【每日晨读】“薄雾空腔”愁永昼,“囊腔粘液”知多少



点击上"蓝字"关注我们!


                                                  

     在许多的犹豫中,你做对了一件事情,那就是勇敢地上路,不要徘徊在许多假设性的框框里。那是一个人生的大关卡,你做了一个正确的选择,那就是:尝试,再尝试,不害怕所有的新鲜事。
罕见的囊腔型粘液腺癌

1
病例展示
























2
病例讨论

穿越七海的风:
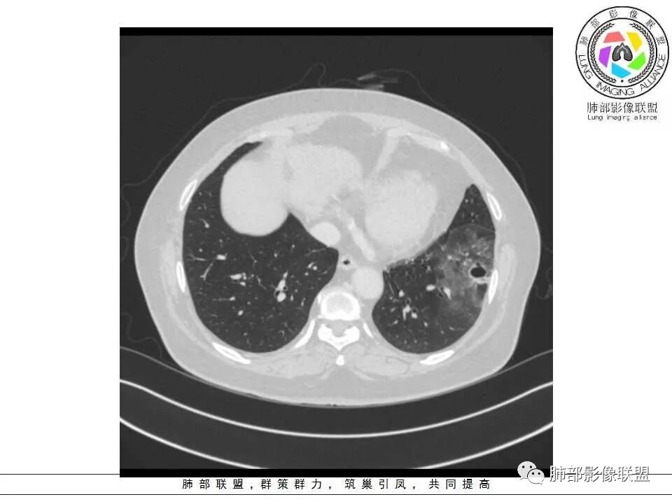
左肺下叶不规则空洞,周围边界清楚磨玻璃影,空洞内可见丝状物及壁结节,空洞壁薄,真菌感染和肿瘤难以分别,倾向感染
杨丽:
女性,65岁,左肺下叶空腔边缘见不规则结节,结节强化轻、不均匀,局部坏死边界较清楚,胸膜为糊墙为主,膈面胸膜判断不清楚似有结节;空腔内见分隔,或者数个融合,局部张力稍弱,边缘见支气管截断和血管集束;外周见大片磨玻璃影,部分边界模糊。结合病史炎症肯定有,但是囊腔结节这部分感觉恶性征象多过良性,考虑囊腔型腺癌可能性大,鉴别肺大疱感染
徐飞:
左肺下叶外侧基底段空洞,壁增厚,轻度强化,周围磨玻璃影,边界清晰,考虑囊腔型肺癌。
玫:
左肺下叶见薄壁囊腔影,周围呈磨玻璃样改变,囊腔形态欠规整,囊壁见小结节影,考虑感染性病变,除外囊腔型腺癌。
紫气东来:
左肺下叶囊性空腔影,内分隔,壁不均匀,周围磨玻璃边界清楚,胸膜牵拉。倾向腺,鉴别真菌感染。
薏米:
老年女性,咳嗽、咳痰2月余,CT提示:左肺下叶可见一不规则结节,周边可见磨玻璃密度,边界清,内可见囊腔样改变,内可见分割,内壁不规则,部分可见分叶,引流支气管狭窄,走形僵直,轻度强化,考虑囊腔型腺癌,鉴别曲霉、结核等
小兜:
老年女性,受凉后咳嗽咳痰发热两天,近两天咳嗽加重。CT示左肺下叶不规则空洞伴局部洞壁结节,空洞内见分隔,似见扩张支气管相通。空洞周边伴大片磨玻璃影。结节与胸膜宽基底相连,轻度强化,考虑为囊腔型腺癌伴感染
刘丹:
左肺下叶空洞结节,薄壁,局部可见壁结节,支气管于边缘走形中断,周围磨玻璃影,边界不清。先考虑感染,鉴别囊腔腺癌。
王开金江津中心医院呼吸科:
老年女性,左下肺病灶,空洞,璧厚薄不均,内有壁结节,周围磨玻璃,边界清,符合假大空,考虑腺癌。
贝德曼(博博):
患者老年女性,受凉后咳嗽,咳痰,发热,左肺下叶不规则空洞结节,周围大片磨玻璃影,倾向恶性。
田园晚风:
这个病例,老年女性,边缘磨玻璃,中间假大空,磨玻璃边界清楚,腺癌
云味:
假大空,壁结节,磨玻璃影=腺癌
王秀仙:
右肺下叶假大空,内可见分隔,壁不规则,周围大片磨玻璃影,部分边缘模糊,胸膜受累增厚,肝脏多发囊肿,考虑囊腔型腺癌。
飞鹰行动:
老年人,左肺下叶囊性病变+实性结节+磨玻璃影,尽管病灶相邻胸膜反应较广泛,但是上述影像表现及临床症状,首先考虑肺癌(腺癌),相邻胸膜反应广泛有可能为肺癌合并感染性病变所致。
流心明智:
女性,65岁,咳嗽、咳痰2月余,伴发热数日。
