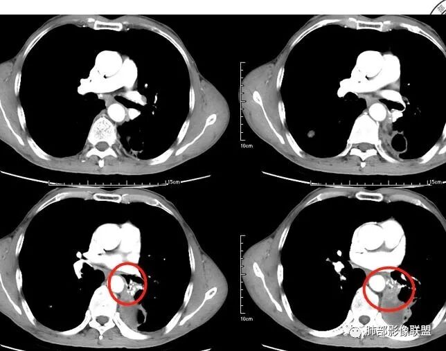
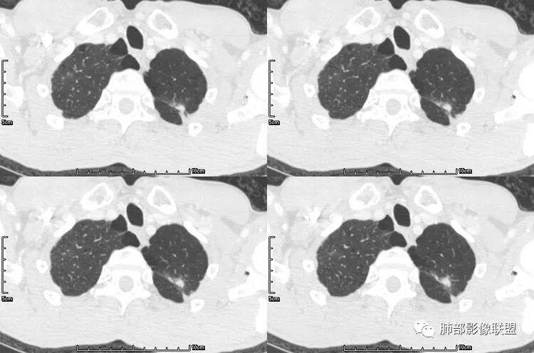
患者老年男性,咳嗽、咳痰、痰中带血伴胸闷2月余。长期大量吸烟史。查肝肾功能、血糖、血脂、心肌酶、电解质、血沉、C反应蛋白、抗“O”、类风湿因子、抗核抗体谱无明显异常。肿瘤标志物提示NSE、CYFRA21-1稍升高。胸部CT:肺气肿背景,左肺下叶后基底段不规则肿块影,见支气管截断,内见大片状低密度区及部分血管影,增强轻度强化,远端空洞形成。双肺多发不规则实性结节影、见毛刺、胸膜牵拉及血管集束,结节内见空洞形成,部分可见血管影,多位于胸膜下。双肺见多发肺大泡。综合考虑左下肺恶性病变并双肺转移。鳞癌或淋巴瘤可能。鉴别血管炎性病变及真菌感染。
崇军:
临床没有发热,WBC不高,影像多发结节,部分囊变,较大病灶内有坏死,无树芽征,感染性病变先排除。抗中性粒细胞浆抗体阴性,肾功能正常,血管炎可以排除。可能的诊断为占位性病变,鳞癌并两肺转移?
晨:
左下肺可见一团块影,深分叶,可见坏死,坏死边界清,1.考虑恶性,双肺多发散在结节影,可见分叶,空洞,胸膜牵拉,考虑转移瘤;2.鉴别血播引起肺脓肿。
飞鹰行动:
左肺下叶团块病灶,有明显张力,增强后病灶内部有可疑延迟强化,看不清楚病灶与支气管的关系,应该支气管受压阻塞了,双肺多发胸膜下小结节,病灶小结节病灶有平行胸膜生长的表现,部分小结节厚壁,部分薄壁,,还有一部分有内容物,这需要两元论,左肺下叶肺癌(腺癌)伴转移,同时合并真菌感染。
