【每日晨读】胸腺瘤与胸腺癌之争



图片来源于百度












微 信 群 讨 论


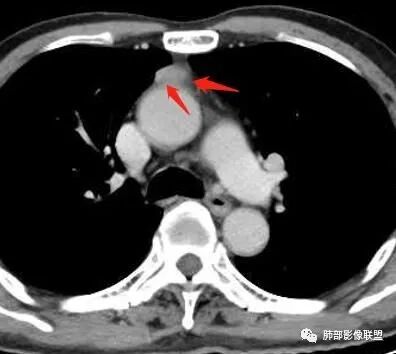
秦化君:前纵隔结节影,边缘清晰光整,质软,密度较均匀。增强较明显强化。考虑前纵隔良性病变,胸腺瘤?纵隔窗第一层面病灶内似有低密度,畸胎瘤待除外。
༺༽༾ཊ天涯ཏ༿༼༻꧂:前纵隔,边缘光整,密度较均匀,强化较明显,胸腺瘤?淋巴结?大雄:胸腺或支气管源性囊肿。增强CT值是增加了,但不一定是强化,病灶太小,后方主动脉强化有容积效应。边缘比较平直。三生石上:前纵隔占位,边缘光整,密度较均匀,有明显强化,考虑胸腺瘤。
徐飞:前纵隔结节边缘光滑,与周围脂肪间隙比较有膨隆感,说明结节不是特别软,强化,考虑胸腺瘤。
崇军:老年男性,前纵隔占位,边缘光整,密度较均匀,有明显强化,考虑胸腺瘤。市医院--时建文:前纵隔,边缘光整,密度较均匀,强化较明显,胸腺瘤?
红星:前纵隔大血管前间隙占位,边缘光整,密度较均匀,有明显强化,结合年龄段,考虑胸腺瘤。
Yiren  Sishui(厶水伊人):前纵隔结节,边缘光整,密度较均匀,中度强化,考虑胸腺瘤。
宇宙:前纵隔正中软组织结节,边缘光整, 与血管脂肪间隙欠清,中度强化,似有条状低密度影,考虑低危胸腺瘤,鉴别胸腺囊肿,胸腺增生结节。巴伟:前纵隔胸腺区结节,边缘平直,测量有强化,伪影?先考虑胸腺囊肿,淋巴结?胸腺瘤待排。
张小兵:
前纵隔结节灶,胸膜侧边缘平直内收,明显强化,但要除外容积效应,最好不同气相观察,除外囊肿。周太狼:前上纵隔占位,边缘光滑,软,密度均匀,中度强化,纵隔内余部位及双肺无明显异常。首先考虑胸腺瘤或胸腺增生,鉴别节细胞神经瘤。小兜:老年男性,体检发现前纵隔占位,边缘光整,密度较均匀,增强均匀轻度强化,右侧内乳血管增粗,考虑为良性病变,胸腺瘤可能。
闫美利:前纵隔结节,密度均匀,边缘光滑,类三角形,张力不高,强化明显,从强化角度考虑胸腺瘤,从概率考虑囊肿(黄勇老师说过小的病灶囊肿发生要远远大于瘤),部分层面感觉病灶软软的趴在主动脉上,综合考虑胸腺囊肿。
丽:老年男性,前纵隔软组织结节,边界清晰,密度均匀,周围脂肪间隙清晰,增强后强化较均匀,右侧内乳血管增粗,首先考虑良性,胸腺瘤,建议随诊观察。
流心明智:老年男性,前纵隔正中结节影,边缘光整, 密度较均匀,纤维分隔?未见纵隔淋巴结大,强化较明显,似有条状低密度影。考虑:胸腺瘤,鉴别胸腺囊肿等。一切∮随缘:前纵隔类圆形结节,形态规则,边缘清晰,平扫密度均匀,增强后不均匀渐进性强化,老年男性,体检发现,考虑胸腺瘤。
傅昌瑜:老年男性,体检发现前纵隔占位。病灶边缘光整,无分叶,与周围血管间有脂肪间隙,内密度较均匀,强化明显。老年人,排除生殖细胞瘤,无脂肪密度,排除畸胎瘤。病灶膨胀感不明显,没有到处钻,考虑良性病变,强化明显,巨淋?注意鉴别胸腺瘤。王秀仙:前纵隔结节,边缘光滑清晰,近似三角形,紧贴主动脉弓,与主动脉弓间脂肪间隙部分消失,强化明显,考虑胸腺瘤。常规这么小的病灶,三角形的,感觉软软的,首先应该考虑胸腺囊肿,但是强化不符合。秋实:前纵隔类似软组织密度结节,略扁趴在主动脉前方,感觉比较软,边缘光滑,密度均,增强可见中度强化,有强化考虑胸腺瘤,形态考虑囊肿。
Lenle董:前纵隔结节,边缘光整,密度较均匀,较软,中度强化,考虑良性病变,胸腺瘤可能。水晶石头:患者老年男性,体检发现纵隔占位1周。胸部CT:前纵隔实性结节,边缘光整,无分叶,与周围血管间有脂肪间隙,内密度较均匀,强化明显。病变位于胸腺,考虑胸腺瘤,鉴别胸腺囊肿。浪迹天涯:前纵隔,边缘光滑,病灶上方见多个小结节堆积,同侧内乳静脉增粗,所以把淋巴瘤放在前面,胸腺瘤待排。
毛勤香:前纵隔结节,边界清晰,边缘平直,增强中度强化,密度均匀,常规考虑胸腺瘤,鉴别囊肿无强化。

