【每日晨读】形迹可疑肺结节,你怎么看?



(图片来源于百度)
 2020年4月9日晨读
漳州市医院影像科
孙海峰 

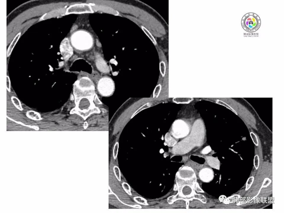
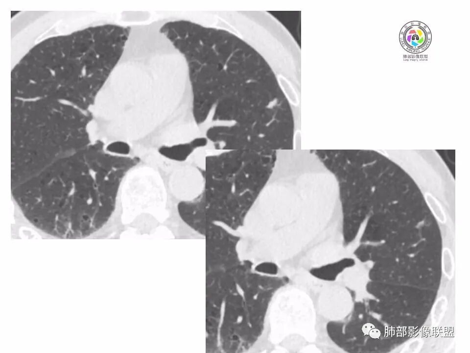
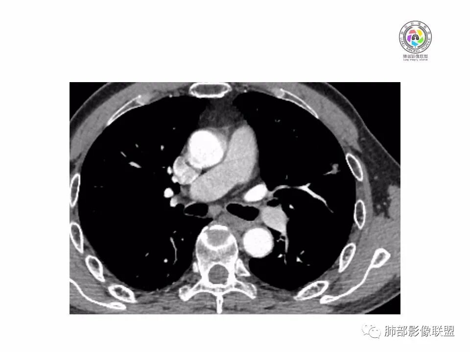
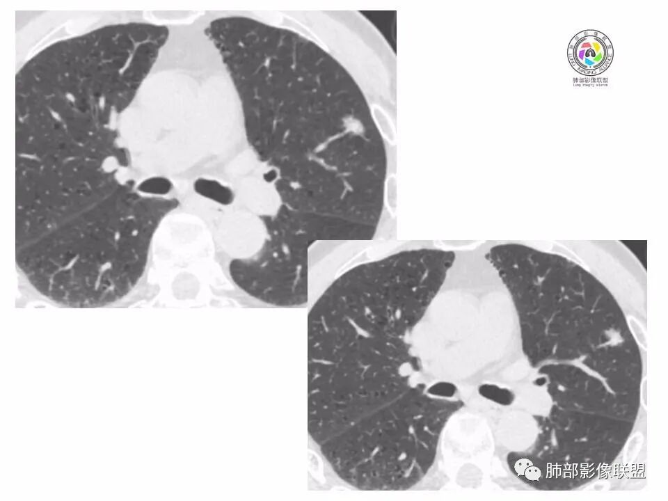
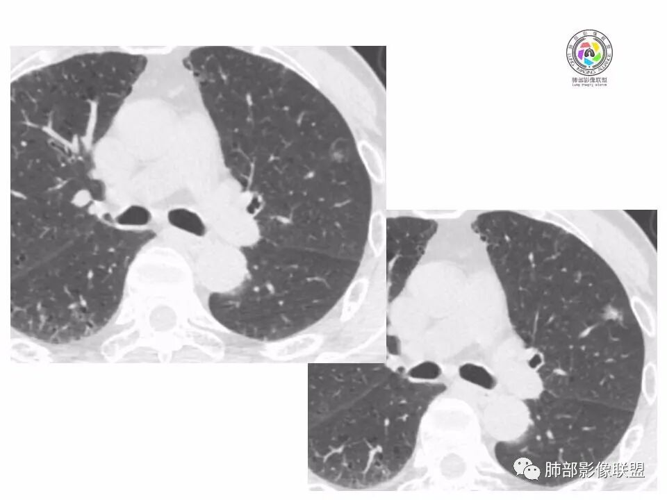
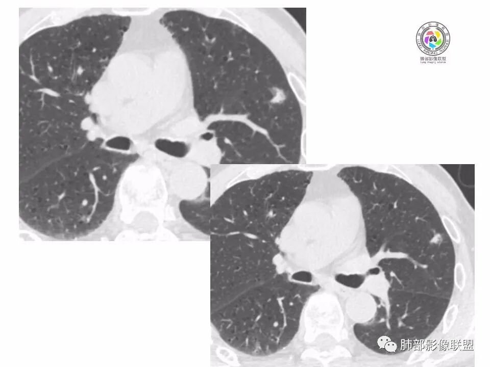
病例资料