淘时光:
双肺多发随机分布的结节伴空洞,部分囊内见空洞,分隔,壁结节呈假大空样改变,考虑肺腺癌伴转移或者全部为转移瘤。鉴别曲霉及血管炎,需要继续询问病史,有无免疫缺陷及鼻窦炎和肾功能的检查。
小强:
一开始看到多发空洞还有气囊,以为是金葡,但是病史不符合,部分空洞内有条索,左肺下叶病灶没有坏死,腺癌并肺内转移吧,鉴别曲霉,GPA;
尘缘:
主要是鉴别肺内转移瘤和血管炎,以及金葡。各种中性粒细胞胞浆抗体阴性,加上没有鼻窦炎,肾脏鉴别等病史,基本排除血管炎。金葡感染相关症状与实验室检查没有基本排除。至于寄生虫等没有嗜酸性粒细胞增高,没有IgE增高,没有相关病史不考虑,所以转移瘤可能大,肺癌(腺癌可能大于鳞癌)伴肺内转移?还是整个都是转移?需要结合病史或者旧片分析,个人倾向于前者可能大些。
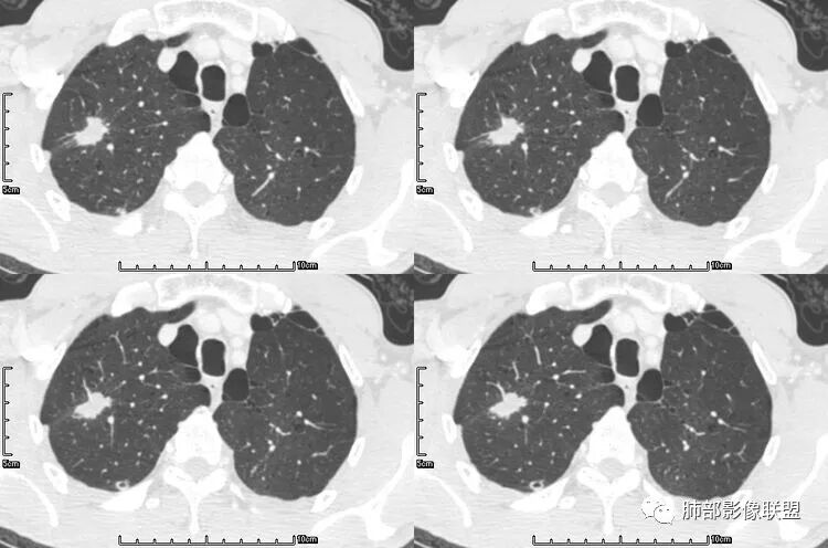
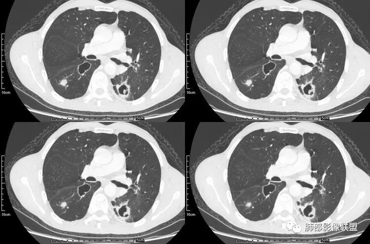
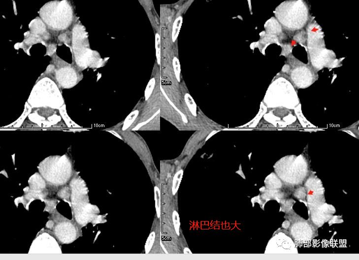
张延军:双肺多发结节,空洞影,后者洞壁厚薄不均匀,部分腔内丝丝落落,呈分叶征,边缘见毛刺影,病灶大部分位于胸膜下,与血管相连,右肺下叶前基底段结节近段支气管截断,远端见空腔。左肺下叶病灶密度不均,背段支气管壁增厚,管腔狭窄。考虑1.双肺下叶占位性病变伴肺内空洞性转移 2.多原发的占位 3.肉芽肿性血管炎代排。


