【每日晨读】 烟霏云敛见真相



读万卷书行万里路


病例资料


性别女 ,年龄: 62岁
患者本人    主诉:反复咳嗽、咳痰1月余,伴咯血及痰中带血。现病史:患者于1月前无明显诱因出现咳嗽、咳痰、多为白粘痰,伴咯血1次,约1-2口,后未再出现成口鲜血,有时痰中带血,无发热,无乏力盗汗,抗炎治疗约2周(具体用药不详)咳嗽略减轻,效果一般,无胸痛,无恶心、呕吐。为求进一步诊治今来我所,门诊以"肺结核复发?"收住院。自发病来,饮食可,睡眠差,体重较前无明显下降,大小便未见明显异常。 既往史:平素体质可,7年前有肺结核病史,当时抗痨治疗6个月停药。睡眠障碍约5年,加重1年,至日照市精神卫生中心诊断为“睡眠障碍,抑郁症”,给予奥氮平,唑吡坦等药物口服。1个月前在日照市医院诊断为前庭性眩晕症,给予甲钴胺及长春胺等药物治疗。否认乙肝等其他重大传染病史,无重大外伤手术史,无输血史,否认药物过敏史,预防接种史不详。
2019-12-19血常规:WBC:4.8X109/L;NEU%:40.9 %。2019-12-19胸部CT:左上肺可见团片状密度增高影。入院后完善各项辅助检查,肺癌五项:CEA 癌胚抗原  1.94ng/ml[0.-4.7],
NSE 神经元特异性15.25ng/ml[0.-16.3],
CYFRA21 非小细胞肺癌相关抗原  3.00ng/ml[0.-3.3],
ProGRP 胃泌素释放肽前体  44.70pg/ml[0.-94.8],
SCCA 鳞状细胞癌相关抗原  0.83ng/ml[0.-2.7]。干扰素释放试验:阳性,  结核抗体  阳性。
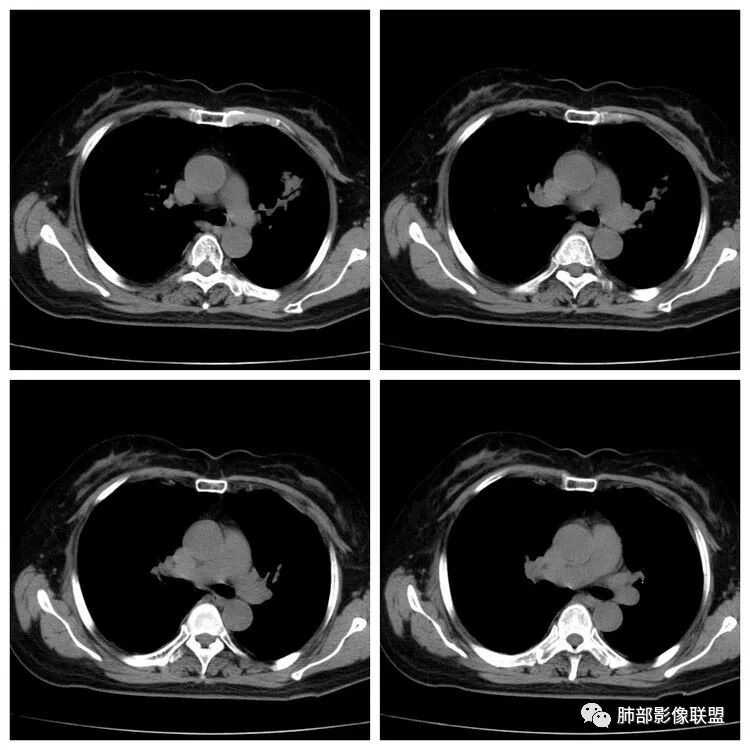
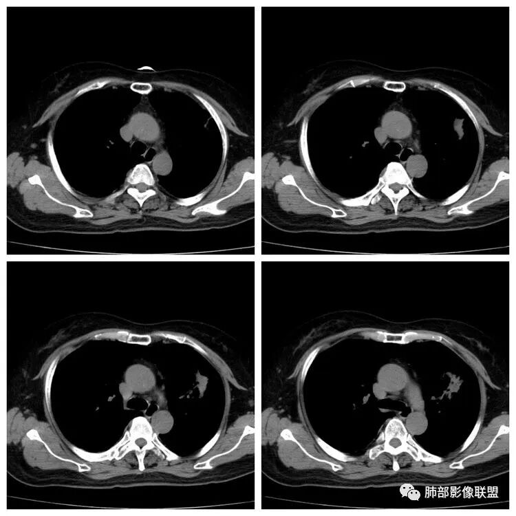
以下是两个时间点左右对比
2019.11.26  👇                           2020.01.20👇                                            2019.11.26片
2020.01.20片