胸CT:左肺下叶囊腔,壁厚薄不均,可见壁结节,囊腔内可见断裂小梁,部分融合,周围边界较清楚GGO,胸膜牵拉,可见血管集束、支气管充气征,冠状位部分层面可见支气管在囊腔边缘截断。考虑:囊腔型腺Ca。鉴别:肺大疱感染,CPAM等。
joyzhy:
病人都做了pet了,估计抗炎无效,考虑腺癌
一米阳光:
左肺下叶边界清晰磨玻璃影,内见不规则囊腔,壁不均匀,有壁结节,内见分割,支气管走形僵直,增强轻度强化。
老年女性。
考虑囊腔型腺癌。
鉴别结核,曲霉
张延军:
左肺下叶多发大小不等的空腔影,呈蜂窝状改变,内有分隔,壁增厚(硬壳,僵硬感觉),远端见斑片状密度增高影,边缘不清,与临近胸膜粘连。近肺门侧见支气管与空腔相连,部分相通,部分阻塞。病变周围见磨玻璃影,以肺门侧为诸,呈分叶状,大部分界清。建议抗炎治疗后复查除外囊腔型腺癌
HeKate·Awizard·Sinitici:
左肺下叶囊性空腔,不规则,壁厚薄不均,壁上有空泡,腔内有分隔,周围磨玻璃影,部分界清,胸膜牵拉不显著,支气管进入截断,考虑恶性肿瘤可能,真菌不能排除
毛勤香:
左肺下叶不规则厚壁空洞,壁厚不均匀,支气管进入未见明显截断,内有分隔,壁有强化,周围磨玻璃部分清晰部分模糊,感染或病灶周围出血梗死肯定有,真菌(曲霉?)并周围反应?,建议治疗后复查除外囊性腺癌。
王崇军:
左肺下叶囊性空腔,不规则,壁厚薄不均,支气管进入其中,腔内有分隔,周围磨玻璃影,部分界清,胸膜牵拉不显著,考虑恶性肿瘤可能,空腔性腺癌。没有免疫低下的病史,真菌还是放在其后。
尘缘:
感染性病变(病原体不好说)>囊腔型腺癌吧
或者囊腔型腺癌合并感染
采莲:
老年男性,咳嗽咳痰2个月,伴发热,左肺下叶不规则巨大囊腔,内有分隔,内壁凹凸不平,囊腔下壁增厚,实性,囊腔周围似有小囊,周围大片磨玻璃影,边缘模糊,我也考虑感染性病变,其次囊腔型腺癌。
平常心:
1.周围ggo边界如何,似乎不是很清楚。
2.病变,边缘如何,平直。
3.空洞内如何,内壁光滑,但是有分隔
4.空洞壁如何,有支气管穿行于壁中
5.是空洞还是空腔?
空腔里面有残存结构,但是这个里面密度均匀的低,没有看到其他残存组织
King:
很好的病例,如果日常工作中肯定抗炎复查对比看的,这一片晕肯定不是癌本身,pet应该有对比的,有没有变化呢,还有摄取情况,如果摄取高需要首先考虑感染,单纯就这一CT而言,炎性的征象多些,有没有合并癌难说。
傅昌瑜:
老年女性,咳嗽咳痰2月。左下肺空洞?多个囊融合?壁厚薄不均,增强时壁有强化,局部胸膜栽赃?周围见大片边界清楚的磨玻璃影。考虑腺癌可能性大。疑惑的地方,支气管进入空洞,其穿行磨玻璃病灶区域时支气管壁增厚但无扩张扭曲。
大雄:
定性确实有难度  
炎性指标和肿标需要看看
增强图像少了点
最好有短期复查对比图,看病灶变化情况
空洞比较有特点,形态不规则,壁厚薄不均,有分隔,感觉比较硬。周围大片磨玻璃,如果是曲霉应该有咯血症状。结核不是好发部位。隐球的洞似乎也太大了些。无液平,加强有分隔,急性脓肿不考虑,慢性脓肿,周围不应该还有磨玻璃。
因此,感染性病变,似乎可能性小
单纯这一次影像而言,更倾向癌

