【每日晨读】结核千面妖




病例资料





群内讨论
田园晚风:影像应该结合临床,结合病史考虑类风湿相关免疫性肺间质纤维化,可能合并肺曲霉菌感染之类的,需要临床化验去证实。
那个人:老年男性,慢性病程,咳嗽,乏力,发热,糖尿病。右肺上叶大空洞,空洞内粗分隔,有液平,病灶从肺门延续到胸膜下,胸膜未见明显受累,无胸腔积液,支气管进去病灶,无增强,血管无法评估,中叶及下叶散在斑片影,支气管壁增厚,整个病灶未见明显树芽。考虑,毛霉菌?患者长期激素,需除外努卡,结核。
看图说话:双肺病变,空洞,洞壁不规则,有钙化,老年,糖尿病,慢性病史,考虑结核。
秦化君:右肺上叶不规则空洞其内可见分隔,洞壁薄厚不均,其内液平不能确定,相邻肺内及右肺中叶下叶,左肺上叶可见斑片状条索状影,边缘部分迷糊,胸膜下可见小叶间隔增厚。考虑,风湿肺背景下感染性病变,结核?曲菌?金葡?
大雄:老年男性,慢性病程,咳嗽,乏力,发热,糖尿病。有激素服用史。中性粒及血沉增高
右肺上叶体积缩小伴虫噬状空洞,左上叶支扩,右下叶散在斑片实变影。
考虑慢性炎症,结核可能。建议痰检。
薏米:
老年男性,类风湿口服激素,血糖测不出,近1个月发热,CT右肺病变为主,右肺上叶可见不规则空洞样病变,散在斑片,结节样改变,部分可见与支气管相通,钙化结节,考虑结核,鉴别曲霉、诺卡等。
一切∮随缘:右肺上叶大片状实变,实变内伴有空洞,空洞不规则,厚壁,支气管走形看不清,右肺下叶胸膜下多发实变,实变内似有空泡,部分可见钙化影,左肺上叶长条影,支气管扭曲扩张,肺门及纵隔淋巴结肿大,中老年男性,咳嗽发热一个月,再发四天,有类风关,CTD相关肺病,综合考虑右肺结核,鉴别奴卡,
欧阳英:
老年男性,体重减轻,发热一月,右肺上叶见不规则厚壁空洞,其内见分隔,内壁尚规整,周围见多发斑片模糊影,邻近胸膜增厚,局部积液及右肺下叶背段多发斑片、结节状高密度影,其内见小空洞病灶,左肺上叶局部条状迂曲扩张支气管。考虑慢性感染性病变,以结核可能。
凝睦 (靳文剑):双上肺野病变,空洞形成,多发卫星灶,局部支气管扩张,考虑结核。
晕晕菜:患者老年男性,间断发热  乏力 咳嗽1月余,再发4天。既往有风湿性关节炎病史,口服激素。血糖明显增高,测不出血气分析存在代谢性酸中毒,低氧低二氧化碳G  GM阴性胸CT:右肺上叶尖段空洞性病变,洞内壁不规则,并可见分隔,右肺上叶前段胸膜下可见楔形变,细支气管壁增厚。左肺上叶尖后段病灶,边缘光滑,内可见空腔,考虑为扩张支气管内痰栓。诊断:     考虑感染性病变:1毛霉?2结核?
王江涛:老年男性,类风湿激素使用史,糖尿病。血沉增高,PCT略高,发热。双肺多发病变,部分间质受累,右肺大空洞,壁不规则,洞内分隔样结构表现。综合考虑感染,结核可能性大,合并真菌不除外。
王秀仙:
右肺上叶空洞性病变,洞内可见粗大分隔,左肺上叶、右肺中叶及下叶可见多发片状结节状影,边缘清晰,内可见迂曲扩张支气管。考虑慢性感染性病变:1毛霉?2结核?
FeNo:毛霉比较凶吧……
水晶石头 (许建林):晨读病例:患者老年男性,间断发热  乏力 咳嗽1月余,再发4天。有类风湿性关节炎病史,目前仍口服激素。检查提示血糖升高,代谢性酸中毒,低氧,贫血。胸部CT:右肺多发病变,见空洞、点片、结节等,后段空洞病变,洞内壁不规则,并可见分隔。综合考虑感染性病变:结核?真菌?鉴别类风湿相关肺间质改变。
欣:多发斑片状、斑点、条索影,边界模糊,气管主支气管尚通畅,不规则空洞,厚薄不均,有壁结节,首先考虑炎性病变,继发性肺结核及结核空洞可能性大。癌性空洞待排除。
飞鹰行动:老年人,咳嗽,发热一月,右肺上叶可见形态不规则空洞,内部可见不规则内容物,余可见斑片状,条索状阴影,患者有口服激素药病史,考虑结核伴曲美菌感染。
没意见:老年男性,亚急性病程,呼吸道感染症状,加重伴发热4天,类风关口服激素史,低钠低蛋白血症,血糖测不出?是低到没有还是高不可测?但糖化异常还是提示有DM病史,CT:右肺上叶尖后段空洞样改变,壁薄伴有结节分隔,似乎液平,双肺散在斑片影实变影,钙化影,考虑糖尿病基础上感染性病变,结核可能性大,不除外合并曲霉。
一米阳光:右肺上叶见较大空洞病变,洞内壁不光滑,右肺中下叶及左肺上叶尖后段见树芽,班片状密度不均影,临床慢性病程,发热,类风湿激素治疗,化验提示糖尿病,考虑感染,影像支持结核可能,没提示肝有无病变,暂时肺克除外,合并其它,不知影像是否有特异性改变,静听老师分析。
采莲:老年男性,有长期口服激素病史,咳嗽发热月余,右上肺巨大薄壁空洞,洞内张力不高,洞内有内容物,有分隔,洞壁薄厚不均,周围有斑片实变影,右下肺有斑片实变影。无明显树芽征,左肺少许斑片影。血糖测不出,估计有糖尿病史。考虑感染性疾病,奴卡,结核,毛霉等。
孔儿:
老年男性,糖尿病,右侧胸廓稍缩小,右肺上叶不规则空洞,内有分隔,周围多发片状影,左肺上叶部分支气管轻度扩张并管壁增厚,考虑炎症病变,结核?
淘时光:糖尿病史,肺内气道来源的病变,结核或毛霉?增强检查或许对诊断毛霉有帮助,病史1月余了,毛霉应该更凶险些,会有咳血,结核放前面,鉴别肺克。
REC