                                        

精彩讨论

甄德强:
病灶有分叶,胸膜牵拉,周围有磨玻璃影,边缘清楚,对比观察病灶内的空泡及空气支气管征填充,考虑浸润性腺癌。
杨丽:
左肺上叶混合磨玻璃结节,分叶,空泡,边界清晰,常规考虑腺癌,支气管有一支穿行,复查后空泡消失,鉴别淋巴瘤
一切∮随缘:
左肺团片状影,形态不规则,边界清楚,周围可见清楚的磨玻璃影,内可见支气管穿行,空泡,坏死,抗炎治疗后病变增大,血象及肿瘤标志物正常,结核阳性,考虑:结核,NTM,Op,鉴别腺癌,淋巴瘤。
群锋:
分叶、实性成份加清楚GGo,胸膜牵拉,有小空泡,支气管穿行,复查略有缩小,空泡消失,恶性,IAC可能,淋巴瘤待排
小兜:
老年女性,反复咳嗽咳痰一月,伴咯血及痰中带血,既往有结核病史。CT示左肺上叶不规则实变影,周边伴磨玻璃影,边界清晰。可见胸膜牵拉,治疗前可见小空泡,支气管穿行,复查消失,内部实变区似见低密度区。考虑为恶性可能,腺癌
紫气东来:
左肺实变磨玻璃影,边界清楚,有毛刺,内小空泡,支气管扩张穿行,考虑腺,鉴别op,淋巴瘤
徐飞:
老年女性,左肺上叶前段分叶状结节,周围磨玻璃,境界清楚,两个月复查实行成分较前稍密实,考虑腺癌。但前一次前段支气管管壁增厚,虽然周围没有树芽,也要排除结核可能。
五谷杂粮:
左肺团片状影,形态不规则,周围可见磨玻璃影,内见空泡,坏死,抗炎治疗后病变增大,血象及肿瘤标志物正常,结核阳性,考虑:腺癌,结核待排
凝睦:
左肺上叶不规则混合磨玻璃密度影,磨玻璃密度边界清,内见空泡,两个月复查无变化,腺癌。
看图说话:
左肺磨玻璃影,分叶,部分膨隆,收缩,边界清楚,有毛刺,内小空泡,支气管扩张穿行,复查增大,考虑恶性,腺癌,鉴别淋巴瘤,不除外结核。
RockJ-ason:
两个月无变化,周围有晕,首选腺癌
飞鹰行动:
左肺上叶病灶,有占位性,有收缩性,病灶内有小泡征及僵硬的支气管,边缘可见清晰的磨玻璃影。首先考虑腺癌
杨泽锋:
淋巴瘤收缩性改变很少见、单一形态结核很少见,而腺癌可能非常大,周围有似清非清的磨玻璃影,有粘液腺癌的可能
三生石上:
左肺团片状影,形态不规则,周围可见磨玻璃影,内见空泡,坏死,腺癌?
丽:
老年男性,左肺上叶不规则团块影,部分膨隆,边缘可见分叶及毛刺,并可见清晰磨玻璃密度及胸膜牵拉,内可见空泡,复查有增大,考虑恶性,腺癌
王秀仙:
左肺上叶片状混合磨玻璃,形态不规则,周围磨玻璃影边缘清楚,内见空泡,支气管扩张穿行,两个月后病灶变密实并略增大,空泡及扩张支气管消失,周围磨玻璃边缘更加清晰,考虑:浸润性腺癌。鉴别结核。
ZK金:
女性,左肺上叶形态不规则混合磨玻璃病灶,内见空泡、扩张支气管,抗炎治疗后复查病灶增大。肿标阴性,结核阳性。考虑恶性,腺癌可能大,结核、淋巴瘤待排