3
南边老师分析
南边:
患者,女,65岁,2月余前受凉感冒后开始出现咳嗽,咳白痰,初发热2天,体温38℃左右,后降至正常,咳嗽无好转。近2日咳嗽加重,痰量增多,为黄白痰,无发热,无乏力、盗汗,无胸痛、胸闷,无头晕、头痛,无恶心、呕吐。PET-CT检查提示炎性病灶与恶性结节鉴别困难。
南边:
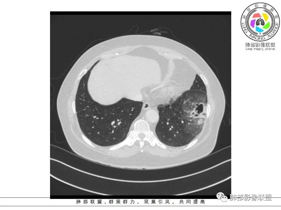
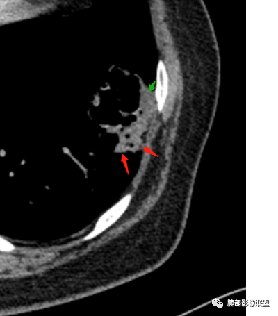
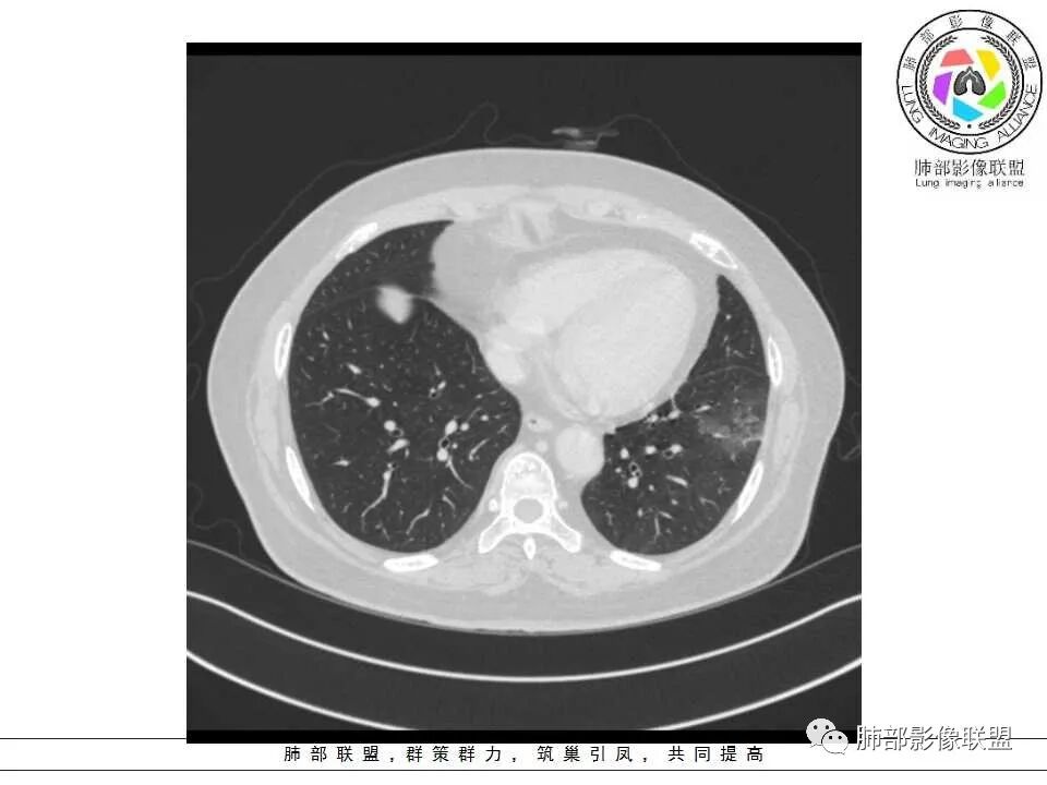
病灶分两部分
周围大片GGO

