【每日晨读】“迷糊”的实性小结节
















微信群讨论
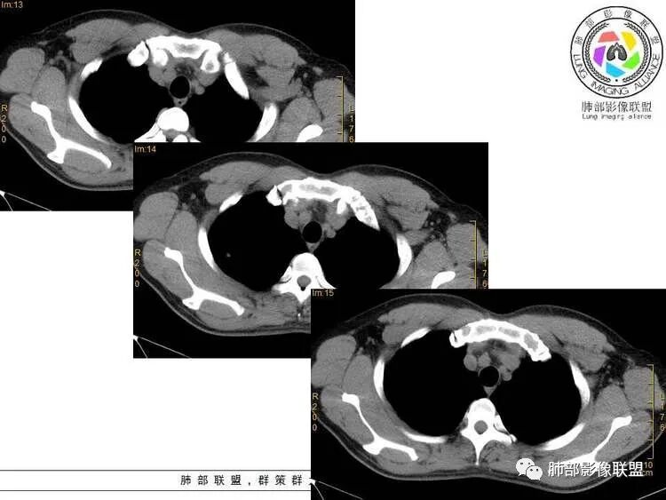
笨丫头:右上肺结节,有分叶,毛刺,胸膜牵拉,空泡影,考虑恶性,腺癌杨泽锋:尖段实性结节,边缘平直、长毛刺、支气管壁增粗、中近段未见截断,首先考虑炎性结节,因为没有树丫征,诊断结核信心不足小梅:43岁男性,无呼吸道症状,无畏寒发热,右肺上叶尖段胸膜下不规则实性结节,周围无磨玻璃影,有胸膜牵拉有一定的收缩力,结节周边以凹陷平直为主,没有见到明星卫星灶。结节内部的低密度要区别小支气管和空泡证,首先考虑炎性,结核可能性大。把肿瘤往后放待鉴别
刘丹:右肺尖结节,胸膜牵拉线清晰,考虑结核,鉴别腺癌。紫气东来:右肺上叶结节,长毛刺,边缘平直,血管增粗,胸膜牵拉,考虑炎性结节,鉴别腺凝睦:右肺上叶不规则实性结节,边缘长毛刺,周围支气管壁增厚,考虑结核。薏米:右肺上叶结节,有毛刺,胸膜牵拉,空泡,考虑腺癌,鉴别炎性结节清嘉:不规则类结节,边缘有平直内凹,清秀胸膜线,考虑良性病变可能大,结核?看图说话:实性结节,边缘平直、部分膨隆,长毛刺、支气管壁增粗未见截断,首先考虑炎性结节,建议复查除外腺癌市医院--时建文:右上肺结节,有分叶,毛刺,胸膜牵拉,空泡影,腺癌?甄德强:实性结节,边缘纤细长毛刺,支气管壁增厚,似乎有卫星病灶,考虑良性病例结核,不除外类风湿结节。似水流年(陆喜红 ) :右肺上叶不规则实性结节,边缘清楚,边缘长毛刺,邻近胸膜凹陷,病灶周围无卫星灶,病灶内部见低点空气密度影(空泡或者伴支气管管壁增厚),考虑炎性结节(这个人白细胞和中性粒细胞高,应该是有急性感染性疾病 只是肺部的结节偏慢性的,这个结节应该跟膝关节反复痛有关系吧?),普通炎性结节?类风湿性关节炎相关?小兜:晨读,青年男性,关节疼痛两年,再发三天。右肺上叶不规则结节,边缘细长毛刺,胸膜牵拉,支气管壁增厚,考虑为良性病变,类风湿结节或者结核可能马春平(张家港市一院胸外科):金鱼眼、长毛刺、小结节中低密度,细支气管畸形肉芽肿>结核肉芽肿崔少钢:右肺上叶病变,平直内收为主,毛刺偏长,见胸膜牵拉,白细胞高,肿瘤标志物正常,考虑炎性病变,需排除类风湿引起的肺内改变。丽:中年男性,右肺上叶结节,重建呈不规则形,边缘平直多发长毛刺较软,并可见胸膜牵拉,内可见支气管影,无扩张,首先考虑良性,炎性结节可能大,结合关节疼痛病史,类风湿结节待排红星:中年男性,以关节疼痛为首发症状,检查发现右上肺叶实性结节,明显分叶及长索状影,邻近胸膜面增厚,结节内支气管扩张。患者白细胞明显升高,估计与关节有关,考虑结核肉芽肿?腺癌也有可能,需排除玫:右肺上叶结节,边缘见分叶及长短不一毛刺,胸膜牵拉,病灶内见小空泡影,类风湿病史,实验室检查部分血项增高,考虑炎性病变可能,不除外腺癌。Lotus:先考虑炎性,警惕恶性吧,感觉关键在于支气管壁厚的权重和病灶本身的形态闫美利:中年男性,右肺上叶不规则结节,长短毛刺,边缘平直收缩,胸膜牵拉,考虑炎性结节,鉴别腺癌张小兵:右肺上叶尖段不规则实性结节,边缘收缩平直凹陷,胸膜牵拉线清秀,内见裂隙样低密度,周围见卫星灶,炎性结节,慢性结核结节可能。