南边分析
1
南边:大家考虑啥?
我心飞翔:考虑结核
南边:
因为血糖高?
大雄:结核 毛霉 曲霉 努卡
大雄:总之就是慢性炎症,再分析病原体
南边:病史:一月,体重减轻5公斤;有糖尿病、类风湿,长期服用激素。




南边: 
病灶两大改变
1、右上叶大病灶
2、左肺、右下肺支气管扩张+周围致密影
大家认为是一类病变吗
这是单纯的空洞吗?

宇宙星空:
支持一类病变
感染一定有
蔡磊:和平常的结核空洞不太一样
了:支气管扩张?
期:左肺像支扩
南边:

南边:我怀疑是扩张的支气管
单一断面不敢说
宇宙星空:大空腔内的粗细不均的条索状影是扩张的支气管壁增厚?
走行、形态支持潘老师
三个石头 (编辑程磊):那样的话这就是支气管壁了
南边:基础病变,支气管壁弥漫增厚,支气管扩张,支持霉菌感染
前提是需要看清楚
宇宙星空:支持气道侵袭性曲霉菌病
南边:

宇宙星空:确实支持支气管的病变,要是空洞的话破坏力这么厉害,那其内的条索状那就解释不通啦
小鱼:毛霉或者肺克?
三个石头 (编辑程磊):腔内没有丝丝拉拉的条索
丁啸:
我觉得分隔是剩下的没有烂掉的肺
曲霉也没有易感因素。
初学者:我觉得结核
期:
毛霉壁要厚一些 洞丝要细一些
初学者:
我觉得结核。
鉴别曲霉。毛霉主要空洞里面太过于干净,不咯血。最像的还是结核,鉴别曲霉,等结果
如果结果是ntm也可以。
丁啸:结核的上肺大空洞,感觉不多,反而ntm多一些
小鱼:这个粗大分隔有液平,周边树芽少,结核不太支持,毛霉》肺克》诺卡》结核
King:
冠状位看看如果真是南大老师说的支扩,曲霉和NTM是否要优先考虑了呢