中央囊实性病变

南边:
病史没提咳血,周围出血灶似乎不太好说
部分边界偏清







南边:
囊腔有张力,外形有分叶,壁厚薄不均,有间隔,有强化
哪些病变可能?
1、癌
2、炎性:曲霉菌?
3、良性:囊腺瘤样畸形合并感染

南边:
下一步该如何处理?
抗炎后复查,穿刺!
4
病例结果


      肉眼可见:部分肺组织,大小5*3*3cm,已剖,切面可见2.5*2cm的灰褐色肿物,边界不清,质中等。
病理诊断:(左下肺肿物)浸润性粘液腺癌,累及肺膜,未见明确脉管内癌栓。
免疫组化结果:TTF-1(-),Ki67(阳性细胞约占10%),NapsinA(-),CK7(+),EGFR(+),ALK(-)。


5
囊腔型肺癌得相关研究
   
   囊腔型肺癌是一种特殊类型的肺癌,病灶边缘或中央存在一个或多个含气的囊腔。有研究显示,囊腔型肺癌以周围型肺癌多见,囊壁厚薄不均,有单发性和多发性囊腔。囊腔型肺癌囊壁厚度一般<2mm,说明囊腔型肺癌囊壁较薄。
    囊腔形成的原因可能为:支气管内的肿瘤未完全阻塞管腔,形成活瓣,使气体容易进入肺泡腔,而不易呼出,最终形成含气的囊腔。有研究认为,当囊腔内压力进一步增加,可使肺泡破裂、融合,影像学表现为囊腔内有气管血管束穿行。囊腔发展过程中可体积缩小,甚至消失,形成实性密度影。
    研究发现,囊腔型肺癌以腺癌为多,故也称为囊腔样腺癌,病理表现为原位腺癌或贴壁生长的浸润性腺癌;出现实变影,病理表现为浸润性腺癌;肿瘤内间质纤维化、支气管扩张或条状、粗大棘突状,可能与间质纤维增生牵拉所致有关。
       
       也有学者对含薄壁囊腔周围型肺癌的CT特征及病理基础进行了研究分析,结果35例患者中,在MSCT上,出现60%以上的征象有圆或类圆形(28例)、分叶征(32例)、多囊(27例)、内壁不光整(33例)、腔内分隔(31例)。无实性成分组(17例)与有实性成分组(18例)的MSCT征象,经统计学分析得出病灶整体形状、毛刺征、支气管截断征、支气管通入腔内、腔内血管穿行及磨玻璃征在两组之间差异有统计学意义(P<0.05);有实性成分组中,毛刺征(11例)、支气管截断征(12例)比例高于无实性成分组(均为1例);无实性成分组中,病灶整体不规则形态(6例)、支气管通入腔内(7例)、磨玻璃征(13例)及腔内血管穿行(12例)的比例高于有实性成分组(分别为1、1、5、3例)。含气囊腔形成的病理基础为肿瘤内部彻底液化坏死,肿瘤沿肺泡壁生长、肺泡壁破坏融合。5例患者随访出现囊腔增大,囊壁增厚。2例患者随访则囊腔缩小,实性成分增多。1例薄壁囊腔的肺癌由纯磨玻璃密度结节演变而来。结论伴薄壁囊腔形成的周围型肺癌MSCT表现具有一定的特征性,囊腔形成的病理基础多样。
      综上所述,囊腔型肺癌以浸润性腺癌最多见,在多排螺旋CT检查结果中具有一定的特征性表现,临床工作中,应加深对肺癌多样性的认识,发现肺癌囊腔壁较厚时,需提高警惕,避免误诊。
参考文献
望云,刘士远,范丽,等. 含薄壁囊腔周围型肺癌的CT特征及病理基础分析[J]. 中华放射学杂志,2017,(2):96-101
 
