【每日晨读】引人入胜的支气管腔内外病变纷争



春日    
作者:朱熹 (宋)
胜日寻芳泗水滨,无边光景一时新。等闲识得东风面,万紫千红总是春。
                           
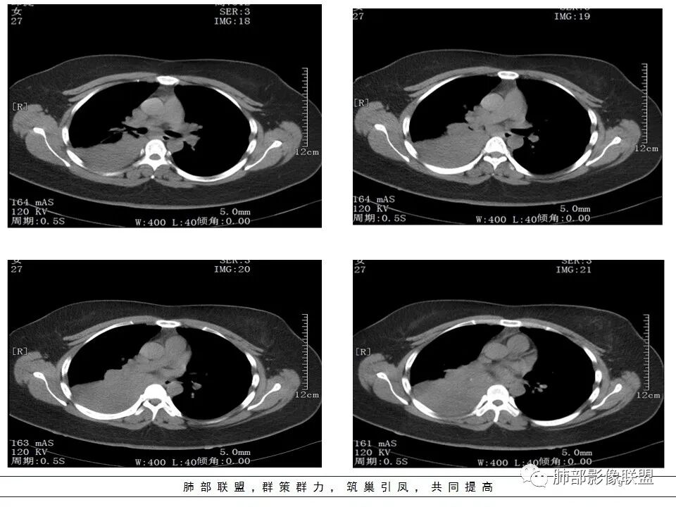
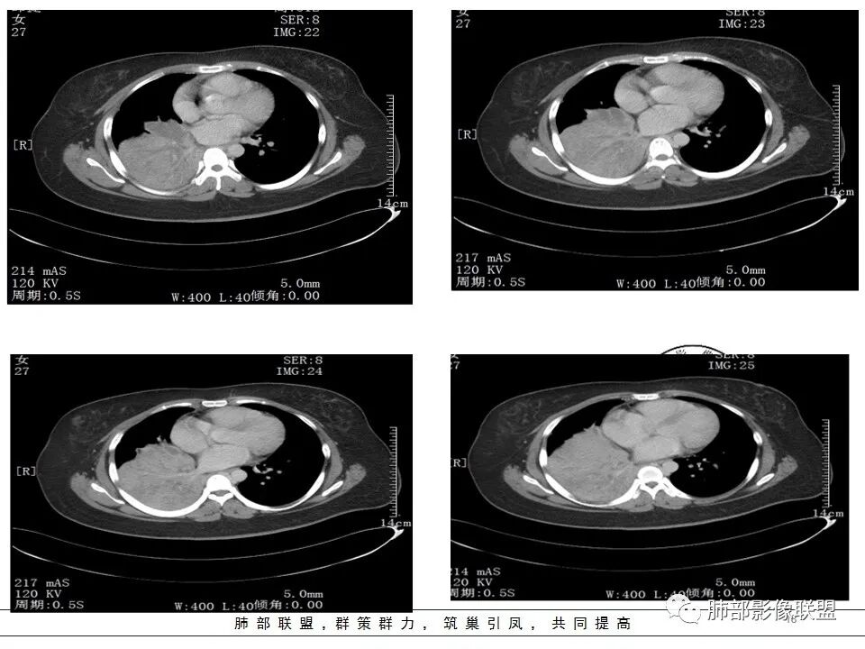
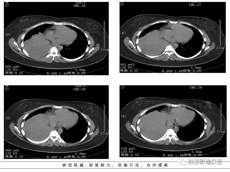
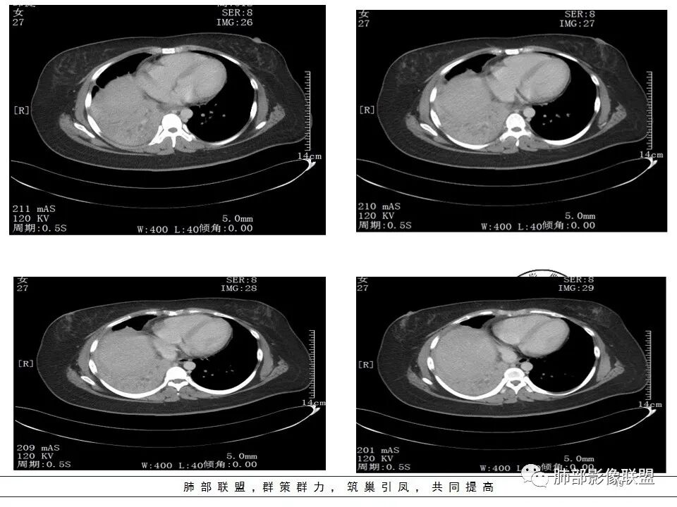
病例资料





