南 边 分 析
南边:
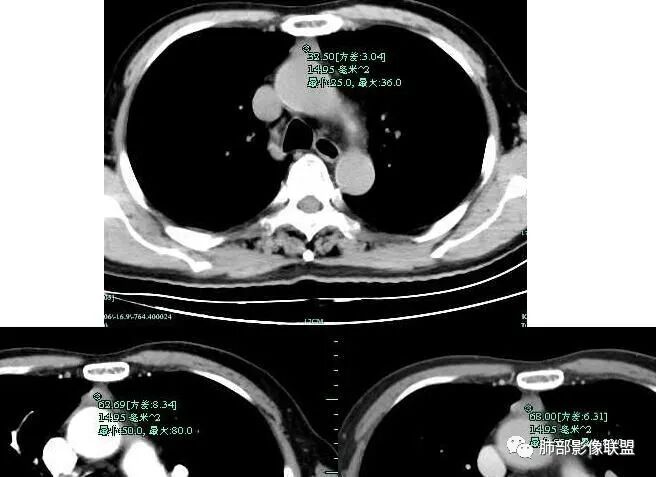
无意中发现,老年男性。
定位明确:前纵隔,小,张力不高。

还是在残留的胸腺组织内。

增强还是明显强化。

南边:
考虑啥?有那些可能?
根据病史,病灶的边缘清楚,小,无明显恶性特点,首先我们倾向于良性,在这个基础上我们再去分析。
南边:
1、胸腺来源,胸腺瘤?囊肿并感染?——因为有强化。
2、淋巴结?
3、神经源性?
生殖类就不考虑了,大家觉得那种可能性大一些?
更罕见的:脂肪肉瘤,这一类几率太低了
Coke with ice:
淋巴结也挺常见,怎么鉴别…
三个石头:
边缘比较平直,比较软,囊肿吧?
小兜:
囊肿的话变换体位再扫一遍[呲牙][呲牙]
南边:
按理这个病例,从我的角度,70多岁,无症状,边界清楚、小,管他是啥,定期复查就行了。
胸腺区,周围有稍高密度影,我还是支持胸腺来源。

南边:
大家犹豫的是:支持囊肿——边缘平直,似乎张力不高,符合。
写报告肯定两者都带上,我倾向于胸腺瘤放前面。
 
 