小飞:右肺上叶实性结节,边缘平直、收缩为主,可见长毛刺、胸膜牵拉,考虑炎性病灶可能性大傅昌瑜:青年男性,关节疼痛两年,再发三天,加重1天。血白细胞升高。右肺上叶尖段结节,边缘细长毛刺,胸膜牵拉线清秀、纤细,支气管壁增厚,考虑为良性病变,周围有小点状结节,考虑结核可能性大。结节局部似有膨隆,腺癌待排。红日东升:中年男性,右肺上叶不规则结节,形态平直、凹陷,边缘细长清秀毛刺,未见清楚GGO,邻近胸膜下有小斑片,考虑为炎性病变徐婕:尖段实性结节,边缘平直、长毛刺、支气管壁增粗、中近段未见截断,首先考虑炎性结节?????天涯?????:结节周围细长毛刺,小空洞内壁光滑,关节痛,结核?鉴别类风湿、腺~波波:右肺上叶结节,长毛刺,边缘平直凹陷,膨胀性不够,胸膜牵拉及血管集束,考虑结核结节,鉴别腺癌。水晶石头:患者中年男性,有反复关节疼痛,短期加重(考虑存在反复使用激素药物可能)。查血常规白细胞计数及中性粒细胞百分比升高。肿瘤标志物正常。胸部CT:右肺上叶尖段不规则实性结节,边缘清楚,可见分叶、长毛刺及胸膜牵拉征象,病灶周围无明显卫星灶,病灶内见支气管壁增厚,牵拉扩张支气管,综合考虑良性病变,结核结节可能性大,鉴别鳞癌及腺癌可能。巴伟:右肺上叶结节,病灶较散,边缘平直为主,细长毛刺,清秀胸膜牵拉线,首先考虑炎性结节,鉴别腺癌金惠:中年男性,右上肺结节,外周分叶,毛刺,肿瘤可能性大,但关节疼痛2年,不排除风湿性结节彭君:右上肺结节 边缘局部膨隆 边缘见少许磨玻璃边界清 周围长索条 邻近胸膜肥厚 首先考虑腺癌 鉴别结核joyzhy:右上肺结节,收缩,长毛刺,缺乏磨玻璃,考虑炎性结节,结核?毛勤香:右肺上叶尖段结节,边缘平直收缩为主,邻近支气管壁稍增厚,邻近牵拉胸膜线清秀,邻近胸膜稍增厚,考虑良性,结核可能性大,有关节炎病史,不典型类风湿结节不除外。王仁杰:患者中年男性,反复关节疼痛,短期加重,血常规白细胞计数及中性粒细胞百分比升高,肿瘤标志物正常。胸部CT:右肺上叶尖段不规则实性结节,边缘清楚,可见分叶、长毛刺及胸膜牵拉征象,病灶周围无明显卫星灶,综合考虑良性病变,建议抗炎治疗后复查。Zhuweichao:右肺上叶结节,长毛刺,边缘平直,考虑炎性,胸膜牵拉不放心,鉴别腺三个石头:右肺上叶不规则结节,平直,收缩,长毛刺,胸膜牵拉,考虑炎性。弹指之间:右肺上叶不规则结节,见空泡,边缘长毛刺,有收缩感,胸膜牵拉,考虑炎性肉芽肿性病变>细支气管畸形。李:右肺上叶不规则结节,分叶,空泡,提示恶性,考虑腺tsing(青):晨读:右肺上叶结节,形态不规则,内似见空泡,边缘长短不一毛刺,临近胸膜牵拉,体检发现,无对应症状,慢性炎症?李忠敏 274:右肺上叶不规则结节,边缘平直凹陷,多发长毛刺,临近胸膜牵拉,考虑良性病变,慢性炎症?类风湿结节?内见空泡腺也需鉴别!飞:患者中年男性。胸部CT:右肺上叶尖段不规则实性结节,边缘清楚,可见分叶、毛刺并胸膜牵拉征象,病灶周围无明显卫星灶,病灶内可见牵空泡征,实验室指标指标虽不指向恶性,但影像学不排除腺癌可能,建议抗炎后复查。