群内讨论

欣 :
右肺体积缩小,右肺门可见片状影,叶支气管堵塞,呈低密度,无强化,其内似可见点状高密度钙化,病变外周膨隆,右肺下叶大片状致密影,增强后明显强化,其内血管走形自然,右肺下叶呈肺不张改变。纵隔肺门无肿大淋巴结。年轻女性,高热、黄痰来诊。综合考虑:右肺中、下叶综合征合并下叶肺不张,考虑炎性病变,炎性叶支气管阻塞可能性大,早期肺脓肿?结核有点不符合,无胸水,病灶形态太单一。
FeNo :
高热,局部实变,内血管走形自然,强化密度不均,结合有腹泻症状,考虑军团菌
小飞 :
右肺中叶粘液栓,中叶低密度肿块,密度均匀,延迟强化,右肺下叶不张,考虑炎性病变
穿越七海的风 :
右肺中下叶实变不张,血管变细,阻塞性肺炎?淋巴瘤?难
一切∮随缘 :
右肺下叶肿块,宽基底与胸膜相连,边缘膨隆,近段支气管堵塞,远端胸膜未见栽赃,平扫密度均匀,增强后可见低密度指套征及血管穿行,年轻女性,咳嗽咳痰发热6天,考虑1:淋巴瘤2:SFT3:PNET4:结核
红星 :
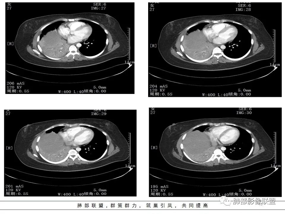
女,27岁,右肺下叶支气管闭塞,圆形软组织肿块和不张肺,增强不均匀强化,见片状坏死,多个纵隔淋巴结肿大,无钙化空洞及卫星灶;考虑恶性占位,肺肉瘤或鳞癌合并肺不张,鉴别诊断:结核,肺脓肿
傅昌瑜 :
从CT看难度大。女,27岁,发热6天,咳嗽咳痰3天。无呼吸困难。右中间支气管堵塞?右下肺不张,大支气管堵塞常见原因:结核、肿瘤、异物。无呼吸困难,感觉病程较长,肺不张导致的肺功能下降有一定耐受。堵塞支气管似见低密度病灶,强化不明显,粘液表皮样癌?腺样囊性癌?鳞癌?还是结核?有待支气管镜进一步检查。
杨泽锋 :
首先考虑支气管内肿瘤(如类癌、腺样囊性癌),导致阻塞性不涨
市医院--时建文 :
右肺下叶支气管闭塞,圆形软组织肿块和不张肺,增强不均匀强化,见片状坏死,多个纵隔淋巴结肿大,无钙化空洞及卫星灶。鳞癌?肺脓肿?
丽 :
发热咳嗽,右肺下叶可见团块状实变密度影,局部膨隆,并可见胸膜牵拉,相应下叶支气管未见显示,增强后肿块近端呈不均匀强化,可见大片状坏死,内血管略变细,毛糙,周围肺组织支气管内可见粘液栓形成,另纵膈肿大淋巴结,考虑恶性肿瘤,鳞癌,伴阻塞性肺不张,淋巴结转移
崇军 :
临床发热,腹泻,咳黄痰,应该是感染性病变。影像表现为下叶,中叶支气管堵塞,远端支气管内粘液潴留,所属肺组织不张,膈肌明显升高,上叶代偿性肺气肿,增强似乎可见中间段支气管处一个强化结节,考虑中间段支气管占位性病变合并远端支气管粘液潴留,感染可能,肿瘤性质不好定,太年轻,猜一个,粘液表皮样癌