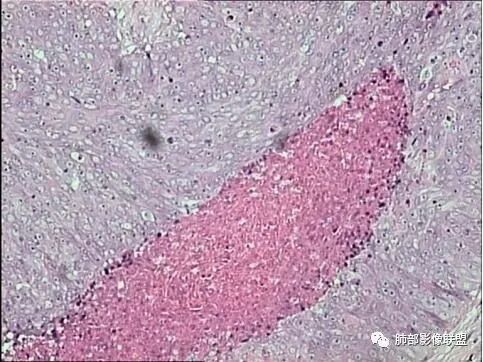
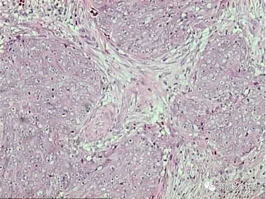
病理结果


“纵隔”鳞状细胞癌(C型胸腺瘤,大小3×2×1.2cm)。免疫组化:CK(+++)、EMA(++)、Ki-67约65%(+)、TdT(-)、P63(+++)、P40(+++)、CD117(++)、CD5(+)、Syn(-)、CD99(+)。
 
 


回 顾 分 析
南边:
恶性的特点不明显
我们回头看看,能否找到依据?
大雄:
胸腺癌,现在不叫c型了
杨泽锋:
术前我也知道胸腺瘤A型,结果出乎意料,所以拿出来想听各位老师的分析。
宇宙星空:
病灶周围还是模糊的,这点是恶性特点。

混沌:
也可以这样思考:
这个病例提醒我们早期肿瘤不一定具备恶性特点,用现有手段估计没有办法区分,或许我们探索新手段新视野或许有价值,比如DCE、MRI、或者影像组学等。不断探索才是。
 
马春平(张家港市一院胸外科):
教科书上说发现胸腺肿瘤就要手术是有临床意义的,有的胸腺瘤很大是A型到B1型,有的很小却是胸腺癌,胸腺的良恶性有时还要看胸膜心包有无外侵,临床上经常术前判断是良性的,长径和心包或肺紧贴的,形态不规则的,手术时发现外侵已很明显。一般来说游离在退化胸腺脂肪中的和周围有明确界限的诊断良性胸腺瘤才是比较可靠的。
 
大雄:
除了显微镜下胸腺瘤与脂肪纤维腺瘤,其他胸腺瘤都是恶性的@马春平(张家港市一院胸外科)
 
马春平(张家港市一院胸外科):
@於雄_九江市一医院影像   是的,我们还遇到一例41岁男性,三个月从2cm左右长到近10cm的病人。
 
小  结
       胸腺上皮性肿瘤包括胸腺瘤和胸腺癌,而前者是前纵隔最常见的肿瘤;现目前多采用1999年WHO胸腺肿瘤组织学分型,按病理类型可分为6个亚型,即A、AB、B1、B2、B3及胸腺癌,又根据肿瘤的侵袭性和复发性将胸腺瘤分为低危型胸腺瘤(A、AB、B1)、高危型胸腺瘤(B2、B3)和胸腺癌;“良性胸腺瘤”的概念不符合医学实践,即使A型胸腺瘤也存在复发和转移的风险,所以现在胸腺瘤均为恶性肿瘤,都具有潜在复发和转移可能,只是恶性程度不一。
      胸腺癌是发生在胸腺的恶性上皮性肿瘤,可分为低度恶性肿瘤和高度恶性肿瘤,鳞癌、基底段细胞样癌、粘液上皮样癌属于低度恶性,其他类型如淋巴上皮样癌、肉瘤样癌、乳头状癌、透明细胞癌、未分化癌等为高度恶性,其中病理类型以鳞癌最为常见。
     因为有时候影像不好鉴别胸腺瘤的亚型,尤其少数B3型跟胸腺癌鉴别仍存在困难;那如何大致辨别低危型胸腺瘤、高危型胸腺瘤及胸腺癌呢?我们主要从肿瘤的轮廓形态、肿瘤内部的成份(囊变坏死、钙化、纤维分隔等)、周围组织侵犯情况(胸膜、血管、心包、肺、膈神经)、有无纵隔淋巴结转移及远处转移来综合分析,为疾病的治疗及预后是有重要价值的。
     
    总之,在胸腺肿瘤的影像学表现中,边界是否清楚,是否侵犯邻近组织脏器,是否有转移等更具有临床意义!



编辑:徐  婕
审核:赵永兵  徐  晓
到顶部