谁在现场:
混合GGO边界清楚,气管有侵犯,胸膜牵拉,分叶,空泡,考虑浸润性腺癌
水晶石头:
患者老年女性,反复咳嗽、咳痰1月余,伴咯血。查血常规、肿瘤标志物基本正常。胸部CT:左肺上叶不规则混合磨玻璃影,边界清楚,边缘光滑,部分膨隆,见分叶、支气管扩张及胸膜牵拉。综合考虑恶性病变,腺癌可能性大,鉴别良性。
彭君:
左肺上叶混合磨玻璃密度结节,边缘磨玻璃边缘清,内有小泡征及僵硬的支气管,复查部分膨隆明显 支气管征及小泡征消失,考虑浸润性腺癌
红星:
左肺上叶不规则的片状影,具有支气管爬行的特点,首份CT里面可以看见有小的空洞,空洞内壁很光滑,片状阴影当中见支气管充气,支气管没有见截断或者狭窄后扩张改变,增强扫描轻度的强化,经过一个月左右的治疗,病灶还是少量的缩小,该病人有结核病的病史,而且结核抗体是阳性,从这个信息来判断,首先也应该考虑是结核肉芽肿形成,不符合结核的特点,就是周围没有见卫星病灶,没有陈旧性的病灶,而且感觉病灶具有分叶毛刺,所以鉴别诊断中考虑腺癌可能,最后的结论考虑左肺上叶前段结核肉芽肿,未除外腺癌的可能性
宇宙:
左肺上叶不规则混合磨玻璃影,边界清,分叶,毛刺,空泡,轻度胸膜牵拉,两月复查,无明显变化,空泡消失,考虑腺癌,结核待排
任广国:
左肺上叶不规则结节,边缘不规则,周围伴有磨玻璃密度影,其内快进裂隙征及小泡征,两次复查间隔两个月,无明显变化。考虑浸润性腺癌,鉴别炎症。
那个人:
混合磨玻璃结节,磨玻璃边界清楚,小空泡,考虑腺癌
薏米:
老年,咳嗽,咳痰,胸部CT左肺上叶实变影,周边可见磨玻璃密度影,边界清,可见空泡,支气管走形纤细,动态对比磨玻璃病变无明显变化,磨玻璃影未见消失,考虑浸润性腺癌,鉴别肉芽肿性炎
亚东:
病灶有分叶,胸膜牵拉,周围有磨玻璃影,边缘清楚,整体牵拉不明显,说明收缩力中等或者弱,对比变化不明显。考虑腺癌,鉴别腺癌合并结核
培:
左肺上叶混合磨玻璃结节,分叶,毛刺,边界清晰,两月复查变化不大,考虑腺癌,鉴别:结核。
傅昌瑜:
老年女性,咳嗽咳痰咯血1月,7年前有肺结核史,干扰素释放实验及结核抗体阳性,肿瘤标记物(一)。左上肺混合磨玻璃结节,分叶,胸膜牵拉,边缘见边界清晰的磨玻璃影,见空气支气管征,2个月后复查病灶似有增大,边缘磨玻璃影仍清楚。考虑腺癌可能性大,鉴别肺结核。
刘丹:
左肺上叶团片影,其内小空泡,边缘磨玻璃。抗炎治疗无效,既往结核病史,考虑腺癌,鉴别结核。
毛勤香:
左肺上叶混合磨玻璃结节,少许磨玻璃清晰,小空泡,支气管充气征略扩张,月牙铲,复查无明显吸收,考虑IAC
土娃:
左上肺混合密度结节,边缘分叶,内见支气管充气征,空泡,有胸膜牵拉,既往有结核病史及抗痨史,病灶未见钙化影,2月复查无明显变化,考虑腺癌。
玫:
咳嗽咳痰一个月,痰中带血,左肺上叶不规则病灶影,边缘见分叶,病灶内见空泡征及支气管走形,肿瘤标志物正常,二次复查,病灶范围增大,结核抗体阳性,考虑结核可能,鉴别腺癌。
蓝天白云:
老年,咳嗽,咳痰,胸部CT左肺上叶混合磨玻璃密度影,边界清,可见空泡,支气管走形纤细,部分增粗扭曲扩张,动态对比磨玻璃病变无明显变化,考虑IAC,鉴别结核
睡在树上的鱼:
左肺上叶见不规则边界清楚混合磨玻璃病灶,见胸牵拉征、空气支气管征、及空泡征综合考虑恶性,腺癌?。
小飞:
左肺上叶团块影,外向内生长,边缘平直、分叶、长短毛刺,周围有晕,支气管纤细,通畅,考虑腺癌,鉴别机化性肺炎
秋实:
左肺上叶混合磨玻璃,边界清,内见支气管走行,两个月后病灶略大,磨玻璃边界变模糊,内部支气管扭曲,狭窄,内部小泡影,考虑腺癌,粘液腺癌?鉴别淋巴瘤
慎独:
老年女性,反复咳嗽咳痰一月,伴咯血及痰中带血,既往有结核病史。CT示左肺上叶混合密度影,可见分叶,胸膜牵拉,内见支气管充气征,空泡;治疗前可见小空泡,支气管穿行,复查消失,内部实变区似见低密度区。考虑腺癌(IAC),待除淋巴瘤。
HeKate·Awizard·Sinitici:
老年女性,左上肺尖后段不规则片状影,边界清,磨玻璃+实性,分叶,胸膜牵拉,可见僵硬支气管穿行,考虑恶性肿瘤可能,鉴别机化性肺炎。
🎀丽🍀:
左上肺片状高密度影,其内可见含气支气管征和空泡征,周围可见磨玻璃征,磨玻璃与周围正常肺组织分界清楚,临近可见胸膜牵拉,考虑腺癌,鉴别于淋巴瘤
弹指之间:
老年女性,有结核病史。CT示左肺上叶混合密度影,20191126病灶内见空洞,及空气支气管征,可见分叶,胸膜牵拉;202001020日CT示病灶大小变化不大,空洞影消失,内部支气管不规则、部分中断狭窄;考虑腺癌可能大,待除淋巴瘤>结核球(收缩力不够)。
红日东升:
老年女性,咳嗽,咳痰1月,左肺上叶混合磨玻璃密度影,边界清析,复查无变化,空泡征,分叶征,胸膜牵拉,考虑恶性,IAC
流心明智:
老年女性,反复咳嗽咳痰一月,伴咯血及痰中带血。既往TB病史。
CT示:左肺上叶不规则实变影,分叶,周边边界清楚GGO,胸膜牵拉,病灶内小空泡,支气管充气征(2月后部分堵塞)穿行,病灶内部可见低密度区。考虑:恶性可能大,腺癌?TB不除外。
良孑:
左上实变,GGO边界清,有毛刺,胸膜牵拉及充气支气管征,支气管走行僵直,病史较长,病灶形态单一,无空洞及播散征象,TB诊断依据欠足,TB抗体阳性只提示曾感染过TB,综和分析考虑淋巴瘤或腺癌,鉴别炎性肉芽肿
小锁:
老年女性,反复咳嗽咳痰一月,伴咯血及痰中带血。既往TB病史,结核抗体阳性。影像:左肺上叶不规则混合磨玻璃影,病灶由外向内,小空泡,分叶,棘突,周边边界清楚GGO,胸膜牵拉,兔耳征,收缩力中等-偏弱。考虑:浸润性腺癌。