小兜 :
年轻女性,发热6天,咳嗽咳痰三天
CT扫描示右肺下叶支气管堵塞,类圆形大肿块伴胸膜下大片肺实变影,增强扫描类圆形肿块延迟强化,见少量坏死,余实变区增强可见内部血管走行。纵隔见肿大淋巴结。考虑为恶性病变伴右肺下叶肺不张
马春平(张家港市一院胸外科) :
低密度区感染病灶在右下叶实变肺的腹侧,无胸腔积液,考虑恶性肿瘤伴感染
joyzhy :
右下肺门不规则结节强化,并远端支气管粘液栓及大片实变,实变边缘叶间裂膨隆,考虑支气管占位并阻塞性肺炎,涎腺类恶性肿瘤(粘液表)需要鉴别。
飞鹰行动 :
右中间支气管阻塞,右肺下叶实变,未见明显支气管空气征,增强中间支气管内病变未见明显强化,纵隔淋巴结增大,偏向恶性病变,结合病史,青年人,肿瘤性病变,支气管表皮样粘液癌可能。
王秀仙 :
右中间及右下叶支气管堵塞,右下肺不张,下叶堵塞支气管近端见结节状略高密度,远端见管状低密度,堵塞常见原因:结核、肿瘤、异物。强化不明显,粘液表皮样癌?结核?建议支气管镜进一步检查。
了 :
右肺巨大肿块,边缘平直,有分叶,增强后不均匀强化,可见血管,纵膈轻度偏移,说明肿块比较软,多考虑肺肉瘤?
金惠 :
右中间及右下叶支气管堵塞,右下肺不张,结合年轻女性,发热,支气管内结核首先需要考虑,其次肺纤维瘤良性,及恶性肿瘤亦不能除外
刘丹 :
年轻女性,右肺下叶支气管堵塞伴不张,增强轻度强化,血管走形自然,右肺门区见强化结节影,支气管来源肿瘤伴不张。不张软组织影跨右肺中叶及下叶,需鉴别纤维瘤。
看图说话 :
气管阻塞,肺不张,粘液栓,肺门肿块,考虑肿瘤
生来征服~浪子 :
右下肺大片实变影,近肺门处明显膨隆,远端可见粘液栓形成。纵隔多发肿大淋巴结。增强扫描可见血管造影征,血管边缘欠光整。考虑肿瘤。
水晶石头 :
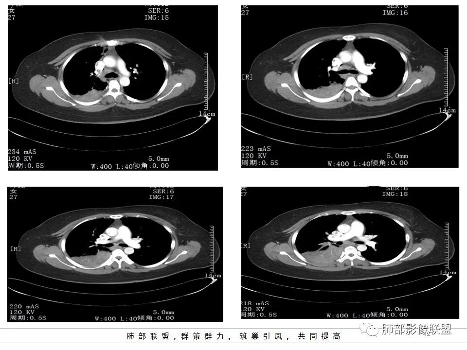
患者青年女性,发热6 天,咳嗽、咳痰3天。为黄脓痰。胸部CT:右肺体积稍小,右中间支气管肿物堵塞,中叶、下叶大片实变不张,与正常肺组织分界清楚。增强实变影明显强化,右下肺支气管近心端见类圆形强化结节影,血管纤细,部分支气管显影变细,纵隔淋巴结肿大。结合无呼吸困难症状,病程长。综合考虑低度恶性病变并阻塞性肺炎,类癌可能大,鉴别结核、淋巴瘤。
张延军 :