病例结果
肺结核

  
吴婧分析
1
初学者:

初学者:

初学者: 
这些是坏死收缩形成的。空洞里面往往很干净,这个乳头凸起往往很光滑。毛霉是丝丝缕缕
曲霉,也只有慢性曲霉才会这样,急性形成不了这种光滑,必须是时间久,坏死彻底,有明显纤维化的修复才会如此。
你看,我发一组图片给你看

初学者:这个毛霉,壁是毛毛的,不。。。空洞壁内部不光滑的,里面丝丝拉拉的
包括曲霉,急性期也是丝丝拉拉的,但是慢性期,坏死物排空才可能光滑赶紧,这个人没有咯血。。

我慢慢给你发我手上所有的毛霉,你看。是完全不一样的。


毛霉因为嗜好血管,容易咯血,周围一般都是毛的。内壁也不会太光滑,里面也不会太干净


初学者: 
随着时间。。他会慢慢变,但是内部还是那种很纤细的条索。。一般不会有乳头状突起


初学者:早期是这样的。。空洞之前。。是沿着支气管的毛玻璃。。

初学者:
这种是典型的毛霉

初学者:多的我就不发了。霉菌的空洞是肯定不一样的。
我发一个结核的空洞吧,你对照一下

初学者: 

吴老师的空洞对比图,你GET到了吗?
本例小结:
解析:
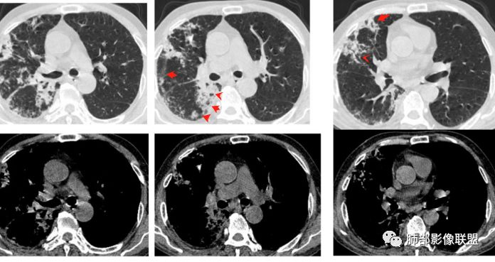
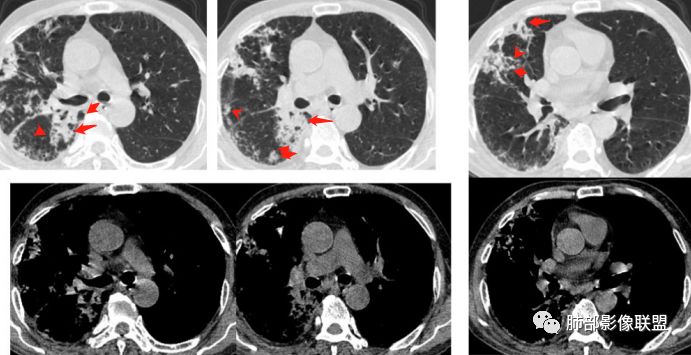
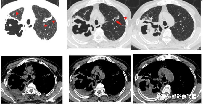
1.老年男性患者,间断发热、咳嗽、乏力月余。注意这病史不算长,症状相对轻,没有咯血。
2.双肺多发病灶,主要集中在右肺,斑片影、结节影,条索影,支扩等等,右肺病灶胸膜下居多,密度偏高不均,偶见钙化。
3.右肺巨大空洞影。值得注意的是:
1)空洞内坏死相对彻底(未见絮状物或丝状物等)。
2)空洞壁密实,内外壁都清楚,这是慢性病灶特征之一。
3)内壁不规则,多呈不规则山脊样突入,这些“脊”等同于空洞壁的密实。尽管洞腔内蜿蜒不规则,但并未形成洞壁的膨隆样结节影,换句话说,外壁看不出分叶!
这种空洞更多见于结核!
4)空洞病灶内显示液平。提示伴有细菌感染等。
5)肺门纵隔未见肿大淋巴结。
 
结束语:
1.肺结核的诊断是符合的,或者说是存在的。
2.应考虑伴细菌感染,尤其是G-杆菌感染。
患者病程相对短,出现高热,空洞内液平都提示这种可能,何况肺部其他一些边界不清的渗出病灶。
编辑:蔡笑燕
审核:徐  晓



到顶部