精彩讨论
杨丽:
左肺上叶小结节,边缘毛糙,血管集束,支气管截断,强化较明显,但U型凹陷,部分边缘平直,总体感觉恶性大于良性,首选腺癌,鉴别炎性肉芽肿。
Lenle董:
左上肺结节,月牙征,边缘纠集有收缩力,小空泡,血管增粗进入,纵隔淋巴结增大,考虑恶性,隐球菌待排。
 蕊:
老年男性,左上肺结节,边缘毛糙,临近血管进入增粗,内部隐约可见小空泡或远端扩张支气管,血管集束并伴月牙铲,有个横断界面看似像脐凹征,常规考虑腺癌,鉴别隐球。
看图说话:
结节,分叶,边缘毛糙,小空泡,血管集束并伴月牙铲,有强化,老年男性,考虑腺癌,建议复查除外结核。
凝睦:
左肺上叶混合密度结节,边缘见边缘清楚磨玻璃,分叶,U型凹陷,首先考虑腺癌。
玫:
左肺上叶结节影,边缘可见分叶,血管集束及月牙铲征,病灶内见小空泡影,考虑腺癌可能。
加勒比海蓝:
结节密度不均匀,混合磨玻璃结节,大部分实性部分,边缘清,月牙铲征,肿瘤微血管征,考虑肺癌。
小兜:
老年男性,体检发现左肺上叶结节,周围浅分叶伴磨玻璃影,有血管相连,U型凹陷,纵隔见肿大淋巴结,考虑为恶性,腺癌可能。
一切∮随缘:
左肺形态不规则结节,边缘收缩,毛刺,有月牙铲,纵隔窗比肺窗小,不密实,近段血管与病灶相连,强化不明显,老年男性,综合考虑,恶性,腺癌,鉴别炎性结节。建议穿刺。
薏米:
老年男性,左肺上叶结节,边界清,不规则,有毛刺,血管集束,空泡,边缘有气肿带,考虑腺癌,鉴别肉芽肿。
徐婕:
左肺上叶小结节,边缘毛糙,血管集束,支气管截断,有月牙铲,首选腺癌,鉴别炎性肉芽肿。
群锋:
左上肺实性小结节,短毛刺,月牙铲,似见小空泡,血管集束,有轻度强化,首先考虑腺癌。
管洪林:
老年男性,肺气肿背景,左肺上叶小结节,大部分边缘平直,部分边缘膨隆,局部可见月牙铲,边缘少许磨玻璃,边界清晰,血管进入,轻度强化,首先考虑腺癌,常规抗炎后复查,除外炎性结节。
底王:
左上肺结节,短毛刺,空泡,月牙铲,脐凹征,考虑腺癌。
宇宙:
左肺上叶混合密度结节,边界清,分叶,毛刺,血管进入,月牙铲,有强化,首先考虑腺癌,有平直边,收缩力不明显,常规先抗炎。
傅钢泽:
左上肺结节分叶,边缘毛糙,小空泡可能,血管集束,月牙,纵隔窗面积小于肺窗,有磨玻璃成份,有强化,老年男性,白细胞高,恶性的征象都有,但磨玻璃的形态和边界不好评估,实性为主,看形态和边缘局部较散缺乏饱满感,顶着压力反着来猜炎性可能大。复查不消失会考虑腺癌或黏液腺癌。
小飞:
老年男性,肺气肿背景,左肺上叶实性结节,边界清,边缘平直为主,细长毛刺,较明显强化,考虑炎性病灶,隐球?
丽:
老年男性,左肺上叶结节,边缘可见长毛刺、较软,并可见分叶,周围可见清楚磨玻璃密度,内可见空泡征,增强后呈均匀强化,良恶性征象都有,感觉收缩力不强,化验白细胞偏高,建议抗炎治疗后复查除外腺癌。
我心飞翔:
老年男性,左肺上叶混合密度结节,空泡,分叶,血管集束,有强化,考虑腺癌;细长软毛刺,血管走行自然,边缘有平直收缩,白细胞高,肿标正常,考虑炎性结节。猜炎性结节,鉴别腺癌。
淘时光:
左肺上叶前段mGGN,边缘见毛刺及月牙铲,考虑腺癌,需要薄层图像确认所见征象。
王秀仙:
左肺上叶结节,分叶,边缘毛糙,小空泡,月牙铲,有强化,考虑浸润性腺癌,鉴别炎性肉芽肿。
水晶石头:
患者老年男性,体检发现。查癌胚抗原不高。血常规血象升高。胸部CT:肺气肿背景,左肺上叶近胸膜下实性结节,边缘光滑,边界清楚,可见毛刺、血管集束、月牙铲征象,增强不明显,内可见低密度区,综合考虑恶性病变,腺癌可能大,鉴别结核及炎性结节。
月亮圆了!:
老年男性,左肺上叶结节,周围浅分叶伴磨玻璃影,有血管相连,月牙铲。纵隔见肿大淋巴结,但白细胞高。腺癌首先,需排除炎性假瘤。抗炎治疗后复查。
傅昌瑜:
老年男性,体检发现左肺结节,分叶、脐凹、月牙铲及月牙铲附近有边缘清楚的磨玻璃影,上述征像均指向恶性肿瘤,有疑问的地方:毛刺软无力,无胸膜牵拉及白细胞计数升高。整体是腺癌,需要抗议后复查以排除炎性病变。
飞鹰行动:
图片有限,左肺上叶结节病灶,有张力,有收缩及小泡征,边缘可见月牙征,周围长毛刺及血管集束征,增强目测有中度以上强化,首先考虑恶性病变,腺癌。
毛勤香:
左肺上叶前段小结节,边缘稍毛糙,月牙铲,血管进入可疑脐凹征,小空泡?增强有强化,老年男性,要高度警惕腺癌,但感觉毛刺偏细软,周围磨玻璃不明显,常规查隐球菌荚膜抗原除外隐球菌,血象高,抗炎后短期复查除外炎性结节。
张小兵:
左肺上叶mGGN,边缘收缩平直为主,肺窗显示清楚,纵隔窗体积缩小,未见胸膜牵拉,倾向感染性结节,隔期复查。
南边老师:
1、有没有薄层?常规要看薄层。
2、实性?亚实性?
     实性——炎性
     亚实性——恶性
尘缘:
看叶间裂显示情况,本身就是薄层重建,只是重建方式不是高分辩率重建。算法也不是高分辩率算法。可能屏气效果也不是太理想,所以看着边缘不锐利,不太清楚。只是肺算法的,确实边缘不够锐利,看GGO边界是否清楚,有时候不好看。
孙海峰:
本病例图像层厚是1.25mm。