右肺中下叶实变伴气管腔内粘液栓形成,肺门区见不规则软组织肿块,气管腔狭窄,截断,呈中等强化,纵膈内肿大淋巴结,考虑气管腔内原发肿瘤性病变伴肺实变
张小林 :
定位应该是肺,炎性病变跟肿瘤性病变鉴别,我倾向肿瘤性病变,淋巴瘤?肉瘤类?类癌?纤维类肿瘤?粘液腺癌,小细胞癌不像,这个病例不好弄,我先拍砖,希望大家批评指正。
那个人 :
青年女性,咳嗽发热黄痰,病史短,右肺下叶大片实变,支气管基本未显示,血管自然,病灶明显均匀强化。实变边缘有收缩有膨隆。考虑,肺炎,鉴别淋巴瘤
杨长德 :
右肺中叶支气管未强化粘液堵塞,继发中下叶不张,内见含气小泡。纤支镜取粘液栓。
金豆 :
右肺下叶大片实变影,边缘清,增强见坏死及粘液栓,血管走形尚自然,病人年轻,病程短,高烧,感染可能性大(肺脓肿),鳞癌基本不考虑,鉴别恶性肿瘤。
葛良卫(随遇而安) :
淋巴瘤一般可见支气管充气征,这例没有,不考虑。中央型肺鳞癌这么大病灶应该有坏死,年龄也不大,也无高危因素。中间段支气管不见了,痰栓阻塞?肿瘤?外压?
Cong. :
定位肺内,右下叶巨大占位性病灶,右下叶支气管闭塞,年轻女性,增强扫描有强化其内血管完整,纵隔淋巴结肿大,考肺肉瘤、阻塞性肺不张,待排异物。
空格 :
肺门周围延迟的强化结节,圆溜溜的,感觉可能就是肿大淋巴结,小钙化灶就在扩张的粘液栓旁,下叶支气管开口处一定有病灶堵了,结合年龄,内膜结核首先考虑,其次痰栓、再次气管内息肉腺瘤,恶性的可能不大,写报告能建议支气管镜就及格了
琦遇 :
支气管内占位性病变,有的强化、有的弱强化,结合青年女性考虑范围粘液性表皮样癌、腺样囊性癌。病灶内血管清晰,纵隔淋巴结肿大,发热等特点。重点考虑淋巴瘤,患者咳黄痰!如果考虑感染要考虑真菌感染或者结核!
空格 :
有个问题好像不能不能仅仅用支气管堵塞来解释,那就是肺叶是实变,而非不张,肺体积缩小不明显,应该是整个肺叶的病变,像大叶性肺炎之类。如果仅仅开口堵了,特别是急性的,肺叶应该体积缩小的肺不张。除非先实变,后堵,可以解释。先堵后实变就不对了
一米阳光 :
青年女性,急性发病。右肺下叶见大片状高密度影,其内见低密度坏死区,气管内见铸形低密度影。考虑支气管内痰栓并肺不张,肺脓肿;建议支气管镜检查。
良孑 :
右肺体积缩小,右肺巨大低密度肿块并下叶不张,无胸膜尾征,定位肺内,右中间支气管堵塞,肿块内可见粘液栓,不均匀强化,其内血管走行自然,右下肺受侵边缘不整,纵隔内淋巴结肿大,考虑为恶性,年轻女性,粘液表皮样癌首选,其次肉瘤或类癌。