南边老师分析
南边:
临床老年男性,病史2月,痰中带血好像指标都在边缘上
这个高一些


晨:细胞角蛋白指向鳞癌,神经元指向小细胞。
南边:弥漫多发结节或结块;这个大家没意见吧


南边:
血管炎?恶性:转移瘤?癌并肺内转移?结核、曲霉菌?
开始捋一捋征象吧腔内条索、间隔,结核还是少见,放待排吧

这个病灶如何分析?


张小兵:与血管关系密切
三个石头:都有血管从凹陷处进入
张玉:收缩,牵拉,血管增粗,与血管相连
南边:

南边:大家单独看到这个病灶考虑啥?
南边:

蔡磊:恶性
南边:我们再看看左下叶背段的病灶
go and see:叶间裂也是多发结节
南边:






南边:癌,其次血管炎、结核

初学者:










初学者:癌,血管炎、结核,三者鉴别
背景是慢阻肺背景。病灶是多发结节伴空洞,内部见结节影,即空洞内结节,符合得有:GPA,癌,结核,真菌(隐球菌,曲霉)
所有结节都类似;有的超不像ca
生来征服~浪子:@吴婧南京市第一医院 结节和血管多相连续,空洞内不干净。结核这样的还是少吧,是不是放后点,吴老师。
初学者:也可以,壁结节,分叶
有空洞,没有树丫,结核确实这一点不太像
液化,而不像坏死,是有强化的;这个里面似有液平。说明里面有分泌粘液?
主要考虑在GPA和粘液性癌里面
无发热,其他慢性细菌先不考虑,有的低毒的,但是结节形态还是比较不规则的,分布也是比较随机,更像原发病灶。真菌方面,结节没有融合,坏死也是液化坏死,不符合隐球菌,曲霉不符合IPA,慢性吸入的也少见。结核没有树丫,不考虑。鉴别主要是GPA,和肺癌。GPA不支持点是皮肤,肾脏没有累及,ANCA不支持。。。肺癌主要是腺癌和鳞癌转移。比较支持的是淋巴结肿大,和左下肺的主病灶,支气管堵塞和异常强化。还有分叶,局部膨隆。可以建议支气管镜检测。
尘缘:
@毛勤香 柳州龙潭医院影像  转移结节很多都有毛刺,有收缩力,而且叶间裂多个结节(符合黄勇老师六个核桃理论)
初学者:
这些病灶收缩力,确实不太支持鳞癌的转移。反而,里面是薄壁强化,应该是粘液所致
尘缘:
血管炎一是没有病史,二是所有中性粒细胞胞浆抗体都是阴性,我第一个就排除了。
南边:
大家按我提的单个病灶分析,很多提出来都是典型的腺癌
脐凹征、粗短毛刺、深分叶、中央结构杂乱
尘缘:
@曹冠杰,济医附院 GPA一般不会伴有淋巴结肿大,但在继续感染的时候可以有炎性反应性增生。再就是GPA不会出现叶间裂多个结节样改变。



病理结果


患者出院后借病理片在上海外院会诊,经电话随访,结果:腺癌。考虑两肺病变为:腺癌并转移。


腺癌空洞性肺转移瘤的文献复习
     肺是发生转移瘤最多的脏器,几乎所有恶性肿瘤都可转移到肺,血行转移是最重要的转移途径。典型的肺转移瘤表现为多发圆形、大小不一的实性结节,边缘一般光整,多位于肺周边,多能明确诊断。空洞型肺转移瘤相对少见,约占肺转移瘤4%,其中70%为鳞癌转移;常见的空洞型肺转移瘤的原发恶性肿瘤多见于头颈部的鳞状上皮癌、胃肠道的腺癌和女性的生殖系统肿瘤以及其他部位的肉瘤等,组织学以鳞癌和腺癌最多见。
     空洞型肺转移瘤成因尚不完全明确, 可能与鳞癌中心角化物排空 、腺癌黏液样退变后黏液排空 、肿瘤血供不足引起坏死 、肿瘤继发脓肿 、化疗等机制有关,其中部分薄壁囊腔样结可能是肿瘤细胞沿着原有的肺大泡或其它囊性结构生长或者肿瘤向小支气管侵犯引起活瓣性阻塞而形成 ,但无一种机制能解释全部现象。空洞或囊腔大小并不反映病情变化, 其临床意义不大, 而瘤灶的数目及大小, 特别是瘤灶实性成分的多少才可能更准确反映病情变化。肺癌形成空洞与其肿瘤本身性质有明显联系,肿瘤分化程度差,倍增时间越短,恶性程度越高,组织液化坏死形成空洞倾向越明显;鳞癌空洞偏大,内缘不规则,常易形成X线平片中癌梁样改变与CT中壁结节样改变;而腺癌空洞大小不定,洞内分隔明显,内缘不规则,且较难于形成壁结节等改变;合伴空洞的肿瘤边缘情况也对判断肿瘤性质有帮助。
    国内文献将空洞的形态、壁的厚度及内壁情况将转移性空洞大致分为4大类:
  (1)囊样空洞, 呈圆形或类圆形, 直径>15 mm,壁薄 (1 ~ 2 mm)而均匀 ,内壁欠光整 ;
  (2)小环形空洞 ,呈圆形 ,壁薄 (2 ~ 4 mm)而均匀 ,直径≤15 mm, 内壁光整;
  (3)泡样空洞, 呈圆形或类圆形 ,壁厚 ( >4 mm),内壁光整;
  (4)不规则空洞, 洞腔形态不规则, 壁厚 ( >4 mm)且不均匀, 内壁不光整;
  其中囊样空洞和小环形空洞属于薄壁空洞,泡样空洞和不规则空洞属于厚壁空洞,其中腺癌空洞型肺转移瘤主要表现为小环形空洞,以下3个病例均表现为小环形空洞的转移瘤:
病例一    
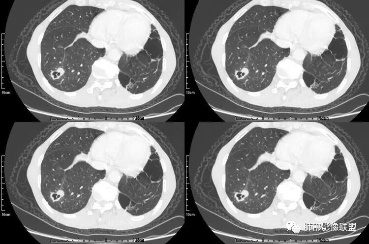
      肺腺癌伴双肺转移,双肺多发环形薄壁囊腔转移瘤;
                              来源于南京大学医学院鼓楼医院 周科峰