6
病例总结

     
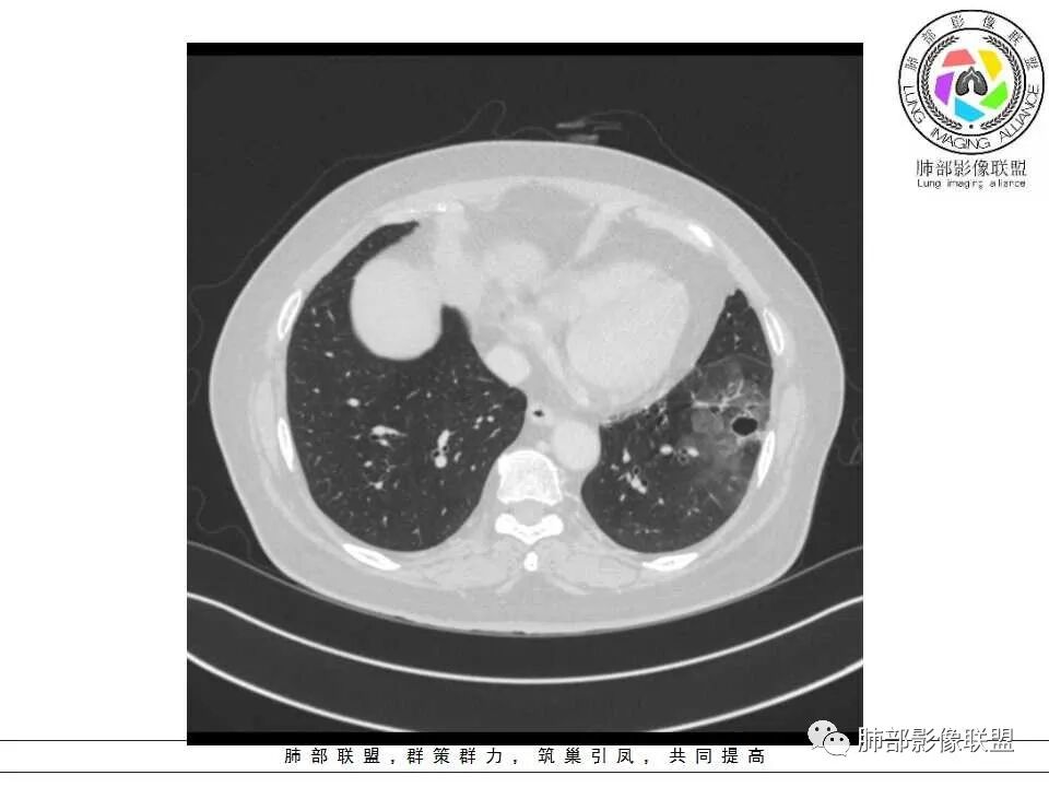
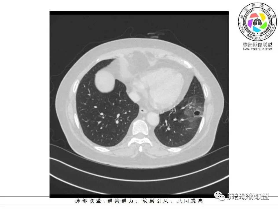
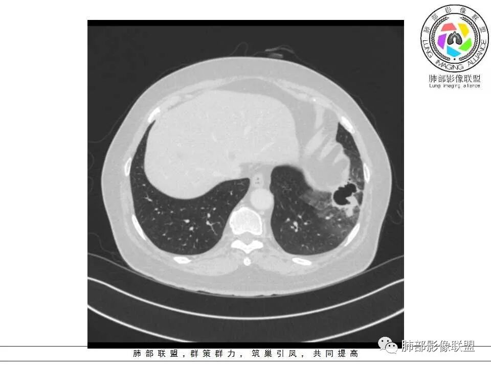
  患者老年女性,2月前受凉后出现发热,咳嗽咳痰,痰量增多,无咳血,病程较长,临床症状无明显好转并,近2日咳嗽加重,痰量增多,为黄白痰,无发热,无乏力、盗汗,无胸痛、胸闷,无头晕、头痛,无恶心、呕吐。
影像特点:
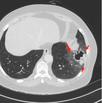
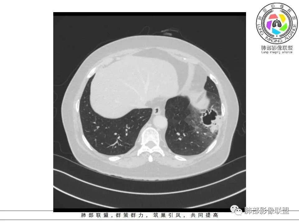
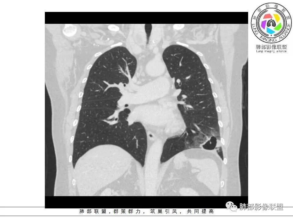
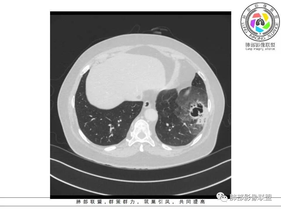
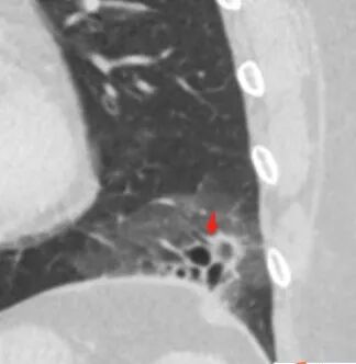
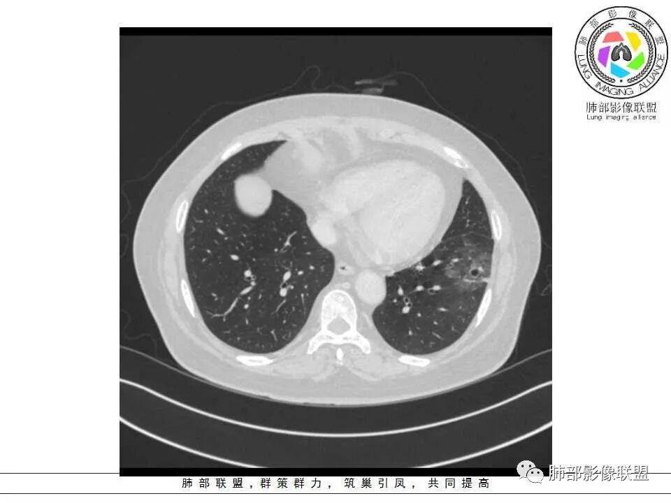
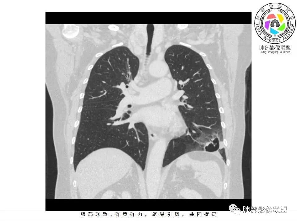
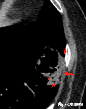
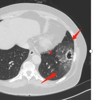
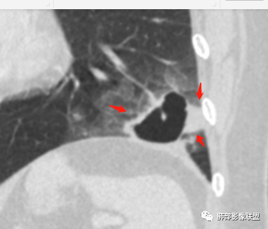