南边分析

南边 :
年轻女性,急性病史,高热

我们看看影像
先外周

其余区域干净
纵隔淋巴结肿大,以2/4R区、3区为主


这里不知道是不是内乳的淋巴结?

如果是内乳淋巴结,代表淋巴瘤
南边 :
看主病灶吧
第一个问题:定位
下叶?还是多叶?
因为这个很关键
例如:上叶、下叶、中叶都受累;中、下叶病变;下叶病变不一样。
上、中、下都有,我要看主支气管,如果主支气管没问题,我不考虑阻塞的问题
中下叶有——中间段支气管
下叶——下叶支气管
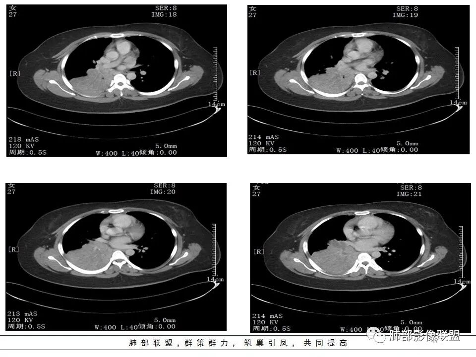
我们捋一捋病灶的范围


这是上叶血管
南边 :
我再捋一捋支气管
右主支气管

上叶支气管

中间段

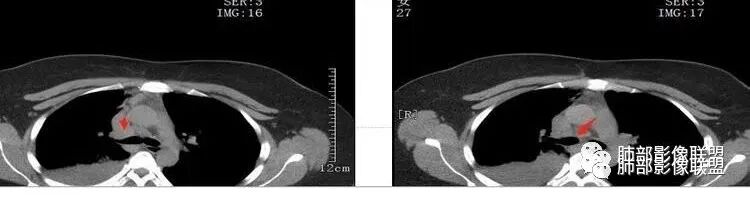
争议的地方这是上叶?中叶?

说实话图不全
关键点——中间段支气管堵塞处
没有显示
都是以肺内的病变为主
其实关键点在中间段支气管
断层面是没办法的情况,因为图太多,需要选择
各人看片的习惯不同,选的图像也不一样

通过视频显示中间段堵了

支气管腔内占位
远端低强化,提示粘液很多
纵隔淋巴结大
年轻女性
大家考虑啥?
我觉得方向明确
常规支气管腔内肿瘤,淋巴结转移,恶性吧
这么年轻——粘液表皮样癌?类癌?
定到恶性就行了
其实还有一些特点

本病例特点是中叶病灶和下叶病灶不一样,支气管腔内的病灶又是怎么样的呢?我们要是有沿支气管重建的冠状位、矢状位会更有利于分析。第一,中叶病灶明显粘液样改变、低密度,且低密度区有占位效应、膨隆,确实要考虑粘液表皮样癌。第二,中叶和下叶支气管显示不出来,但血管显示出来了。中叶病灶血管稀疏、细小,下叶病灶血管粗大、走形正常。朝外肺不张实变,不是单纯的肺不张,肺不张一般体积明显缩小、血管聚拢,该病例肿瘤于其中成分不一样,所以上叶部分病灶考虑为下叶病灶占位效应及膈面向上推压引起,中叶萎缩。综合腔内堵塞、纵隔淋巴结肿大要考虑恶性。
支气管层面位置朝下强化明显,支气管腔内、远端是有差异的,腔内哪些是粘液?哪些是肺组织?是单纯实变?还是合并感染?还是外围都是病变?支气管腔内病变?
该病灶明显实变,需鉴别是内朝外,还是外朝内病变。该病灶内血管走形自然,肺门区血管无明显受压移位,且非起源于胸膜,不张肺组织或者不张肺组织夹杂炎性病变。而非典型肺炎型肺癌及外朝内的其他恶性病变。
内朝外病变是支气管腔内病变?还是支气管周围病变呢?如果支气管周围大恶性肿块灶,那其内血管也不应走形自然,应杂乱无章,所以只能是腔内病变引发支气管周围病变。
我们分析的目的不是确定病理,而是为以后不典型病变做准备,通过典型病变、征象为不典型病变做思路指引,更好的为临床服务。