                                       病理结果:浸润性粘液腺癌




粘液腺癌
  粘液腺癌是一种原发性肺腺癌的变异型,病理上起源细支气管壁以远的支气管与肺泡上皮,属于周围型;其细胞形态及排列方式与非粘液性腺癌有所不同,为成簇排列的粘液腺上皮,很早就有细胞内粘液及分泌细胞外粘液;早期粘液腺癌常为一单发结节,有沿气道距离播散的能力,中后期肿瘤细胞随粘液飘向更远的肺段及肺叶,会出现斑片状实变和/或磨玻璃密度样的肺炎样影像学改变,粘液的重力效应使病灶常位于胸膜下或叶间胸膜;随着肺粘液腺癌体量的增大,粘液的播散,临床上会有咳白痰,查痰液脱落细胞会找到肿瘤细胞。结节型属于早期肺粘液腺癌,随着粘液的漂移和跳跃性生长,病灶逐步扩大,最后变成弥漫型肺炎型粘液腺癌。因此,在结节期发现肺粘液腺癌,对病人的诊治和预后关系重大!
              早期结节型粘液腺癌的特点
1.早期结节型粘液腺癌以中老年女性多见,单发,多数病灶具有恶性肿瘤征象;
2.病灶常呈圆形或不规则形,实性结节略多于混合磨玻璃结节,少见纯磨玻璃结节;
3.病灶边界清楚,也可模糊,呈似清非清,须与炎性结节鉴别;表现为实性结节时,收缩力可能表现不明显,须与良性结节鉴别。
3.原发性肺粘液腺癌侵袭力相对较低,发展慢,破坏力不强,病灶常不破坏支气管及血管,可表现为血管造影征及空气支气管征。
  -----【曹捍波讲堂】结节型早期原发性肺粘液腺癌CT诊断及误诊对策


病例小结
1.老年女性,咳嗽咳痰一月,伴咯血及痰中带血,多为咳白痰,无发热,炎性指标不高,且抗炎治疗,两月后病灶未见明显吸收和改变,普通病原体感染不支持。
2.早期CT表现左肺上叶不规则团块影,呈混合密度,以实性密度为主,但整体密度偏低,周围隐约见磨玻璃密度影。
    边缘不规则,前内侧缘见小叶间隔限制(注意,并非典型深分叶),病灶外侧细长毛刺,病灶内有小空泡及空气支气管征,有胸膜牵拉征象。
   上述征象均提示病灶为恶性病灶,但边缘特征及空气支气管征似乎有别于常见的浸润性腺癌及MALT。
   可惜没有增强扫描提供更多信息。
3.复查影像显示病灶整体大小变化不明显,其内空泡消失,但是周围磨玻璃影趋于似清非清,整体病灶收缩力中等偏弱,均提示粘液腺癌的可能性大。
   老年女性,出现这种边缘有些让人“迷惘”的结节影,千万不要忘记那个伺机待发的粘液腺癌。重要的事情说三遍!
  ☆特别提示
   如果患者临床症状不重,与影像表现不适格,咳大量白痰,炎性指标不高,抗感染治疗肺部病灶未见吸收,因高度怀疑粘液性肺癌,尤其在结节期发现肺粘液腺癌,对病人的诊治和预后关系重大!肺粘液腺癌在临床上虽少见,但是因为常与炎症和良性结节难以分辨而造成诊治延误,所以应引起我们重视。
  
往期回顾 
1.【肺部影像病理系列】磨玻璃边界似清不清------粘液腺癌
2.【曹捍波讲堂】结节型早期原发性肺粘液腺癌CT诊断及误诊对策
3.【每周一例】07期:琢磨不透的肺部结节型粘液腺癌
end
编辑:周乔友
审核:蔡笑燕 徐晓
病例提供者        日照市结核病防治所—冯连彩



到顶部