1、左肺下叶外基底段不规则囊腔样病灶,囊腔内有条形影及血管穿行。
2、囊壁薄厚不均匀,稍显僵硬,有壁结节(对应边缘分叶等)、结节强化明显。
   以上两条几乎将肺囊肿彻底排除在外,且高度怀疑新生物!
3、灶周环以大范围磨玻璃影,非常均匀,没有重力分布趋势,分叶状,边界隐约可变。
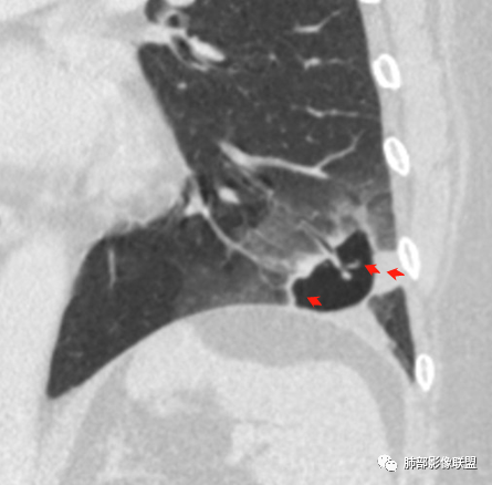
4、冠状位部分层面可见支气管在囊腔边缘截断。
囊腔型肺癌主要为腺癌,少数为鳞癌。
本例囊腔性病灶尽管腔壁稍显僵硬,壁结节凸显,但女性患者,灶周明显磨玻璃晕,都强烈提示为囊腔性腺癌。
病理粘液腺癌确乎意外,非常罕见!
   大范围磨玻璃影可以符合粘液腺癌。机制包括分泌黏液的癌细胞沿肺泡壁生长以及含肿瘤细胞的黏液成分沿气道飘散种植等。囊腔形成推测肿瘤等成分形成小支气管的活瓣阻塞所致。
   周围磨玻璃影不支持炎性渗出,没有沿气道分布,边缘较清楚;未形成肺泡结节,出血也不符合,且患者临床无咯血。
   老年患者,长期临床症状无明显好转,肺部阴影未见吸收好转,均应警惕肺炎性肺癌的可能。
鉴别诊断:
1、囊腔型曲霉:易感人群,薄壁空洞或空腔内孤立性球形病灶,可见空气半月征,空腔内病灶不强化、可以移动是其特点;
2、囊性瘤样畸形合并感染:小儿多见,成人少见,壁厚均匀不会有壁结节。多有反复感染,可出现小气液平面;有时与囊腔性肺癌很难鉴别;
3、隐球菌感染:空洞较小,周围有晕征,胸膜下分布,融合趋势。


END

编辑:杨宏刚
审核:蔡笑燕   徐  晓
病例提供者:天津市海河医院 张硕



到顶部