病例二  
        颈部淋巴结病检:腺癌;双肺多发薄壁囊腔性转移瘤;
                                                  来源于南京市第一医院 吴婧

病例三
       病史为结肠腺癌;双肺多发薄壁囊腔转移瘤
      来源于杨凌婧.囊性空洞型肺转移瘤1例报告[J].实用医院临床杂志,2016,13(01):157-158.


回顾性分析
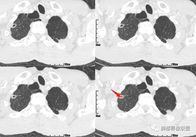
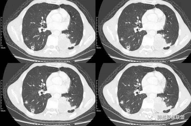
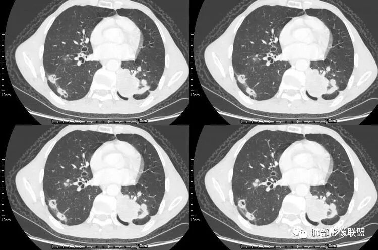
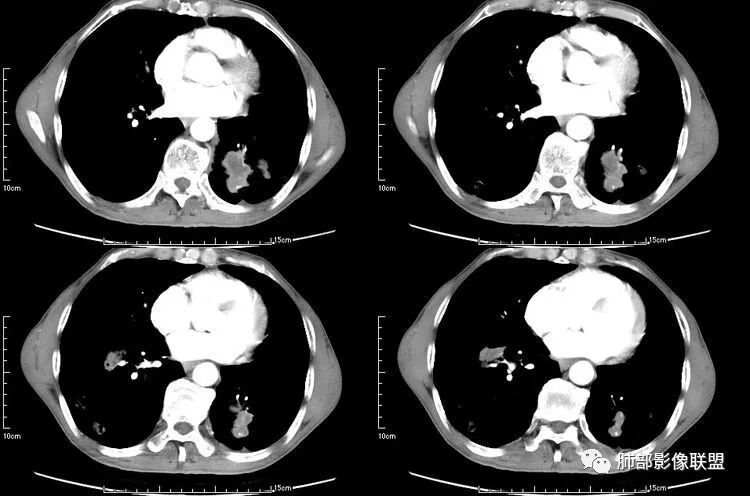
  本病例左肺下叶肿块,有深分叶、毛刺、胸膜牵拉凹陷、支气管截断及纵隔内淋巴结肿大等征象,都均支持病灶为恶性,如腺癌,而且叶间裂的多发结节也提示是腺癌来源可能大;双肺多发结节、肿块,大部分病灶有分叶、毛刺及胸膜凹陷的恶性征象,与原发肿瘤本身的性质有关,所以应该与左肺下叶肿块同源,而且双肺多发病灶内空洞也具有多样性;



   此病例中空洞形态多样,内壁不光整,有分隔影,周围未见明显卫星灶及钙化灶,结核不太符合;患者病史慢性病史,无明显发热,缺乏中毒临床表现,急性感染基本排除;各种中性粒细胞胞浆抗体阴性,没有鼻窦炎,肾脏等病史,基本排除血管炎;霉菌性空洞常见于免疫机能低下者, 常为空洞、肺炎、伴“ 晕圈”征的结节及支气管扩张合并存在。
参考文献
[1]张秋娟,郭佑民,王丽华,汪军峰,牛刚,金晨望.腺癌空洞型肺转移瘤的CT表现[J].实用放射学杂志,2006(09):1050-1053
[2]于小平,王平,梁赵玉.空洞型肺转移瘤的CT表现及与原发灶病理类型的关系[J].临床放射学杂志,2003(03):199-202.

整理:周乔友
审核:蔡笑燕  徐  晓
病例提供者:九江市第一人民医院影像中心    於雄



到顶部