南边老师分析
良性、恶性、炎性;都有考虑的;各种意见都有;唉,边缘性病变就是这么难

首先病灶是实性?还是GGN?实性我们就按实性的思路走。密度均匀;

支气管通畅吧。

形态如何?三角形


边缘整体U型凹陷、平直

边缘长索条

不踏实的地方就是内部支气管部分区域不规整
我考虑炎性放前面,恶性待排,定期复查。这我是按写报告的思路去分析。一些特殊炎症就不一定,例如结核,也就是说结核不能除外,结核也是炎性病变,特殊感染而已。

      
病理结果
病理诊断:(右上肺)纤维化结节

                        
相关鉴别诊断
细支气管畸形肉芽肿:即支气管畸形结节,指的是终末段的支气管,细支气管及以下;影像特征,有2-4个眼睛一样的扩张细支气管,如金鱼眼睛,外侧壁已经在结节外(没有异常肺组织);这些扩张细支气管缺乏张力,一般没有被撑圆。一般考虑为先有细支气管畸形,然后才有炎症和纤维组织增生。结节可以是实性,边缘平整锐利,凹陷,不如早期腺癌的饱满,若结节周围有磨玻璃区经常边界不清楚。
类风湿结节:发生机制是脉管炎和免疫复合物沉积。在RA患者中,肺部风湿性结节的发生率不足1%,结节可为单个,也可为多个,大小从几毫米mm至几厘米不等。常位于胸膜下,常多发,无症状,50%发生坏死空洞,钙化不常见。位于肺边缘的坏死性结节可能破裂,坏死性物质会进入毗邻的胸膜区域,与胸腔积液、气胸或脓气胸有关。

   
本例小结
临床与影像:
1.中青年男性,以反复关节痛入院,缺乏相关查体及实验室资料。缺乏呼吸系统临床表现。
2.右肺上叶胸膜下不规则实性密度小结节影,密度均匀。边界清楚,缺乏典型深分叶,除个别层面上圆隆外,大多边缘平直甚至内凹,成三角形轮廓,冠状位甚至状如“奔驰”车标。
3.可见棘状突起或条索影牵于胸膜间,胸膜侧可见毛刺。灶周未见磨玻璃影。
4.周围肺组织见小结节影,胸膜多见结节样增厚。
5.肺门及纵隔未见增大淋巴结。
 
信息提炼:
病灶相对单发和或局限——提示全身性疾病的可能性相对小。
胸膜下——假如这样的结节影位于内中带还麻烦不是?恶性病灶可能性陡然增加。
三角形轮廓——三角形边缘,尤其是锐三角形病灶是最不支持恶性肿瘤的。
棘状突起——小病灶边界清楚,棘状突起或长条索影,如果是炎性,时间够漫长。
相邻胸膜增厚——周围肺组织小结节影,肺尖胸膜结节样增厚,范围较广,支持慢性病灶。
中青年男性——43岁,肺鳞癌的可能性大大降低。
 
综合分析:
1.胸膜下不规则结节影,相对单发和或局限,略散,呈三角形,星芒状长条索,周围细小结节,胸膜增厚黏连。继发性肺结核可能性是最大的!尤其是缺乏其他(如肺炎)相关病史。
2.病理意见不够完善,也许是取材较少,其结论可以理解为“未见肿瘤细胞”。

  编辑:李建丽
  审核:蔡笑燕  徐  晓
 病例提供者:遵医五院 王薇



到顶部