病理结果

                      右中下肺典型类癌

                                 
类癌

          来源于Kulchitsky细胞,而Kulchitsky细胞散在支气管上皮和粘液腺中,较多见于大支气管和其分叉处,而少见于小支气管粘膜,所以类癌好发于主支气管、叶支气管和段支气管,以中央型较多,肺实质中相对少见。
        典型类癌是儿童和青少年最常见的原发性肺肿瘤,对于儿童和青少年发生的肺门区肿瘤,必须考虑到类癌的可能。对于成年人,典型类癌更常见于女性。
典型类癌绝大多数为中央型,周围型少见,而不典型形类癌多为周围型,其血供也不如典型类癌显著。
中央型类癌的影像学表现:
1.支气管腔内的圆形或卵圆形结节,边缘光整,也可浅分叶,完全位于支气管腔内。
2.病变管腔内的病变只占病变的一小部分,大部分位于管腔外,称为“冰山征”。
3.少数病例可沿支气管腔内长轴生长,呈指套样改变,可伴有小部分位于腔外,类似部分鳞癌的表现,但由于类癌供血丰富,较鳞癌血供丰富。
以上三种类型均可伴有阻塞性炎症或肺不张。
典型类癌与不典型类癌
中央型类癌钙化显示率较周围型高,达30%,是类癌的一大特点。增强后常显著均匀强化,不典型类癌和其他类型的肺癌增强后常呈不均匀强化。
文献上一般认为典型类癌和不典型类癌从影像上不太容易区分。但在实际工作中感觉还是有一些区别。
典型类癌一般好发于中央大气道,周围型少见,可以完全位于支气管腔内,或大部分在支气管腔外,少数在腔内,表现为“冰山征”。在实际工作中遇到的周围型典型类癌少见。
不典型类癌绝大多数为周围型,中央型少见,完全位于支气管腔内的罕见。
一般而言,不典型类癌较典型类癌,体积要大。文献上的数据不典型类癌的平均长径为3.6cm,而典型类癌为2.3cm。两者几乎都不会出现毛刺,但不典型类癌的分叶发生率要远高于典型类癌。
典型类癌的钙化发生率较高,为30%,远高于其他类型肺癌。而不典型类癌的钙化发生率远远低于典型类癌。对于不典型类癌,钙化并不是一个常规征象。
在淋巴结转移方面,两者差异很大,典型类癌为5%,而不典型类癌为50%。部分不典型类癌可以伴有较广泛的淋巴结转移,类似于小细胞癌,这种一般都是Ki-67表达较高者。淋巴结转移常见,可以很多,但一般不如小细胞癌那样巨大,但也不是很绝对。
即使出现非常多的淋巴结转移,其预后也要显著好于小细胞癌。
但典型的小细胞癌增强后常为乏血供,而不典型类癌的增强幅度虽然不如典型类癌,但总体为相对富血供。一般,影像上类似小细胞癌,但富血供者,一般会将不典型类癌考虑在内。
尽管不典型类癌影像上有一定规律,但有的时候诊断还是存在一定困难,影像只是有一定的提示作用,最终还要靠病理来证实。
典型类癌肺门及纵隔淋巴结转移少见,只占5%,远低于常见类型肺癌。不典型类癌淋巴结转移者占50%。但是即使发生淋巴结转移,类癌的预后也远较同等分期的其他类型肺癌好,其5年生存率达90%以上。

病例小结

1.年轻女性,发热6天,咳嗽咳痰3天。高热伴腹泻。
2.右肺中下叶大片实性密度影,体积有缩小,密度不均,不均匀强化,前份可疑小范围液性密度区。
3.中间段支气管阻塞,腔内隐约见息肉样结节或突入,结节有较明显强化,这很重要,说明它有生命力,强烈提示新生物,而非分泌物或异物等等。
可惜腔内腔外混沌一片,我们不能分辨管壁及管壁外细节,我们不能判断新生物实际大小,不能判断局部支气管彻底破坏还是结节影跨越腔内外。
4.年轻、女性,支气管腔内相关新生物,会想到类癌或涎腺类肿瘤,如粘液表皮样癌等。强化较明显类癌可能性较大。支气管鳞癌和间叶组织肿瘤的可能性都非常小。
病史提供了腹泻症状,但未提供有无皮肤潮红、哮喘、心悸等表现。
5.如此大范围实性密度影,结合高热临床表现,阻塞性肺炎诊断应当是成立的。病灶内梭形液性密度区,未见强化,符合炎性分泌物。

END
编辑:许建林
审核:蔡笑燕 徐  晓
病例来源:赣州市立医院  吴皮皮



到顶部