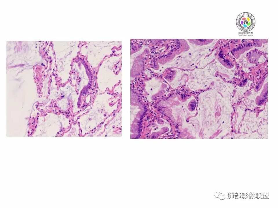
病理结果




关于结节型粘液腺癌
1.以结节为主要表现的粘液腺癌老年女性更多见。
2.纯磨玻璃结节较腺癌少见,实性及半实性密度反而多见一些,较小的实性结节带棘状突起也许应想到粘液腺癌。
3.边界似清非清。有时比较散,趋于多灶倾向。病灶收缩能力相对腺癌没那么强。
4.病灶区域有时可见小叶间隔增厚。
5.生长缓慢,破坏能力不强。
6.不要轻易放过“形迹可疑”结节影,定期复查至关重要。

肺粘液腺癌(结节型)
1、定义:
指肺腺癌的特殊类型,肿瘤上皮细胞具有分泌粘液功能或腺样分化,约占所有肺腺癌2%。
2、影像分型:
结节型与弥漫型。
3、CT诊断小结:
①结节型肺粘液腺癌以中老年女性多见,单发,发病部位常位于两下肺胸膜下(肺外周带)。
②多数病灶具备典型恶性肿瘤征象,但是不典型者仍不少见。
③病灶常呈圆形或不规则形,实性结节略多于混合磨玻璃结节,少见于纯磨玻璃结节;病灶边界可清楚,也可模糊,需与炎性结节鉴别;表现为实性结节病灶,收缩力可能表现不明显,需与良性结节鉴别。
④原发性肺粘液腺癌侵袭力相对较低,发展慢;病灶常不破坏支气管及血管,可表现为血管造影征及空气支气管征。
4、误诊原因分析:
    ①病灶小,诊断信息少。
②病灶边界模糊,易误诊炎症。
③异常实性的结节,易误诊良性结节。
5、易误诊结节型肺粘液腺癌对策:
①对于胸膜下小结节,薄层扫描及三维重建仍是避免误诊的重要手段。
②随访是重中之重!“良性结节,恶性随访时间”!过度的自信往往会导致误诊或漏诊。
③多学科联合诊断可明显提高诊断准确率。
——《肺粘液腺癌(结节型)CT诊断及误诊分析》曹捍波



编辑:靳文剑
审核:赵永兵   徐  晓
到顶部